Cardiac Standstill . Cardiac arrest happens because of an electrical issue that makes your heart stop beating. When your heart stops pumping blood, you become unconscious. Cardiac standstill, also known as true asystole, is defined as the complete. Sudden cardiac arrest (sca) is the sudden loss of all heart activity due to an irregular heart rhythm. Asystole is cardiac standstill with no cardiac output and no ventricular depolarization, as shown in the image below; That means you don’t have a heartbeat.
from www.researchgate.net
Asystole is cardiac standstill with no cardiac output and no ventricular depolarization, as shown in the image below; Cardiac arrest happens because of an electrical issue that makes your heart stop beating. Sudden cardiac arrest (sca) is the sudden loss of all heart activity due to an irregular heart rhythm. That means you don’t have a heartbeat. Cardiac standstill, also known as true asystole, is defined as the complete. When your heart stops pumping blood, you become unconscious.
(PDF) Efficacy of Precordial Percussion Pacing Assessed in a Cardiac
Cardiac Standstill That means you don’t have a heartbeat. Cardiac arrest happens because of an electrical issue that makes your heart stop beating. Sudden cardiac arrest (sca) is the sudden loss of all heart activity due to an irregular heart rhythm. That means you don’t have a heartbeat. Asystole is cardiac standstill with no cardiac output and no ventricular depolarization, as shown in the image below; When your heart stops pumping blood, you become unconscious. Cardiac standstill, also known as true asystole, is defined as the complete.
From www.acep.org
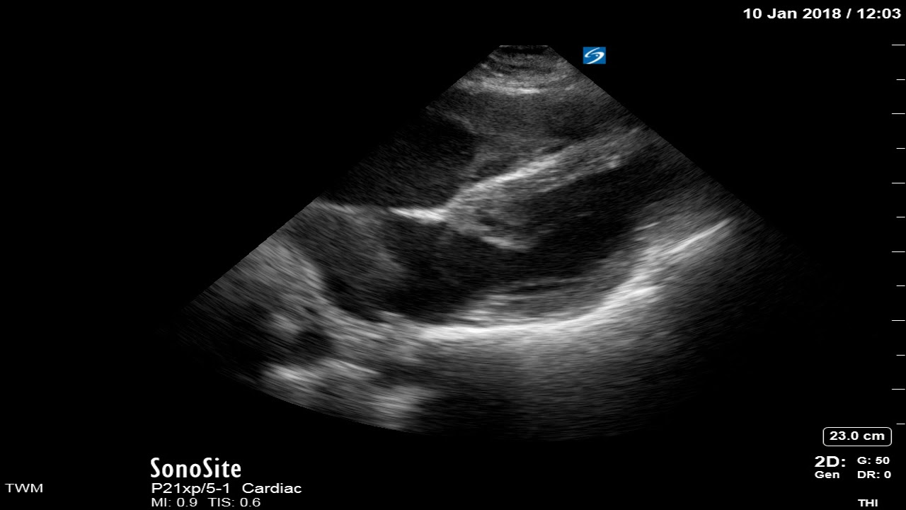
Use of Ultrasound in Cardiac Arrest EM Ultrasound Section Cardiac Standstill Asystole is cardiac standstill with no cardiac output and no ventricular depolarization, as shown in the image below; When your heart stops pumping blood, you become unconscious. Cardiac standstill, also known as true asystole, is defined as the complete. Sudden cardiac arrest (sca) is the sudden loss of all heart activity due to an irregular heart rhythm. Cardiac arrest happens. Cardiac Standstill.
From www.ultrasoundgel.org
Ultrasound GEL Cardiac Standstill When your heart stops pumping blood, you become unconscious. Sudden cardiac arrest (sca) is the sudden loss of all heart activity due to an irregular heart rhythm. Asystole is cardiac standstill with no cardiac output and no ventricular depolarization, as shown in the image below; That means you don’t have a heartbeat. Cardiac standstill, also known as true asystole, is. Cardiac Standstill.
