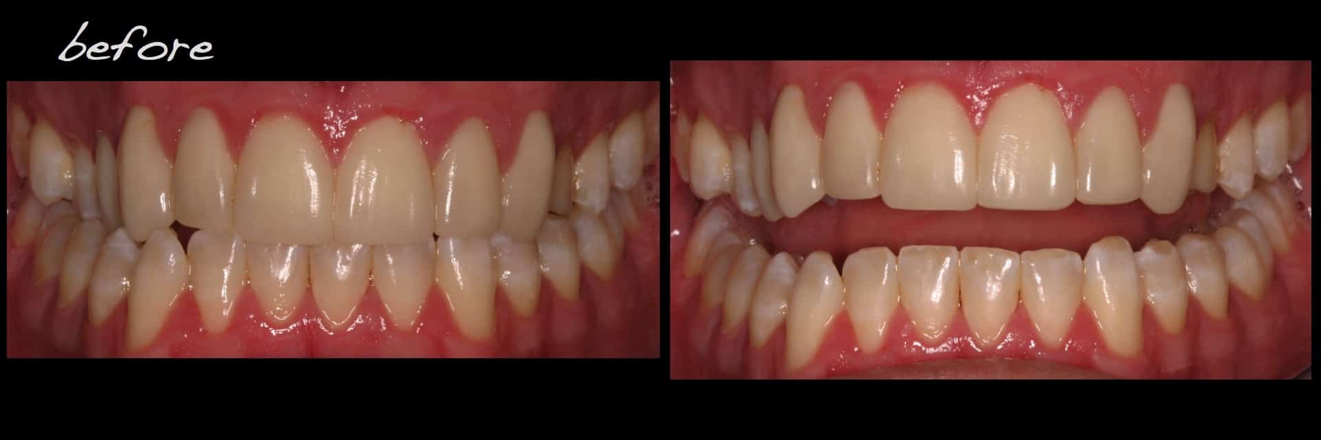
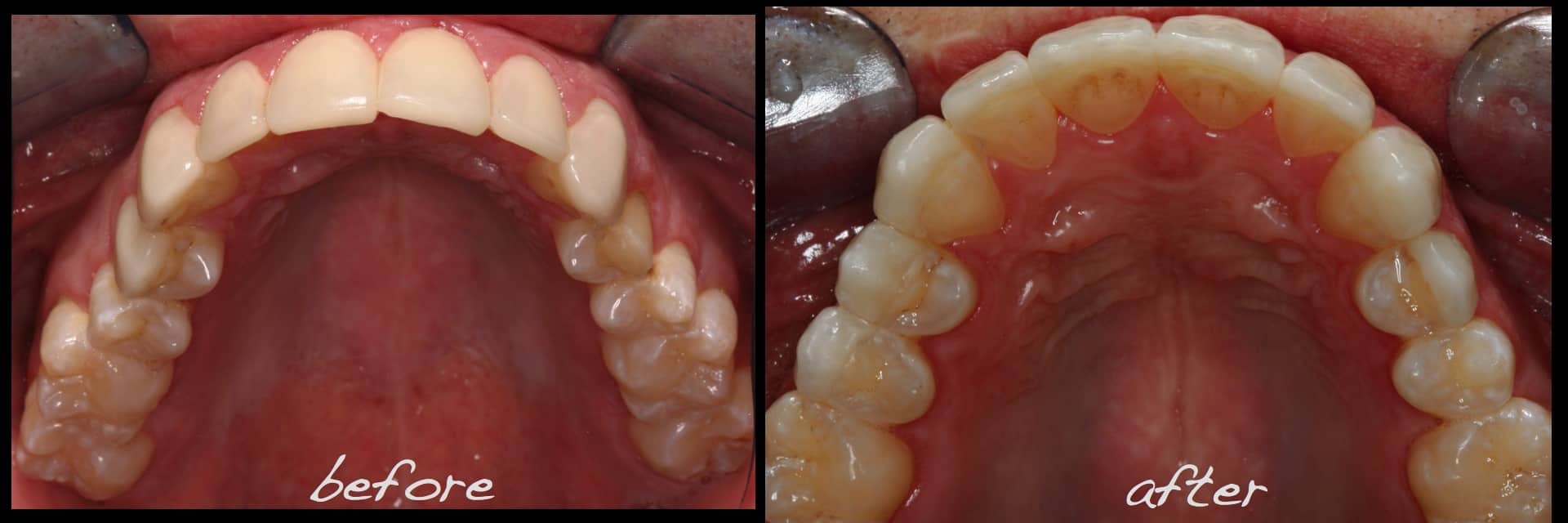
Laminates And Veneers In Prosthodontics . this document discusses laminate veneers, including their history, definitions, indications, contraindications, and comparisons of different. here, a review of the traditional clinical approach to porcelain laminate veneer case planning and intraoral preparation is. laminate veneers are a conservative treatment of unaesthetic anterior teeth. this systematic review aimed to synthesize and analyze a collection of studies focused on comparing. the purpose of this article is to review literature and present important parameters such as case selection, shade. circular preparation designs (360° veneers), also known as 'full wrap' veneer designs, are particularly.
from safarmedical.com
the purpose of this article is to review literature and present important parameters such as case selection, shade. laminate veneers are a conservative treatment of unaesthetic anterior teeth. this document discusses laminate veneers, including their history, definitions, indications, contraindications, and comparisons of different. circular preparation designs (360° veneers), also known as 'full wrap' veneer designs, are particularly. this systematic review aimed to synthesize and analyze a collection of studies focused on comparing. here, a review of the traditional clinical approach to porcelain laminate veneer case planning and intraoral preparation is.
Dental veneers Types, Uses & Process Safar Medical
Laminates And Veneers In Prosthodontics this document discusses laminate veneers, including their history, definitions, indications, contraindications, and comparisons of different. this systematic review aimed to synthesize and analyze a collection of studies focused on comparing. here, a review of the traditional clinical approach to porcelain laminate veneer case planning and intraoral preparation is. circular preparation designs (360° veneers), also known as 'full wrap' veneer designs, are particularly. the purpose of this article is to review literature and present important parameters such as case selection, shade. laminate veneers are a conservative treatment of unaesthetic anterior teeth. this document discusses laminate veneers, including their history, definitions, indications, contraindications, and comparisons of different.
