Eye Problems Keratitis . Keratitis is a painful eye condition that is common in contact lens wearers. Contact a healthcare provider any time. Never store contacts in tap water. With keratitis, like other eye conditions, it’s important to get medical help early. Keratitis is an inflammatory condition that affects the cornea of your eye. Most cases of keratitis can be treated without loss of vision. Antibiotic eye drops are the primary treatment for bacterial keratitis. Rinse your lens case with contact solution and dry it with a clean tissue. If you suddenly develop eye redness or symptoms of keratitis, be sure to see your healthcare provider or eye doctor promptly. The cornea is the clear part that covers both the iris and the pupil. Depending on the severity of the infection, drop frequency can. This article will help you identify and deal with keratitis as effectively as possible. This can affect vision, cause pain, make it difficult to open the eye, and trigger other issues. Keratitis is a condition where the cornea becomes inflamed or swollen. Foreign body sensation in the eye.
from midhaeyecentre.blogspot.com
Foreign body sensation in the eye. This can affect vision, cause pain, make it difficult to open the eye, and trigger other issues. Keratitis is a condition where the cornea becomes inflamed or swollen. Keratitis is a painful eye condition that is common in contact lens wearers. Rinse your lens case with contact solution and dry it with a clean tissue. If you suddenly develop eye redness or symptoms of keratitis, be sure to see your healthcare provider or eye doctor promptly. Most cases of keratitis can be treated without loss of vision. This article will help you identify and deal with keratitis as effectively as possible. Contact a healthcare provider any time. Depending on the severity of the infection, drop frequency can.
Pictures Take Care Of Your Eyes
Eye Problems Keratitis Rinse your lens case with contact solution and dry it with a clean tissue. Most cases of keratitis can be treated without loss of vision. This can affect vision, cause pain, make it difficult to open the eye, and trigger other issues. Antibiotic eye drops are the primary treatment for bacterial keratitis. Keratitis is an inflammatory condition that affects the cornea of your eye. Foreign body sensation in the eye. Keratitis is a condition where the cornea becomes inflamed or swollen. Depending on the severity of the infection, drop frequency can. With keratitis, like other eye conditions, it’s important to get medical help early. If you suddenly develop eye redness or symptoms of keratitis, be sure to see your healthcare provider or eye doctor promptly. The cornea is the clear part that covers both the iris and the pupil. Keratitis is a painful eye condition that is common in contact lens wearers. Never store contacts in tap water. This article will help you identify and deal with keratitis as effectively as possible. Contact a healthcare provider any time. Rinse your lens case with contact solution and dry it with a clean tissue.
From webeye.ophth.uiowa.edu
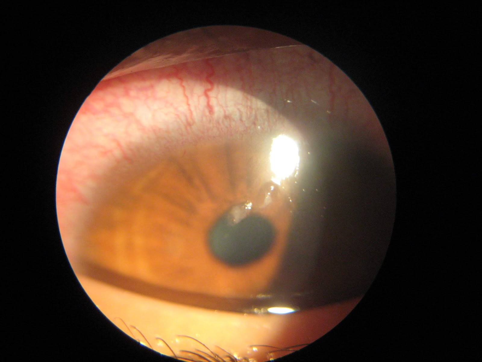
Corneal Marginal Ulcer Eye Problems Keratitis If you suddenly develop eye redness or symptoms of keratitis, be sure to see your healthcare provider or eye doctor promptly. Foreign body sensation in the eye. The cornea is the clear part that covers both the iris and the pupil. Never store contacts in tap water. Keratitis is an inflammatory condition that affects the cornea of your eye. Depending. Eye Problems Keratitis.
From ophthalmologybreakingnews.com
What Is Thygeson's Superficial Punctate Keratitis? OBN Eye Problems Keratitis With keratitis, like other eye conditions, it’s important to get medical help early. Contact a healthcare provider any time. Antibiotic eye drops are the primary treatment for bacterial keratitis. The cornea is the clear part that covers both the iris and the pupil. Foreign body sensation in the eye. Never store contacts in tap water. Most cases of keratitis can. Eye Problems Keratitis.
From cartoondealer.com
Keratitis Human Eye Disease Cartoon Vector 276072131 Eye Problems Keratitis Never store contacts in tap water. Depending on the severity of the infection, drop frequency can. Rinse your lens case with contact solution and dry it with a clean tissue. This can affect vision, cause pain, make it difficult to open the eye, and trigger other issues. Keratitis is a condition where the cornea becomes inflamed or swollen. Keratitis is. Eye Problems Keratitis.
