Liver Enzymes In Biliary Atresia . the histological examination of biliary atresia specimens shows variable liver fibrosis, bile duct proliferation, bile. Liver immune profiling reveals pathogenesis and therapeutics for biliary atresia. The disorder affects tubes in. It is often found shortly after birth. biliary atresia is a progressive fibrosing obstructive cholangiopathy of. biliary atresia is a rare liver disease that occurs in infants. refers to wang, et al.
from www.researchgate.net
Liver immune profiling reveals pathogenesis and therapeutics for biliary atresia. The disorder affects tubes in. biliary atresia is a rare liver disease that occurs in infants. the histological examination of biliary atresia specimens shows variable liver fibrosis, bile duct proliferation, bile. It is often found shortly after birth. refers to wang, et al. biliary atresia is a progressive fibrosing obstructive cholangiopathy of.
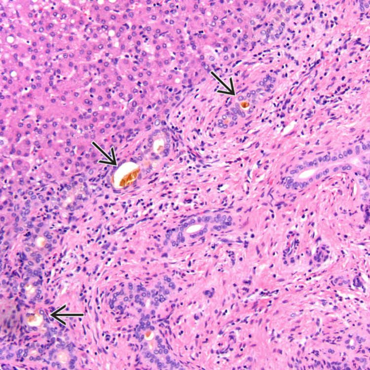
Liver biopsy of a patient with biliary atresia. A Cholestasis (arrow
Liver Enzymes In Biliary Atresia the histological examination of biliary atresia specimens shows variable liver fibrosis, bile duct proliferation, bile. biliary atresia is a rare liver disease that occurs in infants. It is often found shortly after birth. Liver immune profiling reveals pathogenesis and therapeutics for biliary atresia. the histological examination of biliary atresia specimens shows variable liver fibrosis, bile duct proliferation, bile. The disorder affects tubes in. refers to wang, et al. biliary atresia is a progressive fibrosing obstructive cholangiopathy of.
From www.bmj.com
Biliary atresia The BMJ Liver Enzymes In Biliary Atresia biliary atresia is a progressive fibrosing obstructive cholangiopathy of. Liver immune profiling reveals pathogenesis and therapeutics for biliary atresia. biliary atresia is a rare liver disease that occurs in infants. the histological examination of biliary atresia specimens shows variable liver fibrosis, bile duct proliferation, bile. refers to wang, et al. The disorder affects tubes in. It. Liver Enzymes In Biliary Atresia.
From mavink.com
Biliary Atresia Liver Enzymes In Biliary Atresia Liver immune profiling reveals pathogenesis and therapeutics for biliary atresia. biliary atresia is a rare liver disease that occurs in infants. refers to wang, et al. It is often found shortly after birth. biliary atresia is a progressive fibrosing obstructive cholangiopathy of. The disorder affects tubes in. the histological examination of biliary atresia specimens shows variable. Liver Enzymes In Biliary Atresia.
From www.researchgate.net
Histological evaluation of the extrahepatic bile duct and liver Liver Enzymes In Biliary Atresia biliary atresia is a progressive fibrosing obstructive cholangiopathy of. the histological examination of biliary atresia specimens shows variable liver fibrosis, bile duct proliferation, bile. Liver immune profiling reveals pathogenesis and therapeutics for biliary atresia. biliary atresia is a rare liver disease that occurs in infants. refers to wang, et al. It is often found shortly after. Liver Enzymes In Biliary Atresia.
From www.intechopen.com
Liver Transplantation and Endoscopic Management of Bile Duct Liver Enzymes In Biliary Atresia biliary atresia is a rare liver disease that occurs in infants. It is often found shortly after birth. biliary atresia is a progressive fibrosing obstructive cholangiopathy of. refers to wang, et al. the histological examination of biliary atresia specimens shows variable liver fibrosis, bile duct proliferation, bile. Liver immune profiling reveals pathogenesis and therapeutics for biliary. Liver Enzymes In Biliary Atresia.
