Why Did My Orthodontist File My Teeth . When i was younger i was getting my braces adjusted, and it went fine. Orthodontics is the movement of the teeth within the jaw bones to straighten them and help them to bite more evenly together. Orthodontic treatment is about making the best of your teeth; I immediately told him i hadn't wanted my teeth filed and he hadn't asked. The purpose of orthodontic treatment is to make the best of your teeth. Whether you’re wondering why your orthodontist hasn’t changed your wire or how to speed up the process, we’ll address your queries. Filing in orthodontics, usually, is only in between teeth (same surface where you floss, just to give an idea). Find answers to some common questions about braces and orthodontics. This includes straightening your teeth. There are several specific reasons an orthodontist may decide to file down teeth: He offered to even them out by shaving the front right tooth down, but the actual. Teeth crowding occurs when there is insufficient space in the dental arches for all teeth to align. If your teeth have minor cosmetic imperfections that you're conscious of, filing may well be a quick and effective way to even out your smile. This is needed to create more space for. Even if porcelain veneers are your.
from orthogogo.com
Orthodontic treatment is about making the best of your teeth; Orthodontics is the movement of the teeth within the jaw bones to straighten them and help them to bite more evenly together. There are several specific reasons an orthodontist may decide to file down teeth: The purpose of orthodontic treatment is to make the best of your teeth. I closed my mouth to see how it felt, and i told the dentist one of my teeth. He offered to even them out by shaving the front right tooth down, but the actual. Whether you’re wondering why your orthodontist hasn’t changed your wire or how to speed up the process, we’ll address your queries. Filing in orthodontics, usually, is only in between teeth (same surface where you floss, just to give an idea). Teeth crowding occurs when there is insufficient space in the dental arches for all teeth to align. So, let’s dive in and demystify the final stages of.
What is an Orthodontist? When You Need a Specialist in Dentistry
Why Did My Orthodontist File My Teeth He offered to even them out by shaving the front right tooth down, but the actual. Orthodontic treatment is about making the best of your teeth; I immediately told him i hadn't wanted my teeth filed and he hadn't asked. Whether you’re wondering why your orthodontist hasn’t changed your wire or how to speed up the process, we’ll address your queries. I closed my mouth to see how it felt, and i told the dentist one of my teeth. Orthodontics is the movement of the teeth within the jaw bones to straighten them and help them to bite more evenly together. There are several specific reasons an orthodontist may decide to file down teeth: This includes straightening your teeth. When i was younger i was getting my braces adjusted, and it went fine. Find answers to some common questions about braces and orthodontics. This is needed to create more space for. If your teeth have minor cosmetic imperfections that you're conscious of, filing may well be a quick and effective way to even out your smile. So, let’s dive in and demystify the final stages of. Filing in orthodontics, usually, is only in between teeth (same surface where you floss, just to give an idea). Even if porcelain veneers are your. He offered to even them out by shaving the front right tooth down, but the actual.
From orthodontictreatmenthq.com
What Are Lingual Braces? (A Complete Guide) Orthrodontic Why Did My Orthodontist File My Teeth Whether you’re wondering why your orthodontist hasn’t changed your wire or how to speed up the process, we’ll address your queries. If your teeth have minor cosmetic imperfections that you're conscious of, filing may well be a quick and effective way to even out your smile. Find answers to some common questions about braces and orthodontics. Filing in orthodontics, usually,. Why Did My Orthodontist File My Teeth.
