Ribs Hurt Scoliosis . You can treat it with physical therapy and surgery. Also, a curvature may lead to pain or discomfort in your chest and rib cage because the rib cage is attached to your thoracic. Scoliosis is often accompanied by a rib hump, or a visible protrusion on one side of the back. You may feel thoracic scoliosis pain in your back and shoulders. The effects of scoliosis can be widespread and felt throughout the body, and when it comes to the chest and ribs, the postural changes caused by. When an unnatural thoracic curve exposes the spine and its surroundings to uneven pressure, the spine can pull on. Particularly common with curvatures along the thoracic spine, a rib hump can develop. The thoracic spine (middle/upper back) is most commonly affected by scoliosis. As a progressive condition, there are different stages to scoliosis severity, ranging from mild to severe. As scoliosis worsens, it can cause more noticeable changes — including uneven hips and shoulders, prominent ribs, and a shift of the waist and trunk.
from www.journaloforthopaedicscience.com
The thoracic spine (middle/upper back) is most commonly affected by scoliosis. Scoliosis is often accompanied by a rib hump, or a visible protrusion on one side of the back. Particularly common with curvatures along the thoracic spine, a rib hump can develop. Also, a curvature may lead to pain or discomfort in your chest and rib cage because the rib cage is attached to your thoracic. You may feel thoracic scoliosis pain in your back and shoulders. The effects of scoliosis can be widespread and felt throughout the body, and when it comes to the chest and ribs, the postural changes caused by. When an unnatural thoracic curve exposes the spine and its surroundings to uneven pressure, the spine can pull on. You can treat it with physical therapy and surgery. As scoliosis worsens, it can cause more noticeable changes — including uneven hips and shoulders, prominent ribs, and a shift of the waist and trunk. As a progressive condition, there are different stages to scoliosis severity, ranging from mild to severe.
Multiple concave rib head resection improved correction rate of
Ribs Hurt Scoliosis As scoliosis worsens, it can cause more noticeable changes — including uneven hips and shoulders, prominent ribs, and a shift of the waist and trunk. Also, a curvature may lead to pain or discomfort in your chest and rib cage because the rib cage is attached to your thoracic. You may feel thoracic scoliosis pain in your back and shoulders. As a progressive condition, there are different stages to scoliosis severity, ranging from mild to severe. You can treat it with physical therapy and surgery. The effects of scoliosis can be widespread and felt throughout the body, and when it comes to the chest and ribs, the postural changes caused by. As scoliosis worsens, it can cause more noticeable changes — including uneven hips and shoulders, prominent ribs, and a shift of the waist and trunk. Scoliosis is often accompanied by a rib hump, or a visible protrusion on one side of the back. The thoracic spine (middle/upper back) is most commonly affected by scoliosis. When an unnatural thoracic curve exposes the spine and its surroundings to uneven pressure, the spine can pull on. Particularly common with curvatures along the thoracic spine, a rib hump can develop.
