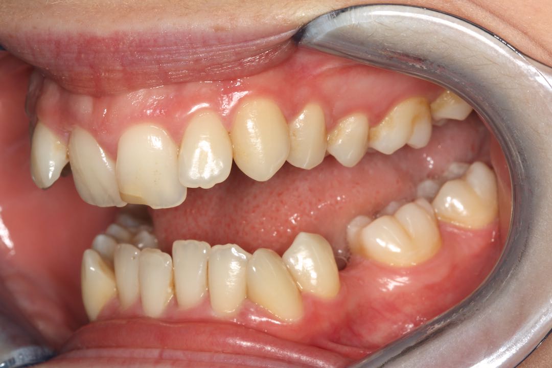
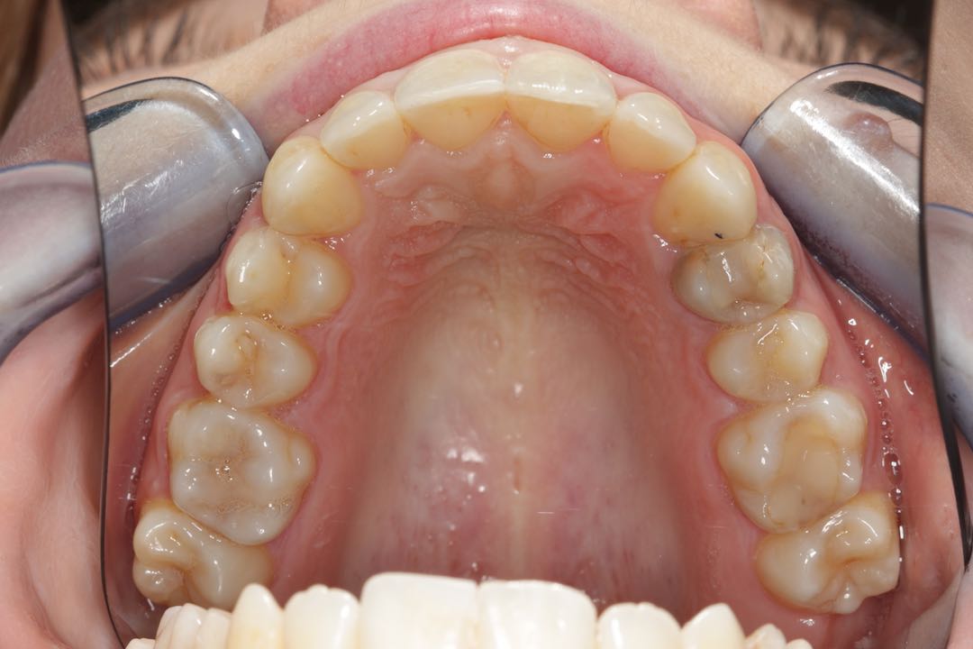
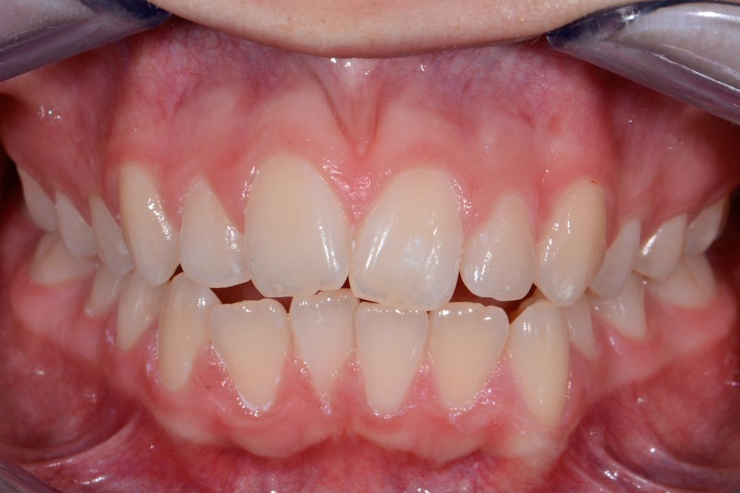
What Is I7 Invisalign . This innovative treatment functions in a very similar way to other invisalign treatments and uses a series of clear, removable aligners to straighten your teeth. With invisalign ® treatment, your invisalign ® trained doctor will take fast and precise 3d digital scans of your teeth 1 using the itero™ element scanner,. The process works equally effectively for both adults and teens. Invisalign i7 is perfect for patients with minor orthodontic problems and imperfections like spacing, minor crowding or orthodontic relapse, which can. Invisalign i7 is a great treatment option for minor orthodontic issues including minor crowding, spacing or orthodontic relapse. It is a discreet and comfortable alternative to traditional. One of the newest and fastest additions to the invisalign family, invisalign i7 uses only seven transparent aligners to revert teeth. Invisalign i7 is a type of clear, aligned system that straightens minor misalignments of the teeth. Invisalign i7 these are the latest and most advanced form of invisalign aligners that takes the least amount of treatment time. This treatment form is mostly advised for patients who require minor dental corrections.