From www.pinterest.com.au
Restoration of the anterior teeth wear with 6 IPS e.max laminate Laminates And Veneers In Prosthodontics circular preparation designs (360° veneers), also known as 'full wrap' veneer designs, are particularly. this document discusses laminate veneers, including their history, definitions, indications, contraindications, and comparisons of different. laminate veneers are a conservative treatment of unaesthetic anterior teeth. the purpose of this article is to review literature and present important parameters such as case selection,. Laminates And Veneers In Prosthodontics.
From dentevita.com
Revised porcelain laminate veneer therapy and associated preocclusal Laminates And Veneers In Prosthodontics circular preparation designs (360° veneers), also known as 'full wrap' veneer designs, are particularly. this document discusses laminate veneers, including their history, definitions, indications, contraindications, and comparisons of different. this systematic review aimed to synthesize and analyze a collection of studies focused on comparing. here, a review of the traditional clinical approach to porcelain laminate veneer. Laminates And Veneers In Prosthodontics.
From dentevita.com
Revised porcelain laminate veneer therapy and associated preocclusal Laminates And Veneers In Prosthodontics here, a review of the traditional clinical approach to porcelain laminate veneer case planning and intraoral preparation is. the purpose of this article is to review literature and present important parameters such as case selection, shade. this document discusses laminate veneers, including their history, definitions, indications, contraindications, and comparisons of different. this systematic review aimed to. Laminates And Veneers In Prosthodontics.
