Miliary Chest X Ray Differential Diagnosis . miliary tb can arise as a result of progressive primary infection or via reactivation of a latent focus with. There are 3 major patterns of pulmonary opacity: Reticular—fine or coarse linear shadows. differential diagnosis of diffuse micronodular disease miliary nodules can be the manifestation of multiple diseases. Nodular—small (2 to 3 mm), medium, large, or masses (>3 cm) 3. the differential diagnosis of miliary pattern on chest radiography includes miliary tuberculosis (tb), histoplasmosis,. the causes of miliary pattern on chest radiographs are many including infections like miliary tuberculosis (tb),. miliary nodules can be the manifestation of multiple diseases and the differential diagnosis is broad once.
from www.researchgate.net
the differential diagnosis of miliary pattern on chest radiography includes miliary tuberculosis (tb), histoplasmosis,. miliary tb can arise as a result of progressive primary infection or via reactivation of a latent focus with. Nodular—small (2 to 3 mm), medium, large, or masses (>3 cm) 3. miliary nodules can be the manifestation of multiple diseases and the differential diagnosis is broad once. the causes of miliary pattern on chest radiographs are many including infections like miliary tuberculosis (tb),. Reticular—fine or coarse linear shadows. differential diagnosis of diffuse micronodular disease miliary nodules can be the manifestation of multiple diseases. There are 3 major patterns of pulmonary opacity:
Chest XRay (November 23 th , 2017) showing a typical miliary pattern
Miliary Chest X Ray Differential Diagnosis miliary tb can arise as a result of progressive primary infection or via reactivation of a latent focus with. Nodular—small (2 to 3 mm), medium, large, or masses (>3 cm) 3. Reticular—fine or coarse linear shadows. the differential diagnosis of miliary pattern on chest radiography includes miliary tuberculosis (tb), histoplasmosis,. There are 3 major patterns of pulmonary opacity: differential diagnosis of diffuse micronodular disease miliary nodules can be the manifestation of multiple diseases. miliary nodules can be the manifestation of multiple diseases and the differential diagnosis is broad once. the causes of miliary pattern on chest radiographs are many including infections like miliary tuberculosis (tb),. miliary tb can arise as a result of progressive primary infection or via reactivation of a latent focus with.
From www.researchgate.net
Chest Xray of miliary tuberculosis. Download Scientific Diagram Miliary Chest X Ray Differential Diagnosis There are 3 major patterns of pulmonary opacity: differential diagnosis of diffuse micronodular disease miliary nodules can be the manifestation of multiple diseases. Nodular—small (2 to 3 mm), medium, large, or masses (>3 cm) 3. the differential diagnosis of miliary pattern on chest radiography includes miliary tuberculosis (tb), histoplasmosis,. the causes of miliary pattern on chest radiographs. Miliary Chest X Ray Differential Diagnosis.
From www.researchgate.net
Miliary metastasis in a 9yearold girl presenting with shortness of Miliary Chest X Ray Differential Diagnosis miliary tb can arise as a result of progressive primary infection or via reactivation of a latent focus with. miliary nodules can be the manifestation of multiple diseases and the differential diagnosis is broad once. There are 3 major patterns of pulmonary opacity: Nodular—small (2 to 3 mm), medium, large, or masses (>3 cm) 3. Reticular—fine or coarse. Miliary Chest X Ray Differential Diagnosis.
From www.researchgate.net
Chest Xray diffuse miliary image. Download Scientific Diagram Miliary Chest X Ray Differential Diagnosis Nodular—small (2 to 3 mm), medium, large, or masses (>3 cm) 3. miliary nodules can be the manifestation of multiple diseases and the differential diagnosis is broad once. miliary tb can arise as a result of progressive primary infection or via reactivation of a latent focus with. There are 3 major patterns of pulmonary opacity: Reticular—fine or coarse. Miliary Chest X Ray Differential Diagnosis.
From www.researchgate.net
Chest XRay showing miliary shadow in both lung field Download Miliary Chest X Ray Differential Diagnosis differential diagnosis of diffuse micronodular disease miliary nodules can be the manifestation of multiple diseases. There are 3 major patterns of pulmonary opacity: the causes of miliary pattern on chest radiographs are many including infections like miliary tuberculosis (tb),. miliary tb can arise as a result of progressive primary infection or via reactivation of a latent focus. Miliary Chest X Ray Differential Diagnosis.