from www.hopkinsondental.co.uk
This innovative treatment functions in a very similar way to other invisalign treatments and uses a series of clear, removable aligners to straighten your teeth. Invisalign i7 is perfect for patients with minor orthodontic problems and imperfections like spacing, minor crowding or orthodontic relapse, which can. The process works equally effectively for both adults and teens. Invisalign i7 these are the latest and most advanced form of invisalign aligners that takes the least amount of treatment time. One of the newest and fastest additions to the invisalign family, invisalign i7 uses only seven transparent aligners to revert teeth. Invisalign i7 is a type of clear, aligned system that straightens minor misalignments of the teeth. With invisalign ® treatment, your invisalign ® trained doctor will take fast and precise 3d digital scans of your teeth 1 using the itero™ element scanner,. This treatment form is mostly advised for patients who require minor dental corrections. It is a discreet and comfortable alternative to traditional. Invisalign i7 is a great treatment option for minor orthodontic issues including minor crowding, spacing or orthodontic relapse.
Invisalign Lite and Invisalign i7 quick treatment orthodontic braces at
What Is I7 Invisalign With invisalign ® treatment, your invisalign ® trained doctor will take fast and precise 3d digital scans of your teeth 1 using the itero™ element scanner,. With invisalign ® treatment, your invisalign ® trained doctor will take fast and precise 3d digital scans of your teeth 1 using the itero™ element scanner,. Invisalign i7 is a type of clear, aligned system that straightens minor misalignments of the teeth. This innovative treatment functions in a very similar way to other invisalign treatments and uses a series of clear, removable aligners to straighten your teeth. It is a discreet and comfortable alternative to traditional. One of the newest and fastest additions to the invisalign family, invisalign i7 uses only seven transparent aligners to revert teeth. This treatment form is mostly advised for patients who require minor dental corrections. Invisalign i7 is a great treatment option for minor orthodontic issues including minor crowding, spacing or orthodontic relapse. Invisalign i7 is perfect for patients with minor orthodontic problems and imperfections like spacing, minor crowding or orthodontic relapse, which can. Invisalign i7 these are the latest and most advanced form of invisalign aligners that takes the least amount of treatment time. The process works equally effectively for both adults and teens.
From westmallingdental.co.uk
Invisalign i7 Lite West Malling Dental, Kent What Is I7 Invisalign This innovative treatment functions in a very similar way to other invisalign treatments and uses a series of clear, removable aligners to straighten your teeth. One of the newest and fastest additions to the invisalign family, invisalign i7 uses only seven transparent aligners to revert teeth. Invisalign i7 is perfect for patients with minor orthodontic problems and imperfections like spacing,. What Is I7 Invisalign.
From www.pearldentalclinic.co.uk
Invisalign Express or Invisalign i7 for £1795 & 0 Finance London What Is I7 Invisalign The process works equally effectively for both adults and teens. Invisalign i7 is perfect for patients with minor orthodontic problems and imperfections like spacing, minor crowding or orthodontic relapse, which can. Invisalign i7 these are the latest and most advanced form of invisalign aligners that takes the least amount of treatment time. It is a discreet and comfortable alternative to. What Is I7 Invisalign.
