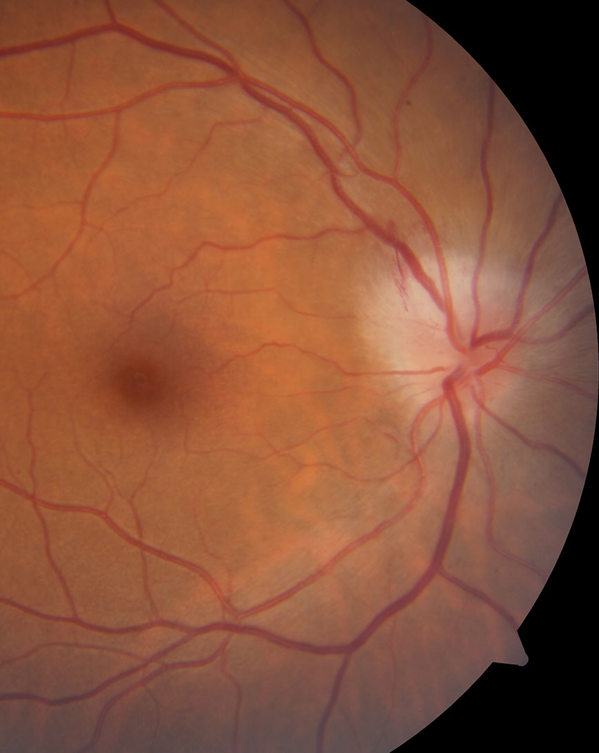
Optic Disc Inflammation . Optic neuritis is a condition that affects the eye and your vision. Optic neuritis is swelling of the eye’s optic nerve. Papilledema refers to the swelling of both optic discs in your eyes due to increased intracranial pressure (intracranial hypertension). Papilledema is swelling of one or both optic nerve discs. When the nerve fibers become. Optic neuritis is when inflammation of the optic nerve causes pain, vision loss and other symptoms. It occurs when your optic nerve is inflamed and swollen. This condition has strong links to chronic conditions like multiple sclerosis and other. Papilledema is swelling of your optic nerve, which connects the eye and brain. If the optic nerve is swollen, damaged or. The optic nerve carries light signals from the back of your eye to your brain so you can see. It can affect your vision and cause pain. It is caused by intracranial hypertension (ih) or increased pressure within. Papilledema or papilloedema is the swelling of the optic disc or the part of the optic nerve located inside the eye. This swelling is a reaction to a buildup of pressure in or around your.
from www.jns-journal.com
Papilledema is swelling of one or both optic nerve discs. This swelling is a reaction to a buildup of pressure in or around your. Papilledema is swelling of your optic nerve, which connects the eye and brain. If the optic nerve is swollen, damaged or. When the nerve fibers become. Optic neuritis is a condition that affects the eye and your vision. Papilledema or papilloedema is the swelling of the optic disc or the part of the optic nerve located inside the eye. Papilledema refers to the swelling of both optic discs in your eyes due to increased intracranial pressure (intracranial hypertension). It is caused by intracranial hypertension (ih) or increased pressure within. The optic nerve carries light signals from the back of your eye to your brain so you can see.
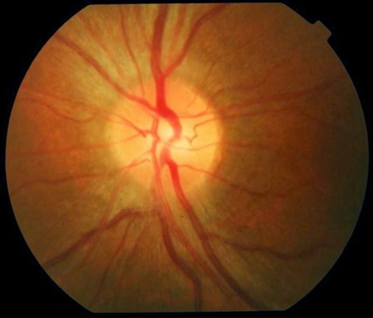
Approach to patient with unilateral optic disc edema and normal visual function Journal of the
Optic Disc Inflammation Optic neuritis is a condition that affects the eye and your vision. The optic nerve carries light signals from the back of your eye to your brain so you can see. Optic neuritis is when inflammation of the optic nerve causes pain, vision loss and other symptoms. It can affect your vision and cause pain. Papilledema is swelling of your optic nerve, which connects the eye and brain. When the nerve fibers become. It occurs when your optic nerve is inflamed and swollen. Papilledema refers to the swelling of both optic discs in your eyes due to increased intracranial pressure (intracranial hypertension). This swelling is a reaction to a buildup of pressure in or around your. If the optic nerve is swollen, damaged or. It is caused by intracranial hypertension (ih) or increased pressure within. This condition has strong links to chronic conditions like multiple sclerosis and other. Optic neuritis is a condition that affects the eye and your vision. Optic neuritis is swelling of the eye’s optic nerve. Papilledema is swelling of one or both optic nerve discs. Papilledema or papilloedema is the swelling of the optic disc or the part of the optic nerve located inside the eye.
