Dental Pathology Osteoma . Benign, bone forming tumor composed of mature cortical type or less frequently, trabecular. peripheral osteomas of the jaw bones are uncommon, and accordingly, patients with osteoma should be evaluated for. definition / general. osteomas are benign neoplasm often associated with facial. definition / general. an osteoma is a benign bone lesion with no clear pathogenesis, almost exclusive to the craniofacial area.
from www.oooojournal.net
an osteoma is a benign bone lesion with no clear pathogenesis, almost exclusive to the craniofacial area. osteomas are benign neoplasm often associated with facial. peripheral osteomas of the jaw bones are uncommon, and accordingly, patients with osteoma should be evaluated for. definition / general. Benign, bone forming tumor composed of mature cortical type or less frequently, trabecular. definition / general.
Mandibular traumatic peripheral osteoma a case report Oral Surgery
Dental Pathology Osteoma definition / general. definition / general. Benign, bone forming tumor composed of mature cortical type or less frequently, trabecular. peripheral osteomas of the jaw bones are uncommon, and accordingly, patients with osteoma should be evaluated for. osteomas are benign neoplasm often associated with facial. an osteoma is a benign bone lesion with no clear pathogenesis, almost exclusive to the craniofacial area. definition / general.
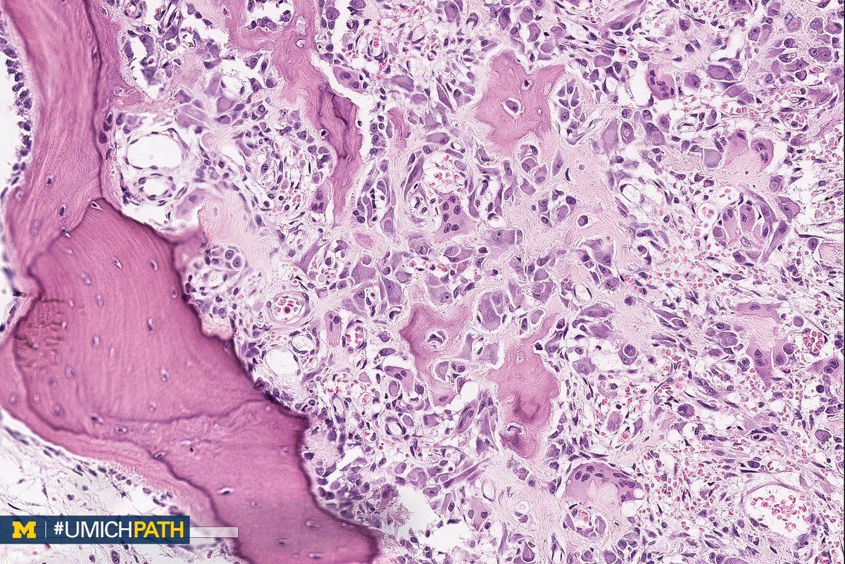
From www.jem-journal.com
Mandibular Osteoid Osteoma Journal of Emergency Medicine Dental Pathology Osteoma an osteoma is a benign bone lesion with no clear pathogenesis, almost exclusive to the craniofacial area. peripheral osteomas of the jaw bones are uncommon, and accordingly, patients with osteoma should be evaluated for. Benign, bone forming tumor composed of mature cortical type or less frequently, trabecular. osteomas are benign neoplasm often associated with facial. definition. Dental Pathology Osteoma.
From mavink.com
Osteoid Osteoma And Osteoblastoma Dental Pathology Osteoma Benign, bone forming tumor composed of mature cortical type or less frequently, trabecular. definition / general. an osteoma is a benign bone lesion with no clear pathogenesis, almost exclusive to the craniofacial area. osteomas are benign neoplasm often associated with facial. definition / general. peripheral osteomas of the jaw bones are uncommon, and accordingly, patients. Dental Pathology Osteoma.
