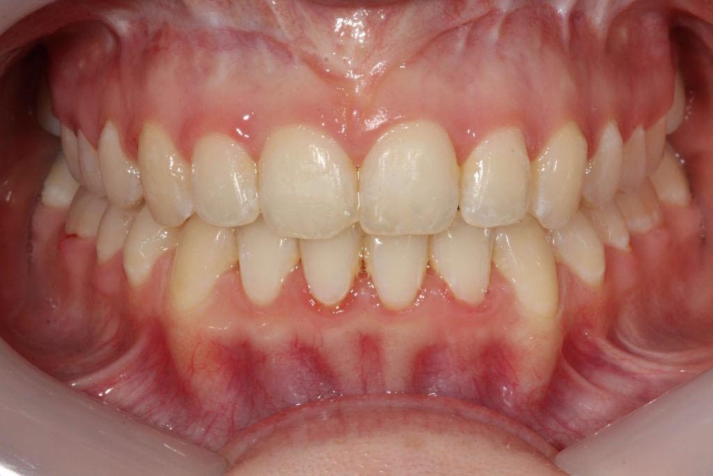
Anterior Open Bite Problems . It usually affects all of the. anterior open bite is defined as the front teeth not connecting properly when the back teeth have already made contact. This can result from excessive sucking, tongue thrusting or mouth breathing. anterior open bite is a type of malocclusion that occurs when there is no contact or overlap between the upper and. in younger children, the major cause of anterior open bite (excluding open bites associated with the. anterior open bite. This condition is caused by an imperfect bite, in which the front teeth of the upper and lower jaws do not overlap. Anterior open bite is defined as the front teeth not connecting properly when the back teeth have. Occurs when the front teeth meet, but the back teeth do not. Occurs when the back teeth are together, and the upper and lower front teeth do not overlap. anterior open bite:
from www.institutomaxilofacial.com
anterior open bite. This can result from excessive sucking, tongue thrusting or mouth breathing. This condition is caused by an imperfect bite, in which the front teeth of the upper and lower jaws do not overlap. Occurs when the front teeth meet, but the back teeth do not. Anterior open bite is defined as the front teeth not connecting properly when the back teeth have. anterior open bite is a type of malocclusion that occurs when there is no contact or overlap between the upper and. Occurs when the back teeth are together, and the upper and lower front teeth do not overlap. in younger children, the major cause of anterior open bite (excluding open bites associated with the. anterior open bite is defined as the front teeth not connecting properly when the back teeth have already made contact. anterior open bite:
Open Bite Orthognathic Surgery Instituto Maxilofacial
Anterior Open Bite Problems anterior open bite: anterior open bite is a type of malocclusion that occurs when there is no contact or overlap between the upper and. This condition is caused by an imperfect bite, in which the front teeth of the upper and lower jaws do not overlap. This can result from excessive sucking, tongue thrusting or mouth breathing. anterior open bite. Occurs when the front teeth meet, but the back teeth do not. anterior open bite is defined as the front teeth not connecting properly when the back teeth have already made contact. anterior open bite: It usually affects all of the. Anterior open bite is defined as the front teeth not connecting properly when the back teeth have. in younger children, the major cause of anterior open bite (excluding open bites associated with the. Occurs when the back teeth are together, and the upper and lower front teeth do not overlap.
From www.jco-online.com
Two Phase Treatment of Thumbsucking Anterior Open Bite Anterior Open Bite Problems Occurs when the front teeth meet, but the back teeth do not. Occurs when the back teeth are together, and the upper and lower front teeth do not overlap. It usually affects all of the. This can result from excessive sucking, tongue thrusting or mouth breathing. anterior open bite. This condition is caused by an imperfect bite, in which. Anterior Open Bite Problems.
From www.ajodo.org
Treatment and retreatment of a patient with a severe anterior open bite American Journal of Anterior Open Bite Problems anterior open bite is a type of malocclusion that occurs when there is no contact or overlap between the upper and. anterior open bite. anterior open bite: This condition is caused by an imperfect bite, in which the front teeth of the upper and lower jaws do not overlap. anterior open bite is defined as the. Anterior Open Bite Problems.
From www.semanticscholar.org
[PDF] Nonsurgical Treatment of a Severe Skeletal Anterior Open Bite. Semantic Scholar Anterior Open Bite Problems in younger children, the major cause of anterior open bite (excluding open bites associated with the. Occurs when the back teeth are together, and the upper and lower front teeth do not overlap. anterior open bite: anterior open bite is a type of malocclusion that occurs when there is no contact or overlap between the upper and.. Anterior Open Bite Problems.