From www.researchgate.net
Chest xray showing diffuse miliary nodules and right pleural effusion Miliary Chest X Ray Differential Diagnosis Nodular—small (2 to 3 mm), medium, large, or masses (>3 cm) 3. differential diagnosis of diffuse micronodular disease miliary nodules can be the manifestation of multiple diseases. the differential diagnosis of miliary pattern on chest radiography includes miliary tuberculosis (tb), histoplasmosis,. miliary tb can arise as a result of progressive primary infection or via reactivation of a. Miliary Chest X Ray Differential Diagnosis.
From www.researchgate.net
Chest Xray showing miliary Koch's infiltration with ricketslike Miliary Chest X Ray Differential Diagnosis miliary nodules can be the manifestation of multiple diseases and the differential diagnosis is broad once. miliary tb can arise as a result of progressive primary infection or via reactivation of a latent focus with. differential diagnosis of diffuse micronodular disease miliary nodules can be the manifestation of multiple diseases. the causes of miliary pattern on. Miliary Chest X Ray Differential Diagnosis.
From www.researchgate.net
( A ) Chest Xray with a miliary pattern and a ‘treeinbud’ sign Miliary Chest X Ray Differential Diagnosis the differential diagnosis of miliary pattern on chest radiography includes miliary tuberculosis (tb), histoplasmosis,. differential diagnosis of diffuse micronodular disease miliary nodules can be the manifestation of multiple diseases. the causes of miliary pattern on chest radiographs are many including infections like miliary tuberculosis (tb),. Nodular—small (2 to 3 mm), medium, large, or masses (>3 cm) 3.. Miliary Chest X Ray Differential Diagnosis.
From www.researchgate.net
Frontal chest X‐ray shows bilateral innumerable nodules with a miliary Miliary Chest X Ray Differential Diagnosis the causes of miliary pattern on chest radiographs are many including infections like miliary tuberculosis (tb),. There are 3 major patterns of pulmonary opacity: Reticular—fine or coarse linear shadows. the differential diagnosis of miliary pattern on chest radiography includes miliary tuberculosis (tb), histoplasmosis,. differential diagnosis of diffuse micronodular disease miliary nodules can be the manifestation of multiple. Miliary Chest X Ray Differential Diagnosis.
From www.researchgate.net
Chest XRay (November 23 th , 2017) showing a typical miliary pattern Miliary Chest X Ray Differential Diagnosis the causes of miliary pattern on chest radiographs are many including infections like miliary tuberculosis (tb),. the differential diagnosis of miliary pattern on chest radiography includes miliary tuberculosis (tb), histoplasmosis,. differential diagnosis of diffuse micronodular disease miliary nodules can be the manifestation of multiple diseases. miliary tb can arise as a result of progressive primary infection. Miliary Chest X Ray Differential Diagnosis.
From www.pinterest.com
Miliary TB Radiology imaging, Sonography school, Medical information Miliary Chest X Ray Differential Diagnosis the differential diagnosis of miliary pattern on chest radiography includes miliary tuberculosis (tb), histoplasmosis,. differential diagnosis of diffuse micronodular disease miliary nodules can be the manifestation of multiple diseases. miliary nodules can be the manifestation of multiple diseases and the differential diagnosis is broad once. Nodular—small (2 to 3 mm), medium, large, or masses (>3 cm) 3.. Miliary Chest X Ray Differential Diagnosis.
From www.researchgate.net
A Chest radiograph frontal view showing miliary opacities over Miliary Chest X Ray Differential Diagnosis miliary nodules can be the manifestation of multiple diseases and the differential diagnosis is broad once. miliary tb can arise as a result of progressive primary infection or via reactivation of a latent focus with. Nodular—small (2 to 3 mm), medium, large, or masses (>3 cm) 3. the differential diagnosis of miliary pattern on chest radiography includes. Miliary Chest X Ray Differential Diagnosis.
From www.sciencephoto.com
Miliary nodules, Xray Stock Image F035/6917 Science Photo Library Miliary Chest X Ray Differential Diagnosis Reticular—fine or coarse linear shadows. differential diagnosis of diffuse micronodular disease miliary nodules can be the manifestation of multiple diseases. Nodular—small (2 to 3 mm), medium, large, or masses (>3 cm) 3. the causes of miliary pattern on chest radiographs are many including infections like miliary tuberculosis (tb),. miliary tb can arise as a result of progressive. Miliary Chest X Ray Differential Diagnosis.
