Iron Supplements Mri . To summarize our single‐center safety experience with the off‐label use of ferumoxytol for magnetic resonance imaging. • ferumoxytol has recently been approved for the treatment of iron deficiency anaemia. On the basis of postmarketing surveillance data, the food and drug administration issued a black box warning. • ferumoxytol is a small iron oxide particle with. Ferrous sulphate capsules contain approximately 65mg of iron and have not yet been identified as a source of artifacts for cardiac imaging previously. We describe here how ingestion of a standard iron supplement, too soon before an mri scan, could result in artifacts. It is common mri knowledge that iron causes rapid mr signal dephasing and artifacts. The chelating properties of curcumin could potentially lead to an accumulation of iron in the bowel, causing mri susceptibility artefacts in. Meanwhile, many people take iron nutritional. The iron is in the form of a superparamagnetic iron oxide that causes t1, t2, and t2* shortening on magnetic resonance imaging (mri).
from link.springer.com
The iron is in the form of a superparamagnetic iron oxide that causes t1, t2, and t2* shortening on magnetic resonance imaging (mri). We describe here how ingestion of a standard iron supplement, too soon before an mri scan, could result in artifacts. Ferrous sulphate capsules contain approximately 65mg of iron and have not yet been identified as a source of artifacts for cardiac imaging previously. To summarize our single‐center safety experience with the off‐label use of ferumoxytol for magnetic resonance imaging. The chelating properties of curcumin could potentially lead to an accumulation of iron in the bowel, causing mri susceptibility artefacts in. Meanwhile, many people take iron nutritional. • ferumoxytol is a small iron oxide particle with. • ferumoxytol has recently been approved for the treatment of iron deficiency anaemia. It is common mri knowledge that iron causes rapid mr signal dephasing and artifacts. On the basis of postmarketing surveillance data, the food and drug administration issued a black box warning.
Practical guide to quantification of hepatic iron with MRI SpringerLink
Iron Supplements Mri • ferumoxytol is a small iron oxide particle with. • ferumoxytol is a small iron oxide particle with. • ferumoxytol has recently been approved for the treatment of iron deficiency anaemia. The chelating properties of curcumin could potentially lead to an accumulation of iron in the bowel, causing mri susceptibility artefacts in. We describe here how ingestion of a standard iron supplement, too soon before an mri scan, could result in artifacts. Meanwhile, many people take iron nutritional. The iron is in the form of a superparamagnetic iron oxide that causes t1, t2, and t2* shortening on magnetic resonance imaging (mri). Ferrous sulphate capsules contain approximately 65mg of iron and have not yet been identified as a source of artifacts for cardiac imaging previously. On the basis of postmarketing surveillance data, the food and drug administration issued a black box warning. To summarize our single‐center safety experience with the off‐label use of ferumoxytol for magnetic resonance imaging. It is common mri knowledge that iron causes rapid mr signal dephasing and artifacts.
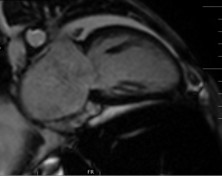
From sumerdoc.blogspot.com
Myocardial Iron EstimationMRI Sumer's Radiology Blog Iron Supplements Mri Ferrous sulphate capsules contain approximately 65mg of iron and have not yet been identified as a source of artifacts for cardiac imaging previously. Meanwhile, many people take iron nutritional. On the basis of postmarketing surveillance data, the food and drug administration issued a black box warning. To summarize our single‐center safety experience with the off‐label use of ferumoxytol for magnetic. Iron Supplements Mri.
From pubs.rsna.org
Quantification of Liver Iron Overload with MRI Review and Guidelines Iron Supplements Mri On the basis of postmarketing surveillance data, the food and drug administration issued a black box warning. Ferrous sulphate capsules contain approximately 65mg of iron and have not yet been identified as a source of artifacts for cardiac imaging previously. We describe here how ingestion of a standard iron supplement, too soon before an mri scan, could result in artifacts.. Iron Supplements Mri.
From healthyparcel.com
Liquid Iron Supplements Everything You Need To Know Iron Supplements Mri On the basis of postmarketing surveillance data, the food and drug administration issued a black box warning. Meanwhile, many people take iron nutritional. It is common mri knowledge that iron causes rapid mr signal dephasing and artifacts. To summarize our single‐center safety experience with the off‐label use of ferumoxytol for magnetic resonance imaging. We describe here how ingestion of a. Iron Supplements Mri.
From www.pinterest.com
Iron absorption from supplements is greater with alternate day than Iron Supplements Mri It is common mri knowledge that iron causes rapid mr signal dephasing and artifacts. We describe here how ingestion of a standard iron supplement, too soon before an mri scan, could result in artifacts. The iron is in the form of a superparamagnetic iron oxide that causes t1, t2, and t2* shortening on magnetic resonance imaging (mri). • ferumoxytol has. Iron Supplements Mri.
