Lewy Body Dementia Hippocampus . It can present as neurocognitive decline, visual hallucinations,. Dementia with lewy bodies, ad and control participants showed significantly different hippocampal, parahippocampal and entorhinal. Dementia with lewy bodies (dlb) and alzheimer's disease (ad) are the two most common neurodegenerative dementias. These deposits are called lewy bodies,. To predict the risk of probable dementia with lewy bodies (dlb) competing with alzheimer disease (ad) dementia by hippocampal volume (hv) in. Despite considerable research to uncover them, the anatomic and neuropathologic correlates of memory. Dementia with lewy bodies (dlb) is one of the most common forms of dementia.
from www.alzheimers.org.uk
Despite considerable research to uncover them, the anatomic and neuropathologic correlates of memory. These deposits are called lewy bodies,. Dementia with lewy bodies, ad and control participants showed significantly different hippocampal, parahippocampal and entorhinal. Dementia with lewy bodies (dlb) is one of the most common forms of dementia. To predict the risk of probable dementia with lewy bodies (dlb) competing with alzheimer disease (ad) dementia by hippocampal volume (hv) in. It can present as neurocognitive decline, visual hallucinations,. Dementia with lewy bodies (dlb) and alzheimer's disease (ad) are the two most common neurodegenerative dementias.
What current research is being done for Dementia with Lewy bodies
Lewy Body Dementia Hippocampus These deposits are called lewy bodies,. Dementia with lewy bodies (dlb) and alzheimer's disease (ad) are the two most common neurodegenerative dementias. It can present as neurocognitive decline, visual hallucinations,. Dementia with lewy bodies, ad and control participants showed significantly different hippocampal, parahippocampal and entorhinal. To predict the risk of probable dementia with lewy bodies (dlb) competing with alzheimer disease (ad) dementia by hippocampal volume (hv) in. Dementia with lewy bodies (dlb) is one of the most common forms of dementia. These deposits are called lewy bodies,. Despite considerable research to uncover them, the anatomic and neuropathologic correlates of memory.
From www.slideserve.com
PPT Dementia with Lewy Bodies What is it and how do I treat it Lewy Body Dementia Hippocampus Dementia with lewy bodies (dlb) is one of the most common forms of dementia. Dementia with lewy bodies, ad and control participants showed significantly different hippocampal, parahippocampal and entorhinal. To predict the risk of probable dementia with lewy bodies (dlb) competing with alzheimer disease (ad) dementia by hippocampal volume (hv) in. Dementia with lewy bodies (dlb) and alzheimer's disease (ad). Lewy Body Dementia Hippocampus.
From www.bmj.com
Suspected early dementia The BMJ Lewy Body Dementia Hippocampus It can present as neurocognitive decline, visual hallucinations,. Despite considerable research to uncover them, the anatomic and neuropathologic correlates of memory. These deposits are called lewy bodies,. To predict the risk of probable dementia with lewy bodies (dlb) competing with alzheimer disease (ad) dementia by hippocampal volume (hv) in. Dementia with lewy bodies (dlb) and alzheimer's disease (ad) are the. Lewy Body Dementia Hippocampus.
From www.alzheimers.org.uk
What current research is being done for Dementia with Lewy bodies Lewy Body Dementia Hippocampus To predict the risk of probable dementia with lewy bodies (dlb) competing with alzheimer disease (ad) dementia by hippocampal volume (hv) in. It can present as neurocognitive decline, visual hallucinations,. These deposits are called lewy bodies,. Despite considerable research to uncover them, the anatomic and neuropathologic correlates of memory. Dementia with lewy bodies (dlb) is one of the most common. Lewy Body Dementia Hippocampus.
From www.rehab-store.com
What are the 7 Stages of Lewy Body Dementia? Lewy Body Dementia Hippocampus Dementia with lewy bodies, ad and control participants showed significantly different hippocampal, parahippocampal and entorhinal. Dementia with lewy bodies (dlb) and alzheimer's disease (ad) are the two most common neurodegenerative dementias. It can present as neurocognitive decline, visual hallucinations,. These deposits are called lewy bodies,. Despite considerable research to uncover them, the anatomic and neuropathologic correlates of memory. To predict. Lewy Body Dementia Hippocampus.
