How Does A Spiral Fracture Heal . A spiral fracture is a bone fracture that occurs when a long bone is broken by a twisting force. Typically, a spiral fracture in the fibula takes around 3 to 6 months to heal fully. A spiral fracture can be either displaced or stable. Treatment can depend on the severity of the breakage, but may include surgery. The force results in a twisting or spiral break in the bone. Yes, a spiral fracture can often heal completely without the need for. Can a spiral fracture heal completely without surgical intervention? How long it takes to heal a spiral fracture depends on injury severity, whether or not you need surgery and your overall health. You may need to wear a medical boot or cast for. In a displaced fracture, the parts of the bone at the break no longer. A spiral fracture occurs when one end of a bone remains in place while the other end is in motion.
        	
		 
	 
    
         
         
        from www.medicalnewstoday.com 
     
        
        How long it takes to heal a spiral fracture depends on injury severity, whether or not you need surgery and your overall health. The force results in a twisting or spiral break in the bone. Treatment can depend on the severity of the breakage, but may include surgery. In a displaced fracture, the parts of the bone at the break no longer. Typically, a spiral fracture in the fibula takes around 3 to 6 months to heal fully. You may need to wear a medical boot or cast for. Can a spiral fracture heal completely without surgical intervention? Yes, a spiral fracture can often heal completely without the need for. A spiral fracture is a bone fracture that occurs when a long bone is broken by a twisting force. A spiral fracture can be either displaced or stable.
    
    	
		 
	 
    Avulsion fracture Symptoms, causes, and diagnosis 
    How Does A Spiral Fracture Heal  You may need to wear a medical boot or cast for. Treatment can depend on the severity of the breakage, but may include surgery. Typically, a spiral fracture in the fibula takes around 3 to 6 months to heal fully. The force results in a twisting or spiral break in the bone. A spiral fracture occurs when one end of a bone remains in place while the other end is in motion. A spiral fracture can be either displaced or stable. Yes, a spiral fracture can often heal completely without the need for. In a displaced fracture, the parts of the bone at the break no longer. A spiral fracture is a bone fracture that occurs when a long bone is broken by a twisting force. You may need to wear a medical boot or cast for. How long it takes to heal a spiral fracture depends on injury severity, whether or not you need surgery and your overall health. Can a spiral fracture heal completely without surgical intervention?
 
    
         
        From www.medicalnewstoday.com 
                    Bone fracture repair Procedures, risks, and healing time How Does A Spiral Fracture Heal  In a displaced fracture, the parts of the bone at the break no longer. Treatment can depend on the severity of the breakage, but may include surgery. Yes, a spiral fracture can often heal completely without the need for. Typically, a spiral fracture in the fibula takes around 3 to 6 months to heal fully. The force results in a. How Does A Spiral Fracture Heal.
     
    
         
        From www.pinterest.com 
                    How and how well does a spinal fracture heal? spinalfracture How Does A Spiral Fracture Heal  The force results in a twisting or spiral break in the bone. Can a spiral fracture heal completely without surgical intervention? Typically, a spiral fracture in the fibula takes around 3 to 6 months to heal fully. A spiral fracture occurs when one end of a bone remains in place while the other end is in motion. How long it. How Does A Spiral Fracture Heal.
     
    
         
        From nearsay.com 
                    A Focus on Orthopedic Surgery How Long Do Broken Bones Take to Heal How Does A Spiral Fracture Heal  A spiral fracture is a bone fracture that occurs when a long bone is broken by a twisting force. Typically, a spiral fracture in the fibula takes around 3 to 6 months to heal fully. How long it takes to heal a spiral fracture depends on injury severity, whether or not you need surgery and your overall health. The force. How Does A Spiral Fracture Heal.
     
    
         
        From enak.heroinewarrior.com 
                    Spiral Fracture Healing Time, Tibia, and Fibula How Does A Spiral Fracture Heal  Yes, a spiral fracture can often heal completely without the need for. In a displaced fracture, the parts of the bone at the break no longer. A spiral fracture occurs when one end of a bone remains in place while the other end is in motion. Treatment can depend on the severity of the breakage, but may include surgery. The. How Does A Spiral Fracture Heal.
     
    
         
        From orthopaedicprinciples.com 
                    Principles of Fracture healing — How Does A Spiral Fracture Heal  How long it takes to heal a spiral fracture depends on injury severity, whether or not you need surgery and your overall health. Yes, a spiral fracture can often heal completely without the need for. A spiral fracture can be either displaced or stable. A spiral fracture is a bone fracture that occurs when a long bone is broken by. How Does A Spiral Fracture Heal.
     