From thesmilegallery.co.uk
Invisalign i7 in East Grinstead Straighter Smiles in 3 Months £34.85 PM What Is I7 Invisalign This innovative treatment functions in a very similar way to other invisalign treatments and uses a series of clear, removable aligners to straighten your teeth. One of the newest and fastest additions to the invisalign family, invisalign i7 uses only seven transparent aligners to revert teeth. It is a discreet and comfortable alternative to traditional. Invisalign i7 is perfect for. What Is I7 Invisalign.
From orthodonticsforyou.co.uk
Invisalign i7 A Guide to Clear Removable Orthodontics What Is I7 Invisalign Invisalign i7 is perfect for patients with minor orthodontic problems and imperfections like spacing, minor crowding or orthodontic relapse, which can. This treatment form is mostly advised for patients who require minor dental corrections. It is a discreet and comfortable alternative to traditional. The process works equally effectively for both adults and teens. With invisalign ® treatment, your invisalign ®. What Is I7 Invisalign.
From westmallingdental.co.uk
Invisalign i7 Lite West Malling Dental, Kent What Is I7 Invisalign One of the newest and fastest additions to the invisalign family, invisalign i7 uses only seven transparent aligners to revert teeth. Invisalign i7 is a type of clear, aligned system that straightens minor misalignments of the teeth. The process works equally effectively for both adults and teens. This treatment form is mostly advised for patients who require minor dental corrections.. What Is I7 Invisalign.
From www.dulwichorthodontics.co.uk
Invisalign i7 What Is I7 Invisalign This treatment form is mostly advised for patients who require minor dental corrections. Invisalign i7 is a type of clear, aligned system that straightens minor misalignments of the teeth. Invisalign i7 is a great treatment option for minor orthodontic issues including minor crowding, spacing or orthodontic relapse. It is a discreet and comfortable alternative to traditional. This innovative treatment functions. What Is I7 Invisalign.
From www.westmallingdental.co.uk
Invisalign i7 Lite West Malling Dental, Kent What Is I7 Invisalign One of the newest and fastest additions to the invisalign family, invisalign i7 uses only seven transparent aligners to revert teeth. Invisalign i7 these are the latest and most advanced form of invisalign aligners that takes the least amount of treatment time. Invisalign i7 is perfect for patients with minor orthodontic problems and imperfections like spacing, minor crowding or orthodontic. What Is I7 Invisalign.
From www.theparkbraceclinic.co.uk
Invisalign I7, Derby Results in 3 months Invisible Clear braces in What Is I7 Invisalign Invisalign i7 these are the latest and most advanced form of invisalign aligners that takes the least amount of treatment time. This innovative treatment functions in a very similar way to other invisalign treatments and uses a series of clear, removable aligners to straighten your teeth. The process works equally effectively for both adults and teens. One of the newest. What Is I7 Invisalign.
From www.travesiortodoncia.es
Invisalign i7 Qué es, ventajas y precio 【2024 】 Galería antes/después What Is I7 Invisalign Invisalign i7 is a great treatment option for minor orthodontic issues including minor crowding, spacing or orthodontic relapse. The process works equally effectively for both adults and teens. Invisalign i7 these are the latest and most advanced form of invisalign aligners that takes the least amount of treatment time. It is a discreet and comfortable alternative to traditional. Invisalign i7. What Is I7 Invisalign.
From westmallingdental.co.uk
Invisalign i7 Lite West Malling Dental, Kent What Is I7 Invisalign Invisalign i7 these are the latest and most advanced form of invisalign aligners that takes the least amount of treatment time. Invisalign i7 is a type of clear, aligned system that straightens minor misalignments of the teeth. This innovative treatment functions in a very similar way to other invisalign treatments and uses a series of clear, removable aligners to straighten. What Is I7 Invisalign.
