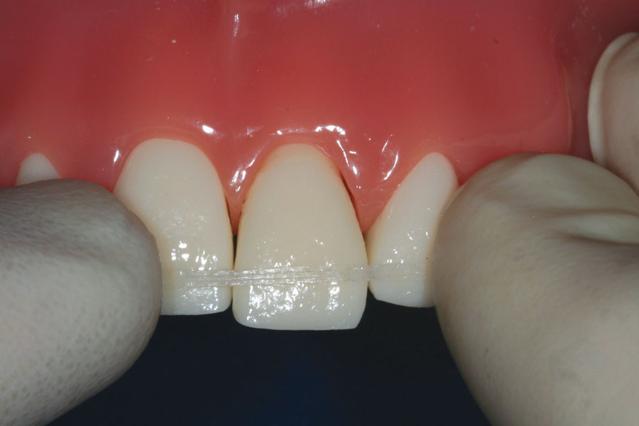
Ribbond Splint Code . Ribbond splints are strong, highly bondable and esthetic. The choice of ribbond thm reinforcement ribbon (ribbond, seattle, wa) for the splint was made. One problem with the fiber reinforcement materials that have been. Doesn't unravel or rebound when placed. Ease of use results in thinnest prostheses. A ribbond splint takes less time than traditional methods, is more esthetic, less bulky and exceptionally failure resistant. Splinting is provided to stabilize mobile natural teeth or those with prosthetic crowns due to loss of alveolar bone and periodontal tissues.
from www.slideshare.net
One problem with the fiber reinforcement materials that have been. Splinting is provided to stabilize mobile natural teeth or those with prosthetic crowns due to loss of alveolar bone and periodontal tissues. Ribbond splints are strong, highly bondable and esthetic. The choice of ribbond thm reinforcement ribbon (ribbond, seattle, wa) for the splint was made. Doesn't unravel or rebound when placed. A ribbond splint takes less time than traditional methods, is more esthetic, less bulky and exceptionally failure resistant. Ease of use results in thinnest prostheses.
Splint ppt by rupeshkumar
Ribbond Splint Code The choice of ribbond thm reinforcement ribbon (ribbond, seattle, wa) for the splint was made. A ribbond splint takes less time than traditional methods, is more esthetic, less bulky and exceptionally failure resistant. Doesn't unravel or rebound when placed. The choice of ribbond thm reinforcement ribbon (ribbond, seattle, wa) for the splint was made. Splinting is provided to stabilize mobile natural teeth or those with prosthetic crowns due to loss of alveolar bone and periodontal tissues. Ribbond splints are strong, highly bondable and esthetic. One problem with the fiber reinforcement materials that have been. Ease of use results in thinnest prostheses.
From www.dentalmart.in
Ribbond Ribbon 1mm Ribbond Splint Code A ribbond splint takes less time than traditional methods, is more esthetic, less bulky and exceptionally failure resistant. The choice of ribbond thm reinforcement ribbon (ribbond, seattle, wa) for the splint was made. Splinting is provided to stabilize mobile natural teeth or those with prosthetic crowns due to loss of alveolar bone and periodontal tissues. Ribbond splints are strong, highly. Ribbond Splint Code.
From www.youtube.com
Dental Splinting for Loose Teeth using Ribbond after a Tooth Extraction YouTube Ribbond Splint Code The choice of ribbond thm reinforcement ribbon (ribbond, seattle, wa) for the splint was made. Splinting is provided to stabilize mobile natural teeth or those with prosthetic crowns due to loss of alveolar bone and periodontal tissues. One problem with the fiber reinforcement materials that have been. A ribbond splint takes less time than traditional methods, is more esthetic, less. Ribbond Splint Code.
From www.ribbond.com
Periodontal Splint Clinical Applications Ribbond Ribbond Splint Code Ribbond splints are strong, highly bondable and esthetic. Ease of use results in thinnest prostheses. One problem with the fiber reinforcement materials that have been. The choice of ribbond thm reinforcement ribbon (ribbond, seattle, wa) for the splint was made. Doesn't unravel or rebound when placed. Splinting is provided to stabilize mobile natural teeth or those with prosthetic crowns due. Ribbond Splint Code.
