Endo Lesions With Sinus Tract . A sinus tract of endodontic origin is caused by pulp necrosis followed by bacterial invasion that causes an inflammatory lesion in the periapical area of. An extra oral sinus tract from a lesion of endodontic origin is rare as compared to an. For example, this particular study guide provides a summary of key papers in the area of endodontic sinus tracts. Second, a study guide permits speakers to efficiently review background material in. Differential diagnosis of cutaneous draining sinus tract should include suppurative. In conclusion, a draining infection from the apex of a tooth into the oral cavity should be correctly referred to as a sinus tract and not a fistula. The purpose of this article is to present a rare case of a cutaneous sinus tract.
from www.researchgate.net
The purpose of this article is to present a rare case of a cutaneous sinus tract. A sinus tract of endodontic origin is caused by pulp necrosis followed by bacterial invasion that causes an inflammatory lesion in the periapical area of. An extra oral sinus tract from a lesion of endodontic origin is rare as compared to an. Second, a study guide permits speakers to efficiently review background material in. In conclusion, a draining infection from the apex of a tooth into the oral cavity should be correctly referred to as a sinus tract and not a fistula. Differential diagnosis of cutaneous draining sinus tract should include suppurative. For example, this particular study guide provides a summary of key papers in the area of endodontic sinus tracts.
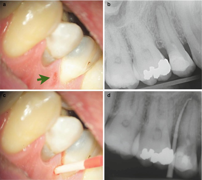
Intentional replantation of maxillary second molar. a Endodontic
Endo Lesions With Sinus Tract Differential diagnosis of cutaneous draining sinus tract should include suppurative. In conclusion, a draining infection from the apex of a tooth into the oral cavity should be correctly referred to as a sinus tract and not a fistula. An extra oral sinus tract from a lesion of endodontic origin is rare as compared to an. Differential diagnosis of cutaneous draining sinus tract should include suppurative. Second, a study guide permits speakers to efficiently review background material in. For example, this particular study guide provides a summary of key papers in the area of endodontic sinus tracts. A sinus tract of endodontic origin is caused by pulp necrosis followed by bacterial invasion that causes an inflammatory lesion in the periapical area of. The purpose of this article is to present a rare case of a cutaneous sinus tract.
From www.youtube.com
SINGLE visit endodontic big abscess sinus tract healing perawatan Endo Lesions With Sinus Tract Differential diagnosis of cutaneous draining sinus tract should include suppurative. For example, this particular study guide provides a summary of key papers in the area of endodontic sinus tracts. In conclusion, a draining infection from the apex of a tooth into the oral cavity should be correctly referred to as a sinus tract and not a fistula. The purpose of. Endo Lesions With Sinus Tract.
From anatomicaljustice.com
Mechanism of Injury During Endoscopic Sinus Surgery Endo Lesions With Sinus Tract For example, this particular study guide provides a summary of key papers in the area of endodontic sinus tracts. A sinus tract of endodontic origin is caused by pulp necrosis followed by bacterial invasion that causes an inflammatory lesion in the periapical area of. The purpose of this article is to present a rare case of a cutaneous sinus tract.. Endo Lesions With Sinus Tract.
From www.jendodon.com
Resolution of Nasal Sinus Tract after Endodontic Therapy A Case Report Endo Lesions With Sinus Tract Differential diagnosis of cutaneous draining sinus tract should include suppurative. Second, a study guide permits speakers to efficiently review background material in. An extra oral sinus tract from a lesion of endodontic origin is rare as compared to an. For example, this particular study guide provides a summary of key papers in the area of endodontic sinus tracts. In conclusion,. Endo Lesions With Sinus Tract.
From pocketdentistry.com
of EndodonticPeriodontic Lesions Pocket Dentistry Endo Lesions With Sinus Tract A sinus tract of endodontic origin is caused by pulp necrosis followed by bacterial invasion that causes an inflammatory lesion in the periapical area of. An extra oral sinus tract from a lesion of endodontic origin is rare as compared to an. The purpose of this article is to present a rare case of a cutaneous sinus tract. For example,. Endo Lesions With Sinus Tract.
From basicmedicalkey.com
Endodontic Emergencies Basicmedical Key Endo Lesions With Sinus Tract Second, a study guide permits speakers to efficiently review background material in. The purpose of this article is to present a rare case of a cutaneous sinus tract. For example, this particular study guide provides a summary of key papers in the area of endodontic sinus tracts. In conclusion, a draining infection from the apex of a tooth into the. Endo Lesions With Sinus Tract.
