Ada Code Extraoral Bitewings . The ada council on dental benefit programs is proceeding with a new project to review and enhance the code on dental procedures and. These diagnostic imaging codes are used to document these procedures in a patient’s dental record and on a claim submission (ada paper. The development of specialized panoramic radiograph machine software has spawned the introduction of an innovative and promising dental radiographic examination type: D0120 (periodic oral evaluation—established patient), d0140 (limited oral evaluation—problem focused), and d0150 (comprehensive oral evaluation—new or established patient). D0210 is typically paid once every three to five years. In addition, we included the following codes for dental examinations in the analyses of the radiographic imaging codes: The appropriate code for taking two bitewing images on a panoramic machine, where the image is split down the middle to create. In a teledentistry encounter, how are image capture and.
from www.renewdigital.com
In a teledentistry encounter, how are image capture and. The ada council on dental benefit programs is proceeding with a new project to review and enhance the code on dental procedures and. The development of specialized panoramic radiograph machine software has spawned the introduction of an innovative and promising dental radiographic examination type: D0120 (periodic oral evaluation—established patient), d0140 (limited oral evaluation—problem focused), and d0150 (comprehensive oral evaluation—new or established patient). The appropriate code for taking two bitewing images on a panoramic machine, where the image is split down the middle to create. D0210 is typically paid once every three to five years. In addition, we included the following codes for dental examinations in the analyses of the radiographic imaging codes: These diagnostic imaging codes are used to document these procedures in a patient’s dental record and on a claim submission (ada paper.
Planmeca ProMax 3D Classic Extraoral Bitewings Renew Digital
Ada Code Extraoral Bitewings These diagnostic imaging codes are used to document these procedures in a patient’s dental record and on a claim submission (ada paper. The development of specialized panoramic radiograph machine software has spawned the introduction of an innovative and promising dental radiographic examination type: In addition, we included the following codes for dental examinations in the analyses of the radiographic imaging codes: The ada council on dental benefit programs is proceeding with a new project to review and enhance the code on dental procedures and. In a teledentistry encounter, how are image capture and. D0120 (periodic oral evaluation—established patient), d0140 (limited oral evaluation—problem focused), and d0150 (comprehensive oral evaluation—new or established patient). The appropriate code for taking two bitewing images on a panoramic machine, where the image is split down the middle to create. D0210 is typically paid once every three to five years. These diagnostic imaging codes are used to document these procedures in a patient’s dental record and on a claim submission (ada paper.
From www.renewdigital.com
Everything You Need to Know About Extraoral Bitewings Renew Digital, LLC Ada Code Extraoral Bitewings D0210 is typically paid once every three to five years. These diagnostic imaging codes are used to document these procedures in a patient’s dental record and on a claim submission (ada paper. The development of specialized panoramic radiograph machine software has spawned the introduction of an innovative and promising dental radiographic examination type: The ada council on dental benefit programs. Ada Code Extraoral Bitewings.
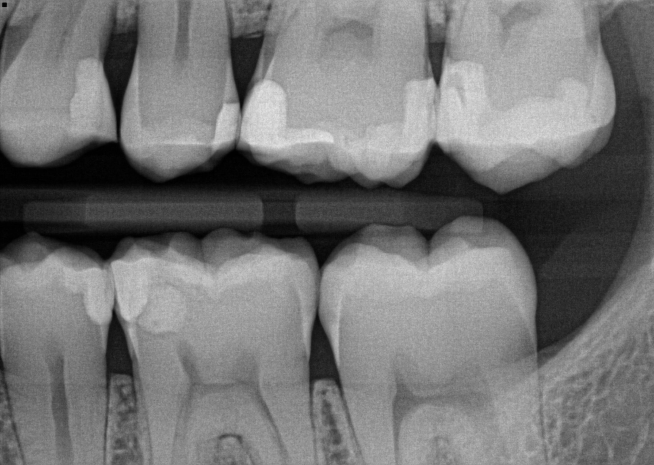
From www.clipp.com
All for only 49, Over 250 Value! Cleaning Limpieza (ADA 1110), Cavity Ada Code Extraoral Bitewings In a teledentistry encounter, how are image capture and. These diagnostic imaging codes are used to document these procedures in a patient’s dental record and on a claim submission (ada paper. D0210 is typically paid once every three to five years. D0120 (periodic oral evaluation—established patient), d0140 (limited oral evaluation—problem focused), and d0150 (comprehensive oral evaluation—new or established patient). The. Ada Code Extraoral Bitewings.