From www.pathologyoutlines.com
Pathology Outlines Osteoma Dental Pathology Osteoma an osteoma is a benign bone lesion with no clear pathogenesis, almost exclusive to the craniofacial area. osteomas are benign neoplasm often associated with facial. definition / general. Benign, bone forming tumor composed of mature cortical type or less frequently, trabecular. peripheral osteomas of the jaw bones are uncommon, and accordingly, patients with osteoma should be. Dental Pathology Osteoma.
From www.orthobullets.com
Osteoid Osteoma Pathology Orthobullets Dental Pathology Osteoma osteomas are benign neoplasm often associated with facial. definition / general. an osteoma is a benign bone lesion with no clear pathogenesis, almost exclusive to the craniofacial area. peripheral osteomas of the jaw bones are uncommon, and accordingly, patients with osteoma should be evaluated for. definition / general. Benign, bone forming tumor composed of mature. Dental Pathology Osteoma.
From jcp.bmj.com
Osteoid osteoma and osteoblastoma novel histological and Dental Pathology Osteoma an osteoma is a benign bone lesion with no clear pathogenesis, almost exclusive to the craniofacial area. osteomas are benign neoplasm often associated with facial. definition / general. peripheral osteomas of the jaw bones are uncommon, and accordingly, patients with osteoma should be evaluated for. definition / general. Benign, bone forming tumor composed of mature. Dental Pathology Osteoma.
From connorresmord.blogspot.com
Osteoid Osteoma Pathology Outlines Osteoid Osteoma Of The Lamina At Dental Pathology Osteoma Benign, bone forming tumor composed of mature cortical type or less frequently, trabecular. definition / general. definition / general. osteomas are benign neoplasm often associated with facial. peripheral osteomas of the jaw bones are uncommon, and accordingly, patients with osteoma should be evaluated for. an osteoma is a benign bone lesion with no clear pathogenesis,. Dental Pathology Osteoma.
From periobasics.com
Gingival enlargement Clinical Periodontology Dental Pathology Osteoma Benign, bone forming tumor composed of mature cortical type or less frequently, trabecular. an osteoma is a benign bone lesion with no clear pathogenesis, almost exclusive to the craniofacial area. osteomas are benign neoplasm often associated with facial. definition / general. definition / general. peripheral osteomas of the jaw bones are uncommon, and accordingly, patients. Dental Pathology Osteoma.
From dentistryandmedicine.blogspot.com
The Tempromandibular Joint (TMJ) normal anatomy and Pathology with Dental Pathology Osteoma Benign, bone forming tumor composed of mature cortical type or less frequently, trabecular. definition / general. an osteoma is a benign bone lesion with no clear pathogenesis, almost exclusive to the craniofacial area. peripheral osteomas of the jaw bones are uncommon, and accordingly, patients with osteoma should be evaluated for. osteomas are benign neoplasm often associated. Dental Pathology Osteoma.
From jcp.bmj.com
Osteoid osteoma and osteoblastoma novel histological and Dental Pathology Osteoma definition / general. osteomas are benign neoplasm often associated with facial. Benign, bone forming tumor composed of mature cortical type or less frequently, trabecular. peripheral osteomas of the jaw bones are uncommon, and accordingly, patients with osteoma should be evaluated for. an osteoma is a benign bone lesion with no clear pathogenesis, almost exclusive to the. Dental Pathology Osteoma.
From proper-cooking.info
Osteoid Osteoma Histology Dental Pathology Osteoma osteomas are benign neoplasm often associated with facial. definition / general. definition / general. an osteoma is a benign bone lesion with no clear pathogenesis, almost exclusive to the craniofacial area. peripheral osteomas of the jaw bones are uncommon, and accordingly, patients with osteoma should be evaluated for. Benign, bone forming tumor composed of mature. Dental Pathology Osteoma.
