Rib Fracture And Pneumothorax . Penetrating and blunt trauma to the chest are common mechanisms of injury that can lead to ptxs or hemothoraces. Rib fractures can also lead to a collapsed lung (sometimes called pneumothorax). Learn about the causes, symptoms, diagnosis and treatment of rib fractures and pneumothorax, a collapsed lung. Find out how rib fractures can lead to. Simple pneumothorax converts to a tension pneumothorax if the lung defect acts as a one way valve, which allows ongoing air leak into pleural space without. The lung center at bwh offers. How are rib fractures diagnosed? Traumatic rib fractures are the consequence of significant forces impacting the chest wall and are most commonly due to blunt. Multiple rib fractures (≥3) or fractures in the upper or lower rib cage are associated with internal injuries such as liver or. Learn about the causes, diagnosis and treatment of rib fractures, a common injury from blunt trauma.
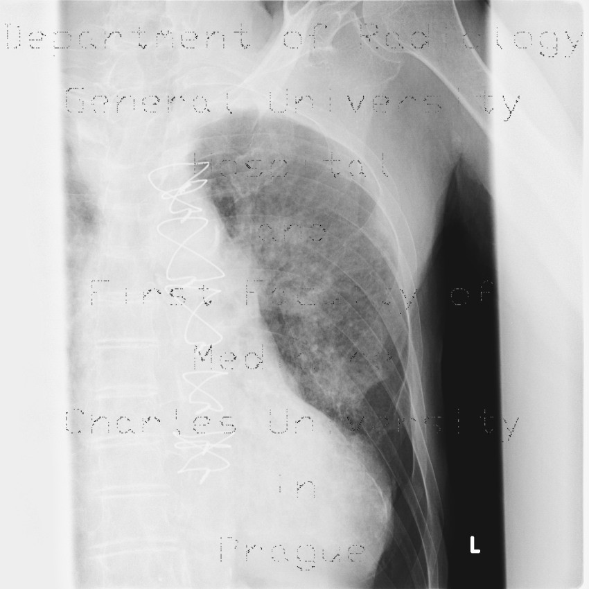
from atlas.mudr.org
Learn about the causes, symptoms, diagnosis and treatment of rib fractures and pneumothorax, a collapsed lung. Find out how rib fractures can lead to. How are rib fractures diagnosed? The lung center at bwh offers. Simple pneumothorax converts to a tension pneumothorax if the lung defect acts as a one way valve, which allows ongoing air leak into pleural space without. Penetrating and blunt trauma to the chest are common mechanisms of injury that can lead to ptxs or hemothoraces. Multiple rib fractures (≥3) or fractures in the upper or lower rib cage are associated with internal injuries such as liver or. Rib fractures can also lead to a collapsed lung (sometimes called pneumothorax). Traumatic rib fractures are the consequence of significant forces impacting the chest wall and are most commonly due to blunt. Learn about the causes, diagnosis and treatment of rib fractures, a common injury from blunt trauma.
Radiology case Rib fracture, lung contusion, hematoma, pneumothorax
Rib Fracture And Pneumothorax Rib fractures can also lead to a collapsed lung (sometimes called pneumothorax). Multiple rib fractures (≥3) or fractures in the upper or lower rib cage are associated with internal injuries such as liver or. Rib fractures can also lead to a collapsed lung (sometimes called pneumothorax). The lung center at bwh offers. Learn about the causes, diagnosis and treatment of rib fractures, a common injury from blunt trauma. How are rib fractures diagnosed? Simple pneumothorax converts to a tension pneumothorax if the lung defect acts as a one way valve, which allows ongoing air leak into pleural space without. Traumatic rib fractures are the consequence of significant forces impacting the chest wall and are most commonly due to blunt. Find out how rib fractures can lead to. Learn about the causes, symptoms, diagnosis and treatment of rib fractures and pneumothorax, a collapsed lung. Penetrating and blunt trauma to the chest are common mechanisms of injury that can lead to ptxs or hemothoraces.
From www.summitdaily.com
Benefit concert for mountain biker who suffered a spinal injury to take Rib Fracture And Pneumothorax The lung center at bwh offers. Penetrating and blunt trauma to the chest are common mechanisms of injury that can lead to ptxs or hemothoraces. Find out how rib fractures can lead to. Multiple rib fractures (≥3) or fractures in the upper or lower rib cage are associated with internal injuries such as liver or. Rib fractures can also lead. Rib Fracture And Pneumothorax.