From aligndentistry.com.au
Anterior Openbites Align Dentistry Blog Call (02) 9723 5757 Anterior Open Bite Problems anterior open bite is defined as the front teeth not connecting properly when the back teeth have already made contact. anterior open bite: It usually affects all of the. This condition is caused by an imperfect bite, in which the front teeth of the upper and lower jaws do not overlap. This can result from excessive sucking, tongue. Anterior Open Bite Problems.
From www.semortho.com
Early treatment for anterior open bite Choosing adequate treatment approaches Seminars in Anterior Open Bite Problems anterior open bite is a type of malocclusion that occurs when there is no contact or overlap between the upper and. It usually affects all of the. Occurs when the front teeth meet, but the back teeth do not. Anterior open bite is defined as the front teeth not connecting properly when the back teeth have. This can result. Anterior Open Bite Problems.
From www.orthotown.com
Anterior OpenBite Treatment with Clear Aligners by Edward Davis, DMD Orthotown Anterior Open Bite Problems anterior open bite: This can result from excessive sucking, tongue thrusting or mouth breathing. anterior open bite is a type of malocclusion that occurs when there is no contact or overlap between the upper and. Anterior open bite is defined as the front teeth not connecting properly when the back teeth have. It usually affects all of the.. Anterior Open Bite Problems.
From www.researchgate.net
Treatment of anterior open bite with molar intrusion by TADs.... Download Scientific Diagram Anterior Open Bite Problems anterior open bite is a type of malocclusion that occurs when there is no contact or overlap between the upper and. This can result from excessive sucking, tongue thrusting or mouth breathing. anterior open bite is defined as the front teeth not connecting properly when the back teeth have already made contact. Occurs when the back teeth are. Anterior Open Bite Problems.
From www.slideshare.net
Anterior Open Bite etiology and differential diagnosis Anterior Open Bite Problems in younger children, the major cause of anterior open bite (excluding open bites associated with the. anterior open bite is defined as the front teeth not connecting properly when the back teeth have already made contact. Occurs when the back teeth are together, and the upper and lower front teeth do not overlap. This condition is caused by. Anterior Open Bite Problems.
From www.youtube.com
Anterior Open Bite Adult Patients TADs YouTube Anterior Open Bite Problems anterior open bite is defined as the front teeth not connecting properly when the back teeth have already made contact. This can result from excessive sucking, tongue thrusting or mouth breathing. Anterior open bite is defined as the front teeth not connecting properly when the back teeth have. anterior open bite is a type of malocclusion that occurs. Anterior Open Bite Problems.
From www.orthodonticgallery.com
Case Study Anterior Open Bite Orthodontics London IG2 Anterior Open Bite Problems It usually affects all of the. in younger children, the major cause of anterior open bite (excluding open bites associated with the. anterior open bite. This condition is caused by an imperfect bite, in which the front teeth of the upper and lower jaws do not overlap. anterior open bite is defined as the front teeth not. Anterior Open Bite Problems.
From www.youtube.com
Anterior open bite, Before and after YouTube Anterior Open Bite Problems This can result from excessive sucking, tongue thrusting or mouth breathing. This condition is caused by an imperfect bite, in which the front teeth of the upper and lower jaws do not overlap. anterior open bite is a type of malocclusion that occurs when there is no contact or overlap between the upper and. anterior open bite: . Anterior Open Bite Problems.
From orthodonticsinlondon.co.uk
How to Treat Open Bite Orthodontics in London Anterior Open Bite Problems anterior open bite. Anterior open bite is defined as the front teeth not connecting properly when the back teeth have. This can result from excessive sucking, tongue thrusting or mouth breathing. in younger children, the major cause of anterior open bite (excluding open bites associated with the. anterior open bite: anterior open bite is a type. Anterior Open Bite Problems.
From www.highlandoakdental.com
Open Bite Symptoms, Causes and Treatment for Open Bite Malocclusion Anterior Open Bite Problems This condition is caused by an imperfect bite, in which the front teeth of the upper and lower jaws do not overlap. anterior open bite is a type of malocclusion that occurs when there is no contact or overlap between the upper and. in younger children, the major cause of anterior open bite (excluding open bites associated with. Anterior Open Bite Problems.
From occlusionconnections.com
TMD Anterior Open Bite Tendency Problems Occlusion Connections Anterior Open Bite Problems anterior open bite is defined as the front teeth not connecting properly when the back teeth have already made contact. anterior open bite: Anterior open bite is defined as the front teeth not connecting properly when the back teeth have. This can result from excessive sucking, tongue thrusting or mouth breathing. This condition is caused by an imperfect. Anterior Open Bite Problems.
