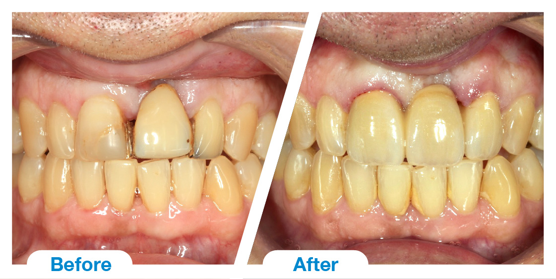
Cementing Zirconia Bridge . The high core structure strength is excellent for many. This guide explores the secrets of successful zirconia resin bonded bridges through mastering materials and cementation technique. Discover how to use resin cement to secure zirconia bonded bridges and create minimally invasive, esthetic tooth replacement. As such, we may need a different protocol for bonding zirconia crowns and zirconia resin bonded bridges than we would use for materials like emax (lithium disilicate).
from www.zotiondental.com
This guide explores the secrets of successful zirconia resin bonded bridges through mastering materials and cementation technique. The high core structure strength is excellent for many. Discover how to use resin cement to secure zirconia bonded bridges and create minimally invasive, esthetic tooth replacement. As such, we may need a different protocol for bonding zirconia crowns and zirconia resin bonded bridges than we would use for materials like emax (lithium disilicate).
THE SECRETS OF DENTAL ZIRCONIA BRIDGES
Cementing Zirconia Bridge As such, we may need a different protocol for bonding zirconia crowns and zirconia resin bonded bridges than we would use for materials like emax (lithium disilicate). The high core structure strength is excellent for many. This guide explores the secrets of successful zirconia resin bonded bridges through mastering materials and cementation technique. As such, we may need a different protocol for bonding zirconia crowns and zirconia resin bonded bridges than we would use for materials like emax (lithium disilicate). Discover how to use resin cement to secure zirconia bonded bridges and create minimally invasive, esthetic tooth replacement.
From tlzzirconia.blogspot.com
TLZ All Zirconia Crowns & Bridges Expanded Uses Of Zirconia Cementing Zirconia Bridge This guide explores the secrets of successful zirconia resin bonded bridges through mastering materials and cementation technique. Discover how to use resin cement to secure zirconia bonded bridges and create minimally invasive, esthetic tooth replacement. The high core structure strength is excellent for many. As such, we may need a different protocol for bonding zirconia crowns and zirconia resin bonded. Cementing Zirconia Bridge.
From thetabloid.net
Cementing the bridge Cementing Zirconia Bridge As such, we may need a different protocol for bonding zirconia crowns and zirconia resin bonded bridges than we would use for materials like emax (lithium disilicate). Discover how to use resin cement to secure zirconia bonded bridges and create minimally invasive, esthetic tooth replacement. This guide explores the secrets of successful zirconia resin bonded bridges through mastering materials and. Cementing Zirconia Bridge.
From www.pinterest.com
Pin on my work Cementing Zirconia Bridge As such, we may need a different protocol for bonding zirconia crowns and zirconia resin bonded bridges than we would use for materials like emax (lithium disilicate). Discover how to use resin cement to secure zirconia bonded bridges and create minimally invasive, esthetic tooth replacement. The high core structure strength is excellent for many. This guide explores the secrets of. Cementing Zirconia Bridge.
From www.youtube.com
RelyX u 200 cementation on zirconia crown pinkblue YouTube Cementing Zirconia Bridge This guide explores the secrets of successful zirconia resin bonded bridges through mastering materials and cementation technique. The high core structure strength is excellent for many. Discover how to use resin cement to secure zirconia bonded bridges and create minimally invasive, esthetic tooth replacement. As such, we may need a different protocol for bonding zirconia crowns and zirconia resin bonded. Cementing Zirconia Bridge.
From www.youtube.com
HOW TO Cement Zirconia Crown for Less Retentive Tooth Prep YouTube Cementing Zirconia Bridge As such, we may need a different protocol for bonding zirconia crowns and zirconia resin bonded bridges than we would use for materials like emax (lithium disilicate). This guide explores the secrets of successful zirconia resin bonded bridges through mastering materials and cementation technique. The high core structure strength is excellent for many. Discover how to use resin cement to. Cementing Zirconia Bridge.
From www.avasonfamilydentistry.com
Zirconia Fixed Bridges Avason Family Dentistry Cementing Zirconia Bridge Discover how to use resin cement to secure zirconia bonded bridges and create minimally invasive, esthetic tooth replacement. This guide explores the secrets of successful zirconia resin bonded bridges through mastering materials and cementation technique. As such, we may need a different protocol for bonding zirconia crowns and zirconia resin bonded bridges than we would use for materials like emax. Cementing Zirconia Bridge.