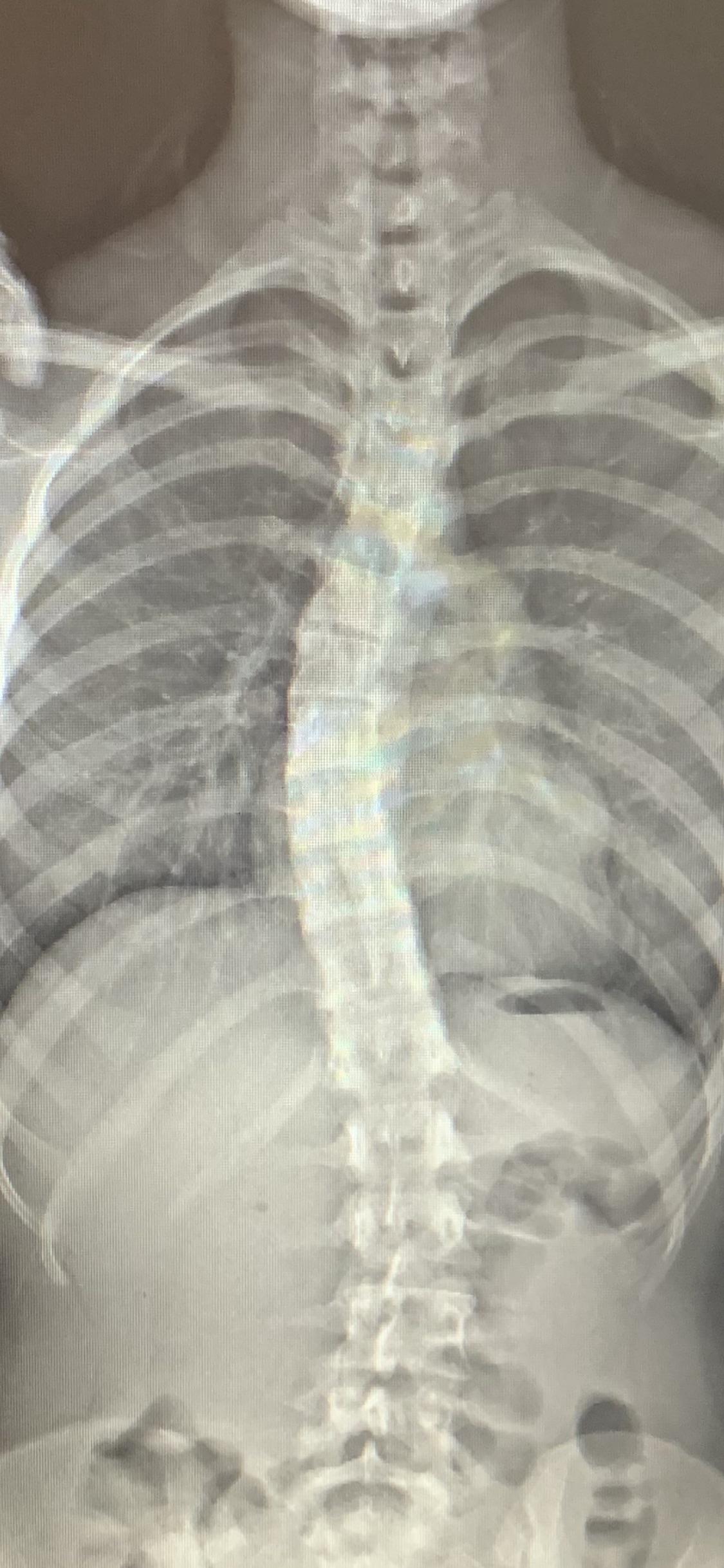
From medicine.utah.edu
Scoliosis Pathology Radiology U of U School of Medicine Ribs Hurt Scoliosis The effects of scoliosis can be widespread and felt throughout the body, and when it comes to the chest and ribs, the postural changes caused by. You may feel thoracic scoliosis pain in your back and shoulders. You can treat it with physical therapy and surgery. Scoliosis is often accompanied by a rib hump, or a visible protrusion on one. Ribs Hurt Scoliosis.
From scoliosiscarecenters.com
Scoliosis Rib Hump Results Scoliosis Care Centers Ribs Hurt Scoliosis You can treat it with physical therapy and surgery. The thoracic spine (middle/upper back) is most commonly affected by scoliosis. As a progressive condition, there are different stages to scoliosis severity, ranging from mild to severe. Scoliosis is often accompanied by a rib hump, or a visible protrusion on one side of the back. You may feel thoracic scoliosis pain. Ribs Hurt Scoliosis.
From www.animalia-life.club
Treatment Mild Scoliosis Rib Hump Ribs Hurt Scoliosis Scoliosis is often accompanied by a rib hump, or a visible protrusion on one side of the back. You can treat it with physical therapy and surgery. Also, a curvature may lead to pain or discomfort in your chest and rib cage because the rib cage is attached to your thoracic. As a progressive condition, there are different stages to. Ribs Hurt Scoliosis.
From www.youtube.com
Percutaneous Scolioplasty Treating Scoliosis with Injections of Bone Ribs Hurt Scoliosis The thoracic spine (middle/upper back) is most commonly affected by scoliosis. The effects of scoliosis can be widespread and felt throughout the body, and when it comes to the chest and ribs, the postural changes caused by. As a progressive condition, there are different stages to scoliosis severity, ranging from mild to severe. Also, a curvature may lead to pain. Ribs Hurt Scoliosis.
From scoliosiscarecenters.com
Nerve Tension and Scoliosis Scoliosis Care Centers Ribs Hurt Scoliosis As scoliosis worsens, it can cause more noticeable changes — including uneven hips and shoulders, prominent ribs, and a shift of the waist and trunk. Also, a curvature may lead to pain or discomfort in your chest and rib cage because the rib cage is attached to your thoracic. As a progressive condition, there are different stages to scoliosis severity,. Ribs Hurt Scoliosis.
From treatingscoliosis.com
How Does Scoliosis Affect Rib Pain, Lung Function & Shortness of Breath Ribs Hurt Scoliosis The effects of scoliosis can be widespread and felt throughout the body, and when it comes to the chest and ribs, the postural changes caused by. Particularly common with curvatures along the thoracic spine, a rib hump can develop. The thoracic spine (middle/upper back) is most commonly affected by scoliosis. As scoliosis worsens, it can cause more noticeable changes —. Ribs Hurt Scoliosis.
