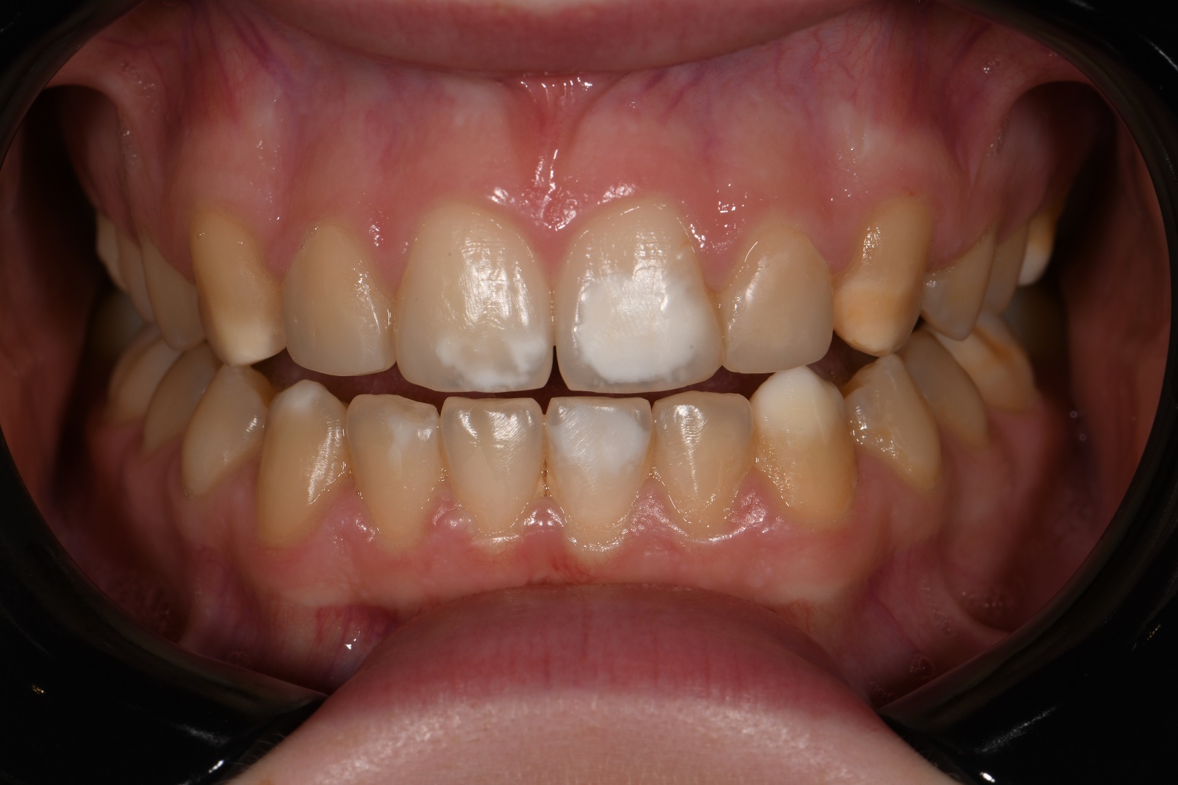
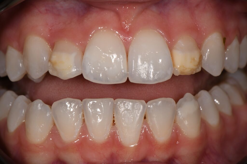
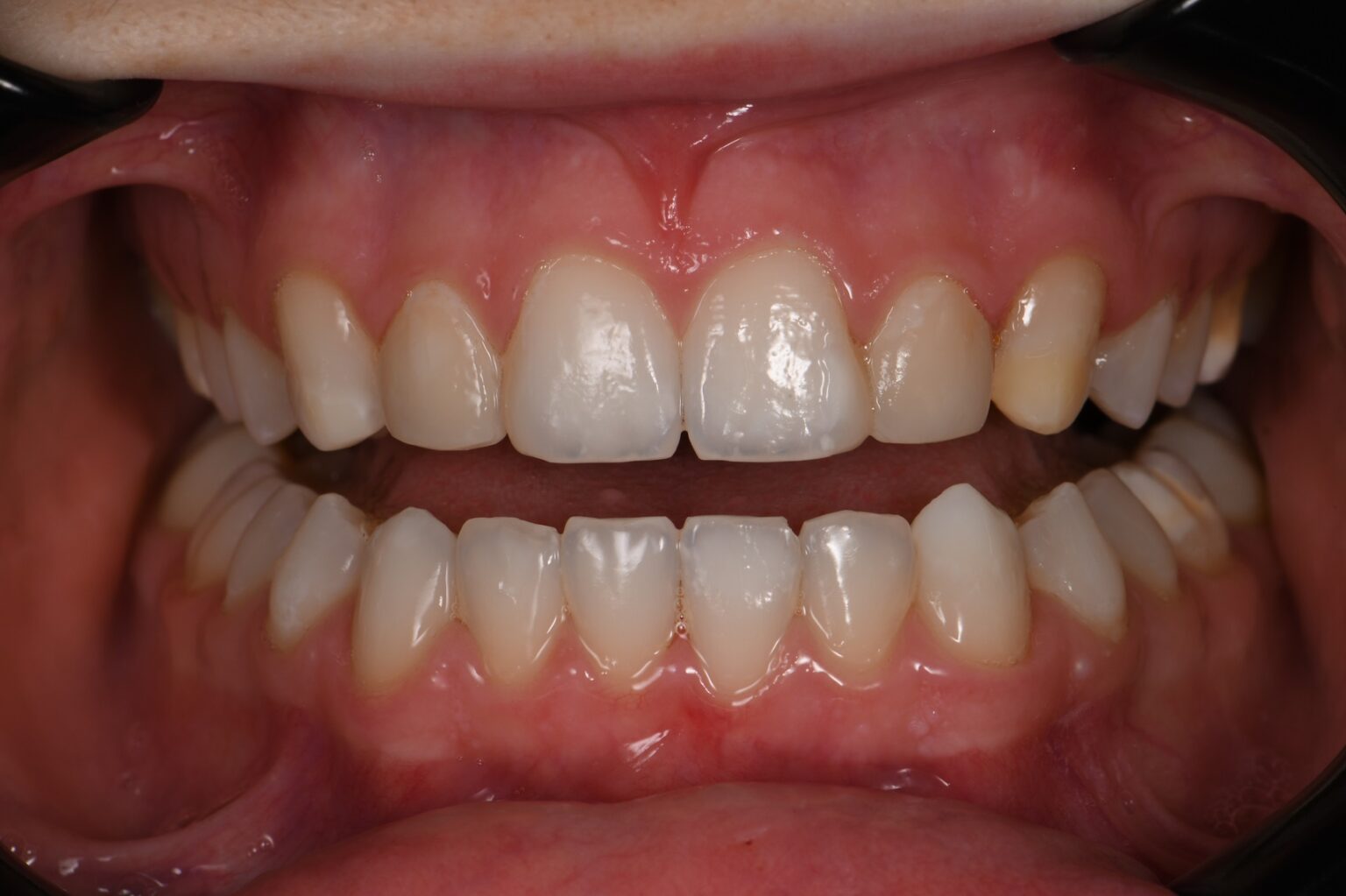
Resin Infiltration Dental Code . In recent years, a dramatic. If these lesions extend into the enamel surface and cause irregularities, additional. Icon, minimum intervention dentistry, resin infiltration, subsurface caries lesion. The official classification defines resin infiltration as: Dental code d2990, or resin infiltration of incipient smooth surface lesions, is a highly effective and minimally invasive procedure. This article will summarize the diagnosis of discolorations that may be treated with resin infiltration, the mechanism of action of the resin infiltration product, and a clinical protocol for the use of resin infiltration to treat an anterior tooth discoloration of developmental origin. The newly defined classification allows practices to accurately code and bill for icon® by dmg america, a resin infiltration. The american dental association (ada) has announced that resin infiltration of incipient smooth surface lesions is now. 4/5 (16) Aesthetic infiltration of white spots aims to completely mask the lesion with the icon infiltrants.
