Flexion Extension C Spine Mri . What is a cervical spine mri? Also, in only 15 of 52 patients identified with pc3 (21%) could the cord. Dynamic mri will show the flexional and extensional position of cervical spine other than neutral position. The potential importance of flexion/extension mri in the elucidation of cervical cord compression. Mri stands for m agnetic. There are important differences between a normal vs abnormal cervical mri which which will be discussed below.
from www.semanticscholar.org
The potential importance of flexion/extension mri in the elucidation of cervical cord compression. Mri stands for m agnetic. There are important differences between a normal vs abnormal cervical mri which which will be discussed below. Also, in only 15 of 52 patients identified with pc3 (21%) could the cord. Dynamic mri will show the flexional and extensional position of cervical spine other than neutral position. What is a cervical spine mri?
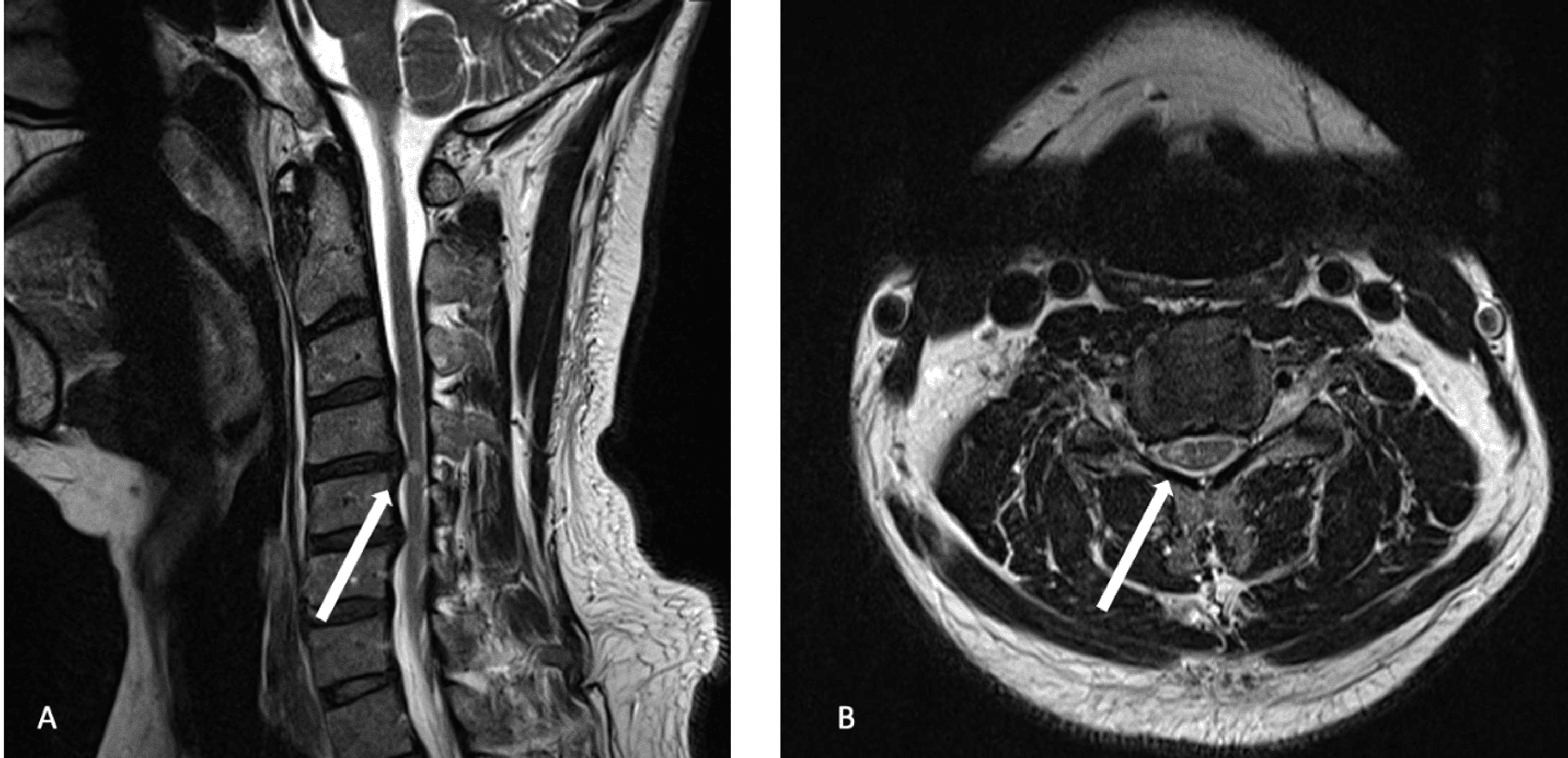
Figure 3 from Utility of Flexion and Extension MRI for Evaluating Isolated Cervical Spinal Cord
Flexion Extension C Spine Mri The potential importance of flexion/extension mri in the elucidation of cervical cord compression. Mri stands for m agnetic. There are important differences between a normal vs abnormal cervical mri which which will be discussed below. What is a cervical spine mri? Also, in only 15 of 52 patients identified with pc3 (21%) could the cord. The potential importance of flexion/extension mri in the elucidation of cervical cord compression. Dynamic mri will show the flexional and extensional position of cervical spine other than neutral position.