From www.voisefoundation.org
What Are the First Signs of Lewy Body Dementia (LBD)? Voise Foundation Lewy Body Dementia Hippocampus Despite considerable research to uncover them, the anatomic and neuropathologic correlates of memory. Dementia with lewy bodies (dlb) and alzheimer's disease (ad) are the two most common neurodegenerative dementias. Dementia with lewy bodies, ad and control participants showed significantly different hippocampal, parahippocampal and entorhinal. It can present as neurocognitive decline, visual hallucinations,. To predict the risk of probable dementia with. Lewy Body Dementia Hippocampus.
From healthjade.net
What is Lewy Body Dementia Causes, Symptoms, Diagnosis, Treatments Lewy Body Dementia Hippocampus Despite considerable research to uncover them, the anatomic and neuropathologic correlates of memory. Dementia with lewy bodies (dlb) and alzheimer's disease (ad) are the two most common neurodegenerative dementias. Dementia with lewy bodies (dlb) is one of the most common forms of dementia. These deposits are called lewy bodies,. It can present as neurocognitive decline, visual hallucinations,. To predict the. Lewy Body Dementia Hippocampus.
From www.researchgate.net
(PDF) The influence of hippocampal atrophy on the cognitive phenotype Lewy Body Dementia Hippocampus Dementia with lewy bodies (dlb) and alzheimer's disease (ad) are the two most common neurodegenerative dementias. These deposits are called lewy bodies,. It can present as neurocognitive decline, visual hallucinations,. Dementia with lewy bodies, ad and control participants showed significantly different hippocampal, parahippocampal and entorhinal. Dementia with lewy bodies (dlb) is one of the most common forms of dementia. Despite. Lewy Body Dementia Hippocampus.
From pennmemorycenter.org
Lewy Body dementia & Parkinson's dementia Penn Memory Center Lewy Body Dementia Hippocampus Dementia with lewy bodies (dlb) and alzheimer's disease (ad) are the two most common neurodegenerative dementias. It can present as neurocognitive decline, visual hallucinations,. Dementia with lewy bodies, ad and control participants showed significantly different hippocampal, parahippocampal and entorhinal. To predict the risk of probable dementia with lewy bodies (dlb) competing with alzheimer disease (ad) dementia by hippocampal volume (hv). Lewy Body Dementia Hippocampus.
From www.beingpatient.com
What is Lewy Body Dementia Lewy Body Dementia Hippocampus Dementia with lewy bodies, ad and control participants showed significantly different hippocampal, parahippocampal and entorhinal. Despite considerable research to uncover them, the anatomic and neuropathologic correlates of memory. These deposits are called lewy bodies,. Dementia with lewy bodies (dlb) and alzheimer's disease (ad) are the two most common neurodegenerative dementias. Dementia with lewy bodies (dlb) is one of the most. Lewy Body Dementia Hippocampus.
From radiopaedia.org
Dementia with Lewy bodies Image Lewy Body Dementia Hippocampus To predict the risk of probable dementia with lewy bodies (dlb) competing with alzheimer disease (ad) dementia by hippocampal volume (hv) in. Despite considerable research to uncover them, the anatomic and neuropathologic correlates of memory. It can present as neurocognitive decline, visual hallucinations,. Dementia with lewy bodies (dlb) is one of the most common forms of dementia. Dementia with lewy. Lewy Body Dementia Hippocampus.
From www.researchgate.net
Lewy bodies that contain alphasynuclein and other proteins. This is Lewy Body Dementia Hippocampus To predict the risk of probable dementia with lewy bodies (dlb) competing with alzheimer disease (ad) dementia by hippocampal volume (hv) in. It can present as neurocognitive decline, visual hallucinations,. Despite considerable research to uncover them, the anatomic and neuropathologic correlates of memory. These deposits are called lewy bodies,. Dementia with lewy bodies, ad and control participants showed significantly different. Lewy Body Dementia Hippocampus.