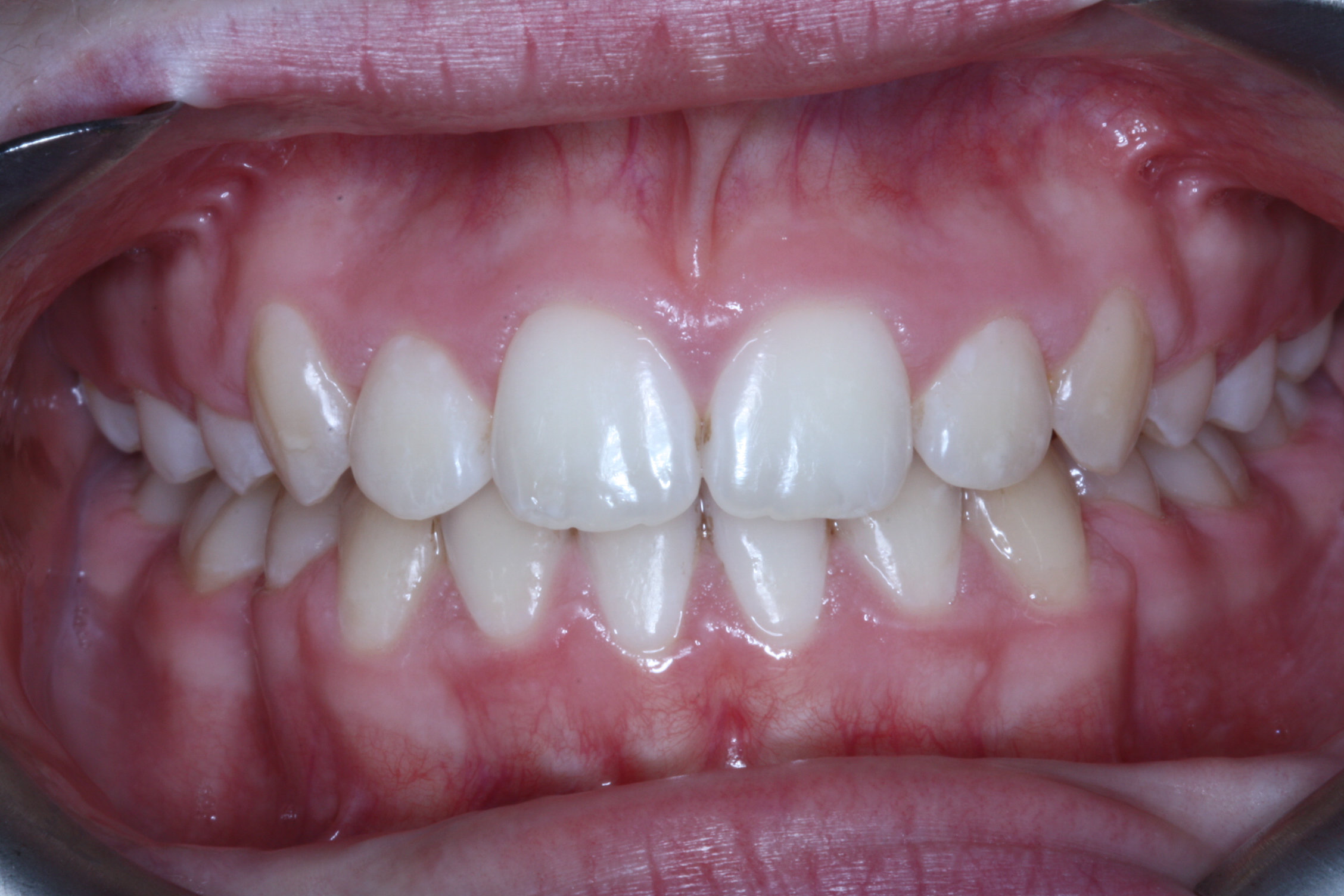
From loegolswy.blob.core.windows.net
Getting Veneers After Braces at Connie Guess blog Why Did My Orthodontist File My Teeth So, let’s dive in and demystify the final stages of. This is needed to create more space for. Orthodontics is the movement of the teeth within the jaw bones to straighten them and help them to bite more evenly together. Find answers to some common questions about braces and orthodontics. There are several specific reasons an orthodontist may decide to. Why Did My Orthodontist File My Teeth.
From www.blueridgeorthodontics.com
How Do Your Teeth Move? Blue Ridge Orthodontics Why Did My Orthodontist File My Teeth Orthodontic treatment is about making the best of your teeth; The purpose of orthodontic treatment is to make the best of your teeth. If your teeth have minor cosmetic imperfections that you're conscious of, filing may well be a quick and effective way to even out your smile. He offered to even them out by shaving the front right tooth. Why Did My Orthodontist File My Teeth.
From uniquedentalcare.co.in
Orthodontic Treatment Unique Dental Care Rajkot Orthodontic Why Did My Orthodontist File My Teeth Orthodontics is the movement of the teeth within the jaw bones to straighten them and help them to bite more evenly together. Orthodontic treatment is about making the best of your teeth; Whether you’re wondering why your orthodontist hasn’t changed your wire or how to speed up the process, we’ll address your queries. Teeth crowding occurs when there is insufficient. Why Did My Orthodontist File My Teeth.
From parkcrestdental.com
Orthodontics for Teens FAQs Written by Parkcrest Dental Why Did My Orthodontist File My Teeth He offered to even them out by shaving the front right tooth down, but the actual. There are several specific reasons an orthodontist may decide to file down teeth: If your teeth have minor cosmetic imperfections that you're conscious of, filing may well be a quick and effective way to even out your smile. Find answers to some common questions. Why Did My Orthodontist File My Teeth.