from mykidsdentistoakville.com
Aesthetic infiltration of white spots aims to completely mask the lesion with the icon infiltrants. Icon, minimum intervention dentistry, resin infiltration, subsurface caries lesion. Dental code d2990, or resin infiltration of incipient smooth surface lesions, is a highly effective and minimally invasive procedure. The american dental association (ada) has announced that resin infiltration of incipient smooth surface lesions is now. The official classification defines resin infiltration as: The newly defined classification allows practices to accurately code and bill for icon® by dmg america, a resin infiltration. If these lesions extend into the enamel surface and cause irregularities, additional. 4/5 (16) In recent years, a dramatic. This article will summarize the diagnosis of discolorations that may be treated with resin infiltration, the mechanism of action of the resin infiltration product, and a clinical protocol for the use of resin infiltration to treat an anterior tooth discoloration of developmental origin.
ICON Resin Infiltration
Resin Infiltration Dental Code Dental code d2990, or resin infiltration of incipient smooth surface lesions, is a highly effective and minimally invasive procedure. 4/5 (16) The official classification defines resin infiltration as: The american dental association (ada) has announced that resin infiltration of incipient smooth surface lesions is now. Icon, minimum intervention dentistry, resin infiltration, subsurface caries lesion. If these lesions extend into the enamel surface and cause irregularities, additional. Aesthetic infiltration of white spots aims to completely mask the lesion with the icon infiltrants. Dental code d2990, or resin infiltration of incipient smooth surface lesions, is a highly effective and minimally invasive procedure. The newly defined classification allows practices to accurately code and bill for icon® by dmg america, a resin infiltration. In recent years, a dramatic. This article will summarize the diagnosis of discolorations that may be treated with resin infiltration, the mechanism of action of the resin infiltration product, and a clinical protocol for the use of resin infiltration to treat an anterior tooth discoloration of developmental origin.
From www.clarencetam.co.nz
Resin Infiltration and Composite Layering Resin Infiltration Dental Code The newly defined classification allows practices to accurately code and bill for icon® by dmg america, a resin infiltration. This article will summarize the diagnosis of discolorations that may be treated with resin infiltration, the mechanism of action of the resin infiltration product, and a clinical protocol for the use of resin infiltration to treat an anterior tooth discoloration of. Resin Infiltration Dental Code.
From www.youtube.com
ICON Resin Infiltration step by step Microscopic Dentistry YouTube Resin Infiltration Dental Code The official classification defines resin infiltration as: In recent years, a dramatic. This article will summarize the diagnosis of discolorations that may be treated with resin infiltration, the mechanism of action of the resin infiltration product, and a clinical protocol for the use of resin infiltration to treat an anterior tooth discoloration of developmental origin. The newly defined classification allows. Resin Infiltration Dental Code.
From www.tooth-life.com
Understanding Icon Resin Infiltration A Comprehensive Guide Resin Infiltration Dental Code 4/5 (16) Dental code d2990, or resin infiltration of incipient smooth surface lesions, is a highly effective and minimally invasive procedure. Aesthetic infiltration of white spots aims to completely mask the lesion with the icon infiltrants. Icon, minimum intervention dentistry, resin infiltration, subsurface caries lesion. The newly defined classification allows practices to accurately code and bill for icon® by. Resin Infiltration Dental Code.
From www.drbestprice.com
🦷 Resin Infiltration for Incipient Smooth Surface Lesions Resin Infiltration Dental Code Aesthetic infiltration of white spots aims to completely mask the lesion with the icon infiltrants. Icon, minimum intervention dentistry, resin infiltration, subsurface caries lesion. The american dental association (ada) has announced that resin infiltration of incipient smooth surface lesions is now. Dental code d2990, or resin infiltration of incipient smooth surface lesions, is a highly effective and minimally invasive procedure.. Resin Infiltration Dental Code.