From www.pinterest.co.uk
Upper zirconia implant bridge Affordable dental, Dental implants, Dental Cementing Zirconia Bridge As such, we may need a different protocol for bonding zirconia crowns and zirconia resin bonded bridges than we would use for materials like emax (lithium disilicate). Discover how to use resin cement to secure zirconia bonded bridges and create minimally invasive, esthetic tooth replacement. This guide explores the secrets of successful zirconia resin bonded bridges through mastering materials and. Cementing Zirconia Bridge.
From www.adelaidedentalart.com
3 Unit Zirconia Bridge (Courtesy of Dr Will South) Adelaide Dental Art Cementing Zirconia Bridge The high core structure strength is excellent for many. Discover how to use resin cement to secure zirconia bonded bridges and create minimally invasive, esthetic tooth replacement. As such, we may need a different protocol for bonding zirconia crowns and zirconia resin bonded bridges than we would use for materials like emax (lithium disilicate). This guide explores the secrets of. Cementing Zirconia Bridge.
From tlzzirconia.blogspot.com
TLZ All Zirconia Crowns & Bridges Zirconia Cementation Update Cementing Zirconia Bridge This guide explores the secrets of successful zirconia resin bonded bridges through mastering materials and cementation technique. As such, we may need a different protocol for bonding zirconia crowns and zirconia resin bonded bridges than we would use for materials like emax (lithium disilicate). The high core structure strength is excellent for many. Discover how to use resin cement to. Cementing Zirconia Bridge.
From www.dreamstime.com
Dental zirconia bridge stock image. Image of care, partial 94577113 Cementing Zirconia Bridge Discover how to use resin cement to secure zirconia bonded bridges and create minimally invasive, esthetic tooth replacement. As such, we may need a different protocol for bonding zirconia crowns and zirconia resin bonded bridges than we would use for materials like emax (lithium disilicate). The high core structure strength is excellent for many. This guide explores the secrets of. Cementing Zirconia Bridge.
From www.preferreddentalcenter.com
Zirconia Fixed Bridge San Antonio, TX Preferred Dental Center Cementing Zirconia Bridge Discover how to use resin cement to secure zirconia bonded bridges and create minimally invasive, esthetic tooth replacement. This guide explores the secrets of successful zirconia resin bonded bridges through mastering materials and cementation technique. As such, we may need a different protocol for bonding zirconia crowns and zirconia resin bonded bridges than we would use for materials like emax. Cementing Zirconia Bridge.
From synergydental.org.uk
Zirconia Crowns Dr. Zuber Bagasi • Synergy Dental Clinic Cementing Zirconia Bridge The high core structure strength is excellent for many. Discover how to use resin cement to secure zirconia bonded bridges and create minimally invasive, esthetic tooth replacement. As such, we may need a different protocol for bonding zirconia crowns and zirconia resin bonded bridges than we would use for materials like emax (lithium disilicate). This guide explores the secrets of. Cementing Zirconia Bridge.
From www.h2dslab.com
Crown & Bridge Cementing Zirconia Bridge As such, we may need a different protocol for bonding zirconia crowns and zirconia resin bonded bridges than we would use for materials like emax (lithium disilicate). This guide explores the secrets of successful zirconia resin bonded bridges through mastering materials and cementation technique. Discover how to use resin cement to secure zirconia bonded bridges and create minimally invasive, esthetic. Cementing Zirconia Bridge.
From dicoenergy.com
Cementing Density Modifier DOCP81L,China Cementing Density Modifier Cementing Zirconia Bridge The high core structure strength is excellent for many. As such, we may need a different protocol for bonding zirconia crowns and zirconia resin bonded bridges than we would use for materials like emax (lithium disilicate). This guide explores the secrets of successful zirconia resin bonded bridges through mastering materials and cementation technique. Discover how to use resin cement to. Cementing Zirconia Bridge.
From www.zotiondental.com
THE SECRETS OF DENTAL ZIRCONIA BRIDGES Cementing Zirconia Bridge The high core structure strength is excellent for many. Discover how to use resin cement to secure zirconia bonded bridges and create minimally invasive, esthetic tooth replacement. This guide explores the secrets of successful zirconia resin bonded bridges through mastering materials and cementation technique. As such, we may need a different protocol for bonding zirconia crowns and zirconia resin bonded. Cementing Zirconia Bridge.