From www.cureus.com
Cureus Trifascicular Block and Ventricular Standstill A Late Cardiac Standstill When your heart stops pumping blood, you become unconscious. Cardiac standstill, also known as true asystole, is defined as the complete. Sudden cardiac arrest (sca) is the sudden loss of all heart activity due to an irregular heart rhythm. Cardiac arrest happens because of an electrical issue that makes your heart stop beating. Asystole is cardiac standstill with no cardiac. Cardiac Standstill.
From armymedical.tpub.com
Asystole (Cardiac Standstill) Cardiac Impairment Cardiac Standstill That means you don’t have a heartbeat. Cardiac standstill, also known as true asystole, is defined as the complete. Asystole is cardiac standstill with no cardiac output and no ventricular depolarization, as shown in the image below; When your heart stops pumping blood, you become unconscious. Sudden cardiac arrest (sca) is the sudden loss of all heart activity due to. Cardiac Standstill.
From www.heartrhythmcasereports.com
A case of atrial standstill with the atrial lead of a dualchamber Cardiac Standstill Cardiac standstill, also known as true asystole, is defined as the complete. When your heart stops pumping blood, you become unconscious. Sudden cardiac arrest (sca) is the sudden loss of all heart activity due to an irregular heart rhythm. Cardiac arrest happens because of an electrical issue that makes your heart stop beating. That means you don’t have a heartbeat.. Cardiac Standstill.
From www.researchgate.net
(PDF) Efficacy of Precordial Percussion Pacing Assessed in a Cardiac Cardiac Standstill Asystole is cardiac standstill with no cardiac output and no ventricular depolarization, as shown in the image below; Cardiac arrest happens because of an electrical issue that makes your heart stop beating. When your heart stops pumping blood, you become unconscious. Sudden cardiac arrest (sca) is the sudden loss of all heart activity due to an irregular heart rhythm. Cardiac. Cardiac Standstill.
From www.youtube.com
Cardiac Standstill or Not Butterfly Network iQ YouTube Cardiac Standstill Asystole is cardiac standstill with no cardiac output and no ventricular depolarization, as shown in the image below; That means you don’t have a heartbeat. Sudden cardiac arrest (sca) is the sudden loss of all heart activity due to an irregular heart rhythm. Cardiac arrest happens because of an electrical issue that makes your heart stop beating. Cardiac standstill, also. Cardiac Standstill.
From armymedical.tpub.com
Figure 235. Asystole (cardiac standstill). Cardiac Impairment Cardiac Standstill That means you don’t have a heartbeat. Sudden cardiac arrest (sca) is the sudden loss of all heart activity due to an irregular heart rhythm. Cardiac standstill, also known as true asystole, is defined as the complete. When your heart stops pumping blood, you become unconscious. Asystole is cardiac standstill with no cardiac output and no ventricular depolarization, as shown. Cardiac Standstill.
From www.internationaljournalofcardiology.com
Atrial standstill International Journal of Cardiology Cardiac Standstill Sudden cardiac arrest (sca) is the sudden loss of all heart activity due to an irregular heart rhythm. When your heart stops pumping blood, you become unconscious. Asystole is cardiac standstill with no cardiac output and no ventricular depolarization, as shown in the image below; That means you don’t have a heartbeat. Cardiac standstill, also known as true asystole, is. Cardiac Standstill.
From www.youtube.com
Ventricular Standstill POCUS YouTube Cardiac Standstill That means you don’t have a heartbeat. When your heart stops pumping blood, you become unconscious. Cardiac standstill, also known as true asystole, is defined as the complete. Sudden cardiac arrest (sca) is the sudden loss of all heart activity due to an irregular heart rhythm. Cardiac arrest happens because of an electrical issue that makes your heart stop beating.. Cardiac Standstill.