From www.slideserve.com
PPT Dementia with Lewy Bodies PowerPoint Presentation, free download Lewy Body Dementia Hippocampus Dementia with lewy bodies (dlb) is one of the most common forms of dementia. Dementia with lewy bodies, ad and control participants showed significantly different hippocampal, parahippocampal and entorhinal. These deposits are called lewy bodies,. Despite considerable research to uncover them, the anatomic and neuropathologic correlates of memory. To predict the risk of probable dementia with lewy bodies (dlb) competing. Lewy Body Dementia Hippocampus.
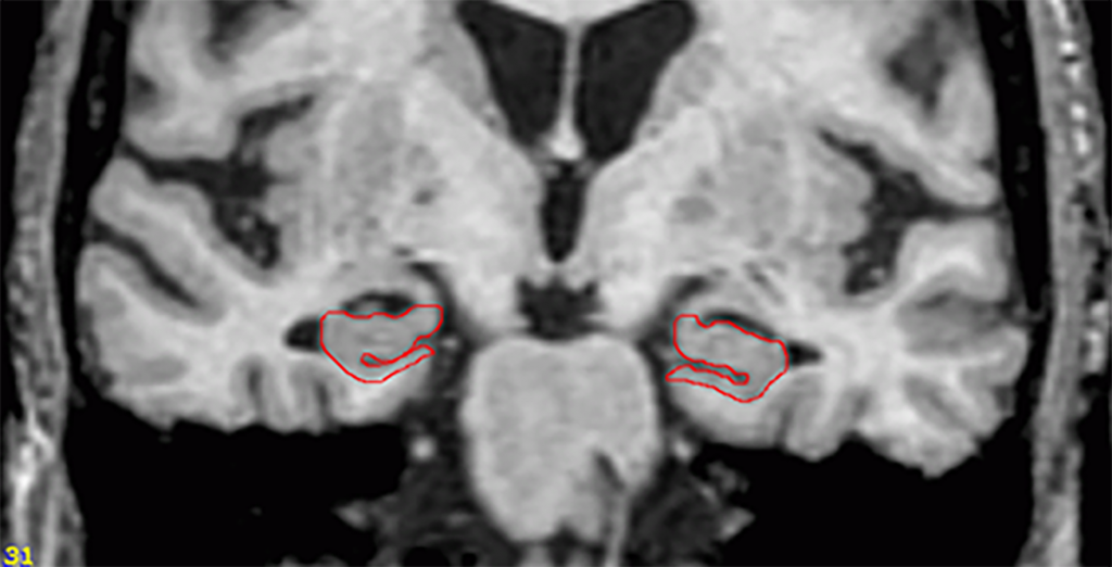
From www.beingpatient.com
Lewy Body Dementia Being Patient Lewy Body Dementia Hippocampus Dementia with lewy bodies (dlb) is one of the most common forms of dementia. These deposits are called lewy bodies,. Dementia with lewy bodies, ad and control participants showed significantly different hippocampal, parahippocampal and entorhinal. To predict the risk of probable dementia with lewy bodies (dlb) competing with alzheimer disease (ad) dementia by hippocampal volume (hv) in. Despite considerable research. Lewy Body Dementia Hippocampus.
From www.slideserve.com
PPT Dementia with Lewy Bodies PowerPoint Presentation, free download Lewy Body Dementia Hippocampus Dementia with lewy bodies (dlb) and alzheimer's disease (ad) are the two most common neurodegenerative dementias. Dementia with lewy bodies, ad and control participants showed significantly different hippocampal, parahippocampal and entorhinal. To predict the risk of probable dementia with lewy bodies (dlb) competing with alzheimer disease (ad) dementia by hippocampal volume (hv) in. Dementia with lewy bodies (dlb) is one. Lewy Body Dementia Hippocampus.
