Dental Implant Broken Screw . cases | broken screw | implant surgery. By curatorial yurij | october 30, 2022 | 12 minutes to. most published articles will discuss that if there is a fractured implant screw, the treatment option is to retrieve. What to do if the screw in the implant breaks. in general, screws fractured above the neck of the implant are much easier to retrieve than screws broken off inside the implant body. causes of screw loosening with today's dental implant connections include: the cause can be as simple as a popcorn hull or other debris wedged between the crown and the gum tissue, a loose or broken abutment screw, grinding your teeth in your sleep, or loosening of the dental implant due to gum Implant abutment screws can fracture due to various biomechanical factors. Contact between the abutment and adjacent.
from www.youtube.com
most published articles will discuss that if there is a fractured implant screw, the treatment option is to retrieve. By curatorial yurij | october 30, 2022 | 12 minutes to. What to do if the screw in the implant breaks. Implant abutment screws can fracture due to various biomechanical factors. cases | broken screw | implant surgery. causes of screw loosening with today's dental implant connections include: Contact between the abutment and adjacent. the cause can be as simple as a popcorn hull or other debris wedged between the crown and the gum tissue, a loose or broken abutment screw, grinding your teeth in your sleep, or loosening of the dental implant due to gum in general, screws fractured above the neck of the implant are much easier to retrieve than screws broken off inside the implant body.
broken implant screw removal YouTube
Dental Implant Broken Screw most published articles will discuss that if there is a fractured implant screw, the treatment option is to retrieve. Implant abutment screws can fracture due to various biomechanical factors. Contact between the abutment and adjacent. cases | broken screw | implant surgery. causes of screw loosening with today's dental implant connections include: the cause can be as simple as a popcorn hull or other debris wedged between the crown and the gum tissue, a loose or broken abutment screw, grinding your teeth in your sleep, or loosening of the dental implant due to gum By curatorial yurij | october 30, 2022 | 12 minutes to. in general, screws fractured above the neck of the implant are much easier to retrieve than screws broken off inside the implant body. most published articles will discuss that if there is a fractured implant screw, the treatment option is to retrieve. What to do if the screw in the implant breaks.
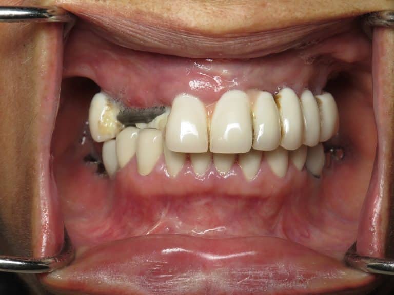
From www.brisbaneprosthodontics.com.au
Services Single Tooth Implants Brisbane Prosthodontics Dental Implant Broken Screw What to do if the screw in the implant breaks. the cause can be as simple as a popcorn hull or other debris wedged between the crown and the gum tissue, a loose or broken abutment screw, grinding your teeth in your sleep, or loosening of the dental implant due to gum By curatorial yurij | october 30, 2022. Dental Implant Broken Screw.
From www.dentaltools.fr
Vente de Dental Implant Broken Screw Remover Kit Surgical Tool Dental Implant Broken Screw causes of screw loosening with today's dental implant connections include: What to do if the screw in the implant breaks. By curatorial yurij | october 30, 2022 | 12 minutes to. cases | broken screw | implant surgery. most published articles will discuss that if there is a fractured implant screw, the treatment option is to retrieve.. Dental Implant Broken Screw.
From www.alandental.com
Buy Cheap Dental Implant Broken Screw Remover Kit Surgical Instrument Dental Implant Broken Screw Contact between the abutment and adjacent. in general, screws fractured above the neck of the implant are much easier to retrieve than screws broken off inside the implant body. By curatorial yurij | october 30, 2022 | 12 minutes to. cases | broken screw | implant surgery. Implant abutment screws can fracture due to various biomechanical factors. What. Dental Implant Broken Screw.
From www.youtube.com
Dental Implant Broken Screw Retrieval Method 4 Biomet 3i case YouTube Dental Implant Broken Screw the cause can be as simple as a popcorn hull or other debris wedged between the crown and the gum tissue, a loose or broken abutment screw, grinding your teeth in your sleep, or loosening of the dental implant due to gum What to do if the screw in the implant breaks. Implant abutment screws can fracture due to. Dental Implant Broken Screw.
