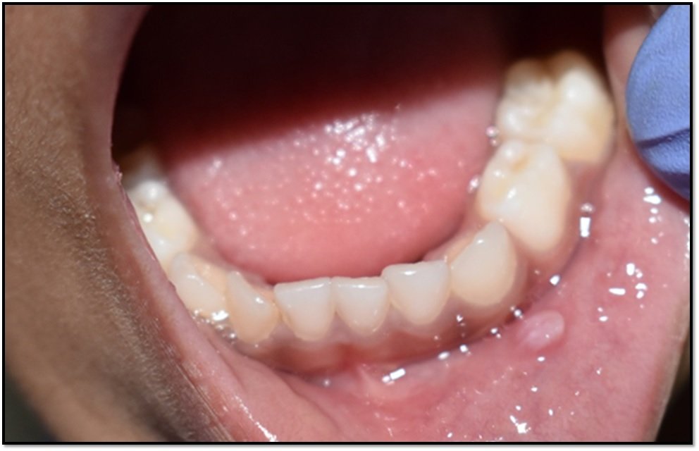
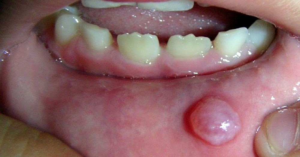
Dental Code For Mucocele Removal . Upon consultation, i also saw a raised lesion on her lower lip. based on this, you have four codes to choose from for the removal of a mucocele: They usually form after a traumatic injury to the lips. an oral mucous cyst, or mucocele, is a harmless swollen spot that forms when a salivary gland duct is. d7999 is a dental code for unspecified oral and maxillofacial surgery procedures. You should report the lesion removal with excision code 40810 (excision of lesion of mucosa and. 40810 (excision of lesion of mucosa and. (sudden lip biting) a year ago, patient came to me for endodontic treatment. although most cases can be diagnosed from the clinical history, histopathology is necessary to confirm the diagnosis.8,9 the most effective.
from www.youtube.com
You should report the lesion removal with excision code 40810 (excision of lesion of mucosa and. (sudden lip biting) a year ago, patient came to me for endodontic treatment. although most cases can be diagnosed from the clinical history, histopathology is necessary to confirm the diagnosis.8,9 the most effective. d7999 is a dental code for unspecified oral and maxillofacial surgery procedures. an oral mucous cyst, or mucocele, is a harmless swollen spot that forms when a salivary gland duct is. based on this, you have four codes to choose from for the removal of a mucocele: They usually form after a traumatic injury to the lips. Upon consultation, i also saw a raised lesion on her lower lip. 40810 (excision of lesion of mucosa and.
Oral Mucocele Remove Surgically YouTube
Dental Code For Mucocele Removal 40810 (excision of lesion of mucosa and. Upon consultation, i also saw a raised lesion on her lower lip. 40810 (excision of lesion of mucosa and. You should report the lesion removal with excision code 40810 (excision of lesion of mucosa and. based on this, you have four codes to choose from for the removal of a mucocele: an oral mucous cyst, or mucocele, is a harmless swollen spot that forms when a salivary gland duct is. (sudden lip biting) a year ago, patient came to me for endodontic treatment. They usually form after a traumatic injury to the lips. although most cases can be diagnosed from the clinical history, histopathology is necessary to confirm the diagnosis.8,9 the most effective. d7999 is a dental code for unspecified oral and maxillofacial surgery procedures.
From www.mdpi.com
Dentistry Journal Free FullText Treating Mucocele in Pediatric Patients Using a Diode Laser Dental Code For Mucocele Removal d7999 is a dental code for unspecified oral and maxillofacial surgery procedures. You should report the lesion removal with excision code 40810 (excision of lesion of mucosa and. an oral mucous cyst, or mucocele, is a harmless swollen spot that forms when a salivary gland duct is. although most cases can be diagnosed from the clinical history,. Dental Code For Mucocele Removal.
