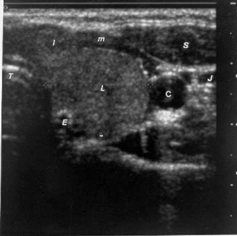
Thyroid Ultrasound Area . Thyroid ultrasound uses sound waves to produce pictures of the thyroid gland within the neck. A thyroid ultrasound is a safe, painless procedure that uses sound waves to examine the thyroid gland. It can be used to help diagnose a wide range of medical conditions affecting the thyroid gland, including benign thyroid nodules and possible thyroid cancers. This article discusses what ultrasounds are, what the thyroid gland does, and some of the conditions that doctors can detect using thyroid ultrasounds. It does not use ionizing radiation and is commonly used to evaluate lumps or nodules. The best place to begin the exam is in the midline directly over the trachea, as it is the easiest landmark to identify by physical exam. Serhiibobyk/ istock/getty images plus/ getty images. A thyroid ultrasound is typically performed to evaluate the thyroid gland, located in the front of the neck. A thyroid ultrasound is used to examine the thyroid for abnormalities, including:
from radiologykey.com
Thyroid ultrasound uses sound waves to produce pictures of the thyroid gland within the neck. This article discusses what ultrasounds are, what the thyroid gland does, and some of the conditions that doctors can detect using thyroid ultrasounds. It does not use ionizing radiation and is commonly used to evaluate lumps or nodules. It can be used to help diagnose a wide range of medical conditions affecting the thyroid gland, including benign thyroid nodules and possible thyroid cancers. A thyroid ultrasound is typically performed to evaluate the thyroid gland, located in the front of the neck. The best place to begin the exam is in the midline directly over the trachea, as it is the easiest landmark to identify by physical exam. A thyroid ultrasound is used to examine the thyroid for abnormalities, including: A thyroid ultrasound is a safe, painless procedure that uses sound waves to examine the thyroid gland. Serhiibobyk/ istock/getty images plus/ getty images.
Hashimoto’s Thyroiditis Radiology Key
Thyroid Ultrasound Area Thyroid ultrasound uses sound waves to produce pictures of the thyroid gland within the neck. A thyroid ultrasound is typically performed to evaluate the thyroid gland, located in the front of the neck. A thyroid ultrasound is used to examine the thyroid for abnormalities, including: A thyroid ultrasound is a safe, painless procedure that uses sound waves to examine the thyroid gland. Serhiibobyk/ istock/getty images plus/ getty images. This article discusses what ultrasounds are, what the thyroid gland does, and some of the conditions that doctors can detect using thyroid ultrasounds. It can be used to help diagnose a wide range of medical conditions affecting the thyroid gland, including benign thyroid nodules and possible thyroid cancers. Thyroid ultrasound uses sound waves to produce pictures of the thyroid gland within the neck. It does not use ionizing radiation and is commonly used to evaluate lumps or nodules. The best place to begin the exam is in the midline directly over the trachea, as it is the easiest landmark to identify by physical exam.
From myendoconsult.com
Normal Thyroid Ultrasound Images MyEndoConsult Thyroid Ultrasound Area Thyroid ultrasound uses sound waves to produce pictures of the thyroid gland within the neck. It does not use ionizing radiation and is commonly used to evaluate lumps or nodules. The best place to begin the exam is in the midline directly over the trachea, as it is the easiest landmark to identify by physical exam. This article discusses what. Thyroid Ultrasound Area.
From www.researchgate.net
Ultrasound image of the cross section of the thyroid. The thyroid lobe Thyroid Ultrasound Area Serhiibobyk/ istock/getty images plus/ getty images. It can be used to help diagnose a wide range of medical conditions affecting the thyroid gland, including benign thyroid nodules and possible thyroid cancers. A thyroid ultrasound is typically performed to evaluate the thyroid gland, located in the front of the neck. A thyroid ultrasound is used to examine the thyroid for abnormalities,. Thyroid Ultrasound Area.
