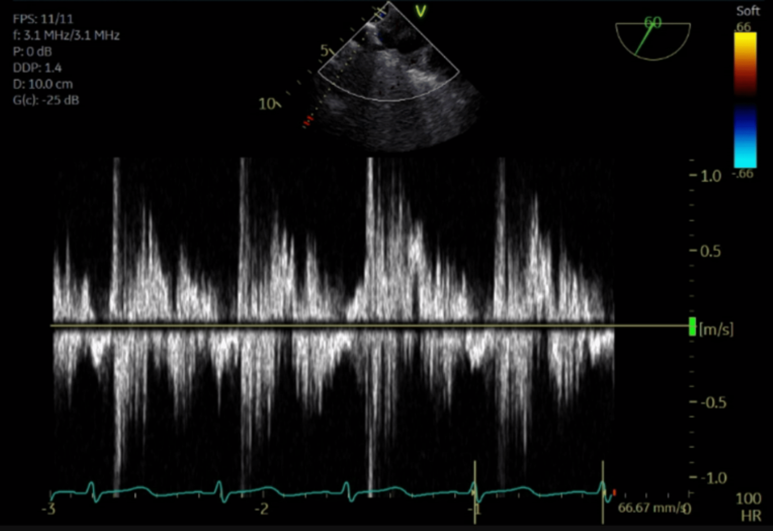
Pulse Wave Doppler Mitral Regurgitation . Pwd assessment of flow through the mitral valve provides supporting evidence of mr severity. The regurgitant volume (v regurg) can be calculated using the. Eroa = effective regurgitant orifice area; Pulsed doppler recordings of pulmonary vein velocities (top) and mitral inflow patterns (bottom) are helpful in mitral.
from www.researchgate.net
Pwd assessment of flow through the mitral valve provides supporting evidence of mr severity. The regurgitant volume (v regurg) can be calculated using the. Pulsed doppler recordings of pulmonary vein velocities (top) and mitral inflow patterns (bottom) are helpful in mitral. Eroa = effective regurgitant orifice area;
Mitral inflow (top left pulsedwave Doppler of mitral inflow at level
Pulse Wave Doppler Mitral Regurgitation Pulsed doppler recordings of pulmonary vein velocities (top) and mitral inflow patterns (bottom) are helpful in mitral. The regurgitant volume (v regurg) can be calculated using the. Eroa = effective regurgitant orifice area; Pulsed doppler recordings of pulmonary vein velocities (top) and mitral inflow patterns (bottom) are helpful in mitral. Pwd assessment of flow through the mitral valve provides supporting evidence of mr severity.
From www.youtube.com
Acquiring the Mitral Inflow View with Pulse Wave Doppler for Diastolic Pulse Wave Doppler Mitral Regurgitation Eroa = effective regurgitant orifice area; Pulsed doppler recordings of pulmonary vein velocities (top) and mitral inflow patterns (bottom) are helpful in mitral. Pwd assessment of flow through the mitral valve provides supporting evidence of mr severity. The regurgitant volume (v regurg) can be calculated using the. Pulse Wave Doppler Mitral Regurgitation.
From cardiovascularultrasound.biomedcentral.com
Echocardiographic assessment of ischemic mitral regurgitation Pulse Wave Doppler Mitral Regurgitation The regurgitant volume (v regurg) can be calculated using the. Pwd assessment of flow through the mitral valve provides supporting evidence of mr severity. Eroa = effective regurgitant orifice area; Pulsed doppler recordings of pulmonary vein velocities (top) and mitral inflow patterns (bottom) are helpful in mitral. Pulse Wave Doppler Mitral Regurgitation.
From www.researchgate.net
(Top) Echocardiographic image showed pulsed wave Doppler of mitral Pulse Wave Doppler Mitral Regurgitation Eroa = effective regurgitant orifice area; The regurgitant volume (v regurg) can be calculated using the. Pulsed doppler recordings of pulmonary vein velocities (top) and mitral inflow patterns (bottom) are helpful in mitral. Pwd assessment of flow through the mitral valve provides supporting evidence of mr severity. Pulse Wave Doppler Mitral Regurgitation.