From westmallingdental.co.uk
Invisalign i7 Lite West Malling Dental, Kent What Is I7 Invisalign Invisalign i7 is a great treatment option for minor orthodontic issues including minor crowding, spacing or orthodontic relapse. This treatment form is mostly advised for patients who require minor dental corrections. Invisalign i7 is perfect for patients with minor orthodontic problems and imperfections like spacing, minor crowding or orthodontic relapse, which can. Invisalign i7 is a type of clear, aligned. What Is I7 Invisalign.
From www.groupon.co.uk
Invisalign i7 Braces for One Arch Bright Smiles Dental Clinic Groupon What Is I7 Invisalign This treatment form is mostly advised for patients who require minor dental corrections. Invisalign i7 is perfect for patients with minor orthodontic problems and imperfections like spacing, minor crowding or orthodontic relapse, which can. This innovative treatment functions in a very similar way to other invisalign treatments and uses a series of clear, removable aligners to straighten your teeth. One. What Is I7 Invisalign.
From www.dulwichorthodontics.co.uk
Everything You Need to Know About Invisalign i7 What Is I7 Invisalign Invisalign i7 is a type of clear, aligned system that straightens minor misalignments of the teeth. Invisalign i7 these are the latest and most advanced form of invisalign aligners that takes the least amount of treatment time. One of the newest and fastest additions to the invisalign family, invisalign i7 uses only seven transparent aligners to revert teeth. With invisalign. What Is I7 Invisalign.
From www.hopkinsondental.co.uk
Invisalign Lite and Invisalign i7 quick treatment orthodontic braces at What Is I7 Invisalign Invisalign i7 is a great treatment option for minor orthodontic issues including minor crowding, spacing or orthodontic relapse. This treatment form is mostly advised for patients who require minor dental corrections. Invisalign i7 these are the latest and most advanced form of invisalign aligners that takes the least amount of treatment time. It is a discreet and comfortable alternative to. What Is I7 Invisalign.
From xn--82cypx0dwbc9l.com
INVISALIGN i7 INVISALIGN Center Bangkok Thailand by Thantakit What Is I7 Invisalign Invisalign i7 is a great treatment option for minor orthodontic issues including minor crowding, spacing or orthodontic relapse. This innovative treatment functions in a very similar way to other invisalign treatments and uses a series of clear, removable aligners to straighten your teeth. With invisalign ® treatment, your invisalign ® trained doctor will take fast and precise 3d digital scans. What Is I7 Invisalign.
From westmallingdental.co.uk
Invisalign i7 Lite West Malling Dental, Kent What Is I7 Invisalign Invisalign i7 these are the latest and most advanced form of invisalign aligners that takes the least amount of treatment time. The process works equally effectively for both adults and teens. Invisalign i7 is a great treatment option for minor orthodontic issues including minor crowding, spacing or orthodontic relapse. With invisalign ® treatment, your invisalign ® trained doctor will take. What Is I7 Invisalign.
From www.groupon.pl
Aparat ortodontyczny Invisalign i7 Stomatologia Przyszłości Groupon What Is I7 Invisalign Invisalign i7 is a type of clear, aligned system that straightens minor misalignments of the teeth. This treatment form is mostly advised for patients who require minor dental corrections. This innovative treatment functions in a very similar way to other invisalign treatments and uses a series of clear, removable aligners to straighten your teeth. One of the newest and fastest. What Is I7 Invisalign.
From www.theparkbraceclinic.co.uk
Invisalign I7, Derby Results in 3 months Invisible Clear braces in What Is I7 Invisalign It is a discreet and comfortable alternative to traditional. With invisalign ® treatment, your invisalign ® trained doctor will take fast and precise 3d digital scans of your teeth 1 using the itero™ element scanner,. One of the newest and fastest additions to the invisalign family, invisalign i7 uses only seven transparent aligners to revert teeth. Invisalign i7 is a. What Is I7 Invisalign.