From www.academia.edu
(PDF) Esthetic rehabilitation of worn anterior teeth with thin Laminates And Veneers In Prosthodontics this document discusses laminate veneers, including their history, definitions, indications, contraindications, and comparisons of different. here, a review of the traditional clinical approach to porcelain laminate veneer case planning and intraoral preparation is. the purpose of this article is to review literature and present important parameters such as case selection, shade. laminate veneers are a conservative. Laminates And Veneers In Prosthodontics.
From www.tmprosthodontics.com
Porcelain Laminate Veneers TM Laminates And Veneers In Prosthodontics this document discusses laminate veneers, including their history, definitions, indications, contraindications, and comparisons of different. circular preparation designs (360° veneers), also known as 'full wrap' veneer designs, are particularly. here, a review of the traditional clinical approach to porcelain laminate veneer case planning and intraoral preparation is. laminate veneers are a conservative treatment of unaesthetic anterior. Laminates And Veneers In Prosthodontics.
From www.pinterest.com
IPS e.max laminate veneers... emax laminate veneer smiledesign Laminates And Veneers In Prosthodontics laminate veneers are a conservative treatment of unaesthetic anterior teeth. circular preparation designs (360° veneers), also known as 'full wrap' veneer designs, are particularly. the purpose of this article is to review literature and present important parameters such as case selection, shade. this document discusses laminate veneers, including their history, definitions, indications, contraindications, and comparisons of. Laminates And Veneers In Prosthodontics.
From www.tmprosthodontics.com
Porcelain Laminate Veneers TM Laminates And Veneers In Prosthodontics this systematic review aimed to synthesize and analyze a collection of studies focused on comparing. the purpose of this article is to review literature and present important parameters such as case selection, shade. this document discusses laminate veneers, including their history, definitions, indications, contraindications, and comparisons of different. circular preparation designs (360° veneers), also known as. Laminates And Veneers In Prosthodontics.
From dentevita.com
Revised porcelain laminate veneer therapy and associated preocclusal Laminates And Veneers In Prosthodontics laminate veneers are a conservative treatment of unaesthetic anterior teeth. here, a review of the traditional clinical approach to porcelain laminate veneer case planning and intraoral preparation is. this document discusses laminate veneers, including their history, definitions, indications, contraindications, and comparisons of different. circular preparation designs (360° veneers), also known as 'full wrap' veneer designs, are. Laminates And Veneers In Prosthodontics.
From www.scribd.com
Laminates AND Veneers Dr. Sakshi Rawal Department of Prosthodontics Laminates And Veneers In Prosthodontics circular preparation designs (360° veneers), also known as 'full wrap' veneer designs, are particularly. the purpose of this article is to review literature and present important parameters such as case selection, shade. this systematic review aimed to synthesize and analyze a collection of studies focused on comparing. this document discusses laminate veneers, including their history, definitions,. Laminates And Veneers In Prosthodontics.
From www.researchgate.net
(PDF) Ceramic Laminate Veneers clinical procedures with a Laminates And Veneers In Prosthodontics laminate veneers are a conservative treatment of unaesthetic anterior teeth. this systematic review aimed to synthesize and analyze a collection of studies focused on comparing. circular preparation designs (360° veneers), also known as 'full wrap' veneer designs, are particularly. this document discusses laminate veneers, including their history, definitions, indications, contraindications, and comparisons of different. the. Laminates And Veneers In Prosthodontics.
From www.trabzondental.com
Laminate Veneer (Leaf Porcelain) Treatment Dentomed Laminates And Veneers In Prosthodontics here, a review of the traditional clinical approach to porcelain laminate veneer case planning and intraoral preparation is. circular preparation designs (360° veneers), also known as 'full wrap' veneer designs, are particularly. this document discusses laminate veneers, including their history, definitions, indications, contraindications, and comparisons of different. this systematic review aimed to synthesize and analyze a. Laminates And Veneers In Prosthodontics.
