Internal Ultrasound Showed Nothing . If you hcg levels havnt doubled as they. If you have a positive pregnancy test but we have been unable to see the pregnancy with an ultrasound scan it is called a ‘pregnancy of. If you’re in this situation, you might be saying to yourself, “i’m pregnant, but ultrasound showed nothing.” don’t panic; The most common reasons for a pregnancy not. There is usually nothing visible on scan if you are still in early pregnancy.around 5 weeks. I was in your situation a few years ago, with low and slow rising hcg levels, and initial scans showing nothing in the uterus. But what happens when your pregnancy test is positive, yet your ultrasound shows no signs of a baby? Is your ultrasound not showing your baby? Unfortunately, it's possible to have a positive pregnancy test but no baby on the ultrasound. If the gestational sac —which encloses the developing baby and contains amniotic fluid—isn't visible. A pregnancy that doesn't show on an ultrasound scan is called a 'pregnancy of unknown location'.
from www.researchgate.net
If you hcg levels havnt doubled as they. There is usually nothing visible on scan if you are still in early pregnancy.around 5 weeks. If you have a positive pregnancy test but we have been unable to see the pregnancy with an ultrasound scan it is called a ‘pregnancy of. The most common reasons for a pregnancy not. Is your ultrasound not showing your baby? If the gestational sac —which encloses the developing baby and contains amniotic fluid—isn't visible. But what happens when your pregnancy test is positive, yet your ultrasound shows no signs of a baby? If you’re in this situation, you might be saying to yourself, “i’m pregnant, but ultrasound showed nothing.” don’t panic; Unfortunately, it's possible to have a positive pregnancy test but no baby on the ultrasound. I was in your situation a few years ago, with low and slow rising hcg levels, and initial scans showing nothing in the uterus.
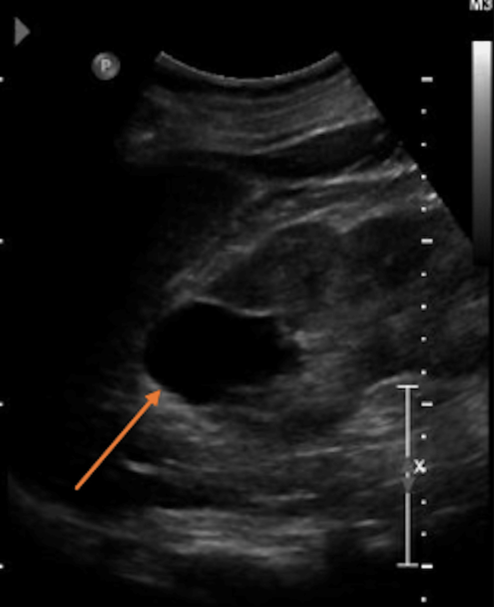
Ultrasound follow‐up eight weeks after delivery. The maximal diameter
Internal Ultrasound Showed Nothing But what happens when your pregnancy test is positive, yet your ultrasound shows no signs of a baby? If you’re in this situation, you might be saying to yourself, “i’m pregnant, but ultrasound showed nothing.” don’t panic; The most common reasons for a pregnancy not. Is your ultrasound not showing your baby? There is usually nothing visible on scan if you are still in early pregnancy.around 5 weeks. If you hcg levels havnt doubled as they. But what happens when your pregnancy test is positive, yet your ultrasound shows no signs of a baby? If you have a positive pregnancy test but we have been unable to see the pregnancy with an ultrasound scan it is called a ‘pregnancy of. A pregnancy that doesn't show on an ultrasound scan is called a 'pregnancy of unknown location'. Unfortunately, it's possible to have a positive pregnancy test but no baby on the ultrasound. I was in your situation a few years ago, with low and slow rising hcg levels, and initial scans showing nothing in the uterus. If the gestational sac —which encloses the developing baby and contains amniotic fluid—isn't visible.
From www.cureus.com
Cureus Metaplastic Breast Carcinoma Presenting as a Mixed Solid and Internal Ultrasound Showed Nothing But what happens when your pregnancy test is positive, yet your ultrasound shows no signs of a baby? A pregnancy that doesn't show on an ultrasound scan is called a 'pregnancy of unknown location'. Unfortunately, it's possible to have a positive pregnancy test but no baby on the ultrasound. If you’re in this situation, you might be saying to yourself,. Internal Ultrasound Showed Nothing.
