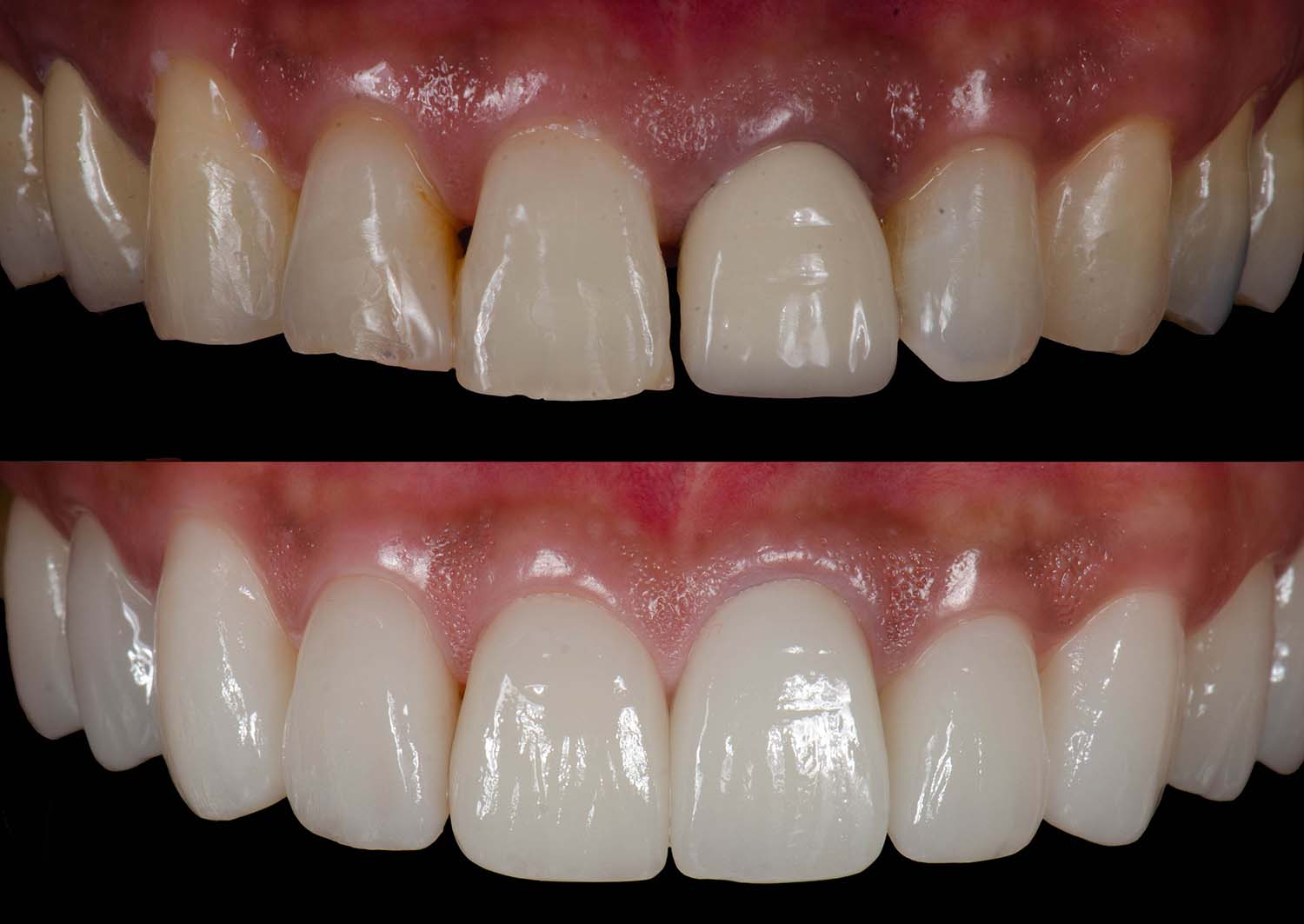
Do They Shave Your Teeth For Veneers . The answer, surprisingly is usually no. Traditionally, teeth had to be prepared or shaped significantly to accommodate room for veneers, but over recent years, technology and materials have advanced significantly, making it possible to minimally prepare the teeth. In this article, we will explore what veneers are, why teeth need to be shaved for their application, and the pros and cons of this procedure. Tooth shaving creates an ideal surface for the veneers to adhere to, ensuring a strong bond. First, you’ll meet with a cosmetic dentist to discuss if veneers are right for you. Here are the key steps: Are teeth shaved down for veneers? Sometimes, a dentist may need. A veneer is similar to a crown in that it covers damage to a tooth. With standard porcelain and composite veneers, a bit of filing is usually necessary to ensure that the veneer blends naturally with the surrounding. However, a veneer typically only covers the front of a tooth. Learn the truth about shaving teeth down for veneers and why this is a necessary step to ensure a perfect fit and enhance your smile. This makes the veneers sit comfortably and guards against potential dental problems, such as tooth decay under the veneer or heightened sensitivity.
