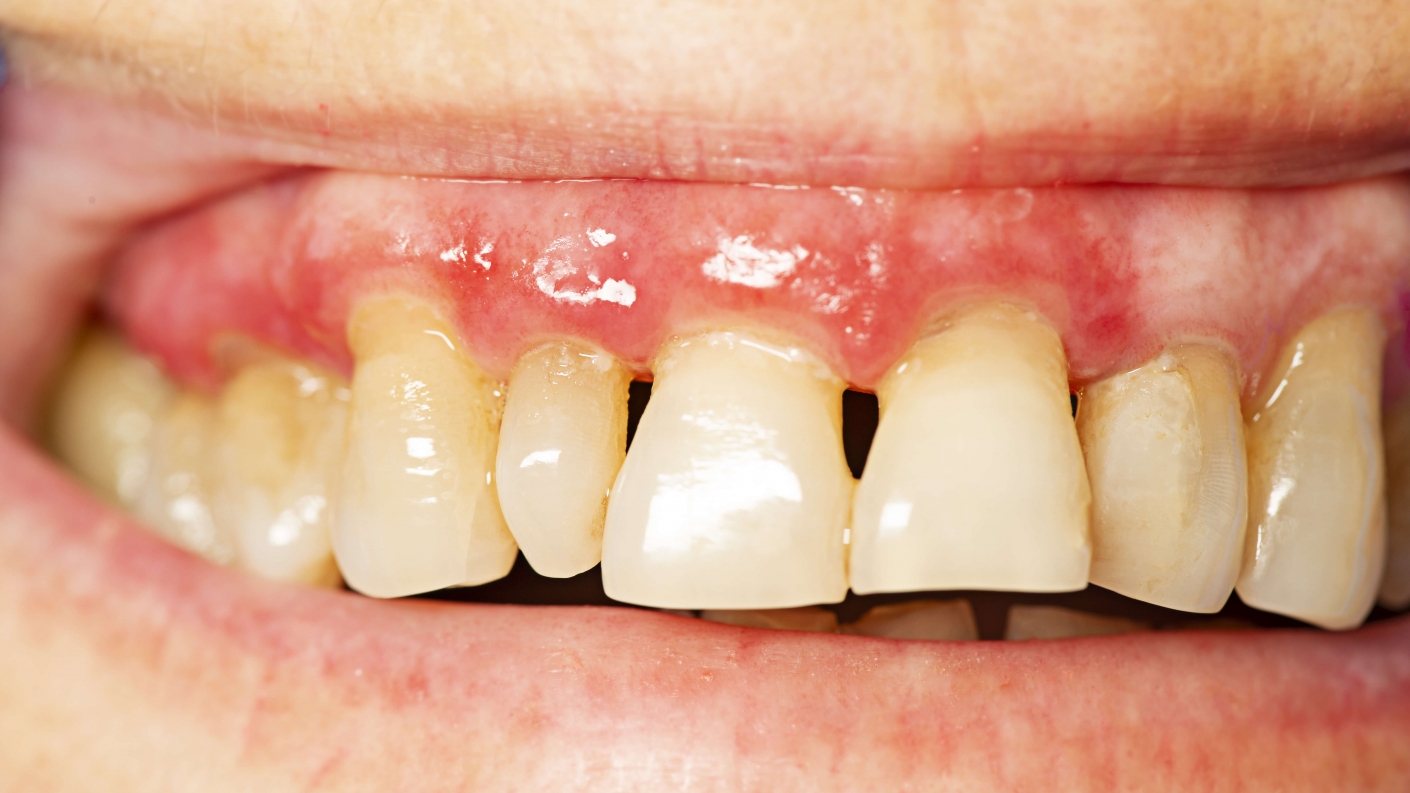
Lupus And Teeth . Sle patients also exhibit a high prevalence of dental caries and an increased number of missing teeth. I spoke with both my dentist and my rheumatologist, who confirmed that issues such as these can be attributed to the fact that lupus patients often have dry mouth. Learn how lupus affects your oral health and what you can do to prevent dental problems. Researchers have addressed the diagnosis and management of dental and orofacial manifestations in patients with systemic lupus erythematosus. In a recent literature review, researchers discovered that people with lupus are more at risk of compromised oral and dental. If you have lupus and are preparing to have a crown, root canal, or tooth extraction, talk to your rheumatologist and your dentist about how your lupus may. Find out about mouth ulcers, cavities, periodontal disease, sjogren's.