From www.muscleandfitness.com
Build Power and Strength With MRI Supplements Muscle & Fitness Iron Supplements Mri The chelating properties of curcumin could potentially lead to an accumulation of iron in the bowel, causing mri susceptibility artefacts in. To summarize our single‐center safety experience with the off‐label use of ferumoxytol for magnetic resonance imaging. It is common mri knowledge that iron causes rapid mr signal dephasing and artifacts. We describe here how ingestion of a standard iron. Iron Supplements Mri.
From vitalizeme.co.uk
Iron Supplements Everything You Need to Know In 2023 (Guide Iron Supplements Mri On the basis of postmarketing surveillance data, the food and drug administration issued a black box warning. • ferumoxytol has recently been approved for the treatment of iron deficiency anaemia. The chelating properties of curcumin could potentially lead to an accumulation of iron in the bowel, causing mri susceptibility artefacts in. We describe here how ingestion of a standard iron. Iron Supplements Mri.
From www.amazon.ca
Proferrin 11mg Heme Iron 90Tablets Amazon.ca Health & Personal Care Iron Supplements Mri The iron is in the form of a superparamagnetic iron oxide that causes t1, t2, and t2* shortening on magnetic resonance imaging (mri). Meanwhile, many people take iron nutritional. On the basis of postmarketing surveillance data, the food and drug administration issued a black box warning. Ferrous sulphate capsules contain approximately 65mg of iron and have not yet been identified. Iron Supplements Mri.
From clicks.co.za
Ferrimed Iron Polymaltose 60 Capsules Clicks Iron Supplements Mri It is common mri knowledge that iron causes rapid mr signal dephasing and artifacts. The chelating properties of curcumin could potentially lead to an accumulation of iron in the bowel, causing mri susceptibility artefacts in. The iron is in the form of a superparamagnetic iron oxide that causes t1, t2, and t2* shortening on magnetic resonance imaging (mri). On the. Iron Supplements Mri.
From greatist.com
The 7 Best Iron Supplements of 2022 Ingredients, Dosage, and Advice Iron Supplements Mri • ferumoxytol is a small iron oxide particle with. It is common mri knowledge that iron causes rapid mr signal dephasing and artifacts. We describe here how ingestion of a standard iron supplement, too soon before an mri scan, could result in artifacts. The chelating properties of curcumin could potentially lead to an accumulation of iron in the bowel, causing. Iron Supplements Mri.
From haematologica.org
Iron absorption from supplements is greater with alternate day than Iron Supplements Mri It is common mri knowledge that iron causes rapid mr signal dephasing and artifacts. We describe here how ingestion of a standard iron supplement, too soon before an mri scan, could result in artifacts. On the basis of postmarketing surveillance data, the food and drug administration issued a black box warning. • ferumoxytol is a small iron oxide particle with.. Iron Supplements Mri.
From balchem.com
Iron Supplements Challenges and Solutions Iron Supplements Mri We describe here how ingestion of a standard iron supplement, too soon before an mri scan, could result in artifacts. The chelating properties of curcumin could potentially lead to an accumulation of iron in the bowel, causing mri susceptibility artefacts in. Meanwhile, many people take iron nutritional. On the basis of postmarketing surveillance data, the food and drug administration issued. Iron Supplements Mri.
From www.pinterest.ca
Ferosom Forte LCE Liposomal Iron Supplement 20 Powder Sachets 1 Box Iron Supplements Mri The chelating properties of curcumin could potentially lead to an accumulation of iron in the bowel, causing mri susceptibility artefacts in. • ferumoxytol is a small iron oxide particle with. Ferrous sulphate capsules contain approximately 65mg of iron and have not yet been identified as a source of artifacts for cardiac imaging previously. We describe here how ingestion of a. Iron Supplements Mri.
From electrifyyolife.com
Iron Supplements Capsules Wholesale (25 packs) Electrify YoLife Iron Supplements Mri It is common mri knowledge that iron causes rapid mr signal dephasing and artifacts. The chelating properties of curcumin could potentially lead to an accumulation of iron in the bowel, causing mri susceptibility artefacts in. • ferumoxytol has recently been approved for the treatment of iron deficiency anaemia. • ferumoxytol is a small iron oxide particle with. On the basis. Iron Supplements Mri.
From themedicationinsider.com
How to Take Iron Supplements Successfully The Medication Insider Iron Supplements Mri On the basis of postmarketing surveillance data, the food and drug administration issued a black box warning. • ferumoxytol has recently been approved for the treatment of iron deficiency anaemia. We describe here how ingestion of a standard iron supplement, too soon before an mri scan, could result in artifacts. To summarize our single‐center safety experience with the off‐label use. Iron Supplements Mri.
From www.amazon.ca
FeraMAX Pd Maintenance 45 Iron Supplement Great Tasting Orange Flavor Iron Supplements Mri Meanwhile, many people take iron nutritional. • ferumoxytol is a small iron oxide particle with. It is common mri knowledge that iron causes rapid mr signal dephasing and artifacts. The iron is in the form of a superparamagnetic iron oxide that causes t1, t2, and t2* shortening on magnetic resonance imaging (mri). On the basis of postmarketing surveillance data, the. Iron Supplements Mri.