    
         
        From orthoinfo.aaos.org 
                    Tibia (Shinbone) Shaft Fractures OrthoInfo AAOS How Does A Spiral Fracture Heal  A spiral fracture occurs when one end of a bone remains in place while the other end is in motion. Yes, a spiral fracture can often heal completely without the need for. You may need to wear a medical boot or cast for. In a displaced fracture, the parts of the bone at the break no longer. A spiral fracture. How Does A Spiral Fracture Heal.
     
    
         
        From animalia-life.club 
                    Difference Between Right And Left Humerus How Does A Spiral Fracture Heal  Treatment can depend on the severity of the breakage, but may include surgery. Can a spiral fracture heal completely without surgical intervention? A spiral fracture is a bone fracture that occurs when a long bone is broken by a twisting force. In a displaced fracture, the parts of the bone at the break no longer. You may need to wear. How Does A Spiral Fracture Heal.
     
    
         
        From www.medicalnewstoday.com 
                    Avulsion fracture Symptoms, causes, and diagnosis How Does A Spiral Fracture Heal  In a displaced fracture, the parts of the bone at the break no longer. A spiral fracture can be either displaced or stable. A spiral fracture is a bone fracture that occurs when a long bone is broken by a twisting force. How long it takes to heal a spiral fracture depends on injury severity, whether or not you need. How Does A Spiral Fracture Heal.
     
    
         
        From www.orthoinfo.org 
                    Adult Forearm Fractures OrthoInfo AAOS How Does A Spiral Fracture Heal  You may need to wear a medical boot or cast for. The force results in a twisting or spiral break in the bone. A spiral fracture is a bone fracture that occurs when a long bone is broken by a twisting force. Treatment can depend on the severity of the breakage, but may include surgery. Can a spiral fracture heal. How Does A Spiral Fracture Heal.
     
    
         
        From medicalsciences.stackexchange.com 
                    orthopedics How to tell if my leg fracture is healing? Medical How Does A Spiral Fracture Heal  The force results in a twisting or spiral break in the bone. In a displaced fracture, the parts of the bone at the break no longer. You may need to wear a medical boot or cast for. A spiral fracture is a bone fracture that occurs when a long bone is broken by a twisting force. A spiral fracture occurs. How Does A Spiral Fracture Heal.
     
    
         
        From healthjade.net 
                    Tibial shaft fracture causes, types, symptoms, diagnosis, treatment How Does A Spiral Fracture Heal  Treatment can depend on the severity of the breakage, but may include surgery. A spiral fracture can be either displaced or stable. Typically, a spiral fracture in the fibula takes around 3 to 6 months to heal fully. A spiral fracture occurs when one end of a bone remains in place while the other end is in motion. A spiral. How Does A Spiral Fracture Heal.
     
    
         
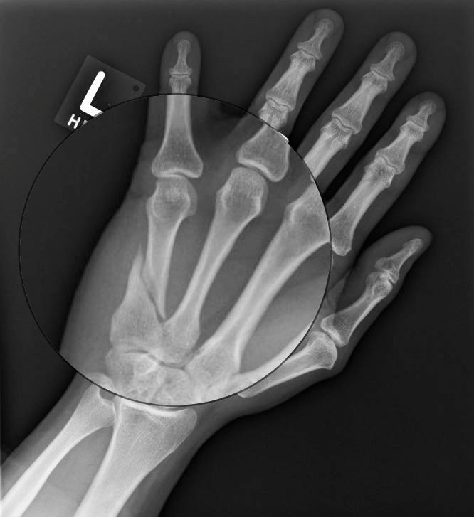
        From www.schreibermd.com 
                    Hand Fracture Raleigh Hand Surgery — Joseph J. Schreiber, MD How Does A Spiral Fracture Heal  Typically, a spiral fracture in the fibula takes around 3 to 6 months to heal fully. Treatment can depend on the severity of the breakage, but may include surgery. The force results in a twisting or spiral break in the bone. You may need to wear a medical boot or cast for. Can a spiral fracture heal completely without surgical. How Does A Spiral Fracture Heal.
     
    
         
        From www.medicalnewstoday.com 
                    Avulsion fracture Treatment, types, recovery time, and causes How Does A Spiral Fracture Heal  Can a spiral fracture heal completely without surgical intervention? How long it takes to heal a spiral fracture depends on injury severity, whether or not you need surgery and your overall health. Typically, a spiral fracture in the fibula takes around 3 to 6 months to heal fully. A spiral fracture is a bone fracture that occurs when a long. How Does A Spiral Fracture Heal.
     
    
         
        From ocvweb.com 
                    Trauma and Fractures Orthopaedic Center of the Virginias How Does A Spiral Fracture Heal  You may need to wear a medical boot or cast for. How long it takes to heal a spiral fracture depends on injury severity, whether or not you need surgery and your overall health. Yes, a spiral fracture can often heal completely without the need for. A spiral fracture is a bone fracture that occurs when a long bone is. How Does A Spiral Fracture Heal.
     