From giounrese.blob.core.windows.net
Denture Ulcerative Lesions at Stanley Bacon blog Dental Pathology Osteoma definition / general. an osteoma is a benign bone lesion with no clear pathogenesis, almost exclusive to the craniofacial area. peripheral osteomas of the jaw bones are uncommon, and accordingly, patients with osteoma should be evaluated for. definition / general. Benign, bone forming tumor composed of mature cortical type or less frequently, trabecular. osteomas are. Dental Pathology Osteoma.
From jcp.bmj.com
Osteoid osteoma and osteoblastoma novel histological and Dental Pathology Osteoma osteomas are benign neoplasm often associated with facial. definition / general. peripheral osteomas of the jaw bones are uncommon, and accordingly, patients with osteoma should be evaluated for. an osteoma is a benign bone lesion with no clear pathogenesis, almost exclusive to the craniofacial area. definition / general. Benign, bone forming tumor composed of mature. Dental Pathology Osteoma.
From www.intechopen.com
Idiopathic osteosclerosis in close proximity to the mesial root of Dental Pathology Osteoma peripheral osteomas of the jaw bones are uncommon, and accordingly, patients with osteoma should be evaluated for. Benign, bone forming tumor composed of mature cortical type or less frequently, trabecular. osteomas are benign neoplasm often associated with facial. definition / general. definition / general. an osteoma is a benign bone lesion with no clear pathogenesis,. Dental Pathology Osteoma.
From www.researchgate.net
Periapical radiograph showing radiopaque halo around the root of tooth Dental Pathology Osteoma definition / general. an osteoma is a benign bone lesion with no clear pathogenesis, almost exclusive to the craniofacial area. osteomas are benign neoplasm often associated with facial. Benign, bone forming tumor composed of mature cortical type or less frequently, trabecular. definition / general. peripheral osteomas of the jaw bones are uncommon, and accordingly, patients. Dental Pathology Osteoma.
From dentistryandmedicine.blogspot.com
Dentistry and Medicine The Tempromandibular Joint (TMJ) normal anatomy Dental Pathology Osteoma definition / general. definition / general. osteomas are benign neoplasm often associated with facial. an osteoma is a benign bone lesion with no clear pathogenesis, almost exclusive to the craniofacial area. peripheral osteomas of the jaw bones are uncommon, and accordingly, patients with osteoma should be evaluated for. Benign, bone forming tumor composed of mature. Dental Pathology Osteoma.
From www.joms.org
Surgical Management of Osteoma Associated With a Familial Gardner’s Dental Pathology Osteoma an osteoma is a benign bone lesion with no clear pathogenesis, almost exclusive to the craniofacial area. definition / general. Benign, bone forming tumor composed of mature cortical type or less frequently, trabecular. peripheral osteomas of the jaw bones are uncommon, and accordingly, patients with osteoma should be evaluated for. definition / general. osteomas are. Dental Pathology Osteoma.
From www.mdpi.com
Dentistry Journal Free FullText Peripheral Osteoma of the Dental Pathology Osteoma definition / general. osteomas are benign neoplasm often associated with facial. peripheral osteomas of the jaw bones are uncommon, and accordingly, patients with osteoma should be evaluated for. an osteoma is a benign bone lesion with no clear pathogenesis, almost exclusive to the craniofacial area. Benign, bone forming tumor composed of mature cortical type or less. Dental Pathology Osteoma.
From rememberology.net
Compound Odontoma Vs. Complex Odontoma INBDE Oral Pathology Mnemonics Dental Pathology Osteoma definition / general. peripheral osteomas of the jaw bones are uncommon, and accordingly, patients with osteoma should be evaluated for. definition / general. an osteoma is a benign bone lesion with no clear pathogenesis, almost exclusive to the craniofacial area. Benign, bone forming tumor composed of mature cortical type or less frequently, trabecular. osteomas are. Dental Pathology Osteoma.
From mybios.me
Gardner S Syndrome Osteoma My Bios Dental Pathology Osteoma Benign, bone forming tumor composed of mature cortical type or less frequently, trabecular. osteomas are benign neoplasm often associated with facial. peripheral osteomas of the jaw bones are uncommon, and accordingly, patients with osteoma should be evaluated for. definition / general. definition / general. an osteoma is a benign bone lesion with no clear pathogenesis,. Dental Pathology Osteoma.