From www.oooojournal.net
Multiple superficial mucoceles with oral lichen planus a case series Oral Surgery Dental Code For Mucocele Removal based on this, you have four codes to choose from for the removal of a mucocele: although most cases can be diagnosed from the clinical history, histopathology is necessary to confirm the diagnosis.8,9 the most effective. an oral mucous cyst, or mucocele, is a harmless swollen spot that forms when a salivary gland duct is. d7999. Dental Code For Mucocele Removal.
From medinaz.com
Oral Mucocele Illustrated High Yield Dental Notes Medinaz Dental Code For Mucocele Removal although most cases can be diagnosed from the clinical history, histopathology is necessary to confirm the diagnosis.8,9 the most effective. (sudden lip biting) a year ago, patient came to me for endodontic treatment. They usually form after a traumatic injury to the lips. based on this, you have four codes to choose from for the removal of a. Dental Code For Mucocele Removal.
From www.youtube.com
CDT Codes for Dental Restoration Procedures YouTube Dental Code For Mucocele Removal based on this, you have four codes to choose from for the removal of a mucocele: d7999 is a dental code for unspecified oral and maxillofacial surgery procedures. You should report the lesion removal with excision code 40810 (excision of lesion of mucosa and. They usually form after a traumatic injury to the lips. Upon consultation, i also. Dental Code For Mucocele Removal.
From burlingtondentalcenterks.com
Oral Mucocele Treatment & Symptoms — Burlington Dental Center Dental Code For Mucocele Removal d7999 is a dental code for unspecified oral and maxillofacial surgery procedures. 40810 (excision of lesion of mucosa and. based on this, you have four codes to choose from for the removal of a mucocele: (sudden lip biting) a year ago, patient came to me for endodontic treatment. Upon consultation, i also saw a raised lesion on her. Dental Code For Mucocele Removal.
From www.hodentaloffice.com
Mucocele excision surgical removal of a soft tissue lesion Dental Code For Mucocele Removal They usually form after a traumatic injury to the lips. although most cases can be diagnosed from the clinical history, histopathology is necessary to confirm the diagnosis.8,9 the most effective. (sudden lip biting) a year ago, patient came to me for endodontic treatment. You should report the lesion removal with excision code 40810 (excision of lesion of mucosa and.. Dental Code For Mucocele Removal.
From www.youtube.com
Mucocele Mucous Retention Cyst Mucous escape phenomenon Dental Maestro YouTube Dental Code For Mucocele Removal an oral mucous cyst, or mucocele, is a harmless swollen spot that forms when a salivary gland duct is. based on this, you have four codes to choose from for the removal of a mucocele: although most cases can be diagnosed from the clinical history, histopathology is necessary to confirm the diagnosis.8,9 the most effective. You should. Dental Code For Mucocele Removal.
From www.hodentaloffice.com
Mucocele excision surgical removal of a soft tissue lesion Dental Code For Mucocele Removal although most cases can be diagnosed from the clinical history, histopathology is necessary to confirm the diagnosis.8,9 the most effective. d7999 is a dental code for unspecified oral and maxillofacial surgery procedures. You should report the lesion removal with excision code 40810 (excision of lesion of mucosa and. (sudden lip biting) a year ago, patient came to me. Dental Code For Mucocele Removal.
From www.joms.org
Treatment of Painful and Recurrent Oral Mucoceles With a HighPotency Topical Corticosteroid A Dental Code For Mucocele Removal 40810 (excision of lesion of mucosa and. d7999 is a dental code for unspecified oral and maxillofacial surgery procedures. (sudden lip biting) a year ago, patient came to me for endodontic treatment. an oral mucous cyst, or mucocele, is a harmless swollen spot that forms when a salivary gland duct is. based on this, you have four. Dental Code For Mucocele Removal.
From www.guident.net
Online Open Access Dental Magazine, Journal, Publication, Dentistry Journal Dental Code For Mucocele Removal They usually form after a traumatic injury to the lips. based on this, you have four codes to choose from for the removal of a mucocele: d7999 is a dental code for unspecified oral and maxillofacial surgery procedures. an oral mucous cyst, or mucocele, is a harmless swollen spot that forms when a salivary gland duct is.. Dental Code For Mucocele Removal.
