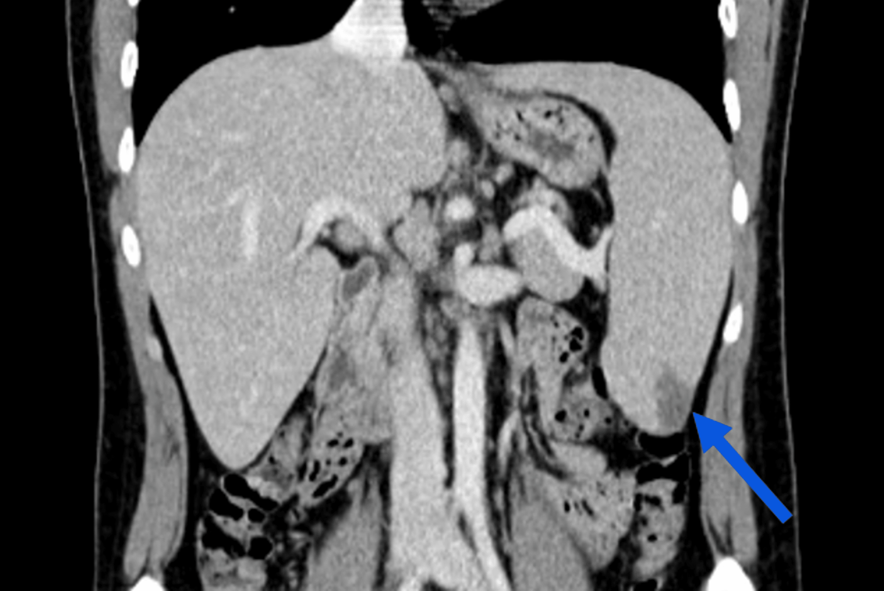
How Long Is Spleen Enlarged After Mono . Let’s dive into how mono spreads, how to identify it, and how to treat. On average, it lasts six weeks. Enlargement of the spleen — the spleen is an organ in the left upper abdomen, just under the diaphragm (figure 1). This might happen in a fall or from. Vigorous activity or contact sports must be avoided for the course of the. Even after symptoms go away, it may take a few additional weeks for the swelling in your spleen to go down, so you’re still at higher risk of rupturing it than usual. The incubation period refers to how long before your symptoms appear after being exposed to the virus. Enlarged spleen mononucleosis can cause swelling in the spleen, which can raise the risk of a rupture of the organ if too much pressure is applied. Depending on the severity of the illness, it’s possible that the person’s spleen may become enlarged.
from www.lybrate.com
The incubation period refers to how long before your symptoms appear after being exposed to the virus. Even after symptoms go away, it may take a few additional weeks for the swelling in your spleen to go down, so you’re still at higher risk of rupturing it than usual. This might happen in a fall or from. Enlargement of the spleen — the spleen is an organ in the left upper abdomen, just under the diaphragm (figure 1). On average, it lasts six weeks. Vigorous activity or contact sports must be avoided for the course of the. Depending on the severity of the illness, it’s possible that the person’s spleen may become enlarged. Enlarged spleen mononucleosis can cause swelling in the spleen, which can raise the risk of a rupture of the organ if too much pressure is applied. Let’s dive into how mono spreads, how to identify it, and how to treat.
Enlarged Spleen (Splenomegaly) Causes, Symptoms, Treatment and Cost
How Long Is Spleen Enlarged After Mono On average, it lasts six weeks. Vigorous activity or contact sports must be avoided for the course of the. Let’s dive into how mono spreads, how to identify it, and how to treat. Depending on the severity of the illness, it’s possible that the person’s spleen may become enlarged. Enlargement of the spleen — the spleen is an organ in the left upper abdomen, just under the diaphragm (figure 1). The incubation period refers to how long before your symptoms appear after being exposed to the virus. This might happen in a fall or from. Even after symptoms go away, it may take a few additional weeks for the swelling in your spleen to go down, so you’re still at higher risk of rupturing it than usual. On average, it lasts six weeks. Enlarged spleen mononucleosis can cause swelling in the spleen, which can raise the risk of a rupture of the organ if too much pressure is applied.