from www.thedentalguide.net
Here are the key steps: However, a veneer typically only covers the front of a tooth. This makes the veneers sit comfortably and guards against potential dental problems, such as tooth decay under the veneer or heightened sensitivity. Sometimes, a dentist may need. First, you’ll meet with a cosmetic dentist to discuss if veneers are right for you. Learn the truth about shaving teeth down for veneers and why this is a necessary step to ensure a perfect fit and enhance your smile. Tooth shaving creates an ideal surface for the veneers to adhere to, ensuring a strong bond. Are teeth shaved down for veneers? With standard porcelain and composite veneers, a bit of filing is usually necessary to ensure that the veneer blends naturally with the surrounding. A veneer is similar to a crown in that it covers damage to a tooth.
Press On Veneers The Dental Guide
Do They Shave Your Teeth For Veneers Tooth shaving creates an ideal surface for the veneers to adhere to, ensuring a strong bond. In this article, we will explore what veneers are, why teeth need to be shaved for their application, and the pros and cons of this procedure. However, a veneer typically only covers the front of a tooth. The answer, surprisingly is usually no. Learn the truth about shaving teeth down for veneers and why this is a necessary step to ensure a perfect fit and enhance your smile. Tooth shaving creates an ideal surface for the veneers to adhere to, ensuring a strong bond. Here are the key steps: Sometimes, a dentist may need. Traditionally, teeth had to be prepared or shaped significantly to accommodate room for veneers, but over recent years, technology and materials have advanced significantly, making it possible to minimally prepare the teeth. Are teeth shaved down for veneers? With standard porcelain and composite veneers, a bit of filing is usually necessary to ensure that the veneer blends naturally with the surrounding. First, you’ll meet with a cosmetic dentist to discuss if veneers are right for you. A veneer is similar to a crown in that it covers damage to a tooth. This makes the veneers sit comfortably and guards against potential dental problems, such as tooth decay under the veneer or heightened sensitivity.
From infinitydental.in
what is the procedure for a dental veneer and how is it prep Do They Shave Your Teeth For Veneers However, a veneer typically only covers the front of a tooth. Traditionally, teeth had to be prepared or shaped significantly to accommodate room for veneers, but over recent years, technology and materials have advanced significantly, making it possible to minimally prepare the teeth. A veneer is similar to a crown in that it covers damage to a tooth. The answer,. Do They Shave Your Teeth For Veneers.
From smilefortwayne.com
What is the Process of Shaving Teeth for Veneers? Family Dentistry Do They Shave Your Teeth For Veneers The answer, surprisingly is usually no. Learn the truth about shaving teeth down for veneers and why this is a necessary step to ensure a perfect fit and enhance your smile. Tooth shaving creates an ideal surface for the veneers to adhere to, ensuring a strong bond. Traditionally, teeth had to be prepared or shaped significantly to accommodate room for. Do They Shave Your Teeth For Veneers.