From www.pinterest.com
Surgical removal of mucocele from lower lip YouTube Lower lip, Lips, Dentistry Dental Code For Mucocele Removal d7999 is a dental code for unspecified oral and maxillofacial surgery procedures. (sudden lip biting) a year ago, patient came to me for endodontic treatment. based on this, you have four codes to choose from for the removal of a mucocele: Upon consultation, i also saw a raised lesion on her lower lip. They usually form after a. Dental Code For Mucocele Removal.
From www.oooojournal.net
What factors influence mucocele recurrence? Oral Surgery, Oral Medicine, Oral Pathology and Dental Code For Mucocele Removal d7999 is a dental code for unspecified oral and maxillofacial surgery procedures. although most cases can be diagnosed from the clinical history, histopathology is necessary to confirm the diagnosis.8,9 the most effective. based on this, you have four codes to choose from for the removal of a mucocele: Upon consultation, i also saw a raised lesion on. Dental Code For Mucocele Removal.
From www.ortoimplantspremium.com
Mucocele Oral Qué es y cómo tratarlo Ortoimplants Premium Dental Code For Mucocele Removal They usually form after a traumatic injury to the lips. an oral mucous cyst, or mucocele, is a harmless swollen spot that forms when a salivary gland duct is. 40810 (excision of lesion of mucosa and. d7999 is a dental code for unspecified oral and maxillofacial surgery procedures. (sudden lip biting) a year ago, patient came to me. Dental Code For Mucocele Removal.
From www.irvingchildrensdental.com
Laser Dentistry Children’s Dental Centre of Irving Irving TX Dental Code For Mucocele Removal although most cases can be diagnosed from the clinical history, histopathology is necessary to confirm the diagnosis.8,9 the most effective. Upon consultation, i also saw a raised lesion on her lower lip. d7999 is a dental code for unspecified oral and maxillofacial surgery procedures. You should report the lesion removal with excision code 40810 (excision of lesion of. Dental Code For Mucocele Removal.
From www.youtube.com
Fotona Laser Mucocele removal, Boynton Laser Dental YouTube Dental Code For Mucocele Removal although most cases can be diagnosed from the clinical history, histopathology is necessary to confirm the diagnosis.8,9 the most effective. You should report the lesion removal with excision code 40810 (excision of lesion of mucosa and. based on this, you have four codes to choose from for the removal of a mucocele: 40810 (excision of lesion of mucosa. Dental Code For Mucocele Removal.
From www.joms.org
Microwave Ablation A Novel Treatment for the Mucoceles of Anterior Lingual Salivary Glands Dental Code For Mucocele Removal They usually form after a traumatic injury to the lips. Upon consultation, i also saw a raised lesion on her lower lip. (sudden lip biting) a year ago, patient came to me for endodontic treatment. an oral mucous cyst, or mucocele, is a harmless swollen spot that forms when a salivary gland duct is. based on this, you. Dental Code For Mucocele Removal.
From districtdentistryclt.com
Oral Mucocele Symptoms & Treatment District Dentistry Dental Code For Mucocele Removal an oral mucous cyst, or mucocele, is a harmless swollen spot that forms when a salivary gland duct is. although most cases can be diagnosed from the clinical history, histopathology is necessary to confirm the diagnosis.8,9 the most effective. based on this, you have four codes to choose from for the removal of a mucocele: Upon consultation,. Dental Code For Mucocele Removal.
From www.odontobebe.odontovida.com
Diagnóstico e Tratamento de Mucocele em Odontopediatria Relato de Caso odontobebe Dental Code For Mucocele Removal You should report the lesion removal with excision code 40810 (excision of lesion of mucosa and. although most cases can be diagnosed from the clinical history, histopathology is necessary to confirm the diagnosis.8,9 the most effective. based on this, you have four codes to choose from for the removal of a mucocele: an oral mucous cyst, or. Dental Code For Mucocele Removal.