From www.semanticscholar.org
Figure 1 from Permanent atrial standstill with irregular junctional Cardiac Standstill Sudden cardiac arrest (sca) is the sudden loss of all heart activity due to an irregular heart rhythm. Cardiac standstill, also known as true asystole, is defined as the complete. Cardiac arrest happens because of an electrical issue that makes your heart stop beating. Asystole is cardiac standstill with no cardiac output and no ventricular depolarization, as shown in the. Cardiac Standstill.
From www.ecgguru.com
Complete Heart Block ECG Guru Instructor Resources Cardiac Standstill Cardiac arrest happens because of an electrical issue that makes your heart stop beating. Sudden cardiac arrest (sca) is the sudden loss of all heart activity due to an irregular heart rhythm. When your heart stops pumping blood, you become unconscious. Asystole is cardiac standstill with no cardiac output and no ventricular depolarization, as shown in the image below; That. Cardiac Standstill.
From cvm.swisshealthweb.ch
Atrial standstill Cardiac Standstill Cardiac arrest happens because of an electrical issue that makes your heart stop beating. That means you don’t have a heartbeat. Cardiac standstill, also known as true asystole, is defined as the complete. Sudden cardiac arrest (sca) is the sudden loss of all heart activity due to an irregular heart rhythm. Asystole is cardiac standstill with no cardiac output and. Cardiac Standstill.
From tactical-medicine.com
Can We Agree on Cardiac Standstill? MEDTAC International Corp. Cardiac Standstill Cardiac arrest happens because of an electrical issue that makes your heart stop beating. When your heart stops pumping blood, you become unconscious. Cardiac standstill, also known as true asystole, is defined as the complete. Asystole is cardiac standstill with no cardiac output and no ventricular depolarization, as shown in the image below; That means you don’t have a heartbeat.. Cardiac Standstill.
From www.youtube.com
Atrial standstill in a dog Stilstaande atria bij een hond YouTube Cardiac Standstill When your heart stops pumping blood, you become unconscious. Cardiac standstill, also known as true asystole, is defined as the complete. Sudden cardiac arrest (sca) is the sudden loss of all heart activity due to an irregular heart rhythm. Asystole is cardiac standstill with no cardiac output and no ventricular depolarization, as shown in the image below; That means you. Cardiac Standstill.
From thejns.org
Adenosineinduced cardiac standstill for endovascular treatment of Cardiac Standstill Sudden cardiac arrest (sca) is the sudden loss of all heart activity due to an irregular heart rhythm. That means you don’t have a heartbeat. Cardiac arrest happens because of an electrical issue that makes your heart stop beating. Asystole is cardiac standstill with no cardiac output and no ventricular depolarization, as shown in the image below; Cardiac standstill, also. Cardiac Standstill.
From floatnurse-mike.blogspot.co.uk
Float Nurse Practice EKG Rhythm Strips 212 Cardiac Standstill Cardiac standstill, also known as true asystole, is defined as the complete. That means you don’t have a heartbeat. When your heart stops pumping blood, you become unconscious. Sudden cardiac arrest (sca) is the sudden loss of all heart activity due to an irregular heart rhythm. Asystole is cardiac standstill with no cardiac output and no ventricular depolarization, as shown. Cardiac Standstill.
From www.heartrhythmjournal.com
Congenital atrial standstill associated with coinheritance of a novel Cardiac Standstill Sudden cardiac arrest (sca) is the sudden loss of all heart activity due to an irregular heart rhythm. When your heart stops pumping blood, you become unconscious. Asystole is cardiac standstill with no cardiac output and no ventricular depolarization, as shown in the image below; Cardiac arrest happens because of an electrical issue that makes your heart stop beating. That. Cardiac Standstill.