From medium.com
The Practice of Shaving Teeth for Veneers A Detailed Exploration by Do They Shave Your Teeth For Veneers Here are the key steps: However, a veneer typically only covers the front of a tooth. The answer, surprisingly is usually no. Traditionally, teeth had to be prepared or shaped significantly to accommodate room for veneers, but over recent years, technology and materials have advanced significantly, making it possible to minimally prepare the teeth. Learn the truth about shaving teeth. Do They Shave Your Teeth For Veneers.
From www.thedentalroom.com.au
Porcelain Veneers Before and After The Dental Room Do They Shave Your Teeth For Veneers Sometimes, a dentist may need. Traditionally, teeth had to be prepared or shaped significantly to accommodate room for veneers, but over recent years, technology and materials have advanced significantly, making it possible to minimally prepare the teeth. In this article, we will explore what veneers are, why teeth need to be shaved for their application, and the pros and cons. Do They Shave Your Teeth For Veneers.
From www.totalcaredental.com
What Are Veneers? Total Care Dental Holistic Dentistry Do They Shave Your Teeth For Veneers With standard porcelain and composite veneers, a bit of filing is usually necessary to ensure that the veneer blends naturally with the surrounding. Sometimes, a dentist may need. Tooth shaving creates an ideal surface for the veneers to adhere to, ensuring a strong bond. A veneer is similar to a crown in that it covers damage to a tooth. In. Do They Shave Your Teeth For Veneers.
From www.lighthousedentalcentre.com
Do You Need to Shave Your Teeth for Veneers? Do They Shave Your Teeth For Veneers A veneer is similar to a crown in that it covers damage to a tooth. Tooth shaving creates an ideal surface for the veneers to adhere to, ensuring a strong bond. Traditionally, teeth had to be prepared or shaped significantly to accommodate room for veneers, but over recent years, technology and materials have advanced significantly, making it possible to minimally. Do They Shave Your Teeth For Veneers.
From www.the-sun.com
Trend of shaving teeth down to PEGS to get ‘perfect smile’ with veneers Do They Shave Your Teeth For Veneers This makes the veneers sit comfortably and guards against potential dental problems, such as tooth decay under the veneer or heightened sensitivity. Sometimes, a dentist may need. A veneer is similar to a crown in that it covers damage to a tooth. Are teeth shaved down for veneers? The answer, surprisingly is usually no. However, a veneer typically only covers. Do They Shave Your Teeth For Veneers.
From techzype.com
Shaved Teeth for Veneers Discover Your Perfect Smile Techzype Do They Shave Your Teeth For Veneers However, a veneer typically only covers the front of a tooth. First, you’ll meet with a cosmetic dentist to discuss if veneers are right for you. With standard porcelain and composite veneers, a bit of filing is usually necessary to ensure that the veneer blends naturally with the surrounding. Sometimes, a dentist may need. A veneer is similar to a. Do They Shave Your Teeth For Veneers.
From www.youtube.com
SHAVING MY TEETH DOWN FOR VENEERS lol jk my Invisalign journey YouTube Do They Shave Your Teeth For Veneers However, a veneer typically only covers the front of a tooth. Traditionally, teeth had to be prepared or shaped significantly to accommodate room for veneers, but over recent years, technology and materials have advanced significantly, making it possible to minimally prepare the teeth. With standard porcelain and composite veneers, a bit of filing is usually necessary to ensure that the. Do They Shave Your Teeth For Veneers.
From www.thedentalguide.net
Press On Veneers The Dental Guide Do They Shave Your Teeth For Veneers Learn the truth about shaving teeth down for veneers and why this is a necessary step to ensure a perfect fit and enhance your smile. First, you’ll meet with a cosmetic dentist to discuss if veneers are right for you. Tooth shaving creates an ideal surface for the veneers to adhere to, ensuring a strong bond. Sometimes, a dentist may. Do They Shave Your Teeth For Veneers.
