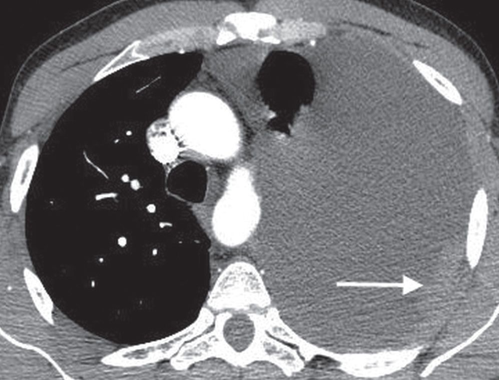
Lungs Filled With Fluid Cancer . It can cause a buildup of fluid around the lungs, known as pleural effusion. A malignant pleural effusion is a common but serious complication of cancer in which fluid collects between the membranes lining the lungs, called the pleura. For those suffering from lung cancer, the respiratory. Called pleural effusion, fluid is fairly common in people with lung cancer and can be caused by the disease itself or some treatments. Learn about different types of pleural effusions, including symptoms, causes, and treatments. Pleural effusion is a collection of fluid around your lungs. Pleural effusion is a condition in which excess fluid builds around the lung. Pulmonary edema is an accumulation of extravascular fluid in the lungs affecting the respiratory system, making it difficult to breathe. Doctors can do a pleural aspiration if there is a small collection of fluid around the lungs. This means using a needle and syringe to remove the fluid. Symptoms of pleural effusion can be different. Your provider has to get rid of this fluid with medicine or a procedure.
from ar.inspiredpencil.com
This means using a needle and syringe to remove the fluid. Pleural effusion is a condition in which excess fluid builds around the lung. It can cause a buildup of fluid around the lungs, known as pleural effusion. Pleural effusion is a collection of fluid around your lungs. Your provider has to get rid of this fluid with medicine or a procedure. Pulmonary edema is an accumulation of extravascular fluid in the lungs affecting the respiratory system, making it difficult to breathe. Called pleural effusion, fluid is fairly common in people with lung cancer and can be caused by the disease itself or some treatments. Doctors can do a pleural aspiration if there is a small collection of fluid around the lungs. Symptoms of pleural effusion can be different. For those suffering from lung cancer, the respiratory.
Fluid Around Lung Ct Scan
Lungs Filled With Fluid Cancer For those suffering from lung cancer, the respiratory. Called pleural effusion, fluid is fairly common in people with lung cancer and can be caused by the disease itself or some treatments. It can cause a buildup of fluid around the lungs, known as pleural effusion. For those suffering from lung cancer, the respiratory. Symptoms of pleural effusion can be different. Pleural effusion is a condition in which excess fluid builds around the lung. Pulmonary edema is an accumulation of extravascular fluid in the lungs affecting the respiratory system, making it difficult to breathe. Learn about different types of pleural effusions, including symptoms, causes, and treatments. Pleural effusion is a collection of fluid around your lungs. Doctors can do a pleural aspiration if there is a small collection of fluid around the lungs. A malignant pleural effusion is a common but serious complication of cancer in which fluid collects between the membranes lining the lungs, called the pleura. Your provider has to get rid of this fluid with medicine or a procedure. This means using a needle and syringe to remove the fluid.
From mavink.com
Types Of Lung Cancer Tumors Lungs Filled With Fluid Cancer This means using a needle and syringe to remove the fluid. Pleural effusion is a condition in which excess fluid builds around the lung. Your provider has to get rid of this fluid with medicine or a procedure. It can cause a buildup of fluid around the lungs, known as pleural effusion. Called pleural effusion, fluid is fairly common in. Lungs Filled With Fluid Cancer.
From www.10faq.com
Fluid In Lungs 10 Causes of Fluid In The Lungs Lungs Filled With Fluid Cancer Pulmonary edema is an accumulation of extravascular fluid in the lungs affecting the respiratory system, making it difficult to breathe. Called pleural effusion, fluid is fairly common in people with lung cancer and can be caused by the disease itself or some treatments. A malignant pleural effusion is a common but serious complication of cancer in which fluid collects between. Lungs Filled With Fluid Cancer.