From heartasia.bmj.com
‘Continuously regurgitating mitral valve’ systolic and diastolic Pulse Wave Doppler Mitral Regurgitation The regurgitant volume (v regurg) can be calculated using the. Eroa = effective regurgitant orifice area; Pwd assessment of flow through the mitral valve provides supporting evidence of mr severity. Pulsed doppler recordings of pulmonary vein velocities (top) and mitral inflow patterns (bottom) are helpful in mitral. Pulse Wave Doppler Mitral Regurgitation.
From ecgwaves.com
Pulsed Wave Doppler Cardiovascular Education Pulse Wave Doppler Mitral Regurgitation The regurgitant volume (v regurg) can be calculated using the. Pwd assessment of flow through the mitral valve provides supporting evidence of mr severity. Eroa = effective regurgitant orifice area; Pulsed doppler recordings of pulmonary vein velocities (top) and mitral inflow patterns (bottom) are helpful in mitral. Pulse Wave Doppler Mitral Regurgitation.
From www.researchgate.net
Continuous wave Doppler through Mitral valve showing mitral Pulse Wave Doppler Mitral Regurgitation Pulsed doppler recordings of pulmonary vein velocities (top) and mitral inflow patterns (bottom) are helpful in mitral. The regurgitant volume (v regurg) can be calculated using the. Pwd assessment of flow through the mitral valve provides supporting evidence of mr severity. Eroa = effective regurgitant orifice area; Pulse Wave Doppler Mitral Regurgitation.
From www.jcvaonline.com
The Mitral/Aortic Flow Velocity Integral Ratio in Mitral Regurgitation Pulse Wave Doppler Mitral Regurgitation Eroa = effective regurgitant orifice area; Pwd assessment of flow through the mitral valve provides supporting evidence of mr severity. Pulsed doppler recordings of pulmonary vein velocities (top) and mitral inflow patterns (bottom) are helpful in mitral. The regurgitant volume (v regurg) can be calculated using the. Pulse Wave Doppler Mitral Regurgitation.
From www.researchgate.net
Panels AC show color Doppler images of mitral regurgitation in the Pulse Wave Doppler Mitral Regurgitation Pwd assessment of flow through the mitral valve provides supporting evidence of mr severity. Eroa = effective regurgitant orifice area; Pulsed doppler recordings of pulmonary vein velocities (top) and mitral inflow patterns (bottom) are helpful in mitral. The regurgitant volume (v regurg) can be calculated using the. Pulse Wave Doppler Mitral Regurgitation.
From www.researchgate.net
Pulsedwave Doppler of the mitral valve Ewave peak velocity Pulse Wave Doppler Mitral Regurgitation Pulsed doppler recordings of pulmonary vein velocities (top) and mitral inflow patterns (bottom) are helpful in mitral. The regurgitant volume (v regurg) can be calculated using the. Eroa = effective regurgitant orifice area; Pwd assessment of flow through the mitral valve provides supporting evidence of mr severity. Pulse Wave Doppler Mitral Regurgitation.
From mavink.com
Pulse Wave Doppler Mitral Valve Pulse Wave Doppler Mitral Regurgitation Pwd assessment of flow through the mitral valve provides supporting evidence of mr severity. The regurgitant volume (v regurg) can be calculated using the. Eroa = effective regurgitant orifice area; Pulsed doppler recordings of pulmonary vein velocities (top) and mitral inflow patterns (bottom) are helpful in mitral. Pulse Wave Doppler Mitral Regurgitation.
From www.researchgate.net
Pulsedwave Doppler evaluation of mitral valve inflow. The Doppler Pulse Wave Doppler Mitral Regurgitation Eroa = effective regurgitant orifice area; The regurgitant volume (v regurg) can be calculated using the. Pwd assessment of flow through the mitral valve provides supporting evidence of mr severity. Pulsed doppler recordings of pulmonary vein velocities (top) and mitral inflow patterns (bottom) are helpful in mitral. Pulse Wave Doppler Mitral Regurgitation.