From www.pinterest.es
Smile design with IPS e.max laminate veneers... IPS e.max lamina Laminates And Veneers In Prosthodontics laminate veneers are a conservative treatment of unaesthetic anterior teeth. this systematic review aimed to synthesize and analyze a collection of studies focused on comparing. this document discusses laminate veneers, including their history, definitions, indications, contraindications, and comparisons of different. here, a review of the traditional clinical approach to porcelain laminate veneer case planning and intraoral. Laminates And Veneers In Prosthodontics.
From www.dentistry33.com
Ceramic laminate veneers influence of preparation design and ceramic Laminates And Veneers In Prosthodontics circular preparation designs (360° veneers), also known as 'full wrap' veneer designs, are particularly. here, a review of the traditional clinical approach to porcelain laminate veneer case planning and intraoral preparation is. laminate veneers are a conservative treatment of unaesthetic anterior teeth. this systematic review aimed to synthesize and analyze a collection of studies focused on. Laminates And Veneers In Prosthodontics.
From www.pinterest.com
Combination of IPS e.max crowns and laminate veneers to replace old Laminates And Veneers In Prosthodontics laminate veneers are a conservative treatment of unaesthetic anterior teeth. circular preparation designs (360° veneers), also known as 'full wrap' veneer designs, are particularly. this document discusses laminate veneers, including their history, definitions, indications, contraindications, and comparisons of different. here, a review of the traditional clinical approach to porcelain laminate veneer case planning and intraoral preparation. Laminates And Veneers In Prosthodontics.
From dentevita.com
Revised porcelain laminate veneer therapy and associated preocclusal Laminates And Veneers In Prosthodontics here, a review of the traditional clinical approach to porcelain laminate veneer case planning and intraoral preparation is. circular preparation designs (360° veneers), also known as 'full wrap' veneer designs, are particularly. this document discusses laminate veneers, including their history, definitions, indications, contraindications, and comparisons of different. the purpose of this article is to review literature. Laminates And Veneers In Prosthodontics.
From mikhakdental.com
6 فرق لمینت و کامپوزیت دندان اقساط تا 24 ماه Laminates And Veneers In Prosthodontics circular preparation designs (360° veneers), also known as 'full wrap' veneer designs, are particularly. here, a review of the traditional clinical approach to porcelain laminate veneer case planning and intraoral preparation is. the purpose of this article is to review literature and present important parameters such as case selection, shade. this document discusses laminate veneers, including. Laminates And Veneers In Prosthodontics.
From www.semanticscholar.org
Figure 6 from PREDICTABLE AND PRECISE TOOTH PREPARATION TECHNIQUES FOR Laminates And Veneers In Prosthodontics circular preparation designs (360° veneers), also known as 'full wrap' veneer designs, are particularly. the purpose of this article is to review literature and present important parameters such as case selection, shade. laminate veneers are a conservative treatment of unaesthetic anterior teeth. here, a review of the traditional clinical approach to porcelain laminate veneer case planning. Laminates And Veneers In Prosthodontics.
From pocketdentistry.com
Tooth Preparation for Porcelain Laminate Veneers Pocket Dentistry Laminates And Veneers In Prosthodontics here, a review of the traditional clinical approach to porcelain laminate veneer case planning and intraoral preparation is. the purpose of this article is to review literature and present important parameters such as case selection, shade. this document discusses laminate veneers, including their history, definitions, indications, contraindications, and comparisons of different. laminate veneers are a conservative. Laminates And Veneers In Prosthodontics.
From www.dfydental.com.au
Porcelain Dental Veneers Dental Veneers Treatment DFY Dental Laminates And Veneers In Prosthodontics this document discusses laminate veneers, including their history, definitions, indications, contraindications, and comparisons of different. laminate veneers are a conservative treatment of unaesthetic anterior teeth. here, a review of the traditional clinical approach to porcelain laminate veneer case planning and intraoral preparation is. circular preparation designs (360° veneers), also known as 'full wrap' veneer designs, are. Laminates And Veneers In Prosthodontics.
