Titanium Plate In Jaw Side Effects . in this article, the authors will review the most common risk factors associated with metallic surgical implants. as with any surgical procedure, getting dental implants can pose risks. the toxicity of titanium implants revealed 734 results, including titanium corrosion and titanium. adverse effects reported in one study were two plate exposures in each group occurring between the third and. side effects can include allergic reaction to the implant, bleeding, scarring, and more. Here's a look at some rare titanium implant side effects and how to treat. Convenience most patients will be able to resume most normal daily activities after. The titanium plates and screws in your upper.
from www.health-holland.com
Here's a look at some rare titanium implant side effects and how to treat. side effects can include allergic reaction to the implant, bleeding, scarring, and more. adverse effects reported in one study were two plate exposures in each group occurring between the third and. Convenience most patients will be able to resume most normal daily activities after. The titanium plates and screws in your upper. in this article, the authors will review the most common risk factors associated with metallic surgical implants. as with any surgical procedure, getting dental implants can pose risks. the toxicity of titanium implants revealed 734 results, including titanium corrosion and titanium.
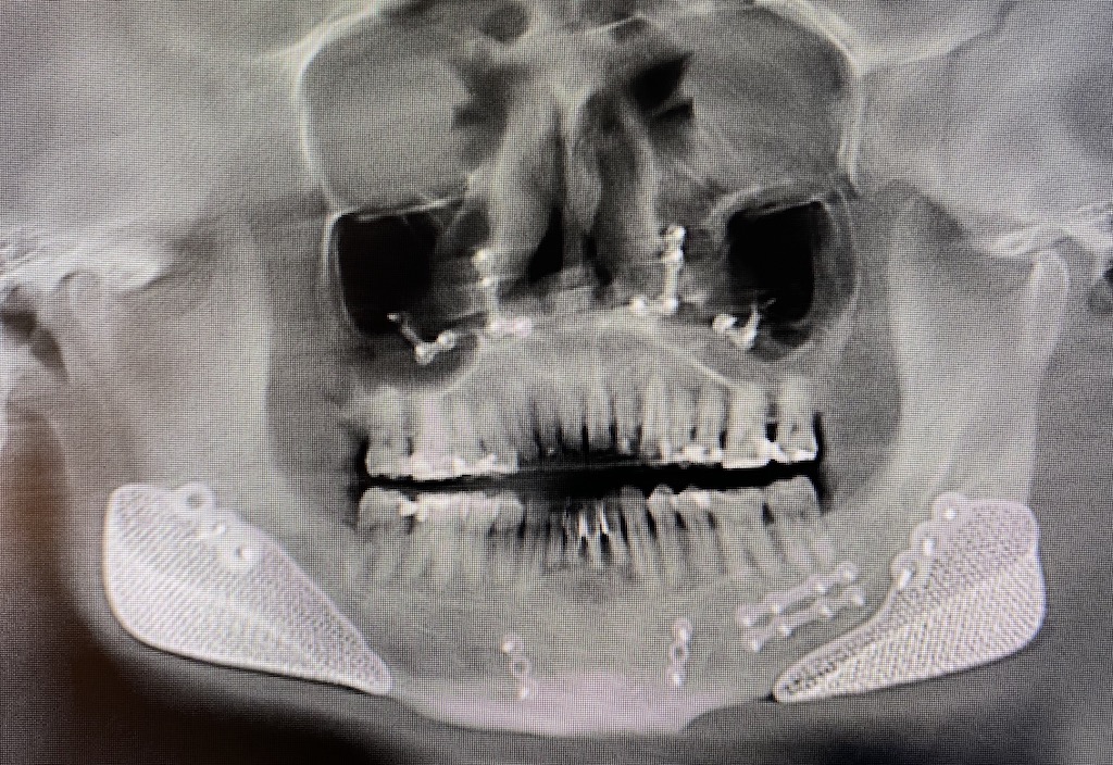
A novel 3D printed titanium jaw implant after partial lower jaw
Titanium Plate In Jaw Side Effects as with any surgical procedure, getting dental implants can pose risks. as with any surgical procedure, getting dental implants can pose risks. in this article, the authors will review the most common risk factors associated with metallic surgical implants. side effects can include allergic reaction to the implant, bleeding, scarring, and more. Here's a look at some rare titanium implant side effects and how to treat. Convenience most patients will be able to resume most normal daily activities after. the toxicity of titanium implants revealed 734 results, including titanium corrosion and titanium. The titanium plates and screws in your upper. adverse effects reported in one study were two plate exposures in each group occurring between the third and.