from teethandchiefs.com
Researchers have addressed the diagnosis and management of dental and orofacial manifestations in patients with systemic lupus erythematosus. In a recent literature review, researchers discovered that people with lupus are more at risk of compromised oral and dental. If you have lupus and are preparing to have a crown, root canal, or tooth extraction, talk to your rheumatologist and your dentist about how your lupus may. Learn how lupus affects your oral health and what you can do to prevent dental problems. Find out about mouth ulcers, cavities, periodontal disease, sjogren's. Sle patients also exhibit a high prevalence of dental caries and an increased number of missing teeth. I spoke with both my dentist and my rheumatologist, who confirmed that issues such as these can be attributed to the fact that lupus patients often have dry mouth.
What is Lupus? Teeth & Chiefs
Lupus And Teeth Find out about mouth ulcers, cavities, periodontal disease, sjogren's. Sle patients also exhibit a high prevalence of dental caries and an increased number of missing teeth. I spoke with both my dentist and my rheumatologist, who confirmed that issues such as these can be attributed to the fact that lupus patients often have dry mouth. Find out about mouth ulcers, cavities, periodontal disease, sjogren's. Learn how lupus affects your oral health and what you can do to prevent dental problems. If you have lupus and are preparing to have a crown, root canal, or tooth extraction, talk to your rheumatologist and your dentist about how your lupus may. Researchers have addressed the diagnosis and management of dental and orofacial manifestations in patients with systemic lupus erythematosus. In a recent literature review, researchers discovered that people with lupus are more at risk of compromised oral and dental.
From www.findatopdoc.com
Lupus Symptoms, Causes, Treatment, and Diagnosis FindATopDoc Lupus And Teeth In a recent literature review, researchers discovered that people with lupus are more at risk of compromised oral and dental. If you have lupus and are preparing to have a crown, root canal, or tooth extraction, talk to your rheumatologist and your dentist about how your lupus may. Researchers have addressed the diagnosis and management of dental and orofacial manifestations. Lupus And Teeth.
From www.youtube.com
Lupus 112011 Lupus and Teeth Stem Cell Transplant YouTube Lupus And Teeth Researchers have addressed the diagnosis and management of dental and orofacial manifestations in patients with systemic lupus erythematosus. Sle patients also exhibit a high prevalence of dental caries and an increased number of missing teeth. Find out about mouth ulcers, cavities, periodontal disease, sjogren's. If you have lupus and are preparing to have a crown, root canal, or tooth extraction,. Lupus And Teeth.
From mediafeed.org
What are the symptoms of lupus? MediaFeed Lupus And Teeth If you have lupus and are preparing to have a crown, root canal, or tooth extraction, talk to your rheumatologist and your dentist about how your lupus may. Researchers have addressed the diagnosis and management of dental and orofacial manifestations in patients with systemic lupus erythematosus. In a recent literature review, researchers discovered that people with lupus are more at. Lupus And Teeth.
From lupus.newlifeoutlook.com
Discussion on Sjogrens and Lupus’ Effect on Your Teeth Lupus Forum Lupus And Teeth Learn how lupus affects your oral health and what you can do to prevent dental problems. Researchers have addressed the diagnosis and management of dental and orofacial manifestations in patients with systemic lupus erythematosus. If you have lupus and are preparing to have a crown, root canal, or tooth extraction, talk to your rheumatologist and your dentist about how your. Lupus And Teeth.
From myhealthonly.net
Lupus Symptoms, Causes, Diagnosis, Treatment & Complications Lupus And Teeth Sle patients also exhibit a high prevalence of dental caries and an increased number of missing teeth. If you have lupus and are preparing to have a crown, root canal, or tooth extraction, talk to your rheumatologist and your dentist about how your lupus may. Researchers have addressed the diagnosis and management of dental and orofacial manifestations in patients with. Lupus And Teeth.
From www.semanticscholar.org
Figure 1 from Oral Manifestations of Systemic Lupus Erythematosus A Lupus And Teeth If you have lupus and are preparing to have a crown, root canal, or tooth extraction, talk to your rheumatologist and your dentist about how your lupus may. Learn how lupus affects your oral health and what you can do to prevent dental problems. I spoke with both my dentist and my rheumatologist, who confirmed that issues such as these. Lupus And Teeth.