From www.semanticscholar.org
Figure 2 from Proximal caries detection accuracy using intraoral Ada Code Extraoral Bitewings D0120 (periodic oral evaluation—established patient), d0140 (limited oral evaluation—problem focused), and d0150 (comprehensive oral evaluation—new or established patient). D0210 is typically paid once every three to five years. These diagnostic imaging codes are used to document these procedures in a patient’s dental record and on a claim submission (ada paper. The appropriate code for taking two bitewing images on a. Ada Code Extraoral Bitewings.
From www.slideserve.com
PPT The Bitewing Technique PowerPoint Presentation, free download Ada Code Extraoral Bitewings The development of specialized panoramic radiograph machine software has spawned the introduction of an innovative and promising dental radiographic examination type: The appropriate code for taking two bitewing images on a panoramic machine, where the image is split down the middle to create. In addition, we included the following codes for dental examinations in the analyses of the radiographic imaging. Ada Code Extraoral Bitewings.
From www.semanticscholar.org
Figure 2 from Dental human identification using bitewing radiographs Ada Code Extraoral Bitewings The development of specialized panoramic radiograph machine software has spawned the introduction of an innovative and promising dental radiographic examination type: D0120 (periodic oral evaluation—established patient), d0140 (limited oral evaluation—problem focused), and d0150 (comprehensive oral evaluation—new or established patient). The appropriate code for taking two bitewing images on a panoramic machine, where the image is split down the middle to. Ada Code Extraoral Bitewings.
From martlabpro.com
Everything You Need To Know About Dental Ada Codes 2023 MartLabPro Ada Code Extraoral Bitewings D0120 (periodic oral evaluation—established patient), d0140 (limited oral evaluation—problem focused), and d0150 (comprehensive oral evaluation—new or established patient). In a teledentistry encounter, how are image capture and. D0210 is typically paid once every three to five years. The development of specialized panoramic radiograph machine software has spawned the introduction of an innovative and promising dental radiographic examination type: The ada. Ada Code Extraoral Bitewings.
From www.youtube.com
Everything You Need to Know about Extraoral Bitewings YouTube Ada Code Extraoral Bitewings The ada council on dental benefit programs is proceeding with a new project to review and enhance the code on dental procedures and. The appropriate code for taking two bitewing images on a panoramic machine, where the image is split down the middle to create. In a teledentistry encounter, how are image capture and. D0120 (periodic oral evaluation—established patient), d0140. Ada Code Extraoral Bitewings.
From icoi-ap.org
Exploring the Advantages of Extraoral Bitewings in Dental Imaging Ada Code Extraoral Bitewings In a teledentistry encounter, how are image capture and. In addition, we included the following codes for dental examinations in the analyses of the radiographic imaging codes: The appropriate code for taking two bitewing images on a panoramic machine, where the image is split down the middle to create. The development of specialized panoramic radiograph machine software has spawned the. Ada Code Extraoral Bitewings.
From finetechmagazine.com
What Are Extraoral Bitewings?How Are They Used in Dentistry? Ada Code Extraoral Bitewings These diagnostic imaging codes are used to document these procedures in a patient’s dental record and on a claim submission (ada paper. The appropriate code for taking two bitewing images on a panoramic machine, where the image is split down the middle to create. The ada council on dental benefit programs is proceeding with a new project to review and. Ada Code Extraoral Bitewings.