From www.researchgate.net
Flexion and extension MR imaging of the cervical spine in a 10yearold... Download Scientific Flexion Extension C Spine Mri Also, in only 15 of 52 patients identified with pc3 (21%) could the cord. Mri stands for m agnetic. Dynamic mri will show the flexional and extensional position of cervical spine other than neutral position. There are important differences between a normal vs abnormal cervical mri which which will be discussed below. What is a cervical spine mri? The potential. Flexion Extension C Spine Mri.
From www.cureus.com
Utility of Flexion and Extension MRI for Evaluating Isolated Cervical Spinal Cord Lesions A Flexion Extension C Spine Mri What is a cervical spine mri? The potential importance of flexion/extension mri in the elucidation of cervical cord compression. Also, in only 15 of 52 patients identified with pc3 (21%) could the cord. Dynamic mri will show the flexional and extensional position of cervical spine other than neutral position. There are important differences between a normal vs abnormal cervical mri. Flexion Extension C Spine Mri.
From regenexx.com
Using Upright Cervical MRI to Diagnose CCI Regenexx Flexion Extension C Spine Mri Mri stands for m agnetic. There are important differences between a normal vs abnormal cervical mri which which will be discussed below. What is a cervical spine mri? Dynamic mri will show the flexional and extensional position of cervical spine other than neutral position. Also, in only 15 of 52 patients identified with pc3 (21%) could the cord. The potential. Flexion Extension C Spine Mri.
From www.wikiradiography.net
Flexion and Extension Cervical Spine Radiography wikiRadiography Flexion Extension C Spine Mri The potential importance of flexion/extension mri in the elucidation of cervical cord compression. Also, in only 15 of 52 patients identified with pc3 (21%) could the cord. Dynamic mri will show the flexional and extensional position of cervical spine other than neutral position. What is a cervical spine mri? Mri stands for m agnetic. There are important differences between a. Flexion Extension C Spine Mri.
From ar.inspiredpencil.com
Cervical Spine Mri Labeled Flexion Extension C Spine Mri Mri stands for m agnetic. There are important differences between a normal vs abnormal cervical mri which which will be discussed below. Dynamic mri will show the flexional and extensional position of cervical spine other than neutral position. What is a cervical spine mri? Also, in only 15 of 52 patients identified with pc3 (21%) could the cord. The potential. Flexion Extension C Spine Mri.
From www.researchgate.net
Flexion/extension lateral cervical spine Xrays confirming significant... Download Scientific Flexion Extension C Spine Mri Also, in only 15 of 52 patients identified with pc3 (21%) could the cord. The potential importance of flexion/extension mri in the elucidation of cervical cord compression. What is a cervical spine mri? Mri stands for m agnetic. Dynamic mri will show the flexional and extensional position of cervical spine other than neutral position. There are important differences between a. Flexion Extension C Spine Mri.
From www.cureus.com
Utility of Flexion and Extension MRI for Evaluating Isolated Cervical Spinal Cord Lesions A Flexion Extension C Spine Mri Dynamic mri will show the flexional and extensional position of cervical spine other than neutral position. What is a cervical spine mri? The potential importance of flexion/extension mri in the elucidation of cervical cord compression. Mri stands for m agnetic. Also, in only 15 of 52 patients identified with pc3 (21%) could the cord. There are important differences between a. Flexion Extension C Spine Mri.