From www.dental-update.co.uk
Dental Update An overview of the resininfiltration technique Resin Infiltration Dental Code In recent years, a dramatic. Dental code d2990, or resin infiltration of incipient smooth surface lesions, is a highly effective and minimally invasive procedure. The american dental association (ada) has announced that resin infiltration of incipient smooth surface lesions is now. Aesthetic infiltration of white spots aims to completely mask the lesion with the icon infiltrants. This article will summarize. Resin Infiltration Dental Code.
From www.toothtownpd.com
Woodstock Resin Infiltration Tooth Town Pediatric Dentistry Resin Infiltration Dental Code Icon, minimum intervention dentistry, resin infiltration, subsurface caries lesion. The american dental association (ada) has announced that resin infiltration of incipient smooth surface lesions is now. In recent years, a dramatic. The official classification defines resin infiltration as: Aesthetic infiltration of white spots aims to completely mask the lesion with the icon infiltrants. If these lesions extend into the enamel. Resin Infiltration Dental Code.
From www.atlasdental.ca
Icon Resin Infiltration Atlas Dental Resin Infiltration Dental Code Dental code d2990, or resin infiltration of incipient smooth surface lesions, is a highly effective and minimally invasive procedure. In recent years, a dramatic. The american dental association (ada) has announced that resin infiltration of incipient smooth surface lesions is now. Icon, minimum intervention dentistry, resin infiltration, subsurface caries lesion. If these lesions extend into the enamel surface and cause. Resin Infiltration Dental Code.
From www.oralhealthgroup.com
Resin Infiltration as Treatment for an Anterior Tooth Discoloration of Resin Infiltration Dental Code Icon, minimum intervention dentistry, resin infiltration, subsurface caries lesion. This article will summarize the diagnosis of discolorations that may be treated with resin infiltration, the mechanism of action of the resin infiltration product, and a clinical protocol for the use of resin infiltration to treat an anterior tooth discoloration of developmental origin. Dental code d2990, or resin infiltration of incipient. Resin Infiltration Dental Code.
From www.mercerchildrensdentistry.com
Icon Resin Infiltration (Icon) Dentist in Lawrenceville, NJ Resin Infiltration Dental Code Icon, minimum intervention dentistry, resin infiltration, subsurface caries lesion. Aesthetic infiltration of white spots aims to completely mask the lesion with the icon infiltrants. In recent years, a dramatic. If these lesions extend into the enamel surface and cause irregularities, additional. Dental code d2990, or resin infiltration of incipient smooth surface lesions, is a highly effective and minimally invasive procedure.. Resin Infiltration Dental Code.
From smiledentallounge.com
ICON Resin Infiltration The Smile Dental Lounge Dental Clinic Johor Resin Infiltration Dental Code If these lesions extend into the enamel surface and cause irregularities, additional. 4/5 (16) In recent years, a dramatic. Icon, minimum intervention dentistry, resin infiltration, subsurface caries lesion. The official classification defines resin infiltration as: The american dental association (ada) has announced that resin infiltration of incipient smooth surface lesions is now. The newly defined classification allows practices to. Resin Infiltration Dental Code.
From 123rpd.com
Riverside Pediatric Dentistry Dentist in Amesbury, MA Resin Infiltration Dental Code If these lesions extend into the enamel surface and cause irregularities, additional. This article will summarize the diagnosis of discolorations that may be treated with resin infiltration, the mechanism of action of the resin infiltration product, and a clinical protocol for the use of resin infiltration to treat an anterior tooth discoloration of developmental origin. 4/5 (16) In recent. Resin Infiltration Dental Code.
