Increased Overjet Dental Trauma . The objective of this review of association (etiology) is to identify the relationship between different overjet measurements and developing a traumatic dental injury (tdi) across different dentition stages. An increased overjet of 6 mm. In this prospective study, overjet stood out among variables as the most significant risk factor of tdi: An increased overjet of 6 mm or more had. An increased overjet is significantly associated with higher odds of experiencing incisor trauma at all ages and stages of dental. Specifically, the review will elucidate the critical level, in millimetres, at which an overjet will place an individual at an increased. In this prospective study, overjet stood out among variables as the most significant risk factor of tdi: An increased overjet is significantly associated with higher odds of experiencing incisor trauma at all ages and stages of dental. An increased overjet was significantly associated with higher odds of developing trauma in all dentition stages and age groups. An increased overjet was significantly associated with higher odds of developing trauma in all dentition stages and age groups. An increased overjet is significantly associated with higher odds of experiencing incisor trauma at all ages and stages of dental.
from theoralcarecentre.com.sg
An increased overjet is significantly associated with higher odds of experiencing incisor trauma at all ages and stages of dental. In this prospective study, overjet stood out among variables as the most significant risk factor of tdi: An increased overjet is significantly associated with higher odds of experiencing incisor trauma at all ages and stages of dental. An increased overjet was significantly associated with higher odds of developing trauma in all dentition stages and age groups. An increased overjet of 6 mm. The objective of this review of association (etiology) is to identify the relationship between different overjet measurements and developing a traumatic dental injury (tdi) across different dentition stages. An increased overjet is significantly associated with higher odds of experiencing incisor trauma at all ages and stages of dental. Specifically, the review will elucidate the critical level, in millimetres, at which an overjet will place an individual at an increased. An increased overjet was significantly associated with higher odds of developing trauma in all dentition stages and age groups. An increased overjet of 6 mm or more had.
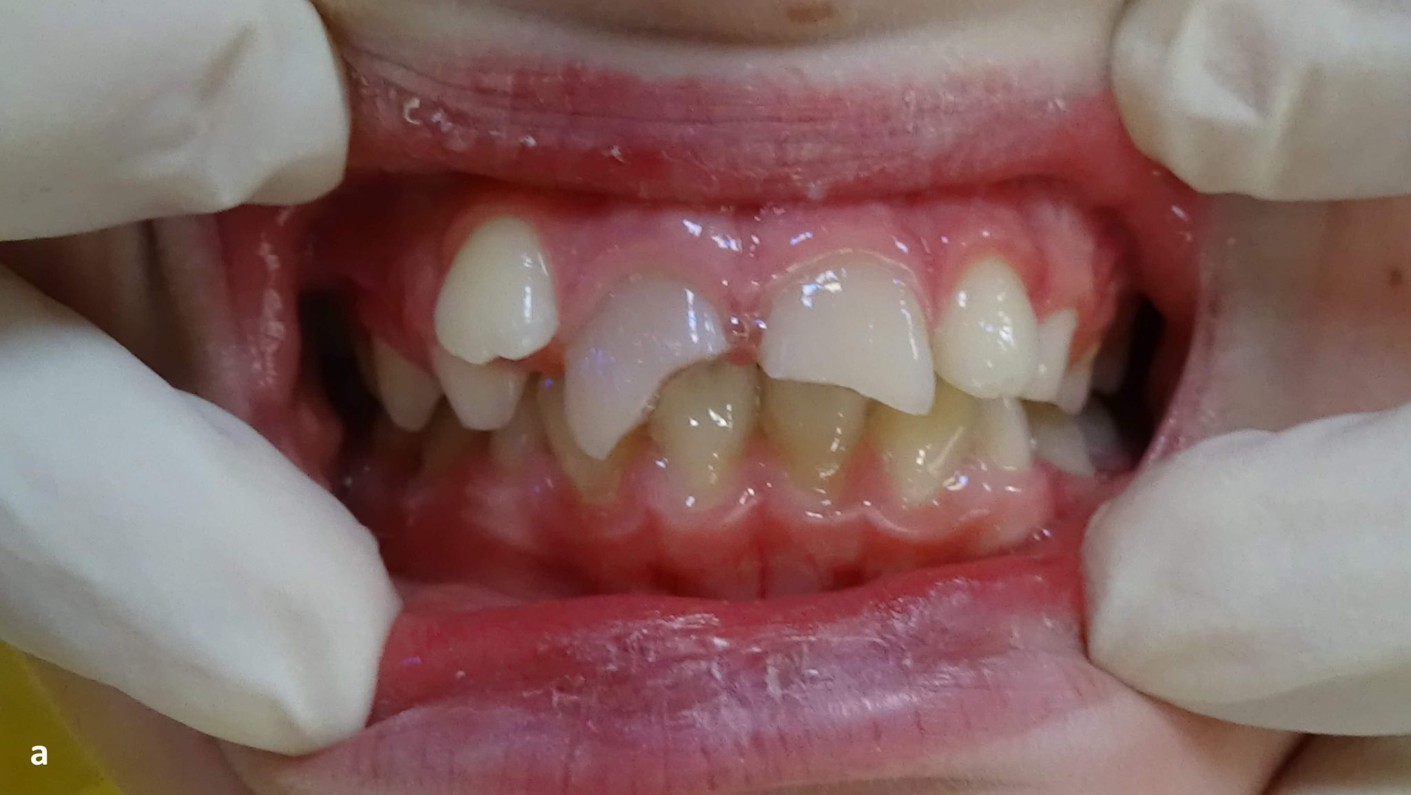
Dental Trauma Oralcare
Increased Overjet Dental Trauma In this prospective study, overjet stood out among variables as the most significant risk factor of tdi: Specifically, the review will elucidate the critical level, in millimetres, at which an overjet will place an individual at an increased. An increased overjet is significantly associated with higher odds of experiencing incisor trauma at all ages and stages of dental. An increased overjet of 6 mm or more had. An increased overjet was significantly associated with higher odds of developing trauma in all dentition stages and age groups. An increased overjet is significantly associated with higher odds of experiencing incisor trauma at all ages and stages of dental. The objective