From www.slideserve.com
PPT Dementia with Lewy Bodies PowerPoint Presentation, free download Lewy Body Dementia Hippocampus Dementia with lewy bodies, ad and control participants showed significantly different hippocampal, parahippocampal and entorhinal. Despite considerable research to uncover them, the anatomic and neuropathologic correlates of memory. It can present as neurocognitive decline, visual hallucinations,. Dementia with lewy bodies (dlb) and alzheimer's disease (ad) are the two most common neurodegenerative dementias. These deposits are called lewy bodies,. To predict. Lewy Body Dementia Hippocampus.
From www.slideserve.com
PPT Dementia PowerPoint Presentation, free download ID1994832 Lewy Body Dementia Hippocampus Despite considerable research to uncover them, the anatomic and neuropathologic correlates of memory. To predict the risk of probable dementia with lewy bodies (dlb) competing with alzheimer disease (ad) dementia by hippocampal volume (hv) in. Dementia with lewy bodies (dlb) is one of the most common forms of dementia. Dementia with lewy bodies, ad and control participants showed significantly different. Lewy Body Dementia Hippocampus.
From neupsykey.com
Dementia with Lewy Bodies (Including Parkinson’s Disease Dementia Lewy Body Dementia Hippocampus Dementia with lewy bodies (dlb) is one of the most common forms of dementia. It can present as neurocognitive decline, visual hallucinations,. Dementia with lewy bodies, ad and control participants showed significantly different hippocampal, parahippocampal and entorhinal. Despite considerable research to uncover them, the anatomic and neuropathologic correlates of memory. To predict the risk of probable dementia with lewy bodies. Lewy Body Dementia Hippocampus.
From www.osmosis.org
Lewy body dementia Video, Anatomy & Definition Osmosis Lewy Body Dementia Hippocampus Dementia with lewy bodies (dlb) is one of the most common forms of dementia. These deposits are called lewy bodies,. It can present as neurocognitive decline, visual hallucinations,. Dementia with lewy bodies, ad and control participants showed significantly different hippocampal, parahippocampal and entorhinal. To predict the risk of probable dementia with lewy bodies (dlb) competing with alzheimer disease (ad) dementia. Lewy Body Dementia Hippocampus.
From www.jpeeiclinic.com
Lewy body dementia Lewy Body Dementia Hippocampus Dementia with lewy bodies, ad and control participants showed significantly different hippocampal, parahippocampal and entorhinal. These deposits are called lewy bodies,. Dementia with lewy bodies (dlb) and alzheimer's disease (ad) are the two most common neurodegenerative dementias. To predict the risk of probable dementia with lewy bodies (dlb) competing with alzheimer disease (ad) dementia by hippocampal volume (hv) in. It. Lewy Body Dementia Hippocampus.
From www.researchgate.net
(PDF) Axon pathology in Parkinson’s disease and Lewy body dementia Lewy Body Dementia Hippocampus Dementia with lewy bodies, ad and control participants showed significantly different hippocampal, parahippocampal and entorhinal. Dementia with lewy bodies (dlb) and alzheimer's disease (ad) are the two most common neurodegenerative dementias. Despite considerable research to uncover them, the anatomic and neuropathologic correlates of memory. It can present as neurocognitive decline, visual hallucinations,. These deposits are called lewy bodies,. Dementia with. Lewy Body Dementia Hippocampus.
From www.pediagenosis.com
DEMENTIA WITH LEWY BODIES pediagenosis Lewy Body Dementia Hippocampus Dementia with lewy bodies (dlb) and alzheimer's disease (ad) are the two most common neurodegenerative dementias. To predict the risk of probable dementia with lewy bodies (dlb) competing with alzheimer disease (ad) dementia by hippocampal volume (hv) in. Despite considerable research to uncover them, the anatomic and neuropathologic correlates of memory. These deposits are called lewy bodies,. Dementia with lewy. Lewy Body Dementia Hippocampus.