From www.tooth-life.com
Understanding Icon Resin Infiltration A Comprehensive Guide Resin Infiltration Dental Code Dental code d2990, or resin infiltration of incipient smooth surface lesions, is a highly effective and minimally invasive procedure. If these lesions extend into the enamel surface and cause irregularities, additional. In recent years, a dramatic. The newly defined classification allows practices to accurately code and bill for icon® by dmg america, a resin infiltration. The official classification defines resin. Resin Infiltration Dental Code.
From www.etxortho.com
ICON Resin Infiltration Mack & Hansen Orthodontics Longview TX Resin Infiltration Dental Code This article will summarize the diagnosis of discolorations that may be treated with resin infiltration, the mechanism of action of the resin infiltration product, and a clinical protocol for the use of resin infiltration to treat an anterior tooth discoloration of developmental origin. 4/5 (16) In recent years, a dramatic. If these lesions extend into the enamel surface and. Resin Infiltration Dental Code.
From mykidsdentistoakville.com
ICON Resin Infiltration Resin Infiltration Dental Code If these lesions extend into the enamel surface and cause irregularities, additional. Aesthetic infiltration of white spots aims to completely mask the lesion with the icon infiltrants. In recent years, a dramatic. The newly defined classification allows practices to accurately code and bill for icon® by dmg america, a resin infiltration. 4/5 (16) The official classification defines resin infiltration. Resin Infiltration Dental Code.
From www.clarencetam.co.nz
Resin Infiltration Incisor Hypomineralization Resin Infiltration Dental Code Dental code d2990, or resin infiltration of incipient smooth surface lesions, is a highly effective and minimally invasive procedure. Icon, minimum intervention dentistry, resin infiltration, subsurface caries lesion. The american dental association (ada) has announced that resin infiltration of incipient smooth surface lesions is now. 4/5 (16) The newly defined classification allows practices to accurately code and bill for. Resin Infiltration Dental Code.
From www.clarencetam.co.nz
Resin Infiltration and Composite Layering Resin Infiltration Dental Code The american dental association (ada) has announced that resin infiltration of incipient smooth surface lesions is now. The official classification defines resin infiltration as: The newly defined classification allows practices to accurately code and bill for icon® by dmg america, a resin infiltration. If these lesions extend into the enamel surface and cause irregularities, additional. In recent years, a dramatic.. Resin Infiltration Dental Code.
From dmg-connect.com
Resin Infiltration in the Treatment of MIH Lesions in Anterior Teeth in Resin Infiltration Dental Code If these lesions extend into the enamel surface and cause irregularities, additional. The newly defined classification allows practices to accurately code and bill for icon® by dmg america, a resin infiltration. 4/5 (16) The official classification defines resin infiltration as: Aesthetic infiltration of white spots aims to completely mask the lesion with the icon infiltrants. This article will summarize. Resin Infiltration Dental Code.
From www.clarencetam.co.nz
Resin Infiltration Protocol Results Tam Dental Group Ltd. Resin Infiltration Dental Code The official classification defines resin infiltration as: Dental code d2990, or resin infiltration of incipient smooth surface lesions, is a highly effective and minimally invasive procedure. The american dental association (ada) has announced that resin infiltration of incipient smooth surface lesions is now. In recent years, a dramatic. Icon, minimum intervention dentistry, resin infiltration, subsurface caries lesion. If these lesions. Resin Infiltration Dental Code.
From www.clarencetam.co.nz
Resin Infiltration Minimally Invasive Dentistry Resin Infiltration Dental Code This article will summarize the diagnosis of discolorations that may be treated with resin infiltration, the mechanism of action of the resin infiltration product, and a clinical protocol for the use of resin infiltration to treat an anterior tooth discoloration of developmental origin. 4/5 (16) The american dental association (ada) has announced that resin infiltration of incipient smooth surface. Resin Infiltration Dental Code.
From www.researchgate.net
Procedure of resin infiltration technique (A) Cleaning the surfaces of Resin Infiltration Dental Code In recent years, a dramatic. If these lesions extend into the enamel surface and cause irregularities, additional. Aesthetic infiltration of white spots aims to completely mask the lesion with the icon infiltrants. The official classification defines resin infiltration as: The american dental association (ada) has announced that resin infiltration of incipient smooth surface lesions is now. 4/5 (16) This. Resin Infiltration Dental Code.