From www.researchgate.net
a) 3D CT format demonstrating congenital scoliosis with fused ribs Ribs Hurt Scoliosis The effects of scoliosis can be widespread and felt throughout the body, and when it comes to the chest and ribs, the postural changes caused by. Also, a curvature may lead to pain or discomfort in your chest and rib cage because the rib cage is attached to your thoracic. Particularly common with curvatures along the thoracic spine, a rib. Ribs Hurt Scoliosis.
From www.braceability.com
Scoliosis Types Congenital, Neuromuscular, Degenerative or Idiopathic Ribs Hurt Scoliosis Particularly common with curvatures along the thoracic spine, a rib hump can develop. As a progressive condition, there are different stages to scoliosis severity, ranging from mild to severe. The thoracic spine (middle/upper back) is most commonly affected by scoliosis. Also, a curvature may lead to pain or discomfort in your chest and rib cage because the rib cage is. Ribs Hurt Scoliosis.
From www.pinterest.es
Color XRay of a severe Scoliosis. This severe type of Scoliosis often Ribs Hurt Scoliosis You may feel thoracic scoliosis pain in your back and shoulders. As scoliosis worsens, it can cause more noticeable changes — including uneven hips and shoulders, prominent ribs, and a shift of the waist and trunk. When an unnatural thoracic curve exposes the spine and its surroundings to uneven pressure, the spine can pull on. Particularly common with curvatures along. Ribs Hurt Scoliosis.
From www.animalia-life.club
Treatment Mild Scoliosis Rib Hump Ribs Hurt Scoliosis When an unnatural thoracic curve exposes the spine and its surroundings to uneven pressure, the spine can pull on. You can treat it with physical therapy and surgery. As a progressive condition, there are different stages to scoliosis severity, ranging from mild to severe. The effects of scoliosis can be widespread and felt throughout the body, and when it comes. Ribs Hurt Scoliosis.
From aligntherapyutah.com
How to Stop Scoliosis From Getting Worse Align Therapy Clinic in Lehi Ribs Hurt Scoliosis As a progressive condition, there are different stages to scoliosis severity, ranging from mild to severe. Particularly common with curvatures along the thoracic spine, a rib hump can develop. When an unnatural thoracic curve exposes the spine and its surroundings to uneven pressure, the spine can pull on. You may feel thoracic scoliosis pain in your back and shoulders. You. Ribs Hurt Scoliosis.
From acc.vn
What is Scoliosis and How to treat? ACC Ribs Hurt Scoliosis Also, a curvature may lead to pain or discomfort in your chest and rib cage because the rib cage is attached to your thoracic. You may feel thoracic scoliosis pain in your back and shoulders. Scoliosis is often accompanied by a rib hump, or a visible protrusion on one side of the back. You can treat it with physical therapy. Ribs Hurt Scoliosis.
From www.spineandrehab.com
Comprehensive Guide to Understanding Scoliosis in Houston, TX Ribs Hurt Scoliosis As scoliosis worsens, it can cause more noticeable changes — including uneven hips and shoulders, prominent ribs, and a shift of the waist and trunk. When an unnatural thoracic curve exposes the spine and its surroundings to uneven pressure, the spine can pull on. You can treat it with physical therapy and surgery. Particularly common with curvatures along the thoracic. Ribs Hurt Scoliosis.
From www.stemcellretreats.com
What Causes Back Rib Pain? Stem Cell Retreats Ribs Hurt Scoliosis You may feel thoracic scoliosis pain in your back and shoulders. Scoliosis is often accompanied by a rib hump, or a visible protrusion on one side of the back. The thoracic spine (middle/upper back) is most commonly affected by scoliosis. Also, a curvature may lead to pain or discomfort in your chest and rib cage because the rib cage is. Ribs Hurt Scoliosis.
From www.jcoxchiro.com
Scoliosis... the sideways spinal curve that could be causing your Ribs Hurt Scoliosis The effects of scoliosis can be widespread and felt throughout the body, and when it comes to the chest and ribs, the postural changes caused by. As a progressive condition, there are different stages to scoliosis severity, ranging from mild to severe. When an unnatural thoracic curve exposes the spine and its surroundings to uneven pressure, the spine can pull. Ribs Hurt Scoliosis.