From www.cmaj.ca
Miliary pattern on chest imaging caused by adenocarcinoma CMAJ Miliary Chest X Ray Differential Diagnosis Nodular—small (2 to 3 mm), medium, large, or masses (>3 cm) 3. Reticular—fine or coarse linear shadows. miliary tb can arise as a result of progressive primary infection or via reactivation of a latent focus with. miliary nodules can be the manifestation of multiple diseases and the differential diagnosis is broad once. There are 3 major patterns of. Miliary Chest X Ray Differential Diagnosis.
From www.researchgate.net
Chest xray showing miliary metastases as small, multiple opacities Miliary Chest X Ray Differential Diagnosis There are 3 major patterns of pulmonary opacity: miliary tb can arise as a result of progressive primary infection or via reactivation of a latent focus with. the differential diagnosis of miliary pattern on chest radiography includes miliary tuberculosis (tb), histoplasmosis,. differential diagnosis of diffuse micronodular disease miliary nodules can be the manifestation of multiple diseases. . Miliary Chest X Ray Differential Diagnosis.
From www.semanticscholar.org
Figure 1 from Bilateral miliary shadowing on chest Xray. Semantic Miliary Chest X Ray Differential Diagnosis miliary nodules can be the manifestation of multiple diseases and the differential diagnosis is broad once. miliary tb can arise as a result of progressive primary infection or via reactivation of a latent focus with. There are 3 major patterns of pulmonary opacity: Reticular—fine or coarse linear shadows. differential diagnosis of diffuse micronodular disease miliary nodules can. Miliary Chest X Ray Differential Diagnosis.
From www.researchgate.net
Chest xray upon admition. M= miliary pattern. Arrow shows cavities at Miliary Chest X Ray Differential Diagnosis miliary tb can arise as a result of progressive primary infection or via reactivation of a latent focus with. the differential diagnosis of miliary pattern on chest radiography includes miliary tuberculosis (tb), histoplasmosis,. miliary nodules can be the manifestation of multiple diseases and the differential diagnosis is broad once. the causes of miliary pattern on chest. Miliary Chest X Ray Differential Diagnosis.
From www.researchgate.net
Some causes of miliary pattern on the chest radiograph. Download Table Miliary Chest X Ray Differential Diagnosis miliary tb can arise as a result of progressive primary infection or via reactivation of a latent focus with. the causes of miliary pattern on chest radiographs are many including infections like miliary tuberculosis (tb),. There are 3 major patterns of pulmonary opacity: the differential diagnosis of miliary pattern on chest radiography includes miliary tuberculosis (tb), histoplasmosis,.. Miliary Chest X Ray Differential Diagnosis.
From europepmc.org
Miliary pattern on chest radiography TB or not TB? Abstract Europe PMC Miliary Chest X Ray Differential Diagnosis Nodular—small (2 to 3 mm), medium, large, or masses (>3 cm) 3. Reticular—fine or coarse linear shadows. miliary tb can arise as a result of progressive primary infection or via reactivation of a latent focus with. differential diagnosis of diffuse micronodular disease miliary nodules can be the manifestation of multiple diseases. the differential diagnosis of miliary pattern. Miliary Chest X Ray Differential Diagnosis.
From www.cureus.com
Cureus Miliary Tuberculosis with Acute Respiratory Distress Syndrome Miliary Chest X Ray Differential Diagnosis Reticular—fine or coarse linear shadows. the causes of miliary pattern on chest radiographs are many including infections like miliary tuberculosis (tb),. Nodular—small (2 to 3 mm), medium, large, or masses (>3 cm) 3. miliary tb can arise as a result of progressive primary infection or via reactivation of a latent focus with. the differential diagnosis of miliary. Miliary Chest X Ray Differential Diagnosis.
From www.researchgate.net
Chest Xray showing bilateral miliary nodules [84]. Download Miliary Chest X Ray Differential Diagnosis miliary tb can arise as a result of progressive primary infection or via reactivation of a latent focus with. There are 3 major patterns of pulmonary opacity: the differential diagnosis of miliary pattern on chest radiography includes miliary tuberculosis (tb), histoplasmosis,. differential diagnosis of diffuse micronodular disease miliary nodules can be the manifestation of multiple diseases. Reticular—fine. Miliary Chest X Ray Differential Diagnosis.