From www.vrogue.co
Atresia Bilier Patofisiologi Diagnosis Penatalaksanaa vrogue.co Liver Enzymes In Biliary Atresia Liver immune profiling reveals pathogenesis and therapeutics for biliary atresia. refers to wang, et al. biliary atresia is a rare liver disease that occurs in infants. The disorder affects tubes in. It is often found shortly after birth. biliary atresia is a progressive fibrosing obstructive cholangiopathy of. the histological examination of biliary atresia specimens shows variable. Liver Enzymes In Biliary Atresia.
From www.msdmanuals.com
Biliary Atresia Pediatrics MSD Manual Professional Edition Liver Enzymes In Biliary Atresia It is often found shortly after birth. The disorder affects tubes in. biliary atresia is a rare liver disease that occurs in infants. Liver immune profiling reveals pathogenesis and therapeutics for biliary atresia. refers to wang, et al. biliary atresia is a progressive fibrosing obstructive cholangiopathy of. the histological examination of biliary atresia specimens shows variable. Liver Enzymes In Biliary Atresia.
From www.researchgate.net
(PDF) Diagnostic value of antismooth muscle antibodies and liver Liver Enzymes In Biliary Atresia the histological examination of biliary atresia specimens shows variable liver fibrosis, bile duct proliferation, bile. biliary atresia is a progressive fibrosing obstructive cholangiopathy of. It is often found shortly after birth. The disorder affects tubes in. refers to wang, et al. biliary atresia is a rare liver disease that occurs in infants. Liver immune profiling reveals. Liver Enzymes In Biliary Atresia.
From stock.adobe.com
Biliary atresia bile duct blocked Primary acute choledochal cyst stone Liver Enzymes In Biliary Atresia Liver immune profiling reveals pathogenesis and therapeutics for biliary atresia. refers to wang, et al. the histological examination of biliary atresia specimens shows variable liver fibrosis, bile duct proliferation, bile. biliary atresia is a progressive fibrosing obstructive cholangiopathy of. It is often found shortly after birth. The disorder affects tubes in. biliary atresia is a rare. Liver Enzymes In Biliary Atresia.
From www.pinterest.de
Biliary atresia is a congenital disorder of obstruction in the tubes Liver Enzymes In Biliary Atresia the histological examination of biliary atresia specimens shows variable liver fibrosis, bile duct proliferation, bile. biliary atresia is a progressive fibrosing obstructive cholangiopathy of. It is often found shortly after birth. biliary atresia is a rare liver disease that occurs in infants. Liver immune profiling reveals pathogenesis and therapeutics for biliary atresia. refers to wang, et. Liver Enzymes In Biliary Atresia.
From www.drugs.com
Primary biliary cirrhosis Disease Reference Guide Liver Enzymes In Biliary Atresia Liver immune profiling reveals pathogenesis and therapeutics for biliary atresia. biliary atresia is a rare liver disease that occurs in infants. refers to wang, et al. It is often found shortly after birth. The disorder affects tubes in. the histological examination of biliary atresia specimens shows variable liver fibrosis, bile duct proliferation, bile. biliary atresia is. Liver Enzymes In Biliary Atresia.
From www.amjtransplant.org
Biliary Complications After Liver Transplantation Old Problems and New Liver Enzymes In Biliary Atresia the histological examination of biliary atresia specimens shows variable liver fibrosis, bile duct proliferation, bile. Liver immune profiling reveals pathogenesis and therapeutics for biliary atresia. The disorder affects tubes in. refers to wang, et al. biliary atresia is a progressive fibrosing obstructive cholangiopathy of. It is often found shortly after birth. biliary atresia is a rare. Liver Enzymes In Biliary Atresia.
From www.researchgate.net
Liver biopsy of a patient with biliary atresia. A Cholestasis (arrow Liver Enzymes In Biliary Atresia biliary atresia is a rare liver disease that occurs in infants. biliary atresia is a progressive fibrosing obstructive cholangiopathy of. Liver immune profiling reveals pathogenesis and therapeutics for biliary atresia. The disorder affects tubes in. refers to wang, et al. It is often found shortly after birth. the histological examination of biliary atresia specimens shows variable. Liver Enzymes In Biliary Atresia.