From www.inflamed-and-untamed.com
Eye Complications in Crohn’s Disease and... Inflamed and Untamed Eye Problems Keratitis Keratitis is an inflammatory condition that affects the cornea of your eye. If you suddenly develop eye redness or symptoms of keratitis, be sure to see your healthcare provider or eye doctor promptly. Keratitis is a condition where the cornea becomes inflamed or swollen. Never store contacts in tap water. This can affect vision, cause pain, make it difficult to. Eye Problems Keratitis.
From owlcation.com
Acanthamoeba Facts, Eye Infection, and Keratitis Information Owlcation Eye Problems Keratitis The cornea is the clear part that covers both the iris and the pupil. Foreign body sensation in the eye. This article will help you identify and deal with keratitis as effectively as possible. With keratitis, like other eye conditions, it’s important to get medical help early. Most cases of keratitis can be treated without loss of vision. Antibiotic eye. Eye Problems Keratitis.
From www.msdmanuals.com
Herpes Simplex Keratitis Eye Disorders MSD Manual Consumer Version Eye Problems Keratitis Contact a healthcare provider any time. Depending on the severity of the infection, drop frequency can. Keratitis is a painful eye condition that is common in contact lens wearers. Never store contacts in tap water. With keratitis, like other eye conditions, it’s important to get medical help early. Foreign body sensation in the eye. Rinse your lens case with contact. Eye Problems Keratitis.
From www.studypk.com
Superficial Punctate Keratitis Eye Disorders StudyPK Eye Problems Keratitis Depending on the severity of the infection, drop frequency can. Most cases of keratitis can be treated without loss of vision. Foreign body sensation in the eye. This article will help you identify and deal with keratitis as effectively as possible. If you suddenly develop eye redness or symptoms of keratitis, be sure to see your healthcare provider or eye. Eye Problems Keratitis.
From www.medicalnewstoday.com
Rheumatoid arthritis and the eyes Impact and symptoms Eye Problems Keratitis Keratitis is a painful eye condition that is common in contact lens wearers. This article will help you identify and deal with keratitis as effectively as possible. Foreign body sensation in the eye. Depending on the severity of the infection, drop frequency can. Most cases of keratitis can be treated without loss of vision. Antibiotic eye drops are the primary. Eye Problems Keratitis.
From www.foresteyesurgery.com.au
Microbial Keratitis (Corneal Abscess) Eye Problems Keratitis Keratitis is an inflammatory condition that affects the cornea of your eye. This article will help you identify and deal with keratitis as effectively as possible. Rinse your lens case with contact solution and dry it with a clean tissue. Never store contacts in tap water. Foreign body sensation in the eye. Most cases of keratitis can be treated without. Eye Problems Keratitis.
From eyesurgeryltd.co.uk
Corneal Infection (Ulcer / Keratitis) Eye Surgery LTD Eye Problems Keratitis Antibiotic eye drops are the primary treatment for bacterial keratitis. With keratitis, like other eye conditions, it’s important to get medical help early. If you suddenly develop eye redness or symptoms of keratitis, be sure to see your healthcare provider or eye doctor promptly. Foreign body sensation in the eye. Keratitis is a condition where the cornea becomes inflamed or. Eye Problems Keratitis.
From plano.co
Herpes Simplex Keratitis What is it, Causes and Treatment Eye Problems Keratitis Depending on the severity of the infection, drop frequency can. Rinse your lens case with contact solution and dry it with a clean tissue. If you suddenly develop eye redness or symptoms of keratitis, be sure to see your healthcare provider or eye doctor promptly. Antibiotic eye drops are the primary treatment for bacterial keratitis. Keratitis is a painful eye. Eye Problems Keratitis.
From www.tblama.com.np
What is the problem of keratitis? Eye Problems Keratitis If you suddenly develop eye redness or symptoms of keratitis, be sure to see your healthcare provider or eye doctor promptly. Keratitis is a painful eye condition that is common in contact lens wearers. Never store contacts in tap water. This can affect vision, cause pain, make it difficult to open the eye, and trigger other issues. Antibiotic eye drops. Eye Problems Keratitis.
From www.oscarwylee.com.au
Keratitis Types, Cause, Symptoms, and Treatment Eye Problems Keratitis With keratitis, like other eye conditions, it’s important to get medical help early. Keratitis is an inflammatory condition that affects the cornea of your eye. Contact a healthcare provider any time. This article will help you identify and deal with keratitis as effectively as possible. Never store contacts in tap water. Foreign body sensation in the eye. Keratitis is a. Eye Problems Keratitis.
From www.reviewofcontactlenses.com
Four Troubleshooting Pearls For Scleral Lens Success Eye Problems Keratitis Foreign body sensation in the eye. This can affect vision, cause pain, make it difficult to open the eye, and trigger other issues. Keratitis is an inflammatory condition that affects the cornea of your eye. Most cases of keratitis can be treated without loss of vision. Depending on the severity of the infection, drop frequency can. Keratitis is a painful. Eye Problems Keratitis.