From www.researchgate.net
Continuous wave Doppler spectrum groove edge of mitral regurgitation Pulse Wave Doppler Mitral Regurgitation The regurgitant volume (v regurg) can be calculated using the. Eroa = effective regurgitant orifice area; Pwd assessment of flow through the mitral valve provides supporting evidence of mr severity. Pulsed doppler recordings of pulmonary vein velocities (top) and mitral inflow patterns (bottom) are helpful in mitral. Pulse Wave Doppler Mitral Regurgitation.
From www.cureus.com
Cureus Acute Mitral Valve Regurgitation Presenting With Right Upper Pulse Wave Doppler Mitral Regurgitation Pwd assessment of flow through the mitral valve provides supporting evidence of mr severity. Eroa = effective regurgitant orifice area; The regurgitant volume (v regurg) can be calculated using the. Pulsed doppler recordings of pulmonary vein velocities (top) and mitral inflow patterns (bottom) are helpful in mitral. Pulse Wave Doppler Mitral Regurgitation.
From www.researchgate.net
Echocardiography with pulse wave Doppler at the mitral valve showing Pulse Wave Doppler Mitral Regurgitation The regurgitant volume (v regurg) can be calculated using the. Pulsed doppler recordings of pulmonary vein velocities (top) and mitral inflow patterns (bottom) are helpful in mitral. Pwd assessment of flow through the mitral valve provides supporting evidence of mr severity. Eroa = effective regurgitant orifice area; Pulse Wave Doppler Mitral Regurgitation.
From ecgwaves.com
Continuous Wave Doppler (CW Doppler) Cardiovascular Education Pulse Wave Doppler Mitral Regurgitation Pulsed doppler recordings of pulmonary vein velocities (top) and mitral inflow patterns (bottom) are helpful in mitral. Pwd assessment of flow through the mitral valve provides supporting evidence of mr severity. The regurgitant volume (v regurg) can be calculated using the. Eroa = effective regurgitant orifice area; Pulse Wave Doppler Mitral Regurgitation.
From mavink.com
Mitral Regurgitation Pulmonary Veins Pulse Wave Doppler Mitral Regurgitation Eroa = effective regurgitant orifice area; Pwd assessment of flow through the mitral valve provides supporting evidence of mr severity. The regurgitant volume (v regurg) can be calculated using the. Pulsed doppler recordings of pulmonary vein velocities (top) and mitral inflow patterns (bottom) are helpful in mitral. Pulse Wave Doppler Mitral Regurgitation.
From www.researchgate.net
Continuouswave Doppler interrogation of the mitral valve showing Pulse Wave Doppler Mitral Regurgitation Pulsed doppler recordings of pulmonary vein velocities (top) and mitral inflow patterns (bottom) are helpful in mitral. Eroa = effective regurgitant orifice area; Pwd assessment of flow through the mitral valve provides supporting evidence of mr severity. The regurgitant volume (v regurg) can be calculated using the. Pulse Wave Doppler Mitral Regurgitation.
From www.researchgate.net
Apical 4chamber view pulsed wave Doppler interrogation of the mitral Pulse Wave Doppler Mitral Regurgitation The regurgitant volume (v regurg) can be calculated using the. Pwd assessment of flow through the mitral valve provides supporting evidence of mr severity. Eroa = effective regurgitant orifice area; Pulsed doppler recordings of pulmonary vein velocities (top) and mitral inflow patterns (bottom) are helpful in mitral. Pulse Wave Doppler Mitral Regurgitation.
From obgynkey.com
Pulsed Doppler in Fetal Echocardiography Obgyn Key Pulse Wave Doppler Mitral Regurgitation The regurgitant volume (v regurg) can be calculated using the. Pulsed doppler recordings of pulmonary vein velocities (top) and mitral inflow patterns (bottom) are helpful in mitral. Pwd assessment of flow through the mitral valve provides supporting evidence of mr severity. Eroa = effective regurgitant orifice area; Pulse Wave Doppler Mitral Regurgitation.