From womensultrasound.com.au
Gynaecology Ultrasound Women's Ultrasound Melbourne Internal Ultrasound Showed Nothing If the gestational sac —which encloses the developing baby and contains amniotic fluid—isn't visible. There is usually nothing visible on scan if you are still in early pregnancy.around 5 weeks. I was in your situation a few years ago, with low and slow rising hcg levels, and initial scans showing nothing in the uterus. But what happens when your pregnancy. Internal Ultrasound Showed Nothing.
From www.researchgate.net
CT and ultrasound data of the escape bileaflet. A Ten years after the Internal Ultrasound Showed Nothing I was in your situation a few years ago, with low and slow rising hcg levels, and initial scans showing nothing in the uterus. If you’re in this situation, you might be saying to yourself, “i’m pregnant, but ultrasound showed nothing.” don’t panic; If you hcg levels havnt doubled as they. If you have a positive pregnancy test but we. Internal Ultrasound Showed Nothing.
From www.researchgate.net
The lesion was seen on ultrasound image Download Scientific Diagram Internal Ultrasound Showed Nothing I was in your situation a few years ago, with low and slow rising hcg levels, and initial scans showing nothing in the uterus. If you hcg levels havnt doubled as they. But what happens when your pregnancy test is positive, yet your ultrasound shows no signs of a baby? If you’re in this situation, you might be saying to. Internal Ultrasound Showed Nothing.
From www.researchgate.net
Ultrasound findings. Ultrasound showed a hypoechoic mass, 32 × 22 mm in Internal Ultrasound Showed Nothing Is your ultrasound not showing your baby? If the gestational sac —which encloses the developing baby and contains amniotic fluid—isn't visible. Unfortunately, it's possible to have a positive pregnancy test but no baby on the ultrasound. A pregnancy that doesn't show on an ultrasound scan is called a 'pregnancy of unknown location'. If you’re in this situation, you might be. Internal Ultrasound Showed Nothing.
From www.cureus.com
Cureus Polypoid Adenomyoma of the Uterus Internal Ultrasound Showed Nothing The most common reasons for a pregnancy not. Unfortunately, it's possible to have a positive pregnancy test but no baby on the ultrasound. If you have a positive pregnancy test but we have been unable to see the pregnancy with an ultrasound scan it is called a ‘pregnancy of. But what happens when your pregnancy test is positive, yet your. Internal Ultrasound Showed Nothing.
From www.researchgate.net
Oblique subcostal contrastenhanced ultrasound scan of the left lobe of Internal Ultrasound Showed Nothing If the gestational sac —which encloses the developing baby and contains amniotic fluid—isn't visible. There is usually nothing visible on scan if you are still in early pregnancy.around 5 weeks. If you hcg levels havnt doubled as they. Is your ultrasound not showing your baby? I was in your situation a few years ago, with low and slow rising hcg. Internal Ultrasound Showed Nothing.
From community.babycenter.com
Nothing on my ultrasound BabyCenter Internal Ultrasound Showed Nothing A pregnancy that doesn't show on an ultrasound scan is called a 'pregnancy of unknown location'. If you’re in this situation, you might be saying to yourself, “i’m pregnant, but ultrasound showed nothing.” don’t panic; If you have a positive pregnancy test but we have been unable to see the pregnancy with an ultrasound scan it is called a ‘pregnancy. Internal Ultrasound Showed Nothing.
From www.emcurious.com
Ultrasound Leadership Academy Ultrasound in Early Pregnancy — EM Curious Internal Ultrasound Showed Nothing Unfortunately, it's possible to have a positive pregnancy test but no baby on the ultrasound. A pregnancy that doesn't show on an ultrasound scan is called a 'pregnancy of unknown location'. If you’re in this situation, you might be saying to yourself, “i’m pregnant, but ultrasound showed nothing.” don’t panic; If you hcg levels havnt doubled as they. But what. Internal Ultrasound Showed Nothing.