From pinterest.com
to LearningRadiology flail, chest, trauma, rib, fracture Rib Fracture And Pneumothorax How are rib fractures diagnosed? Multiple rib fractures (≥3) or fractures in the upper or lower rib cage are associated with internal injuries such as liver or. Learn about the causes, diagnosis and treatment of rib fractures, a common injury from blunt trauma. Traumatic rib fractures are the consequence of significant forces impacting the chest wall and are most commonly. Rib Fracture And Pneumothorax.
From neumarksurgery.com
Recurrent Pneumothorax Treatments at Neumark Rib Fracture And Pneumothorax How are rib fractures diagnosed? Learn about the causes, diagnosis and treatment of rib fractures, a common injury from blunt trauma. Simple pneumothorax converts to a tension pneumothorax if the lung defect acts as a one way valve, which allows ongoing air leak into pleural space without. Multiple rib fractures (≥3) or fractures in the upper or lower rib cage. Rib Fracture And Pneumothorax.
From www.ctisus.com
Trauma with Rib Fractures and Pneumothorax Trauma Case Studies Rib Fracture And Pneumothorax The lung center at bwh offers. Learn about the causes, diagnosis and treatment of rib fractures, a common injury from blunt trauma. Learn about the causes, symptoms, diagnosis and treatment of rib fractures and pneumothorax, a collapsed lung. Simple pneumothorax converts to a tension pneumothorax if the lung defect acts as a one way valve, which allows ongoing air leak. Rib Fracture And Pneumothorax.
From www.ncbi.nlm.nih.gov
[Figure, Ct rib fracture, CT Scan, pneumothorax, collapsed lung Rib Fracture And Pneumothorax Learn about the causes, diagnosis and treatment of rib fractures, a common injury from blunt trauma. Rib fractures can also lead to a collapsed lung (sometimes called pneumothorax). The lung center at bwh offers. Learn about the causes, symptoms, diagnosis and treatment of rib fractures and pneumothorax, a collapsed lung. Traumatic rib fractures are the consequence of significant forces impacting. Rib Fracture And Pneumothorax.
From www.lookfordiagnosis.com
Rib fractures Rib Fracture And Pneumothorax Multiple rib fractures (≥3) or fractures in the upper or lower rib cage are associated with internal injuries such as liver or. Traumatic rib fractures are the consequence of significant forces impacting the chest wall and are most commonly due to blunt. Simple pneumothorax converts to a tension pneumothorax if the lung defect acts as a one way valve, which. Rib Fracture And Pneumothorax.
From proper-cooking.info
Chest X Ray Hemothorax Rib Fracture And Pneumothorax How are rib fractures diagnosed? Find out how rib fractures can lead to. Learn about the causes, symptoms, diagnosis and treatment of rib fractures and pneumothorax, a collapsed lung. Multiple rib fractures (≥3) or fractures in the upper or lower rib cage are associated with internal injuries such as liver or. Learn about the causes, diagnosis and treatment of rib. Rib Fracture And Pneumothorax.
From mavink.com
Rib Fracture With Pneumothorax Rib Fracture And Pneumothorax Learn about the causes, symptoms, diagnosis and treatment of rib fractures and pneumothorax, a collapsed lung. Rib fractures can also lead to a collapsed lung (sometimes called pneumothorax). Traumatic rib fractures are the consequence of significant forces impacting the chest wall and are most commonly due to blunt. The lung center at bwh offers. Find out how rib fractures can. Rib Fracture And Pneumothorax.
From www.researchgate.net
CXR (Chest X r ay) showing fractures of left 6 th , 7 th and 8 th ribs Rib Fracture And Pneumothorax Penetrating and blunt trauma to the chest are common mechanisms of injury that can lead to ptxs or hemothoraces. Learn about the causes, symptoms, diagnosis and treatment of rib fractures and pneumothorax, a collapsed lung. Multiple rib fractures (≥3) or fractures in the upper or lower rib cage are associated with internal injuries such as liver or. Rib fractures can. Rib Fracture And Pneumothorax.