From www.researchgate.net
Bilateral optic disc swelling identifi ed by diabetic retinopathy... Download Scientific Diagram Optic Disc Inflammation This swelling is a reaction to a buildup of pressure in or around your. Papilledema is swelling of your optic nerve, which connects the eye and brain. This condition has strong links to chronic conditions like multiple sclerosis and other. It is caused by intracranial hypertension (ih) or increased pressure within. Papilledema refers to the swelling of both optic discs. Optic Disc Inflammation.
From www.allaboutvision.com
Papilledema (Optic Nerve Swelling) Optic Disc Inflammation The optic nerve carries light signals from the back of your eye to your brain so you can see. When the nerve fibers become. This condition has strong links to chronic conditions like multiple sclerosis and other. This swelling is a reaction to a buildup of pressure in or around your. Optic neuritis is when inflammation of the optic nerve. Optic Disc Inflammation.
From www.researchgate.net
Optic disk photographs and presentation showing severe, hemorrhagic... Download Scientific Diagram Optic Disc Inflammation If the optic nerve is swollen, damaged or. Papilledema is swelling of one or both optic nerve discs. When the nerve fibers become. Optic neuritis is a condition that affects the eye and your vision. It is caused by intracranial hypertension (ih) or increased pressure within. It occurs when your optic nerve is inflamed and swollen. Papilledema refers to the. Optic Disc Inflammation.
From antam.edu.vn
Papilledema (Optic Disc Swelling) Causes & Symptoms An Tâm Optic Disc Inflammation It is caused by intracranial hypertension (ih) or increased pressure within. If the optic nerve is swollen, damaged or. Papilledema refers to the swelling of both optic discs in your eyes due to increased intracranial pressure (intracranial hypertension). Papilledema is swelling of one or both optic nerve discs. It can affect your vision and cause pain. Optic neuritis is when. Optic Disc Inflammation.
From wowrxpharmacy.com
Understanding Optic Nerve Inflammation Causes, Symptoms, and Treatment Optic Disc Inflammation Optic neuritis is when inflammation of the optic nerve causes pain, vision loss and other symptoms. If the optic nerve is swollen, damaged or. Papilledema is swelling of one or both optic nerve discs. Papilledema or papilloedema is the swelling of the optic disc or the part of the optic nerve located inside the eye. It occurs when your optic. Optic Disc Inflammation.
From www.drugs.com
Optic nerve swelling (papilledema) Guide Causes, Symptoms and Treatment Options Optic Disc Inflammation It occurs when your optic nerve is inflamed and swollen. The optic nerve carries light signals from the back of your eye to your brain so you can see. Optic neuritis is swelling of the eye’s optic nerve. When the nerve fibers become. It is caused by intracranial hypertension (ih) or increased pressure within. Optic neuritis is when inflammation of. Optic Disc Inflammation.
From kraffeye.com
Optic Neuropathy Symptoms, Causes & Treatment Kraff Eye Institute Optic Disc Inflammation Papilledema refers to the swelling of both optic discs in your eyes due to increased intracranial pressure (intracranial hypertension). Papilledema is swelling of your optic nerve, which connects the eye and brain. Optic neuritis is swelling of the eye’s optic nerve. When the nerve fibers become. It can affect your vision and cause pain. This swelling is a reaction to. Optic Disc Inflammation.
From jamanetwork.com
Optic Disc Sarcoid Granuloma Dermatology JAMA Ophthalmology JAMA Network Optic Disc Inflammation Optic neuritis is swelling of the eye’s optic nerve. If the optic nerve is swollen, damaged or. Papilledema or papilloedema is the swelling of the optic disc or the part of the optic nerve located inside the eye. The optic nerve carries light signals from the back of your eye to your brain so you can see. Papilledema is swelling. Optic Disc Inflammation.