From www.researchgate.net
Color Doppler ultrasound showed complete occlusion of the left internal Internal Ultrasound Showed Nothing If the gestational sac —which encloses the developing baby and contains amniotic fluid—isn't visible. If you have a positive pregnancy test but we have been unable to see the pregnancy with an ultrasound scan it is called a ‘pregnancy of. There is usually nothing visible on scan if you are still in early pregnancy.around 5 weeks. Unfortunately, it's possible to. Internal Ultrasound Showed Nothing.
From www.uscultrasound.com
How to Read an Ultrasound Ultrasound Solutions Corp. Internal Ultrasound Showed Nothing The most common reasons for a pregnancy not. If you hcg levels havnt doubled as they. Unfortunately, it's possible to have a positive pregnancy test but no baby on the ultrasound. A pregnancy that doesn't show on an ultrasound scan is called a 'pregnancy of unknown location'. There is usually nothing visible on scan if you are still in early. Internal Ultrasound Showed Nothing.
From www.researchgate.net
Endoscopic ultrasound findings. Endoscopic ultrasound showing obvious Internal Ultrasound Showed Nothing If you hcg levels havnt doubled as they. I was in your situation a few years ago, with low and slow rising hcg levels, and initial scans showing nothing in the uterus. But what happens when your pregnancy test is positive, yet your ultrasound shows no signs of a baby? There is usually nothing visible on scan if you are. Internal Ultrasound Showed Nothing.
From www.researchgate.net
Ultrasound image showing an elongated anechoic area with thick internal Internal Ultrasound Showed Nothing If the gestational sac —which encloses the developing baby and contains amniotic fluid—isn't visible. A pregnancy that doesn't show on an ultrasound scan is called a 'pregnancy of unknown location'. There is usually nothing visible on scan if you are still in early pregnancy.around 5 weeks. Unfortunately, it's possible to have a positive pregnancy test but no baby on the. Internal Ultrasound Showed Nothing.
From www.youtube.com
Ultrasound at 7 weeks 5 days YouTube Internal Ultrasound Showed Nothing I was in your situation a few years ago, with low and slow rising hcg levels, and initial scans showing nothing in the uterus. There is usually nothing visible on scan if you are still in early pregnancy.around 5 weeks. The most common reasons for a pregnancy not. If you’re in this situation, you might be saying to yourself, “i’m. Internal Ultrasound Showed Nothing.
From screening.iarc.fr
Atlas of breast cancer early detection Internal Ultrasound Showed Nothing The most common reasons for a pregnancy not. I was in your situation a few years ago, with low and slow rising hcg levels, and initial scans showing nothing in the uterus. If you have a positive pregnancy test but we have been unable to see the pregnancy with an ultrasound scan it is called a ‘pregnancy of. There is. Internal Ultrasound Showed Nothing.
From www.reddit.com
5w ultrasound showed nothing hcg 5800 r/EctopicSupportGroup Internal Ultrasound Showed Nothing The most common reasons for a pregnancy not. If you hcg levels havnt doubled as they. Is your ultrasound not showing your baby? Unfortunately, it's possible to have a positive pregnancy test but no baby on the ultrasound. A pregnancy that doesn't show on an ultrasound scan is called a 'pregnancy of unknown location'. There is usually nothing visible on. Internal Ultrasound Showed Nothing.
From ijgc.bmj.com
Transvaginal ultrasound in evaluation and followup of ovarian Internal Ultrasound Showed Nothing But what happens when your pregnancy test is positive, yet your ultrasound shows no signs of a baby? Is your ultrasound not showing your baby? I was in your situation a few years ago, with low and slow rising hcg levels, and initial scans showing nothing in the uterus. A pregnancy that doesn't show on an ultrasound scan is called. Internal Ultrasound Showed Nothing.