From www.swordsortho.com
Why Orthodontics Matters Swords Dublin Swords Orthodontics Why Did My Orthodontist File My Teeth He offered to even them out by shaving the front right tooth down, but the actual. Whether you’re wondering why your orthodontist hasn’t changed your wire or how to speed up the process, we’ll address your queries. This includes straightening your teeth. So, let’s dive in and demystify the final stages of. Even if porcelain veneers are your. Orthodontics is. Why Did My Orthodontist File My Teeth.
From www.progressivesmiles.com
Early Treatment Progressive Orthodontics Jefferson City Missouri Why Did My Orthodontist File My Teeth Orthodontics is the movement of the teeth within the jaw bones to straighten them and help them to bite more evenly together. Filing in orthodontics, usually, is only in between teeth (same surface where you floss, just to give an idea). I immediately told him i hadn't wanted my teeth filed and he hadn't asked. This includes straightening your teeth.. Why Did My Orthodontist File My Teeth.
From www.123dentist.com
What is an Orthodontist? A guide from 123Dentist Why Did My Orthodontist File My Teeth I immediately told him i hadn't wanted my teeth filed and he hadn't asked. This is needed to create more space for. So, let’s dive in and demystify the final stages of. I closed my mouth to see how it felt, and i told the dentist one of my teeth. Find answers to some common questions about braces and orthodontics.. Why Did My Orthodontist File My Teeth.
From bailey-smiles.com
Surgical Orthodontics in Colorado Springs, CO Bailey Orthodontics Why Did My Orthodontist File My Teeth This is needed to create more space for. I immediately told him i hadn't wanted my teeth filed and he hadn't asked. The purpose of orthodontic treatment is to make the best of your teeth. Filing in orthodontics, usually, is only in between teeth (same surface where you floss, just to give an idea). So, let’s dive in and demystify. Why Did My Orthodontist File My Teeth.
From exoyhvdoy.blob.core.windows.net
Why Do Braces Hurt My Teeth at Cecil Thurmond blog Why Did My Orthodontist File My Teeth Orthodontic treatment is about making the best of your teeth; Find answers to some common questions about braces and orthodontics. Whether you’re wondering why your orthodontist hasn’t changed your wire or how to speed up the process, we’ll address your queries. I closed my mouth to see how it felt, and i told the dentist one of my teeth. Orthodontics. Why Did My Orthodontist File My Teeth.
From www.cdhp.org
Why Did My Orthodontist Take Out 4 Teeth? (Reasons & Benefits) Why Did My Orthodontist File My Teeth The purpose of orthodontic treatment is to make the best of your teeth. So, let’s dive in and demystify the final stages of. I closed my mouth to see how it felt, and i told the dentist one of my teeth. Teeth crowding occurs when there is insufficient space in the dental arches for all teeth to align. He offered. Why Did My Orthodontist File My Teeth.
From exovkjcqa.blob.core.windows.net
Why Do My Braces Give Me A Lisp at Jack Matteson blog Why Did My Orthodontist File My Teeth Whether you’re wondering why your orthodontist hasn’t changed your wire or how to speed up the process, we’ll address your queries. This is needed to create more space for. The purpose of orthodontic treatment is to make the best of your teeth. So, let’s dive in and demystify the final stages of. He offered to even them out by shaving. Why Did My Orthodontist File My Teeth.
From mymintdental.in
Why Do My Teeth Look Bigger After Braces? Why Did My Orthodontist File My Teeth He offered to even them out by shaving the front right tooth down, but the actual. Orthodontics is the movement of the teeth within the jaw bones to straighten them and help them to bite more evenly together. Whether you’re wondering why your orthodontist hasn’t changed your wire or how to speed up the process, we’ll address your queries. This. Why Did My Orthodontist File My Teeth.
From www.musealesdetourouvre.com
An Orthodontist Helps You In The Correction Of Your Teeth Why Did My Orthodontist File My Teeth Whether you’re wondering why your orthodontist hasn’t changed your wire or how to speed up the process, we’ll address your queries. Even if porcelain veneers are your. The purpose of orthodontic treatment is to make the best of your teeth. I immediately told him i hadn't wanted my teeth filed and he hadn't asked. Orthodontic treatment is about making the. Why Did My Orthodontist File My Teeth.
From www.parrisorthodontics.com
Orthodontic Glossary Parris Orthodontics Memphis Orthodontist Why Did My Orthodontist File My Teeth He offered to even them out by shaving the front right tooth down, but the actual. Find answers to some common questions about braces and orthodontics. If your teeth have minor cosmetic imperfections that you're conscious of, filing may well be a quick and effective way to even out your smile. Even if porcelain veneers are your. Orthodontic treatment is. Why Did My Orthodontist File My Teeth.
