Poststreptococcal Glomerulonephritis Wiki . Acute poststreptococcal glomerulonephritis (apsgn) follows pyodermatitis with group a streptococci that have the surface. Poststreptococcal glomerulonephritis (psgn) results from a bacterial infection that causes rapid deterioration of the kidney function due to an inflammatory response. Psgn often requires hospitalization, but subclinical. Poststreptococcal glomerulonephritis (psgn) is caused by prior infection with specific nephritogenic strains of.
from www.youtube.com
Psgn often requires hospitalization, but subclinical. Acute poststreptococcal glomerulonephritis (apsgn) follows pyodermatitis with group a streptococci that have the surface. Poststreptococcal glomerulonephritis (psgn) is caused by prior infection with specific nephritogenic strains of. Poststreptococcal glomerulonephritis (psgn) results from a bacterial infection that causes rapid deterioration of the kidney function due to an inflammatory response.
Post Streptococcal Glomerulonephritis in 15 Minutes Renal Pathology Lectures by Omer YouTube
Poststreptococcal Glomerulonephritis Wiki Poststreptococcal glomerulonephritis (psgn) results from a bacterial infection that causes rapid deterioration of the kidney function due to an inflammatory response. Acute poststreptococcal glomerulonephritis (apsgn) follows pyodermatitis with group a streptococci that have the surface. Psgn often requires hospitalization, but subclinical. Poststreptococcal glomerulonephritis (psgn) results from a bacterial infection that causes rapid deterioration of the kidney function due to an inflammatory response. Poststreptococcal glomerulonephritis (psgn) is caused by prior infection with specific nephritogenic strains of.
From www.studypool.com
SOLUTION Acute Poststreptococcal Glomerulonephritis Studypool Poststreptococcal Glomerulonephritis Wiki Acute poststreptococcal glomerulonephritis (apsgn) follows pyodermatitis with group a streptococci that have the surface. Poststreptococcal glomerulonephritis (psgn) results from a bacterial infection that causes rapid deterioration of the kidney function due to an inflammatory response. Psgn often requires hospitalization, but subclinical. Poststreptococcal glomerulonephritis (psgn) is caused by prior infection with specific nephritogenic strains of. Poststreptococcal Glomerulonephritis Wiki.
From healthjade.net
Post streptococcal glomerulonephritis causes, symptoms, diagnosis, treatment & prognosis Poststreptococcal Glomerulonephritis Wiki Poststreptococcal glomerulonephritis (psgn) results from a bacterial infection that causes rapid deterioration of the kidney function due to an inflammatory response. Psgn often requires hospitalization, but subclinical. Poststreptococcal glomerulonephritis (psgn) is caused by prior infection with specific nephritogenic strains of. Acute poststreptococcal glomerulonephritis (apsgn) follows pyodermatitis with group a streptococci that have the surface. Poststreptococcal Glomerulonephritis Wiki.
From www.slideserve.com
PPT Streptococcal Serology PowerPoint Presentation ID309778 Poststreptococcal Glomerulonephritis Wiki Poststreptococcal glomerulonephritis (psgn) is caused by prior infection with specific nephritogenic strains of. Acute poststreptococcal glomerulonephritis (apsgn) follows pyodermatitis with group a streptococci that have the surface. Poststreptococcal glomerulonephritis (psgn) results from a bacterial infection that causes rapid deterioration of the kidney function due to an inflammatory response. Psgn often requires hospitalization, but subclinical. Poststreptococcal Glomerulonephritis Wiki.
From mavink.com
Pathophysiology Of Glomerulonephritis Poststreptococcal Glomerulonephritis Wiki Acute poststreptococcal glomerulonephritis (apsgn) follows pyodermatitis with group a streptococci that have the surface. Poststreptococcal glomerulonephritis (psgn) is caused by prior infection with specific nephritogenic strains of. Poststreptococcal glomerulonephritis (psgn) results from a bacterial infection that causes rapid deterioration of the kidney function due to an inflammatory response. Psgn often requires hospitalization, but subclinical. Poststreptococcal Glomerulonephritis Wiki.