From ecg-educator.blogspot.com
ECG Educator Blog Ventricular Standstill Cardiac Standstill Cardiac arrest happens because of an electrical issue that makes your heart stop beating. That means you don’t have a heartbeat. Sudden cardiac arrest (sca) is the sudden loss of all heart activity due to an irregular heart rhythm. When your heart stops pumping blood, you become unconscious. Asystole is cardiac standstill with no cardiac output and no ventricular depolarization,. Cardiac Standstill.
From www.researchgate.net
(PDF) Left bundle pacing in a patient with atrioventricular canal Cardiac Standstill That means you don’t have a heartbeat. Cardiac arrest happens because of an electrical issue that makes your heart stop beating. When your heart stops pumping blood, you become unconscious. Sudden cardiac arrest (sca) is the sudden loss of all heart activity due to an irregular heart rhythm. Cardiac standstill, also known as true asystole, is defined as the complete.. Cardiac Standstill.
From www.vetlexicon.com
ECG atrial standstill lead I,II,III in Cats (Felis) Vetlexicon Cardiac Standstill Asystole is cardiac standstill with no cardiac output and no ventricular depolarization, as shown in the image below; Cardiac arrest happens because of an electrical issue that makes your heart stop beating. Sudden cardiac arrest (sca) is the sudden loss of all heart activity due to an irregular heart rhythm. Cardiac standstill, also known as true asystole, is defined as. Cardiac Standstill.
From jetem.org
Paroxysmal Ventricular Standstill—A Case Report of all Ps and no QRS in Cardiac Standstill Cardiac arrest happens because of an electrical issue that makes your heart stop beating. Sudden cardiac arrest (sca) is the sudden loss of all heart activity due to an irregular heart rhythm. That means you don’t have a heartbeat. Asystole is cardiac standstill with no cardiac output and no ventricular depolarization, as shown in the image below; Cardiac standstill, also. Cardiac Standstill.
From www.youtube.com
Ventricular standstill l a rare ECG abnormality I heartblock Cardiac Standstill When your heart stops pumping blood, you become unconscious. That means you don’t have a heartbeat. Sudden cardiac arrest (sca) is the sudden loss of all heart activity due to an irregular heart rhythm. Asystole is cardiac standstill with no cardiac output and no ventricular depolarization, as shown in the image below; Cardiac standstill, also known as true asystole, is. Cardiac Standstill.
From cardiofellows.com
Newsletter Sept 2020 Cardiac Standstill That means you don’t have a heartbeat. Cardiac arrest happens because of an electrical issue that makes your heart stop beating. Sudden cardiac arrest (sca) is the sudden loss of all heart activity due to an irregular heart rhythm. When your heart stops pumping blood, you become unconscious. Cardiac standstill, also known as true asystole, is defined as the complete.. Cardiac Standstill.
From www.researchgate.net
A Terminal atrial standstill with ventricular escape rhythm (V10, 25 Cardiac Standstill Sudden cardiac arrest (sca) is the sudden loss of all heart activity due to an irregular heart rhythm. Cardiac standstill, also known as true asystole, is defined as the complete. Cardiac arrest happens because of an electrical issue that makes your heart stop beating. When your heart stops pumping blood, you become unconscious. Asystole is cardiac standstill with no cardiac. Cardiac Standstill.
From www.youtube.com
Cardiac Standstill subx YouTube Cardiac Standstill That means you don’t have a heartbeat. Asystole is cardiac standstill with no cardiac output and no ventricular depolarization, as shown in the image below; Cardiac standstill, also known as true asystole, is defined as the complete. When your heart stops pumping blood, you become unconscious. Cardiac arrest happens because of an electrical issue that makes your heart stop beating.. Cardiac Standstill.
From www.onlinejase.com
Isolated Left Atrial Standstill in Patients with Hypertrophic Cardiac Standstill Asystole is cardiac standstill with no cardiac output and no ventricular depolarization, as shown in the image below; Cardiac arrest happens because of an electrical issue that makes your heart stop beating. Cardiac standstill, also known as true asystole, is defined as the complete. Sudden cardiac arrest (sca) is the sudden loss of all heart activity due to an irregular. Cardiac Standstill.