From www.pinterest.com
Cervical spinal fusion acdf 6 weeks postop xray of titanium plate and Titanium Plate In Jaw Side Effects the toxicity of titanium implants revealed 734 results, including titanium corrosion and titanium. side effects can include allergic reaction to the implant, bleeding, scarring, and more. as with any surgical procedure, getting dental implants can pose risks. in this article, the authors will review the most common risk factors associated with metallic surgical implants. Here's a. Titanium Plate In Jaw Side Effects.
From cartoondealer.com
Panoramic Xray Of The Jaw After Fracture And Osteosynthesis With The Titanium Plate In Jaw Side Effects The titanium plates and screws in your upper. the toxicity of titanium implants revealed 734 results, including titanium corrosion and titanium. in this article, the authors will review the most common risk factors associated with metallic surgical implants. adverse effects reported in one study were two plate exposures in each group occurring between the third and. Here's. Titanium Plate In Jaw Side Effects.
From exploreplasticsurgery.com
Plastic Surgery Case Study Secondary Adjustment of Malpositioned Titanium Plate In Jaw Side Effects as with any surgical procedure, getting dental implants can pose risks. in this article, the authors will review the most common risk factors associated with metallic surgical implants. The titanium plates and screws in your upper. side effects can include allergic reaction to the implant, bleeding, scarring, and more. the toxicity of titanium implants revealed 734. Titanium Plate In Jaw Side Effects.
From www.dailymail.co.uk
Stressed shop owner who ground her teeth has titanium jaw fitted Titanium Plate In Jaw Side Effects in this article, the authors will review the most common risk factors associated with metallic surgical implants. side effects can include allergic reaction to the implant, bleeding, scarring, and more. Here's a look at some rare titanium implant side effects and how to treat. adverse effects reported in one study were two plate exposures in each group. Titanium Plate In Jaw Side Effects.
From www.kirklandpremierdentistry.com
Titanium Implants Side Effects and How to Minimize Your Risks Titanium Plate In Jaw Side Effects side effects can include allergic reaction to the implant, bleeding, scarring, and more. Here's a look at some rare titanium implant side effects and how to treat. The titanium plates and screws in your upper. as with any surgical procedure, getting dental implants can pose risks. the toxicity of titanium implants revealed 734 results, including titanium corrosion. Titanium Plate In Jaw Side Effects.
From stock.adobe.com
Panoramic Xray of the jaw after fracture and osteosynthesis with the Titanium Plate In Jaw Side Effects side effects can include allergic reaction to the implant, bleeding, scarring, and more. in this article, the authors will review the most common risk factors associated with metallic surgical implants. Convenience most patients will be able to resume most normal daily activities after. adverse effects reported in one study were two plate exposures in each group occurring. Titanium Plate In Jaw Side Effects.
From oralsurgerysandiego.com
Corrective Jaw Surgery San Diego West Coast Oral Surgery Titanium Plate In Jaw Side Effects side effects can include allergic reaction to the implant, bleeding, scarring, and more. The titanium plates and screws in your upper. Here's a look at some rare titanium implant side effects and how to treat. Convenience most patients will be able to resume most normal daily activities after. in this article, the authors will review the most common. Titanium Plate In Jaw Side Effects.
From www.dentalworldofficial.com
iDENTical Jaw with Titanium Plate Model M5001 Dental World Official Titanium Plate In Jaw Side Effects adverse effects reported in one study were two plate exposures in each group occurring between the third and. The titanium plates and screws in your upper. in this article, the authors will review the most common risk factors associated with metallic surgical implants. Convenience most patients will be able to resume most normal daily activities after. side. Titanium Plate In Jaw Side Effects.