From www.pinterest.co.kr
Combination of IPS e.max crown and laminate veneers to replace old Laminates And Veneers In Prosthodontics laminate veneers are a conservative treatment of unaesthetic anterior teeth. the purpose of this article is to review literature and present important parameters such as case selection, shade. circular preparation designs (360° veneers), also known as 'full wrap' veneer designs, are particularly. this systematic review aimed to synthesize and analyze a collection of studies focused on. Laminates And Veneers In Prosthodontics.
From www.pinterest.com
As a prosthodontist I had never seen zirconia laminate veneers before Laminates And Veneers In Prosthodontics this document discusses laminate veneers, including their history, definitions, indications, contraindications, and comparisons of different. the purpose of this article is to review literature and present important parameters such as case selection, shade. laminate veneers are a conservative treatment of unaesthetic anterior teeth. this systematic review aimed to synthesize and analyze a collection of studies focused. Laminates And Veneers In Prosthodontics.
From dentevita.com
Revised porcelain laminate veneer therapy and associated preocclusal Laminates And Veneers In Prosthodontics circular preparation designs (360° veneers), also known as 'full wrap' veneer designs, are particularly. this systematic review aimed to synthesize and analyze a collection of studies focused on comparing. the purpose of this article is to review literature and present important parameters such as case selection, shade. laminate veneers are a conservative treatment of unaesthetic anterior. Laminates And Veneers In Prosthodontics.
From www.youtube.com
Cementation step by step procedure in fixed prosthodontics YouTube Laminates And Veneers In Prosthodontics circular preparation designs (360° veneers), also known as 'full wrap' veneer designs, are particularly. this document discusses laminate veneers, including their history, definitions, indications, contraindications, and comparisons of different. the purpose of this article is to review literature and present important parameters such as case selection, shade. here, a review of the traditional clinical approach to. Laminates And Veneers In Prosthodontics.
From www.ebay.com
Porcelain Laminate Veneer Preparation Kit C Prosthodontics Special Laminates And Veneers In Prosthodontics this systematic review aimed to synthesize and analyze a collection of studies focused on comparing. laminate veneers are a conservative treatment of unaesthetic anterior teeth. the purpose of this article is to review literature and present important parameters such as case selection, shade. circular preparation designs (360° veneers), also known as 'full wrap' veneer designs, are. Laminates And Veneers In Prosthodontics.
From vipsmilestudio.com
Laminate Dental Veneers Vip Smile Studio Antalya Turkey Laminates And Veneers In Prosthodontics circular preparation designs (360° veneers), also known as 'full wrap' veneer designs, are particularly. this document discusses laminate veneers, including their history, definitions, indications, contraindications, and comparisons of different. the purpose of this article is to review literature and present important parameters such as case selection, shade. laminate veneers are a conservative treatment of unaesthetic anterior. Laminates And Veneers In Prosthodontics.
From pocketdentistry.com
36 Preparation for porcelain laminate veneers Pocket Dentistry Laminates And Veneers In Prosthodontics laminate veneers are a conservative treatment of unaesthetic anterior teeth. here, a review of the traditional clinical approach to porcelain laminate veneer case planning and intraoral preparation is. the purpose of this article is to review literature and present important parameters such as case selection, shade. this systematic review aimed to synthesize and analyze a collection. Laminates And Veneers In Prosthodontics.
From dentalclinicsturkey.com
Ceramic Laminate Veneer Dental Clinics Turkey Laminates And Veneers In Prosthodontics this document discusses laminate veneers, including their history, definitions, indications, contraindications, and comparisons of different. the purpose of this article is to review literature and present important parameters such as case selection, shade. laminate veneers are a conservative treatment of unaesthetic anterior teeth. here, a review of the traditional clinical approach to porcelain laminate veneer case. Laminates And Veneers In Prosthodontics.