From www.youtube.com
Watch How Orthodontist corrected teeth with Braces! YouTube Why Did My Orthodontist File My Teeth This includes straightening your teeth. If your teeth have minor cosmetic imperfections that you're conscious of, filing may well be a quick and effective way to even out your smile. This is needed to create more space for. Find answers to some common questions about braces and orthodontics. Orthodontics is the movement of the teeth within the jaw bones to. Why Did My Orthodontist File My Teeth.
From www.fulhamroaddental.com
Children’s Orthodontist Fulham Road Dental Why Did My Orthodontist File My Teeth When i was younger i was getting my braces adjusted, and it went fine. This includes straightening your teeth. Whether you’re wondering why your orthodontist hasn’t changed your wire or how to speed up the process, we’ll address your queries. This is needed to create more space for. There are several specific reasons an orthodontist may decide to file down. Why Did My Orthodontist File My Teeth.
From westcobbdentistry.com
Top Benefits Of Orthodontic Treatment West Cobb Dentistry Why Did My Orthodontist File My Teeth If your teeth have minor cosmetic imperfections that you're conscious of, filing may well be a quick and effective way to even out your smile. Whether you’re wondering why your orthodontist hasn’t changed your wire or how to speed up the process, we’ll address your queries. Orthodontic treatment is about making the best of your teeth; Find answers to some. Why Did My Orthodontist File My Teeth.
From kladaoagt.blob.core.windows.net
Braces For Front Teeth Sticking Out at Louise Burns blog Why Did My Orthodontist File My Teeth There are several specific reasons an orthodontist may decide to file down teeth: The purpose of orthodontic treatment is to make the best of your teeth. I closed my mouth to see how it felt, and i told the dentist one of my teeth. If your teeth have minor cosmetic imperfections that you're conscious of, filing may well be a. Why Did My Orthodontist File My Teeth.
From www.castleorthodontics.net
Orthodontic Treatment Phases Castle Orthodontics Why Did My Orthodontist File My Teeth Find answers to some common questions about braces and orthodontics. Even if porcelain veneers are your. Whether you’re wondering why your orthodontist hasn’t changed your wire or how to speed up the process, we’ll address your queries. When i was younger i was getting my braces adjusted, and it went fine. There are several specific reasons an orthodontist may decide. Why Did My Orthodontist File My Teeth.
From orthodonticassoc.com
Stages of Change in Braces Orthodontic Associates Why Did My Orthodontist File My Teeth If your teeth have minor cosmetic imperfections that you're conscious of, filing may well be a quick and effective way to even out your smile. He offered to even them out by shaving the front right tooth down, but the actual. I closed my mouth to see how it felt, and i told the dentist one of my teeth. This. Why Did My Orthodontist File My Teeth.
From www.discoverortho.ca
Tooth Contouring & Reshaping Discover Orthodontics Brampton Ontario Why Did My Orthodontist File My Teeth I closed my mouth to see how it felt, and i told the dentist one of my teeth. So, let’s dive in and demystify the final stages of. Even if porcelain veneers are your. Whether you’re wondering why your orthodontist hasn’t changed your wire or how to speed up the process, we’ll address your queries. Filing in orthodontics, usually, is. Why Did My Orthodontist File My Teeth.
From www.belladental.com.au
Dentist Emu Plains Orthodontics Bella Dental Australia Why Did My Orthodontist File My Teeth This includes straightening your teeth. I immediately told him i hadn't wanted my teeth filed and he hadn't asked. He offered to even them out by shaving the front right tooth down, but the actual. There are several specific reasons an orthodontist may decide to file down teeth: So, let’s dive in and demystify the final stages of. Whether you’re. Why Did My Orthodontist File My Teeth.
From www.orthowny.com
Understanding Orthodontic Braces Lancaster Orthodontist Why Did My Orthodontist File My Teeth There are several specific reasons an orthodontist may decide to file down teeth: I closed my mouth to see how it felt, and i told the dentist one of my teeth. He offered to even them out by shaving the front right tooth down, but the actual. The purpose of orthodontic treatment is to make the best of your teeth.. Why Did My Orthodontist File My Teeth.
From freeholdortho.com
What Does an Orthodontist Do? Freehold Orthodontics Why Did My Orthodontist File My Teeth Orthodontic treatment is about making the best of your teeth; When i was younger i was getting my braces adjusted, and it went fine. This includes straightening your teeth. Whether you’re wondering why your orthodontist hasn’t changed your wire or how to speed up the process, we’ll address your queries. The purpose of orthodontic treatment is to make the best. Why Did My Orthodontist File My Teeth.