From occlusionconnections.com
TMD Anterior Open Bite Tendency Problems Occlusion Connections Anterior Open Bite Problems anterior open bite. It usually affects all of the. This can result from excessive sucking, tongue thrusting or mouth breathing. Anterior open bite is defined as the front teeth not connecting properly when the back teeth have. Occurs when the back teeth are together, and the upper and lower front teeth do not overlap. Occurs when the front teeth. Anterior Open Bite Problems.
From www.jco-online.com
DAVIT Appliance for Intrusion or Extrusion in Open Bite Cases Anterior Open Bite Problems It usually affects all of the. anterior open bite is a type of malocclusion that occurs when there is no contact or overlap between the upper and. Occurs when the back teeth are together, and the upper and lower front teeth do not overlap. anterior open bite. anterior open bite is defined as the front teeth not. Anterior Open Bite Problems.
From www.jco-online.com
Treating Anterior Open Bite with Hybrid Aligner Therapy Anterior Open Bite Problems This condition is caused by an imperfect bite, in which the front teeth of the upper and lower jaws do not overlap. Occurs when the front teeth meet, but the back teeth do not. anterior open bite: This can result from excessive sucking, tongue thrusting or mouth breathing. Anterior open bite is defined as the front teeth not connecting. Anterior Open Bite Problems.
From www.researchgate.net
(a) Mild anterior open bite, (b) severe anterior open bite. Download Scientific Diagram Anterior Open Bite Problems This condition is caused by an imperfect bite, in which the front teeth of the upper and lower jaws do not overlap. in younger children, the major cause of anterior open bite (excluding open bites associated with the. It usually affects all of the. anterior open bite is a type of malocclusion that occurs when there is no. Anterior Open Bite Problems.
From occlusionconnections.com
TMD Anterior Open Bite Tendency Problems Occlusion Connections Anterior Open Bite Problems anterior open bite is a type of malocclusion that occurs when there is no contact or overlap between the upper and. This can result from excessive sucking, tongue thrusting or mouth breathing. Occurs when the front teeth meet, but the back teeth do not. in younger children, the major cause of anterior open bite (excluding open bites associated. Anterior Open Bite Problems.
From www.researchgate.net
Anterior open bite correction in a girl with mixed dentition. (A) At 8... Download Scientific Anterior Open Bite Problems anterior open bite. Occurs when the front teeth meet, but the back teeth do not. This can result from excessive sucking, tongue thrusting or mouth breathing. It usually affects all of the. anterior open bite: in younger children, the major cause of anterior open bite (excluding open bites associated with the. Anterior open bite is defined as. Anterior Open Bite Problems.
From www.orthodonticgallery.com
Case Study Anterior Open Bite Orthodontics London IG2 Anterior Open Bite Problems Occurs when the front teeth meet, but the back teeth do not. anterior open bite. Anterior open bite is defined as the front teeth not connecting properly when the back teeth have. anterior open bite is a type of malocclusion that occurs when there is no contact or overlap between the upper and. This condition is caused by. Anterior Open Bite Problems.
From apospublications.com
Principles of Orthognathic Surgical Correction of Skeletal Anterior Open Bite APOS Trends in Anterior Open Bite Problems Occurs when the back teeth are together, and the upper and lower front teeth do not overlap. in younger children, the major cause of anterior open bite (excluding open bites associated with the. anterior open bite is defined as the front teeth not connecting properly when the back teeth have already made contact. anterior open bite is. Anterior Open Bite Problems.
From apospublications.com
Principles of Orthognathic Surgical Correction of Skeletal Anterior Open Bite APOS Trends in Anterior Open Bite Problems This can result from excessive sucking, tongue thrusting or mouth breathing. Occurs when the back teeth are together, and the upper and lower front teeth do not overlap. anterior open bite is a type of malocclusion that occurs when there is no contact or overlap between the upper and. anterior open bite. in younger children, the major. Anterior Open Bite Problems.
From www.speareducation.com
Diagnosing and Treating Anterior Open Bites Spear Education Anterior Open Bite Problems This condition is caused by an imperfect bite, in which the front teeth of the upper and lower jaws do not overlap. anterior open bite is a type of malocclusion that occurs when there is no contact or overlap between the upper and. Occurs when the back teeth are together, and the upper and lower front teeth do not. Anterior Open Bite Problems.
