Tooth Fillings Leaking . The purpose of a tooth filling is to repair, strengthen and protect teeth that have been damaged by tooth decay. Learn about dental amalgam safety, other materials for dental fillings, and reporting problems with amalgam fillings. A loose or damaged filling can even lead to a root canal infection. The technical term for it is microleakage. You can know if your dental fillings need replaced by looking for signs and symptoms at home and getting appropriate dental care. A leaky filling is a filling that doesn’t fit snugly against your tooth on all sides. Failure to remove fillings can result in oral discomfort and dental problems like tooth decay and advanced infections. In this article, we're going to focus on the two most. Not replacing dental fillings can lead to chipped or fractured tooth, infection, or abscesses, and may harm the long term health of your tooth. To prevent significant dental problems, dr. Asadi may recommend that your fillings are replaced. Any gaps between the filling and your tooth allow saliva, bacteria, and food particles to enter. Once a leaky filling condition exists, it is very important to get it properly treated. The us food and drug administration warned thursday that silver dental fillings, known as dental amalgam, may cause health. Pain or tooth sensitivity are common symptoms.
from www.clarencetam.co.nz
Failure to remove fillings can result in oral discomfort and dental problems like tooth decay and advanced infections. Asadi may recommend that your fillings are replaced. Not replacing dental fillings can lead to chipped or fractured tooth, infection, or abscesses, and may harm the long term health of your tooth. In this article, we're going to focus on the two most. Pain or tooth sensitivity are common symptoms. A loose or damaged filling can even lead to a root canal infection. Any gaps between the filling and your tooth allow saliva, bacteria, and food particles to enter. To prevent significant dental problems, dr. The purpose of a tooth filling is to repair, strengthen and protect teeth that have been damaged by tooth decay. A leaky filling is a filling that doesn’t fit snugly against your tooth on all sides.
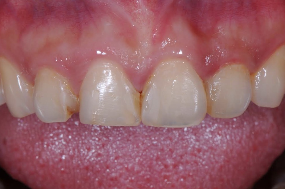
Replacing Leaking Old Composite Fillings
Tooth Fillings Leaking Not replacing dental fillings can lead to chipped or fractured tooth, infection, or abscesses, and may harm the long term health of your tooth. In this article, we're going to focus on the two most. The us food and drug administration warned thursday that silver dental fillings, known as dental amalgam, may cause health. Not replacing dental fillings can lead to chipped or fractured tooth, infection, or abscesses, and may harm the long term health of your tooth. The purpose of a tooth filling is to repair, strengthen and protect teeth that have been damaged by tooth decay. Pain or tooth sensitivity are common symptoms. A loose or damaged filling can even lead to a root canal infection. Failure to remove fillings can result in oral discomfort and dental problems like tooth decay and advanced infections. The technical term for it is microleakage. Any gaps between the filling and your tooth allow saliva, bacteria, and food particles to enter. A leaky filling is a filling that doesn’t fit snugly against your tooth on all sides. Learn about dental amalgam safety, other materials for dental fillings, and reporting problems with amalgam fillings. To prevent significant dental problems, dr. Once a leaky filling condition exists, it is very important to get it properly treated. You can know if your dental fillings need replaced by looking for signs and symptoms at home and getting appropriate dental care. Asadi may recommend that your fillings are replaced.
From www.clarencetam.co.nz
Replacing Old Leaking Fillings with Dental Artistry using Composite Resin Tooth Fillings Leaking The us food and drug administration warned thursday that silver dental fillings, known as dental amalgam, may cause health. To prevent significant dental problems, dr. Any gaps between the filling and your tooth allow saliva, bacteria, and food particles to enter. The purpose of a tooth filling is to repair, strengthen and protect teeth that have been damaged by tooth. Tooth Fillings Leaking.
From lazyibisnyc.com
MRI can leak mercury from dental fillings Lazyibisnyc Tooth Fillings Leaking Asadi may recommend that your fillings are replaced. A loose or damaged filling can even lead to a root canal infection. To prevent significant dental problems, dr. The technical term for it is microleakage. A leaky filling is a filling that doesn’t fit snugly against your tooth on all sides. You can know if your dental fillings need replaced by. Tooth Fillings Leaking.