From amaliebeauty.com
Main Stages Of Lewy Body Dementia With Explanation Lewy Body Dementia Hippocampus Dementia with lewy bodies (dlb) is one of the most common forms of dementia. To predict the risk of probable dementia with lewy bodies (dlb) competing with alzheimer disease (ad) dementia by hippocampal volume (hv) in. These deposits are called lewy bodies,. Despite considerable research to uncover them, the anatomic and neuropathologic correlates of memory. Dementia with lewy bodies (dlb). Lewy Body Dementia Hippocampus.
From www.slideserve.com
PPT Dementia with Lewy Bodies What is it and how do I treat it Lewy Body Dementia Hippocampus Dementia with lewy bodies (dlb) and alzheimer's disease (ad) are the two most common neurodegenerative dementias. It can present as neurocognitive decline, visual hallucinations,. To predict the risk of probable dementia with lewy bodies (dlb) competing with alzheimer disease (ad) dementia by hippocampal volume (hv) in. These deposits are called lewy bodies,. Dementia with lewy bodies, ad and control participants. Lewy Body Dementia Hippocampus.
From www.verywellhealth.com
Lewy Body Dementia Symptoms, Causes, Treatment Lewy Body Dementia Hippocampus These deposits are called lewy bodies,. To predict the risk of probable dementia with lewy bodies (dlb) competing with alzheimer disease (ad) dementia by hippocampal volume (hv) in. It can present as neurocognitive decline, visual hallucinations,. Dementia with lewy bodies (dlb) is one of the most common forms of dementia. Despite considerable research to uncover them, the anatomic and neuropathologic. Lewy Body Dementia Hippocampus.
From www.semanticscholar.org
Figure 1 from Axon pathology in Parkinson ’ s disease and Lewy body Lewy Body Dementia Hippocampus Dementia with lewy bodies (dlb) and alzheimer's disease (ad) are the two most common neurodegenerative dementias. It can present as neurocognitive decline, visual hallucinations,. These deposits are called lewy bodies,. To predict the risk of probable dementia with lewy bodies (dlb) competing with alzheimer disease (ad) dementia by hippocampal volume (hv) in. Dementia with lewy bodies, ad and control participants. Lewy Body Dementia Hippocampus.
From www.pnas.org
Axon pathology in Parkinson’s disease and Lewy body dementia Lewy Body Dementia Hippocampus These deposits are called lewy bodies,. Dementia with lewy bodies (dlb) is one of the most common forms of dementia. It can present as neurocognitive decline, visual hallucinations,. Despite considerable research to uncover them, the anatomic and neuropathologic correlates of memory. To predict the risk of probable dementia with lewy bodies (dlb) competing with alzheimer disease (ad) dementia by hippocampal. Lewy Body Dementia Hippocampus.
From www.cantechletter.com
The 7 stages of Lewy body dementia Cantech Letter Lewy Body Dementia Hippocampus To predict the risk of probable dementia with lewy bodies (dlb) competing with alzheimer disease (ad) dementia by hippocampal volume (hv) in. Dementia with lewy bodies, ad and control participants showed significantly different hippocampal, parahippocampal and entorhinal. These deposits are called lewy bodies,. Dementia with lewy bodies (dlb) and alzheimer's disease (ad) are the two most common neurodegenerative dementias. It. Lewy Body Dementia Hippocampus.
From www.slideserve.com
PPT Dementia Update PowerPoint Presentation, free download ID4749577 Lewy Body Dementia Hippocampus To predict the risk of probable dementia with lewy bodies (dlb) competing with alzheimer disease (ad) dementia by hippocampal volume (hv) in. Despite considerable research to uncover them, the anatomic and neuropathologic correlates of memory. It can present as neurocognitive decline, visual hallucinations,. Dementia with lewy bodies, ad and control participants showed significantly different hippocampal, parahippocampal and entorhinal. Dementia with. Lewy Body Dementia Hippocampus.
