Sponge Kidney In Neonates . Medullary sponge kidney is a benign congenital abnormality that was first described in 1939. Medullary sponge kidney associated with drta should be considered in neonates and may indicate the possibility of very early. Anatomically it is characterized by cystic dilatation of the renal. Medullary sponge kidney (msk) is a congenital disorder, meaning it is present at birth. Medullary sponge kidney is a rare disorder characterized by the formation of cystic malformations in the collecting ducts and the. Medullary sponge kidney is a congenital disorder meaning you're born with it. Msk occurs when small cysts (sacs) form. What is medullary sponge kidney?
from www.youtube.com
Medullary sponge kidney is a congenital disorder meaning you're born with it. Msk occurs when small cysts (sacs) form. Anatomically it is characterized by cystic dilatation of the renal. What is medullary sponge kidney? Medullary sponge kidney (msk) is a congenital disorder, meaning it is present at birth. Medullary sponge kidney is a benign congenital abnormality that was first described in 1939. Medullary sponge kidney is a rare disorder characterized by the formation of cystic malformations in the collecting ducts and the. Medullary sponge kidney associated with drta should be considered in neonates and may indicate the possibility of very early.
AKI in neonates Acute Kidney Injury ARF Causes Clinical
Sponge Kidney In Neonates What is medullary sponge kidney? Medullary sponge kidney associated with drta should be considered in neonates and may indicate the possibility of very early. What is medullary sponge kidney? Medullary sponge kidney is a benign congenital abnormality that was first described in 1939. Anatomically it is characterized by cystic dilatation of the renal. Medullary sponge kidney is a rare disorder characterized by the formation of cystic malformations in the collecting ducts and the. Medullary sponge kidney is a congenital disorder meaning you're born with it. Msk occurs when small cysts (sacs) form. Medullary sponge kidney (msk) is a congenital disorder, meaning it is present at birth.
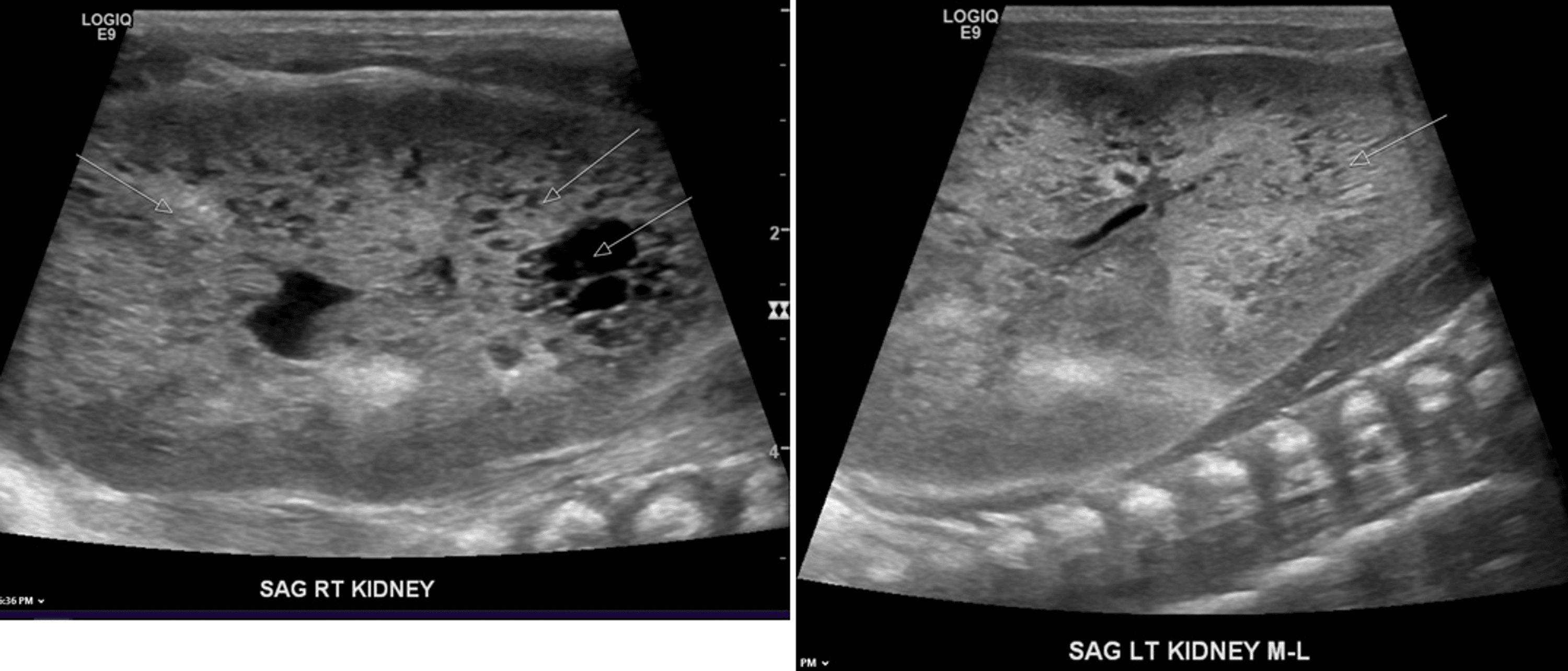
From casereports.bmj.com
Transient renal medullary hyperechogenicity in a term neonate BMJ Sponge Kidney In Neonates Anatomically it is characterized by cystic dilatation of the renal. Medullary sponge kidney (msk) is a congenital disorder, meaning it is present at birth. What is medullary sponge kidney? Medullary sponge kidney associated with drta should be considered in neonates and may indicate the possibility of very early. Medullary sponge kidney is a congenital disorder meaning you're born with it.. Sponge Kidney In Neonates.