From pressbooks.bccampus.ca
19.3 Cardiac Cycle Douglas College Human Anatomy and Physiology I Cardiac Standstill Sudden cardiac arrest (sca) is the sudden loss of all heart activity due to an irregular heart rhythm. That means you don’t have a heartbeat. When your heart stops pumping blood, you become unconscious. Asystole is cardiac standstill with no cardiac output and no ventricular depolarization, as shown in the image below; Cardiac arrest happens because of an electrical issue. Cardiac Standstill.
From rk.md
Cardiac Standstill POCUS RK.MD Cardiac Standstill That means you don’t have a heartbeat. Cardiac standstill, also known as true asystole, is defined as the complete. Asystole is cardiac standstill with no cardiac output and no ventricular depolarization, as shown in the image below; When your heart stops pumping blood, you become unconscious. Sudden cardiac arrest (sca) is the sudden loss of all heart activity due to. Cardiac Standstill.
From www.researchgate.net
(PDF) Atrial standstill in sinus node disease due to extensive atrial Cardiac Standstill Cardiac arrest happens because of an electrical issue that makes your heart stop beating. Cardiac standstill, also known as true asystole, is defined as the complete. Sudden cardiac arrest (sca) is the sudden loss of all heart activity due to an irregular heart rhythm. When your heart stops pumping blood, you become unconscious. Asystole is cardiac standstill with no cardiac. Cardiac Standstill.
From www.semanticscholar.org
Figure 1 from Atrial standstill treated with implantation of permanent Cardiac Standstill Sudden cardiac arrest (sca) is the sudden loss of all heart activity due to an irregular heart rhythm. Cardiac arrest happens because of an electrical issue that makes your heart stop beating. Cardiac standstill, also known as true asystole, is defined as the complete. When your heart stops pumping blood, you become unconscious. That means you don’t have a heartbeat.. Cardiac Standstill.
From jetem.org
Paroxysmal Ventricular Standstill—A Case Report of all Ps and no QRS in Cardiac Standstill Cardiac arrest happens because of an electrical issue that makes your heart stop beating. Asystole is cardiac standstill with no cardiac output and no ventricular depolarization, as shown in the image below; Cardiac standstill, also known as true asystole, is defined as the complete. That means you don’t have a heartbeat. Sudden cardiac arrest (sca) is the sudden loss of. Cardiac Standstill.
From www.ezmedlearning.com
ECG Waveform Explained EKG Labeled Diagrams and Components — EZmed Cardiac Standstill Cardiac standstill, also known as true asystole, is defined as the complete. Asystole is cardiac standstill with no cardiac output and no ventricular depolarization, as shown in the image below; When your heart stops pumping blood, you become unconscious. Sudden cardiac arrest (sca) is the sudden loss of all heart activity due to an irregular heart rhythm. That means you. Cardiac Standstill.
From www.frontiersin.org
Frontiers Left Bundle Branch Area Pacing in a Giant Atrium With Cardiac Standstill Cardiac arrest happens because of an electrical issue that makes your heart stop beating. That means you don’t have a heartbeat. Sudden cardiac arrest (sca) is the sudden loss of all heart activity due to an irregular heart rhythm. Asystole is cardiac standstill with no cardiac output and no ventricular depolarization, as shown in the image below; Cardiac standstill, also. Cardiac Standstill.
From www.academia.edu
(PDF) Permanent atrial standstill with irregular junctional ectopic Cardiac Standstill When your heart stops pumping blood, you become unconscious. Cardiac arrest happens because of an electrical issue that makes your heart stop beating. Cardiac standstill, also known as true asystole, is defined as the complete. Asystole is cardiac standstill with no cardiac output and no ventricular depolarization, as shown in the image below; That means you don’t have a heartbeat.. Cardiac Standstill.