From www.mcomiedentistry.com
Cosmetic Dentistry Case Zirconia Bridge Cementing Zirconia Bridge As such, we may need a different protocol for bonding zirconia crowns and zirconia resin bonded bridges than we would use for materials like emax (lithium disilicate). The high core structure strength is excellent for many. This guide explores the secrets of successful zirconia resin bonded bridges through mastering materials and cementation technique. Discover how to use resin cement to. Cementing Zirconia Bridge.
From www.youtube.com
Zirconia Cementation with RelyX Universal Cement Dr Scott MacLean Cementing Zirconia Bridge The high core structure strength is excellent for many. As such, we may need a different protocol for bonding zirconia crowns and zirconia resin bonded bridges than we would use for materials like emax (lithium disilicate). Discover how to use resin cement to secure zirconia bonded bridges and create minimally invasive, esthetic tooth replacement. This guide explores the secrets of. Cementing Zirconia Bridge.
From www.zerodonto.com
Fullarch restoration with Straumann implants and zirconia prosthesis Cementing Zirconia Bridge As such, we may need a different protocol for bonding zirconia crowns and zirconia resin bonded bridges than we would use for materials like emax (lithium disilicate). Discover how to use resin cement to secure zirconia bonded bridges and create minimally invasive, esthetic tooth replacement. This guide explores the secrets of successful zirconia resin bonded bridges through mastering materials and. Cementing Zirconia Bridge.
From www.elandentalgroup.com
Zirconia Fixed Bridge East Lansing, MI Ann Arbor, MI Cementing Zirconia Bridge This guide explores the secrets of successful zirconia resin bonded bridges through mastering materials and cementation technique. As such, we may need a different protocol for bonding zirconia crowns and zirconia resin bonded bridges than we would use for materials like emax (lithium disilicate). The high core structure strength is excellent for many. Discover how to use resin cement to. Cementing Zirconia Bridge.
From www.pinterest.com
Zirconia bridge Dental bridge, Dental health, Dentistry Cementing Zirconia Bridge This guide explores the secrets of successful zirconia resin bonded bridges through mastering materials and cementation technique. The high core structure strength is excellent for many. As such, we may need a different protocol for bonding zirconia crowns and zirconia resin bonded bridges than we would use for materials like emax (lithium disilicate). Discover how to use resin cement to. Cementing Zirconia Bridge.
From www.researchgate.net
(PDF) Cementing Zirconia Cement types, Self vs. Lightcuring, Effect Cementing Zirconia Bridge The high core structure strength is excellent for many. Discover how to use resin cement to secure zirconia bonded bridges and create minimally invasive, esthetic tooth replacement. As such, we may need a different protocol for bonding zirconia crowns and zirconia resin bonded bridges than we would use for materials like emax (lithium disilicate). This guide explores the secrets of. Cementing Zirconia Bridge.
From bestlaserdentalclinic.blogspot.com
Zirconium bridges for teeth replacement with dental implants. Cementing Zirconia Bridge Discover how to use resin cement to secure zirconia bonded bridges and create minimally invasive, esthetic tooth replacement. As such, we may need a different protocol for bonding zirconia crowns and zirconia resin bonded bridges than we would use for materials like emax (lithium disilicate). The high core structure strength is excellent for many. This guide explores the secrets of. Cementing Zirconia Bridge.
From segmentnext.com
Ark Crystal Isles Cementing Paste Locations SegmentNext Cementing Zirconia Bridge The high core structure strength is excellent for many. Discover how to use resin cement to secure zirconia bonded bridges and create minimally invasive, esthetic tooth replacement. As such, we may need a different protocol for bonding zirconia crowns and zirconia resin bonded bridges than we would use for materials like emax (lithium disilicate). This guide explores the secrets of. Cementing Zirconia Bridge.
From www.blog.ivoclar.com
Cementing Zirconia Crowns has Never Been so Easy Cementing Zirconia Bridge The high core structure strength is excellent for many. Discover how to use resin cement to secure zirconia bonded bridges and create minimally invasive, esthetic tooth replacement. As such, we may need a different protocol for bonding zirconia crowns and zirconia resin bonded bridges than we would use for materials like emax (lithium disilicate). This guide explores the secrets of. Cementing Zirconia Bridge.
From www.pinterest.com
Zirconia Full Arch Bridge em 2022 Exercício de kegel Cementing Zirconia Bridge As such, we may need a different protocol for bonding zirconia crowns and zirconia resin bonded bridges than we would use for materials like emax (lithium disilicate). Discover how to use resin cement to secure zirconia bonded bridges and create minimally invasive, esthetic tooth replacement. This guide explores the secrets of successful zirconia resin bonded bridges through mastering materials and. Cementing Zirconia Bridge.