From www.youtube.com
Procedure of Placing Dental Veneers (Hollywood smile) YouTube Do They Shave Your Teeth For Veneers A veneer is similar to a crown in that it covers damage to a tooth. In this article, we will explore what veneers are, why teeth need to be shaved for their application, and the pros and cons of this procedure. Are teeth shaved down for veneers? Here are the key steps: Tooth shaving creates an ideal surface for the. Do They Shave Your Teeth For Veneers.
From peeldentalstudio.com.au
What Are Veneers A Detailed Guide By Peel Dental Studio Peel Dental Do They Shave Your Teeth For Veneers Learn the truth about shaving teeth down for veneers and why this is a necessary step to ensure a perfect fit and enhance your smile. Here are the key steps: First, you’ll meet with a cosmetic dentist to discuss if veneers are right for you. The answer, surprisingly is usually no. This makes the veneers sit comfortably and guards against. Do They Shave Your Teeth For Veneers.
From leibowitzdental.com
How Do Veneers Change A Tooth’s Shape And Shade? Astoria, NY Do They Shave Your Teeth For Veneers However, a veneer typically only covers the front of a tooth. In this article, we will explore what veneers are, why teeth need to be shaved for their application, and the pros and cons of this procedure. Learn the truth about shaving teeth down for veneers and why this is a necessary step to ensure a perfect fit and enhance. Do They Shave Your Teeth For Veneers.
From dentalmadeeasy.com
Shaving Teeth for Veneers? Dental Made Easy NYC & LI Smile Design Do They Shave Your Teeth For Veneers Here are the key steps: However, a veneer typically only covers the front of a tooth. Learn the truth about shaving teeth down for veneers and why this is a necessary step to ensure a perfect fit and enhance your smile. First, you’ll meet with a cosmetic dentist to discuss if veneers are right for you. In this article, we. Do They Shave Your Teeth For Veneers.
From sydneytopdental.com
shave teeth for veneers Everything you need to know Do They Shave Your Teeth For Veneers With standard porcelain and composite veneers, a bit of filing is usually necessary to ensure that the veneer blends naturally with the surrounding. First, you’ll meet with a cosmetic dentist to discuss if veneers are right for you. A veneer is similar to a crown in that it covers damage to a tooth. In this article, we will explore what. Do They Shave Your Teeth For Veneers.
From mylocaldentists.com.au
Shaved Teeth for Veneers A Comprehensive Insight Do They Shave Your Teeth For Veneers The answer, surprisingly is usually no. Tooth shaving creates an ideal surface for the veneers to adhere to, ensuring a strong bond. Learn the truth about shaving teeth down for veneers and why this is a necessary step to ensure a perfect fit and enhance your smile. Are teeth shaved down for veneers? Here are the key steps: First, you’ll. Do They Shave Your Teeth For Veneers.
From beyondinfinitydental.com.au
Shaved Teeth For Veneers? A Detailed Guide For The Process Do They Shave Your Teeth For Veneers Tooth shaving creates an ideal surface for the veneers to adhere to, ensuring a strong bond. Traditionally, teeth had to be prepared or shaped significantly to accommodate room for veneers, but over recent years, technology and materials have advanced significantly, making it possible to minimally prepare the teeth. However, a veneer typically only covers the front of a tooth. Are. Do They Shave Your Teeth For Veneers.
From www.youtube.com
Do Teeth Need to be Filed or Shaved Down for Veneers? YouTube Do They Shave Your Teeth For Veneers Traditionally, teeth had to be prepared or shaped significantly to accommodate room for veneers, but over recent years, technology and materials have advanced significantly, making it possible to minimally prepare the teeth. Tooth shaving creates an ideal surface for the veneers to adhere to, ensuring a strong bond. Are teeth shaved down for veneers? The answer, surprisingly is usually no.. Do They Shave Your Teeth For Veneers.