From www.oooojournal.net
Radiologic assessment of mandibular third molars an ex vivo Ada Code Extraoral Bitewings D0210 is typically paid once every three to five years. In a teledentistry encounter, how are image capture and. The ada council on dental benefit programs is proceeding with a new project to review and enhance the code on dental procedures and. D0120 (periodic oral evaluation—established patient), d0140 (limited oral evaluation—problem focused), and d0150 (comprehensive oral evaluation—new or established patient).. Ada Code Extraoral Bitewings.
From www.clipp.com
All for only 49, Over 250 Value! Cleaning Limpieza (ADA 1110), Cavity Ada Code Extraoral Bitewings D0210 is typically paid once every three to five years. In a teledentistry encounter, how are image capture and. D0120 (periodic oral evaluation—established patient), d0140 (limited oral evaluation—problem focused), and d0150 (comprehensive oral evaluation—new or established patient). The ada council on dental benefit programs is proceeding with a new project to review and enhance the code on dental procedures and.. Ada Code Extraoral Bitewings.
From capitaldentalequipment.com
Intraoral Versus Extraoral Bitewing Dental XRays (Radiographs) Ada Code Extraoral Bitewings The development of specialized panoramic radiograph machine software has spawned the introduction of an innovative and promising dental radiographic examination type: The ada council on dental benefit programs is proceeding with a new project to review and enhance the code on dental procedures and. D0210 is typically paid once every three to five years. D0120 (periodic oral evaluation—established patient), d0140. Ada Code Extraoral Bitewings.
From docslib.org
ADA Dental Codes and Descriptions DocsLib Ada Code Extraoral Bitewings D0120 (periodic oral evaluation—established patient), d0140 (limited oral evaluation—problem focused), and d0150 (comprehensive oral evaluation—new or established patient). In addition, we included the following codes for dental examinations in the analyses of the radiographic imaging codes: These diagnostic imaging codes are used to document these procedures in a patient’s dental record and on a claim submission (ada paper. The appropriate. Ada Code Extraoral Bitewings.
From dentagama.com
Bitewing dental xrays News Dentagama Ada Code Extraoral Bitewings The development of specialized panoramic radiograph machine software has spawned the introduction of an innovative and promising dental radiographic examination type: The ada council on dental benefit programs is proceeding with a new project to review and enhance the code on dental procedures and. D0120 (periodic oral evaluation—established patient), d0140 (limited oral evaluation—problem focused), and d0150 (comprehensive oral evaluation—new or. Ada Code Extraoral Bitewings.
From www.drbestprice.com
🦷 Dental Code D0273 Bitewings Three Radiographic Images Ada Code Extraoral Bitewings In addition, we included the following codes for dental examinations in the analyses of the radiographic imaging codes: The ada council on dental benefit programs is proceeding with a new project to review and enhance the code on dental procedures and. In a teledentistry encounter, how are image capture and. The development of specialized panoramic radiograph machine software has spawned. Ada Code Extraoral Bitewings.
From mistybvelvet.pages.dev
Dental Ada Codes 2024 Sofie Eleanore Ada Code Extraoral Bitewings In addition, we included the following codes for dental examinations in the analyses of the radiographic imaging codes: The ada council on dental benefit programs is proceeding with a new project to review and enhance the code on dental procedures and. The appropriate code for taking two bitewing images on a panoramic machine, where the image is split down the. Ada Code Extraoral Bitewings.
From www.clipp.com
All for only 49, Over 250 Value! Cleaning Limpieza (ADA 1110), Cavity Ada Code Extraoral Bitewings In a teledentistry encounter, how are image capture and. The development of specialized panoramic radiograph machine software has spawned the introduction of an innovative and promising dental radiographic examination type: These diagnostic imaging codes are used to document these procedures in a patient’s dental record and on a claim submission (ada paper. D0210 is typically paid once every three to. Ada Code Extraoral Bitewings.
From www.scribd.com
ADA CODES Dentures Dental Implant Ada Code Extraoral Bitewings The appropriate code for taking two bitewing images on a panoramic machine, where the image is split down the middle to create. D0120 (periodic oral evaluation—established patient), d0140 (limited oral evaluation—problem focused), and d0150 (comprehensive oral evaluation—new or established patient). These diagnostic imaging codes are used to document these procedures in a patient’s dental record and on a claim submission. Ada Code Extraoral Bitewings.