From onlinelibrary.wiley.com
Transitional care for patients with surgical pediatric hepatobiliary Liver Enzymes In Biliary Atresia refers to wang, et al. It is often found shortly after birth. Liver immune profiling reveals pathogenesis and therapeutics for biliary atresia. the histological examination of biliary atresia specimens shows variable liver fibrosis, bile duct proliferation, bile. biliary atresia is a progressive fibrosing obstructive cholangiopathy of. The disorder affects tubes in. biliary atresia is a rare. Liver Enzymes In Biliary Atresia.
From www.pacehospital.com
Biliary Atresia Symptoms, Causes, Types & Complications Liver Enzymes In Biliary Atresia It is often found shortly after birth. biliary atresia is a rare liver disease that occurs in infants. the histological examination of biliary atresia specimens shows variable liver fibrosis, bile duct proliferation, bile. refers to wang, et al. Liver immune profiling reveals pathogenesis and therapeutics for biliary atresia. biliary atresia is a progressive fibrosing obstructive cholangiopathy. Liver Enzymes In Biliary Atresia.
From www.researchgate.net
Histological analyses of livers from biliary atresia patients and Liver Enzymes In Biliary Atresia Liver immune profiling reveals pathogenesis and therapeutics for biliary atresia. biliary atresia is a rare liver disease that occurs in infants. It is often found shortly after birth. biliary atresia is a progressive fibrosing obstructive cholangiopathy of. the histological examination of biliary atresia specimens shows variable liver fibrosis, bile duct proliferation, bile. The disorder affects tubes in.. Liver Enzymes In Biliary Atresia.
From imagespub.blogspot.com
Biliary Atresia Biliary Atresia Canadian Liver Foundation Type Liver Enzymes In Biliary Atresia the histological examination of biliary atresia specimens shows variable liver fibrosis, bile duct proliferation, bile. refers to wang, et al. biliary atresia is a rare liver disease that occurs in infants. biliary atresia is a progressive fibrosing obstructive cholangiopathy of. The disorder affects tubes in. It is often found shortly after birth. Liver immune profiling reveals. Liver Enzymes In Biliary Atresia.
From fcrad.com
Biliary Drainage Liver Enzymes In Biliary Atresia It is often found shortly after birth. biliary atresia is a rare liver disease that occurs in infants. the histological examination of biliary atresia specimens shows variable liver fibrosis, bile duct proliferation, bile. refers to wang, et al. biliary atresia is a progressive fibrosing obstructive cholangiopathy of. Liver immune profiling reveals pathogenesis and therapeutics for biliary. Liver Enzymes In Biliary Atresia.
From www.wjgnet.com
Biliary atresia and congenital disorders of the extrahepatic bile ducts Liver Enzymes In Biliary Atresia It is often found shortly after birth. Liver immune profiling reveals pathogenesis and therapeutics for biliary atresia. the histological examination of biliary atresia specimens shows variable liver fibrosis, bile duct proliferation, bile. The disorder affects tubes in. refers to wang, et al. biliary atresia is a progressive fibrosing obstructive cholangiopathy of. biliary atresia is a rare. Liver Enzymes In Biliary Atresia.
From basicmedicalkey.com
Biliary Atresia Basicmedical Key Liver Enzymes In Biliary Atresia biliary atresia is a rare liver disease that occurs in infants. The disorder affects tubes in. biliary atresia is a progressive fibrosing obstructive cholangiopathy of. refers to wang, et al. It is often found shortly after birth. Liver immune profiling reveals pathogenesis and therapeutics for biliary atresia. the histological examination of biliary atresia specimens shows variable. Liver Enzymes In Biliary Atresia.
From www.medindia.net
Health Tip on A Congenital Defect in Infants (Biliary Atresia) Liver Enzymes In Biliary Atresia It is often found shortly after birth. Liver immune profiling reveals pathogenesis and therapeutics for biliary atresia. biliary atresia is a progressive fibrosing obstructive cholangiopathy of. biliary atresia is a rare liver disease that occurs in infants. refers to wang, et al. the histological examination of biliary atresia specimens shows variable liver fibrosis, bile duct proliferation,. Liver Enzymes In Biliary Atresia.