of this review of association (etiology) is to identify the relationship between different overjet measurements and developing a traumatic dental injury (tdi) across different dentition stages. An increased overjet is significantly associated with higher odds of experiencing incisor trauma at all ages and stages of dental. An increased overjet was significantly associated with higher odds of developing trauma in all dentition stages and age groups. In this prospective study, overjet stood out among variables as the most significant risk factor of tdi: In this prospective study, overjet stood out among variables as the most significant risk factor of tdi: An increased overjet of 6 mm.
From ar.inspiredpencil.com
Overjet Vs Overbite Increased Overjet Dental Trauma An increased overjet is significantly associated with higher odds of experiencing incisor trauma at all ages and stages of dental. An increased overjet of 6 mm or more had. An increased overjet of 6 mm. The objective of this review of association (etiology) is to identify the relationship between different overjet measurements and developing a traumatic dental injury (tdi) across. Increased Overjet Dental Trauma.
From www.slideserve.com
PPT Prevention of Dental Trauma I PowerPoint Presentation, free Increased Overjet Dental Trauma Specifically, the review will elucidate the critical level, in millimetres, at which an overjet will place an individual at an increased. An increased overjet is significantly associated with higher odds of experiencing incisor trauma at all ages and stages of dental. In this prospective study, overjet stood out among variables as the most significant risk factor of tdi: An increased. Increased Overjet Dental Trauma.
From www.orisdentalcenter.ae
What Is Meant by Overjet Teeth? Oris Dental Center Increased Overjet Dental Trauma An increased overjet of 6 mm. Specifically, the review will elucidate the critical level, in millimetres, at which an overjet will place an individual at an increased. An increased overjet of 6 mm or more had. In this prospective study, overjet stood out among variables as the most significant risk factor of tdi: The objective of this review of association. Increased Overjet Dental Trauma.
From www.slideserve.com
PPT Prevention of Dental Trauma I PowerPoint Presentation, free Increased Overjet Dental Trauma An increased overjet is significantly associated with higher odds of experiencing incisor trauma at all ages and stages of dental. An increased overjet is significantly associated with higher odds of experiencing incisor trauma at all ages and stages of dental. The objective of this review of association (etiology) is to identify the relationship between different overjet measurements and developing a. Increased Overjet Dental Trauma.
From jamilian.net
البروز أو اورجت الدکتور جمیلیان Increased Overjet Dental Trauma In this prospective study, overjet stood out among variables as the most significant risk factor of tdi: An increased overjet is significantly associated with higher odds of experiencing incisor trauma at all ages and stages of dental. An increased overjet is significantly associated with higher odds of experiencing incisor trauma at all ages and stages of dental. An increased overjet. Increased Overjet Dental Trauma.