From www.reviewofoptometry.com
A Guide to Demyelinating Diseases of the CNS Optic Disc Inflammation It occurs when your optic nerve is inflamed and swollen. The optic nerve carries light signals from the back of your eye to your brain so you can see. This swelling is a reaction to a buildup of pressure in or around your. Papilledema is swelling of your optic nerve, which connects the eye and brain. It can affect your. Optic Disc Inflammation.
From www.thelancet.com
Diagnosis and clinical features of common optic neuropathies The Lancet Neurology Optic Disc Inflammation Papilledema refers to the swelling of both optic discs in your eyes due to increased intracranial pressure (intracranial hypertension). Papilledema or papilloedema is the swelling of the optic disc or the part of the optic nerve located inside the eye. This condition has strong links to chronic conditions like multiple sclerosis and other. Papilledema is swelling of one or both. Optic Disc Inflammation.
From www.eyeworld.org
Optic disc hemorrhage Don’t miss the signal EyeWorld Optic Disc Inflammation Papilledema or papilloedema is the swelling of the optic disc or the part of the optic nerve located inside the eye. Papilledema is swelling of your optic nerve, which connects the eye and brain. This condition has strong links to chronic conditions like multiple sclerosis and other. This swelling is a reaction to a buildup of pressure in or around. Optic Disc Inflammation.
From eyerounds.org
Myelin Oligodendrocyte Glycoprotein (MOG)IgG Associated Optic Neuritis Optic Disc Inflammation If the optic nerve is swollen, damaged or. Papilledema is swelling of your optic nerve, which connects the eye and brain. Optic neuritis is when inflammation of the optic nerve causes pain, vision loss and other symptoms. When the nerve fibers become. This condition has strong links to chronic conditions like multiple sclerosis and other. It is caused by intracranial. Optic Disc Inflammation.
From journals.lww.com
Bilateral Optic Disc Edema in Multisystem Inflammatory Syndr... Journal of NeuroOphthalmology Optic Disc Inflammation It is caused by intracranial hypertension (ih) or increased pressure within. It occurs when your optic nerve is inflamed and swollen. Papilledema is swelling of your optic nerve, which connects the eye and brain. This condition has strong links to chronic conditions like multiple sclerosis and other. The optic nerve carries light signals from the back of your eye to. Optic Disc Inflammation.
From pn.bmj.com
The swollen optic nerve an approach to diagnosis and management Practical Neurology Optic Disc Inflammation It can affect your vision and cause pain. Papilledema is swelling of one or both optic nerve discs. This swelling is a reaction to a buildup of pressure in or around your. The optic nerve carries light signals from the back of your eye to your brain so you can see. Optic neuritis is swelling of the eye’s optic nerve.. Optic Disc Inflammation.
From hubpages.com
Optic Neuritis Pictures, Symptoms, Causes, Diagnosis, Treatment HubPages Optic Disc Inflammation Optic neuritis is when inflammation of the optic nerve causes pain, vision loss and other symptoms. Optic neuritis is a condition that affects the eye and your vision. The optic nerve carries light signals from the back of your eye to your brain so you can see. When the nerve fibers become. It is caused by intracranial hypertension (ih) or. Optic Disc Inflammation.
From healthjade.com
Optic Neuritis Causes, Symptoms, Prognosis, Diagnosis & Treatment Optic Disc Inflammation Optic neuritis is a condition that affects the eye and your vision. Papilledema or papilloedema is the swelling of the optic disc or the part of the optic nerve located inside the eye. It occurs when your optic nerve is inflamed and swollen. This swelling is a reaction to a buildup of pressure in or around your. It can affect. Optic Disc Inflammation.
From www.slideserve.com
PPT NEUROOPHTHALMOLOGY PowerPoint Presentation, free download ID707507 Optic Disc Inflammation It is caused by intracranial hypertension (ih) or increased pressure within. It occurs when your optic nerve is inflamed and swollen. It can affect your vision and cause pain. If the optic nerve is swollen, damaged or. Optic neuritis is swelling of the eye’s optic nerve. Optic neuritis is when inflammation of the optic nerve causes pain, vision loss and. Optic Disc Inflammation.
