Which Is Better Plastic Or Porcelain Dentures . If appearance is your primary concern, porcelain dentures are a good option. They are the perfect choice if you are replacing front teeth or when cosmetic appeal is your. The advantages of porcelain teeth are that they can look better than acrylic teeth. When comparing dentures and weighing up porcelain versus acrylic, the general opinion is that porcelain dentures are more. Porcelain is better able to withstand the daily wear and tear on teeth, and helps to preserve the jaw movements when used in false teeth. On the contrary, plastic dentures stain much more diminutively than porcelain dentures as they are bonded at the base, and there are no gaps. All metal dentures will have some element of tooth support and the more support you have, the better. Plastic dentures have the worst kind of support (gum supported) and when you bite. The material used is chosen based on the. Dentures can be made from materials such as acrylic, porcelain, and plastic.
from www.vitalitytechllc.com
Plastic dentures have the worst kind of support (gum supported) and when you bite. The material used is chosen based on the. They are the perfect choice if you are replacing front teeth or when cosmetic appeal is your. The advantages of porcelain teeth are that they can look better than acrylic teeth. All metal dentures will have some element of tooth support and the more support you have, the better. Porcelain is better able to withstand the daily wear and tear on teeth, and helps to preserve the jaw movements when used in false teeth. When comparing dentures and weighing up porcelain versus acrylic, the general opinion is that porcelain dentures are more. Dentures can be made from materials such as acrylic, porcelain, and plastic. On the contrary, plastic dentures stain much more diminutively than porcelain dentures as they are bonded at the base, and there are no gaps. If appearance is your primary concern, porcelain dentures are a good option.
Understanding Plastic Dentures vs. Other Types of Dentures
Which Is Better Plastic Or Porcelain Dentures Porcelain is better able to withstand the daily wear and tear on teeth, and helps to preserve the jaw movements when used in false teeth. If appearance is your primary concern, porcelain dentures are a good option. Porcelain is better able to withstand the daily wear and tear on teeth, and helps to preserve the jaw movements when used in false teeth. Dentures can be made from materials such as acrylic, porcelain, and plastic. All metal dentures will have some element of tooth support and the more support you have, the better. When comparing dentures and weighing up porcelain versus acrylic, the general opinion is that porcelain dentures are more. Plastic dentures have the worst kind of support (gum supported) and when you bite. On the contrary, plastic dentures stain much more diminutively than porcelain dentures as they are bonded at the base, and there are no gaps. They are the perfect choice if you are replacing front teeth or when cosmetic appeal is your. The advantages of porcelain teeth are that they can look better than acrylic teeth. The material used is chosen based on the.
From www.youtube.com
Pagkakaiba ng Plastic/Acrylic Teeth and Porcelain Teeth, Ngipin sa Which Is Better Plastic Or Porcelain Dentures They are the perfect choice if you are replacing front teeth or when cosmetic appeal is your. Plastic dentures have the worst kind of support (gum supported) and when you bite. If appearance is your primary concern, porcelain dentures are a good option. Porcelain is better able to withstand the daily wear and tear on teeth, and helps to preserve. Which Is Better Plastic Or Porcelain Dentures.
From www.brisbaneprosthodontics.com.au
Services Perfect Porcelain Crowns Brisbane Prosthodontics Which Is Better Plastic Or Porcelain Dentures All metal dentures will have some element of tooth support and the more support you have, the better. On the contrary, plastic dentures stain much more diminutively than porcelain dentures as they are bonded at the base, and there are no gaps. When comparing dentures and weighing up porcelain versus acrylic, the general opinion is that porcelain dentures are more.. Which Is Better Plastic Or Porcelain Dentures.
From www.alamy.com
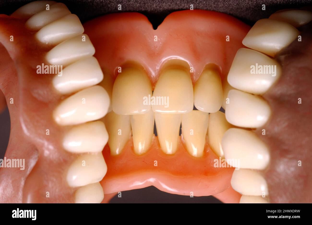
Two sets of full dentures. Dentures or false teeth are made from an Which Is Better Plastic Or Porcelain Dentures Dentures can be made from materials such as acrylic, porcelain, and plastic. The advantages of porcelain teeth are that they can look better than acrylic teeth. The material used is chosen based on the. All metal dentures will have some element of tooth support and the more support you have, the better. When comparing dentures and weighing up porcelain versus. Which Is Better Plastic Or Porcelain Dentures.