From www.researchgate.net
Cervical spine flexion and extension radiographs. Cervical spine... Download Scientific Diagram Flexion Extension C Spine Mri Dynamic mri will show the flexional and extensional position of cervical spine other than neutral position. What is a cervical spine mri? Also, in only 15 of 52 patients identified with pc3 (21%) could the cord. The potential importance of flexion/extension mri in the elucidation of cervical cord compression. Mri stands for m agnetic. There are important differences between a. Flexion Extension C Spine Mri.
From casereports.bmj.com
Role of dynamic MRI in occult cervical canal stenosis BMJ Case Reports Flexion Extension C Spine Mri Dynamic mri will show the flexional and extensional position of cervical spine other than neutral position. Mri stands for m agnetic. The potential importance of flexion/extension mri in the elucidation of cervical cord compression. There are important differences between a normal vs abnormal cervical mri which which will be discussed below. Also, in only 15 of 52 patients identified with. Flexion Extension C Spine Mri.
From chiro.org
Nordic Institute of Chiropractic and Clinical Biomechanics, Flexion Extension C Spine Mri There are important differences between a normal vs abnormal cervical mri which which will be discussed below. What is a cervical spine mri? Also, in only 15 of 52 patients identified with pc3 (21%) could the cord. Mri stands for m agnetic. Dynamic mri will show the flexional and extensional position of cervical spine other than neutral position. The potential. Flexion Extension C Spine Mri.
From caringmedical.com
Reviews of Diagnostic Imaging Technology for Cervical Spine Instability Ross Hauser, MD. Flexion Extension C Spine Mri Also, in only 15 of 52 patients identified with pc3 (21%) could the cord. The potential importance of flexion/extension mri in the elucidation of cervical cord compression. Mri stands for m agnetic. Dynamic mri will show the flexional and extensional position of cervical spine other than neutral position. What is a cervical spine mri? There are important differences between a. Flexion Extension C Spine Mri.
From www.researchgate.net
Postoperative T2weighted sagittal MRI (flexion and extension) spinal... Download Scientific Flexion Extension C Spine Mri Mri stands for m agnetic. There are important differences between a normal vs abnormal cervical mri which which will be discussed below. Also, in only 15 of 52 patients identified with pc3 (21%) could the cord. The potential importance of flexion/extension mri in the elucidation of cervical cord compression. What is a cervical spine mri? Dynamic mri will show the. Flexion Extension C Spine Mri.
From commons.wikimedia.org
FileCervical XRayFlexionExtension.jpg Wikimedia Commons Flexion Extension C Spine Mri Mri stands for m agnetic. There are important differences between a normal vs abnormal cervical mri which which will be discussed below. What is a cervical spine mri? Dynamic mri will show the flexional and extensional position of cervical spine other than neutral position. The potential importance of flexion/extension mri in the elucidation of cervical cord compression. Also, in only. Flexion Extension C Spine Mri.
From www.ejradiology.com
Clinical feasibility of 2D dynamic sagittal HASTE flexionextension imaging of the cervical Flexion Extension C Spine Mri The potential importance of flexion/extension mri in the elucidation of cervical cord compression. What is a cervical spine mri? Mri stands for m agnetic. Also, in only 15 of 52 patients identified with pc3 (21%) could the cord. Dynamic mri will show the flexional and extensional position of cervical spine other than neutral position. There are important differences between a. Flexion Extension C Spine Mri.
From www.semanticscholar.org
Figure 3 from Utility of Flexion and Extension MRI for Evaluating Isolated Cervical Spinal Cord Flexion Extension C Spine Mri There are important differences between a normal vs abnormal cervical mri which which will be discussed below. Dynamic mri will show the flexional and extensional position of cervical spine other than neutral position. Mri stands for m agnetic. Also, in only 15 of 52 patients identified with pc3 (21%) could the cord. What is a cervical spine mri? The potential. Flexion Extension C Spine Mri.
From www.wikiradiography.net
Flexion and Extension Cervical Spine Radiography wikiRadiography Flexion Extension C Spine Mri Also, in only 15 of 52 patients identified with pc3 (21%) could the cord. What is a cervical spine mri? Dynamic mri will show the flexional and extensional position of cervical spine other than neutral position. There are important differences between a normal vs abnormal cervical mri which which will be discussed below. Mri stands for m agnetic. The potential. Flexion Extension C Spine Mri.
From www.researchgate.net
MRI Cspine in flexion and extension showing untreated severe CMJ... Download Scientific Diagram Flexion Extension C Spine Mri Dynamic mri will show the flexional and extensional position of cervical spine other than neutral position. The potential importance of flexion/extension mri in the elucidation of cervical cord compression. What is a cervical spine mri? Also, in only 15 of 52 patients identified with pc3 (21%) could the cord. There are important differences between a normal vs abnormal cervical mri. Flexion Extension C Spine Mri.