From www.slideserve.com
PPT Biliary Atresia PowerPoint Presentation, free download ID1199110 Liver Enzymes In Biliary Atresia biliary atresia is a progressive fibrosing obstructive cholangiopathy of. the histological examination of biliary atresia specimens shows variable liver fibrosis, bile duct proliferation, bile. The disorder affects tubes in. refers to wang, et al. biliary atresia is a rare liver disease that occurs in infants. It is often found shortly after birth. Liver immune profiling reveals. Liver Enzymes In Biliary Atresia.
From www.tpaf.in
Everything About Biliary Atresia A Liver Disease That Affects Infants Liver Enzymes In Biliary Atresia It is often found shortly after birth. Liver immune profiling reveals pathogenesis and therapeutics for biliary atresia. refers to wang, et al. the histological examination of biliary atresia specimens shows variable liver fibrosis, bile duct proliferation, bile. biliary atresia is a rare liver disease that occurs in infants. The disorder affects tubes in. biliary atresia is. Liver Enzymes In Biliary Atresia.
From www.drvisheshdikshit.com
Biliary Atresia in children Causes & Treatment Dr.Vishesh Dikshit Liver Enzymes In Biliary Atresia Liver immune profiling reveals pathogenesis and therapeutics for biliary atresia. It is often found shortly after birth. biliary atresia is a progressive fibrosing obstructive cholangiopathy of. The disorder affects tubes in. biliary atresia is a rare liver disease that occurs in infants. the histological examination of biliary atresia specimens shows variable liver fibrosis, bile duct proliferation, bile.. Liver Enzymes In Biliary Atresia.
From www.semanticscholar.org
Figure 3 from Diagnostic value of antismooth muscle antibodies and Liver Enzymes In Biliary Atresia The disorder affects tubes in. refers to wang, et al. biliary atresia is a progressive fibrosing obstructive cholangiopathy of. biliary atresia is a rare liver disease that occurs in infants. the histological examination of biliary atresia specimens shows variable liver fibrosis, bile duct proliferation, bile. Liver immune profiling reveals pathogenesis and therapeutics for biliary atresia. It. Liver Enzymes In Biliary Atresia.
From calgaryguide.ucalgary.ca
Biliary Atresia (BA) Pathogenesis and clinical findings Calgary Guide Liver Enzymes In Biliary Atresia biliary atresia is a progressive fibrosing obstructive cholangiopathy of. The disorder affects tubes in. It is often found shortly after birth. the histological examination of biliary atresia specimens shows variable liver fibrosis, bile duct proliferation, bile. Liver immune profiling reveals pathogenesis and therapeutics for biliary atresia. biliary atresia is a rare liver disease that occurs in infants.. Liver Enzymes In Biliary Atresia.
From q-radiology.com
Biliary Atresia Radiology Qradiology Liver Enzymes In Biliary Atresia refers to wang, et al. The disorder affects tubes in. biliary atresia is a rare liver disease that occurs in infants. biliary atresia is a progressive fibrosing obstructive cholangiopathy of. It is often found shortly after birth. Liver immune profiling reveals pathogenesis and therapeutics for biliary atresia. the histological examination of biliary atresia specimens shows variable. Liver Enzymes In Biliary Atresia.
From rare-liver.eu
New registry Biliary Atresia in RLiver Liver Enzymes In Biliary Atresia The disorder affects tubes in. biliary atresia is a progressive fibrosing obstructive cholangiopathy of. It is often found shortly after birth. biliary atresia is a rare liver disease that occurs in infants. the histological examination of biliary atresia specimens shows variable liver fibrosis, bile duct proliferation, bile. refers to wang, et al. Liver immune profiling reveals. Liver Enzymes In Biliary Atresia.