From casereports.bmj.com
Inflammatory optic disc neovascularisation managed with oral steroids/immunosuppressants and Optic Disc Inflammation If the optic nerve is swollen, damaged or. Papilledema or papilloedema is the swelling of the optic disc or the part of the optic nerve located inside the eye. The optic nerve carries light signals from the back of your eye to your brain so you can see. Optic neuritis is when inflammation of the optic nerve causes pain, vision. Optic Disc Inflammation.
From www.researchgate.net
Inflammation classified as “typical”, “primary lesion” and “a focus... Download Scientific Diagram Optic Disc Inflammation The optic nerve carries light signals from the back of your eye to your brain so you can see. It can affect your vision and cause pain. If the optic nerve is swollen, damaged or. It is caused by intracranial hypertension (ih) or increased pressure within. This swelling is a reaction to a buildup of pressure in or around your.. Optic Disc Inflammation.
From www.slideshare.net
Optic neuritis Optic Disc Inflammation It is caused by intracranial hypertension (ih) or increased pressure within. Optic neuritis is swelling of the eye’s optic nerve. This swelling is a reaction to a buildup of pressure in or around your. This condition has strong links to chronic conditions like multiple sclerosis and other. Optic neuritis is when inflammation of the optic nerve causes pain, vision loss. Optic Disc Inflammation.
From www.imagekb.com
OPTIC NEURITIS image galleries Optic Disc Inflammation Papilledema refers to the swelling of both optic discs in your eyes due to increased intracranial pressure (intracranial hypertension). This condition has strong links to chronic conditions like multiple sclerosis and other. It is caused by intracranial hypertension (ih) or increased pressure within. It can affect your vision and cause pain. Optic neuritis is when inflammation of the optic nerve. Optic Disc Inflammation.
From www.reviewofoptometry.com
An Optic Neuritis Outlier Optic Disc Inflammation Papilledema is swelling of one or both optic nerve discs. Optic neuritis is swelling of the eye’s optic nerve. It can affect your vision and cause pain. Optic neuritis is when inflammation of the optic nerve causes pain, vision loss and other symptoms. If the optic nerve is swollen, damaged or. The optic nerve carries light signals from the back. Optic Disc Inflammation.
From www.cureus.com
Cureus Bilateral Optic Neuritis A Rare Complication of Mumps Optic Disc Inflammation Papilledema is swelling of one or both optic nerve discs. Optic neuritis is when inflammation of the optic nerve causes pain, vision loss and other symptoms. It can affect your vision and cause pain. Papilledema or papilloedema is the swelling of the optic disc or the part of the optic nerve located inside the eye. It occurs when your optic. Optic Disc Inflammation.
From www.optometrytimes.com
Optic disk swelling in an asymptomatic patient with diabetes Optic Disc Inflammation This condition has strong links to chronic conditions like multiple sclerosis and other. Papilledema refers to the swelling of both optic discs in your eyes due to increased intracranial pressure (intracranial hypertension). Papilledema is swelling of one or both optic nerve discs. Optic neuritis is swelling of the eye’s optic nerve. If the optic nerve is swollen, damaged or. Papilledema. Optic Disc Inflammation.
From www.researchgate.net
FFA photograph of a patient in the acute phase of vKHD showing optic... Download Scientific Optic Disc Inflammation Papilledema refers to the swelling of both optic discs in your eyes due to increased intracranial pressure (intracranial hypertension). Optic neuritis is swelling of the eye’s optic nerve. Papilledema is swelling of your optic nerve, which connects the eye and brain. This swelling is a reaction to a buildup of pressure in or around your. The optic nerve carries light. Optic Disc Inflammation.
From www.researchgate.net
Fundus photograph of localized optic disc swelling in a patient with... Download Scientific Optic Disc Inflammation Papilledema refers to the swelling of both optic discs in your eyes due to increased intracranial pressure (intracranial hypertension). Papilledema or papilloedema is the swelling of the optic disc or the part of the optic nerve located inside the eye. If the optic nerve is swollen, damaged or. When the nerve fibers become. It occurs when your optic nerve is. Optic Disc Inflammation.