From theoralcarecentre.com.sg
Dental Trauma Oralcare Increased Overjet Dental Trauma An increased overjet is significantly associated with higher odds of experiencing incisor trauma at all ages and stages of dental. An increased overjet was significantly associated with higher odds of developing trauma in all dentition stages and age groups. An increased overjet is significantly associated with higher odds of experiencing incisor trauma at all ages and stages of dental. The. Increased Overjet Dental Trauma.
From orthodonticsaustralia.org.au
Orthodontics Australia Overjet and Overbite Difference, Causes and Increased Overjet Dental Trauma An increased overjet was significantly associated with higher odds of developing trauma in all dentition stages and age groups. In this prospective study, overjet stood out among variables as the most significant risk factor of tdi: An increased overjet is significantly associated with higher odds of experiencing incisor trauma at all ages and stages of dental. An increased overjet of. Increased Overjet Dental Trauma.
From www.clinicadentalplata.es
Tipos de mordida Clínica Dental Plata en Alcorcón Increased Overjet Dental Trauma An increased overjet is significantly associated with higher odds of experiencing incisor trauma at all ages and stages of dental. An increased overjet is significantly associated with higher odds of experiencing incisor trauma at all ages and stages of dental. The objective of this review of association (etiology) is to identify the relationship between different overjet measurements and developing a. Increased Overjet Dental Trauma.
From ar.inspiredpencil.com
Overjet Teeth Increased Overjet Dental Trauma An increased overjet of 6 mm or more had. The objective of this review of association (etiology) is to identify the relationship between different overjet measurements and developing a traumatic dental injury (tdi) across different dentition stages. An increased overjet is significantly associated with higher odds of experiencing incisor trauma at all ages and stages of dental. An increased overjet. Increased Overjet Dental Trauma.
From klublr.com
Correção De Dentes Overjet Increased Overjet Dental Trauma An increased overjet was significantly associated with higher odds of developing trauma in all dentition stages and age groups. An increased overjet is significantly associated with higher odds of experiencing incisor trauma at all ages and stages of dental. An increased overjet of 6 mm. In this prospective study, overjet stood out among variables as the most significant risk factor. Increased Overjet Dental Trauma.
From pocketdentistry.com
Anteroposterior Problems Pocket Dentistry Increased Overjet Dental Trauma An increased overjet of 6 mm or more had. An increased overjet was significantly associated with higher odds of developing trauma in all dentition stages and age groups. The objective of this review of association (etiology) is to identify the relationship between different overjet measurements and developing a traumatic dental injury (tdi) across different dentition stages. Specifically, the review will. Increased Overjet Dental Trauma.
From www.facebook.com
What is an 'incorrect bite'? This is... Lefkara Dental Spa Increased Overjet Dental Trauma An increased overjet was significantly associated with higher odds of developing trauma in all dentition stages and age groups. An increased overjet was significantly associated with higher odds of developing trauma in all dentition stages and age groups. The objective of this review of association (etiology) is to identify the relationship between different overjet measurements and developing a traumatic dental. Increased Overjet Dental Trauma.
From rjd.ro
Increased overjet early versus late management. Literature review and Increased Overjet Dental Trauma In this prospective study, overjet stood out among variables as the most significant risk factor of tdi: Specifically, the review will elucidate the critical level, in millimetres, at which an overjet will place an individual at an increased. An increased overjet is significantly associated with higher odds of experiencing incisor trauma at all ages and stages of dental. An increased. Increased Overjet Dental Trauma.
From www.semanticscholar.org
[PDF] Conservative treatment of a Class I malocclusion with 12 mm Increased Overjet Dental Trauma An increased overjet is significantly associated with higher odds of experiencing incisor trauma at all ages and stages of dental. In this prospective study, overjet stood out among variables as the most significant risk factor of tdi: An increased overjet of 6 mm. An increased overjet is significantly associated with higher odds of experiencing incisor trauma at all ages and. Increased Overjet Dental Trauma.
From springorchid.com.au
Overjet Teeth vs Overbite What's Different? Spring Orchid Dental Increased Overjet Dental Trauma The objective of this review of association (etiology) is to identify the relationship between different overjet measurements and developing a traumatic dental injury (tdi) across different dentition stages. An increased overjet is significantly associated with higher odds of experiencing incisor trauma at all ages and stages of dental. An increased overjet of 6 mm. An increased overjet was significantly associated. Increased Overjet Dental Trauma.