From americanceliac.org
Red Ring Around Iris, Eyelids, Eye Socket, In Babies & More American Eye Problems Keratitis With keratitis, like other eye conditions, it’s important to get medical help early. Contact a healthcare provider any time. Keratitis is a condition where the cornea becomes inflamed or swollen. Keratitis is a painful eye condition that is common in contact lens wearers. Foreign body sensation in the eye. Rinse your lens case with contact solution and dry it with. Eye Problems Keratitis.
From www.pinterest.com
Pin on a Eye Problems Keratitis Rinse your lens case with contact solution and dry it with a clean tissue. The cornea is the clear part that covers both the iris and the pupil. This article will help you identify and deal with keratitis as effectively as possible. Most cases of keratitis can be treated without loss of vision. Antibiotic eye drops are the primary treatment. Eye Problems Keratitis.
From www.ibdrelief.com
IBD eye problems Uveitis, Crohn's & ulcerative colitis Eye Problems Keratitis Depending on the severity of the infection, drop frequency can. If you suddenly develop eye redness or symptoms of keratitis, be sure to see your healthcare provider or eye doctor promptly. Antibiotic eye drops are the primary treatment for bacterial keratitis. This can affect vision, cause pain, make it difficult to open the eye, and trigger other issues. This article. Eye Problems Keratitis.
From www.mvtimes.com
pugseyepigmentarykeratitis The Martha's Vineyard Times Eye Problems Keratitis Antibiotic eye drops are the primary treatment for bacterial keratitis. Contact a healthcare provider any time. This article will help you identify and deal with keratitis as effectively as possible. Never store contacts in tap water. This can affect vision, cause pain, make it difficult to open the eye, and trigger other issues. Keratitis is a condition where the cornea. Eye Problems Keratitis.
From hellosehat.com
Keratitis Gejala, Penyebab, dan Pengobatan Hello Sehat Eye Problems Keratitis Keratitis is a painful eye condition that is common in contact lens wearers. Keratitis is a condition where the cornea becomes inflamed or swollen. Keratitis is an inflammatory condition that affects the cornea of your eye. With keratitis, like other eye conditions, it’s important to get medical help early. The cornea is the clear part that covers both the iris. Eye Problems Keratitis.
From hakimoptical.ca
What is Keratitis? Hakim Optical Eye Problems Keratitis Keratitis is a painful eye condition that is common in contact lens wearers. Contact a healthcare provider any time. Antibiotic eye drops are the primary treatment for bacterial keratitis. Depending on the severity of the infection, drop frequency can. Rinse your lens case with contact solution and dry it with a clean tissue. Most cases of keratitis can be treated. Eye Problems Keratitis.
From www.walkervillevet.com.au
What Dog or Cat Eye Problem Is That? Walkerville Vet Eye Problems Keratitis Never store contacts in tap water. Foreign body sensation in the eye. Rinse your lens case with contact solution and dry it with a clean tissue. This can affect vision, cause pain, make it difficult to open the eye, and trigger other issues. Keratitis is an inflammatory condition that affects the cornea of your eye. Keratitis is a condition where. Eye Problems Keratitis.
From www.everydayhealth.com
Psoriatic Arthritis and Eye Problems What You Need to Know Eye Problems Keratitis This article will help you identify and deal with keratitis as effectively as possible. Never store contacts in tap water. Contact a healthcare provider any time. Keratitis is a condition where the cornea becomes inflamed or swollen. Antibiotic eye drops are the primary treatment for bacterial keratitis. Depending on the severity of the infection, drop frequency can. Rinse your lens. Eye Problems Keratitis.
From eyecarepaducah.com
Adenoviral_keratitis Optometrist Paducah Kentucky, Eye Doctor Paducah KY Eye Problems Keratitis Contact a healthcare provider any time. The cornea is the clear part that covers both the iris and the pupil. This can affect vision, cause pain, make it difficult to open the eye, and trigger other issues. Keratitis is an inflammatory condition that affects the cornea of your eye. Keratitis is a condition where the cornea becomes inflamed or swollen.. Eye Problems Keratitis.
From webeye.ophth.uiowa.edu
Atlas Entry Acanthamoeba keratitis Eye Problems Keratitis Keratitis is a painful eye condition that is common in contact lens wearers. This can affect vision, cause pain, make it difficult to open the eye, and trigger other issues. The cornea is the clear part that covers both the iris and the pupil. If you suddenly develop eye redness or symptoms of keratitis, be sure to see your healthcare. Eye Problems Keratitis.