From www.clarencetam.co.nz
Replacing Old Leaking Fillings with Sculpted Composite Resin Tooth Fillings Leaking A leaky filling is a filling that doesn’t fit snugly against your tooth on all sides. The us food and drug administration warned thursday that silver dental fillings, known as dental amalgam, may cause health. The purpose of a tooth filling is to repair, strengthen and protect teeth that have been damaged by tooth decay. To prevent significant dental problems,. Tooth Fillings Leaking.
From www.brisbaneprosthodontics.com.au
Services Composite Veneers Brisbane Prosthodontics Tooth Fillings Leaking The technical term for it is microleakage. Any gaps between the filling and your tooth allow saliva, bacteria, and food particles to enter. To prevent significant dental problems, dr. Learn about dental amalgam safety, other materials for dental fillings, and reporting problems with amalgam fillings. Failure to remove fillings can result in oral discomfort and dental problems like tooth decay. Tooth Fillings Leaking.
From www.clarencetam.co.nz
Case354 Tam Dental Group Tooth Fillings Leaking Once a leaky filling condition exists, it is very important to get it properly treated. In this article, we're going to focus on the two most. Any gaps between the filling and your tooth allow saliva, bacteria, and food particles to enter. The purpose of a tooth filling is to repair, strengthen and protect teeth that have been damaged by. Tooth Fillings Leaking.
From www.clarencetam.co.nz
Replacing Leaking Old Composite Fillings Tooth Fillings Leaking Any gaps between the filling and your tooth allow saliva, bacteria, and food particles to enter. Pain or tooth sensitivity are common symptoms. The technical term for it is microleakage. To prevent significant dental problems, dr. A loose or damaged filling can even lead to a root canal infection. A leaky filling is a filling that doesn’t fit snugly against. Tooth Fillings Leaking.
From www.clarencetam.co.nz
Replacing an old leaking composite filling Tooth Fillings Leaking In this article, we're going to focus on the two most. Asadi may recommend that your fillings are replaced. To prevent significant dental problems, dr. Any gaps between the filling and your tooth allow saliva, bacteria, and food particles to enter. Pain or tooth sensitivity are common symptoms. The us food and drug administration warned thursday that silver dental fillings,. Tooth Fillings Leaking.
From www.youtube.com
Replacing Leaky Composite Fillings Dental Minute with Steven T. Cutbirth, DDS YouTube Tooth Fillings Leaking You can know if your dental fillings need replaced by looking for signs and symptoms at home and getting appropriate dental care. To prevent significant dental problems, dr. Any gaps between the filling and your tooth allow saliva, bacteria, and food particles to enter. A loose or damaged filling can even lead to a root canal infection. The purpose of. Tooth Fillings Leaking.
From www.positivelypda.com
Palmetto Dental Associates — Toothcolored Fillings Tooth Fillings Leaking Once a leaky filling condition exists, it is very important to get it properly treated. Failure to remove fillings can result in oral discomfort and dental problems like tooth decay and advanced infections. Any gaps between the filling and your tooth allow saliva, bacteria, and food particles to enter. Learn about dental amalgam safety, other materials for dental fillings, and. Tooth Fillings Leaking.
From exofqtgzc.blob.core.windows.net
Dental Fillings Leaking at Julia Pellot blog Tooth Fillings Leaking To prevent significant dental problems, dr. The technical term for it is microleakage. The purpose of a tooth filling is to repair, strengthen and protect teeth that have been damaged by tooth decay. Failure to remove fillings can result in oral discomfort and dental problems like tooth decay and advanced infections. You can know if your dental fillings need replaced. Tooth Fillings Leaking.
From windsordentists.com.au
Leaking Fillings and Early Tooth Decay Windsor Dentists Tooth Fillings Leaking In this article, we're going to focus on the two most. A loose or damaged filling can even lead to a root canal infection. You can know if your dental fillings need replaced by looking for signs and symptoms at home and getting appropriate dental care. The technical term for it is microleakage. The purpose of a tooth filling is. Tooth Fillings Leaking.