From peeldentalstudio.com.au
What Are Veneers A Detailed Guide By Peel Dental Studio Peel Dental Do They Shave Your Teeth For Veneers In this article, we will explore what veneers are, why teeth need to be shaved for their application, and the pros and cons of this procedure. With standard porcelain and composite veneers, a bit of filing is usually necessary to ensure that the veneer blends naturally with the surrounding. Tooth shaving creates an ideal surface for the veneers to adhere. Do They Shave Your Teeth For Veneers.
From sydneytopdental.com
shave teeth for veneers Everything you need to know Do They Shave Your Teeth For Veneers Traditionally, teeth had to be prepared or shaped significantly to accommodate room for veneers, but over recent years, technology and materials have advanced significantly, making it possible to minimally prepare the teeth. Here are the key steps: Are teeth shaved down for veneers? However, a veneer typically only covers the front of a tooth. This makes the veneers sit comfortably. Do They Shave Your Teeth For Veneers.
From sandiegoinvisaligndentist.org
Do they shave your teeth for veneers? Dental News Network Do They Shave Your Teeth For Veneers In this article, we will explore what veneers are, why teeth need to be shaved for their application, and the pros and cons of this procedure. Learn the truth about shaving teeth down for veneers and why this is a necessary step to ensure a perfect fit and enhance your smile. This makes the veneers sit comfortably and guards against. Do They Shave Your Teeth For Veneers.
From bespokesmile.co.uk
Learn Why Veneers Don't Require Major Teeth Shaving Do They Shave Your Teeth For Veneers First, you’ll meet with a cosmetic dentist to discuss if veneers are right for you. Tooth shaving creates an ideal surface for the veneers to adhere to, ensuring a strong bond. This makes the veneers sit comfortably and guards against potential dental problems, such as tooth decay under the veneer or heightened sensitivity. Are teeth shaved down for veneers? In. Do They Shave Your Teeth For Veneers.
From www.dayodental.com
Are Veneers Permanent? Do They Shave Your Teeth For Veneers However, a veneer typically only covers the front of a tooth. Are teeth shaved down for veneers? First, you’ll meet with a cosmetic dentist to discuss if veneers are right for you. Traditionally, teeth had to be prepared or shaped significantly to accommodate room for veneers, but over recent years, technology and materials have advanced significantly, making it possible to. Do They Shave Your Teeth For Veneers.
From worldnewlive.com
Do They Shave Teeth For Veneers? Mastery Wiki Do They Shave Your Teeth For Veneers Learn the truth about shaving teeth down for veneers and why this is a necessary step to ensure a perfect fit and enhance your smile. In this article, we will explore what veneers are, why teeth need to be shaved for their application, and the pros and cons of this procedure. With standard porcelain and composite veneers, a bit of. Do They Shave Your Teeth For Veneers.
From dentallaid.com
Shaved Teeth for Veneers Is Shaving Necessary? Do They Shave Your Teeth For Veneers However, a veneer typically only covers the front of a tooth. Here are the key steps: This makes the veneers sit comfortably and guards against potential dental problems, such as tooth decay under the veneer or heightened sensitivity. Sometimes, a dentist may need. Traditionally, teeth had to be prepared or shaped significantly to accommodate room for veneers, but over recent. Do They Shave Your Teeth For Veneers.
From sandiegoinvisaligndentist.org
Do they shave your teeth for veneers? Dental News Network Do They Shave Your Teeth For Veneers Traditionally, teeth had to be prepared or shaped significantly to accommodate room for veneers, but over recent years, technology and materials have advanced significantly, making it possible to minimally prepare the teeth. Learn the truth about shaving teeth down for veneers and why this is a necessary step to ensure a perfect fit and enhance your smile. With standard porcelain. Do They Shave Your Teeth For Veneers.
From trustdentalcare.com
How Much Do They Have to Shave Your Teeth for Veneers? Do They Shave Your Teeth For Veneers Learn the truth about shaving teeth down for veneers and why this is a necessary step to ensure a perfect fit and enhance your smile. Traditionally, teeth had to be prepared or shaped significantly to accommodate room for veneers, but over recent years, technology and materials have advanced significantly, making it possible to minimally prepare the teeth. In this article,. Do They Shave Your Teeth For Veneers.