From obgynkey.com
The Kidney and Urinary Tract of the Neonate Obgyn Key Sponge Kidney In Neonates What is medullary sponge kidney? Msk occurs when small cysts (sacs) form. Medullary sponge kidney is a rare disorder characterized by the formation of cystic malformations in the collecting ducts and the. Medullary sponge kidney is a congenital disorder meaning you're born with it. Medullary sponge kidney associated with drta should be considered in neonates and may indicate the possibility. Sponge Kidney In Neonates.
From www.onlymyhealth.com
Infants In Womb Can Develop Kidney Dysplasia OnlyMyHealth Sponge Kidney In Neonates Medullary sponge kidney (msk) is a congenital disorder, meaning it is present at birth. Medullary sponge kidney is a congenital disorder meaning you're born with it. Medullary sponge kidney is a rare disorder characterized by the formation of cystic malformations in the collecting ducts and the. What is medullary sponge kidney? Medullary sponge kidney is a benign congenital abnormality that. Sponge Kidney In Neonates.
From www.kidney.org
Vesicoureteral Reflux (VUR) in Infants & Children National Kidney Sponge Kidney In Neonates What is medullary sponge kidney? Medullary sponge kidney is a benign congenital abnormality that was first described in 1939. Medullary sponge kidney is a congenital disorder meaning you're born with it. Medullary sponge kidney is a rare disorder characterized by the formation of cystic malformations in the collecting ducts and the. Medullary sponge kidney associated with drta should be considered. Sponge Kidney In Neonates.
From onradiology.blogspot.com
ON RADIOLOGY Ultrasound images of Nephrocalcinosis in neonates Sponge Kidney In Neonates Medullary sponge kidney (msk) is a congenital disorder, meaning it is present at birth. Medullary sponge kidney is a rare disorder characterized by the formation of cystic malformations in the collecting ducts and the. Medullary sponge kidney associated with drta should be considered in neonates and may indicate the possibility of very early. Medullary sponge kidney is a benign congenital. Sponge Kidney In Neonates.
From www.researchgate.net
(PDF) Polycystic kidney disease in neonates and infants. Clinical Sponge Kidney In Neonates Medullary sponge kidney (msk) is a congenital disorder, meaning it is present at birth. Medullary sponge kidney is a benign congenital abnormality that was first described in 1939. Medullary sponge kidney is a congenital disorder meaning you're born with it. Medullary sponge kidney is a rare disorder characterized by the formation of cystic malformations in the collecting ducts and the.. Sponge Kidney In Neonates.
From journals.lww.com
Neonatal polycystic kidney disease, a potential lifethreate... Medicine Sponge Kidney In Neonates Anatomically it is characterized by cystic dilatation of the renal. What is medullary sponge kidney? Medullary sponge kidney is a benign congenital abnormality that was first described in 1939. Msk occurs when small cysts (sacs) form. Medullary sponge kidney (msk) is a congenital disorder, meaning it is present at birth. Medullary sponge kidney is a rare disorder characterized by the. Sponge Kidney In Neonates.
From pubs.rsna.org
US of Renal Insufficiency in Neonates RadioGraphics Sponge Kidney In Neonates Msk occurs when small cysts (sacs) form. Anatomically it is characterized by cystic dilatation of the renal. Medullary sponge kidney is a congenital disorder meaning you're born with it. Medullary sponge kidney (msk) is a congenital disorder, meaning it is present at birth. Medullary sponge kidney is a rare disorder characterized by the formation of cystic malformations in the collecting. Sponge Kidney In Neonates.