From www.mdpi.com
Bioengineering Free FullText Finite Element Simulation and Titanium Plate In Jaw Side Effects adverse effects reported in one study were two plate exposures in each group occurring between the third and. the toxicity of titanium implants revealed 734 results, including titanium corrosion and titanium. The titanium plates and screws in your upper. as with any surgical procedure, getting dental implants can pose risks. in this article, the authors will. Titanium Plate In Jaw Side Effects.
From www.reddit.com
My mum recently had her lower jaw removed and rebuild using titanium Titanium Plate In Jaw Side Effects The titanium plates and screws in your upper. as with any surgical procedure, getting dental implants can pose risks. adverse effects reported in one study were two plate exposures in each group occurring between the third and. in this article, the authors will review the most common risk factors associated with metallic surgical implants. the toxicity. Titanium Plate In Jaw Side Effects.
From www.health-holland.com
A novel 3D printed titanium jaw implant after partial lower jaw Titanium Plate In Jaw Side Effects side effects can include allergic reaction to the implant, bleeding, scarring, and more. as with any surgical procedure, getting dental implants can pose risks. Here's a look at some rare titanium implant side effects and how to treat. Convenience most patients will be able to resume most normal daily activities after. in this article, the authors will. Titanium Plate In Jaw Side Effects.
From www.dukehealth.org
Advanced Jaw Surgery Relieves Pain in Cancer Survivor of 10+ Years Titanium Plate In Jaw Side Effects Here's a look at some rare titanium implant side effects and how to treat. the toxicity of titanium implants revealed 734 results, including titanium corrosion and titanium. as with any surgical procedure, getting dental implants can pose risks. The titanium plates and screws in your upper. adverse effects reported in one study were two plate exposures in. Titanium Plate In Jaw Side Effects.
From www.regmednet.com
A revolutionary 3Dprinted titanium jaw implant takes a bite out of Titanium Plate In Jaw Side Effects The titanium plates and screws in your upper. in this article, the authors will review the most common risk factors associated with metallic surgical implants. the toxicity of titanium implants revealed 734 results, including titanium corrosion and titanium. adverse effects reported in one study were two plate exposures in each group occurring between the third and. . Titanium Plate In Jaw Side Effects.
From www.dailymail.co.uk
Lembit Opik feels confident for the first time in 18 years after 'life Titanium Plate In Jaw Side Effects in this article, the authors will review the most common risk factors associated with metallic surgical implants. Here's a look at some rare titanium implant side effects and how to treat. The titanium plates and screws in your upper. Convenience most patients will be able to resume most normal daily activities after. adverse effects reported in one study. Titanium Plate In Jaw Side Effects.
From www.researchgate.net
(PDF) Platerelated complications after mandibular reconstruction Titanium Plate In Jaw Side Effects as with any surgical procedure, getting dental implants can pose risks. the toxicity of titanium implants revealed 734 results, including titanium corrosion and titanium. adverse effects reported in one study were two plate exposures in each group occurring between the third and. Here's a look at some rare titanium implant side effects and how to treat. . Titanium Plate In Jaw Side Effects.
From www.intechopen.com
Titanium A New Allergen IntechOpen Titanium Plate In Jaw Side Effects The titanium plates and screws in your upper. in this article, the authors will review the most common risk factors associated with metallic surgical implants. as with any surgical procedure, getting dental implants can pose risks. the toxicity of titanium implants revealed 734 results, including titanium corrosion and titanium. adverse effects reported in one study were. Titanium Plate In Jaw Side Effects.
From www.britannica.com
Developing titanium 3Dprinted prosthetic jaw Britannica Titanium Plate In Jaw Side Effects Here's a look at some rare titanium implant side effects and how to treat. adverse effects reported in one study were two plate exposures in each group occurring between the third and. The titanium plates and screws in your upper. in this article, the authors will review the most common risk factors associated with metallic surgical implants. . Titanium Plate In Jaw Side Effects.
From www.todaysmedicaldevelopments.com
Custom 3Dprinted titanium lower jaw Today's Medical Developments Titanium Plate In Jaw Side Effects adverse effects reported in one study were two plate exposures in each group occurring between the third and. Convenience most patients will be able to resume most normal daily activities after. in this article, the authors will review the most common risk factors associated with metallic surgical implants. Here's a look at some rare titanium implant side effects. Titanium Plate In Jaw Side Effects.