From www.cancercenter.com
Types of Lung Cancer Common, Rare, Aggressive & More Lungs Filled With Fluid Cancer Learn about different types of pleural effusions, including symptoms, causes, and treatments. Your provider has to get rid of this fluid with medicine or a procedure. Called pleural effusion, fluid is fairly common in people with lung cancer and can be caused by the disease itself or some treatments. It can cause a buildup of fluid around the lungs, known. Lungs Filled With Fluid Cancer.
From www.thehealthsite.com
Lung Cancer Symptoms, Causes, Diagnosis, and Treatment Lungs Filled With Fluid Cancer Called pleural effusion, fluid is fairly common in people with lung cancer and can be caused by the disease itself or some treatments. Pulmonary edema is an accumulation of extravascular fluid in the lungs affecting the respiratory system, making it difficult to breathe. Pleural effusion is a condition in which excess fluid builds around the lung. It can cause a. Lungs Filled With Fluid Cancer.
From www.scientificanimations.com
Stage 3 Lung Cancer All that you need to know Scientific Animations Lungs Filled With Fluid Cancer It can cause a buildup of fluid around the lungs, known as pleural effusion. Doctors can do a pleural aspiration if there is a small collection of fluid around the lungs. A malignant pleural effusion is a common but serious complication of cancer in which fluid collects between the membranes lining the lungs, called the pleura. This means using a. Lungs Filled With Fluid Cancer.
From www.mdlinx.com
Detect lung cancer sooner and predict prognosis with sputum sample MDLinx Lungs Filled With Fluid Cancer Symptoms of pleural effusion can be different. It can cause a buildup of fluid around the lungs, known as pleural effusion. A malignant pleural effusion is a common but serious complication of cancer in which fluid collects between the membranes lining the lungs, called the pleura. This means using a needle and syringe to remove the fluid. Your provider has. Lungs Filled With Fluid Cancer.
From www.freepik.com
Premium Vector Lungs with respiratory infection isolated on white Lungs Filled With Fluid Cancer Pulmonary edema is an accumulation of extravascular fluid in the lungs affecting the respiratory system, making it difficult to breathe. Doctors can do a pleural aspiration if there is a small collection of fluid around the lungs. Pleural effusion is a collection of fluid around your lungs. Symptoms of pleural effusion can be different. Learn about different types of pleural. Lungs Filled With Fluid Cancer.
From www.10faq.com
Fluid In Lungs 10 Causes of Fluid In The Lungs Lungs Filled With Fluid Cancer Learn about different types of pleural effusions, including symptoms, causes, and treatments. Called pleural effusion, fluid is fairly common in people with lung cancer and can be caused by the disease itself or some treatments. Pulmonary edema is an accumulation of extravascular fluid in the lungs affecting the respiratory system, making it difficult to breathe. Your provider has to get. Lungs Filled With Fluid Cancer.
From www.medicoexperts.com
10 Symptoms of Lung cancer MedicoExperts Lungs Filled With Fluid Cancer Learn about different types of pleural effusions, including symptoms, causes, and treatments. Called pleural effusion, fluid is fairly common in people with lung cancer and can be caused by the disease itself or some treatments. Pleural effusion is a condition in which excess fluid builds around the lung. A malignant pleural effusion is a common but serious complication of cancer. Lungs Filled With Fluid Cancer.
From ar.inspiredpencil.com
Fluid Around Lung Ct Scan Lungs Filled With Fluid Cancer For those suffering from lung cancer, the respiratory. Symptoms of pleural effusion can be different. Called pleural effusion, fluid is fairly common in people with lung cancer and can be caused by the disease itself or some treatments. Pulmonary edema is an accumulation of extravascular fluid in the lungs affecting the respiratory system, making it difficult to breathe. Doctors can. Lungs Filled With Fluid Cancer.