From ar.inspiredpencil.com
Severe Scoliosis Before And After Ribs Hurt Scoliosis As a progressive condition, there are different stages to scoliosis severity, ranging from mild to severe. The effects of scoliosis can be widespread and felt throughout the body, and when it comes to the chest and ribs, the postural changes caused by. You can treat it with physical therapy and surgery. When an unnatural thoracic curve exposes the spine and. Ribs Hurt Scoliosis.
From www.journaloforthopaedicscience.com
Multiple concave rib head resection improved correction rate of Ribs Hurt Scoliosis As scoliosis worsens, it can cause more noticeable changes — including uneven hips and shoulders, prominent ribs, and a shift of the waist and trunk. Also, a curvature may lead to pain or discomfort in your chest and rib cage because the rib cage is attached to your thoracic. The effects of scoliosis can be widespread and felt throughout the. Ribs Hurt Scoliosis.
From totalorthocare.in
Scoliosis vs. Kyphosis Key Differences Total Orthocare Ribs Hurt Scoliosis The effects of scoliosis can be widespread and felt throughout the body, and when it comes to the chest and ribs, the postural changes caused by. You may feel thoracic scoliosis pain in your back and shoulders. As scoliosis worsens, it can cause more noticeable changes — including uneven hips and shoulders, prominent ribs, and a shift of the waist. Ribs Hurt Scoliosis.
From scoliosiscenterofutah.com
Reduction of severe scoliosis in a 14yearold male patient Ribs Hurt Scoliosis As a progressive condition, there are different stages to scoliosis severity, ranging from mild to severe. Particularly common with curvatures along the thoracic spine, a rib hump can develop. As scoliosis worsens, it can cause more noticeable changes — including uneven hips and shoulders, prominent ribs, and a shift of the waist and trunk. You can treat it with physical. Ribs Hurt Scoliosis.
From www.lullysleep.com
How to Sleep With Scoliosis (Helpful Tips Included) Lully Sleep Ribs Hurt Scoliosis Particularly common with curvatures along the thoracic spine, a rib hump can develop. The thoracic spine (middle/upper back) is most commonly affected by scoliosis. As scoliosis worsens, it can cause more noticeable changes — including uneven hips and shoulders, prominent ribs, and a shift of the waist and trunk. When an unnatural thoracic curve exposes the spine and its surroundings. Ribs Hurt Scoliosis.
From www.reddit.com
Curious about different therapy options and ways to lessen rib humps Ribs Hurt Scoliosis Scoliosis is often accompanied by a rib hump, or a visible protrusion on one side of the back. You may feel thoracic scoliosis pain in your back and shoulders. As scoliosis worsens, it can cause more noticeable changes — including uneven hips and shoulders, prominent ribs, and a shift of the waist and trunk. You can treat it with physical. Ribs Hurt Scoliosis.
From www.spineandscoliosis.com
Before and After Scoliosis Surgery with Darryl Antonacci Ribs Hurt Scoliosis Scoliosis is often accompanied by a rib hump, or a visible protrusion on one side of the back. You may feel thoracic scoliosis pain in your back and shoulders. The effects of scoliosis can be widespread and felt throughout the body, and when it comes to the chest and ribs, the postural changes caused by. Particularly common with curvatures along. Ribs Hurt Scoliosis.
From www.researchgate.net
(a) Chest Xray taken 6 months prior to presentation to us showing mild Ribs Hurt Scoliosis You may feel thoracic scoliosis pain in your back and shoulders. As scoliosis worsens, it can cause more noticeable changes — including uneven hips and shoulders, prominent ribs, and a shift of the waist and trunk. Particularly common with curvatures along the thoracic spine, a rib hump can develop. You can treat it with physical therapy and surgery. When an. Ribs Hurt Scoliosis.
From www.researchgate.net
Congenital scoliosis with fused ribs treated using VEPTR. Expansion Ribs Hurt Scoliosis You may feel thoracic scoliosis pain in your back and shoulders. As scoliosis worsens, it can cause more noticeable changes — including uneven hips and shoulders, prominent ribs, and a shift of the waist and trunk. The thoracic spine (middle/upper back) is most commonly affected by scoliosis. Scoliosis is often accompanied by a rib hump, or a visible protrusion on. Ribs Hurt Scoliosis.
From heyclinic.com
Can I get a nice correction of my rib hump and feel better with less Ribs Hurt Scoliosis Scoliosis is often accompanied by a rib hump, or a visible protrusion on one side of the back. As scoliosis worsens, it can cause more noticeable changes — including uneven hips and shoulders, prominent ribs, and a shift of the waist and trunk. As a progressive condition, there are different stages to scoliosis severity, ranging from mild to severe. Particularly. Ribs Hurt Scoliosis.