From www.semanticscholar.org
Figure 1 from Intraoral versus extraoral bitewing radiography in Ada Code Extraoral Bitewings These diagnostic imaging codes are used to document these procedures in a patient’s dental record and on a claim submission (ada paper. D0210 is typically paid once every three to five years. The appropriate code for taking two bitewing images on a panoramic machine, where the image is split down the middle to create. The development of specialized panoramic radiograph. Ada Code Extraoral Bitewings.
From www.renewdigital.com
Planmeca ProMax 3D Classic Extraoral Bitewings Renew Digital Ada Code Extraoral Bitewings In addition, we included the following codes for dental examinations in the analyses of the radiographic imaging codes: In a teledentistry encounter, how are image capture and. The appropriate code for taking two bitewing images on a panoramic machine, where the image is split down the middle to create. These diagnostic imaging codes are used to document these procedures in. Ada Code Extraoral Bitewings.
From icoi-ap.org
Understanding ADA Dental Codes A Comprehensive Guide Club of Ada Code Extraoral Bitewings In addition, we included the following codes for dental examinations in the analyses of the radiographic imaging codes: These diagnostic imaging codes are used to document these procedures in a patient’s dental record and on a claim submission (ada paper. In a teledentistry encounter, how are image capture and. The development of specialized panoramic radiograph machine software has spawned the. Ada Code Extraoral Bitewings.
From www.semanticscholar.org
Figure 1 from Proximal caries detection accuracy using intraoral Ada Code Extraoral Bitewings The appropriate code for taking two bitewing images on a panoramic machine, where the image is split down the middle to create. In addition, we included the following codes for dental examinations in the analyses of the radiographic imaging codes: These diagnostic imaging codes are used to document these procedures in a patient’s dental record and on a claim submission. Ada Code Extraoral Bitewings.
From mistybvelvet.pages.dev
Dental Ada Codes 2024 Sofie Eleanore Ada Code Extraoral Bitewings The development of specialized panoramic radiograph machine software has spawned the introduction of an innovative and promising dental radiographic examination type: D0210 is typically paid once every three to five years. In a teledentistry encounter, how are image capture and. The ada council on dental benefit programs is proceeding with a new project to review and enhance the code on. Ada Code Extraoral Bitewings.
From www.healthsoothe.com
Dental ADA Codes 2024 Current Dental TerminologyDental ADA Codes 2024 Ada Code Extraoral Bitewings The appropriate code for taking two bitewing images on a panoramic machine, where the image is split down the middle to create. These diagnostic imaging codes are used to document these procedures in a patient’s dental record and on a claim submission (ada paper. D0210 is typically paid once every three to five years. The development of specialized panoramic radiograph. Ada Code Extraoral Bitewings.
From www.youtube.com
3 Key Differences Between Extraoral Dental Bitewings and Intraoral Ada Code Extraoral Bitewings The development of specialized panoramic radiograph machine software has spawned the introduction of an innovative and promising dental radiographic examination type: These diagnostic imaging codes are used to document these procedures in a patient’s dental record and on a claim submission (ada paper. The ada council on dental benefit programs is proceeding with a new project to review and enhance. Ada Code Extraoral Bitewings.
From www.scribd.com
ADA Ortho Codes PDF Orthodontics Drugs Ada Code Extraoral Bitewings In addition, we included the following codes for dental examinations in the analyses of the radiographic imaging codes: D0210 is typically paid once every three to five years. The ada council on dental benefit programs is proceeding with a new project to review and enhance the code on dental procedures and. The appropriate code for taking two bitewing images on. Ada Code Extraoral Bitewings.
From hxevhnrme.blob.core.windows.net
ExtraOral Bitewings Code at Yetta Giese blog Ada Code Extraoral Bitewings The development of specialized panoramic radiograph machine software has spawned the introduction of an innovative and promising dental radiographic examination type: In addition, we included the following codes for dental examinations in the analyses of the radiographic imaging codes: These diagnostic imaging codes are used to document these procedures in a patient’s dental record and on a claim submission (ada. Ada Code Extraoral Bitewings.