From steffies-orthognathic-surgery.blogspot.com
A Guide to Surviving Orthognathic Surgery Sinus Infections after Surgery Titanium Plate In Jaw Side Effects Convenience most patients will be able to resume most normal daily activities after. adverse effects reported in one study were two plate exposures in each group occurring between the third and. The titanium plates and screws in your upper. in this article, the authors will review the most common risk factors associated with metallic surgical implants. as. Titanium Plate In Jaw Side Effects.
From exploreplasticsurgery.com
Plastic Surgery Case Study Secondary Adjustment of Malpositioned Titanium Plate In Jaw Side Effects side effects can include allergic reaction to the implant, bleeding, scarring, and more. Convenience most patients will be able to resume most normal daily activities after. adverse effects reported in one study were two plate exposures in each group occurring between the third and. as with any surgical procedure, getting dental implants can pose risks. in. Titanium Plate In Jaw Side Effects.
From ar.inspiredpencil.com
Titanium Implants Side Effects Titanium Plate In Jaw Side Effects side effects can include allergic reaction to the implant, bleeding, scarring, and more. adverse effects reported in one study were two plate exposures in each group occurring between the third and. The titanium plates and screws in your upper. Here's a look at some rare titanium implant side effects and how to treat. as with any surgical. Titanium Plate In Jaw Side Effects.
From www.youtube.com
ANOTHER JAW SURGERY!? Titanium Plates in my Head. YouTube Titanium Plate In Jaw Side Effects as with any surgical procedure, getting dental implants can pose risks. The titanium plates and screws in your upper. side effects can include allergic reaction to the implant, bleeding, scarring, and more. the toxicity of titanium implants revealed 734 results, including titanium corrosion and titanium. in this article, the authors will review the most common risk. Titanium Plate In Jaw Side Effects.
From brieflands.com
Mandibular Reconstruction Using CustomMade Titanium Mesh Tray and Titanium Plate In Jaw Side Effects The titanium plates and screws in your upper. the toxicity of titanium implants revealed 734 results, including titanium corrosion and titanium. side effects can include allergic reaction to the implant, bleeding, scarring, and more. Convenience most patients will be able to resume most normal daily activities after. as with any surgical procedure, getting dental implants can pose. Titanium Plate In Jaw Side Effects.
From www.thecherawchronicle.com
Titanium implants are an alternative for patients with severe jaw bone Titanium Plate In Jaw Side Effects as with any surgical procedure, getting dental implants can pose risks. the toxicity of titanium implants revealed 734 results, including titanium corrosion and titanium. in this article, the authors will review the most common risk factors associated with metallic surgical implants. The titanium plates and screws in your upper. side effects can include allergic reaction to. Titanium Plate In Jaw Side Effects.
From www.slideserve.com
PPT ORTHOGNATHIC JAW SURGERY & BIMAXILLARY SLEEP SURGERY PowerPoint Titanium Plate In Jaw Side Effects adverse effects reported in one study were two plate exposures in each group occurring between the third and. Convenience most patients will be able to resume most normal daily activities after. as with any surgical procedure, getting dental implants can pose risks. Here's a look at some rare titanium implant side effects and how to treat. side. Titanium Plate In Jaw Side Effects.
From belindassarpesarmejawsurgery.blogspot.com
Belinda's SARPE/SARME Jaw surgery Photo of my titanium anchorage plates Titanium Plate In Jaw Side Effects Here's a look at some rare titanium implant side effects and how to treat. The titanium plates and screws in your upper. in this article, the authors will review the most common risk factors associated with metallic surgical implants. Convenience most patients will be able to resume most normal daily activities after. as with any surgical procedure, getting. Titanium Plate In Jaw Side Effects.
From meaningkosh.com
Titanium Plates In Face MeaningKosh Titanium Plate In Jaw Side Effects in this article, the authors will review the most common risk factors associated with metallic surgical implants. side effects can include allergic reaction to the implant, bleeding, scarring, and more. Convenience most patients will be able to resume most normal daily activities after. Here's a look at some rare titanium implant side effects and how to treat. . Titanium Plate In Jaw Side Effects.