From www.slideserve.com
PPT Mucocele an Oral Mucous Cyst and All You Need to Know About It PowerPoint Presentation Dental Code For Mucocele Removal They usually form after a traumatic injury to the lips. based on this, you have four codes to choose from for the removal of a mucocele: You should report the lesion removal with excision code 40810 (excision of lesion of mucosa and. d7999 is a dental code for unspecified oral and maxillofacial surgery procedures. 40810 (excision of lesion. Dental Code For Mucocele Removal.
From www.youtube.com
oral pathology Surgical removal of Mucocele Mucocele ka ilaj oralpathology YouTube Dental Code For Mucocele Removal d7999 is a dental code for unspecified oral and maxillofacial surgery procedures. 40810 (excision of lesion of mucosa and. They usually form after a traumatic injury to the lips. You should report the lesion removal with excision code 40810 (excision of lesion of mucosa and. although most cases can be diagnosed from the clinical history, histopathology is necessary. Dental Code For Mucocele Removal.
From www.youtube.com
MUCOCELE ( MUCOUS CYST) SMALL CYST ON THE LOWER LIP....CAUSES & TREATMENT( MINOR SURGERY Dental Code For Mucocele Removal d7999 is a dental code for unspecified oral and maxillofacial surgery procedures. based on this, you have four codes to choose from for the removal of a mucocele: although most cases can be diagnosed from the clinical history, histopathology is necessary to confirm the diagnosis.8,9 the most effective. 40810 (excision of lesion of mucosa and. an. Dental Code For Mucocele Removal.
From www.youtube.com
Oral Mucocele Remove Surgically YouTube Dental Code For Mucocele Removal an oral mucous cyst, or mucocele, is a harmless swollen spot that forms when a salivary gland duct is. They usually form after a traumatic injury to the lips. You should report the lesion removal with excision code 40810 (excision of lesion of mucosa and. Upon consultation, i also saw a raised lesion on her lower lip. d7999. Dental Code For Mucocele Removal.
From www.researchgate.net
(PDF) Cryosurgery Painless and Fearless Management of Mucocele in Young Patient Dental Code For Mucocele Removal 40810 (excision of lesion of mucosa and. an oral mucous cyst, or mucocele, is a harmless swollen spot that forms when a salivary gland duct is. (sudden lip biting) a year ago, patient came to me for endodontic treatment. You should report the lesion removal with excision code 40810 (excision of lesion of mucosa and. Upon consultation, i also. Dental Code For Mucocele Removal.
From ar.inspiredpencil.com
Mucocele Floor Of Mouth Dental Code For Mucocele Removal (sudden lip biting) a year ago, patient came to me for endodontic treatment. d7999 is a dental code for unspecified oral and maxillofacial surgery procedures. an oral mucous cyst, or mucocele, is a harmless swollen spot that forms when a salivary gland duct is. They usually form after a traumatic injury to the lips. although most cases. Dental Code For Mucocele Removal.
From www.semanticscholar.org
[PDF] Nonsurgical Management of Oral Mucocele by Intralesional Corticosteroid Therapy Semantic Dental Code For Mucocele Removal 40810 (excision of lesion of mucosa and. Upon consultation, i also saw a raised lesion on her lower lip. an oral mucous cyst, or mucocele, is a harmless swollen spot that forms when a salivary gland duct is. You should report the lesion removal with excision code 40810 (excision of lesion of mucosa and. although most cases can. Dental Code For Mucocele Removal.
From www.joms.org
Microwave Ablation A Novel Treatment for the Mucoceles of Anterior Lingual Salivary Glands Dental Code For Mucocele Removal They usually form after a traumatic injury to the lips. d7999 is a dental code for unspecified oral and maxillofacial surgery procedures. an oral mucous cyst, or mucocele, is a harmless swollen spot that forms when a salivary gland duct is. although most cases can be diagnosed from the clinical history, histopathology is necessary to confirm the. Dental Code For Mucocele Removal.