From www.slideserve.com
PPT How to Diagnose and Assess Severity of Mitral Regurgitation by Pulse Wave Doppler Mitral Regurgitation The regurgitant volume (v regurg) can be calculated using the. Pulsed doppler recordings of pulmonary vein velocities (top) and mitral inflow patterns (bottom) are helpful in mitral. Eroa = effective regurgitant orifice area; Pwd assessment of flow through the mitral valve provides supporting evidence of mr severity. Pulse Wave Doppler Mitral Regurgitation.
From www.researchgate.net
Pulsedwave Doppler across mitral valve demonstrating near normal Pulse Wave Doppler Mitral Regurgitation The regurgitant volume (v regurg) can be calculated using the. Pulsed doppler recordings of pulmonary vein velocities (top) and mitral inflow patterns (bottom) are helpful in mitral. Eroa = effective regurgitant orifice area; Pwd assessment of flow through the mitral valve provides supporting evidence of mr severity. Pulse Wave Doppler Mitral Regurgitation.
From www.researchgate.net
Mitral inflow (top left pulsedwave Doppler of mitral inflow at level Pulse Wave Doppler Mitral Regurgitation Pwd assessment of flow through the mitral valve provides supporting evidence of mr severity. The regurgitant volume (v regurg) can be calculated using the. Eroa = effective regurgitant orifice area; Pulsed doppler recordings of pulmonary vein velocities (top) and mitral inflow patterns (bottom) are helpful in mitral. Pulse Wave Doppler Mitral Regurgitation.
From www.researchgate.net
Pulsed wave Doppler spectrum across the mitral valve in a patient after Pulse Wave Doppler Mitral Regurgitation Pwd assessment of flow through the mitral valve provides supporting evidence of mr severity. Pulsed doppler recordings of pulmonary vein velocities (top) and mitral inflow patterns (bottom) are helpful in mitral. Eroa = effective regurgitant orifice area; The regurgitant volume (v regurg) can be calculated using the. Pulse Wave Doppler Mitral Regurgitation.
From mavink.com
Pulse Wave Doppler Mitral Valve Pulse Wave Doppler Mitral Regurgitation Pulsed doppler recordings of pulmonary vein velocities (top) and mitral inflow patterns (bottom) are helpful in mitral. Pwd assessment of flow through the mitral valve provides supporting evidence of mr severity. Eroa = effective regurgitant orifice area; The regurgitant volume (v regurg) can be calculated using the. Pulse Wave Doppler Mitral Regurgitation.
From www.researchgate.net
Pulsed wave Doppler interrogation of the mitral valve at the level of Pulse Wave Doppler Mitral Regurgitation Pulsed doppler recordings of pulmonary vein velocities (top) and mitral inflow patterns (bottom) are helpful in mitral. The regurgitant volume (v regurg) can be calculated using the. Pwd assessment of flow through the mitral valve provides supporting evidence of mr severity. Eroa = effective regurgitant orifice area; Pulse Wave Doppler Mitral Regurgitation.
From www.onlinejase.com
Geometric Errors of the PulsedWave Doppler Flow Method in Quantifying Pulse Wave Doppler Mitral Regurgitation Pwd assessment of flow through the mitral valve provides supporting evidence of mr severity. Pulsed doppler recordings of pulmonary vein velocities (top) and mitral inflow patterns (bottom) are helpful in mitral. Eroa = effective regurgitant orifice area; The regurgitant volume (v regurg) can be calculated using the. Pulse Wave Doppler Mitral Regurgitation.
From www.ahajournals.org
An Unusual Cause of Aortic Regurgitation Circulation Cardiovascular Pulse Wave Doppler Mitral Regurgitation The regurgitant volume (v regurg) can be calculated using the. Pwd assessment of flow through the mitral valve provides supporting evidence of mr severity. Eroa = effective regurgitant orifice area; Pulsed doppler recordings of pulmonary vein velocities (top) and mitral inflow patterns (bottom) are helpful in mitral. Pulse Wave Doppler Mitral Regurgitation.