From www.radiologic.theclinics.com
Ultrasound of the Normal Thyroid with Technical Pearls and Pitfalls Thyroid Ultrasound Area The best place to begin the exam is in the midline directly over the trachea, as it is the easiest landmark to identify by physical exam. A thyroid ultrasound is used to examine the thyroid for abnormalities, including: It does not use ionizing radiation and is commonly used to evaluate lumps or nodules. Thyroid ultrasound uses sound waves to produce. Thyroid Ultrasound Area.
From rfaforlife.com
Thyroid Ultrasound Trilogy III How Does Your Thyroid Look Like on Thyroid Ultrasound Area The best place to begin the exam is in the midline directly over the trachea, as it is the easiest landmark to identify by physical exam. It can be used to help diagnose a wide range of medical conditions affecting the thyroid gland, including benign thyroid nodules and possible thyroid cancers. A thyroid ultrasound is typically performed to evaluate the. Thyroid Ultrasound Area.
From sonographictendencies.com
Thyroid Ultrasound Protocol Sonographic Tendencies Thyroid Ultrasound Area It can be used to help diagnose a wide range of medical conditions affecting the thyroid gland, including benign thyroid nodules and possible thyroid cancers. Serhiibobyk/ istock/getty images plus/ getty images. It does not use ionizing radiation and is commonly used to evaluate lumps or nodules. A thyroid ultrasound is a safe, painless procedure that uses sound waves to examine. Thyroid Ultrasound Area.
From www.youtube.com
ANATOMY TOPOGRAPHIC OF THYROID, Ultrasound THYROID, Echography Thyroid Thyroid Ultrasound Area Thyroid ultrasound uses sound waves to produce pictures of the thyroid gland within the neck. A thyroid ultrasound is used to examine the thyroid for abnormalities, including: This article discusses what ultrasounds are, what the thyroid gland does, and some of the conditions that doctors can detect using thyroid ultrasounds. A thyroid ultrasound is typically performed to evaluate the thyroid. Thyroid Ultrasound Area.
From sonographictendencies.com
Thyroid Ultrasound Protocol Sonographic Tendencies Thyroid Ultrasound Area A thyroid ultrasound is a safe, painless procedure that uses sound waves to examine the thyroid gland. A thyroid ultrasound is typically performed to evaluate the thyroid gland, located in the front of the neck. This article discusses what ultrasounds are, what the thyroid gland does, and some of the conditions that doctors can detect using thyroid ultrasounds. It does. Thyroid Ultrasound Area.
From radiologykey.com
Normal Ultrasound of Thyroid Gland and Lymph Nodes Radiology Key Thyroid Ultrasound Area A thyroid ultrasound is a safe, painless procedure that uses sound waves to examine the thyroid gland. A thyroid ultrasound is used to examine the thyroid for abnormalities, including: This article discusses what ultrasounds are, what the thyroid gland does, and some of the conditions that doctors can detect using thyroid ultrasounds. It does not use ionizing radiation and is. Thyroid Ultrasound Area.
From mavink.com
Heterogeneous Thyroid Ultrasound Thyroid Ultrasound Area Thyroid ultrasound uses sound waves to produce pictures of the thyroid gland within the neck. It can be used to help diagnose a wide range of medical conditions affecting the thyroid gland, including benign thyroid nodules and possible thyroid cancers. A thyroid ultrasound is typically performed to evaluate the thyroid gland, located in the front of the neck. This article. Thyroid Ultrasound Area.
From animalia-life.club
Normal Thyroid Ultrasound Thyroid Ultrasound Area A thyroid ultrasound is typically performed to evaluate the thyroid gland, located in the front of the neck. A thyroid ultrasound is a safe, painless procedure that uses sound waves to examine the thyroid gland. It does not use ionizing radiation and is commonly used to evaluate lumps or nodules. Thyroid ultrasound uses sound waves to produce pictures of the. Thyroid Ultrasound Area.