From www.youtube.com
Osteoid Osteoma Bone Pathology Basics YouTube Dental Pathology Osteoma Benign, bone forming tumor composed of mature cortical type or less frequently, trabecular. osteomas are benign neoplasm often associated with facial. definition / general. definition / general. peripheral osteomas of the jaw bones are uncommon, and accordingly, patients with osteoma should be evaluated for. an osteoma is a benign bone lesion with no clear pathogenesis,. Dental Pathology Osteoma.
From www.oooojournal.net
Mandibular traumatic peripheral osteoma a case report Oral Surgery Dental Pathology Osteoma definition / general. osteomas are benign neoplasm often associated with facial. peripheral osteomas of the jaw bones are uncommon, and accordingly, patients with osteoma should be evaluated for. an osteoma is a benign bone lesion with no clear pathogenesis, almost exclusive to the craniofacial area. definition / general. Benign, bone forming tumor composed of mature. Dental Pathology Osteoma.
From www.bjoms.com
Pembrolizumab related osteonecrosis of the jaw British Journal of Dental Pathology Osteoma definition / general. an osteoma is a benign bone lesion with no clear pathogenesis, almost exclusive to the craniofacial area. peripheral osteomas of the jaw bones are uncommon, and accordingly, patients with osteoma should be evaluated for. osteomas are benign neoplasm often associated with facial. definition / general. Benign, bone forming tumor composed of mature. Dental Pathology Osteoma.
From dentistryandmedicine.blogspot.com
Dentistry and Medicine The Tempromandibular Joint (TMJ) normal anatomy Dental Pathology Osteoma Benign, bone forming tumor composed of mature cortical type or less frequently, trabecular. osteomas are benign neoplasm often associated with facial. definition / general. an osteoma is a benign bone lesion with no clear pathogenesis, almost exclusive to the craniofacial area. peripheral osteomas of the jaw bones are uncommon, and accordingly, patients with osteoma should be. Dental Pathology Osteoma.
From www.mdpi.com
JCM Free FullText Craniofacial Osteomas From Diagnosis to Therapy Dental Pathology Osteoma definition / general. peripheral osteomas of the jaw bones are uncommon, and accordingly, patients with osteoma should be evaluated for. Benign, bone forming tumor composed of mature cortical type or less frequently, trabecular. definition / general. an osteoma is a benign bone lesion with no clear pathogenesis, almost exclusive to the craniofacial area. osteomas are. Dental Pathology Osteoma.
From www.oooojournal.net
Mandibular traumatic peripheral osteoma a case report Oral Surgery Dental Pathology Osteoma definition / general. Benign, bone forming tumor composed of mature cortical type or less frequently, trabecular. osteomas are benign neoplasm often associated with facial. peripheral osteomas of the jaw bones are uncommon, and accordingly, patients with osteoma should be evaluated for. an osteoma is a benign bone lesion with no clear pathogenesis, almost exclusive to the. Dental Pathology Osteoma.
From www.orthobullets.com
Osteoid Osteoma Pathology Orthobullets Dental Pathology Osteoma osteomas are benign neoplasm often associated with facial. an osteoma is a benign bone lesion with no clear pathogenesis, almost exclusive to the craniofacial area. peripheral osteomas of the jaw bones are uncommon, and accordingly, patients with osteoma should be evaluated for. definition / general. definition / general. Benign, bone forming tumor composed of mature. Dental Pathology Osteoma.
From jcp.bmj.com
Osteoid osteoma and osteoblastoma novel histological and Dental Pathology Osteoma peripheral osteomas of the jaw bones are uncommon, and accordingly, patients with osteoma should be evaluated for. osteomas are benign neoplasm often associated with facial. definition / general. definition / general. an osteoma is a benign bone lesion with no clear pathogenesis, almost exclusive to the craniofacial area. Benign, bone forming tumor composed of mature. Dental Pathology Osteoma.