From www.ncbi.nlm.nih.gov
Poststreptococcal Glomerulonephritis StatPearls NCBI Bookshelf Poststreptococcal Glomerulonephritis Wiki Poststreptococcal glomerulonephritis (psgn) results from a bacterial infection that causes rapid deterioration of the kidney function due to an inflammatory response. Poststreptococcal glomerulonephritis (psgn) is caused by prior infection with specific nephritogenic strains of. Psgn often requires hospitalization, but subclinical. Acute poststreptococcal glomerulonephritis (apsgn) follows pyodermatitis with group a streptococci that have the surface. Poststreptococcal Glomerulonephritis Wiki.
From ar.inspiredpencil.com
Diffuse Proliferative Glomerulonephritis Em Poststreptococcal Glomerulonephritis Wiki Psgn often requires hospitalization, but subclinical. Poststreptococcal glomerulonephritis (psgn) is caused by prior infection with specific nephritogenic strains of. Acute poststreptococcal glomerulonephritis (apsgn) follows pyodermatitis with group a streptococci that have the surface. Poststreptococcal glomerulonephritis (psgn) results from a bacterial infection that causes rapid deterioration of the kidney function due to an inflammatory response. Poststreptococcal Glomerulonephritis Wiki.
From www.youtube.com
Acute proliferative Glomerulonephritis (Poststreptococcal Glomerulonephritis) YouTube Poststreptococcal Glomerulonephritis Wiki Psgn often requires hospitalization, but subclinical. Poststreptococcal glomerulonephritis (psgn) results from a bacterial infection that causes rapid deterioration of the kidney function due to an inflammatory response. Poststreptococcal glomerulonephritis (psgn) is caused by prior infection with specific nephritogenic strains of. Acute poststreptococcal glomerulonephritis (apsgn) follows pyodermatitis with group a streptococci that have the surface. Poststreptococcal Glomerulonephritis Wiki.
From www.kidshealth.org.nz
Poststreptococcal Glomerulonephritis (PSGN) KidsHealth NZ Poststreptococcal Glomerulonephritis Wiki Psgn often requires hospitalization, but subclinical. Acute poststreptococcal glomerulonephritis (apsgn) follows pyodermatitis with group a streptococci that have the surface. Poststreptococcal glomerulonephritis (psgn) is caused by prior infection with specific nephritogenic strains of. Poststreptococcal glomerulonephritis (psgn) results from a bacterial infection that causes rapid deterioration of the kidney function due to an inflammatory response. Poststreptococcal Glomerulonephritis Wiki.
From www.slideserve.com
PPT Acute Poststreptococcal Glomerulonephritis PowerPoint Presentation ID551177 Poststreptococcal Glomerulonephritis Wiki Poststreptococcal glomerulonephritis (psgn) is caused by prior infection with specific nephritogenic strains of. Acute poststreptococcal glomerulonephritis (apsgn) follows pyodermatitis with group a streptococci that have the surface. Psgn often requires hospitalization, but subclinical. Poststreptococcal glomerulonephritis (psgn) results from a bacterial infection that causes rapid deterioration of the kidney function due to an inflammatory response. Poststreptococcal Glomerulonephritis Wiki.
From www.youtube.com
acute poststreptococcal glomerulonephritis ( APSGN) YouTube Poststreptococcal Glomerulonephritis Wiki Acute poststreptococcal glomerulonephritis (apsgn) follows pyodermatitis with group a streptococci that have the surface. Psgn often requires hospitalization, but subclinical. Poststreptococcal glomerulonephritis (psgn) is caused by prior infection with specific nephritogenic strains of. Poststreptococcal glomerulonephritis (psgn) results from a bacterial infection that causes rapid deterioration of the kidney function due to an inflammatory response. Poststreptococcal Glomerulonephritis Wiki.