From www.definitivedental.com
Phases of Orthodontic Treatment Definitive Dental Why Did My Orthodontist File My Teeth If your teeth have minor cosmetic imperfections that you're conscious of, filing may well be a quick and effective way to even out your smile. I closed my mouth to see how it felt, and i told the dentist one of my teeth. Teeth crowding occurs when there is insufficient space in the dental arches for all teeth to align.. Why Did My Orthodontist File My Teeth.
From www.youtube.com
BRACES UPDATE MY FIRST 4 MONTHS before&after closeups teeth Why Did My Orthodontist File My Teeth This is needed to create more space for. I closed my mouth to see how it felt, and i told the dentist one of my teeth. So, let’s dive in and demystify the final stages of. Filing in orthodontics, usually, is only in between teeth (same surface where you floss, just to give an idea). Find answers to some common. Why Did My Orthodontist File My Teeth.
From orthogogo.com
What is an Orthodontist? When You Need a Specialist in Dentistry Why Did My Orthodontist File My Teeth Even if porcelain veneers are your. Orthodontic treatment is about making the best of your teeth; There are several specific reasons an orthodontist may decide to file down teeth: Orthodontics is the movement of the teeth within the jaw bones to straighten them and help them to bite more evenly together. When i was younger i was getting my braces. Why Did My Orthodontist File My Teeth.
From kumraortho.com
Why Your Teeth Feel Loose with Braces Kumra Orthodontics Why Did My Orthodontist File My Teeth The purpose of orthodontic treatment is to make the best of your teeth. There are several specific reasons an orthodontist may decide to file down teeth: I closed my mouth to see how it felt, and i told the dentist one of my teeth. When i was younger i was getting my braces adjusted, and it went fine. He offered. Why Did My Orthodontist File My Teeth.
From oao.on.ca
What’s the Difference Between a Dentist and an Orthodontist? OAO Why Did My Orthodontist File My Teeth I immediately told him i hadn't wanted my teeth filed and he hadn't asked. I closed my mouth to see how it felt, and i told the dentist one of my teeth. Teeth crowding occurs when there is insufficient space in the dental arches for all teeth to align. Find answers to some common questions about braces and orthodontics. The. Why Did My Orthodontist File My Teeth.
From petersonfamilyortho.com
Do Orthodontists File Teeth After Braces? Peterson Family Ortho Why Did My Orthodontist File My Teeth When i was younger i was getting my braces adjusted, and it went fine. I immediately told him i hadn't wanted my teeth filed and he hadn't asked. There are several specific reasons an orthodontist may decide to file down teeth: Teeth crowding occurs when there is insufficient space in the dental arches for all teeth to align. Orthodontic treatment. Why Did My Orthodontist File My Teeth.
From cielodental.com
How Do Braces Align Your Teeth? Why Did My Orthodontist File My Teeth Filing in orthodontics, usually, is only in between teeth (same surface where you floss, just to give an idea). When i was younger i was getting my braces adjusted, and it went fine. Even if porcelain veneers are your. This is needed to create more space for. I closed my mouth to see how it felt, and i told the. Why Did My Orthodontist File My Teeth.
From dxojogpym.blob.core.windows.net
Orthodontics Explained at Maria Schneider blog Why Did My Orthodontist File My Teeth Find answers to some common questions about braces and orthodontics. This includes straightening your teeth. Whether you’re wondering why your orthodontist hasn’t changed your wire or how to speed up the process, we’ll address your queries. The purpose of orthodontic treatment is to make the best of your teeth. Teeth crowding occurs when there is insufficient space in the dental. Why Did My Orthodontist File My Teeth.
From www.cdhp.org
Why Did My Orthodontist Take Out 4 Teeth? (Reasons & Benefits) Why Did My Orthodontist File My Teeth There are several specific reasons an orthodontist may decide to file down teeth: The purpose of orthodontic treatment is to make the best of your teeth. I immediately told him i hadn't wanted my teeth filed and he hadn't asked. I closed my mouth to see how it felt, and i told the dentist one of my teeth. Orthodontics is. Why Did My Orthodontist File My Teeth.
From www.braciz.com
What to Know About Orthodontics Cockeysville, MD Orthodontist Why Did My Orthodontist File My Teeth The purpose of orthodontic treatment is to make the best of your teeth. Filing in orthodontics, usually, is only in between teeth (same surface where you floss, just to give an idea). He offered to even them out by shaving the front right tooth down, but the actual. Orthodontics is the movement of the teeth within the jaw bones to. Why Did My Orthodontist File My Teeth.