From sonographictendencies.com
Thyroid Ultrasound Protocol Sonographic Tendencies Thyroid Ultrasound Area The best place to begin the exam is in the midline directly over the trachea, as it is the easiest landmark to identify by physical exam. Thyroid ultrasound uses sound waves to produce pictures of the thyroid gland within the neck. A thyroid ultrasound is used to examine the thyroid for abnormalities, including: A thyroid ultrasound is typically performed to. Thyroid Ultrasound Area.
From mavink.com
Normal Parathyroid Gland Ultrasound Thyroid Ultrasound Area The best place to begin the exam is in the midline directly over the trachea, as it is the easiest landmark to identify by physical exam. Serhiibobyk/ istock/getty images plus/ getty images. A thyroid ultrasound is typically performed to evaluate the thyroid gland, located in the front of the neck. A thyroid ultrasound is a safe, painless procedure that uses. Thyroid Ultrasound Area.
From ar.inspiredpencil.com
Thyroid Nodule Ultrasound Thyroid Ultrasound Area This article discusses what ultrasounds are, what the thyroid gland does, and some of the conditions that doctors can detect using thyroid ultrasounds. A thyroid ultrasound is typically performed to evaluate the thyroid gland, located in the front of the neck. The best place to begin the exam is in the midline directly over the trachea, as it is the. Thyroid Ultrasound Area.
From sonographictendencies.com
Thyroid Ultrasound Protocol Sonographic Tendencies Thyroid Ultrasound Area A thyroid ultrasound is typically performed to evaluate the thyroid gland, located in the front of the neck. A thyroid ultrasound is used to examine the thyroid for abnormalities, including: It does not use ionizing radiation and is commonly used to evaluate lumps or nodules. A thyroid ultrasound is a safe, painless procedure that uses sound waves to examine the. Thyroid Ultrasound Area.
From www.toplinemd.com
Thyroid Ultrasound Carreras Medical Center Thyroid Ultrasound Area Serhiibobyk/ istock/getty images plus/ getty images. A thyroid ultrasound is typically performed to evaluate the thyroid gland, located in the front of the neck. It can be used to help diagnose a wide range of medical conditions affecting the thyroid gland, including benign thyroid nodules and possible thyroid cancers. Thyroid ultrasound uses sound waves to produce pictures of the thyroid. Thyroid Ultrasound Area.
From physicianresources.utswmed.org
Radiofrequency Ablation Offers a Nonsurgical Treatment for Thyroid Thyroid Ultrasound Area It does not use ionizing radiation and is commonly used to evaluate lumps or nodules. A thyroid ultrasound is used to examine the thyroid for abnormalities, including: A thyroid ultrasound is typically performed to evaluate the thyroid gland, located in the front of the neck. Serhiibobyk/ istock/getty images plus/ getty images. Thyroid ultrasound uses sound waves to produce pictures of. Thyroid Ultrasound Area.
From www.bmj.com
Transverse ultrasound through the thyroid gland The BMJ Thyroid Ultrasound Area This article discusses what ultrasounds are, what the thyroid gland does, and some of the conditions that doctors can detect using thyroid ultrasounds. A thyroid ultrasound is used to examine the thyroid for abnormalities, including: Thyroid ultrasound uses sound waves to produce pictures of the thyroid gland within the neck. It can be used to help diagnose a wide range. Thyroid Ultrasound Area.
From www.toplinemd.com
Thyroid Ultrasound Carreras Medical Center Thyroid Ultrasound Area A thyroid ultrasound is a safe, painless procedure that uses sound waves to examine the thyroid gland. The best place to begin the exam is in the midline directly over the trachea, as it is the easiest landmark to identify by physical exam. A thyroid ultrasound is typically performed to evaluate the thyroid gland, located in the front of the. Thyroid Ultrasound Area.
From www.auntminnie.com
AI boosts ultrasound for thyroid cancer screening Thyroid Ultrasound Area A thyroid ultrasound is typically performed to evaluate the thyroid gland, located in the front of the neck. A thyroid ultrasound is a safe, painless procedure that uses sound waves to examine the thyroid gland. Thyroid ultrasound uses sound waves to produce pictures of the thyroid gland within the neck. This article discusses what ultrasounds are, what the thyroid gland. Thyroid Ultrasound Area.