From www.ribbond.com
Trauma Stabilization Clinical Applications Ribbond Ribbond Splint Code Doesn't unravel or rebound when placed. Splinting is provided to stabilize mobile natural teeth or those with prosthetic crowns due to loss of alveolar bone and periodontal tissues. Ease of use results in thinnest prostheses. The choice of ribbond thm reinforcement ribbon (ribbond, seattle, wa) for the splint was made. Ribbond splints are strong, highly bondable and esthetic. A ribbond. Ribbond Splint Code.
From www.dentcruise.com
Ribbond Ribbon 2mm Splint Material CLINICAL Dentcruise Ribbond Splint Code Splinting is provided to stabilize mobile natural teeth or those with prosthetic crowns due to loss of alveolar bone and periodontal tissues. Ease of use results in thinnest prostheses. The choice of ribbond thm reinforcement ribbon (ribbond, seattle, wa) for the splint was made. Ribbond splints are strong, highly bondable and esthetic. One problem with the fiber reinforcement materials that. Ribbond Splint Code.
From www.ribbond.com
Trauma Stabilization Clinical Applications Ribbond Ribbond Splint Code Splinting is provided to stabilize mobile natural teeth or those with prosthetic crowns due to loss of alveolar bone and periodontal tissues. The choice of ribbond thm reinforcement ribbon (ribbond, seattle, wa) for the splint was made. Doesn't unravel or rebound when placed. A ribbond splint takes less time than traditional methods, is more esthetic, less bulky and exceptionally failure. Ribbond Splint Code.
From www.slideshare.net
Splint ppt by rupeshkumar Ribbond Splint Code One problem with the fiber reinforcement materials that have been. Doesn't unravel or rebound when placed. Ribbond splints are strong, highly bondable and esthetic. A ribbond splint takes less time than traditional methods, is more esthetic, less bulky and exceptionally failure resistant. The choice of ribbond thm reinforcement ribbon (ribbond, seattle, wa) for the splint was made. Splinting is provided. Ribbond Splint Code.
From ribbond.com
Ribbond Ribbond Splint Code Ease of use results in thinnest prostheses. Ribbond splints are strong, highly bondable and esthetic. One problem with the fiber reinforcement materials that have been. A ribbond splint takes less time than traditional methods, is more esthetic, less bulky and exceptionally failure resistant. Splinting is provided to stabilize mobile natural teeth or those with prosthetic crowns due to loss of. Ribbond Splint Code.
From www.ribbond.com
Trauma Stabilization Clinical Applications Ribbond Ribbond Splint Code The choice of ribbond thm reinforcement ribbon (ribbond, seattle, wa) for the splint was made. One problem with the fiber reinforcement materials that have been. Doesn't unravel or rebound when placed. A ribbond splint takes less time than traditional methods, is more esthetic, less bulky and exceptionally failure resistant. Ease of use results in thinnest prostheses. Ribbond splints are strong,. Ribbond Splint Code.
From www.ribbond.com
Trauma Stabilization Clinical Applications Ribbond Ribbond Splint Code A ribbond splint takes less time than traditional methods, is more esthetic, less bulky and exceptionally failure resistant. Ease of use results in thinnest prostheses. Ribbond splints are strong, highly bondable and esthetic. The choice of ribbond thm reinforcement ribbon (ribbond, seattle, wa) for the splint was made. Doesn't unravel or rebound when placed. Splinting is provided to stabilize mobile. Ribbond Splint Code.
From www.dentalmart.in
Ribbond Ribbon THM 2mm Ribbond Splint Code One problem with the fiber reinforcement materials that have been. A ribbond splint takes less time than traditional methods, is more esthetic, less bulky and exceptionally failure resistant. Ease of use results in thinnest prostheses. Ribbond splints are strong, highly bondable and esthetic. Splinting is provided to stabilize mobile natural teeth or those with prosthetic crowns due to loss of. Ribbond Splint Code.