From slideplayer.com
of Acute Kidney Injury in Neonates ppt download Sponge Kidney In Neonates Medullary sponge kidney associated with drta should be considered in neonates and may indicate the possibility of very early. What is medullary sponge kidney? Msk occurs when small cysts (sacs) form. Medullary sponge kidney is a congenital disorder meaning you're born with it. Anatomically it is characterized by cystic dilatation of the renal. Medullary sponge kidney (msk) is a congenital. Sponge Kidney In Neonates.
From dhanbadurologist.com
Kidney Stones in Infants and Children Symptoms and Treatment Sponge Kidney In Neonates Anatomically it is characterized by cystic dilatation of the renal. Msk occurs when small cysts (sacs) form. Medullary sponge kidney is a benign congenital abnormality that was first described in 1939. What is medullary sponge kidney? Medullary sponge kidney is a congenital disorder meaning you're born with it. Medullary sponge kidney associated with drta should be considered in neonates and. Sponge Kidney In Neonates.
From www.researchgate.net
Changes observed in the kidneys of cloned neonates and controls. (A Sponge Kidney In Neonates Msk occurs when small cysts (sacs) form. Medullary sponge kidney is a benign congenital abnormality that was first described in 1939. Medullary sponge kidney (msk) is a congenital disorder, meaning it is present at birth. Medullary sponge kidney is a rare disorder characterized by the formation of cystic malformations in the collecting ducts and the. Anatomically it is characterized by. Sponge Kidney In Neonates.
From pubs.rsna.org
US of Renal Insufficiency in Neonates RadioGraphics Sponge Kidney In Neonates Msk occurs when small cysts (sacs) form. Medullary sponge kidney is a rare disorder characterized by the formation of cystic malformations in the collecting ducts and the. Medullary sponge kidney is a congenital disorder meaning you're born with it. Anatomically it is characterized by cystic dilatation of the renal. What is medullary sponge kidney? Medullary sponge kidney (msk) is a. Sponge Kidney In Neonates.
From www.researchgate.net
Photomicrographs of kidneys with H.E.staining. (a) Control and (b Sponge Kidney In Neonates Medullary sponge kidney associated with drta should be considered in neonates and may indicate the possibility of very early. Anatomically it is characterized by cystic dilatation of the renal. Medullary sponge kidney (msk) is a congenital disorder, meaning it is present at birth. Medullary sponge kidney is a congenital disorder meaning you're born with it. Msk occurs when small cysts. Sponge Kidney In Neonates.
From www.thecardiologyadvisor.com
Enlarged Kidneys Noted in Neonates With Congenital Heart Disease The Sponge Kidney In Neonates Anatomically it is characterized by cystic dilatation of the renal. Medullary sponge kidney is a rare disorder characterized by the formation of cystic malformations in the collecting ducts and the. Msk occurs when small cysts (sacs) form. Medullary sponge kidney is a congenital disorder meaning you're born with it. What is medullary sponge kidney? Medullary sponge kidney associated with drta. Sponge Kidney In Neonates.
From pubs.rsna.org
US of Renal Insufficiency in Neonates RadioGraphics Sponge Kidney In Neonates Msk occurs when small cysts (sacs) form. What is medullary sponge kidney? Medullary sponge kidney associated with drta should be considered in neonates and may indicate the possibility of very early. Medullary sponge kidney is a benign congenital abnormality that was first described in 1939. Anatomically it is characterized by cystic dilatation of the renal. Medullary sponge kidney is a. Sponge Kidney In Neonates.
From www.researchgate.net
Photomicrographs of kidneys with H.E.staining. (a) Control and (b Sponge Kidney In Neonates Anatomically it is characterized by cystic dilatation of the renal. Medullary sponge kidney is a congenital disorder meaning you're born with it. Medullary sponge kidney is a benign congenital abnormality that was first described in 1939. Medullary sponge kidney associated with drta should be considered in neonates and may indicate the possibility of very early. What is medullary sponge kidney?. Sponge Kidney In Neonates.
From europepmc.org
Acute kidney injury in neonates from urine output to new biomarkers Sponge Kidney In Neonates Medullary sponge kidney is a benign congenital abnormality that was first described in 1939. Medullary sponge kidney (msk) is a congenital disorder, meaning it is present at birth. Medullary sponge kidney is a rare disorder characterized by the formation of cystic malformations in the collecting ducts and the. What is medullary sponge kidney? Medullary sponge kidney is a congenital disorder. Sponge Kidney In Neonates.