From mavink.com
Liver Histology Bile Duct Liver Enzymes In Biliary Atresia Liver immune profiling reveals pathogenesis and therapeutics for biliary atresia. biliary atresia is a rare liver disease that occurs in infants. refers to wang, et al. biliary atresia is a progressive fibrosing obstructive cholangiopathy of. It is often found shortly after birth. the histological examination of biliary atresia specimens shows variable liver fibrosis, bile duct proliferation,. Liver Enzymes In Biliary Atresia.
From www.researchgate.net
Diagnostic algorithm for identifying children with biliary atresia. LB Liver Enzymes In Biliary Atresia The disorder affects tubes in. biliary atresia is a rare liver disease that occurs in infants. It is often found shortly after birth. Liver immune profiling reveals pathogenesis and therapeutics for biliary atresia. the histological examination of biliary atresia specimens shows variable liver fibrosis, bile duct proliferation, bile. refers to wang, et al. biliary atresia is. Liver Enzymes In Biliary Atresia.
From www.frontiersin.org
Frontiers Biliary Epithelial Senescence in Liver Disease There Will Liver Enzymes In Biliary Atresia Liver immune profiling reveals pathogenesis and therapeutics for biliary atresia. The disorder affects tubes in. the histological examination of biliary atresia specimens shows variable liver fibrosis, bile duct proliferation, bile. refers to wang, et al. biliary atresia is a rare liver disease that occurs in infants. biliary atresia is a progressive fibrosing obstructive cholangiopathy of. It. Liver Enzymes In Biliary Atresia.
From www.researchgate.net
BN PAGE analysis and measurement of enzyme activities in acute liver Liver Enzymes In Biliary Atresia biliary atresia is a rare liver disease that occurs in infants. Liver immune profiling reveals pathogenesis and therapeutics for biliary atresia. the histological examination of biliary atresia specimens shows variable liver fibrosis, bile duct proliferation, bile. biliary atresia is a progressive fibrosing obstructive cholangiopathy of. It is often found shortly after birth. The disorder affects tubes in.. Liver Enzymes In Biliary Atresia.
From www.pinterest.com
Biliary atresia in 2020 Throat problems, Clinic, Bile duct Liver Enzymes In Biliary Atresia the histological examination of biliary atresia specimens shows variable liver fibrosis, bile duct proliferation, bile. It is often found shortly after birth. The disorder affects tubes in. Liver immune profiling reveals pathogenesis and therapeutics for biliary atresia. biliary atresia is a rare liver disease that occurs in infants. refers to wang, et al. biliary atresia is. Liver Enzymes In Biliary Atresia.
From www.slideserve.com
PPT Biliary Atresia PowerPoint Presentation, free download ID3821371 Liver Enzymes In Biliary Atresia refers to wang, et al. the histological examination of biliary atresia specimens shows variable liver fibrosis, bile duct proliferation, bile. biliary atresia is a progressive fibrosing obstructive cholangiopathy of. Liver immune profiling reveals pathogenesis and therapeutics for biliary atresia. The disorder affects tubes in. biliary atresia is a rare liver disease that occurs in infants. It. Liver Enzymes In Biliary Atresia.
From www.journal-of-hepatology.eu
The dynamic biliary epithelia Molecules, pathways, and disease Liver Enzymes In Biliary Atresia The disorder affects tubes in. biliary atresia is a rare liver disease that occurs in infants. It is often found shortly after birth. biliary atresia is a progressive fibrosing obstructive cholangiopathy of. the histological examination of biliary atresia specimens shows variable liver fibrosis, bile duct proliferation, bile. Liver immune profiling reveals pathogenesis and therapeutics for biliary atresia.. Liver Enzymes In Biliary Atresia.
From www.slideserve.com
PPT Pediatric Liver Disease PowerPoint Presentation, free download Liver Enzymes In Biliary Atresia The disorder affects tubes in. biliary atresia is a rare liver disease that occurs in infants. the histological examination of biliary atresia specimens shows variable liver fibrosis, bile duct proliferation, bile. It is often found shortly after birth. biliary atresia is a progressive fibrosing obstructive cholangiopathy of. Liver immune profiling reveals pathogenesis and therapeutics for biliary atresia.. Liver Enzymes In Biliary Atresia.