From draxe.com
Enlarged Spleen Symptoms, Warning Signs + 5 Treatments Dr. Axe How Long Is Spleen Enlarged After Mono This might happen in a fall or from. Enlarged spleen mononucleosis can cause swelling in the spleen, which can raise the risk of a rupture of the organ if too much pressure is applied. Enlargement of the spleen — the spleen is an organ in the left upper abdomen, just under the diaphragm (figure 1). Let’s dive into how mono. How Long Is Spleen Enlarged After Mono.
From ar.inspiredpencil.com
Mononucleosis How Long Is Spleen Enlarged After Mono On average, it lasts six weeks. Even after symptoms go away, it may take a few additional weeks for the swelling in your spleen to go down, so you’re still at higher risk of rupturing it than usual. Enlargement of the spleen — the spleen is an organ in the left upper abdomen, just under the diaphragm (figure 1). Let’s. How Long Is Spleen Enlarged After Mono.
From www.kaizenhospital.com
Spleen Diseases Best Gastroenterology Hospital in India How Long Is Spleen Enlarged After Mono Enlarged spleen mononucleosis can cause swelling in the spleen, which can raise the risk of a rupture of the organ if too much pressure is applied. Enlargement of the spleen — the spleen is an organ in the left upper abdomen, just under the diaphragm (figure 1). Even after symptoms go away, it may take a few additional weeks for. How Long Is Spleen Enlarged After Mono.
From bloomsies.com
SplenicFlexure Syndrome An Overview of Symptoms and Causes Bloomsies How Long Is Spleen Enlarged After Mono The incubation period refers to how long before your symptoms appear after being exposed to the virus. This might happen in a fall or from. Let’s dive into how mono spreads, how to identify it, and how to treat. On average, it lasts six weeks. Even after symptoms go away, it may take a few additional weeks for the swelling. How Long Is Spleen Enlarged After Mono.
From www.researchgate.net
(PDF) Infectious mononucleosis, ruptured spleen and Cullen's sign How Long Is Spleen Enlarged After Mono Even after symptoms go away, it may take a few additional weeks for the swelling in your spleen to go down, so you’re still at higher risk of rupturing it than usual. The incubation period refers to how long before your symptoms appear after being exposed to the virus. Enlargement of the spleen — the spleen is an organ in. How Long Is Spleen Enlarged After Mono.
From www.eurorad.org
CT diagnosis of spontaneous rupture of spleen as the initial How Long Is Spleen Enlarged After Mono Depending on the severity of the illness, it’s possible that the person’s spleen may become enlarged. On average, it lasts six weeks. Let’s dive into how mono spreads, how to identify it, and how to treat. Enlargement of the spleen — the spleen is an organ in the left upper abdomen, just under the diaphragm (figure 1). The incubation period. How Long Is Spleen Enlarged After Mono.
From www.animalia-life.club
Normal And Enlarged Spleen How Long Is Spleen Enlarged After Mono Depending on the severity of the illness, it’s possible that the person’s spleen may become enlarged. Enlargement of the spleen — the spleen is an organ in the left upper abdomen, just under the diaphragm (figure 1). On average, it lasts six weeks. Even after symptoms go away, it may take a few additional weeks for the swelling in your. How Long Is Spleen Enlarged After Mono.
From www.lybrate.com
Spleen (Human Anatomy) Picture, Function, Diseases and More How Long Is Spleen Enlarged After Mono The incubation period refers to how long before your symptoms appear after being exposed to the virus. This might happen in a fall or from. Enlargement of the spleen — the spleen is an organ in the left upper abdomen, just under the diaphragm (figure 1). On average, it lasts six weeks. Enlarged spleen mononucleosis can cause swelling in the. How Long Is Spleen Enlarged After Mono.
From alilamedicalimages.photoshelter.com
Infectious Mononucleosis Alila Medical Images How Long Is Spleen Enlarged After Mono On average, it lasts six weeks. Even after symptoms go away, it may take a few additional weeks for the swelling in your spleen to go down, so you’re still at higher risk of rupturing it than usual. The incubation period refers to how long before your symptoms appear after being exposed to the virus. Enlargement of the spleen —. How Long Is Spleen Enlarged After Mono.