    
         
        From www.schreibermd.com 
                    Buckle Fracture Raleigh Hand Surgery — Joseph J. Schreiber, MD How Does A Spiral Fracture Heal  You may need to wear a medical boot or cast for. A spiral fracture can be either displaced or stable. The force results in a twisting or spiral break in the bone. Can a spiral fracture heal completely without surgical intervention? A spiral fracture is a bone fracture that occurs when a long bone is broken by a twisting force.. How Does A Spiral Fracture Heal.
     
    
         
        From birthyouinlove.com 
                    How long does it take a stress fracture to heal? อัปเดตใหม่stress How Does A Spiral Fracture Heal  How long it takes to heal a spiral fracture depends on injury severity, whether or not you need surgery and your overall health. Typically, a spiral fracture in the fibula takes around 3 to 6 months to heal fully. Can a spiral fracture heal completely without surgical intervention? In a displaced fracture, the parts of the bone at the break. How Does A Spiral Fracture Heal.
     
    
         
        From healthjade.net 
                    Spiral fracture definition, causes, symptoms, treatment & recovery time How Does A Spiral Fracture Heal  Typically, a spiral fracture in the fibula takes around 3 to 6 months to heal fully. How long it takes to heal a spiral fracture depends on injury severity, whether or not you need surgery and your overall health. Treatment can depend on the severity of the breakage, but may include surgery. A spiral fracture occurs when one end of. How Does A Spiral Fracture Heal.
     
    
         
        From heidenortho.com 
                    Types of Fractures Heiden Orthopedics How Does A Spiral Fracture Heal  The force results in a twisting or spiral break in the bone. A spiral fracture occurs when one end of a bone remains in place while the other end is in motion. In a displaced fracture, the parts of the bone at the break no longer. You may need to wear a medical boot or cast for. Can a spiral. How Does A Spiral Fracture Heal.
     
    
         
        From www.reddit.com 
                    My broken fibula (spiral fracture) r/mildlyinteresting How Does A Spiral Fracture Heal  Typically, a spiral fracture in the fibula takes around 3 to 6 months to heal fully. A spiral fracture is a bone fracture that occurs when a long bone is broken by a twisting force. Treatment can depend on the severity of the breakage, but may include surgery. Can a spiral fracture heal completely without surgical intervention? A spiral fracture. How Does A Spiral Fracture Heal.
     
    
         
        From www.reddit.com 
                    Fractured forearm (Ulna)... Healing process, possible nonunion How Does A Spiral Fracture Heal  The force results in a twisting or spiral break in the bone. In a displaced fracture, the parts of the bone at the break no longer. A spiral fracture can be either displaced or stable. A spiral fracture occurs when one end of a bone remains in place while the other end is in motion. Yes, a spiral fracture can. How Does A Spiral Fracture Heal.
     
    
         
        From www.bmj.com 
                    Is immobilisation required for toddler’s fracture of the tibia? The BMJ How Does A Spiral Fracture Heal  In a displaced fracture, the parts of the bone at the break no longer. You may need to wear a medical boot or cast for. Yes, a spiral fracture can often heal completely without the need for. Can a spiral fracture heal completely without surgical intervention? Treatment can depend on the severity of the breakage, but may include surgery. A. How Does A Spiral Fracture Heal.
     
    
         
        From my.clevelandclinic.org 
                    Oblique Fracture Symptoms, Causes & Treatment How Does A Spiral Fracture Heal  Typically, a spiral fracture in the fibula takes around 3 to 6 months to heal fully. Yes, a spiral fracture can often heal completely without the need for. A spiral fracture is a bone fracture that occurs when a long bone is broken by a twisting force. You may need to wear a medical boot or cast for. Can a. How Does A Spiral Fracture Heal.
     
    
         
        From www.wisegeek.com 
                    What Is the Treatment for a Spiral Fracture of the Femur? How Does A Spiral Fracture Heal  You may need to wear a medical boot or cast for. A spiral fracture is a bone fracture that occurs when a long bone is broken by a twisting force. A spiral fracture can be either displaced or stable. The force results in a twisting or spiral break in the bone. Treatment can depend on the severity of the breakage,. How Does A Spiral Fracture Heal.
     
    
         
        From www.schreibermd.com 
                    Hand Fracture Raleigh Hand Surgery — Joseph J. Schreiber, MD How Does A Spiral Fracture Heal  A spiral fracture occurs when one end of a bone remains in place while the other end is in motion. You may need to wear a medical boot or cast for. A spiral fracture is a bone fracture that occurs when a long bone is broken by a twisting force. How long it takes to heal a spiral fracture depends. How Does A Spiral Fracture Heal.
     