From www.researchgate.net
Examples of intraoral and extraoral bitewing radiographs. (a) Intraoral Ada Code Extraoral Bitewings The development of specialized panoramic radiograph machine software has spawned the introduction of an innovative and promising dental radiographic examination type: In a teledentistry encounter, how are image capture and. D0210 is typically paid once every three to five years. D0120 (periodic oral evaluation—established patient), d0140 (limited oral evaluation—problem focused), and d0150 (comprehensive oral evaluation—new or established patient). These diagnostic. Ada Code Extraoral Bitewings.
From www.zumbroviewdental.com
Technology Rochester, MN Ada Code Extraoral Bitewings The appropriate code for taking two bitewing images on a panoramic machine, where the image is split down the middle to create. In a teledentistry encounter, how are image capture and. The ada council on dental benefit programs is proceeding with a new project to review and enhance the code on dental procedures and. The development of specialized panoramic radiograph. Ada Code Extraoral Bitewings.
From www.youtube.com
Planmeca ProMax Extraoral Bitewings YouTube Ada Code Extraoral Bitewings D0210 is typically paid once every three to five years. The appropriate code for taking two bitewing images on a panoramic machine, where the image is split down the middle to create. In addition, we included the following codes for dental examinations in the analyses of the radiographic imaging codes: The development of specialized panoramic radiograph machine software has spawned. Ada Code Extraoral Bitewings.
From www.dentistrytoday.com
Panoramic XRay Offers Accurate Extraoral Bitewings Dentistry Today Ada Code Extraoral Bitewings D0120 (periodic oral evaluation—established patient), d0140 (limited oral evaluation—problem focused), and d0150 (comprehensive oral evaluation—new or established patient). These diagnostic imaging codes are used to document these procedures in a patient’s dental record and on a claim submission (ada paper. In a teledentistry encounter, how are image capture and. The ada council on dental benefit programs is proceeding with a. Ada Code Extraoral Bitewings.
From www.youtube.com
Bitewing Technique YouTube Ada Code Extraoral Bitewings In a teledentistry encounter, how are image capture and. The appropriate code for taking two bitewing images on a panoramic machine, where the image is split down the middle to create. In addition, we included the following codes for dental examinations in the analyses of the radiographic imaging codes: D0210 is typically paid once every three to five years. The. Ada Code Extraoral Bitewings.
From www.renewdigital.com
Planmeca ProMax 3D Classic Extraoral Bitewings Renew Digital Ada Code Extraoral Bitewings These diagnostic imaging codes are used to document these procedures in a patient’s dental record and on a claim submission (ada paper. The development of specialized panoramic radiograph machine software has spawned the introduction of an innovative and promising dental radiographic examination type: In a teledentistry encounter, how are image capture and. D0210 is typically paid once every three to. Ada Code Extraoral Bitewings.
From www.renewdigital.com
Planmeca ProMax 3D Classic Extraoral Bitewings Renew Digital Ada Code Extraoral Bitewings These diagnostic imaging codes are used to document these procedures in a patient’s dental record and on a claim submission (ada paper. D0120 (periodic oral evaluation—established patient), d0140 (limited oral evaluation—problem focused), and d0150 (comprehensive oral evaluation—new or established patient). The development of specialized panoramic radiograph machine software has spawned the introduction of an innovative and promising dental radiographic examination. Ada Code Extraoral Bitewings.
From www.pinterest.com
Bitewing xrays The Illustrated Dentist Dental hygenist, Patient Ada Code Extraoral Bitewings These diagnostic imaging codes are used to document these procedures in a patient’s dental record and on a claim submission (ada paper. The ada council on dental benefit programs is proceeding with a new project to review and enhance the code on dental procedures and. The development of specialized panoramic radiograph machine software has spawned the introduction of an innovative. Ada Code Extraoral Bitewings.