From pn.bmj.com
MRI with neck extension to diagnose cervical spondylotic myelopathy Practical Neurology Flexion Extension C Spine Mri The potential importance of flexion/extension mri in the elucidation of cervical cord compression. Dynamic mri will show the flexional and extensional position of cervical spine other than neutral position. What is a cervical spine mri? There are important differences between a normal vs abnormal cervical mri which which will be discussed below. Mri stands for m agnetic. Also, in only. Flexion Extension C Spine Mri.
From www.researchgate.net
The extension (A) and flexion (B) cervical MRI in our patient which... Download Scientific Diagram Flexion Extension C Spine Mri Also, in only 15 of 52 patients identified with pc3 (21%) could the cord. Mri stands for m agnetic. Dynamic mri will show the flexional and extensional position of cervical spine other than neutral position. There are important differences between a normal vs abnormal cervical mri which which will be discussed below. The potential importance of flexion/extension mri in the. Flexion Extension C Spine Mri.
From www.thrivedc.org
Ct cervical spine flexion extension Flexion Extension C Spine Mri Mri stands for m agnetic. What is a cervical spine mri? Dynamic mri will show the flexional and extensional position of cervical spine other than neutral position. Also, in only 15 of 52 patients identified with pc3 (21%) could the cord. There are important differences between a normal vs abnormal cervical mri which which will be discussed below. The potential. Flexion Extension C Spine Mri.
From targetradiology.com
MRI C Spine with Flexion Extension (With Contrast) Target Radiology Flexion Extension C Spine Mri Mri stands for m agnetic. What is a cervical spine mri? The potential importance of flexion/extension mri in the elucidation of cervical cord compression. Also, in only 15 of 52 patients identified with pc3 (21%) could the cord. Dynamic mri will show the flexional and extensional position of cervical spine other than neutral position. There are important differences between a. Flexion Extension C Spine Mri.
From www.semanticscholar.org
Figure 3 from Utility of Flexion and Extension MRI for Evaluating Isolated Cervical Spinal Cord Flexion Extension C Spine Mri Dynamic mri will show the flexional and extensional position of cervical spine other than neutral position. What is a cervical spine mri? There are important differences between a normal vs abnormal cervical mri which which will be discussed below. Also, in only 15 of 52 patients identified with pc3 (21%) could the cord. The potential importance of flexion/extension mri in. Flexion Extension C Spine Mri.
From www.researchgate.net
Cervical Spine MRI in extended (a, b) and flexed (c, d) position. The... Download Scientific Flexion Extension C Spine Mri Mri stands for m agnetic. Dynamic mri will show the flexional and extensional position of cervical spine other than neutral position. What is a cervical spine mri? The potential importance of flexion/extension mri in the elucidation of cervical cord compression. Also, in only 15 of 52 patients identified with pc3 (21%) could the cord. There are important differences between a. Flexion Extension C Spine Mri.
From www.wikiradiography.net
Flexion and Extension Cervical Spine Radiography wikiRadiography Flexion Extension C Spine Mri The potential importance of flexion/extension mri in the elucidation of cervical cord compression. Mri stands for m agnetic. Also, in only 15 of 52 patients identified with pc3 (21%) could the cord. Dynamic mri will show the flexional and extensional position of cervical spine other than neutral position. What is a cervical spine mri? There are important differences between a. Flexion Extension C Spine Mri.
From www.cureus.com
Cureus Dynamic Cervical Cord Compression Postlaminectomy Visualized by Flexionextension Flexion Extension C Spine Mri What is a cervical spine mri? Mri stands for m agnetic. Also, in only 15 of 52 patients identified with pc3 (21%) could the cord. Dynamic mri will show the flexional and extensional position of cervical spine other than neutral position. There are important differences between a normal vs abnormal cervical mri which which will be discussed below. The potential. Flexion Extension C Spine Mri.
From www.pinterest.com
Normal flexion and extension cervical spine xrays Radiology Case Flexion Extension C Spine Mri The potential importance of flexion/extension mri in the elucidation of cervical cord compression. There are important differences between a normal vs abnormal cervical mri which which will be discussed below. Also, in only 15 of 52 patients identified with pc3 (21%) could the cord. Dynamic mri will show the flexional and extensional position of cervical spine other than neutral position.. Flexion Extension C Spine Mri.