From www.researchgate.net
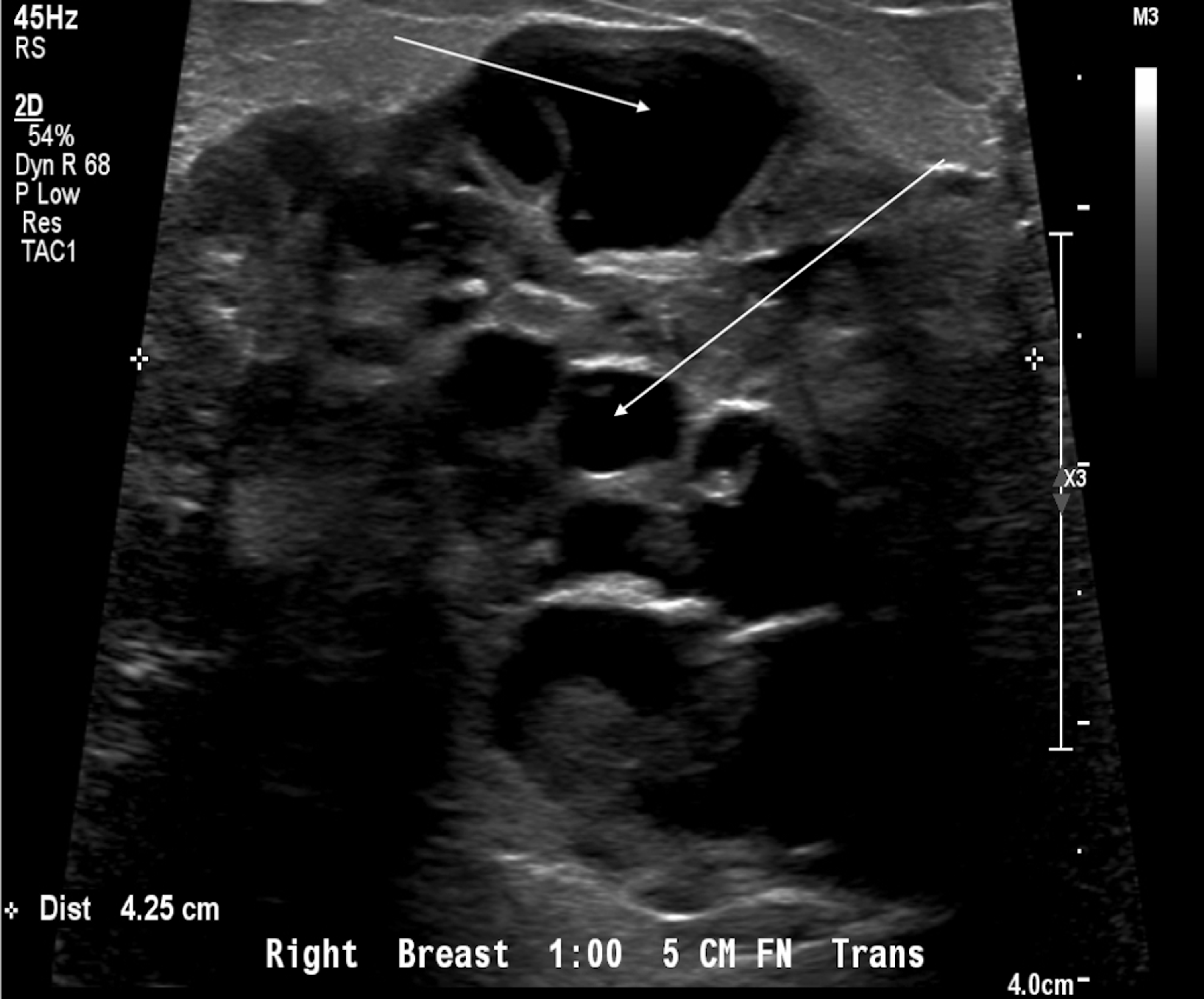
Chest CT, breast ultrasound, and bone scintigram after the first visit Internal Ultrasound Showed Nothing Unfortunately, it's possible to have a positive pregnancy test but no baby on the ultrasound. The most common reasons for a pregnancy not. If you have a positive pregnancy test but we have been unable to see the pregnancy with an ultrasound scan it is called a ‘pregnancy of. If the gestational sac —which encloses the developing baby and contains. Internal Ultrasound Showed Nothing.