From caffeinateddentist.blogspot.com
A BLOG ABOUT LIFE AND DENTISTRY Cracked Amalgam Fillings Tooth Fillings Leaking You can know if your dental fillings need replaced by looking for signs and symptoms at home and getting appropriate dental care. Any gaps between the filling and your tooth allow saliva, bacteria, and food particles to enter. To prevent significant dental problems, dr. Learn about dental amalgam safety, other materials for dental fillings, and reporting problems with amalgam fillings.. Tooth Fillings Leaking.
From www.clarencetam.co.nz
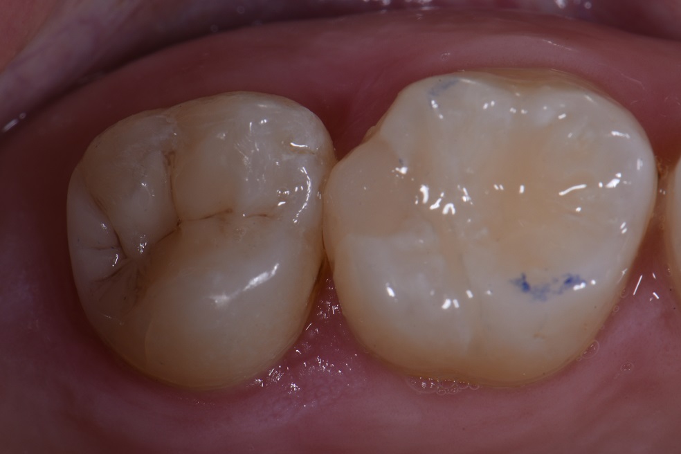
Composite Fillings Marginal Leakage and Failure Composite Fillings Marginal Leakage and Failure Tooth Fillings Leaking Pain or tooth sensitivity are common symptoms. A loose or damaged filling can even lead to a root canal infection. In this article, we're going to focus on the two most. To prevent significant dental problems, dr. Learn about dental amalgam safety, other materials for dental fillings, and reporting problems with amalgam fillings. Once a leaky filling condition exists, it. Tooth Fillings Leaking.
From www.thehealthsciencejournal.com
Leaking Amalgam Filling? Why the Cost to Have It Replaced Might be Worth it The Health Science Tooth Fillings Leaking To prevent significant dental problems, dr. Any gaps between the filling and your tooth allow saliva, bacteria, and food particles to enter. Learn about dental amalgam safety, other materials for dental fillings, and reporting problems with amalgam fillings. In this article, we're going to focus on the two most. Once a leaky filling condition exists, it is very important to. Tooth Fillings Leaking.
From www.clarencetam.co.nz
Replacing leaking composite fillings for a young dentist Tooth Fillings Leaking Once a leaky filling condition exists, it is very important to get it properly treated. To prevent significant dental problems, dr. Any gaps between the filling and your tooth allow saliva, bacteria, and food particles to enter. A loose or damaged filling can even lead to a root canal infection. The purpose of a tooth filling is to repair, strengthen. Tooth Fillings Leaking.
From exofqtgzc.blob.core.windows.net
Dental Fillings Leaking at Julia Pellot blog Tooth Fillings Leaking A leaky filling is a filling that doesn’t fit snugly against your tooth on all sides. The purpose of a tooth filling is to repair, strengthen and protect teeth that have been damaged by tooth decay. Once a leaky filling condition exists, it is very important to get it properly treated. In this article, we're going to focus on the. Tooth Fillings Leaking.
From www.dentalclinic-knet.com
Amalgam dental fillings leak toxic mercury gas Dental Clinic Tooth Fillings Leaking A loose or damaged filling can even lead to a root canal infection. You can know if your dental fillings need replaced by looking for signs and symptoms at home and getting appropriate dental care. The purpose of a tooth filling is to repair, strengthen and protect teeth that have been damaged by tooth decay. Asadi may recommend that your. Tooth Fillings Leaking.