From www.youtube.com
Yoga for Scoliosis 4 exercises to reduce rib pain YouTube Ribs Hurt Scoliosis Also, a curvature may lead to pain or discomfort in your chest and rib cage because the rib cage is attached to your thoracic. Particularly common with curvatures along the thoracic spine, a rib hump can develop. The effects of scoliosis can be widespread and felt throughout the body, and when it comes to the chest and ribs, the postural. Ribs Hurt Scoliosis.
From centenoschultz.com
Degenerative Scoliosis NonSurgical Treatment CSC Ribs Hurt Scoliosis The effects of scoliosis can be widespread and felt throughout the body, and when it comes to the chest and ribs, the postural changes caused by. Particularly common with curvatures along the thoracic spine, a rib hump can develop. You can treat it with physical therapy and surgery. As scoliosis worsens, it can cause more noticeable changes — including uneven. Ribs Hurt Scoliosis.
From www.scoliosissos.com
Signs of Scoliosis What to Look For Ribs Hurt Scoliosis You can treat it with physical therapy and surgery. As scoliosis worsens, it can cause more noticeable changes — including uneven hips and shoulders, prominent ribs, and a shift of the waist and trunk. Also, a curvature may lead to pain or discomfort in your chest and rib cage because the rib cage is attached to your thoracic. Scoliosis is. Ribs Hurt Scoliosis.
From spinaltech.com
Spinal Technology Types of Scoliosis Ribs Hurt Scoliosis You can treat it with physical therapy and surgery. Scoliosis is often accompanied by a rib hump, or a visible protrusion on one side of the back. The effects of scoliosis can be widespread and felt throughout the body, and when it comes to the chest and ribs, the postural changes caused by. Particularly common with curvatures along the thoracic. Ribs Hurt Scoliosis.
From painandspinespecialists.com
What is Scoliosis? The Different Types of Scoliosis and Treatments Ribs Hurt Scoliosis You may feel thoracic scoliosis pain in your back and shoulders. As a progressive condition, there are different stages to scoliosis severity, ranging from mild to severe. Also, a curvature may lead to pain or discomfort in your chest and rib cage because the rib cage is attached to your thoracic. When an unnatural thoracic curve exposes the spine and. Ribs Hurt Scoliosis.
From www.youtube.com
3 Yoga stretches to improve scoliosis rib hump YouTube Ribs Hurt Scoliosis Particularly common with curvatures along the thoracic spine, a rib hump can develop. As a progressive condition, there are different stages to scoliosis severity, ranging from mild to severe. Scoliosis is often accompanied by a rib hump, or a visible protrusion on one side of the back. The thoracic spine (middle/upper back) is most commonly affected by scoliosis. As scoliosis. Ribs Hurt Scoliosis.
From www.floridaortho.com
Scoliosis Information Florida Orthopaedic Institute Ribs Hurt Scoliosis When an unnatural thoracic curve exposes the spine and its surroundings to uneven pressure, the spine can pull on. As scoliosis worsens, it can cause more noticeable changes — including uneven hips and shoulders, prominent ribs, and a shift of the waist and trunk. You may feel thoracic scoliosis pain in your back and shoulders. Scoliosis is often accompanied by. Ribs Hurt Scoliosis.
From www.ypo.education
Adolescent Idiopathic Scoliosis (Including bracing for and surgery Ribs Hurt Scoliosis The thoracic spine (middle/upper back) is most commonly affected by scoliosis. As a progressive condition, there are different stages to scoliosis severity, ranging from mild to severe. When an unnatural thoracic curve exposes the spine and its surroundings to uneven pressure, the spine can pull on. Scoliosis is often accompanied by a rib hump, or a visible protrusion on one. Ribs Hurt Scoliosis.
From scolitech.com
Scolibrace ScoliTech Ribs Hurt Scoliosis You can treat it with physical therapy and surgery. As scoliosis worsens, it can cause more noticeable changes — including uneven hips and shoulders, prominent ribs, and a shift of the waist and trunk. As a progressive condition, there are different stages to scoliosis severity, ranging from mild to severe. Scoliosis is often accompanied by a rib hump, or a. Ribs Hurt Scoliosis.
From journal.medizzy.com
Scoliosis surgery, before and after. MEDizzy Journal Ribs Hurt Scoliosis You can treat it with physical therapy and surgery. Particularly common with curvatures along the thoracic spine, a rib hump can develop. You may feel thoracic scoliosis pain in your back and shoulders. Also, a curvature may lead to pain or discomfort in your chest and rib cage because the rib cage is attached to your thoracic. As scoliosis worsens,. Ribs Hurt Scoliosis.