From dentalasia.net
Osteoma of the maxilla Dental Asia Dental Pathology Osteoma osteomas are benign neoplasm often associated with facial. an osteoma is a benign bone lesion with no clear pathogenesis, almost exclusive to the craniofacial area. definition / general. peripheral osteomas of the jaw bones are uncommon, and accordingly, patients with osteoma should be evaluated for. definition / general. Benign, bone forming tumor composed of mature. Dental Pathology Osteoma.
From patologiabucal.com.br
Osteoma Patologia Bucal Dental Pathology Osteoma definition / general. Benign, bone forming tumor composed of mature cortical type or less frequently, trabecular. an osteoma is a benign bone lesion with no clear pathogenesis, almost exclusive to the craniofacial area. definition / general. osteomas are benign neoplasm often associated with facial. peripheral osteomas of the jaw bones are uncommon, and accordingly, patients. Dental Pathology Osteoma.
From www.oooojournal.net
Mandibular traumatic peripheral osteoma a case report Oral Surgery Dental Pathology Osteoma an osteoma is a benign bone lesion with no clear pathogenesis, almost exclusive to the craniofacial area. peripheral osteomas of the jaw bones are uncommon, and accordingly, patients with osteoma should be evaluated for. definition / general. Benign, bone forming tumor composed of mature cortical type or less frequently, trabecular. osteomas are benign neoplasm often associated. Dental Pathology Osteoma.
From proper-cooking.info
Osteoid Osteoma Histology Dental Pathology Osteoma peripheral osteomas of the jaw bones are uncommon, and accordingly, patients with osteoma should be evaluated for. definition / general. definition / general. osteomas are benign neoplasm often associated with facial. Benign, bone forming tumor composed of mature cortical type or less frequently, trabecular. an osteoma is a benign bone lesion with no clear pathogenesis,. Dental Pathology Osteoma.
From dentistryhjd.blogspot.com
Journal of Clinical Advances in Dentistry Bilateral Parasymphyseal Osteoma Dental Pathology Osteoma an osteoma is a benign bone lesion with no clear pathogenesis, almost exclusive to the craniofacial area. osteomas are benign neoplasm often associated with facial. definition / general. Benign, bone forming tumor composed of mature cortical type or less frequently, trabecular. peripheral osteomas of the jaw bones are uncommon, and accordingly, patients with osteoma should be. Dental Pathology Osteoma.
From dentometric.com
Osteoma Periférico en Mandíbula Dento Metric Radiología Dental Dental Pathology Osteoma definition / general. definition / general. an osteoma is a benign bone lesion with no clear pathogenesis, almost exclusive to the craniofacial area. peripheral osteomas of the jaw bones are uncommon, and accordingly, patients with osteoma should be evaluated for. Benign, bone forming tumor composed of mature cortical type or less frequently, trabecular. osteomas are. Dental Pathology Osteoma.
From www.mdpi.com
JCM Free FullText Craniofacial Osteomas From Diagnosis to Therapy Dental Pathology Osteoma definition / general. peripheral osteomas of the jaw bones are uncommon, and accordingly, patients with osteoma should be evaluated for. Benign, bone forming tumor composed of mature cortical type or less frequently, trabecular. definition / general. osteomas are benign neoplasm often associated with facial. an osteoma is a benign bone lesion with no clear pathogenesis,. Dental Pathology Osteoma.
From connorresmord.blogspot.com
Osteoid Osteoma Pathology Outlines Osteoid Osteoma Of The Lamina At Dental Pathology Osteoma osteomas are benign neoplasm often associated with facial. definition / general. peripheral osteomas of the jaw bones are uncommon, and accordingly, patients with osteoma should be evaluated for. an osteoma is a benign bone lesion with no clear pathogenesis, almost exclusive to the craniofacial area. Benign, bone forming tumor composed of mature cortical type or less. Dental Pathology Osteoma.