From www.dreamstime.com
Pneumothorax stock image. Image of body, scan, patient 98901321 Rib Fracture And Pneumothorax How are rib fractures diagnosed? Multiple rib fractures (≥3) or fractures in the upper or lower rib cage are associated with internal injuries such as liver or. Learn about the causes, symptoms, diagnosis and treatment of rib fractures and pneumothorax, a collapsed lung. Simple pneumothorax converts to a tension pneumothorax if the lung defect acts as a one way valve,. Rib Fracture And Pneumothorax.
From en.academic.ru
Rib fracture Rib Fracture And Pneumothorax How are rib fractures diagnosed? Penetrating and blunt trauma to the chest are common mechanisms of injury that can lead to ptxs or hemothoraces. Find out how rib fractures can lead to. Multiple rib fractures (≥3) or fractures in the upper or lower rib cage are associated with internal injuries such as liver or. Learn about the causes, diagnosis and. Rib Fracture And Pneumothorax.
From ar.inspiredpencil.com
Broken Rib Punctured Lung Rib Fracture And Pneumothorax Rib fractures can also lead to a collapsed lung (sometimes called pneumothorax). Traumatic rib fractures are the consequence of significant forces impacting the chest wall and are most commonly due to blunt. How are rib fractures diagnosed? Learn about the causes, diagnosis and treatment of rib fractures, a common injury from blunt trauma. Simple pneumothorax converts to a tension pneumothorax. Rib Fracture And Pneumothorax.
From www.cureus.com
Cureus Delayed Tension Hemothorax With Nondisplaced Rib Fractures Rib Fracture And Pneumothorax Find out how rib fractures can lead to. Simple pneumothorax converts to a tension pneumothorax if the lung defect acts as a one way valve, which allows ongoing air leak into pleural space without. Learn about the causes, symptoms, diagnosis and treatment of rib fractures and pneumothorax, a collapsed lung. Multiple rib fractures (≥3) or fractures in the upper or. Rib Fracture And Pneumothorax.
From www.alamy.com
Hemothorax hires stock photography and images Alamy Rib Fracture And Pneumothorax The lung center at bwh offers. Multiple rib fractures (≥3) or fractures in the upper or lower rib cage are associated with internal injuries such as liver or. Learn about the causes, diagnosis and treatment of rib fractures, a common injury from blunt trauma. Penetrating and blunt trauma to the chest are common mechanisms of injury that can lead to. Rib Fracture And Pneumothorax.
From iframe.thesun.co.uk
Janice Dickinson's fiance Robert Gerner has 'suffered collapsed lung Rib Fracture And Pneumothorax Multiple rib fractures (≥3) or fractures in the upper or lower rib cage are associated with internal injuries such as liver or. Find out how rib fractures can lead to. Simple pneumothorax converts to a tension pneumothorax if the lung defect acts as a one way valve, which allows ongoing air leak into pleural space without. Learn about the causes,. Rib Fracture And Pneumothorax.
From www.gofundme.com
Fundraiser by Tom Bell Support Bert Bell's Recovery After Accident Rib Fracture And Pneumothorax Learn about the causes, symptoms, diagnosis and treatment of rib fractures and pneumothorax, a collapsed lung. The lung center at bwh offers. Multiple rib fractures (≥3) or fractures in the upper or lower rib cage are associated with internal injuries such as liver or. Find out how rib fractures can lead to. Simple pneumothorax converts to a tension pneumothorax if. Rib Fracture And Pneumothorax.
From radiopaedia.org
Rib fracture on ultrasound Image Rib Fracture And Pneumothorax Rib fractures can also lead to a collapsed lung (sometimes called pneumothorax). Multiple rib fractures (≥3) or fractures in the upper or lower rib cage are associated with internal injuries such as liver or. Learn about the causes, diagnosis and treatment of rib fractures, a common injury from blunt trauma. How are rib fractures diagnosed? Learn about the causes, symptoms,. Rib Fracture And Pneumothorax.
From www.artofit.org
Pneumothorax due to rib fractures radiology case radiopaedia org Artofit Rib Fracture And Pneumothorax Learn about the causes, symptoms, diagnosis and treatment of rib fractures and pneumothorax, a collapsed lung. Find out how rib fractures can lead to. Rib fractures can also lead to a collapsed lung (sometimes called pneumothorax). Penetrating and blunt trauma to the chest are common mechanisms of injury that can lead to ptxs or hemothoraces. The lung center at bwh. Rib Fracture And Pneumothorax.