From www.researchgate.net
Pulsed wave Doppler of the mitral inflow in the apical fourchamber Pulse Wave Doppler Mitral Regurgitation Eroa = effective regurgitant orifice area; The regurgitant volume (v regurg) can be calculated using the. Pwd assessment of flow through the mitral valve provides supporting evidence of mr severity. Pulsed doppler recordings of pulmonary vein velocities (top) and mitral inflow patterns (bottom) are helpful in mitral. Pulse Wave Doppler Mitral Regurgitation.
From www.cardioserv.net
3 Doppler Techniques for Evaluation of MR! Cardioserv Pulse Wave Doppler Mitral Regurgitation Pulsed doppler recordings of pulmonary vein velocities (top) and mitral inflow patterns (bottom) are helpful in mitral. The regurgitant volume (v regurg) can be calculated using the. Pwd assessment of flow through the mitral valve provides supporting evidence of mr severity. Eroa = effective regurgitant orifice area; Pulse Wave Doppler Mitral Regurgitation.
From recapem.com
Valvular Emergencies Part 1 Diagnosis and Management of Severe Mitral Pulse Wave Doppler Mitral Regurgitation Eroa = effective regurgitant orifice area; Pulsed doppler recordings of pulmonary vein velocities (top) and mitral inflow patterns (bottom) are helpful in mitral. Pwd assessment of flow through the mitral valve provides supporting evidence of mr severity. The regurgitant volume (v regurg) can be calculated using the. Pulse Wave Doppler Mitral Regurgitation.
From www.cardioserv.net
3 Doppler Techniques for Evaluation of MR! Cardioserv Pulse Wave Doppler Mitral Regurgitation Eroa = effective regurgitant orifice area; Pwd assessment of flow through the mitral valve provides supporting evidence of mr severity. The regurgitant volume (v regurg) can be calculated using the. Pulsed doppler recordings of pulmonary vein velocities (top) and mitral inflow patterns (bottom) are helpful in mitral. Pulse Wave Doppler Mitral Regurgitation.
From www.researchgate.net
3 (a) Pulsed wave Doppler image of fetal mitral valve movements Pulse Wave Doppler Mitral Regurgitation Pwd assessment of flow through the mitral valve provides supporting evidence of mr severity. Eroa = effective regurgitant orifice area; The regurgitant volume (v regurg) can be calculated using the. Pulsed doppler recordings of pulmonary vein velocities (top) and mitral inflow patterns (bottom) are helpful in mitral. Pulse Wave Doppler Mitral Regurgitation.
From johnsonfrancis.org
Doppler jet in mitral stenosis with regurgitation All About Pulse Wave Doppler Mitral Regurgitation Pwd assessment of flow through the mitral valve provides supporting evidence of mr severity. Eroa = effective regurgitant orifice area; The regurgitant volume (v regurg) can be calculated using the. Pulsed doppler recordings of pulmonary vein velocities (top) and mitral inflow patterns (bottom) are helpful in mitral. Pulse Wave Doppler Mitral Regurgitation.
From www.researchgate.net
9 Continuouswave Doppler imaging confirms mitral regurgitation Pulse Wave Doppler Mitral Regurgitation Pwd assessment of flow through the mitral valve provides supporting evidence of mr severity. Eroa = effective regurgitant orifice area; The regurgitant volume (v regurg) can be calculated using the. Pulsed doppler recordings of pulmonary vein velocities (top) and mitral inflow patterns (bottom) are helpful in mitral. Pulse Wave Doppler Mitral Regurgitation.
From johnsonfrancis.org
Doppler in mitral stenosis and regurgitation Pulse Wave Doppler Mitral Regurgitation The regurgitant volume (v regurg) can be calculated using the. Pulsed doppler recordings of pulmonary vein velocities (top) and mitral inflow patterns (bottom) are helpful in mitral. Eroa = effective regurgitant orifice area; Pwd assessment of flow through the mitral valve provides supporting evidence of mr severity. Pulse Wave Doppler Mitral Regurgitation.