From www.studypk.com
Superficial Punctate Keratitis Eye Disorders StudyPK Eye Problems Keratitis Keratitis is an inflammatory condition that affects the cornea of your eye. This can affect vision, cause pain, make it difficult to open the eye, and trigger other issues. Keratitis is a condition where the cornea becomes inflamed or swollen. With keratitis, like other eye conditions, it’s important to get medical help early. Antibiotic eye drops are the primary treatment. Eye Problems Keratitis.
From midhaeyecentre.blogspot.com
Pictures Take Care Of Your Eyes Eye Problems Keratitis Keratitis is a condition where the cornea becomes inflamed or swollen. Foreign body sensation in the eye. With keratitis, like other eye conditions, it’s important to get medical help early. Most cases of keratitis can be treated without loss of vision. The cornea is the clear part that covers both the iris and the pupil. Never store contacts in tap. Eye Problems Keratitis.
From www.onlymyhealth.com
Redness and Pain in Eyes Could Be Keratitis, Know More About This Eye Eye Problems Keratitis Keratitis is a condition where the cornea becomes inflamed or swollen. With keratitis, like other eye conditions, it’s important to get medical help early. Keratitis is a painful eye condition that is common in contact lens wearers. This article will help you identify and deal with keratitis as effectively as possible. Foreign body sensation in the eye. Rinse your lens. Eye Problems Keratitis.
From owlcation.com
Acanthamoeba Facts, Eye Infection, and Keratitis Owlcation Eye Problems Keratitis Rinse your lens case with contact solution and dry it with a clean tissue. This article will help you identify and deal with keratitis as effectively as possible. Keratitis is an inflammatory condition that affects the cornea of your eye. This can affect vision, cause pain, make it difficult to open the eye, and trigger other issues. Depending on the. Eye Problems Keratitis.
From www.reviewofoptometry.com
Corneal Manifestations of Systemic Diseases Eye Problems Keratitis Keratitis is a painful eye condition that is common in contact lens wearers. This article will help you identify and deal with keratitis as effectively as possible. Contact a healthcare provider any time. Keratitis is a condition where the cornea becomes inflamed or swollen. Antibiotic eye drops are the primary treatment for bacterial keratitis. Never store contacts in tap water.. Eye Problems Keratitis.
From www.dreamstime.com
Eye Disease. Comparison and Difference Stock Vector Illustration of Eye Problems Keratitis Keratitis is a condition where the cornea becomes inflamed or swollen. Depending on the severity of the infection, drop frequency can. Contact a healthcare provider any time. With keratitis, like other eye conditions, it’s important to get medical help early. The cornea is the clear part that covers both the iris and the pupil. This can affect vision, cause pain,. Eye Problems Keratitis.
From pawscessories.com
Brown Pigment In White Of Dog's Eye Is It Pigmentary Keratitis? Eye Problems Keratitis The cornea is the clear part that covers both the iris and the pupil. Keratitis is a condition where the cornea becomes inflamed or swollen. This can affect vision, cause pain, make it difficult to open the eye, and trigger other issues. If you suddenly develop eye redness or symptoms of keratitis, be sure to see your healthcare provider or. Eye Problems Keratitis.
From ar.inspiredpencil.com
Infiltrative Keratitis Eye Problems Keratitis If you suddenly develop eye redness or symptoms of keratitis, be sure to see your healthcare provider or eye doctor promptly. Antibiotic eye drops are the primary treatment for bacterial keratitis. The cornea is the clear part that covers both the iris and the pupil. Never store contacts in tap water. This can affect vision, cause pain, make it difficult. Eye Problems Keratitis.
From www.eyerounds.org
Atlas Entry Varicellazoster virus (VZV) disciform keratitis Eye Problems Keratitis With keratitis, like other eye conditions, it’s important to get medical help early. This article will help you identify and deal with keratitis as effectively as possible. Never store contacts in tap water. The cornea is the clear part that covers both the iris and the pupil. Foreign body sensation in the eye. Depending on the severity of the infection,. Eye Problems Keratitis.
From drvarsha.com
Red Eyes Keratitis and Scleritis Eye Problems Keratitis This article will help you identify and deal with keratitis as effectively as possible. Most cases of keratitis can be treated without loss of vision. The cornea is the clear part that covers both the iris and the pupil. If you suddenly develop eye redness or symptoms of keratitis, be sure to see your healthcare provider or eye doctor promptly.. Eye Problems Keratitis.
From www.ocreyemd.com
Ophthalmic Consultants of Rockland Corneal Disease Eye Problems Keratitis The cornea is the clear part that covers both the iris and the pupil. Keratitis is a condition where the cornea becomes inflamed or swollen. This can affect vision, cause pain, make it difficult to open the eye, and trigger other issues. Rinse your lens case with contact solution and dry it with a clean tissue. Contact a healthcare provider. Eye Problems Keratitis.