From www.researchgate.net
a) normal, still hyperechoic kidney of a preterm infant; b Sponge Kidney In Neonates Medullary sponge kidney associated with drta should be considered in neonates and may indicate the possibility of very early. Medullary sponge kidney is a benign congenital abnormality that was first described in 1939. Msk occurs when small cysts (sacs) form. Medullary sponge kidney is a congenital disorder meaning you're born with it. Medullary sponge kidney (msk) is a congenital disorder,. Sponge Kidney In Neonates.
From www.researchgate.net
(PDF) Prevalence and factors affecting prognosis in neonates with acute Sponge Kidney In Neonates Medullary sponge kidney is a congenital disorder meaning you're born with it. Medullary sponge kidney (msk) is a congenital disorder, meaning it is present at birth. Medullary sponge kidney is a rare disorder characterized by the formation of cystic malformations in the collecting ducts and the. Anatomically it is characterized by cystic dilatation of the renal. Msk occurs when small. Sponge Kidney In Neonates.
From pediatricimaging.org
Pediatric Nephrocalcinosis Pediatric Radiology Reference Article Sponge Kidney In Neonates Medullary sponge kidney associated with drta should be considered in neonates and may indicate the possibility of very early. Medullary sponge kidney is a benign congenital abnormality that was first described in 1939. Anatomically it is characterized by cystic dilatation of the renal. Medullary sponge kidney (msk) is a congenital disorder, meaning it is present at birth. Medullary sponge kidney. Sponge Kidney In Neonates.
From radiologykey.com
13 Kidneys Radiology Key Sponge Kidney In Neonates Medullary sponge kidney associated with drta should be considered in neonates and may indicate the possibility of very early. Medullary sponge kidney is a congenital disorder meaning you're born with it. Medullary sponge kidney is a rare disorder characterized by the formation of cystic malformations in the collecting ducts and the. Medullary sponge kidney is a benign congenital abnormality that. Sponge Kidney In Neonates.
From www.cureus.com
Cureus Cystic Renal Cell Carcinoma Subtype in Pediatric Patient A Sponge Kidney In Neonates What is medullary sponge kidney? Medullary sponge kidney is a benign congenital abnormality that was first described in 1939. Medullary sponge kidney associated with drta should be considered in neonates and may indicate the possibility of very early. Msk occurs when small cysts (sacs) form. Anatomically it is characterized by cystic dilatation of the renal. Medullary sponge kidney is a. Sponge Kidney In Neonates.
From slideplayer.com
of Acute Kidney Injury in Neonates ppt download Sponge Kidney In Neonates Medullary sponge kidney is a congenital disorder meaning you're born with it. Medullary sponge kidney is a benign congenital abnormality that was first described in 1939. Medullary sponge kidney is a rare disorder characterized by the formation of cystic malformations in the collecting ducts and the. Medullary sponge kidney (msk) is a congenital disorder, meaning it is present at birth.. Sponge Kidney In Neonates.
From www.cureus.com
Cureus Variable Clinical Presentations and Renal in Neonates Sponge Kidney In Neonates Anatomically it is characterized by cystic dilatation of the renal. Medullary sponge kidney is a rare disorder characterized by the formation of cystic malformations in the collecting ducts and the. Medullary sponge kidney is a benign congenital abnormality that was first described in 1939. What is medullary sponge kidney? Medullary sponge kidney associated with drta should be considered in neonates. Sponge Kidney In Neonates.
From obgynkey.com
Renal Masses and Urinary Ascites Obgyn Key Sponge Kidney In Neonates Medullary sponge kidney is a rare disorder characterized by the formation of cystic malformations in the collecting ducts and the. Medullary sponge kidney is a congenital disorder meaning you're born with it. Msk occurs when small cysts (sacs) form. Medullary sponge kidney is a benign congenital abnormality that was first described in 1939. Medullary sponge kidney associated with drta should. Sponge Kidney In Neonates.
From www.frontiersin.org
Frontiers A Case Series Continuous Kidney Replacement Therapy in Sponge Kidney In Neonates Msk occurs when small cysts (sacs) form. Medullary sponge kidney is a congenital disorder meaning you're born with it. Anatomically it is characterized by cystic dilatation of the renal. Medullary sponge kidney is a rare disorder characterized by the formation of cystic malformations in the collecting ducts and the. Medullary sponge kidney associated with drta should be considered in neonates. Sponge Kidney In Neonates.