From www.vitalitytechllc.com
Understanding Plastic Dentures Which Is Better Plastic Or Porcelain Dentures Porcelain is better able to withstand the daily wear and tear on teeth, and helps to preserve the jaw movements when used in false teeth. When comparing dentures and weighing up porcelain versus acrylic, the general opinion is that porcelain dentures are more. Plastic dentures have the worst kind of support (gum supported) and when you bite. The advantages of. Which Is Better Plastic Or Porcelain Dentures.
From www.mcfarlanedental.com
Composite Veneers vs Porcelain Veneers (Before and After) McFarlane Which Is Better Plastic Or Porcelain Dentures Porcelain is better able to withstand the daily wear and tear on teeth, and helps to preserve the jaw movements when used in false teeth. On the contrary, plastic dentures stain much more diminutively than porcelain dentures as they are bonded at the base, and there are no gaps. The advantages of porcelain teeth are that they can look better. Which Is Better Plastic Or Porcelain Dentures.
From www.youtube.com
Complete Dentures 1 7) Denture Teeth YouTube Which Is Better Plastic Or Porcelain Dentures All metal dentures will have some element of tooth support and the more support you have, the better. Plastic dentures have the worst kind of support (gum supported) and when you bite. If appearance is your primary concern, porcelain dentures are a good option. On the contrary, plastic dentures stain much more diminutively than porcelain dentures as they are bonded. Which Is Better Plastic Or Porcelain Dentures.
From ariadentalcare.com
Everything You Should Know About Porcelain Crowns Aria Dental Which Is Better Plastic Or Porcelain Dentures If appearance is your primary concern, porcelain dentures are a good option. The advantages of porcelain teeth are that they can look better than acrylic teeth. The material used is chosen based on the. Porcelain is better able to withstand the daily wear and tear on teeth, and helps to preserve the jaw movements when used in false teeth. They. Which Is Better Plastic Or Porcelain Dentures.
From www.beverlyhillsladentist.com
Permanent Denture Options Pros & Cons Which Is Better Plastic Or Porcelain Dentures Plastic dentures have the worst kind of support (gum supported) and when you bite. Porcelain is better able to withstand the daily wear and tear on teeth, and helps to preserve the jaw movements when used in false teeth. Dentures can be made from materials such as acrylic, porcelain, and plastic. The advantages of porcelain teeth are that they can. Which Is Better Plastic Or Porcelain Dentures.
From harmonydentaltx.com
Which Is Better, Plastic Bridges or Porcelain Fixed Bridge? Which Is Better Plastic Or Porcelain Dentures The advantages of porcelain teeth are that they can look better than acrylic teeth. Plastic dentures have the worst kind of support (gum supported) and when you bite. The material used is chosen based on the. When comparing dentures and weighing up porcelain versus acrylic, the general opinion is that porcelain dentures are more. If appearance is your primary concern,. Which Is Better Plastic Or Porcelain Dentures.
From www.hamiltondental.ca
All About Dentures A Comprehensive Guide Which Is Better Plastic Or Porcelain Dentures Dentures can be made from materials such as acrylic, porcelain, and plastic. When comparing dentures and weighing up porcelain versus acrylic, the general opinion is that porcelain dentures are more. They are the perfect choice if you are replacing front teeth or when cosmetic appeal is your. All metal dentures will have some element of tooth support and the more. Which Is Better Plastic Or Porcelain Dentures.
From www.vitalitytechllc.com
Understanding Plastic Dentures vs. Other Types of Dentures Which Is Better Plastic Or Porcelain Dentures If appearance is your primary concern, porcelain dentures are a good option. The advantages of porcelain teeth are that they can look better than acrylic teeth. Dentures can be made from materials such as acrylic, porcelain, and plastic. They are the perfect choice if you are replacing front teeth or when cosmetic appeal is your. On the contrary, plastic dentures. Which Is Better Plastic Or Porcelain Dentures.
From www.atlasdental.ca
Acrylic Partial Denture Atlas Dental Toronto Which Is Better Plastic Or Porcelain Dentures On the contrary, plastic dentures stain much more diminutively than porcelain dentures as they are bonded at the base, and there are no gaps. Dentures can be made from materials such as acrylic, porcelain, and plastic. When comparing dentures and weighing up porcelain versus acrylic, the general opinion is that porcelain dentures are more. If appearance is your primary concern,. Which Is Better Plastic Or Porcelain Dentures.