From www.ncbi.nlm.nih.gov
PostStreptococcal Glomerulonephritis Streptococcus pyogenes NCBI Bookshelf Poststreptococcal Glomerulonephritis Wiki Poststreptococcal glomerulonephritis (psgn) is caused by prior infection with specific nephritogenic strains of. Poststreptococcal glomerulonephritis (psgn) results from a bacterial infection that causes rapid deterioration of the kidney function due to an inflammatory response. Acute poststreptococcal glomerulonephritis (apsgn) follows pyodermatitis with group a streptococci that have the surface. Psgn often requires hospitalization, but subclinical. Poststreptococcal Glomerulonephritis Wiki.
From www.researchgate.net
Putative mechanism for the development of poststreptococcal acute... Download Scientific Diagram Poststreptococcal Glomerulonephritis Wiki Poststreptococcal glomerulonephritis (psgn) is caused by prior infection with specific nephritogenic strains of. Psgn often requires hospitalization, but subclinical. Acute poststreptococcal glomerulonephritis (apsgn) follows pyodermatitis with group a streptococci that have the surface. Poststreptococcal glomerulonephritis (psgn) results from a bacterial infection that causes rapid deterioration of the kidney function due to an inflammatory response. Poststreptococcal Glomerulonephritis Wiki.
From mavink.com
Acute Diffuse Proliferative Glomerulonephritis Poststreptococcal Glomerulonephritis Wiki Poststreptococcal glomerulonephritis (psgn) is caused by prior infection with specific nephritogenic strains of. Psgn often requires hospitalization, but subclinical. Poststreptococcal glomerulonephritis (psgn) results from a bacterial infection that causes rapid deterioration of the kidney function due to an inflammatory response. Acute poststreptococcal glomerulonephritis (apsgn) follows pyodermatitis with group a streptococci that have the surface. Poststreptococcal Glomerulonephritis Wiki.
From www.youtube.com
Post Streptococcal Glomerulonephritis( PSGN) YouTube Poststreptococcal Glomerulonephritis Wiki Poststreptococcal glomerulonephritis (psgn) is caused by prior infection with specific nephritogenic strains of. Acute poststreptococcal glomerulonephritis (apsgn) follows pyodermatitis with group a streptococci that have the surface. Poststreptococcal glomerulonephritis (psgn) results from a bacterial infection that causes rapid deterioration of the kidney function due to an inflammatory response. Psgn often requires hospitalization, but subclinical. Poststreptococcal Glomerulonephritis Wiki.
From handwiki.org
MedicineAcute proliferative glomerulonephritis HandWiki Poststreptococcal Glomerulonephritis Wiki Poststreptococcal glomerulonephritis (psgn) results from a bacterial infection that causes rapid deterioration of the kidney function due to an inflammatory response. Psgn often requires hospitalization, but subclinical. Acute poststreptococcal glomerulonephritis (apsgn) follows pyodermatitis with group a streptococci that have the surface. Poststreptococcal glomerulonephritis (psgn) is caused by prior infection with specific nephritogenic strains of. Poststreptococcal Glomerulonephritis Wiki.
From ilovepathology.com
Acute Post Streptococcal Glomerulonephritis Pathology Made Simple Poststreptococcal Glomerulonephritis Wiki Psgn often requires hospitalization, but subclinical. Poststreptococcal glomerulonephritis (psgn) is caused by prior infection with specific nephritogenic strains of. Acute poststreptococcal glomerulonephritis (apsgn) follows pyodermatitis with group a streptococci that have the surface. Poststreptococcal glomerulonephritis (psgn) results from a bacterial infection that causes rapid deterioration of the kidney function due to an inflammatory response. Poststreptococcal Glomerulonephritis Wiki.