From cancersymptomsotveta.blogspot.com
Cancer Symptoms Fluid On Lungs Symptoms Cancer Lungs Filled With Fluid Cancer Symptoms of pleural effusion can be different. Doctors can do a pleural aspiration if there is a small collection of fluid around the lungs. Your provider has to get rid of this fluid with medicine or a procedure. Pleural effusion is a collection of fluid around your lungs. For those suffering from lung cancer, the respiratory. Called pleural effusion, fluid. Lungs Filled With Fluid Cancer.
From pritishhalder.com
What is Lung Cancer? Symptoms, signs, and more via Pritish. Lungs Filled With Fluid Cancer It can cause a buildup of fluid around the lungs, known as pleural effusion. Called pleural effusion, fluid is fairly common in people with lung cancer and can be caused by the disease itself or some treatments. Pulmonary edema is an accumulation of extravascular fluid in the lungs affecting the respiratory system, making it difficult to breathe. Doctors can do. Lungs Filled With Fluid Cancer.
From ctsurgerypatients.org
Lung Cancer The Patient Guide to Heart, Lung, and Esophageal Surgery Lungs Filled With Fluid Cancer Called pleural effusion, fluid is fairly common in people with lung cancer and can be caused by the disease itself or some treatments. Doctors can do a pleural aspiration if there is a small collection of fluid around the lungs. It can cause a buildup of fluid around the lungs, known as pleural effusion. A malignant pleural effusion is a. Lungs Filled With Fluid Cancer.
From www.godigit.com
Lung Tumor Causes, Types, Symptoms, Diagnosis and Treatment Lungs Filled With Fluid Cancer This means using a needle and syringe to remove the fluid. Your provider has to get rid of this fluid with medicine or a procedure. Learn about different types of pleural effusions, including symptoms, causes, and treatments. A malignant pleural effusion is a common but serious complication of cancer in which fluid collects between the membranes lining the lungs, called. Lungs Filled With Fluid Cancer.
From www.youtube.com
Causes of Fluid in the Lungs YouTube Lungs Filled With Fluid Cancer Pulmonary edema is an accumulation of extravascular fluid in the lungs affecting the respiratory system, making it difficult to breathe. It can cause a buildup of fluid around the lungs, known as pleural effusion. Doctors can do a pleural aspiration if there is a small collection of fluid around the lungs. Pleural effusion is a collection of fluid around your. Lungs Filled With Fluid Cancer.
From www.svuhradiology.ie
Lung cancer CXR Radiology at St. Vincent's University Hospital Lungs Filled With Fluid Cancer This means using a needle and syringe to remove the fluid. Symptoms of pleural effusion can be different. Your provider has to get rid of this fluid with medicine or a procedure. Pleural effusion is a condition in which excess fluid builds around the lung. A malignant pleural effusion is a common but serious complication of cancer in which fluid. Lungs Filled With Fluid Cancer.
From mavink.com
4 Types Of Lung Cancer Lungs Filled With Fluid Cancer Symptoms of pleural effusion can be different. Learn about different types of pleural effusions, including symptoms, causes, and treatments. Doctors can do a pleural aspiration if there is a small collection of fluid around the lungs. Pulmonary edema is an accumulation of extravascular fluid in the lungs affecting the respiratory system, making it difficult to breathe. Pleural effusion is a. Lungs Filled With Fluid Cancer.
From www.roboticlungsurgery.org
Stages of Lung Cancer Dr. Peter Mikhail Lungs Filled With Fluid Cancer For those suffering from lung cancer, the respiratory. Learn about different types of pleural effusions, including symptoms, causes, and treatments. Symptoms of pleural effusion can be different. Doctors can do a pleural aspiration if there is a small collection of fluid around the lungs. Pulmonary edema is an accumulation of extravascular fluid in the lungs affecting the respiratory system, making. Lungs Filled With Fluid Cancer.