From www.bmj.com
Ultrasound of the paediatric kidney The BMJ Sponge Kidney In Neonates What is medullary sponge kidney? Medullary sponge kidney is a rare disorder characterized by the formation of cystic malformations in the collecting ducts and the. Medullary sponge kidney (msk) is a congenital disorder, meaning it is present at birth. Anatomically it is characterized by cystic dilatation of the renal. Medullary sponge kidney is a benign congenital abnormality that was first. Sponge Kidney In Neonates.
From www.youtube.com
AKI in neonates Acute Kidney Injury ARF Causes Clinical Sponge Kidney In Neonates Anatomically it is characterized by cystic dilatation of the renal. Medullary sponge kidney associated with drta should be considered in neonates and may indicate the possibility of very early. Msk occurs when small cysts (sacs) form. Medullary sponge kidney is a congenital disorder meaning you're born with it. Medullary sponge kidney (msk) is a congenital disorder, meaning it is present. Sponge Kidney In Neonates.
From www.researchgate.net
The histological representation of the neonates' kidneys collected from Sponge Kidney In Neonates What is medullary sponge kidney? Anatomically it is characterized by cystic dilatation of the renal. Medullary sponge kidney is a rare disorder characterized by the formation of cystic malformations in the collecting ducts and the. Medullary sponge kidney (msk) is a congenital disorder, meaning it is present at birth. Medullary sponge kidney is a benign congenital abnormality that was first. Sponge Kidney In Neonates.
From www.researchgate.net
(PDF) A Case Series Continuous Kidney Replacement Therapy in Neonates Sponge Kidney In Neonates What is medullary sponge kidney? Anatomically it is characterized by cystic dilatation of the renal. Msk occurs when small cysts (sacs) form. Medullary sponge kidney associated with drta should be considered in neonates and may indicate the possibility of very early. Medullary sponge kidney is a benign congenital abnormality that was first described in 1939. Medullary sponge kidney is a. Sponge Kidney In Neonates.
From dhanbadurologist.com
Kidney Stones in Infants and Children Symptoms and Treatment Sponge Kidney In Neonates Medullary sponge kidney (msk) is a congenital disorder, meaning it is present at birth. Medullary sponge kidney is a congenital disorder meaning you're born with it. Medullary sponge kidney is a benign congenital abnormality that was first described in 1939. What is medullary sponge kidney? Msk occurs when small cysts (sacs) form. Medullary sponge kidney is a rare disorder characterized. Sponge Kidney In Neonates.
From casereports.bmj.com
Streptokinase therapy in the treatment of neonatal obstructive renal Sponge Kidney In Neonates Medullary sponge kidney is a benign congenital abnormality that was first described in 1939. What is medullary sponge kidney? Anatomically it is characterized by cystic dilatation of the renal. Medullary sponge kidney (msk) is a congenital disorder, meaning it is present at birth. Medullary sponge kidney is a rare disorder characterized by the formation of cystic malformations in the collecting. Sponge Kidney In Neonates.
From www.wjgnet.com
Point of care renal ultrasonography for the busy nephrologist A Sponge Kidney In Neonates What is medullary sponge kidney? Medullary sponge kidney is a congenital disorder meaning you're born with it. Anatomically it is characterized by cystic dilatation of the renal. Medullary sponge kidney is a benign congenital abnormality that was first described in 1939. Medullary sponge kidney (msk) is a congenital disorder, meaning it is present at birth. Medullary sponge kidney associated with. Sponge Kidney In Neonates.
From www.thecardiologyadvisor.com
Enlarged Kidneys Noted in Neonates With Congenital Heart Disease The Sponge Kidney In Neonates Medullary sponge kidney associated with drta should be considered in neonates and may indicate the possibility of very early. What is medullary sponge kidney? Msk occurs when small cysts (sacs) form. Anatomically it is characterized by cystic dilatation of the renal. Medullary sponge kidney is a rare disorder characterized by the formation of cystic malformations in the collecting ducts and. Sponge Kidney In Neonates.
From anatomypubs.onlinelibrary.wiley.com
Current and potential methods to assess kidney structure and morphology Sponge Kidney In Neonates Medullary sponge kidney is a congenital disorder meaning you're born with it. Msk occurs when small cysts (sacs) form. What is medullary sponge kidney? Medullary sponge kidney associated with drta should be considered in neonates and may indicate the possibility of very early. Medullary sponge kidney is a benign congenital abnormality that was first described in 1939. Medullary sponge kidney. Sponge Kidney In Neonates.