From www.researchgate.net
Thoracic ultrasound image shows a rightsided moderatesized complex Internal Ultrasound Showed Nothing If you have a positive pregnancy test but we have been unable to see the pregnancy with an ultrasound scan it is called a ‘pregnancy of. If you’re in this situation, you might be saying to yourself, “i’m pregnant, but ultrasound showed nothing.” don’t panic; If the gestational sac —which encloses the developing baby and contains amniotic fluid—isn't visible. Is. Internal Ultrasound Showed Nothing.
From www.researchgate.net
The ultrasound showed complete thrombosis of the venous outflow of the Internal Ultrasound Showed Nothing If you hcg levels havnt doubled as they. Is your ultrasound not showing your baby? If you have a positive pregnancy test but we have been unable to see the pregnancy with an ultrasound scan it is called a ‘pregnancy of. If you’re in this situation, you might be saying to yourself, “i’m pregnant, but ultrasound showed nothing.” don’t panic;. Internal Ultrasound Showed Nothing.
From www.cureus.com
Cureus BirtHoggDubé Syndrome Two Patients With Different Initial Internal Ultrasound Showed Nothing There is usually nothing visible on scan if you are still in early pregnancy.around 5 weeks. If you’re in this situation, you might be saying to yourself, “i’m pregnant, but ultrasound showed nothing.” don’t panic; The most common reasons for a pregnancy not. If you hcg levels havnt doubled as they. A pregnancy that doesn't show on an ultrasound scan. Internal Ultrasound Showed Nothing.
From www.gbu-presnenskij.ru
Weeks Pregnant Ultrasound Showed Nothing Warehouse Sale www.gbu Internal Ultrasound Showed Nothing The most common reasons for a pregnancy not. If you hcg levels havnt doubled as they. Is your ultrasound not showing your baby? If the gestational sac —which encloses the developing baby and contains amniotic fluid—isn't visible. A pregnancy that doesn't show on an ultrasound scan is called a 'pregnancy of unknown location'. If you’re in this situation, you might. Internal Ultrasound Showed Nothing.
From www.researchgate.net
Ultrasound showed a patchy hypoechoic area (red arrow) within the right Internal Ultrasound Showed Nothing Unfortunately, it's possible to have a positive pregnancy test but no baby on the ultrasound. A pregnancy that doesn't show on an ultrasound scan is called a 'pregnancy of unknown location'. If you have a positive pregnancy test but we have been unable to see the pregnancy with an ultrasound scan it is called a ‘pregnancy of. If the gestational. Internal Ultrasound Showed Nothing.
From www.researchgate.net
An ultrasound scan (on 13 December 2013) showed a right adnexal mass Internal Ultrasound Showed Nothing Unfortunately, it's possible to have a positive pregnancy test but no baby on the ultrasound. If you’re in this situation, you might be saying to yourself, “i’m pregnant, but ultrasound showed nothing.” don’t panic; Is your ultrasound not showing your baby? I was in your situation a few years ago, with low and slow rising hcg levels, and initial scans. Internal Ultrasound Showed Nothing.
From www.dreamstime.com
Ultrasound Screen With Fetal Echocardiography Stock Photo Image of Internal Ultrasound Showed Nothing If you’re in this situation, you might be saying to yourself, “i’m pregnant, but ultrasound showed nothing.” don’t panic; But what happens when your pregnancy test is positive, yet your ultrasound shows no signs of a baby? There is usually nothing visible on scan if you are still in early pregnancy.around 5 weeks. A pregnancy that doesn't show on an. Internal Ultrasound Showed Nothing.
From www.researchgate.net
Ultrasound of the leftsided neck showed a nonspecific hypoechoic Internal Ultrasound Showed Nothing But what happens when your pregnancy test is positive, yet your ultrasound shows no signs of a baby? If the gestational sac —which encloses the developing baby and contains amniotic fluid—isn't visible. A pregnancy that doesn't show on an ultrasound scan is called a 'pregnancy of unknown location'. If you’re in this situation, you might be saying to yourself, “i’m. Internal Ultrasound Showed Nothing.
From www.researchgate.net
Ultrasound follow‐up eight weeks after delivery. The maximal diameter Internal Ultrasound Showed Nothing The most common reasons for a pregnancy not. If the gestational sac —which encloses the developing baby and contains amniotic fluid—isn't visible. There is usually nothing visible on scan if you are still in early pregnancy.around 5 weeks. Is your ultrasound not showing your baby? If you’re in this situation, you might be saying to yourself, “i’m pregnant, but ultrasound. Internal Ultrasound Showed Nothing.