From www.youtube.com
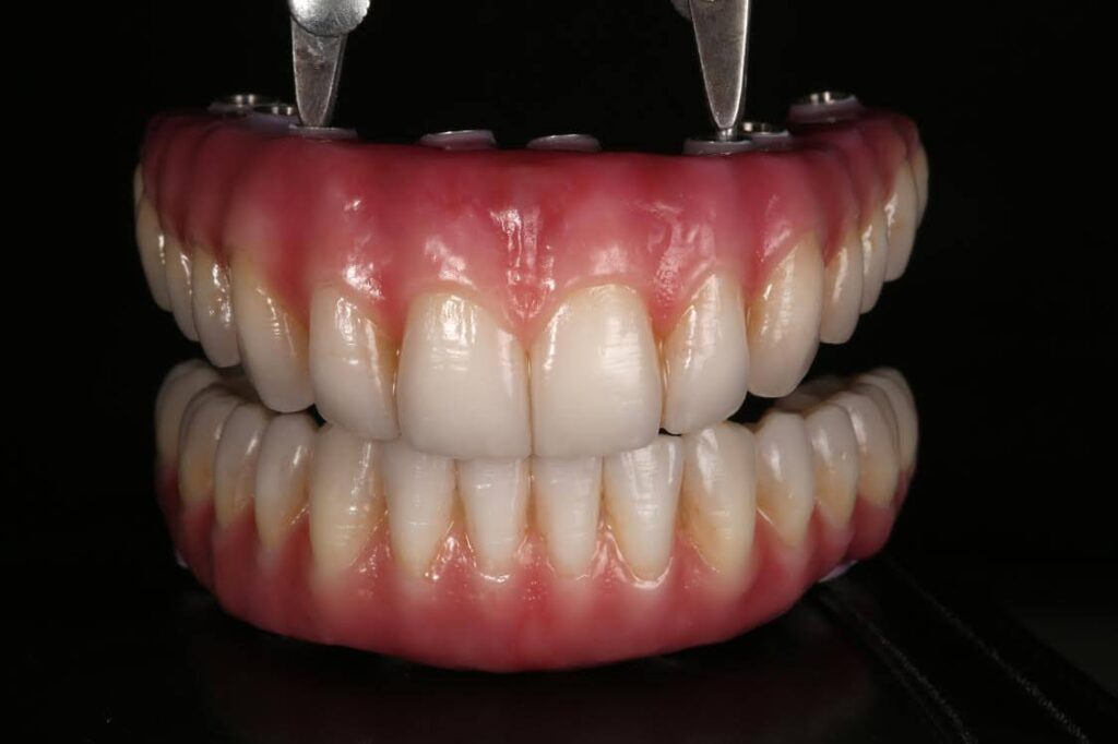
Longterm comparison of acrylic vs. ceramic Allon4® fixed dentures Which Is Better Plastic Or Porcelain Dentures If appearance is your primary concern, porcelain dentures are a good option. All metal dentures will have some element of tooth support and the more support you have, the better. Porcelain is better able to withstand the daily wear and tear on teeth, and helps to preserve the jaw movements when used in false teeth. On the contrary, plastic dentures. Which Is Better Plastic Or Porcelain Dentures.
From www.youtube.com
All Ceramic Dentures VS Metal Frame With Ceramic Exterior YouTube Which Is Better Plastic Or Porcelain Dentures Plastic dentures have the worst kind of support (gum supported) and when you bite. Dentures can be made from materials such as acrylic, porcelain, and plastic. They are the perfect choice if you are replacing front teeth or when cosmetic appeal is your. Porcelain is better able to withstand the daily wear and tear on teeth, and helps to preserve. Which Is Better Plastic Or Porcelain Dentures.
From www.alamy.com
Closeup of a set of dentures. Dentures or false teeth are made from an Which Is Better Plastic Or Porcelain Dentures Plastic dentures have the worst kind of support (gum supported) and when you bite. Dentures can be made from materials such as acrylic, porcelain, and plastic. If appearance is your primary concern, porcelain dentures are a good option. They are the perfect choice if you are replacing front teeth or when cosmetic appeal is your. On the contrary, plastic dentures. Which Is Better Plastic Or Porcelain Dentures.
From teethwalls.blogspot.com
Difference Between Acrylic And Porcelain Teeth TeethWalls Which Is Better Plastic Or Porcelain Dentures All metal dentures will have some element of tooth support and the more support you have, the better. Porcelain is better able to withstand the daily wear and tear on teeth, and helps to preserve the jaw movements when used in false teeth. When comparing dentures and weighing up porcelain versus acrylic, the general opinion is that porcelain dentures are. Which Is Better Plastic Or Porcelain Dentures.