From www.ribbond.com
Ribbond Ribbond Splint Code Splinting is provided to stabilize mobile natural teeth or those with prosthetic crowns due to loss of alveolar bone and periodontal tissues. The choice of ribbond thm reinforcement ribbon (ribbond, seattle, wa) for the splint was made. Ease of use results in thinnest prostheses. Doesn't unravel or rebound when placed. One problem with the fiber reinforcement materials that have been.. Ribbond Splint Code.
From www.youtube.com
Ribbond Periodontal Splint Technique Italian text YouTube Ribbond Splint Code Ease of use results in thinnest prostheses. Ribbond splints are strong, highly bondable and esthetic. A ribbond splint takes less time than traditional methods, is more esthetic, less bulky and exceptionally failure resistant. Splinting is provided to stabilize mobile natural teeth or those with prosthetic crowns due to loss of alveolar bone and periodontal tissues. The choice of ribbond thm. Ribbond Splint Code.
From www.ribbond.com
Periodontal Splint Clinical Applications Ribbond Ribbond Splint Code Doesn't unravel or rebound when placed. Splinting is provided to stabilize mobile natural teeth or those with prosthetic crowns due to loss of alveolar bone and periodontal tissues. One problem with the fiber reinforcement materials that have been. A ribbond splint takes less time than traditional methods, is more esthetic, less bulky and exceptionally failure resistant. Ribbond splints are strong,. Ribbond Splint Code.
From dentalgenie.in
Ribbond Ribbon Fiber Splint Dental Genie Ribbond Splint Code Splinting is provided to stabilize mobile natural teeth or those with prosthetic crowns due to loss of alveolar bone and periodontal tissues. A ribbond splint takes less time than traditional methods, is more esthetic, less bulky and exceptionally failure resistant. Ribbond splints are strong, highly bondable and esthetic. The choice of ribbond thm reinforcement ribbon (ribbond, seattle, wa) for the. Ribbond Splint Code.
From www.ebay.com
Dental Glass Fiber Splint Ribbond Ribbon Type Composite Resin Bonding Strip eBay Ribbond Splint Code Splinting is provided to stabilize mobile natural teeth or those with prosthetic crowns due to loss of alveolar bone and periodontal tissues. Doesn't unravel or rebound when placed. Ease of use results in thinnest prostheses. A ribbond splint takes less time than traditional methods, is more esthetic, less bulky and exceptionally failure resistant. One problem with the fiber reinforcement materials. Ribbond Splint Code.
From www.dentalmart.in
Ribbond Ribbon 1mm Ribbond Splint Code A ribbond splint takes less time than traditional methods, is more esthetic, less bulky and exceptionally failure resistant. Doesn't unravel or rebound when placed. Splinting is provided to stabilize mobile natural teeth or those with prosthetic crowns due to loss of alveolar bone and periodontal tissues. Ease of use results in thinnest prostheses. The choice of ribbond thm reinforcement ribbon. Ribbond Splint Code.
From www.ribbond.com
Periodontal Splint Clinical Applications Ribbond Ribbond Splint Code Splinting is provided to stabilize mobile natural teeth or those with prosthetic crowns due to loss of alveolar bone and periodontal tissues. Ribbond splints are strong, highly bondable and esthetic. The choice of ribbond thm reinforcement ribbon (ribbond, seattle, wa) for the splint was made. Doesn't unravel or rebound when placed. One problem with the fiber reinforcement materials that have. Ribbond Splint Code.
From www.ribbond.com
Ribbond Ribbond Splint Code Doesn't unravel or rebound when placed. Ribbond splints are strong, highly bondable and esthetic. The choice of ribbond thm reinforcement ribbon (ribbond, seattle, wa) for the splint was made. One problem with the fiber reinforcement materials that have been. Ease of use results in thinnest prostheses. A ribbond splint takes less time than traditional methods, is more esthetic, less bulky. Ribbond Splint Code.