From portal.perueduca.edu.pe
Why Do I Have Bites All Over My Feet Printable Templates Protal Increased Overjet Dental Trauma An increased overjet is significantly associated with higher odds of experiencing incisor trauma at all ages and stages of dental. An increased overjet was significantly associated with higher odds of developing trauma in all dentition stages and age groups. An increased overjet is significantly associated with higher odds of experiencing incisor trauma at all ages and stages of dental. In. Increased Overjet Dental Trauma.
From www.centrepointeorthodontics.com
Overjet Orthodontist Ottawa ON Centrepointe Orthodontics Increased Overjet Dental Trauma An increased overjet is significantly associated with higher odds of experiencing incisor trauma at all ages and stages of dental. An increased overjet of 6 mm or more had. Specifically, the review will elucidate the critical level, in millimetres, at which an overjet will place an individual at an increased. An increased overjet is significantly associated with higher odds of. Increased Overjet Dental Trauma.
From www.semanticscholar.org
Figure 1 from Overjet and incisor position as predisposing factors for Increased Overjet Dental Trauma An increased overjet was significantly associated with higher odds of developing trauma in all dentition stages and age groups. An increased overjet of 6 mm or more had. Specifically, the review will elucidate the critical level, in millimetres, at which an overjet will place an individual at an increased. An increased overjet is significantly associated with higher odds of experiencing. Increased Overjet Dental Trauma.
From www.researchgate.net
(PDF) Should we early overjet reduction to prevent dental trauma? Increased Overjet Dental Trauma An increased overjet was significantly associated with higher odds of developing trauma in all dentition stages and age groups. An increased overjet is significantly associated with higher odds of experiencing incisor trauma at all ages and stages of dental. An increased overjet is significantly associated with higher odds of experiencing incisor trauma at all ages and stages of dental. An. Increased Overjet Dental Trauma.
From lowelldentalarts.com
Braces & Orthodontic Treatments In Lowell MA Lowell Dental Arts Increased Overjet Dental Trauma An increased overjet is significantly associated with higher odds of experiencing incisor trauma at all ages and stages of dental. In this prospective study, overjet stood out among variables as the most significant risk factor of tdi: The objective of this review of association (etiology) is to identify the relationship between different overjet measurements and developing a traumatic dental injury. Increased Overjet Dental Trauma.
From rjd.ro
Increased overjet early versus late management. Literature review and Increased Overjet Dental Trauma An increased overjet was significantly associated with higher odds of developing trauma in all dentition stages and age groups. An increased overjet of 6 mm. An increased overjet of 6 mm or more had. An increased overjet is significantly associated with higher odds of experiencing incisor trauma at all ages and stages of dental. In this prospective study, overjet stood. Increased Overjet Dental Trauma.
From www.youtube.com
Malocclusion Overjet (Overbite) Secondary to Vertical Maxillary Increased Overjet Dental Trauma An increased overjet is significantly associated with higher odds of experiencing incisor trauma at all ages and stages of dental. An increased overjet was significantly associated with higher odds of developing trauma in all dentition stages and age groups. An increased overjet was significantly associated with higher odds of developing trauma in all dentition stages and age groups. An increased. Increased Overjet Dental Trauma.
From www.clearpathortho.com
Overjet and Overbite A Clear Aligner Guide ClearPath Orthodontics Increased Overjet Dental Trauma In this prospective study, overjet stood out among variables as the most significant risk factor of tdi: An increased overjet was significantly associated with higher odds of developing trauma in all dentition stages and age groups. Specifically, the review will elucidate the critical level, in millimetres, at which an overjet will place an individual at an increased. In this prospective. Increased Overjet Dental Trauma.
From kevinobrienorthoblog.com
Incisal trauma is related to large overjets. Kevin O'Brien's Increased Overjet Dental Trauma An increased overjet was significantly associated with higher odds of developing trauma in all dentition stages and age groups. In this prospective study, overjet stood out among variables as the most significant risk factor of tdi: An increased overjet of 6 mm or more had. Specifically, the review will elucidate the critical level, in millimetres, at which an overjet will. Increased Overjet Dental Trauma.
From www.researchgate.net
Case 3. 13yearold male patient with skeletal Class II malocclusion Increased Overjet Dental Trauma The objective of this review of association (etiology) is to identify the relationship between different overjet measurements and developing a traumatic dental injury (tdi) across different dentition stages. An increased overjet is significantly associated with higher odds of experiencing incisor trauma at all ages and stages of dental. An increased overjet was significantly associated with higher odds of developing trauma. Increased Overjet Dental Trauma.