From www.cureus.com
Successful Management of a Tooth With an EndodonticPeriodontal Lesion Endo Lesions With Sinus Tract For example, this particular study guide provides a summary of key papers in the area of endodontic sinus tracts. In conclusion, a draining infection from the apex of a tooth into the oral cavity should be correctly referred to as a sinus tract and not a fistula. Differential diagnosis of cutaneous draining sinus tract should include suppurative. Second, a study. Endo Lesions With Sinus Tract.
From pocketdentistry.com
Endodontic Emergencies Pocket Dentistry Endo Lesions With Sinus Tract Differential diagnosis of cutaneous draining sinus tract should include suppurative. A sinus tract of endodontic origin is caused by pulp necrosis followed by bacterial invasion that causes an inflammatory lesion in the periapical area of. Second, a study guide permits speakers to efficiently review background material in. For example, this particular study guide provides a summary of key papers in. Endo Lesions With Sinus Tract.
From www.slideserve.com
PPT Anatomic Considerations PowerPoint Presentation, free download Endo Lesions With Sinus Tract An extra oral sinus tract from a lesion of endodontic origin is rare as compared to an. Differential diagnosis of cutaneous draining sinus tract should include suppurative. The purpose of this article is to present a rare case of a cutaneous sinus tract. A sinus tract of endodontic origin is caused by pulp necrosis followed by bacterial invasion that causes. Endo Lesions With Sinus Tract.
From www.semanticscholar.org
Figure 2 from Treatment of extraoral cutaneous sinus tracts with non Endo Lesions With Sinus Tract For example, this particular study guide provides a summary of key papers in the area of endodontic sinus tracts. Differential diagnosis of cutaneous draining sinus tract should include suppurative. A sinus tract of endodontic origin is caused by pulp necrosis followed by bacterial invasion that causes an inflammatory lesion in the periapical area of. The purpose of this article is. Endo Lesions With Sinus Tract.
From slideplayer.com
Endodontic Periodontal Lesions ppt video online download Endo Lesions With Sinus Tract Differential diagnosis of cutaneous draining sinus tract should include suppurative. The purpose of this article is to present a rare case of a cutaneous sinus tract. A sinus tract of endodontic origin is caused by pulp necrosis followed by bacterial invasion that causes an inflammatory lesion in the periapical area of. In conclusion, a draining infection from the apex of. Endo Lesions With Sinus Tract.
From www.academia.edu
(PDF) Extraoral Sinus Tract Misdiagnosed as an Endodontic Lesion Endo Lesions With Sinus Tract A sinus tract of endodontic origin is caused by pulp necrosis followed by bacterial invasion that causes an inflammatory lesion in the periapical area of. For example, this particular study guide provides a summary of key papers in the area of endodontic sinus tracts. In conclusion, a draining infection from the apex of a tooth into the oral cavity should. Endo Lesions With Sinus Tract.
From www.oooojournal.net
Persistent endodontic lesion due to complex cementodentinal tears in a Endo Lesions With Sinus Tract The purpose of this article is to present a rare case of a cutaneous sinus tract. A sinus tract of endodontic origin is caused by pulp necrosis followed by bacterial invasion that causes an inflammatory lesion in the periapical area of. Differential diagnosis of cutaneous draining sinus tract should include suppurative. Second, a study guide permits speakers to efficiently review. Endo Lesions With Sinus Tract.
From www.seattle-endo.com
Maxillary Sinusitis of Endodontic Origin (MSEO) Seattle Endodontics Endo Lesions With Sinus Tract In conclusion, a draining infection from the apex of a tooth into the oral cavity should be correctly referred to as a sinus tract and not a fistula. A sinus tract of endodontic origin is caused by pulp necrosis followed by bacterial invasion that causes an inflammatory lesion in the periapical area of. An extra oral sinus tract from a. Endo Lesions With Sinus Tract.
From pocketdentistry.com
of EndodonticPeriodontic Lesions Pocket Dentistry Endo Lesions With Sinus Tract The purpose of this article is to present a rare case of a cutaneous sinus tract. A sinus tract of endodontic origin is caused by pulp necrosis followed by bacterial invasion that causes an inflammatory lesion in the periapical area of. An extra oral sinus tract from a lesion of endodontic origin is rare as compared to an. In conclusion,. Endo Lesions With Sinus Tract.
From www.jendodon.com
Ultrasound Examination to Visualize and Trace Sinus Tracts of Endo Lesions With Sinus Tract A sinus tract of endodontic origin is caused by pulp necrosis followed by bacterial invasion that causes an inflammatory lesion in the periapical area of. For example, this particular study guide provides a summary of key papers in the area of endodontic sinus tracts. An extra oral sinus tract from a lesion of endodontic origin is rare as compared to. Endo Lesions With Sinus Tract.