From stock.adobe.com
Symptoms of Infectious Mononucleosis disease. Diagram for diagnose How Long Is Spleen Enlarged After Mono Enlargement of the spleen — the spleen is an organ in the left upper abdomen, just under the diaphragm (figure 1). The incubation period refers to how long before your symptoms appear after being exposed to the virus. Vigorous activity or contact sports must be avoided for the course of the. Let’s dive into how mono spreads, how to identify. How Long Is Spleen Enlarged After Mono.
From www.theemilymorrow.com
The Spleen Roles, Signs of Dysfunction & Support How Long Is Spleen Enlarged After Mono Depending on the severity of the illness, it’s possible that the person’s spleen may become enlarged. Enlargement of the spleen — the spleen is an organ in the left upper abdomen, just under the diaphragm (figure 1). Even after symptoms go away, it may take a few additional weeks for the swelling in your spleen to go down, so you’re. How Long Is Spleen Enlarged After Mono.
From healthjade.net
Splenomegaly causes, symptoms, diagnosis & treatment How Long Is Spleen Enlarged After Mono On average, it lasts six weeks. Enlargement of the spleen — the spleen is an organ in the left upper abdomen, just under the diaphragm (figure 1). The incubation period refers to how long before your symptoms appear after being exposed to the virus. This might happen in a fall or from. Depending on the severity of the illness, it’s. How Long Is Spleen Enlarged After Mono.
From ezra.com
Causes of an Enlarged Spleen Mononucleosis and Beyond Ezra How Long Is Spleen Enlarged After Mono Enlarged spleen mononucleosis can cause swelling in the spleen, which can raise the risk of a rupture of the organ if too much pressure is applied. Enlargement of the spleen — the spleen is an organ in the left upper abdomen, just under the diaphragm (figure 1). Let’s dive into how mono spreads, how to identify it, and how to. How Long Is Spleen Enlarged After Mono.
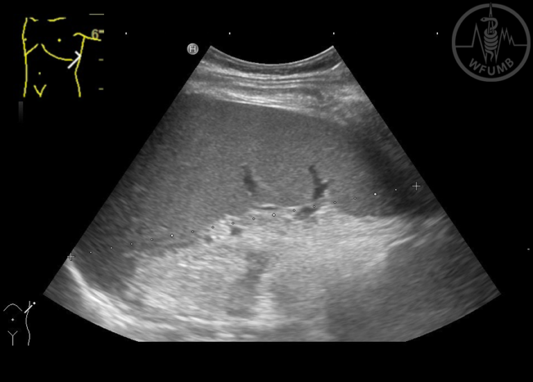
From wfumb.info
Spleen and Lymph Nodes Chapter 16 Media Library WFUMB How Long Is Spleen Enlarged After Mono Even after symptoms go away, it may take a few additional weeks for the swelling in your spleen to go down, so you’re still at higher risk of rupturing it than usual. The incubation period refers to how long before your symptoms appear after being exposed to the virus. This might happen in a fall or from. Vigorous activity or. How Long Is Spleen Enlarged After Mono.
From www.animalia-life.club
Normal And Enlarged Spleen How Long Is Spleen Enlarged After Mono On average, it lasts six weeks. Enlarged spleen mononucleosis can cause swelling in the spleen, which can raise the risk of a rupture of the organ if too much pressure is applied. The incubation period refers to how long before your symptoms appear after being exposed to the virus. Vigorous activity or contact sports must be avoided for the course. How Long Is Spleen Enlarged After Mono.
From pixels.com
Enlarged Spleen Photograph by Dr P. Marazzi/science Photo Library How Long Is Spleen Enlarged After Mono This might happen in a fall or from. The incubation period refers to how long before your symptoms appear after being exposed to the virus. Vigorous activity or contact sports must be avoided for the course of the. Enlargement of the spleen — the spleen is an organ in the left upper abdomen, just under the diaphragm (figure 1). Let’s. How Long Is Spleen Enlarged After Mono.
From www.youtube.com
Spleen pain, Spleen enlargement and Spleen rupture. Causes and How Long Is Spleen Enlarged After Mono This might happen in a fall or from. Let’s dive into how mono spreads, how to identify it, and how to treat. Enlarged spleen mononucleosis can cause swelling in the spleen, which can raise the risk of a rupture of the organ if too much pressure is applied. Even after symptoms go away, it may take a few additional weeks. How Long Is Spleen Enlarged After Mono.