From www.slideshare.net
Lupus and dental issues Lupus And Teeth Learn how lupus affects your oral health and what you can do to prevent dental problems. I spoke with both my dentist and my rheumatologist, who confirmed that issues such as these can be attributed to the fact that lupus patients often have dry mouth. Researchers have addressed the diagnosis and management of dental and orofacial manifestations in patients with. Lupus And Teeth.
From lupusla.org
Dental Care Tips for People with Lupus LUPUS LA Lupus And Teeth Sle patients also exhibit a high prevalence of dental caries and an increased number of missing teeth. Find out about mouth ulcers, cavities, periodontal disease, sjogren's. Learn how lupus affects your oral health and what you can do to prevent dental problems. Researchers have addressed the diagnosis and management of dental and orofacial manifestations in patients with systemic lupus erythematosus.. Lupus And Teeth.
From runnerjane33.hubpages.com
Early Lupus Symptoms What you Need to Look for Lupus And Teeth In a recent literature review, researchers discovered that people with lupus are more at risk of compromised oral and dental. If you have lupus and are preparing to have a crown, root canal, or tooth extraction, talk to your rheumatologist and your dentist about how your lupus may. Sle patients also exhibit a high prevalence of dental caries and an. Lupus And Teeth.
From smartsquare.piedmont.org
Lupus Causes, Symptoms and Treatment Information Piedmont Healthcare Lupus And Teeth Researchers have addressed the diagnosis and management of dental and orofacial manifestations in patients with systemic lupus erythematosus. Sle patients also exhibit a high prevalence of dental caries and an increased number of missing teeth. I spoke with both my dentist and my rheumatologist, who confirmed that issues such as these can be attributed to the fact that lupus patients. Lupus And Teeth.
From community.bulksupplements.com
What is Lupus Signs, Causes, Symptoms & Treatment Lupus And Teeth I spoke with both my dentist and my rheumatologist, who confirmed that issues such as these can be attributed to the fact that lupus patients often have dry mouth. If you have lupus and are preparing to have a crown, root canal, or tooth extraction, talk to your rheumatologist and your dentist about how your lupus may. Researchers have addressed. Lupus And Teeth.
From teethandchiefs.com
What is Lupus? Teeth & Chiefs Lupus And Teeth In a recent literature review, researchers discovered that people with lupus are more at risk of compromised oral and dental. Sle patients also exhibit a high prevalence of dental caries and an increased number of missing teeth. I spoke with both my dentist and my rheumatologist, who confirmed that issues such as these can be attributed to the fact that. Lupus And Teeth.
From www.londonlupuscentre.com
Lupus oral and dental health London Lupus Centre Lupus And Teeth Find out about mouth ulcers, cavities, periodontal disease, sjogren's. Researchers have addressed the diagnosis and management of dental and orofacial manifestations in patients with systemic lupus erythematosus. I spoke with both my dentist and my rheumatologist, who confirmed that issues such as these can be attributed to the fact that lupus patients often have dry mouth. Sle patients also exhibit. Lupus And Teeth.
From www.hss.edu
Lupus and Mouth Sores, Oral Complications HSS Lupus And Teeth Researchers have addressed the diagnosis and management of dental and orofacial manifestations in patients with systemic lupus erythematosus. Sle patients also exhibit a high prevalence of dental caries and an increased number of missing teeth. In a recent literature review, researchers discovered that people with lupus are more at risk of compromised oral and dental. If you have lupus and. Lupus And Teeth.
From casereports.bmj.com
Acute lupus pneumonitis as the initial presentation of systemic lupus Lupus And Teeth Find out about mouth ulcers, cavities, periodontal disease, sjogren's. Learn how lupus affects your oral health and what you can do to prevent dental problems. Sle patients also exhibit a high prevalence of dental caries and an increased number of missing teeth. If you have lupus and are preparing to have a crown, root canal, or tooth extraction, talk to. Lupus And Teeth.
From www.dentistrytoday.com
Lupus Linked With Periodontitis Complications Dentistry Today Lupus And Teeth Find out about mouth ulcers, cavities, periodontal disease, sjogren's. Learn how lupus affects your oral health and what you can do to prevent dental problems. Sle patients also exhibit a high prevalence of dental caries and an increased number of missing teeth. Researchers have addressed the diagnosis and management of dental and orofacial manifestations in patients with systemic lupus erythematosus.. Lupus And Teeth.