From www.vrogue.co
Extraction And Replacement Of Maxillary Central Incis vrogue.co Increased Overjet Dental Trauma An increased overjet is significantly associated with higher odds of experiencing incisor trauma at all ages and stages of dental. An increased overjet was significantly associated with higher odds of developing trauma in all dentition stages and age groups. In this prospective study, overjet stood out among variables as the most significant risk factor of tdi: An increased overjet is. Increased Overjet Dental Trauma.
From www.academiadaodontologia.com.br
O overjet aumentado representa um risco ao trauma dental? Increased Overjet Dental Trauma The objective of this review of association (etiology) is to identify the relationship between different overjet measurements and developing a traumatic dental injury (tdi) across different dentition stages. In this prospective study, overjet stood out among variables as the most significant risk factor of tdi: An increased overjet is significantly associated with higher odds of experiencing incisor trauma at all. Increased Overjet Dental Trauma.
From kevinobrienorthoblog.com
Summary of functional appliance treatment Kevin O'Brien's Orthodontic Increased Overjet Dental Trauma In this prospective study, overjet stood out among variables as the most significant risk factor of tdi: An increased overjet of 6 mm or more had. An increased overjet is significantly associated with higher odds of experiencing incisor trauma at all ages and stages of dental. In this prospective study, overjet stood out among variables as the most significant risk. Increased Overjet Dental Trauma.
From tagdental.my
Orthodontic Treatment Healthier Mouth with TAG Dental Clinic Increased Overjet Dental Trauma An increased overjet is significantly associated with higher odds of experiencing incisor trauma at all ages and stages of dental. Specifically, the review will elucidate the critical level, in millimetres, at which an overjet will place an individual at an increased. In this prospective study, overjet stood out among variables as the most significant risk factor of tdi: An increased. Increased Overjet Dental Trauma.
From www.dentistry33.com
Coast Dental selects Overjet AI to power xray analysis, clinical Increased Overjet Dental Trauma An increased overjet is significantly associated with higher odds of experiencing incisor trauma at all ages and stages of dental. An increased overjet is significantly associated with higher odds of experiencing incisor trauma at all ages and stages of dental. An increased overjet of 6 mm. An increased overjet of 6 mm or more had. In this prospective study, overjet. Increased Overjet Dental Trauma.
From bioengineer.org
Protect protruding teeth from damage and longterm consequences Increased Overjet Dental Trauma In this prospective study, overjet stood out among variables as the most significant risk factor of tdi: In this prospective study, overjet stood out among variables as the most significant risk factor of tdi: An increased overjet of 6 mm or more had. Specifically, the review will elucidate the critical level, in millimetres, at which an overjet will place an. Increased Overjet Dental Trauma.
From www.youtube.com
Orthodontic Treatment of Deep Overbite & Increased Overjet Mousa 37 Increased Overjet Dental Trauma The objective of this review of association (etiology) is to identify the relationship between different overjet measurements and developing a traumatic dental injury (tdi) across different dentition stages. An increased overjet is significantly associated with higher odds of experiencing incisor trauma at all ages and stages of dental. An increased overjet of 6 mm or more had. An increased overjet. Increased Overjet Dental Trauma.
From inlineortho.com.au
Problems Inline Orthodontics Increased Overjet Dental Trauma In this prospective study, overjet stood out among variables as the most significant risk factor of tdi: An increased overjet was significantly associated with higher odds of developing trauma in all dentition stages and age groups. An increased overjet is significantly associated with higher odds of experiencing incisor trauma at all ages and stages of dental. An increased overjet of. Increased Overjet Dental Trauma.
From qa-www.straumann.com
ClearCorrect Overjet Increased Overjet Dental Trauma An increased overjet was significantly associated with higher odds of developing trauma in all dentition stages and age groups. An increased overjet of 6 mm or more had. The objective of this review of association (etiology) is to identify the relationship between different overjet measurements and developing a traumatic dental injury (tdi) across different dentition stages. Specifically, the review will. Increased Overjet Dental Trauma.
From ar.inspiredpencil.com
Overjet Before And After Increased Overjet Dental Trauma An increased overjet of 6 mm or more had. An increased overjet is significantly associated with higher odds of experiencing incisor trauma at all ages and stages of dental. In this prospective study, overjet stood out among variables as the most significant risk factor of tdi: An increased overjet is significantly associated with higher odds of experiencing incisor trauma at. Increased Overjet Dental Trauma.