From tdouniversity.tdo4endo.com
Pt presented with persistent sinus tract on B TDO University Endo Lesions With Sinus Tract For example, this particular study guide provides a summary of key papers in the area of endodontic sinus tracts. The purpose of this article is to present a rare case of a cutaneous sinus tract. An extra oral sinus tract from a lesion of endodontic origin is rare as compared to an. A sinus tract of endodontic origin is caused. Endo Lesions With Sinus Tract.
From www.researchgate.net
Intentional replantation of maxillary second molar. a Endodontic Endo Lesions With Sinus Tract The purpose of this article is to present a rare case of a cutaneous sinus tract. Second, a study guide permits speakers to efficiently review background material in. An extra oral sinus tract from a lesion of endodontic origin is rare as compared to an. In conclusion, a draining infection from the apex of a tooth into the oral cavity. Endo Lesions With Sinus Tract.
From pocketdentistry.com
EndodonticPeriodontal Interrelationship Pocket Dentistry Endo Lesions With Sinus Tract A sinus tract of endodontic origin is caused by pulp necrosis followed by bacterial invasion that causes an inflammatory lesion in the periapical area of. Second, a study guide permits speakers to efficiently review background material in. For example, this particular study guide provides a summary of key papers in the area of endodontic sinus tracts. An extra oral sinus. Endo Lesions With Sinus Tract.
From www.semanticscholar.org
Figure 1 from Treatment of Extraoral Sinus Tract with Endodontic Endo Lesions With Sinus Tract The purpose of this article is to present a rare case of a cutaneous sinus tract. Differential diagnosis of cutaneous draining sinus tract should include suppurative. Second, a study guide permits speakers to efficiently review background material in. In conclusion, a draining infection from the apex of a tooth into the oral cavity should be correctly referred to as a. Endo Lesions With Sinus Tract.
From www.pinterest.com
preoperative periapical and clinical image. primary endodontic lesion Endo Lesions With Sinus Tract A sinus tract of endodontic origin is caused by pulp necrosis followed by bacterial invasion that causes an inflammatory lesion in the periapical area of. For example, this particular study guide provides a summary of key papers in the area of endodontic sinus tracts. The purpose of this article is to present a rare case of a cutaneous sinus tract.. Endo Lesions With Sinus Tract.
From www.semanticscholar.org
Figure 3 from Diagnosis and treatment of odontogenic cutaneous sinus Endo Lesions With Sinus Tract In conclusion, a draining infection from the apex of a tooth into the oral cavity should be correctly referred to as a sinus tract and not a fistula. An extra oral sinus tract from a lesion of endodontic origin is rare as compared to an. The purpose of this article is to present a rare case of a cutaneous sinus. Endo Lesions With Sinus Tract.
From endodontics.styleitaliano.org
Save the bride retreatment of a second upper molar with large lesion Endo Lesions With Sinus Tract Differential diagnosis of cutaneous draining sinus tract should include suppurative. Second, a study guide permits speakers to efficiently review background material in. A sinus tract of endodontic origin is caused by pulp necrosis followed by bacterial invasion that causes an inflammatory lesion in the periapical area of. The purpose of this article is to present a rare case of a. Endo Lesions With Sinus Tract.
From www.researchgate.net
(PDF) Non surgical endodontic management of extraoral sinus tract Endo Lesions With Sinus Tract For example, this particular study guide provides a summary of key papers in the area of endodontic sinus tracts. The purpose of this article is to present a rare case of a cutaneous sinus tract. An extra oral sinus tract from a lesion of endodontic origin is rare as compared to an. Second, a study guide permits speakers to efficiently. Endo Lesions With Sinus Tract.
From www.semanticscholar.org
Figure 1 from The Influence of Endodontic Lesions on The Clinical Endo Lesions With Sinus Tract For example, this particular study guide provides a summary of key papers in the area of endodontic sinus tracts. In conclusion, a draining infection from the apex of a tooth into the oral cavity should be correctly referred to as a sinus tract and not a fistula. A sinus tract of endodontic origin is caused by pulp necrosis followed by. Endo Lesions With Sinus Tract.
From www.researchgate.net
Case 3. (A and B) The buccal sinus tract with (A) pus discharge showing Endo Lesions With Sinus Tract Differential diagnosis of cutaneous draining sinus tract should include suppurative. Second, a study guide permits speakers to efficiently review background material in. For example, this particular study guide provides a summary of key papers in the area of endodontic sinus tracts. The purpose of this article is to present a rare case of a cutaneous sinus tract. An extra oral. Endo Lesions With Sinus Tract.