From www.kennethackleydds.com
Zirconia Fixed Bridge Lansing, MI C. Ackley II, DDS Cementing Zirconia Bridge This guide explores the secrets of successful zirconia resin bonded bridges through mastering materials and cementation technique. As such, we may need a different protocol for bonding zirconia crowns and zirconia resin bonded bridges than we would use for materials like emax (lithium disilicate). The high core structure strength is excellent for many. Discover how to use resin cement to. Cementing Zirconia Bridge.
From www.mpdentalexcellence.com
Zirconia Cement for Zirconia Crowns & Bridges Long Term Survival Cementing Zirconia Bridge Discover how to use resin cement to secure zirconia bonded bridges and create minimally invasive, esthetic tooth replacement. As such, we may need a different protocol for bonding zirconia crowns and zirconia resin bonded bridges than we would use for materials like emax (lithium disilicate). The high core structure strength is excellent for many. This guide explores the secrets of. Cementing Zirconia Bridge.
From www.dentaleconomics.com
Cementing zirconia restorations Dental Economics Cementing Zirconia Bridge Discover how to use resin cement to secure zirconia bonded bridges and create minimally invasive, esthetic tooth replacement. The high core structure strength is excellent for many. This guide explores the secrets of successful zirconia resin bonded bridges through mastering materials and cementation technique. As such, we may need a different protocol for bonding zirconia crowns and zirconia resin bonded. Cementing Zirconia Bridge.
From www.youtube.com
zirconia cementation YouTube Cementing Zirconia Bridge The high core structure strength is excellent for many. Discover how to use resin cement to secure zirconia bonded bridges and create minimally invasive, esthetic tooth replacement. This guide explores the secrets of successful zirconia resin bonded bridges through mastering materials and cementation technique. As such, we may need a different protocol for bonding zirconia crowns and zirconia resin bonded. Cementing Zirconia Bridge.
From christchurchdentures.co.nz
Dental Laboratory Services All Thirty Two Limited Dental Laboratory Cementing Zirconia Bridge Discover how to use resin cement to secure zirconia bonded bridges and create minimally invasive, esthetic tooth replacement. The high core structure strength is excellent for many. As such, we may need a different protocol for bonding zirconia crowns and zirconia resin bonded bridges than we would use for materials like emax (lithium disilicate). This guide explores the secrets of. Cementing Zirconia Bridge.
From www.youtube.com
Upper anterior Zirconia Bridge YouTube Cementing Zirconia Bridge Discover how to use resin cement to secure zirconia bonded bridges and create minimally invasive, esthetic tooth replacement. The high core structure strength is excellent for many. This guide explores the secrets of successful zirconia resin bonded bridges through mastering materials and cementation technique. As such, we may need a different protocol for bonding zirconia crowns and zirconia resin bonded. Cementing Zirconia Bridge.
From bestlaserdentalclinic.blogspot.com
Zirconium bridges for teeth replacement with dental implants. Cementing Zirconia Bridge As such, we may need a different protocol for bonding zirconia crowns and zirconia resin bonded bridges than we would use for materials like emax (lithium disilicate). The high core structure strength is excellent for many. Discover how to use resin cement to secure zirconia bonded bridges and create minimally invasive, esthetic tooth replacement. This guide explores the secrets of. Cementing Zirconia Bridge.
From gulfstreamservices.com
Onshore Cementing Systems Surface Cementing Head Rental Gulfstream Cementing Zirconia Bridge This guide explores the secrets of successful zirconia resin bonded bridges through mastering materials and cementation technique. As such, we may need a different protocol for bonding zirconia crowns and zirconia resin bonded bridges than we would use for materials like emax (lithium disilicate). The high core structure strength is excellent for many. Discover how to use resin cement to. Cementing Zirconia Bridge.
From www.zotiondental.com
THE SECRETS OF DENTAL ZIRCONIA BRIDGES Cementing Zirconia Bridge As such, we may need a different protocol for bonding zirconia crowns and zirconia resin bonded bridges than we would use for materials like emax (lithium disilicate). This guide explores the secrets of successful zirconia resin bonded bridges through mastering materials and cementation technique. Discover how to use resin cement to secure zirconia bonded bridges and create minimally invasive, esthetic. Cementing Zirconia Bridge.
From www.toptechdental.com
Zirconia bridge China Dental Lab Cementing Zirconia Bridge Discover how to use resin cement to secure zirconia bonded bridges and create minimally invasive, esthetic tooth replacement. This guide explores the secrets of successful zirconia resin bonded bridges through mastering materials and cementation technique. The high core structure strength is excellent for many. As such, we may need a different protocol for bonding zirconia crowns and zirconia resin bonded. Cementing Zirconia Bridge.