From www.sciencephoto.com
Normal thyroid gland, ultrasound Stock Image C023/9868 Science Thyroid Ultrasound Area A thyroid ultrasound is a safe, painless procedure that uses sound waves to examine the thyroid gland. It can be used to help diagnose a wide range of medical conditions affecting the thyroid gland, including benign thyroid nodules and possible thyroid cancers. A thyroid ultrasound is used to examine the thyroid for abnormalities, including: This article discusses what ultrasounds are,. Thyroid Ultrasound Area.
From www.researchgate.net
Ultrasound of the thyroid gland shows a diffusely enlarged and Thyroid Ultrasound Area A thyroid ultrasound is typically performed to evaluate the thyroid gland, located in the front of the neck. This article discusses what ultrasounds are, what the thyroid gland does, and some of the conditions that doctors can detect using thyroid ultrasounds. A thyroid ultrasound is used to examine the thyroid for abnormalities, including: Serhiibobyk/ istock/getty images plus/ getty images. It. Thyroid Ultrasound Area.
From www.researchgate.net
Ultrasound of the thyroid showing an intense vascularity on color Thyroid Ultrasound Area It does not use ionizing radiation and is commonly used to evaluate lumps or nodules. The best place to begin the exam is in the midline directly over the trachea, as it is the easiest landmark to identify by physical exam. A thyroid ultrasound is used to examine the thyroid for abnormalities, including: Serhiibobyk/ istock/getty images plus/ getty images. Thyroid. Thyroid Ultrasound Area.
From sonographictendencies.com
Thyroid Ultrasound Protocol Sonographic Tendencies Thyroid Ultrasound Area A thyroid ultrasound is typically performed to evaluate the thyroid gland, located in the front of the neck. A thyroid ultrasound is used to examine the thyroid for abnormalities, including: A thyroid ultrasound is a safe, painless procedure that uses sound waves to examine the thyroid gland. This article discusses what ultrasounds are, what the thyroid gland does, and some. Thyroid Ultrasound Area.
From quantummed.sg
The Thyroid Quantum Medical Imaging Thyroid Ultrasound Area Serhiibobyk/ istock/getty images plus/ getty images. Thyroid ultrasound uses sound waves to produce pictures of the thyroid gland within the neck. The best place to begin the exam is in the midline directly over the trachea, as it is the easiest landmark to identify by physical exam. A thyroid ultrasound is typically performed to evaluate the thyroid gland, located in. Thyroid Ultrasound Area.
From www.radiologic.theclinics.com
Ultrasound of the Normal Thyroid with Technical Pearls and Pitfalls Thyroid Ultrasound Area A thyroid ultrasound is typically performed to evaluate the thyroid gland, located in the front of the neck. Serhiibobyk/ istock/getty images plus/ getty images. A thyroid ultrasound is used to examine the thyroid for abnormalities, including: A thyroid ultrasound is a safe, painless procedure that uses sound waves to examine the thyroid gland. It can be used to help diagnose. Thyroid Ultrasound Area.
From radiologykey.com
Hashimoto’s Thyroiditis Radiology Key Thyroid Ultrasound Area A thyroid ultrasound is typically performed to evaluate the thyroid gland, located in the front of the neck. The best place to begin the exam is in the midline directly over the trachea, as it is the easiest landmark to identify by physical exam. A thyroid ultrasound is a safe, painless procedure that uses sound waves to examine the thyroid. Thyroid Ultrasound Area.
From myendoconsult.com
Anatomy (Ultrasound Views) My Endo Consult Thyroid Ultrasound Area It does not use ionizing radiation and is commonly used to evaluate lumps or nodules. A thyroid ultrasound is a safe, painless procedure that uses sound waves to examine the thyroid gland. It can be used to help diagnose a wide range of medical conditions affecting the thyroid gland, including benign thyroid nodules and possible thyroid cancers. The best place. Thyroid Ultrasound Area.