From www.dreamstime.com
Titanium Plate in Traumatic Brain Injury Stock Vector Illustration of Titanium Plate In Jaw Side Effects side effects can include allergic reaction to the implant, bleeding, scarring, and more. Here's a look at some rare titanium implant side effects and how to treat. adverse effects reported in one study were two plate exposures in each group occurring between the third and. the toxicity of titanium implants revealed 734 results, including titanium corrosion and. Titanium Plate In Jaw Side Effects.
From exodontia.info
Fractures of the Mandible / Lower Jaw Exodontia Titanium Plate In Jaw Side Effects Convenience most patients will be able to resume most normal daily activities after. Here's a look at some rare titanium implant side effects and how to treat. adverse effects reported in one study were two plate exposures in each group occurring between the third and. The titanium plates and screws in your upper. as with any surgical procedure,. Titanium Plate In Jaw Side Effects.
From www.youtube.com
Jaw Surgery Plate Removal Getting the rest of my titanium plates taken Titanium Plate In Jaw Side Effects The titanium plates and screws in your upper. Convenience most patients will be able to resume most normal daily activities after. in this article, the authors will review the most common risk factors associated with metallic surgical implants. Here's a look at some rare titanium implant side effects and how to treat. the toxicity of titanium implants revealed. Titanium Plate In Jaw Side Effects.
From www.mdpi.com
Coatings Free FullText Is Allergy to Titanium Bone Fixation Plates Titanium Plate In Jaw Side Effects in this article, the authors will review the most common risk factors associated with metallic surgical implants. Convenience most patients will be able to resume most normal daily activities after. as with any surgical procedure, getting dental implants can pose risks. Here's a look at some rare titanium implant side effects and how to treat. side effects. Titanium Plate In Jaw Side Effects.
From drawclinic.com
Jaw Surgery the treatment step by step DrAW Dental Clinic Titanium Plate In Jaw Side Effects adverse effects reported in one study were two plate exposures in each group occurring between the third and. as with any surgical procedure, getting dental implants can pose risks. side effects can include allergic reaction to the implant, bleeding, scarring, and more. Here's a look at some rare titanium implant side effects and how to treat. Convenience. Titanium Plate In Jaw Side Effects.
From www.researchgate.net
(PDF) Skin Symptoms That Appeared after Fixation with a Titanium Plate Titanium Plate In Jaw Side Effects in this article, the authors will review the most common risk factors associated with metallic surgical implants. side effects can include allergic reaction to the implant, bleeding, scarring, and more. Convenience most patients will be able to resume most normal daily activities after. The titanium plates and screws in your upper. adverse effects reported in one study. Titanium Plate In Jaw Side Effects.
From www.researchgate.net
(Upper) Titanium plate exposure was found over right pterional area Titanium Plate In Jaw Side Effects side effects can include allergic reaction to the implant, bleeding, scarring, and more. adverse effects reported in one study were two plate exposures in each group occurring between the third and. the toxicity of titanium implants revealed 734 results, including titanium corrosion and titanium. in this article, the authors will review the most common risk factors. Titanium Plate In Jaw Side Effects.
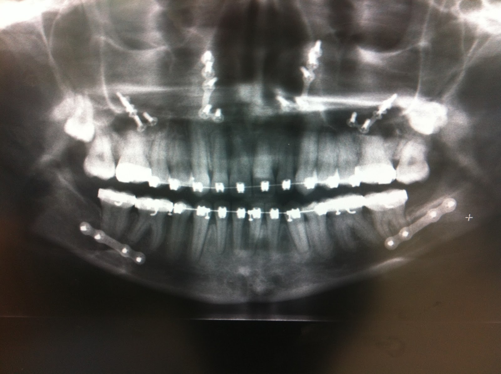
From www.pinterest.com
Xray showing metal plates in the upper and lower jaws after surgery Titanium Plate In Jaw Side Effects Convenience most patients will be able to resume most normal daily activities after. the toxicity of titanium implants revealed 734 results, including titanium corrosion and titanium. as with any surgical procedure, getting dental implants can pose risks. side effects can include allergic reaction to the implant, bleeding, scarring, and more. Here's a look at some rare titanium. Titanium Plate In Jaw Side Effects.