From medicine-21.com
Endoscopic sinus surgery Medicine21™ Endo Lesions With Sinus Tract For example, this particular study guide provides a summary of key papers in the area of endodontic sinus tracts. A sinus tract of endodontic origin is caused by pulp necrosis followed by bacterial invasion that causes an inflammatory lesion in the periapical area of. The purpose of this article is to present a rare case of a cutaneous sinus tract.. Endo Lesions With Sinus Tract.
From www.ijoms.com
Endosinus bone gain following osteotomemediated sinus floor elevation Endo Lesions With Sinus Tract An extra oral sinus tract from a lesion of endodontic origin is rare as compared to an. The purpose of this article is to present a rare case of a cutaneous sinus tract. For example, this particular study guide provides a summary of key papers in the area of endodontic sinus tracts. In conclusion, a draining infection from the apex. Endo Lesions With Sinus Tract.
From slideplayer.com
Endodontic Periodontal Lesions ppt video online download Endo Lesions With Sinus Tract Differential diagnosis of cutaneous draining sinus tract should include suppurative. Second, a study guide permits speakers to efficiently review background material in. For example, this particular study guide provides a summary of key papers in the area of endodontic sinus tracts. The purpose of this article is to present a rare case of a cutaneous sinus tract. In conclusion, a. Endo Lesions With Sinus Tract.
From www.jendodon.com
Ultrasound Examination to Visualize and Trace Sinus Tracts of Endo Lesions With Sinus Tract The purpose of this article is to present a rare case of a cutaneous sinus tract. Differential diagnosis of cutaneous draining sinus tract should include suppurative. In conclusion, a draining infection from the apex of a tooth into the oral cavity should be correctly referred to as a sinus tract and not a fistula. A sinus tract of endodontic origin. Endo Lesions With Sinus Tract.
From www.ijoms.com
Endosinus bone gain following osteotomemediated sinus floor elevation Endo Lesions With Sinus Tract In conclusion, a draining infection from the apex of a tooth into the oral cavity should be correctly referred to as a sinus tract and not a fistula. Differential diagnosis of cutaneous draining sinus tract should include suppurative. For example, this particular study guide provides a summary of key papers in the area of endodontic sinus tracts. An extra oral. Endo Lesions With Sinus Tract.
From www.theendoblog.com
The Endo Blog Resolution of Odontogenic Sinusitis after RCT Retreatment Endo Lesions With Sinus Tract For example, this particular study guide provides a summary of key papers in the area of endodontic sinus tracts. In conclusion, a draining infection from the apex of a tooth into the oral cavity should be correctly referred to as a sinus tract and not a fistula. An extra oral sinus tract from a lesion of endodontic origin is rare. Endo Lesions With Sinus Tract.
From www.jendodon.com
Ultrasound Examination to Visualize and Trace Sinus Tracts of Endo Lesions With Sinus Tract Second, a study guide permits speakers to efficiently review background material in. An extra oral sinus tract from a lesion of endodontic origin is rare as compared to an. For example, this particular study guide provides a summary of key papers in the area of endodontic sinus tracts. A sinus tract of endodontic origin is caused by pulp necrosis followed. Endo Lesions With Sinus Tract.
From www.semanticscholar.org
Figure 1 from Treatment of extraoral cutaneous sinus tracts with non Endo Lesions With Sinus Tract A sinus tract of endodontic origin is caused by pulp necrosis followed by bacterial invasion that causes an inflammatory lesion in the periapical area of. The purpose of this article is to present a rare case of a cutaneous sinus tract. For example, this particular study guide provides a summary of key papers in the area of endodontic sinus tracts.. Endo Lesions With Sinus Tract.
From www.theendoblog.com
The Endo Blog Saving a Tooth with Intentional Replantation Endo Lesions With Sinus Tract An extra oral sinus tract from a lesion of endodontic origin is rare as compared to an. A sinus tract of endodontic origin is caused by pulp necrosis followed by bacterial invasion that causes an inflammatory lesion in the periapical area of. For example, this particular study guide provides a summary of key papers in the area of endodontic sinus. Endo Lesions With Sinus Tract.
From www.youtube.com
Maxillary Sinusitis of Endodontic Origin A Call to Action Part 1 of 2 Endo Lesions With Sinus Tract For example, this particular study guide provides a summary of key papers in the area of endodontic sinus tracts. A sinus tract of endodontic origin is caused by pulp necrosis followed by bacterial invasion that causes an inflammatory lesion in the periapical area of. In conclusion, a draining infection from the apex of a tooth into the oral cavity should. Endo Lesions With Sinus Tract.