From www.marshhousespecialistdentists.co.uk
Invisalign i7 Before and After What to Expect What Is I7 Invisalign Invisalign i7 these are the latest and most advanced form of invisalign aligners that takes the least amount of treatment time. This innovative treatment functions in a very similar way to other invisalign treatments and uses a series of clear, removable aligners to straighten your teeth. Invisalign i7 is a great treatment option for minor orthodontic issues including minor crowding,. What Is I7 Invisalign.
From thaibraces.com
What is Invisalign ThaiBraces What Is I7 Invisalign Invisalign i7 is perfect for patients with minor orthodontic problems and imperfections like spacing, minor crowding or orthodontic relapse, which can. It is a discreet and comfortable alternative to traditional. The process works equally effectively for both adults and teens. With invisalign ® treatment, your invisalign ® trained doctor will take fast and precise 3d digital scans of your teeth. What Is I7 Invisalign.
From www.theparkbraceclinic.co.uk
Invisalign I7, Derby Results in 3 months Invisible Clear braces in What Is I7 Invisalign Invisalign i7 is a great treatment option for minor orthodontic issues including minor crowding, spacing or orthodontic relapse. This innovative treatment functions in a very similar way to other invisalign treatments and uses a series of clear, removable aligners to straighten your teeth. This treatment form is mostly advised for patients who require minor dental corrections. With invisalign ® treatment,. What Is I7 Invisalign.
From www.sorridere.net
Invisalign i7 tratamento em três meses 【ツ】 Dentista Sorridere What Is I7 Invisalign The process works equally effectively for both adults and teens. Invisalign i7 is perfect for patients with minor orthodontic problems and imperfections like spacing, minor crowding or orthodontic relapse, which can. One of the newest and fastest additions to the invisalign family, invisalign i7 uses only seven transparent aligners to revert teeth. It is a discreet and comfortable alternative to. What Is I7 Invisalign.
From www.theparkbraceclinic.co.uk
Invisalign I7, Derby Results in 3 months Invisible Clear braces in What Is I7 Invisalign This innovative treatment functions in a very similar way to other invisalign treatments and uses a series of clear, removable aligners to straighten your teeth. It is a discreet and comfortable alternative to traditional. This treatment form is mostly advised for patients who require minor dental corrections. Invisalign i7 is a type of clear, aligned system that straightens minor misalignments. What Is I7 Invisalign.
From www.clinicadentalgrossdentistas.com
What is Invisalign? Get to know this invisible orthodontics What Is I7 Invisalign One of the newest and fastest additions to the invisalign family, invisalign i7 uses only seven transparent aligners to revert teeth. The process works equally effectively for both adults and teens. With invisalign ® treatment, your invisalign ® trained doctor will take fast and precise 3d digital scans of your teeth 1 using the itero™ element scanner,. Invisalign i7 these. What Is I7 Invisalign.
From westmallingdental.co.uk
Invisalign i7 Lite West Malling Dental, Kent What Is I7 Invisalign This treatment form is mostly advised for patients who require minor dental corrections. Invisalign i7 is perfect for patients with minor orthodontic problems and imperfections like spacing, minor crowding or orthodontic relapse, which can. Invisalign i7 these are the latest and most advanced form of invisalign aligners that takes the least amount of treatment time. One of the newest and. What Is I7 Invisalign.
From www.westmallingdental.co.uk
Invisalign i7 Lite West Malling Dental, Kent What Is I7 Invisalign This treatment form is mostly advised for patients who require minor dental corrections. It is a discreet and comfortable alternative to traditional. Invisalign i7 is perfect for patients with minor orthodontic problems and imperfections like spacing, minor crowding or orthodontic relapse, which can. Invisalign i7 these are the latest and most advanced form of invisalign aligners that takes the least. What Is I7 Invisalign.
From westmallingdental.co.uk
Invisalign i7 Lite West Malling Dental, Kent What Is I7 Invisalign It is a discreet and comfortable alternative to traditional. Invisalign i7 is a type of clear, aligned system that straightens minor misalignments of the teeth. The process works equally effectively for both adults and teens. Invisalign i7 these are the latest and most advanced form of invisalign aligners that takes the least amount of treatment time. With invisalign ® treatment,. What Is I7 Invisalign.