From www.docklandsdental.ie
A Complete Guide To Dental Veneers Docklands Dental Do They Shave Your Teeth For Veneers This makes the veneers sit comfortably and guards against potential dental problems, such as tooth decay under the veneer or heightened sensitivity. First, you’ll meet with a cosmetic dentist to discuss if veneers are right for you. Are teeth shaved down for veneers? Sometimes, a dentist may need. In this article, we will explore what veneers are, why teeth need. Do They Shave Your Teeth For Veneers.
From www.baskingridgedentist.com
What to know about porcelain veneers and dental bonding? Do They Shave Your Teeth For Veneers With standard porcelain and composite veneers, a bit of filing is usually necessary to ensure that the veneer blends naturally with the surrounding. First, you’ll meet with a cosmetic dentist to discuss if veneers are right for you. Are teeth shaved down for veneers? The answer, surprisingly is usually no. Learn the truth about shaving teeth down for veneers and. Do They Shave Your Teeth For Veneers.
From sydneytopdental.com
Veneer shaved teeth The prep for a smooth treatment Sydney Top Dental Do They Shave Your Teeth For Veneers A veneer is similar to a crown in that it covers damage to a tooth. Sometimes, a dentist may need. This makes the veneers sit comfortably and guards against potential dental problems, such as tooth decay under the veneer or heightened sensitivity. The answer, surprisingly is usually no. First, you’ll meet with a cosmetic dentist to discuss if veneers are. Do They Shave Your Teeth For Veneers.
From bespokesmile.co.uk
Everything You Need To Know About Emax VeneersBespoke Smile Do They Shave Your Teeth For Veneers Learn the truth about shaving teeth down for veneers and why this is a necessary step to ensure a perfect fit and enhance your smile. First, you’ll meet with a cosmetic dentist to discuss if veneers are right for you. In this article, we will explore what veneers are, why teeth need to be shaved for their application, and the. Do They Shave Your Teeth For Veneers.
From favdentistry.com
How are Dental Veneers Applied? favourite dentistry Do They Shave Your Teeth For Veneers This makes the veneers sit comfortably and guards against potential dental problems, such as tooth decay under the veneer or heightened sensitivity. Here are the key steps: In this article, we will explore what veneers are, why teeth need to be shaved for their application, and the pros and cons of this procedure. First, you’ll meet with a cosmetic dentist. Do They Shave Your Teeth For Veneers.
From voguedentalstudios.com.au
Do my teeth need to be shaved in order to get veneers? Do They Shave Your Teeth For Veneers A veneer is similar to a crown in that it covers damage to a tooth. With standard porcelain and composite veneers, a bit of filing is usually necessary to ensure that the veneer blends naturally with the surrounding. Traditionally, teeth had to be prepared or shaped significantly to accommodate room for veneers, but over recent years, technology and materials have. Do They Shave Your Teeth For Veneers.
From ar.inspiredpencil.com
Teeth Shaving Before And After Do They Shave Your Teeth For Veneers Here are the key steps: In this article, we will explore what veneers are, why teeth need to be shaved for their application, and the pros and cons of this procedure. Traditionally, teeth had to be prepared or shaped significantly to accommodate room for veneers, but over recent years, technology and materials have advanced significantly, making it possible to minimally. Do They Shave Your Teeth For Veneers.
From www.lighthousedentalcentre.com
Do You Need to Shave Your Teeth for Veneers? Do They Shave Your Teeth For Veneers With standard porcelain and composite veneers, a bit of filing is usually necessary to ensure that the veneer blends naturally with the surrounding. This makes the veneers sit comfortably and guards against potential dental problems, such as tooth decay under the veneer or heightened sensitivity. Are teeth shaved down for veneers? A veneer is similar to a crown in that. Do They Shave Your Teeth For Veneers.