From www.dentaltools.fr
Vente de Dental Implant Broken Screw Remover Kit Surgical Tool Dental Implant Broken Screw the cause can be as simple as a popcorn hull or other debris wedged between the crown and the gum tissue, a loose or broken abutment screw, grinding your teeth in your sleep, or loosening of the dental implant due to gum most published articles will discuss that if there is a fractured implant screw, the treatment option. Dental Implant Broken Screw.
From www.youtube.com
Dental Implant Broken Screw Extractor Kit YouTube Dental Implant Broken Screw By curatorial yurij | october 30, 2022 | 12 minutes to. in general, screws fractured above the neck of the implant are much easier to retrieve than screws broken off inside the implant body. Contact between the abutment and adjacent. cases | broken screw | implant surgery. What to do if the screw in the implant breaks. . Dental Implant Broken Screw.
From burbankdentalimplants.com
Complications Dental Implants Break! Dental Implant Broken Screw By curatorial yurij | october 30, 2022 | 12 minutes to. causes of screw loosening with today's dental implant connections include: Contact between the abutment and adjacent. the cause can be as simple as a popcorn hull or other debris wedged between the crown and the gum tissue, a loose or broken abutment screw, grinding your teeth in. Dental Implant Broken Screw.
From www.dentaltools.fr
Vente de Dental Implant Broken Screw Remover Kit Surgical Tool Dental Implant Broken Screw most published articles will discuss that if there is a fractured implant screw, the treatment option is to retrieve. the cause can be as simple as a popcorn hull or other debris wedged between the crown and the gum tissue, a loose or broken abutment screw, grinding your teeth in your sleep, or loosening of the dental implant. Dental Implant Broken Screw.
From www.youtube.com
Ahh....Stripped Implant Abutment Screw YouTube Dental Implant Broken Screw causes of screw loosening with today's dental implant connections include: Contact between the abutment and adjacent. By curatorial yurij | october 30, 2022 | 12 minutes to. the cause can be as simple as a popcorn hull or other debris wedged between the crown and the gum tissue, a loose or broken abutment screw, grinding your teeth in. Dental Implant Broken Screw.
From www.youtube.com
Broken Implant Screw Retrieval Kit Nobel Biocare YouTube Dental Implant Broken Screw the cause can be as simple as a popcorn hull or other debris wedged between the crown and the gum tissue, a loose or broken abutment screw, grinding your teeth in your sleep, or loosening of the dental implant due to gum cases | broken screw | implant surgery. What to do if the screw in the implant. Dental Implant Broken Screw.
From www.youtube.com
Skills Lab Damaged Implant Removal How To Remove Broken Screw YouTube Dental Implant Broken Screw causes of screw loosening with today's dental implant connections include: What to do if the screw in the implant breaks. Implant abutment screws can fracture due to various biomechanical factors. in general, screws fractured above the neck of the implant are much easier to retrieve than screws broken off inside the implant body. the cause can be. Dental Implant Broken Screw.
From www.rigbyadvanceddental.com
Broken Implant Screws? No Problem! Rigby Advanced Dental Dental Implant Broken Screw causes of screw loosening with today's dental implant connections include: in general, screws fractured above the neck of the implant are much easier to retrieve than screws broken off inside the implant body. the cause can be as simple as a popcorn hull or other debris wedged between the crown and the gum tissue, a loose or. Dental Implant Broken Screw.
From www.youtube.com
broken implant screw removal YouTube Dental Implant Broken Screw causes of screw loosening with today's dental implant connections include: in general, screws fractured above the neck of the implant are much easier to retrieve than screws broken off inside the implant body. Implant abutment screws can fracture due to various biomechanical factors. cases | broken screw | implant surgery. What to do if the screw in. Dental Implant Broken Screw.
From www.klahaniedental.com
Broken Implant Removal and Replacement Klahanie Family Dentistry Dental Implant Broken Screw Contact between the abutment and adjacent. most published articles will discuss that if there is a fractured implant screw, the treatment option is to retrieve. in general, screws fractured above the neck of the implant are much easier to retrieve than screws broken off inside the implant body. Implant abutment screws can fracture due to various biomechanical factors.. Dental Implant Broken Screw.
From www.perioimplantadvisory.com
Fractured dental implant screw complications 3 methods for screw Dental Implant Broken Screw the cause can be as simple as a popcorn hull or other debris wedged between the crown and the gum tissue, a loose or broken abutment screw, grinding your teeth in your sleep, or loosening of the dental implant due to gum By curatorial yurij | october 30, 2022 | 12 minutes to. Implant abutment screws can fracture due. Dental Implant Broken Screw.