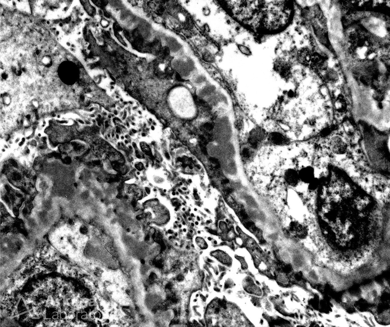
From www.arkanalabs.com
PostStreptococcal Acute Glomerulonephritis (PSAGN) Case 7 Poststreptococcal Glomerulonephritis Wiki Poststreptococcal glomerulonephritis (psgn) is caused by prior infection with specific nephritogenic strains of. Psgn often requires hospitalization, but subclinical. Acute poststreptococcal glomerulonephritis (apsgn) follows pyodermatitis with group a streptococci that have the surface. Poststreptococcal glomerulonephritis (psgn) results from a bacterial infection that causes rapid deterioration of the kidney function due to an inflammatory response. Poststreptococcal Glomerulonephritis Wiki.
From www.slideserve.com
PPT Acute Poststreptococcal glomerulonephritis PowerPoint Presentation ID5417433 Poststreptococcal Glomerulonephritis Wiki Poststreptococcal glomerulonephritis (psgn) results from a bacterial infection that causes rapid deterioration of the kidney function due to an inflammatory response. Psgn often requires hospitalization, but subclinical. Acute poststreptococcal glomerulonephritis (apsgn) follows pyodermatitis with group a streptococci that have the surface. Poststreptococcal glomerulonephritis (psgn) is caused by prior infection with specific nephritogenic strains of. Poststreptococcal Glomerulonephritis Wiki.
From gamma.app
Poststreptococcal Glomerulonephritis Poststreptococcal Glomerulonephritis Wiki Poststreptococcal glomerulonephritis (psgn) results from a bacterial infection that causes rapid deterioration of the kidney function due to an inflammatory response. Psgn often requires hospitalization, but subclinical. Acute poststreptococcal glomerulonephritis (apsgn) follows pyodermatitis with group a streptococci that have the surface. Poststreptococcal glomerulonephritis (psgn) is caused by prior infection with specific nephritogenic strains of. Poststreptococcal Glomerulonephritis Wiki.
From www.youtube.com
RENAL PATHOLOGY Part 4 Acute Post Streptococcal Glomerulonephritis Pathogenesis & Morphology Poststreptococcal Glomerulonephritis Wiki Poststreptococcal glomerulonephritis (psgn) is caused by prior infection with specific nephritogenic strains of. Acute poststreptococcal glomerulonephritis (apsgn) follows pyodermatitis with group a streptococci that have the surface. Psgn often requires hospitalization, but subclinical. Poststreptococcal glomerulonephritis (psgn) results from a bacterial infection that causes rapid deterioration of the kidney function due to an inflammatory response. Poststreptococcal Glomerulonephritis Wiki.
From www.medicinekeys.com
Poststreptococcal glomerulonephritis (PSGN) Medicine Keys for MRCPs Poststreptococcal Glomerulonephritis Wiki Poststreptococcal glomerulonephritis (psgn) results from a bacterial infection that causes rapid deterioration of the kidney function due to an inflammatory response. Acute poststreptococcal glomerulonephritis (apsgn) follows pyodermatitis with group a streptococci that have the surface. Poststreptococcal glomerulonephritis (psgn) is caused by prior infection with specific nephritogenic strains of. Psgn often requires hospitalization, but subclinical. Poststreptococcal Glomerulonephritis Wiki.
From www.youtube.com
Post streptococcal glomerulonephritis PSGN pathogenesis clinical presentation morphology Poststreptococcal Glomerulonephritis Wiki Poststreptococcal glomerulonephritis (psgn) is caused by prior infection with specific nephritogenic strains of. Psgn often requires hospitalization, but subclinical. Acute poststreptococcal glomerulonephritis (apsgn) follows pyodermatitis with group a streptococci that have the surface. Poststreptococcal glomerulonephritis (psgn) results from a bacterial infection that causes rapid deterioration of the kidney function due to an inflammatory response. Poststreptococcal Glomerulonephritis Wiki.