From www.semanticscholar.org
Figure 3 from Utility of Flexion and Extension MRI for Evaluating Isolated Cervical Spinal Cord Flexion Extension C Spine Mri Also, in only 15 of 52 patients identified with pc3 (21%) could the cord. What is a cervical spine mri? There are important differences between a normal vs abnormal cervical mri which which will be discussed below. Mri stands for m agnetic. Dynamic mri will show the flexional and extensional position of cervical spine other than neutral position. The potential. Flexion Extension C Spine Mri.
From www.wikiradiography.net
Flexion and Extension Cervical Spine Radiography wikiRadiography Flexion Extension C Spine Mri What is a cervical spine mri? The potential importance of flexion/extension mri in the elucidation of cervical cord compression. Dynamic mri will show the flexional and extensional position of cervical spine other than neutral position. There are important differences between a normal vs abnormal cervical mri which which will be discussed below. Also, in only 15 of 52 patients identified. Flexion Extension C Spine Mri.
From www.cureus.com
Cureus Dynamic Cervical Cord Compression Postlaminectomy Visualized by Flexionextension Flexion Extension C Spine Mri Dynamic mri will show the flexional and extensional position of cervical spine other than neutral position. What is a cervical spine mri? Also, in only 15 of 52 patients identified with pc3 (21%) could the cord. Mri stands for m agnetic. There are important differences between a normal vs abnormal cervical mri which which will be discussed below. The potential. Flexion Extension C Spine Mri.
From www.ajnr.org
3D T2 MR ImagingBased Measurements of the Posterior Cervical Thecal Sac in Flexion and Flexion Extension C Spine Mri Also, in only 15 of 52 patients identified with pc3 (21%) could the cord. What is a cervical spine mri? Dynamic mri will show the flexional and extensional position of cervical spine other than neutral position. Mri stands for m agnetic. There are important differences between a normal vs abnormal cervical mri which which will be discussed below. The potential. Flexion Extension C Spine Mri.
From m1imagingcenter.com
What is Flexion and Extension MRI for CSpine? M1 Imaging Center Flexion Extension C Spine Mri There are important differences between a normal vs abnormal cervical mri which which will be discussed below. Mri stands for m agnetic. Also, in only 15 of 52 patients identified with pc3 (21%) could the cord. The potential importance of flexion/extension mri in the elucidation of cervical cord compression. Dynamic mri will show the flexional and extensional position of cervical. Flexion Extension C Spine Mri.
From golftm.weebly.com
Normal flexion extension cervical spine x rays golftm Flexion Extension C Spine Mri Also, in only 15 of 52 patients identified with pc3 (21%) could the cord. Mri stands for m agnetic. There are important differences between a normal vs abnormal cervical mri which which will be discussed below. What is a cervical spine mri? The potential importance of flexion/extension mri in the elucidation of cervical cord compression. Dynamic mri will show the. Flexion Extension C Spine Mri.
From fityclip.weebly.com
Normal flexion extension cervical spine x rays fityclip Flexion Extension C Spine Mri What is a cervical spine mri? Dynamic mri will show the flexional and extensional position of cervical spine other than neutral position. Also, in only 15 of 52 patients identified with pc3 (21%) could the cord. Mri stands for m agnetic. The potential importance of flexion/extension mri in the elucidation of cervical cord compression. There are important differences between a. Flexion Extension C Spine Mri.
From sumerdoc.blogspot.com
Flexion & Extension Cervical MRI Sumer's Radiology Blog Flexion Extension C Spine Mri Also, in only 15 of 52 patients identified with pc3 (21%) could the cord. Dynamic mri will show the flexional and extensional position of cervical spine other than neutral position. What is a cervical spine mri? Mri stands for m agnetic. There are important differences between a normal vs abnormal cervical mri which which will be discussed below. The potential. Flexion Extension C Spine Mri.
From sumerdoc.blogspot.com
Flexion & Extension Cervical MRI Sumer's Radiology Blog Flexion Extension C Spine Mri What is a cervical spine mri? Mri stands for m agnetic. There are important differences between a normal vs abnormal cervical mri which which will be discussed below. Dynamic mri will show the flexional and extensional position of cervical spine other than neutral position. Also, in only 15 of 52 patients identified with pc3 (21%) could the cord. The potential. Flexion Extension C Spine Mri.