From www.twinkledental.com.sg
What Are Dental Implants and Am I Suitable for Them? Medisave Dental Implant Broken Screw Contact between the abutment and adjacent. By curatorial yurij | october 30, 2022 | 12 minutes to. causes of screw loosening with today's dental implant connections include: cases | broken screw | implant surgery. most published articles will discuss that if there is a fractured implant screw, the treatment option is to retrieve. Implant abutment screws can. Dental Implant Broken Screw.
From www.alandental.com
Buy Cheap Dental Implant Broken Screw Remover Kit Surgical Instrument Dental Implant Broken Screw Implant abutment screws can fracture due to various biomechanical factors. What to do if the screw in the implant breaks. By curatorial yurij | october 30, 2022 | 12 minutes to. cases | broken screw | implant surgery. causes of screw loosening with today's dental implant connections include: Contact between the abutment and adjacent. the cause can. Dental Implant Broken Screw.
From www.perioimplantadvisory.com
Fractured dental implant screw complications 3 methods for screw Dental Implant Broken Screw By curatorial yurij | october 30, 2022 | 12 minutes to. the cause can be as simple as a popcorn hull or other debris wedged between the crown and the gum tissue, a loose or broken abutment screw, grinding your teeth in your sleep, or loosening of the dental implant due to gum Implant abutment screws can fracture due. Dental Implant Broken Screw.
From www.bauersmiles.com
Dental implant screw fracture? How do you fix the problem? Dental Implant Broken Screw By curatorial yurij | october 30, 2022 | 12 minutes to. Contact between the abutment and adjacent. cases | broken screw | implant surgery. Implant abutment screws can fracture due to various biomechanical factors. the cause can be as simple as a popcorn hull or other debris wedged between the crown and the gum tissue, a loose or. Dental Implant Broken Screw.
From dentalimplantcourseinchennai.blogspot.com
DR Murugavel's dental implant course SCREW LOOSENING AND SCREW FRACTURE Dental Implant Broken Screw the cause can be as simple as a popcorn hull or other debris wedged between the crown and the gum tissue, a loose or broken abutment screw, grinding your teeth in your sleep, or loosening of the dental implant due to gum What to do if the screw in the implant breaks. most published articles will discuss that. Dental Implant Broken Screw.
From www.gordondentalimplantsandcosmetics.com
Broken and Failing Dental Implants Gordon Dental Implants & Cosmetics Dental Implant Broken Screw cases | broken screw | implant surgery. most published articles will discuss that if there is a fractured implant screw, the treatment option is to retrieve. Implant abutment screws can fracture due to various biomechanical factors. causes of screw loosening with today's dental implant connections include: Contact between the abutment and adjacent. in general, screws fractured. Dental Implant Broken Screw.
From www.youtube.com
Dental Implant Broken Screw difficult retrieval using a tap/threading Dental Implant Broken Screw the cause can be as simple as a popcorn hull or other debris wedged between the crown and the gum tissue, a loose or broken abutment screw, grinding your teeth in your sleep, or loosening of the dental implant due to gum By curatorial yurij | october 30, 2022 | 12 minutes to. cases | broken screw |. Dental Implant Broken Screw.
From www.tv.odontologiavirtual.com
VIDEOCONFERENCING Immediate Loading of Dental Implants How to Dental Implant Broken Screw causes of screw loosening with today's dental implant connections include: in general, screws fractured above the neck of the implant are much easier to retrieve than screws broken off inside the implant body. Implant abutment screws can fracture due to various biomechanical factors. By curatorial yurij | october 30, 2022 | 12 minutes to. most published articles. Dental Implant Broken Screw.
From www.youtube.com
How To Remove A Broken Dental Implant Abutment Screw YouTube Dental Implant Broken Screw By curatorial yurij | october 30, 2022 | 12 minutes to. in general, screws fractured above the neck of the implant are much easier to retrieve than screws broken off inside the implant body. the cause can be as simple as a popcorn hull or other debris wedged between the crown and the gum tissue, a loose or. Dental Implant Broken Screw.
From www.youtube.com
Broken Implant Screw Removal Kit Salvin Dental YouTube Dental Implant Broken Screw causes of screw loosening with today's dental implant connections include: Implant abutment screws can fracture due to various biomechanical factors. What to do if the screw in the implant breaks. cases | broken screw | implant surgery. the cause can be as simple as a popcorn hull or other debris wedged between the crown and the gum. Dental Implant Broken Screw.