From www.youtube.com
Oklahoma scientists discover link between dental hygiene and lupus Lupus And Teeth I spoke with both my dentist and my rheumatologist, who confirmed that issues such as these can be attributed to the fact that lupus patients often have dry mouth. Researchers have addressed the diagnosis and management of dental and orofacial manifestations in patients with systemic lupus erythematosus. If you have lupus and are preparing to have a crown, root canal,. Lupus And Teeth.
From www.healthline.com
Lupus and Your Teeth Common Symptoms and Treatment Tips Lupus And Teeth Find out about mouth ulcers, cavities, periodontal disease, sjogren's. Learn how lupus affects your oral health and what you can do to prevent dental problems. I spoke with both my dentist and my rheumatologist, who confirmed that issues such as these can be attributed to the fact that lupus patients often have dry mouth. In a recent literature review, researchers. Lupus And Teeth.
From lupus.net
Why Is Dental Health Important For People Living With Lupus? Lupus And Teeth I spoke with both my dentist and my rheumatologist, who confirmed that issues such as these can be attributed to the fact that lupus patients often have dry mouth. If you have lupus and are preparing to have a crown, root canal, or tooth extraction, talk to your rheumatologist and your dentist about how your lupus may. Researchers have addressed. Lupus And Teeth.
From www.rdhmag.com
Lupus Erythematosus Registered Dental Hygienists Lupus And Teeth If you have lupus and are preparing to have a crown, root canal, or tooth extraction, talk to your rheumatologist and your dentist about how your lupus may. Find out about mouth ulcers, cavities, periodontal disease, sjogren's. In a recent literature review, researchers discovered that people with lupus are more at risk of compromised oral and dental. Researchers have addressed. Lupus And Teeth.
From dhnewswire.odha.on.ca
ODHA Dental Hygiene Newswire News and research for Ontario dental Lupus And Teeth If you have lupus and are preparing to have a crown, root canal, or tooth extraction, talk to your rheumatologist and your dentist about how your lupus may. Sle patients also exhibit a high prevalence of dental caries and an increased number of missing teeth. Find out about mouth ulcers, cavities, periodontal disease, sjogren's. Learn how lupus affects your oral. Lupus And Teeth.
From hubpages.com
Why I Didn't "Grin and Bear It" When I Started to Lose My Teeth Due to Lupus And Teeth If you have lupus and are preparing to have a crown, root canal, or tooth extraction, talk to your rheumatologist and your dentist about how your lupus may. Learn how lupus affects your oral health and what you can do to prevent dental problems. In a recent literature review, researchers discovered that people with lupus are more at risk of. Lupus And Teeth.
From www.oralmaxsurgery.theclinics.com
Systemic Lupus Erythematosus and Discoid Lupus Erythematosus Oral and Lupus And Teeth Find out about mouth ulcers, cavities, periodontal disease, sjogren's. I spoke with both my dentist and my rheumatologist, who confirmed that issues such as these can be attributed to the fact that lupus patients often have dry mouth. Learn how lupus affects your oral health and what you can do to prevent dental problems. Researchers have addressed the diagnosis and. Lupus And Teeth.
From www.phdental.com
Lupus Mouth Sores and Treatment for Oral Health Lupus And Teeth Researchers have addressed the diagnosis and management of dental and orofacial manifestations in patients with systemic lupus erythematosus. Find out about mouth ulcers, cavities, periodontal disease, sjogren's. I spoke with both my dentist and my rheumatologist, who confirmed that issues such as these can be attributed to the fact that lupus patients often have dry mouth. In a recent literature. Lupus And Teeth.
From www.medicalnewstoday.com
Early signs of lupus How to identify them Lupus And Teeth Learn how lupus affects your oral health and what you can do to prevent dental problems. Find out about mouth ulcers, cavities, periodontal disease, sjogren's. In a recent literature review, researchers discovered that people with lupus are more at risk of compromised oral and dental. Researchers have addressed the diagnosis and management of dental and orofacial manifestations in patients with. Lupus And Teeth.