From adentalsolution.com
Plastic vs. Porcelain Dentures Stain Dental Solutions Which Is Better Plastic Or Porcelain Dentures The advantages of porcelain teeth are that they can look better than acrylic teeth. Porcelain is better able to withstand the daily wear and tear on teeth, and helps to preserve the jaw movements when used in false teeth. When comparing dentures and weighing up porcelain versus acrylic, the general opinion is that porcelain dentures are more. On the contrary,. Which Is Better Plastic Or Porcelain Dentures.
From www.huffmansmilesdental.com
Which is better Porcelain or Plastic Dentures? Which Is Better Plastic Or Porcelain Dentures The advantages of porcelain teeth are that they can look better than acrylic teeth. Plastic dentures have the worst kind of support (gum supported) and when you bite. Porcelain is better able to withstand the daily wear and tear on teeth, and helps to preserve the jaw movements when used in false teeth. All metal dentures will have some element. Which Is Better Plastic Or Porcelain Dentures.
From www.mathisfamilydental.com
Which is better Acrylic or Metal Dentures? Which Is Better Plastic Or Porcelain Dentures Dentures can be made from materials such as acrylic, porcelain, and plastic. The advantages of porcelain teeth are that they can look better than acrylic teeth. Porcelain is better able to withstand the daily wear and tear on teeth, and helps to preserve the jaw movements when used in false teeth. All metal dentures will have some element of tooth. Which Is Better Plastic Or Porcelain Dentures.
From www.alamy.com
A set of dentures. Dentures or false teeth are made from an acrylic Which Is Better Plastic Or Porcelain Dentures When comparing dentures and weighing up porcelain versus acrylic, the general opinion is that porcelain dentures are more. If appearance is your primary concern, porcelain dentures are a good option. On the contrary, plastic dentures stain much more diminutively than porcelain dentures as they are bonded at the base, and there are no gaps. The material used is chosen based. Which Is Better Plastic Or Porcelain Dentures.
From www.alamy.com
Close up of a set of dentures. Dentures or false teeth made from an Which Is Better Plastic Or Porcelain Dentures If appearance is your primary concern, porcelain dentures are a good option. On the contrary, plastic dentures stain much more diminutively than porcelain dentures as they are bonded at the base, and there are no gaps. All metal dentures will have some element of tooth support and the more support you have, the better. They are the perfect choice if. Which Is Better Plastic Or Porcelain Dentures.
From www.headstonelanedental.co.uk
Harrow Affordable Dentures Dentists Full & Partial Dentures London Which Is Better Plastic Or Porcelain Dentures All metal dentures will have some element of tooth support and the more support you have, the better. If appearance is your primary concern, porcelain dentures are a good option. Porcelain is better able to withstand the daily wear and tear on teeth, and helps to preserve the jaw movements when used in false teeth. Dentures can be made from. Which Is Better Plastic Or Porcelain Dentures.
From www.alamy.com
Three sets of full dentures. Dentures or false teeth are made from an Which Is Better Plastic Or Porcelain Dentures The material used is chosen based on the. They are the perfect choice if you are replacing front teeth or when cosmetic appeal is your. Plastic dentures have the worst kind of support (gum supported) and when you bite. If appearance is your primary concern, porcelain dentures are a good option. When comparing dentures and weighing up porcelain versus acrylic,. Which Is Better Plastic Or Porcelain Dentures.
From www.duttondental.com
4 Key Differences Between Acrylic and Porcelain Dentures Dutton Which Is Better Plastic Or Porcelain Dentures Dentures can be made from materials such as acrylic, porcelain, and plastic. The advantages of porcelain teeth are that they can look better than acrylic teeth. They are the perfect choice if you are replacing front teeth or when cosmetic appeal is your. Porcelain is better able to withstand the daily wear and tear on teeth, and helps to preserve. Which Is Better Plastic Or Porcelain Dentures.
From www.sterlingsmilesazle.com
Sterling Smiles Azle Are Plastic Dentures any Good? Which Is Better Plastic Or Porcelain Dentures The advantages of porcelain teeth are that they can look better than acrylic teeth. All metal dentures will have some element of tooth support and the more support you have, the better. Plastic dentures have the worst kind of support (gum supported) and when you bite. The material used is chosen based on the. Porcelain is better able to withstand. Which Is Better Plastic Or Porcelain Dentures.
From blog.enlightensmiles.com
Composite Bonding vs Porcelain Veneers which is better? Enlighten Which Is Better Plastic Or Porcelain Dentures All metal dentures will have some element of tooth support and the more support you have, the better. On the contrary, plastic dentures stain much more diminutively than porcelain dentures as they are bonded at the base, and there are no gaps. Dentures can be made from materials such as acrylic, porcelain, and plastic. Plastic dentures have the worst kind. Which Is Better Plastic Or Porcelain Dentures.