From lessonlistfleischer.z19.web.core.windows.net
Lung Cancer Pleural Fluid Color Chart Lungs Filled With Fluid Cancer Doctors can do a pleural aspiration if there is a small collection of fluid around the lungs. A malignant pleural effusion is a common but serious complication of cancer in which fluid collects between the membranes lining the lungs, called the pleura. Your provider has to get rid of this fluid with medicine or a procedure. Called pleural effusion, fluid. Lungs Filled With Fluid Cancer.
From www.genengnews.com
Lung Cancer Treatment Approach May Support Disease Progression Lungs Filled With Fluid Cancer For those suffering from lung cancer, the respiratory. Doctors can do a pleural aspiration if there is a small collection of fluid around the lungs. This means using a needle and syringe to remove the fluid. Your provider has to get rid of this fluid with medicine or a procedure. Symptoms of pleural effusion can be different. It can cause. Lungs Filled With Fluid Cancer.
From www.wikidoc.org
Squamous cell carcinoma of the lung chest x ray wikidoc Lungs Filled With Fluid Cancer Pleural effusion is a collection of fluid around your lungs. For those suffering from lung cancer, the respiratory. Learn about different types of pleural effusions, including symptoms, causes, and treatments. Your provider has to get rid of this fluid with medicine or a procedure. It can cause a buildup of fluid around the lungs, known as pleural effusion. Pleural effusion. Lungs Filled With Fluid Cancer.
From www.cancer.net
Fluid Around the Lungs or Malignant Pleural Effusion Lungs Filled With Fluid Cancer Pleural effusion is a collection of fluid around your lungs. Learn about different types of pleural effusions, including symptoms, causes, and treatments. Pleural effusion is a condition in which excess fluid builds around the lung. A malignant pleural effusion is a common but serious complication of cancer in which fluid collects between the membranes lining the lungs, called the pleura.. Lungs Filled With Fluid Cancer.
From www.netmeds.com
Lung Cancer Causes, Symptoms And Treatment Netmeds Lungs Filled With Fluid Cancer This means using a needle and syringe to remove the fluid. Pleural effusion is a collection of fluid around your lungs. It can cause a buildup of fluid around the lungs, known as pleural effusion. Pulmonary edema is an accumulation of extravascular fluid in the lungs affecting the respiratory system, making it difficult to breathe. For those suffering from lung. Lungs Filled With Fluid Cancer.
From floridalungdoctors.com
Lung Disease Lung Cancer Florida Lung Asthma & Sleep Specialists Lungs Filled With Fluid Cancer Learn about different types of pleural effusions, including symptoms, causes, and treatments. Your provider has to get rid of this fluid with medicine or a procedure. This means using a needle and syringe to remove the fluid. Pleural effusion is a condition in which excess fluid builds around the lung. Doctors can do a pleural aspiration if there is a. Lungs Filled With Fluid Cancer.
From www.verywellhealth.com
Chest XRay for the Diagnosis of Lung Cancer Lungs Filled With Fluid Cancer This means using a needle and syringe to remove the fluid. Called pleural effusion, fluid is fairly common in people with lung cancer and can be caused by the disease itself or some treatments. It can cause a buildup of fluid around the lungs, known as pleural effusion. Pleural effusion is a condition in which excess fluid builds around the. Lungs Filled With Fluid Cancer.
From www.sciencephoto.com
Lung lesions, Xray Stock Image M240/0780 Science Photo Library Lungs Filled With Fluid Cancer Symptoms of pleural effusion can be different. It can cause a buildup of fluid around the lungs, known as pleural effusion. Called pleural effusion, fluid is fairly common in people with lung cancer and can be caused by the disease itself or some treatments. Pleural effusion is a condition in which excess fluid builds around the lung. Doctors can do. Lungs Filled With Fluid Cancer.