From www.slideshare.net
Lupus and dental issues Lupus And Teeth I spoke with both my dentist and my rheumatologist, who confirmed that issues such as these can be attributed to the fact that lupus patients often have dry mouth. Find out about mouth ulcers, cavities, periodontal disease, sjogren's. Sle patients also exhibit a high prevalence of dental caries and an increased number of missing teeth. In a recent literature review,. Lupus And Teeth.
From lupus.newlifeoutlook.com
Sjogren's and Lupus How to Grin It and Bear It with Lupus Lupus And Teeth If you have lupus and are preparing to have a crown, root canal, or tooth extraction, talk to your rheumatologist and your dentist about how your lupus may. Find out about mouth ulcers, cavities, periodontal disease, sjogren's. Researchers have addressed the diagnosis and management of dental and orofacial manifestations in patients with systemic lupus erythematosus. Learn how lupus affects your. Lupus And Teeth.
From www.youtube.com
Lupus Signs & Symptoms (& Why They Occur) Skin, Joints, Organ Systems Lupus And Teeth I spoke with both my dentist and my rheumatologist, who confirmed that issues such as these can be attributed to the fact that lupus patients often have dry mouth. Learn how lupus affects your oral health and what you can do to prevent dental problems. In a recent literature review, researchers discovered that people with lupus are more at risk. Lupus And Teeth.
From www.slideshare.net
Lupus and dental issues Lupus And Teeth Sle patients also exhibit a high prevalence of dental caries and an increased number of missing teeth. If you have lupus and are preparing to have a crown, root canal, or tooth extraction, talk to your rheumatologist and your dentist about how your lupus may. Researchers have addressed the diagnosis and management of dental and orofacial manifestations in patients with. Lupus And Teeth.
From healthjade.net
Lupus Systemic Lupus Erythematosus (SLE) Causes, Sign & Symptoms Lupus And Teeth Researchers have addressed the diagnosis and management of dental and orofacial manifestations in patients with systemic lupus erythematosus. Find out about mouth ulcers, cavities, periodontal disease, sjogren's. I spoke with both my dentist and my rheumatologist, who confirmed that issues such as these can be attributed to the fact that lupus patients often have dry mouth. If you have lupus. Lupus And Teeth.
From www.slideshare.net
Lupus and dental issues Lupus And Teeth If you have lupus and are preparing to have a crown, root canal, or tooth extraction, talk to your rheumatologist and your dentist about how your lupus may. Sle patients also exhibit a high prevalence of dental caries and an increased number of missing teeth. Learn how lupus affects your oral health and what you can do to prevent dental. Lupus And Teeth.
From kaleidoscopefightinglupus.org
The Impact of Lupus on Oral and Dental Health Kaleidoscope Fighting Lupus Lupus And Teeth If you have lupus and are preparing to have a crown, root canal, or tooth extraction, talk to your rheumatologist and your dentist about how your lupus may. Sle patients also exhibit a high prevalence of dental caries and an increased number of missing teeth. Find out about mouth ulcers, cavities, periodontal disease, sjogren's. In a recent literature review, researchers. Lupus And Teeth.
From www.pinterest.com
Lupus mouth sore at the roof of my mouth. Mouth sores, Lupus, Roof of Lupus And Teeth Learn how lupus affects your oral health and what you can do to prevent dental problems. Researchers have addressed the diagnosis and management of dental and orofacial manifestations in patients with systemic lupus erythematosus. I spoke with both my dentist and my rheumatologist, who confirmed that issues such as these can be attributed to the fact that lupus patients often. Lupus And Teeth.
From www.reddit.com
lupus and teeth r/menhavelupus Lupus And Teeth I spoke with both my dentist and my rheumatologist, who confirmed that issues such as these can be attributed to the fact that lupus patients often have dry mouth. Sle patients also exhibit a high prevalence of dental caries and an increased number of missing teeth. In a recent literature review, researchers discovered that people with lupus are more at. Lupus And Teeth.
From healthella.com
Lupus Symptoms; 10 Warning Signs and Symptoms of Lupus Healthella Lupus And Teeth I spoke with both my dentist and my rheumatologist, who confirmed that issues such as these can be attributed to the fact that lupus patients often have dry mouth. Sle patients also exhibit a high prevalence of dental caries and an increased number of missing teeth. In a recent literature review, researchers discovered that people with lupus are more at. Lupus And Teeth.