From www.speareducation.com
How to Temporarily Repair a Fractured ImplantSupported Zirconia Dental Implant Broken Screw causes of screw loosening with today's dental implant connections include: By curatorial yurij | october 30, 2022 | 12 minutes to. cases | broken screw | implant surgery. Contact between the abutment and adjacent. the cause can be as simple as a popcorn hull or other debris wedged between the crown and the gum tissue, a loose. Dental Implant Broken Screw.
From www.tv.odontologiavirtual.com
DENTAL IMPLANT broken screw case (Video 1) OdontoTv Dental Implant Broken Screw causes of screw loosening with today's dental implant connections include: in general, screws fractured above the neck of the implant are much easier to retrieve than screws broken off inside the implant body. Contact between the abutment and adjacent. By curatorial yurij | october 30, 2022 | 12 minutes to. What to do if the screw in the. Dental Implant Broken Screw.
From dentalaccessories.org
ExtractBox™ Broken Implant Screw Removal Kit Dental Implant Broken Screw most published articles will discuss that if there is a fractured implant screw, the treatment option is to retrieve. What to do if the screw in the implant breaks. in general, screws fractured above the neck of the implant are much easier to retrieve than screws broken off inside the implant body. cases | broken screw |. Dental Implant Broken Screw.
From www.aliexpress.com
Dental Broken Screw Extractor Remove Implant Pick Up SOS Kit or Only Dental Implant Broken Screw most published articles will discuss that if there is a fractured implant screw, the treatment option is to retrieve. cases | broken screw | implant surgery. What to do if the screw in the implant breaks. in general, screws fractured above the neck of the implant are much easier to retrieve than screws broken off inside the. Dental Implant Broken Screw.
From www.totalimplant.com
Dental Implant Broken Screw Removal and Implant Fixture Removal Kit Dental Implant Broken Screw What to do if the screw in the implant breaks. Implant abutment screws can fracture due to various biomechanical factors. Contact between the abutment and adjacent. most published articles will discuss that if there is a fractured implant screw, the treatment option is to retrieve. causes of screw loosening with today's dental implant connections include: the cause. Dental Implant Broken Screw.
From fsvimeldental.en.made-in-china.com
Dental Implant Fixture Broken Screw Fractured Removal Kit China Dental Implant Broken Screw What to do if the screw in the implant breaks. the cause can be as simple as a popcorn hull or other debris wedged between the crown and the gum tissue, a loose or broken abutment screw, grinding your teeth in your sleep, or loosening of the dental implant due to gum cases | broken screw | implant. Dental Implant Broken Screw.
From www.youtube.com
Dental Implant Broken Screw Retrieval Method 8 Biomet 3i case YouTube Dental Implant Broken Screw cases | broken screw | implant surgery. causes of screw loosening with today's dental implant connections include: most published articles will discuss that if there is a fractured implant screw, the treatment option is to retrieve. By curatorial yurij | october 30, 2022 | 12 minutes to. What to do if the screw in the implant breaks.. Dental Implant Broken Screw.
From www.thejpd.org
An accessory technique for the intraoral removal of a fractured implant Dental Implant Broken Screw most published articles will discuss that if there is a fractured implant screw, the treatment option is to retrieve. What to do if the screw in the implant breaks. By curatorial yurij | october 30, 2022 | 12 minutes to. cases | broken screw | implant surgery. the cause can be as simple as a popcorn hull. Dental Implant Broken Screw.
From burbankdentalimplants.com
Broken All On 4 Dental Implant Bridges Dental Implant Broken Screw most published articles will discuss that if there is a fractured implant screw, the treatment option is to retrieve. By curatorial yurij | october 30, 2022 | 12 minutes to. cases | broken screw | implant surgery. the cause can be as simple as a popcorn hull or other debris wedged between the crown and the gum. Dental Implant Broken Screw.
From www.jcda.ca
Managing Patients with a Loose Implant Abutment Screw jcda Dental Implant Broken Screw most published articles will discuss that if there is a fractured implant screw, the treatment option is to retrieve. Implant abutment screws can fracture due to various biomechanical factors. cases | broken screw | implant surgery. the cause can be as simple as a popcorn hull or other debris wedged between the crown and the gum tissue,. Dental Implant Broken Screw.