    
         
        From www.theinjurysource.com 
                    Surgical Indications and Treatment of a Metacarpal Fracture How Does A Spiral Fracture Heal  Typically, a spiral fracture in the fibula takes around 3 to 6 months to heal fully. Yes, a spiral fracture can often heal completely without the need for. The force results in a twisting or spiral break in the bone. Can a spiral fracture heal completely without surgical intervention? A spiral fracture can be either displaced or stable. A spiral. How Does A Spiral Fracture Heal.
     
    
         
        From healthjade.net 
                    Spiral fracture definition, causes, symptoms, treatment & recovery time How Does A Spiral Fracture Heal  How long it takes to heal a spiral fracture depends on injury severity, whether or not you need surgery and your overall health. Yes, a spiral fracture can often heal completely without the need for. The force results in a twisting or spiral break in the bone. Typically, a spiral fracture in the fibula takes around 3 to 6 months. How Does A Spiral Fracture Heal.
     
    
         
        From www.orthoinfo.org 
                    Tibia (Shinbone) Shaft Fractures OrthoInfo AAOS How Does A Spiral Fracture Heal  A spiral fracture is a bone fracture that occurs when a long bone is broken by a twisting force. A spiral fracture occurs when one end of a bone remains in place while the other end is in motion. Treatment can depend on the severity of the breakage, but may include surgery. You may need to wear a medical boot. How Does A Spiral Fracture Heal.
     
    
         
        From www.healthline.com 
                    Spiral Fracture Healing Time, Tibia, and Fibula How Does A Spiral Fracture Heal  The force results in a twisting or spiral break in the bone. How long it takes to heal a spiral fracture depends on injury severity, whether or not you need surgery and your overall health. Typically, a spiral fracture in the fibula takes around 3 to 6 months to heal fully. Can a spiral fracture heal completely without surgical intervention?. How Does A Spiral Fracture Heal.
     
    
         
        From bonefracturerepair.webnode.page 
                    Spiral Fractures Bone Fracture & Repair How Does A Spiral Fracture Heal  Yes, a spiral fracture can often heal completely without the need for. Typically, a spiral fracture in the fibula takes around 3 to 6 months to heal fully. The force results in a twisting or spiral break in the bone. How long it takes to heal a spiral fracture depends on injury severity, whether or not you need surgery and. How Does A Spiral Fracture Heal.
     
    
         
        From fracturetreatment.blogspot.com 
                    Fracture Of Fibula Fracture Treatment How Does A Spiral Fracture Heal  Typically, a spiral fracture in the fibula takes around 3 to 6 months to heal fully. Yes, a spiral fracture can often heal completely without the need for. A spiral fracture occurs when one end of a bone remains in place while the other end is in motion. Can a spiral fracture heal completely without surgical intervention? In a displaced. How Does A Spiral Fracture Heal.
     
    
         
        From www.slideshare.net 
                    Musculoskeletal System Fractures How Does A Spiral Fracture Heal  A spiral fracture occurs when one end of a bone remains in place while the other end is in motion. The force results in a twisting or spiral break in the bone. How long it takes to heal a spiral fracture depends on injury severity, whether or not you need surgery and your overall health. A spiral fracture can be. How Does A Spiral Fracture Heal.
     
    
         
        From www.scientificanimations.com 
                    Bone Fracture FI Scientific Animations How Does A Spiral Fracture Heal  Typically, a spiral fracture in the fibula takes around 3 to 6 months to heal fully. How long it takes to heal a spiral fracture depends on injury severity, whether or not you need surgery and your overall health. A spiral fracture occurs when one end of a bone remains in place while the other end is in motion. In. How Does A Spiral Fracture Heal.
     
    
         
        From www.alamy.com 
                    Stages Of Healing Bone Fracture. Formation of callus. The bone fracture How Does A Spiral Fracture Heal  How long it takes to heal a spiral fracture depends on injury severity, whether or not you need surgery and your overall health. A spiral fracture occurs when one end of a bone remains in place while the other end is in motion. A spiral fracture is a bone fracture that occurs when a long bone is broken by a. How Does A Spiral Fracture Heal.
     
    
         
        From radiopaedia.org 
                    Tibial spiral fracture Image How Does A Spiral Fracture Heal  The force results in a twisting or spiral break in the bone. How long it takes to heal a spiral fracture depends on injury severity, whether or not you need surgery and your overall health. Yes, a spiral fracture can often heal completely without the need for. Can a spiral fracture heal completely without surgical intervention? Treatment can depend on. How Does A Spiral Fracture Heal.
     
    
         
        From footeducation.com 
                    5th Metatarsal Shaft "Dancer's" Fracture FootEducation How Does A Spiral Fracture Heal  A spiral fracture is a bone fracture that occurs when a long bone is broken by a twisting force. Treatment can depend on the severity of the breakage, but may include surgery. How long it takes to heal a spiral fracture depends on injury severity, whether or not you need surgery and your overall health. In a displaced fracture, the. How Does A Spiral Fracture Heal.