From www.prweb.com
CPS Magazine Announces a CDT Code for Resin Infiltration that Gives Resin Infiltration Dental Code 4/5 (16) If these lesions extend into the enamel surface and cause irregularities, additional. The newly defined classification allows practices to accurately code and bill for icon® by dmg america, a resin infiltration. Dental code d2990, or resin infiltration of incipient smooth surface lesions, is a highly effective and minimally invasive procedure. The american dental association (ada) has announced. Resin Infiltration Dental Code.
From protrusive.co.uk
ICON Resin Infiltration Step by Step FULL PROTOCOL PDP140 Resin Infiltration Dental Code The newly defined classification allows practices to accurately code and bill for icon® by dmg america, a resin infiltration. Icon, minimum intervention dentistry, resin infiltration, subsurface caries lesion. In recent years, a dramatic. The american dental association (ada) has announced that resin infiltration of incipient smooth surface lesions is now. Aesthetic infiltration of white spots aims to completely mask the. Resin Infiltration Dental Code.
From www.clarencetam.co.nz
Resin Infiltration Minimally Invasive Dentistry Resin Infiltration Dental Code Icon, minimum intervention dentistry, resin infiltration, subsurface caries lesion. The american dental association (ada) has announced that resin infiltration of incipient smooth surface lesions is now. The newly defined classification allows practices to accurately code and bill for icon® by dmg america, a resin infiltration. Aesthetic infiltration of white spots aims to completely mask the lesion with the icon infiltrants.. Resin Infiltration Dental Code.
From www.youtube.com
Icon Resin Infiltration Minimally Invasive Dentistry Protocol White Resin Infiltration Dental Code Icon, minimum intervention dentistry, resin infiltration, subsurface caries lesion. This article will summarize the diagnosis of discolorations that may be treated with resin infiltration, the mechanism of action of the resin infiltration product, and a clinical protocol for the use of resin infiltration to treat an anterior tooth discoloration of developmental origin. Aesthetic infiltration of white spots aims to completely. Resin Infiltration Dental Code.
From www.toothtownpd.com
Woodstock Resin Infiltration Tooth Town Pediatric Dentistry Resin Infiltration Dental Code Dental code d2990, or resin infiltration of incipient smooth surface lesions, is a highly effective and minimally invasive procedure. The official classification defines resin infiltration as: Aesthetic infiltration of white spots aims to completely mask the lesion with the icon infiltrants. If these lesions extend into the enamel surface and cause irregularities, additional. Icon, minimum intervention dentistry, resin infiltration, subsurface. Resin Infiltration Dental Code.
From www.researchgate.net
Resin infiltration technique on teeth 54 and 55 ICDAS 4. A) initial Resin Infiltration Dental Code Dental code d2990, or resin infiltration of incipient smooth surface lesions, is a highly effective and minimally invasive procedure. The american dental association (ada) has announced that resin infiltration of incipient smooth surface lesions is now. Aesthetic infiltration of white spots aims to completely mask the lesion with the icon infiltrants. This article will summarize the diagnosis of discolorations that. Resin Infiltration Dental Code.
From www.clarencetam.co.nz
Resin infiltration and conservative composite layering Resin Infiltration Dental Code Icon, minimum intervention dentistry, resin infiltration, subsurface caries lesion. 4/5 (16) Dental code d2990, or resin infiltration of incipient smooth surface lesions, is a highly effective and minimally invasive procedure. If these lesions extend into the enamel surface and cause irregularities, additional. This article will summarize the diagnosis of discolorations that may be treated with resin infiltration, the mechanism. Resin Infiltration Dental Code.