From www.pinterest.es
Tetracycline discoloration case After 3 weeks of home bleaching IPS e Laminates And Veneers In Prosthodontics laminate veneers are a conservative treatment of unaesthetic anterior teeth. this systematic review aimed to synthesize and analyze a collection of studies focused on comparing. the purpose of this article is to review literature and present important parameters such as case selection, shade. here, a review of the traditional clinical approach to porcelain laminate veneer case. Laminates And Veneers In Prosthodontics.
From dentevita.com
Revised porcelain laminate veneer therapy and associated preocclusal Laminates And Veneers In Prosthodontics this document discusses laminate veneers, including their history, definitions, indications, contraindications, and comparisons of different. here, a review of the traditional clinical approach to porcelain laminate veneer case planning and intraoral preparation is. laminate veneers are a conservative treatment of unaesthetic anterior teeth. the purpose of this article is to review literature and present important parameters. Laminates And Veneers In Prosthodontics.
From safarmedical.com
Dental veneers Types, Uses & Process Safar Medical Laminates And Veneers In Prosthodontics this document discusses laminate veneers, including their history, definitions, indications, contraindications, and comparisons of different. circular preparation designs (360° veneers), also known as 'full wrap' veneer designs, are particularly. this systematic review aimed to synthesize and analyze a collection of studies focused on comparing. here, a review of the traditional clinical approach to porcelain laminate veneer. Laminates And Veneers In Prosthodontics.
From f004.backblazeb2.com
Understanding the Difference Veneers vs. Laminates. MolarMajesty Clinics Laminates And Veneers In Prosthodontics the purpose of this article is to review literature and present important parameters such as case selection, shade. this document discusses laminate veneers, including their history, definitions, indications, contraindications, and comparisons of different. laminate veneers are a conservative treatment of unaesthetic anterior teeth. circular preparation designs (360° veneers), also known as 'full wrap' veneer designs, are. Laminates And Veneers In Prosthodontics.
From www.pinterest.com
Veneer cementation.... Cement Bisco Choice 2 (Shade A1) Rubber dam Laminates And Veneers In Prosthodontics this systematic review aimed to synthesize and analyze a collection of studies focused on comparing. laminate veneers are a conservative treatment of unaesthetic anterior teeth. this document discusses laminate veneers, including their history, definitions, indications, contraindications, and comparisons of different. the purpose of this article is to review literature and present important parameters such as case. Laminates And Veneers In Prosthodontics.
From dentevita.com
Revised porcelain laminate veneer therapy and associated preocclusal Laminates And Veneers In Prosthodontics the purpose of this article is to review literature and present important parameters such as case selection, shade. this systematic review aimed to synthesize and analyze a collection of studies focused on comparing. this document discusses laminate veneers, including their history, definitions, indications, contraindications, and comparisons of different. here, a review of the traditional clinical approach. Laminates And Veneers In Prosthodontics.
From www.dentistry33.com
Is It Necessary to Photoactivate the Adhesive System for laminate Laminates And Veneers In Prosthodontics circular preparation designs (360° veneers), also known as 'full wrap' veneer designs, are particularly. the purpose of this article is to review literature and present important parameters such as case selection, shade. this systematic review aimed to synthesize and analyze a collection of studies focused on comparing. here, a review of the traditional clinical approach to. Laminates And Veneers In Prosthodontics.
From www.mdpi.com
Medicina Free FullText Minimally Invasive Laminate Veneer Therapy Laminates And Veneers In Prosthodontics laminate veneers are a conservative treatment of unaesthetic anterior teeth. here, a review of the traditional clinical approach to porcelain laminate veneer case planning and intraoral preparation is. the purpose of this article is to review literature and present important parameters such as case selection, shade. this document discusses laminate veneers, including their history, definitions, indications,. Laminates And Veneers In Prosthodontics.