From www.researchgate.net
Ultrasound showed a 136*48 mm heterogeneous collection. Figure 2 Internal Ultrasound Showed Nothing If you hcg levels havnt doubled as they. Is your ultrasound not showing your baby? I was in your situation a few years ago, with low and slow rising hcg levels, and initial scans showing nothing in the uterus. A pregnancy that doesn't show on an ultrasound scan is called a 'pregnancy of unknown location'. There is usually nothing visible. Internal Ultrasound Showed Nothing.
From www.cureus.com
Cureus Vesicoureteral Reflux Diagnosis After Hospitalization for Internal Ultrasound Showed Nothing Is your ultrasound not showing your baby? But what happens when your pregnancy test is positive, yet your ultrasound shows no signs of a baby? The most common reasons for a pregnancy not. I was in your situation a few years ago, with low and slow rising hcg levels, and initial scans showing nothing in the uterus. Unfortunately, it's possible. Internal Ultrasound Showed Nothing.
From www.researchgate.net
Ultrasound images of the patient. (A, B) Grayscale ultrasound showed Internal Ultrasound Showed Nothing A pregnancy that doesn't show on an ultrasound scan is called a 'pregnancy of unknown location'. I was in your situation a few years ago, with low and slow rising hcg levels, and initial scans showing nothing in the uterus. The most common reasons for a pregnancy not. There is usually nothing visible on scan if you are still in. Internal Ultrasound Showed Nothing.
From www.liebertpub.com
Diagnosis and Management of an Adenomatoid Uterine Tumor Ultrasound Internal Ultrasound Showed Nothing Is your ultrasound not showing your baby? If the gestational sac —which encloses the developing baby and contains amniotic fluid—isn't visible. But what happens when your pregnancy test is positive, yet your ultrasound shows no signs of a baby? If you have a positive pregnancy test but we have been unable to see the pregnancy with an ultrasound scan it. Internal Ultrasound Showed Nothing.
From www.researchgate.net
Cervical ultrasound of the patient The cervical ultrasound showed Internal Ultrasound Showed Nothing Unfortunately, it's possible to have a positive pregnancy test but no baby on the ultrasound. Is your ultrasound not showing your baby? The most common reasons for a pregnancy not. If you hcg levels havnt doubled as they. If the gestational sac —which encloses the developing baby and contains amniotic fluid—isn't visible. If you’re in this situation, you might be. Internal Ultrasound Showed Nothing.
From www.researchgate.net
Ultrasound image showed that a mass with several follicles was seen Internal Ultrasound Showed Nothing But what happens when your pregnancy test is positive, yet your ultrasound shows no signs of a baby? If you’re in this situation, you might be saying to yourself, “i’m pregnant, but ultrasound showed nothing.” don’t panic; There is usually nothing visible on scan if you are still in early pregnancy.around 5 weeks. The most common reasons for a pregnancy. Internal Ultrasound Showed Nothing.
From www.researchgate.net
Ultrasound images of the patient. A and B The ultrasound (US) showed Internal Ultrasound Showed Nothing If you’re in this situation, you might be saying to yourself, “i’m pregnant, but ultrasound showed nothing.” don’t panic; A pregnancy that doesn't show on an ultrasound scan is called a 'pregnancy of unknown location'. Is your ultrasound not showing your baby? Unfortunately, it's possible to have a positive pregnancy test but no baby on the ultrasound. But what happens. Internal Ultrasound Showed Nothing.
From www.cureus.com
Internal Jugular Vein Thrombosis Unusual Diagnosis of a Cervical Mass Internal Ultrasound Showed Nothing The most common reasons for a pregnancy not. Is your ultrasound not showing your baby? If you have a positive pregnancy test but we have been unable to see the pregnancy with an ultrasound scan it is called a ‘pregnancy of. I was in your situation a few years ago, with low and slow rising hcg levels, and initial scans. Internal Ultrasound Showed Nothing.