From westmallingdental.co.uk
Invisalign i7 Lite West Malling Dental, Kent What Is I7 Invisalign Invisalign i7 is a great treatment option for minor orthodontic issues including minor crowding, spacing or orthodontic relapse. One of the newest and fastest additions to the invisalign family, invisalign i7 uses only seven transparent aligners to revert teeth. Invisalign i7 these are the latest and most advanced form of invisalign aligners that takes the least amount of treatment time.. What Is I7 Invisalign.
From www.swordsortho.com
What is Invisalign i7? Invisalign Clear Braces Swords Dublin What Is I7 Invisalign Invisalign i7 is perfect for patients with minor orthodontic problems and imperfections like spacing, minor crowding or orthodontic relapse, which can. This innovative treatment functions in a very similar way to other invisalign treatments and uses a series of clear, removable aligners to straighten your teeth. It is a discreet and comfortable alternative to traditional. This treatment form is mostly. What Is I7 Invisalign.
From www.pearldentalclinic.co.uk
Invisalign Express or Invisalign i7 for £1795 & 0 Finance London What Is I7 Invisalign Invisalign i7 is a great treatment option for minor orthodontic issues including minor crowding, spacing or orthodontic relapse. This innovative treatment functions in a very similar way to other invisalign treatments and uses a series of clear, removable aligners to straighten your teeth. The process works equally effectively for both adults and teens. With invisalign ® treatment, your invisalign ®. What Is I7 Invisalign.
From birthyouinlove.com
จัด ฟัน invisalign 18 อันดับแรก What Is I7 Invisalign Invisalign i7 these are the latest and most advanced form of invisalign aligners that takes the least amount of treatment time. Invisalign i7 is a great treatment option for minor orthodontic issues including minor crowding, spacing or orthodontic relapse. The process works equally effectively for both adults and teens. With invisalign ® treatment, your invisalign ® trained doctor will take. What Is I7 Invisalign.
From westmallingdental.co.uk
Invisalign i7 Lite West Malling Dental, Kent What Is I7 Invisalign Invisalign i7 is a type of clear, aligned system that straightens minor misalignments of the teeth. This treatment form is mostly advised for patients who require minor dental corrections. With invisalign ® treatment, your invisalign ® trained doctor will take fast and precise 3d digital scans of your teeth 1 using the itero™ element scanner,. Invisalign i7 is perfect for. What Is I7 Invisalign.
From www.miodent.ro
Invisalign Solutia Ortodontica Moderna » Miodent Clinic What Is I7 Invisalign This innovative treatment functions in a very similar way to other invisalign treatments and uses a series of clear, removable aligners to straighten your teeth. This treatment form is mostly advised for patients who require minor dental corrections. It is a discreet and comfortable alternative to traditional. One of the newest and fastest additions to the invisalign family, invisalign i7. What Is I7 Invisalign.
From www.groupon.com.au
Invisalign i7 Aligners The Good Dentist Group Groupon What Is I7 Invisalign This treatment form is mostly advised for patients who require minor dental corrections. With invisalign ® treatment, your invisalign ® trained doctor will take fast and precise 3d digital scans of your teeth 1 using the itero™ element scanner,. One of the newest and fastest additions to the invisalign family, invisalign i7 uses only seven transparent aligners to revert teeth.. What Is I7 Invisalign.
From www.kingstonortho.co.uk
Invisalign i7 London Great Prices Kingston Orthodontics What Is I7 Invisalign Invisalign i7 these are the latest and most advanced form of invisalign aligners that takes the least amount of treatment time. With invisalign ® treatment, your invisalign ® trained doctor will take fast and precise 3d digital scans of your teeth 1 using the itero™ element scanner,. One of the newest and fastest additions to the invisalign family, invisalign i7. What Is I7 Invisalign.