From www.researchgate.net
Classic anterior open bite deformity on patient with subcondylar... Download Scientific Diagram Anterior Open Bite Problems Occurs when the back teeth are together, and the upper and lower front teeth do not overlap. It usually affects all of the. Anterior open bite is defined as the front teeth not connecting properly when the back teeth have. in younger children, the major cause of anterior open bite (excluding open bites associated with the. anterior open. Anterior Open Bite Problems.
From www.slideshare.net
Anterior Open Bite etiology and differential diagnosis Anterior Open Bite Problems anterior open bite. anterior open bite is a type of malocclusion that occurs when there is no contact or overlap between the upper and. This condition is caused by an imperfect bite, in which the front teeth of the upper and lower jaws do not overlap. anterior open bite is defined as the front teeth not connecting. Anterior Open Bite Problems.
From apdasinfo.com
PediatricDentalAssistantSchoolanterioropenbite Pediatric Dental Assistant School Anterior Open Bite Problems anterior open bite: in younger children, the major cause of anterior open bite (excluding open bites associated with the. Anterior open bite is defined as the front teeth not connecting properly when the back teeth have. It usually affects all of the. This condition is caused by an imperfect bite, in which the front teeth of the upper. Anterior Open Bite Problems.
From pocketdentistry.com
10 Anterior openbite treatment through orthodontically driven corticotomy Pocket Dentistry Anterior Open Bite Problems anterior open bite: in younger children, the major cause of anterior open bite (excluding open bites associated with the. It usually affects all of the. This condition is caused by an imperfect bite, in which the front teeth of the upper and lower jaws do not overlap. Occurs when the front teeth meet, but the back teeth do. Anterior Open Bite Problems.
From www.youtube.com
Anterior Open Bites! Causes, Treatment Plus Patient Testimonial! YouTube Anterior Open Bite Problems This condition is caused by an imperfect bite, in which the front teeth of the upper and lower jaws do not overlap. This can result from excessive sucking, tongue thrusting or mouth breathing. Anterior open bite is defined as the front teeth not connecting properly when the back teeth have. anterior open bite is a type of malocclusion that. Anterior Open Bite Problems.
From www.jorgensenorthodontics.com
Does Tongue Thrusting Create Anterior Open Bites? Orthodontics Affordable Care Anterior Open Bite Problems Anterior open bite is defined as the front teeth not connecting properly when the back teeth have. in younger children, the major cause of anterior open bite (excluding open bites associated with the. This can result from excessive sucking, tongue thrusting or mouth breathing. anterior open bite is a type of malocclusion that occurs when there is no. Anterior Open Bite Problems.
From www.slideshare.net
Anterior Open Bite etiology and differential diagnosis Anterior Open Bite Problems This condition is caused by an imperfect bite, in which the front teeth of the upper and lower jaws do not overlap. anterior open bite: It usually affects all of the. Occurs when the front teeth meet, but the back teeth do not. anterior open bite is a type of malocclusion that occurs when there is no contact. Anterior Open Bite Problems.
From www.speareducation.com
Diagnosing and Treating Anterior Open Bites Spear Education Anterior Open Bite Problems This can result from excessive sucking, tongue thrusting or mouth breathing. It usually affects all of the. Anterior open bite is defined as the front teeth not connecting properly when the back teeth have. This condition is caused by an imperfect bite, in which the front teeth of the upper and lower jaws do not overlap. Occurs when the front. Anterior Open Bite Problems.
From www.ladentalclinic.com
Open Bite LA Dental Clinic Anterior Open Bite Problems This condition is caused by an imperfect bite, in which the front teeth of the upper and lower jaws do not overlap. anterior open bite is a type of malocclusion that occurs when there is no contact or overlap between the upper and. Occurs when the back teeth are together, and the upper and lower front teeth do not. Anterior Open Bite Problems.
From www.institutomaxilofacial.com
Open Bite Orthognathic Surgery Instituto Maxilofacial Anterior Open Bite Problems Occurs when the front teeth meet, but the back teeth do not. in younger children, the major cause of anterior open bite (excluding open bites associated with the. This can result from excessive sucking, tongue thrusting or mouth breathing. Anterior open bite is defined as the front teeth not connecting properly when the back teeth have. It usually affects. Anterior Open Bite Problems.
From www.researchgate.net
(a) Anterior open bite after 4 months of treatment, (b) Improvement of... Download Scientific Anterior Open Bite Problems It usually affects all of the. Occurs when the back teeth are together, and the upper and lower front teeth do not overlap. This can result from excessive sucking, tongue thrusting or mouth breathing. anterior open bite. This condition is caused by an imperfect bite, in which the front teeth of the upper and lower jaws do not overlap.. Anterior Open Bite Problems.