From radiologykey.com
Normal Ultrasound of Thyroid Gland and Lymph Nodes Radiology Key Thyroid Ultrasound Area A thyroid ultrasound is used to examine the thyroid for abnormalities, including: Thyroid ultrasound uses sound waves to produce pictures of the thyroid gland within the neck. This article discusses what ultrasounds are, what the thyroid gland does, and some of the conditions that doctors can detect using thyroid ultrasounds. The best place to begin the exam is in the. Thyroid Ultrasound Area.
From www.researchgate.net
Ultrasound scan of the right thyroid lobe. a Deeply hypoechoic nodule Thyroid Ultrasound Area It does not use ionizing radiation and is commonly used to evaluate lumps or nodules. This article discusses what ultrasounds are, what the thyroid gland does, and some of the conditions that doctors can detect using thyroid ultrasounds. A thyroid ultrasound is typically performed to evaluate the thyroid gland, located in the front of the neck. The best place to. Thyroid Ultrasound Area.
From sonographictendencies.com
Thyroid Ultrasound Protocol Sonographic Tendencies Thyroid Ultrasound Area This article discusses what ultrasounds are, what the thyroid gland does, and some of the conditions that doctors can detect using thyroid ultrasounds. A thyroid ultrasound is a safe, painless procedure that uses sound waves to examine the thyroid gland. It can be used to help diagnose a wide range of medical conditions affecting the thyroid gland, including benign thyroid. Thyroid Ultrasound Area.
From www.youtube.com
How To Measure Thyroid On Ultrasound Length, Width, AP Depth & Volume Thyroid Ultrasound Area Serhiibobyk/ istock/getty images plus/ getty images. A thyroid ultrasound is a safe, painless procedure that uses sound waves to examine the thyroid gland. It can be used to help diagnose a wide range of medical conditions affecting the thyroid gland, including benign thyroid nodules and possible thyroid cancers. This article discusses what ultrasounds are, what the thyroid gland does, and. Thyroid Ultrasound Area.
From www.thyroidmanager.org
Ultrasonography of the Thyroid Thyroid Disease ManagerThyroid Disease Thyroid Ultrasound Area This article discusses what ultrasounds are, what the thyroid gland does, and some of the conditions that doctors can detect using thyroid ultrasounds. A thyroid ultrasound is a safe, painless procedure that uses sound waves to examine the thyroid gland. A thyroid ultrasound is typically performed to evaluate the thyroid gland, located in the front of the neck. Serhiibobyk/ istock/getty. Thyroid Ultrasound Area.
From www.researchgate.net
Transverse and longitudinal ultrasound showing thyroid invasion. (A Thyroid Ultrasound Area A thyroid ultrasound is a safe, painless procedure that uses sound waves to examine the thyroid gland. A thyroid ultrasound is used to examine the thyroid for abnormalities, including: It does not use ionizing radiation and is commonly used to evaluate lumps or nodules. The best place to begin the exam is in the midline directly over the trachea, as. Thyroid Ultrasound Area.
From radiologykey.com
Normal Ultrasound of Thyroid Gland and Lymph Nodes Radiology Key Thyroid Ultrasound Area The best place to begin the exam is in the midline directly over the trachea, as it is the easiest landmark to identify by physical exam. A thyroid ultrasound is typically performed to evaluate the thyroid gland, located in the front of the neck. Serhiibobyk/ istock/getty images plus/ getty images. This article discusses what ultrasounds are, what the thyroid gland. Thyroid Ultrasound Area.
From mavink.com
Thyroid Ultrasound Anatomy Thyroid Ultrasound Area It does not use ionizing radiation and is commonly used to evaluate lumps or nodules. The best place to begin the exam is in the midline directly over the trachea, as it is the easiest landmark to identify by physical exam. A thyroid ultrasound is typically performed to evaluate the thyroid gland, located in the front of the neck. A. Thyroid Ultrasound Area.