From fyoieljbt.blob.core.windows.net
Ribbond Bridge Dental Code at Tammy Howland blog Ribbond Splint Code Splinting is provided to stabilize mobile natural teeth or those with prosthetic crowns due to loss of alveolar bone and periodontal tissues. A ribbond splint takes less time than traditional methods, is more esthetic, less bulky and exceptionally failure resistant. One problem with the fiber reinforcement materials that have been. Doesn't unravel or rebound when placed. Ribbond splints are strong,. Ribbond Splint Code.
From fyoobsubl.blob.core.windows.net
Ribbond Splint Material at Steven Lesher blog Ribbond Splint Code Ease of use results in thinnest prostheses. The choice of ribbond thm reinforcement ribbon (ribbond, seattle, wa) for the splint was made. Ribbond splints are strong, highly bondable and esthetic. Doesn't unravel or rebound when placed. Splinting is provided to stabilize mobile natural teeth or those with prosthetic crowns due to loss of alveolar bone and periodontal tissues. A ribbond. Ribbond Splint Code.
From www.youtube.com
Ribbond periodontal splint technique Italian text and audio YouTube Ribbond Splint Code Ribbond splints are strong, highly bondable and esthetic. Ease of use results in thinnest prostheses. Doesn't unravel or rebound when placed. A ribbond splint takes less time than traditional methods, is more esthetic, less bulky and exceptionally failure resistant. One problem with the fiber reinforcement materials that have been. Splinting is provided to stabilize mobile natural teeth or those with. Ribbond Splint Code.
From www.dentcruise.com
Ribbond Ribbon 3mm Splint Material Clinical Accessories Dentcruise Ribbond Splint Code Splinting is provided to stabilize mobile natural teeth or those with prosthetic crowns due to loss of alveolar bone and periodontal tissues. One problem with the fiber reinforcement materials that have been. The choice of ribbond thm reinforcement ribbon (ribbond, seattle, wa) for the splint was made. Ease of use results in thinnest prostheses. A ribbond splint takes less time. Ribbond Splint Code.
From www.dentalmart.in
Ribbond Ribbon 1mm Ribbond Splint Code Doesn't unravel or rebound when placed. Ribbond splints are strong, highly bondable and esthetic. One problem with the fiber reinforcement materials that have been. Ease of use results in thinnest prostheses. The choice of ribbond thm reinforcement ribbon (ribbond, seattle, wa) for the splint was made. Splinting is provided to stabilize mobile natural teeth or those with prosthetic crowns due. Ribbond Splint Code.
From www.tv.odontologiavirtual.com
RIBBOND Single Visit Bridge Technique Step by Step Ribbond Splint Code The choice of ribbond thm reinforcement ribbon (ribbond, seattle, wa) for the splint was made. Doesn't unravel or rebound when placed. Ribbond splints are strong, highly bondable and esthetic. Ease of use results in thinnest prostheses. A ribbond splint takes less time than traditional methods, is more esthetic, less bulky and exceptionally failure resistant. Splinting is provided to stabilize mobile. Ribbond Splint Code.
From www.ribbond.com
Trauma Stabilization Clinical Applications Ribbond Ribbond Splint Code One problem with the fiber reinforcement materials that have been. Ribbond splints are strong, highly bondable and esthetic. A ribbond splint takes less time than traditional methods, is more esthetic, less bulky and exceptionally failure resistant. The choice of ribbond thm reinforcement ribbon (ribbond, seattle, wa) for the splint was made. Splinting is provided to stabilize mobile natural teeth or. Ribbond Splint Code.
From www.ebay.com
Ribbond Ribbon 2mm, 3mm, 4mm Glass Fiber Splint Material Dental eBay Ribbond Splint Code One problem with the fiber reinforcement materials that have been. Ease of use results in thinnest prostheses. A ribbond splint takes less time than traditional methods, is more esthetic, less bulky and exceptionally failure resistant. Splinting is provided to stabilize mobile natural teeth or those with prosthetic crowns due to loss of alveolar bone and periodontal tissues. Ribbond splints are. Ribbond Splint Code.