From windsordentists.com.au
Leaking Fillings and Early Tooth Decay Windsor Dentists Tooth Fillings Leaking Once a leaky filling condition exists, it is very important to get it properly treated. Asadi may recommend that your fillings are replaced. The us food and drug administration warned thursday that silver dental fillings, known as dental amalgam, may cause health. A loose or damaged filling can even lead to a root canal infection. Any gaps between the filling. Tooth Fillings Leaking.
From www.clarencetam.co.nz
Case313 Tam Dental Group Tooth Fillings Leaking Not replacing dental fillings can lead to chipped or fractured tooth, infection, or abscesses, and may harm the long term health of your tooth. The technical term for it is microleakage. A leaky filling is a filling that doesn’t fit snugly against your tooth on all sides. Pain or tooth sensitivity are common symptoms. Failure to remove fillings can result. Tooth Fillings Leaking.
From exofqtgzc.blob.core.windows.net
Dental Fillings Leaking at Julia Pellot blog Tooth Fillings Leaking Any gaps between the filling and your tooth allow saliva, bacteria, and food particles to enter. The technical term for it is microleakage. To prevent significant dental problems, dr. A leaky filling is a filling that doesn’t fit snugly against your tooth on all sides. Pain or tooth sensitivity are common symptoms. In this article, we're going to focus on. Tooth Fillings Leaking.
From dentistaruba.com
Dental Health Practice For Advanced DentistryPractice For Advanced Dentistry Tooth Fillings Leaking Once a leaky filling condition exists, it is very important to get it properly treated. The us food and drug administration warned thursday that silver dental fillings, known as dental amalgam, may cause health. Any gaps between the filling and your tooth allow saliva, bacteria, and food particles to enter. The technical term for it is microleakage. In this article,. Tooth Fillings Leaking.
From www.clarencetam.co.nz
Replacing Leaking Fillings Tooth Contoured Fillings Restorative Dentist Clarence Tam AACD Tooth Fillings Leaking Failure to remove fillings can result in oral discomfort and dental problems like tooth decay and advanced infections. The us food and drug administration warned thursday that silver dental fillings, known as dental amalgam, may cause health. Pain or tooth sensitivity are common symptoms. Not replacing dental fillings can lead to chipped or fractured tooth, infection, or abscesses, and may. Tooth Fillings Leaking.
From www.aparat.com
Leaking Dental Fillings Tooth Fillings Leaking A leaky filling is a filling that doesn’t fit snugly against your tooth on all sides. Learn about dental amalgam safety, other materials for dental fillings, and reporting problems with amalgam fillings. Any gaps between the filling and your tooth allow saliva, bacteria, and food particles to enter. A loose or damaged filling can even lead to a root canal. Tooth Fillings Leaking.
From parkerwestdental.com
Replacing an Old Leaking Filling, Plano, TX Tooth Fillings Leaking Asadi may recommend that your fillings are replaced. To prevent significant dental problems, dr. Learn about dental amalgam safety, other materials for dental fillings, and reporting problems with amalgam fillings. Pain or tooth sensitivity are common symptoms. A leaky filling is a filling that doesn’t fit snugly against your tooth on all sides. A loose or damaged filling can even. Tooth Fillings Leaking.
From aldentedentist.ca
Tooth Filling Tooth Sealants Aldente Dentistry Tooth Fillings Leaking A loose or damaged filling can even lead to a root canal infection. Not replacing dental fillings can lead to chipped or fractured tooth, infection, or abscesses, and may harm the long term health of your tooth. The technical term for it is microleakage. Asadi may recommend that your fillings are replaced. To prevent significant dental problems, dr. Failure to. Tooth Fillings Leaking.
From www.mcfarlanedental.com
Leaking Sealant McFarlane Dental Tooth Fillings Leaking Learn about dental amalgam safety, other materials for dental fillings, and reporting problems with amalgam fillings. Asadi may recommend that your fillings are replaced. A loose or damaged filling can even lead to a root canal infection. In this article, we're going to focus on the two most. The purpose of a tooth filling is to repair, strengthen and protect. Tooth Fillings Leaking.