From www.animalia-life.club
Normal And Enlarged Spleen How Long Is Spleen Enlarged After Mono Let’s dive into how mono spreads, how to identify it, and how to treat. Vigorous activity or contact sports must be avoided for the course of the. Enlargement of the spleen — the spleen is an organ in the left upper abdomen, just under the diaphragm (figure 1). The incubation period refers to how long before your symptoms appear after. How Long Is Spleen Enlarged After Mono.
From www.animalia-life.club
Normal And Enlarged Spleen How Long Is Spleen Enlarged After Mono Depending on the severity of the illness, it’s possible that the person’s spleen may become enlarged. Even after symptoms go away, it may take a few additional weeks for the swelling in your spleen to go down, so you’re still at higher risk of rupturing it than usual. Enlargement of the spleen — the spleen is an organ in the. How Long Is Spleen Enlarged After Mono.
From www.sciencephoto.com
Enlarged spleen, ultrasound scan Stock Image M260/0259 Science How Long Is Spleen Enlarged After Mono Let’s dive into how mono spreads, how to identify it, and how to treat. On average, it lasts six weeks. The incubation period refers to how long before your symptoms appear after being exposed to the virus. Depending on the severity of the illness, it’s possible that the person’s spleen may become enlarged. Even after symptoms go away, it may. How Long Is Spleen Enlarged After Mono.
From www.osmosis.org
Ruptured Spleen What Is It, Causes, Symptoms, Treatment, and More How Long Is Spleen Enlarged After Mono Enlarged spleen mononucleosis can cause swelling in the spleen, which can raise the risk of a rupture of the organ if too much pressure is applied. This might happen in a fall or from. Vigorous activity or contact sports must be avoided for the course of the. Even after symptoms go away, it may take a few additional weeks for. How Long Is Spleen Enlarged After Mono.
From www.lybrate.com
Enlarged Spleen (Splenomegaly) Causes, Symptoms, Treatment and Cost How Long Is Spleen Enlarged After Mono Even after symptoms go away, it may take a few additional weeks for the swelling in your spleen to go down, so you’re still at higher risk of rupturing it than usual. On average, it lasts six weeks. Enlarged spleen mononucleosis can cause swelling in the spleen, which can raise the risk of a rupture of the organ if too. How Long Is Spleen Enlarged After Mono.
From draxe.com
Enlarged Spleen Symptoms, Warning Signs + 5 Treatments Dr. Axe How Long Is Spleen Enlarged After Mono The incubation period refers to how long before your symptoms appear after being exposed to the virus. Even after symptoms go away, it may take a few additional weeks for the swelling in your spleen to go down, so you’re still at higher risk of rupturing it than usual. Enlargement of the spleen — the spleen is an organ in. How Long Is Spleen Enlarged After Mono.
From healthool.com
Enlarged Spleen Symptoms, Pictures, Causes, Treatment (2018 Updated) How Long Is Spleen Enlarged After Mono Even after symptoms go away, it may take a few additional weeks for the swelling in your spleen to go down, so you’re still at higher risk of rupturing it than usual. The incubation period refers to how long before your symptoms appear after being exposed to the virus. This might happen in a fall or from. Enlargement of the. How Long Is Spleen Enlarged After Mono.
From www.cureus.com
Splenic Infarction A Rare Complication of Infectious Mononucleosis How Long Is Spleen Enlarged After Mono On average, it lasts six weeks. Even after symptoms go away, it may take a few additional weeks for the swelling in your spleen to go down, so you’re still at higher risk of rupturing it than usual. The incubation period refers to how long before your symptoms appear after being exposed to the virus. Let’s dive into how mono. How Long Is Spleen Enlarged After Mono.
From www.dreamstime.com
Splenomegaly or Enlarged Spleen Stock Vector Illustration of How Long Is Spleen Enlarged After Mono Enlargement of the spleen — the spleen is an organ in the left upper abdomen, just under the diaphragm (figure 1). Enlarged spleen mononucleosis can cause swelling in the spleen, which can raise the risk of a rupture of the organ if too much pressure is applied. The incubation period refers to how long before your symptoms appear after being. How Long Is Spleen Enlarged After Mono.