From my.clevelandclinic.org
Small Cell Lung Cancer Symptoms, Causes & Treatment Lungs Filled With Fluid Cancer Pulmonary edema is an accumulation of extravascular fluid in the lungs affecting the respiratory system, making it difficult to breathe. Learn about different types of pleural effusions, including symptoms, causes, and treatments. It can cause a buildup of fluid around the lungs, known as pleural effusion. For those suffering from lung cancer, the respiratory. Pleural effusion is a collection of. Lungs Filled With Fluid Cancer.
From www.svuhradiology.ie
Lung metastases, portacath Radiology at St. Vincent's University Hospital Lungs Filled With Fluid Cancer It can cause a buildup of fluid around the lungs, known as pleural effusion. For those suffering from lung cancer, the respiratory. Pleural effusion is a collection of fluid around your lungs. Symptoms of pleural effusion can be different. Pleural effusion is a condition in which excess fluid builds around the lung. Your provider has to get rid of this. Lungs Filled With Fluid Cancer.
From www.verywellhealth.com
Primary and Secondary Lung Cancer Lungs Filled With Fluid Cancer This means using a needle and syringe to remove the fluid. Your provider has to get rid of this fluid with medicine or a procedure. Pleural effusion is a collection of fluid around your lungs. It can cause a buildup of fluid around the lungs, known as pleural effusion. Symptoms of pleural effusion can be different. Pulmonary edema is an. Lungs Filled With Fluid Cancer.
From onlinelibrary.wiley.com
Proton MRI of the Lung How to Tame Scarce Protons and Fast Signal Lungs Filled With Fluid Cancer Symptoms of pleural effusion can be different. For those suffering from lung cancer, the respiratory. Doctors can do a pleural aspiration if there is a small collection of fluid around the lungs. Pleural effusion is a collection of fluid around your lungs. It can cause a buildup of fluid around the lungs, known as pleural effusion. Called pleural effusion, fluid. Lungs Filled With Fluid Cancer.
From en.wikipedia.org
Lung cancer Wikipedia Lungs Filled With Fluid Cancer Called pleural effusion, fluid is fairly common in people with lung cancer and can be caused by the disease itself or some treatments. A malignant pleural effusion is a common but serious complication of cancer in which fluid collects between the membranes lining the lungs, called the pleura. Pleural effusion is a condition in which excess fluid builds around the. Lungs Filled With Fluid Cancer.
From genesiadycalicchio.blogspot.com
Lung cancer stage four Fluid In Lungs Lungs Filled With Fluid Cancer A malignant pleural effusion is a common but serious complication of cancer in which fluid collects between the membranes lining the lungs, called the pleura. This means using a needle and syringe to remove the fluid. Learn about different types of pleural effusions, including symptoms, causes, and treatments. Pleural effusion is a collection of fluid around your lungs. Symptoms of. Lungs Filled With Fluid Cancer.
From www.yogavanahill.com
Fluid In The Lungs Lungs Filled With Fluid Cancer Called pleural effusion, fluid is fairly common in people with lung cancer and can be caused by the disease itself or some treatments. A malignant pleural effusion is a common but serious complication of cancer in which fluid collects between the membranes lining the lungs, called the pleura. Pleural effusion is a collection of fluid around your lungs. This means. Lungs Filled With Fluid Cancer.
From www.verywellhealth.com
The Different Types of Lung Cancer Lungs Filled With Fluid Cancer Your provider has to get rid of this fluid with medicine or a procedure. For those suffering from lung cancer, the respiratory. Pleural effusion is a collection of fluid around your lungs. Symptoms of pleural effusion can be different. It can cause a buildup of fluid around the lungs, known as pleural effusion. Learn about different types of pleural effusions,. Lungs Filled With Fluid Cancer.
From pritishhalder.com
What is Lung Cancer? Symptoms, signs, and more via Pritish. Lungs Filled With Fluid Cancer Pleural effusion is a collection of fluid around your lungs. For those suffering from lung cancer, the respiratory. This means using a needle and syringe to remove the fluid. Symptoms of pleural effusion can be different. It can cause a buildup of fluid around the lungs, known as pleural effusion. Your provider has to get rid of this fluid with. Lungs Filled With Fluid Cancer.