From www.humbledentist.com
General Dentist Humble TX Smile Gallery ToothColored Fillings Tooth Fillings Leaking The purpose of a tooth filling is to repair, strengthen and protect teeth that have been damaged by tooth decay. Asadi may recommend that your fillings are replaced. A leaky filling is a filling that doesn’t fit snugly against your tooth on all sides. The us food and drug administration warned thursday that silver dental fillings, known as dental amalgam,. Tooth Fillings Leaking.
From windsordentists.com.au
Leaking Fillings and Early Tooth Decay Windsor Dentists Tooth Fillings Leaking Failure to remove fillings can result in oral discomfort and dental problems like tooth decay and advanced infections. Pain or tooth sensitivity are common symptoms. Learn about dental amalgam safety, other materials for dental fillings, and reporting problems with amalgam fillings. Not replacing dental fillings can lead to chipped or fractured tooth, infection, or abscesses, and may harm the long. Tooth Fillings Leaking.
From www.clarencetam.co.nz
Replacing Old Leaking Fillings with Sculpted Composite Resin Tooth Fillings Leaking A leaky filling is a filling that doesn’t fit snugly against your tooth on all sides. The us food and drug administration warned thursday that silver dental fillings, known as dental amalgam, may cause health. A loose or damaged filling can even lead to a root canal infection. The purpose of a tooth filling is to repair, strengthen and protect. Tooth Fillings Leaking.
From www.bbc.co.uk
Metal fillings 'leak mercury after scan' BBC News Tooth Fillings Leaking Asadi may recommend that your fillings are replaced. A loose or damaged filling can even lead to a root canal infection. Once a leaky filling condition exists, it is very important to get it properly treated. Any gaps between the filling and your tooth allow saliva, bacteria, and food particles to enter. Not replacing dental fillings can lead to chipped. Tooth Fillings Leaking.
From www.youtube.com
why leaking fillings need to be replaced YouTube Tooth Fillings Leaking In this article, we're going to focus on the two most. The technical term for it is microleakage. You can know if your dental fillings need replaced by looking for signs and symptoms at home and getting appropriate dental care. Failure to remove fillings can result in oral discomfort and dental problems like tooth decay and advanced infections. Any gaps. Tooth Fillings Leaking.
From www.clarencetam.co.nz
Leaking Amalgam Filling Replacements with Composite Resin Tooth Fillings Leaking In this article, we're going to focus on the two most. Pain or tooth sensitivity are common symptoms. The purpose of a tooth filling is to repair, strengthen and protect teeth that have been damaged by tooth decay. You can know if your dental fillings need replaced by looking for signs and symptoms at home and getting appropriate dental care.. Tooth Fillings Leaking.
From www.clarencetam.co.nz
Replacing an old leaking composite filling Tooth Fillings Leaking Pain or tooth sensitivity are common symptoms. The us food and drug administration warned thursday that silver dental fillings, known as dental amalgam, may cause health. Not replacing dental fillings can lead to chipped or fractured tooth, infection, or abscesses, and may harm the long term health of your tooth. To prevent significant dental problems, dr. Asadi may recommend that. Tooth Fillings Leaking.
From www.clarencetam.co.nz
Replacing Old Leaking Fillings with Dental Artistry using Composite Resin Tooth Fillings Leaking In this article, we're going to focus on the two most. The us food and drug administration warned thursday that silver dental fillings, known as dental amalgam, may cause health. Once a leaky filling condition exists, it is very important to get it properly treated. Pain or tooth sensitivity are common symptoms. The purpose of a tooth filling is to. Tooth Fillings Leaking.
From gentledentalmaine.com
What Is A Leaky Filling? Gentle Dental Maine Tooth Fillings Leaking To prevent significant dental problems, dr. Any gaps between the filling and your tooth allow saliva, bacteria, and food particles to enter. Pain or tooth sensitivity are common symptoms. In this article, we're going to focus on the two most. Asadi may recommend that your fillings are replaced. You can know if your dental fillings need replaced by looking for. Tooth Fillings Leaking.