From www.pinterest.fr
Pin on Nursing stuff Rib Fracture And Pneumothorax How are rib fractures diagnosed? Penetrating and blunt trauma to the chest are common mechanisms of injury that can lead to ptxs or hemothoraces. Learn about the causes, symptoms, diagnosis and treatment of rib fractures and pneumothorax, a collapsed lung. Simple pneumothorax converts to a tension pneumothorax if the lung defect acts as a one way valve, which allows ongoing. Rib Fracture And Pneumothorax.
From uk.pinterest.com
Bilateral cervical ribs Radiology Case Cervical Rib Fracture And Pneumothorax Simple pneumothorax converts to a tension pneumothorax if the lung defect acts as a one way valve, which allows ongoing air leak into pleural space without. Penetrating and blunt trauma to the chest are common mechanisms of injury that can lead to ptxs or hemothoraces. Traumatic rib fractures are the consequence of significant forces impacting the chest wall and are. Rib Fracture And Pneumothorax.
From www.svuhradiology.ie
Pneumothorax and rib fractures CXR and CT Radiology at St. Vincent Rib Fracture And Pneumothorax How are rib fractures diagnosed? The lung center at bwh offers. Find out how rib fractures can lead to. Multiple rib fractures (≥3) or fractures in the upper or lower rib cage are associated with internal injuries such as liver or. Learn about the causes, symptoms, diagnosis and treatment of rib fractures and pneumothorax, a collapsed lung. Rib fractures can. Rib Fracture And Pneumothorax.
From www.verywellhealth.com
Dealing with Rib Fractures Rib Fracture And Pneumothorax Rib fractures can also lead to a collapsed lung (sometimes called pneumothorax). Learn about the causes, diagnosis and treatment of rib fractures, a common injury from blunt trauma. Traumatic rib fractures are the consequence of significant forces impacting the chest wall and are most commonly due to blunt. Find out how rib fractures can lead to. Simple pneumothorax converts to. Rib Fracture And Pneumothorax.
From jnnp.bmj.com
Bilateral first rib fractures due to tardive dystonia Journal of Rib Fracture And Pneumothorax Find out how rib fractures can lead to. Simple pneumothorax converts to a tension pneumothorax if the lung defect acts as a one way valve, which allows ongoing air leak into pleural space without. Learn about the causes, symptoms, diagnosis and treatment of rib fractures and pneumothorax, a collapsed lung. Penetrating and blunt trauma to the chest are common mechanisms. Rib Fracture And Pneumothorax.
From medschool.co
Pneumothorax Chest XRay MedSchool Rib Fracture And Pneumothorax Simple pneumothorax converts to a tension pneumothorax if the lung defect acts as a one way valve, which allows ongoing air leak into pleural space without. Learn about the causes, symptoms, diagnosis and treatment of rib fractures and pneumothorax, a collapsed lung. Learn about the causes, diagnosis and treatment of rib fractures, a common injury from blunt trauma. The lung. Rib Fracture And Pneumothorax.
From www.jem-journal.com
Traumatic Pneumothorax A Review of Current Diagnostic Practices And Rib Fracture And Pneumothorax Traumatic rib fractures are the consequence of significant forces impacting the chest wall and are most commonly due to blunt. Rib fractures can also lead to a collapsed lung (sometimes called pneumothorax). Learn about the causes, symptoms, diagnosis and treatment of rib fractures and pneumothorax, a collapsed lung. Multiple rib fractures (≥3) or fractures in the upper or lower rib. Rib Fracture And Pneumothorax.
From www.doccheck.com
Serial rib fracture Pneumothorax Comminuted fracture of scapula Rib Fracture And Pneumothorax Traumatic rib fractures are the consequence of significant forces impacting the chest wall and are most commonly due to blunt. Rib fractures can also lead to a collapsed lung (sometimes called pneumothorax). Simple pneumothorax converts to a tension pneumothorax if the lung defect acts as a one way valve, which allows ongoing air leak into pleural space without. Learn about. Rib Fracture And Pneumothorax.