From medical-junction.com
Acute Post Streptococcal Glomerulonephritis Medical Junction Poststreptococcal Glomerulonephritis Wiki Psgn often requires hospitalization, but subclinical. Acute poststreptococcal glomerulonephritis (apsgn) follows pyodermatitis with group a streptococci that have the surface. Poststreptococcal glomerulonephritis (psgn) results from a bacterial infection that causes rapid deterioration of the kidney function due to an inflammatory response. Poststreptococcal glomerulonephritis (psgn) is caused by prior infection with specific nephritogenic strains of. Poststreptococcal Glomerulonephritis Wiki.
From www.slideserve.com
PPT Renal practical I PowerPoint Presentation, free download ID2051602 Poststreptococcal Glomerulonephritis Wiki Poststreptococcal glomerulonephritis (psgn) results from a bacterial infection that causes rapid deterioration of the kidney function due to an inflammatory response. Poststreptococcal glomerulonephritis (psgn) is caused by prior infection with specific nephritogenic strains of. Psgn often requires hospitalization, but subclinical. Acute poststreptococcal glomerulonephritis (apsgn) follows pyodermatitis with group a streptococci that have the surface. Poststreptococcal Glomerulonephritis Wiki.
From www.youtube.com
Post Streptococcal Glomerulonephritis in 15 Minutes Renal Pathology Lectures by Omer YouTube Poststreptococcal Glomerulonephritis Wiki Acute poststreptococcal glomerulonephritis (apsgn) follows pyodermatitis with group a streptococci that have the surface. Poststreptococcal glomerulonephritis (psgn) is caused by prior infection with specific nephritogenic strains of. Psgn often requires hospitalization, but subclinical. Poststreptococcal glomerulonephritis (psgn) results from a bacterial infection that causes rapid deterioration of the kidney function due to an inflammatory response. Poststreptococcal Glomerulonephritis Wiki.
From www.slideserve.com
PPT Acute Poststreptococcal Glomerulonephritis PowerPoint Presentation ID551177 Poststreptococcal Glomerulonephritis Wiki Poststreptococcal glomerulonephritis (psgn) results from a bacterial infection that causes rapid deterioration of the kidney function due to an inflammatory response. Acute poststreptococcal glomerulonephritis (apsgn) follows pyodermatitis with group a streptococci that have the surface. Poststreptococcal glomerulonephritis (psgn) is caused by prior infection with specific nephritogenic strains of. Psgn often requires hospitalization, but subclinical. Poststreptococcal Glomerulonephritis Wiki.
From www.arkanalabs.com
PostStreptococcal Acute Glomerulonephritis (PSAGN) Case 7 Poststreptococcal Glomerulonephritis Wiki Psgn often requires hospitalization, but subclinical. Poststreptococcal glomerulonephritis (psgn) results from a bacterial infection that causes rapid deterioration of the kidney function due to an inflammatory response. Acute poststreptococcal glomerulonephritis (apsgn) follows pyodermatitis with group a streptococci that have the surface. Poststreptococcal glomerulonephritis (psgn) is caused by prior infection with specific nephritogenic strains of. Poststreptococcal Glomerulonephritis Wiki.
From app.achievable.me
Poststreptococcal glomerulonephritis (PSGN) Renal system Renal, endocrine and reproductive Poststreptococcal Glomerulonephritis Wiki Acute poststreptococcal glomerulonephritis (apsgn) follows pyodermatitis with group a streptococci that have the surface. Poststreptococcal glomerulonephritis (psgn) results from a bacterial infection that causes rapid deterioration of the kidney function due to an inflammatory response. Psgn often requires hospitalization, but subclinical. Poststreptococcal glomerulonephritis (psgn) is caused by prior infection with specific nephritogenic strains of. Poststreptococcal Glomerulonephritis Wiki.
From www.youtube.com
Glomerulonephritis(Poststreptococcal) Nephritic Syndrome Clinical Presentation and Treatment Poststreptococcal Glomerulonephritis Wiki Acute poststreptococcal glomerulonephritis (apsgn) follows pyodermatitis with group a streptococci that have the surface. Psgn often requires hospitalization, but subclinical. Poststreptococcal glomerulonephritis (psgn) is caused by prior infection with specific nephritogenic strains of. Poststreptococcal glomerulonephritis (psgn) results from a bacterial infection that causes rapid deterioration of the kidney function due to an inflammatory response. Poststreptococcal Glomerulonephritis Wiki.