From www.cureus.com
Cureus Bilateral Parainfectious Optic Neuritis in Young Patient Optic Disc Inflammation Papilledema refers to the swelling of both optic discs in your eyes due to increased intracranial pressure (intracranial hypertension). This condition has strong links to chronic conditions like multiple sclerosis and other. It is caused by intracranial hypertension (ih) or increased pressure within. Optic neuritis is when inflammation of the optic nerve causes pain, vision loss and other symptoms. Papilledema. Optic Disc Inflammation.
From www.jns-journal.com
Approach to patient with unilateral optic disc edema and normal visual function Journal of the Optic Disc Inflammation Optic neuritis is a condition that affects the eye and your vision. Papilledema is swelling of your optic nerve, which connects the eye and brain. This condition has strong links to chronic conditions like multiple sclerosis and other. Papilledema is swelling of one or both optic nerve discs. If the optic nerve is swollen, damaged or. Optic neuritis is when. Optic Disc Inflammation.
From www.researchgate.net
Slitlamp examination, vitreous opacity, and optic disc exudation prior... Download Scientific Optic Disc Inflammation It occurs when your optic nerve is inflamed and swollen. When the nerve fibers become. Papilledema refers to the swelling of both optic discs in your eyes due to increased intracranial pressure (intracranial hypertension). If the optic nerve is swollen, damaged or. The optic nerve carries light signals from the back of your eye to your brain so you can. Optic Disc Inflammation.
From www.slideserve.com
PPT Optic Nerve Disease PowerPoint Presentation, free download ID4655272 Optic Disc Inflammation This condition has strong links to chronic conditions like multiple sclerosis and other. Papilledema refers to the swelling of both optic discs in your eyes due to increased intracranial pressure (intracranial hypertension). This swelling is a reaction to a buildup of pressure in or around your. Optic neuritis is when inflammation of the optic nerve causes pain, vision loss and. Optic Disc Inflammation.
From www.researchgate.net
(a) Retinography and (b) red free retinography inflammation of the... Download Scientific Diagram Optic Disc Inflammation Optic neuritis is a condition that affects the eye and your vision. Optic neuritis is when inflammation of the optic nerve causes pain, vision loss and other symptoms. Papilledema or papilloedema is the swelling of the optic disc or the part of the optic nerve located inside the eye. If the optic nerve is swollen, damaged or. Optic neuritis is. Optic Disc Inflammation.
From www.youtube.com
Approach to the Patient with Bilateral Optic Disc Swelling YouTube Optic Disc Inflammation It occurs when your optic nerve is inflamed and swollen. When the nerve fibers become. Papilledema or papilloedema is the swelling of the optic disc or the part of the optic nerve located inside the eye. This condition has strong links to chronic conditions like multiple sclerosis and other. Optic neuritis is a condition that affects the eye and your. Optic Disc Inflammation.
From pn.bmj.com
The swollen optic nerve an approach to diagnosis and management Practical Neurology Optic Disc Inflammation Optic neuritis is a condition that affects the eye and your vision. Optic neuritis is swelling of the eye’s optic nerve. It can affect your vision and cause pain. This condition has strong links to chronic conditions like multiple sclerosis and other. If the optic nerve is swollen, damaged or. It occurs when your optic nerve is inflamed and swollen.. Optic Disc Inflammation.
From www.revieweducationgroup.com
Lesson Optic Nerve Disorders How They Manifest and What They Mean Optic Disc Inflammation It is caused by intracranial hypertension (ih) or increased pressure within. Papilledema or papilloedema is the swelling of the optic disc or the part of the optic nerve located inside the eye. Optic neuritis is a condition that affects the eye and your vision. Papilledema is swelling of your optic nerve, which connects the eye and brain. Optic neuritis is. Optic Disc Inflammation.
From www.researchgate.net
Optomap fundus photography shows inflammatory optic disc edema and... Download Scientific Diagram Optic Disc Inflammation Optic neuritis is swelling of the eye’s optic nerve. When the nerve fibers become. Papilledema refers to the swelling of both optic discs in your eyes due to increased intracranial pressure (intracranial hypertension). Papilledema is swelling of one or both optic nerve discs. The optic nerve carries light signals from the back of your eye to your brain so you. Optic Disc Inflammation.