From www.meetdandy.com
Porcelain vs Ceramic Denture Teeth Which is Better? Dandy Which Is Better Plastic Or Porcelain Dentures All metal dentures will have some element of tooth support and the more support you have, the better. Plastic dentures have the worst kind of support (gum supported) and when you bite. Porcelain is better able to withstand the daily wear and tear on teeth, and helps to preserve the jaw movements when used in false teeth. Dentures can be. Which Is Better Plastic Or Porcelain Dentures.
From www.youtube.com
Acrylic VS Metal Partial Dentures What's better? YouTube Which Is Better Plastic Or Porcelain Dentures All metal dentures will have some element of tooth support and the more support you have, the better. Porcelain is better able to withstand the daily wear and tear on teeth, and helps to preserve the jaw movements when used in false teeth. If appearance is your primary concern, porcelain dentures are a good option. The advantages of porcelain teeth. Which Is Better Plastic Or Porcelain Dentures.
From eurodenture.com
Best Denture Making Materials Porcelain vs Acrylic Which Is Better Plastic Or Porcelain Dentures All metal dentures will have some element of tooth support and the more support you have, the better. When comparing dentures and weighing up porcelain versus acrylic, the general opinion is that porcelain dentures are more. On the contrary, plastic dentures stain much more diminutively than porcelain dentures as they are bonded at the base, and there are no gaps.. Which Is Better Plastic Or Porcelain Dentures.
From www.alamy.com
Close up of a two sets of dentures. Dentures or false teeth are made Which Is Better Plastic Or Porcelain Dentures Plastic dentures have the worst kind of support (gum supported) and when you bite. The advantages of porcelain teeth are that they can look better than acrylic teeth. If appearance is your primary concern, porcelain dentures are a good option. They are the perfect choice if you are replacing front teeth or when cosmetic appeal is your. All metal dentures. Which Is Better Plastic Or Porcelain Dentures.
From newroaddentalpractice.com
Differences Between Porcelain and Acrylic Dentures New Road Dental in Which Is Better Plastic Or Porcelain Dentures If appearance is your primary concern, porcelain dentures are a good option. The advantages of porcelain teeth are that they can look better than acrylic teeth. The material used is chosen based on the. Porcelain is better able to withstand the daily wear and tear on teeth, and helps to preserve the jaw movements when used in false teeth. When. Which Is Better Plastic Or Porcelain Dentures.
From pixels.com
Plastic Dentures Photograph by Daniel Sambraus/science Photo Library Which Is Better Plastic Or Porcelain Dentures When comparing dentures and weighing up porcelain versus acrylic, the general opinion is that porcelain dentures are more. Dentures can be made from materials such as acrylic, porcelain, and plastic. All metal dentures will have some element of tooth support and the more support you have, the better. Plastic dentures have the worst kind of support (gum supported) and when. Which Is Better Plastic Or Porcelain Dentures.
From pureblissdental.com.au
Dentures Pure Bliss Dental Care Which Is Better Plastic Or Porcelain Dentures Porcelain is better able to withstand the daily wear and tear on teeth, and helps to preserve the jaw movements when used in false teeth. When comparing dentures and weighing up porcelain versus acrylic, the general opinion is that porcelain dentures are more. Plastic dentures have the worst kind of support (gum supported) and when you bite. All metal dentures. Which Is Better Plastic Or Porcelain Dentures.
From www.alamy.com
Two sets of full dentures. Dentures or false teeth are made from an Which Is Better Plastic Or Porcelain Dentures They are the perfect choice if you are replacing front teeth or when cosmetic appeal is your. The advantages of porcelain teeth are that they can look better than acrylic teeth. On the contrary, plastic dentures stain much more diminutively than porcelain dentures as they are bonded at the base, and there are no gaps. Plastic dentures have the worst. Which Is Better Plastic Or Porcelain Dentures.
From ihomedental.com
What are Popular Materials for Making Dentures? iHome Dental Which Is Better Plastic Or Porcelain Dentures Plastic dentures have the worst kind of support (gum supported) and when you bite. The material used is chosen based on the. They are the perfect choice if you are replacing front teeth or when cosmetic appeal is your. The advantages of porcelain teeth are that they can look better than acrylic teeth. All metal dentures will have some element. Which Is Better Plastic Or Porcelain Dentures.