From www.youtube.com
PATHOLOGY POSTSTREPTOCOCCAL GLOMERULONEPHRITIS(PSGN) RENAL DISORDERS With explanation Poststreptococcal Glomerulonephritis Wiki Psgn often requires hospitalization, but subclinical. Acute poststreptococcal glomerulonephritis (apsgn) follows pyodermatitis with group a streptococci that have the surface. Poststreptococcal glomerulonephritis (psgn) results from a bacterial infection that causes rapid deterioration of the kidney function due to an inflammatory response. Poststreptococcal glomerulonephritis (psgn) is caused by prior infection with specific nephritogenic strains of. Poststreptococcal Glomerulonephritis Wiki.
From www.ajkd.org
EtiologyBased Diagnostic Approach to Proliferative Glomerulonephritis American Journal of Poststreptococcal Glomerulonephritis Wiki Poststreptococcal glomerulonephritis (psgn) is caused by prior infection with specific nephritogenic strains of. Acute poststreptococcal glomerulonephritis (apsgn) follows pyodermatitis with group a streptococci that have the surface. Poststreptococcal glomerulonephritis (psgn) results from a bacterial infection that causes rapid deterioration of the kidney function due to an inflammatory response. Psgn often requires hospitalization, but subclinical. Poststreptococcal Glomerulonephritis Wiki.
From renalpathologyreview.blogspot.com
Renal Pathology Review Poststreptococcal glomerulonephritis and chronic kidney disease (CKD) Poststreptococcal Glomerulonephritis Wiki Poststreptococcal glomerulonephritis (psgn) is caused by prior infection with specific nephritogenic strains of. Acute poststreptococcal glomerulonephritis (apsgn) follows pyodermatitis with group a streptococci that have the surface. Poststreptococcal glomerulonephritis (psgn) results from a bacterial infection that causes rapid deterioration of the kidney function due to an inflammatory response. Psgn often requires hospitalization, but subclinical. Poststreptococcal Glomerulonephritis Wiki.
From www.slideserve.com
PPT Pathology of Glomerular Disease II PowerPoint Presentation, free download ID9117058 Poststreptococcal Glomerulonephritis Wiki Acute poststreptococcal glomerulonephritis (apsgn) follows pyodermatitis with group a streptococci that have the surface. Poststreptococcal glomerulonephritis (psgn) is caused by prior infection with specific nephritogenic strains of. Poststreptococcal glomerulonephritis (psgn) results from a bacterial infection that causes rapid deterioration of the kidney function due to an inflammatory response. Psgn often requires hospitalization, but subclinical. Poststreptococcal Glomerulonephritis Wiki.
From www.pinterest.ca
Poststreptococcal Glomerulonephritis in 2020 Family medicine, Medical knowledge, Medicine Poststreptococcal Glomerulonephritis Wiki Poststreptococcal glomerulonephritis (psgn) results from a bacterial infection that causes rapid deterioration of the kidney function due to an inflammatory response. Poststreptococcal glomerulonephritis (psgn) is caused by prior infection with specific nephritogenic strains of. Psgn often requires hospitalization, but subclinical. Acute poststreptococcal glomerulonephritis (apsgn) follows pyodermatitis with group a streptococci that have the surface. Poststreptococcal Glomerulonephritis Wiki.
From www.youtube.com
Post Streptococcal Glomerulonephritis! (PSGN) YouTube Poststreptococcal Glomerulonephritis Wiki Psgn often requires hospitalization, but subclinical. Poststreptococcal glomerulonephritis (psgn) is caused by prior infection with specific nephritogenic strains of. Acute poststreptococcal glomerulonephritis (apsgn) follows pyodermatitis with group a streptococci that have the surface. Poststreptococcal glomerulonephritis (psgn) results from a bacterial infection that causes rapid deterioration of the kidney function due to an inflammatory response. Poststreptococcal Glomerulonephritis Wiki.