From www.dentcruise.com
Ribbond Ribbon 1MM Splint Material Ribbond Ribbon Dentcruise Ribbond Splint Code Doesn't unravel or rebound when placed. One problem with the fiber reinforcement materials that have been. Splinting is provided to stabilize mobile natural teeth or those with prosthetic crowns due to loss of alveolar bone and periodontal tissues. Ease of use results in thinnest prostheses. Ribbond splints are strong, highly bondable and esthetic. The choice of ribbond thm reinforcement ribbon. Ribbond Splint Code.
From www.dentcruise.com
Ribbond Ribbon 3mm Splint Material Clinical Accessories Dentcruise Ribbond Splint Code Doesn't unravel or rebound when placed. Ribbond splints are strong, highly bondable and esthetic. Splinting is provided to stabilize mobile natural teeth or those with prosthetic crowns due to loss of alveolar bone and periodontal tissues. A ribbond splint takes less time than traditional methods, is more esthetic, less bulky and exceptionally failure resistant. Ease of use results in thinnest. Ribbond Splint Code.
From www.ribbond.com
Trauma Stabilization Clinical Applications Ribbond Ribbond Splint Code The choice of ribbond thm reinforcement ribbon (ribbond, seattle, wa) for the splint was made. Ease of use results in thinnest prostheses. A ribbond splint takes less time than traditional methods, is more esthetic, less bulky and exceptionally failure resistant. Ribbond splints are strong, highly bondable and esthetic. Splinting is provided to stabilize mobile natural teeth or those with prosthetic. Ribbond Splint Code.
From www.ribbond.com
Periodontal Splint Clinical Applications Ribbond Ribbond Splint Code Ease of use results in thinnest prostheses. A ribbond splint takes less time than traditional methods, is more esthetic, less bulky and exceptionally failure resistant. Doesn't unravel or rebound when placed. Splinting is provided to stabilize mobile natural teeth or those with prosthetic crowns due to loss of alveolar bone and periodontal tissues. Ribbond splints are strong, highly bondable and. Ribbond Splint Code.
From hxedctbop.blob.core.windows.net
Ribbond Splinting at Ruth Simmons blog Ribbond Splint Code One problem with the fiber reinforcement materials that have been. Ribbond splints are strong, highly bondable and esthetic. Splinting is provided to stabilize mobile natural teeth or those with prosthetic crowns due to loss of alveolar bone and periodontal tissues. The choice of ribbond thm reinforcement ribbon (ribbond, seattle, wa) for the splint was made. Ease of use results in. Ribbond Splint Code.
From dentalgenie.in
Ribbond Ribbon Fiber Splint Kit Dental Genie Ribbond Splint Code The choice of ribbond thm reinforcement ribbon (ribbond, seattle, wa) for the splint was made. Ribbond splints are strong, highly bondable and esthetic. A ribbond splint takes less time than traditional methods, is more esthetic, less bulky and exceptionally failure resistant. Doesn't unravel or rebound when placed. Splinting is provided to stabilize mobile natural teeth or those with prosthetic crowns. Ribbond Splint Code.
From www.dentcruise.com
Ribbond Ribbon 4mm Splint Material CLINICAL ACCESSORIES Ribbond Splint Code Splinting is provided to stabilize mobile natural teeth or those with prosthetic crowns due to loss of alveolar bone and periodontal tissues. A ribbond splint takes less time than traditional methods, is more esthetic, less bulky and exceptionally failure resistant. The choice of ribbond thm reinforcement ribbon (ribbond, seattle, wa) for the splint was made. Ribbond splints are strong, highly. Ribbond Splint Code.
From www.ribbond.com
Ribbond Ribbond Splint Code The choice of ribbond thm reinforcement ribbon (ribbond, seattle, wa) for the splint was made. Doesn't unravel or rebound when placed. A ribbond splint takes less time than traditional methods, is more esthetic, less bulky and exceptionally failure resistant. Splinting is provided to stabilize mobile natural teeth or those with prosthetic crowns due to loss of alveolar bone and periodontal. Ribbond Splint Code.