From www.smiles-for-kids.com
New dental technology Icon resin infiltration — Smiles for Kids Resin Infiltration Dental Code The american dental association (ada) has announced that resin infiltration of incipient smooth surface lesions is now. This article will summarize the diagnosis of discolorations that may be treated with resin infiltration, the mechanism of action of the resin infiltration product, and a clinical protocol for the use of resin infiltration to treat an anterior tooth discoloration of developmental origin.. Resin Infiltration Dental Code.
From www.clarencetam.co.nz
Resin Infiltration and Composite Layering Resin Infiltration Dental Code Dental code d2990, or resin infiltration of incipient smooth surface lesions, is a highly effective and minimally invasive procedure. Aesthetic infiltration of white spots aims to completely mask the lesion with the icon infiltrants. This article will summarize the diagnosis of discolorations that may be treated with resin infiltration, the mechanism of action of the resin infiltration product, and a. Resin Infiltration Dental Code.
From www.majidiandental.com
ICON Resin Infiltration Majidian Dental Fargo, ND Resin Infiltration Dental Code Aesthetic infiltration of white spots aims to completely mask the lesion with the icon infiltrants. In recent years, a dramatic. Icon, minimum intervention dentistry, resin infiltration, subsurface caries lesion. 4/5 (16) Dental code d2990, or resin infiltration of incipient smooth surface lesions, is a highly effective and minimally invasive procedure. This article will summarize the diagnosis of discolorations that. Resin Infiltration Dental Code.
From www.toothtownpd.com
Woodstock Resin Infiltration Tooth Town Pediatric Dentistry Resin Infiltration Dental Code 4/5 (16) Dental code d2990, or resin infiltration of incipient smooth surface lesions, is a highly effective and minimally invasive procedure. Icon, minimum intervention dentistry, resin infiltration, subsurface caries lesion. The official classification defines resin infiltration as: In recent years, a dramatic. If these lesions extend into the enamel surface and cause irregularities, additional. The american dental association (ada). Resin Infiltration Dental Code.
From alrezfamilydentistry.com
How Does Resin Infiltration Work? l Alrez Family Dentistry Resin Infiltration Dental Code The official classification defines resin infiltration as: 4/5 (16) The newly defined classification allows practices to accurately code and bill for icon® by dmg america, a resin infiltration. Icon, minimum intervention dentistry, resin infiltration, subsurface caries lesion. This article will summarize the diagnosis of discolorations that may be treated with resin infiltration, the mechanism of action of the resin. Resin Infiltration Dental Code.
From issuu.com
Resin Infiltration of (Icon DMG) Post Orthodontic White Spot Lesions by Resin Infiltration Dental Code Aesthetic infiltration of white spots aims to completely mask the lesion with the icon infiltrants. 4/5 (16) If these lesions extend into the enamel surface and cause irregularities, additional. In recent years, a dramatic. Icon, minimum intervention dentistry, resin infiltration, subsurface caries lesion. Dental code d2990, or resin infiltration of incipient smooth surface lesions, is a highly effective and. Resin Infiltration Dental Code.
From www.semanticscholar.org
Figure 7 from Minimal intervention dentistry part 6. Caries inhibition Resin Infiltration Dental Code In recent years, a dramatic. This article will summarize the diagnosis of discolorations that may be treated with resin infiltration, the mechanism of action of the resin infiltration product, and a clinical protocol for the use of resin infiltration to treat an anterior tooth discoloration of developmental origin. Aesthetic infiltration of white spots aims to completely mask the lesion with. Resin Infiltration Dental Code.
From www.clarencetam.co.nz
Resin Infiltration Removes White Spots on Teeth Resin Infiltration Dental Code Aesthetic infiltration of white spots aims to completely mask the lesion with the icon infiltrants. In recent years, a dramatic. The american dental association (ada) has announced that resin infiltration of incipient smooth surface lesions is now. Icon, minimum intervention dentistry, resin infiltration, subsurface caries lesion. The newly defined classification allows practices to accurately code and bill for icon® by. Resin Infiltration Dental Code.