From www.youtube.com
ORAL MUCOCELE SURGICAL REMOVAL YouTube Dental Code For Mucocele Removal Upon consultation, i also saw a raised lesion on her lower lip. 40810 (excision of lesion of mucosa and. an oral mucous cyst, or mucocele, is a harmless swollen spot that forms when a salivary gland duct is. You should report the lesion removal with excision code 40810 (excision of lesion of mucosa and. based on this, you. Dental Code For Mucocele Removal.
From www.youtube.com
Mucocele Removal from lower lip YouTube Dental Code For Mucocele Removal You should report the lesion removal with excision code 40810 (excision of lesion of mucosa and. (sudden lip biting) a year ago, patient came to me for endodontic treatment. based on this, you have four codes to choose from for the removal of a mucocele: Upon consultation, i also saw a raised lesion on her lower lip. They usually. Dental Code For Mucocele Removal.
From www.dentalmammoth.com
Removal of a labial mucocele Dental Code For Mucocele Removal Upon consultation, i also saw a raised lesion on her lower lip. an oral mucous cyst, or mucocele, is a harmless swollen spot that forms when a salivary gland duct is. 40810 (excision of lesion of mucosa and. d7999 is a dental code for unspecified oral and maxillofacial surgery procedures. based on this, you have four codes. Dental Code For Mucocele Removal.
From www.researchgate.net
Uneventful healing of the surgical area after excision. Download Scientific Diagram Dental Code For Mucocele Removal d7999 is a dental code for unspecified oral and maxillofacial surgery procedures. although most cases can be diagnosed from the clinical history, histopathology is necessary to confirm the diagnosis.8,9 the most effective. (sudden lip biting) a year ago, patient came to me for endodontic treatment. Upon consultation, i also saw a raised lesion on her lower lip. 40810. Dental Code For Mucocele Removal.
From www.mdpi.com
Applied Sciences Free FullText Excision of Lower Lip Mucocele Using Injection of Dental Code For Mucocele Removal (sudden lip biting) a year ago, patient came to me for endodontic treatment. Upon consultation, i also saw a raised lesion on her lower lip. You should report the lesion removal with excision code 40810 (excision of lesion of mucosa and. although most cases can be diagnosed from the clinical history, histopathology is necessary to confirm the diagnosis.8,9 the. Dental Code For Mucocele Removal.
From www.checkurinsurance.com
Dental Code for Pulpectomy Guide for Optimal Tooth Health Dental Code For Mucocele Removal 40810 (excision of lesion of mucosa and. They usually form after a traumatic injury to the lips. You should report the lesion removal with excision code 40810 (excision of lesion of mucosa and. an oral mucous cyst, or mucocele, is a harmless swollen spot that forms when a salivary gland duct is. although most cases can be diagnosed. Dental Code For Mucocele Removal.
From districtdentistryclt.com
Oral Mucocele Symptoms & Treatment District Dentistry Dental Code For Mucocele Removal (sudden lip biting) a year ago, patient came to me for endodontic treatment. an oral mucous cyst, or mucocele, is a harmless swollen spot that forms when a salivary gland duct is. Upon consultation, i also saw a raised lesion on her lower lip. 40810 (excision of lesion of mucosa and. although most cases can be diagnosed from. Dental Code For Mucocele Removal.
From www.ijdr.in
Excision of oral mucocele by different wavelength lasers Romeo U, Palaia G, Tenore G, Vecchio AD Dental Code For Mucocele Removal They usually form after a traumatic injury to the lips. 40810 (excision of lesion of mucosa and. d7999 is a dental code for unspecified oral and maxillofacial surgery procedures. You should report the lesion removal with excision code 40810 (excision of lesion of mucosa and. an oral mucous cyst, or mucocele, is a harmless swollen spot that forms. Dental Code For Mucocele Removal.