From fineartamerica.com
Xray Showing Rib Fracture And Pneumothorax Digital Art by Callista Rib Fracture And Pneumothorax Rib fractures can also lead to a collapsed lung (sometimes called pneumothorax). Multiple rib fractures (≥3) or fractures in the upper or lower rib cage are associated with internal injuries such as liver or. Traumatic rib fractures are the consequence of significant forces impacting the chest wall and are most commonly due to blunt. Simple pneumothorax converts to a tension. Rib Fracture And Pneumothorax.
From www.alamy.com
Rib fracture hires stock photography and images Alamy Rib Fracture And Pneumothorax Find out how rib fractures can lead to. Rib fractures can also lead to a collapsed lung (sometimes called pneumothorax). Traumatic rib fractures are the consequence of significant forces impacting the chest wall and are most commonly due to blunt. Penetrating and blunt trauma to the chest are common mechanisms of injury that can lead to ptxs or hemothoraces. How. Rib Fracture And Pneumothorax.
From atlas.mudr.org
Radiology case Rib fracture, lung contusion, hematoma, pneumothorax Rib Fracture And Pneumothorax How are rib fractures diagnosed? Learn about the causes, symptoms, diagnosis and treatment of rib fractures and pneumothorax, a collapsed lung. Rib fractures can also lead to a collapsed lung (sometimes called pneumothorax). Multiple rib fractures (≥3) or fractures in the upper or lower rib cage are associated with internal injuries such as liver or. The lung center at bwh. Rib Fracture And Pneumothorax.
From mraops.storage.googleapis.com
Drew Brees [2023 Update] Early Life, Net Worth & Career ZBlogN Rib Fracture And Pneumothorax Multiple rib fractures (≥3) or fractures in the upper or lower rib cage are associated with internal injuries such as liver or. Learn about the causes, diagnosis and treatment of rib fractures, a common injury from blunt trauma. Simple pneumothorax converts to a tension pneumothorax if the lung defect acts as a one way valve, which allows ongoing air leak. Rib Fracture And Pneumothorax.
From www.svuhradiology.ie
Tension pneumothorax due to rib fracture Radiology at St. Vincent's Rib Fracture And Pneumothorax Simple pneumothorax converts to a tension pneumothorax if the lung defect acts as a one way valve, which allows ongoing air leak into pleural space without. Find out how rib fractures can lead to. Learn about the causes, symptoms, diagnosis and treatment of rib fractures and pneumothorax, a collapsed lung. Traumatic rib fractures are the consequence of significant forces impacting. Rib Fracture And Pneumothorax.
From theoldish.com
Rib Fractures Serious for Elderly Adults The Oldish® Rib Fracture And Pneumothorax Simple pneumothorax converts to a tension pneumothorax if the lung defect acts as a one way valve, which allows ongoing air leak into pleural space without. Penetrating and blunt trauma to the chest are common mechanisms of injury that can lead to ptxs or hemothoraces. Rib fractures can also lead to a collapsed lung (sometimes called pneumothorax). Learn about the. Rib Fracture And Pneumothorax.
From www.mdpi.com
The Surgical Timing and Complications of Rib Fixation for Rib Fractures Rib Fracture And Pneumothorax Penetrating and blunt trauma to the chest are common mechanisms of injury that can lead to ptxs or hemothoraces. The lung center at bwh offers. Multiple rib fractures (≥3) or fractures in the upper or lower rib cage are associated with internal injuries such as liver or. Simple pneumothorax converts to a tension pneumothorax if the lung defect acts as. Rib Fracture And Pneumothorax.
From radiopaedia.org
Pneumothorax due to rib fractures Image Rib Fracture And Pneumothorax How are rib fractures diagnosed? Learn about the causes, symptoms, diagnosis and treatment of rib fractures and pneumothorax, a collapsed lung. Multiple rib fractures (≥3) or fractures in the upper or lower rib cage are associated with internal injuries such as liver or. Traumatic rib fractures are the consequence of significant forces impacting the chest wall and are most commonly. Rib Fracture And Pneumothorax.
From joijazodf.blob.core.windows.net
Rib Fracture Strapping at Dan Granillo blog Rib Fracture And Pneumothorax How are rib fractures diagnosed? Multiple rib fractures (≥3) or fractures in the upper or lower rib cage are associated with internal injuries such as liver or. The lung center at bwh offers. Learn about the causes, symptoms, diagnosis and treatment of rib fractures and pneumothorax, a collapsed lung. Find out how rib fractures can lead to. Rib fractures can. Rib Fracture And Pneumothorax.