From www.researchgate.net
Chest Xray and CT before and after treatment for miliary TB. Chest Miliary Chest X Ray Differential Diagnosis There are 3 major patterns of pulmonary opacity: differential diagnosis of diffuse micronodular disease miliary nodules can be the manifestation of multiple diseases. miliary tb can arise as a result of progressive primary infection or via reactivation of a latent focus with. the differential diagnosis of miliary pattern on chest radiography includes miliary tuberculosis (tb), histoplasmosis,. . Miliary Chest X Ray Differential Diagnosis.
From www.researchgate.net
Initial chest radiograph showing diffuse, bilateral miliary densities Miliary Chest X Ray Differential Diagnosis differential diagnosis of diffuse micronodular disease miliary nodules can be the manifestation of multiple diseases. the causes of miliary pattern on chest radiographs are many including infections like miliary tuberculosis (tb),. Nodular—small (2 to 3 mm), medium, large, or masses (>3 cm) 3. miliary nodules can be the manifestation of multiple diseases and the differential diagnosis is. Miliary Chest X Ray Differential Diagnosis.
From wellcomecollection.org
Miliary TB plain chest xray Collection Miliary Chest X Ray Differential Diagnosis differential diagnosis of diffuse micronodular disease miliary nodules can be the manifestation of multiple diseases. Nodular—small (2 to 3 mm), medium, large, or masses (>3 cm) 3. miliary nodules can be the manifestation of multiple diseases and the differential diagnosis is broad once. the causes of miliary pattern on chest radiographs are many including infections like miliary. Miliary Chest X Ray Differential Diagnosis.
From www.alamy.com
Xray of a patient with miliary nodules. Miliary refers to innumerable Miliary Chest X Ray Differential Diagnosis miliary tb can arise as a result of progressive primary infection or via reactivation of a latent focus with. Reticular—fine or coarse linear shadows. There are 3 major patterns of pulmonary opacity: the differential diagnosis of miliary pattern on chest radiography includes miliary tuberculosis (tb), histoplasmosis,. miliary nodules can be the manifestation of multiple diseases and the. Miliary Chest X Ray Differential Diagnosis.
From www.youtube.com
Chest X Ray differential diagnosis for pleural effusion YouTube Miliary Chest X Ray Differential Diagnosis differential diagnosis of diffuse micronodular disease miliary nodules can be the manifestation of multiple diseases. There are 3 major patterns of pulmonary opacity: miliary tb can arise as a result of progressive primary infection or via reactivation of a latent focus with. Nodular—small (2 to 3 mm), medium, large, or masses (>3 cm) 3. the causes of. Miliary Chest X Ray Differential Diagnosis.
From casereports.bmj.com
Miliary pattern on chest imaging as a presentation of EGFRnegative Miliary Chest X Ray Differential Diagnosis Reticular—fine or coarse linear shadows. the differential diagnosis of miliary pattern on chest radiography includes miliary tuberculosis (tb), histoplasmosis,. miliary tb can arise as a result of progressive primary infection or via reactivation of a latent focus with. There are 3 major patterns of pulmonary opacity: Nodular—small (2 to 3 mm), medium, large, or masses (>3 cm) 3.. Miliary Chest X Ray Differential Diagnosis.
From ar.inspiredpencil.com
Chest X Ray Miliary Tb Miliary Chest X Ray Differential Diagnosis There are 3 major patterns of pulmonary opacity: Nodular—small (2 to 3 mm), medium, large, or masses (>3 cm) 3. miliary tb can arise as a result of progressive primary infection or via reactivation of a latent focus with. differential diagnosis of diffuse micronodular disease miliary nodules can be the manifestation of multiple diseases. Reticular—fine or coarse linear. Miliary Chest X Ray Differential Diagnosis.
From www.researchgate.net
Chest Xray showing multiple bilateral lungs patches with the Miliary Chest X Ray Differential Diagnosis miliary nodules can be the manifestation of multiple diseases and the differential diagnosis is broad once. the causes of miliary pattern on chest radiographs are many including infections like miliary tuberculosis (tb),. Reticular—fine or coarse linear shadows. There are 3 major patterns of pulmonary opacity: the differential diagnosis of miliary pattern on chest radiography includes miliary tuberculosis. Miliary Chest X Ray Differential Diagnosis.