From discover.hubpages.com
Low Platelet Count My Blood Stopped Clotting. HubPages How Long Is Spleen Enlarged After Mono Enlarged spleen mononucleosis can cause swelling in the spleen, which can raise the risk of a rupture of the organ if too much pressure is applied. The incubation period refers to how long before your symptoms appear after being exposed to the virus. Even after symptoms go away, it may take a few additional weeks for the swelling in your. How Long Is Spleen Enlarged After Mono.
From www.youtube.com
Spleen Ultrasound Normal Vs Abnormal Image Appearances Comparison How Long Is Spleen Enlarged After Mono Let’s dive into how mono spreads, how to identify it, and how to treat. Even after symptoms go away, it may take a few additional weeks for the swelling in your spleen to go down, so you’re still at higher risk of rupturing it than usual. The incubation period refers to how long before your symptoms appear after being exposed. How Long Is Spleen Enlarged After Mono.
From facty.com
10 Things to Know About an Enlarged Spleen Facty Health How Long Is Spleen Enlarged After Mono Enlargement of the spleen — the spleen is an organ in the left upper abdomen, just under the diaphragm (figure 1). Depending on the severity of the illness, it’s possible that the person’s spleen may become enlarged. Enlarged spleen mononucleosis can cause swelling in the spleen, which can raise the risk of a rupture of the organ if too much. How Long Is Spleen Enlarged After Mono.
From www.researchgate.net
(PDF) Infectious mononucleosis, ruptured spleen and Cullen's sign. How Long Is Spleen Enlarged After Mono On average, it lasts six weeks. Even after symptoms go away, it may take a few additional weeks for the swelling in your spleen to go down, so you’re still at higher risk of rupturing it than usual. Vigorous activity or contact sports must be avoided for the course of the. The incubation period refers to how long before your. How Long Is Spleen Enlarged After Mono.
From edeblog.com
Infectious Mononucleosis? Measure that spleen! EDE Blog How Long Is Spleen Enlarged After Mono On average, it lasts six weeks. Depending on the severity of the illness, it’s possible that the person’s spleen may become enlarged. Vigorous activity or contact sports must be avoided for the course of the. Enlargement of the spleen — the spleen is an organ in the left upper abdomen, just under the diaphragm (figure 1). This might happen in. How Long Is Spleen Enlarged After Mono.
From www.alamy.com
Enlarged spleen hires stock photography and images Alamy How Long Is Spleen Enlarged After Mono On average, it lasts six weeks. The incubation period refers to how long before your symptoms appear after being exposed to the virus. Depending on the severity of the illness, it’s possible that the person’s spleen may become enlarged. Vigorous activity or contact sports must be avoided for the course of the. Even after symptoms go away, it may take. How Long Is Spleen Enlarged After Mono.
From www.animalia-life.club
Normal And Enlarged Spleen How Long Is Spleen Enlarged After Mono Enlargement of the spleen — the spleen is an organ in the left upper abdomen, just under the diaphragm (figure 1). On average, it lasts six weeks. The incubation period refers to how long before your symptoms appear after being exposed to the virus. Depending on the severity of the illness, it’s possible that the person’s spleen may become enlarged.. How Long Is Spleen Enlarged After Mono.
From www.agefotostock.com
sonograph of a enlarged spleen caused by mononucleosis glandular fever How Long Is Spleen Enlarged After Mono The incubation period refers to how long before your symptoms appear after being exposed to the virus. Enlarged spleen mononucleosis can cause swelling in the spleen, which can raise the risk of a rupture of the organ if too much pressure is applied. Depending on the severity of the illness, it’s possible that the person’s spleen may become enlarged. Let’s. How Long Is Spleen Enlarged After Mono.
From www.canjsurg.ca
Spontaneous splenic rupture in infectious mononucleosis treated by How Long Is Spleen Enlarged After Mono On average, it lasts six weeks. Let’s dive into how mono spreads, how to identify it, and how to treat. Vigorous activity or contact sports must be avoided for the course of the. The incubation period refers to how long before your symptoms appear after being exposed to the virus. Depending on the severity of the illness, it’s possible that. How Long Is Spleen Enlarged After Mono.