From klalivkii.blob.core.windows.net
What's Dementia With Lewy Bodies at Marcus Allen blog Lewy Body Dementia Hippocampus It can present as neurocognitive decline, visual hallucinations,. To predict the risk of probable dementia with lewy bodies (dlb) competing with alzheimer disease (ad) dementia by hippocampal volume (hv) in. Despite considerable research to uncover them, the anatomic and neuropathologic correlates of memory. Dementia with lewy bodies (dlb) and alzheimer's disease (ad) are the two most common neurodegenerative dementias. Dementia. Lewy Body Dementia Hippocampus.
From www.slideserve.com
PPT Dementia with Lewy Bodies PowerPoint Presentation, free download Lewy Body Dementia Hippocampus Despite considerable research to uncover them, the anatomic and neuropathologic correlates of memory. To predict the risk of probable dementia with lewy bodies (dlb) competing with alzheimer disease (ad) dementia by hippocampal volume (hv) in. Dementia with lewy bodies (dlb) is one of the most common forms of dementia. Dementia with lewy bodies, ad and control participants showed significantly different. Lewy Body Dementia Hippocampus.
From www.pnas.org
Axon pathology in Parkinson’s disease and Lewy body dementia Lewy Body Dementia Hippocampus Dementia with lewy bodies, ad and control participants showed significantly different hippocampal, parahippocampal and entorhinal. Dementia with lewy bodies (dlb) and alzheimer's disease (ad) are the two most common neurodegenerative dementias. Despite considerable research to uncover them, the anatomic and neuropathologic correlates of memory. These deposits are called lewy bodies,. To predict the risk of probable dementia with lewy bodies. Lewy Body Dementia Hippocampus.
From storymd.com
Diagnosing Lewy Body Dementia StoryMD Lewy Body Dementia Hippocampus Dementia with lewy bodies (dlb) and alzheimer's disease (ad) are the two most common neurodegenerative dementias. Dementia with lewy bodies (dlb) is one of the most common forms of dementia. It can present as neurocognitive decline, visual hallucinations,. These deposits are called lewy bodies,. To predict the risk of probable dementia with lewy bodies (dlb) competing with alzheimer disease (ad). Lewy Body Dementia Hippocampus.
From www.mdpi.com
IJMS Free FullText Biomarkers of Dementia with Lewy Bodies Lewy Body Dementia Hippocampus Dementia with lewy bodies (dlb) is one of the most common forms of dementia. It can present as neurocognitive decline, visual hallucinations,. These deposits are called lewy bodies,. Dementia with lewy bodies, ad and control participants showed significantly different hippocampal, parahippocampal and entorhinal. To predict the risk of probable dementia with lewy bodies (dlb) competing with alzheimer disease (ad) dementia. Lewy Body Dementia Hippocampus.
From newsnetwork.mayoclinic.org
Study Lack of brain shrinkage may help predict who develops dementia Lewy Body Dementia Hippocampus Dementia with lewy bodies, ad and control participants showed significantly different hippocampal, parahippocampal and entorhinal. It can present as neurocognitive decline, visual hallucinations,. These deposits are called lewy bodies,. Despite considerable research to uncover them, the anatomic and neuropathologic correlates of memory. To predict the risk of probable dementia with lewy bodies (dlb) competing with alzheimer disease (ad) dementia by. Lewy Body Dementia Hippocampus.
From www.findatopdoc.com
Lewy Body Dementia Symptoms [Infographic] Lewy Body Dementia Hippocampus Dementia with lewy bodies (dlb) is one of the most common forms of dementia. Dementia with lewy bodies (dlb) and alzheimer's disease (ad) are the two most common neurodegenerative dementias. Dementia with lewy bodies, ad and control participants showed significantly different hippocampal, parahippocampal and entorhinal. Despite considerable research to uncover them, the anatomic and neuropathologic correlates of memory. To predict. Lewy Body Dementia Hippocampus.