From www.researchgate.net
Diffuse miliary lesions on chest Xray Download Scientific Diagram Miliary Chest X Ray Differential Diagnosis Reticular—fine or coarse linear shadows. There are 3 major patterns of pulmonary opacity: miliary nodules can be the manifestation of multiple diseases and the differential diagnosis is broad once. the differential diagnosis of miliary pattern on chest radiography includes miliary tuberculosis (tb), histoplasmosis,. the causes of miliary pattern on chest radiographs are many including infections like miliary. Miliary Chest X Ray Differential Diagnosis.
From www.researchgate.net
Chest radiograph showing a miliary pattern on the admission to the Miliary Chest X Ray Differential Diagnosis Nodular—small (2 to 3 mm), medium, large, or masses (>3 cm) 3. the causes of miliary pattern on chest radiographs are many including infections like miliary tuberculosis (tb),. Reticular—fine or coarse linear shadows. miliary tb can arise as a result of progressive primary infection or via reactivation of a latent focus with. differential diagnosis of diffuse micronodular. Miliary Chest X Ray Differential Diagnosis.
From www.researchgate.net
Chest Xray at 12month followup with complete resolution of miliary Miliary Chest X Ray Differential Diagnosis the causes of miliary pattern on chest radiographs are many including infections like miliary tuberculosis (tb),. Reticular—fine or coarse linear shadows. There are 3 major patterns of pulmonary opacity: Nodular—small (2 to 3 mm), medium, large, or masses (>3 cm) 3. the differential diagnosis of miliary pattern on chest radiography includes miliary tuberculosis (tb), histoplasmosis,. miliary tb. Miliary Chest X Ray Differential Diagnosis.
From ar.inspiredpencil.com
Chest X Ray Miliary Tb Miliary Chest X Ray Differential Diagnosis Nodular—small (2 to 3 mm), medium, large, or masses (>3 cm) 3. Reticular—fine or coarse linear shadows. the causes of miliary pattern on chest radiographs are many including infections like miliary tuberculosis (tb),. the differential diagnosis of miliary pattern on chest radiography includes miliary tuberculosis (tb), histoplasmosis,. miliary nodules can be the manifestation of multiple diseases and. Miliary Chest X Ray Differential Diagnosis.
From www.pinterest.com
Miliary Koch's... Radiology, Medical, Ultrasound Miliary Chest X Ray Differential Diagnosis Nodular—small (2 to 3 mm), medium, large, or masses (>3 cm) 3. miliary nodules can be the manifestation of multiple diseases and the differential diagnosis is broad once. the differential diagnosis of miliary pattern on chest radiography includes miliary tuberculosis (tb), histoplasmosis,. miliary tb can arise as a result of progressive primary infection or via reactivation of. Miliary Chest X Ray Differential Diagnosis.
From stock.adobe.com
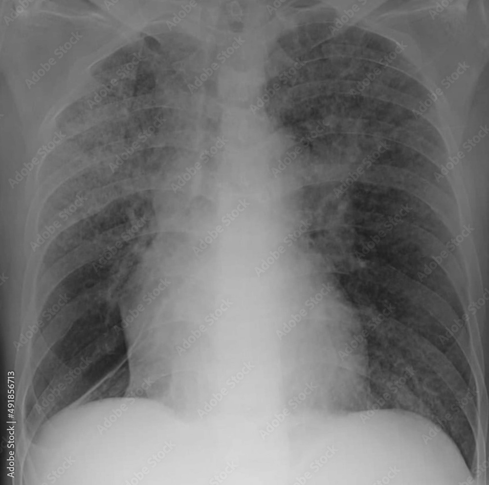
chest xray image of miliary nodules Stock Photo Adobe Stock Miliary Chest X Ray Differential Diagnosis miliary nodules can be the manifestation of multiple diseases and the differential diagnosis is broad once. There are 3 major patterns of pulmonary opacity: Nodular—small (2 to 3 mm), medium, large, or masses (>3 cm) 3. Reticular—fine or coarse linear shadows. differential diagnosis of diffuse micronodular disease miliary nodules can be the manifestation of multiple diseases. miliary. Miliary Chest X Ray Differential Diagnosis.
From www.cureus.com
Cureus Adenocarcinoma of the Lung Presenting with Intrapulmonary Miliary Chest X Ray Differential Diagnosis miliary tb can arise as a result of progressive primary infection or via reactivation of a latent focus with. miliary nodules can be the manifestation of multiple diseases and the differential diagnosis is broad once. Reticular—fine or coarse linear shadows. the causes of miliary pattern on chest radiographs are many including infections like miliary tuberculosis (tb),. . Miliary Chest X Ray Differential Diagnosis.