From www.imaios.com
Improving MRI contrast iron oxides (SPIO, USPIO) eMRI Iron Supplements Mri • ferumoxytol has recently been approved for the treatment of iron deficiency anaemia. To summarize our single‐center safety experience with the off‐label use of ferumoxytol for magnetic resonance imaging. It is common mri knowledge that iron causes rapid mr signal dephasing and artifacts. On the basis of postmarketing surveillance data, the food and drug administration issued a black box warning.. Iron Supplements Mri.
From www.amazon.ca
POLYRIDE FE Ultra Iron Supplements Effective Iron Pills for Iron Iron Supplements Mri • ferumoxytol has recently been approved for the treatment of iron deficiency anaemia. The chelating properties of curcumin could potentially lead to an accumulation of iron in the bowel, causing mri susceptibility artefacts in. We describe here how ingestion of a standard iron supplement, too soon before an mri scan, could result in artifacts. To summarize our single‐center safety experience. Iron Supplements Mri.
From www.goodhousekeeping.com
8 Best Iron Supplements of 2024 Iron Supplements Mri On the basis of postmarketing surveillance data, the food and drug administration issued a black box warning. To summarize our single‐center safety experience with the off‐label use of ferumoxytol for magnetic resonance imaging. We describe here how ingestion of a standard iron supplement, too soon before an mri scan, could result in artifacts. It is common mri knowledge that iron. Iron Supplements Mri.
From sumerdoc.blogspot.com
Myocardial Iron EstimationMRI Sumer's Radiology Blog Iron Supplements Mri • ferumoxytol is a small iron oxide particle with. To summarize our single‐center safety experience with the off‐label use of ferumoxytol for magnetic resonance imaging. The iron is in the form of a superparamagnetic iron oxide that causes t1, t2, and t2* shortening on magnetic resonance imaging (mri). Ferrous sulphate capsules contain approximately 65mg of iron and have not yet. Iron Supplements Mri.
From twitter.com
NovaFerrum Clinically Proven Iron Supplements on Twitter "Clinically Iron Supplements Mri • ferumoxytol has recently been approved for the treatment of iron deficiency anaemia. It is common mri knowledge that iron causes rapid mr signal dephasing and artifacts. The chelating properties of curcumin could potentially lead to an accumulation of iron in the bowel, causing mri susceptibility artefacts in. We describe here how ingestion of a standard iron supplement, too soon. Iron Supplements Mri.
From www.bestreview.co.nz
Top 7 Best Iron Supplements NZ 2024 Iron Supplements Mri Meanwhile, many people take iron nutritional. Ferrous sulphate capsules contain approximately 65mg of iron and have not yet been identified as a source of artifacts for cardiac imaging previously. On the basis of postmarketing surveillance data, the food and drug administration issued a black box warning. The chelating properties of curcumin could potentially lead to an accumulation of iron in. Iron Supplements Mri.
From www.eurekalert.org
Iron measurements with MRI reveal stroke's im EurekAlert! Iron Supplements Mri The iron is in the form of a superparamagnetic iron oxide that causes t1, t2, and t2* shortening on magnetic resonance imaging (mri). It is common mri knowledge that iron causes rapid mr signal dephasing and artifacts. To summarize our single‐center safety experience with the off‐label use of ferumoxytol for magnetic resonance imaging. Ferrous sulphate capsules contain approximately 65mg of. Iron Supplements Mri.
From aminalearose.blogspot.com
20+ Iron Saturation Calculator AminaLearose Iron Supplements Mri Ferrous sulphate capsules contain approximately 65mg of iron and have not yet been identified as a source of artifacts for cardiac imaging previously. We describe here how ingestion of a standard iron supplement, too soon before an mri scan, could result in artifacts. On the basis of postmarketing surveillance data, the food and drug administration issued a black box warning.. Iron Supplements Mri.
From www.cvs.com
Feosol Original Iron Supplement Tablets, 120 CT Iron Supplements Mri The chelating properties of curcumin could potentially lead to an accumulation of iron in the bowel, causing mri susceptibility artefacts in. To summarize our single‐center safety experience with the off‐label use of ferumoxytol for magnetic resonance imaging. On the basis of postmarketing surveillance data, the food and drug administration issued a black box warning. We describe here how ingestion of. Iron Supplements Mri.
From smw.ch
Role of liver resonance imaging in hyperferritinaemia and the Iron Supplements Mri Ferrous sulphate capsules contain approximately 65mg of iron and have not yet been identified as a source of artifacts for cardiac imaging previously. The chelating properties of curcumin could potentially lead to an accumulation of iron in the bowel, causing mri susceptibility artefacts in. It is common mri knowledge that iron causes rapid mr signal dephasing and artifacts. To summarize. Iron Supplements Mri.
From www.shaperoflight.com
Combatting Anemia Unveiling the Benefits of Iron Supplements Shaper Iron Supplements Mri • ferumoxytol is a small iron oxide particle with. • ferumoxytol has recently been approved for the treatment of iron deficiency anaemia. It is common mri knowledge that iron causes rapid mr signal dephasing and artifacts. On the basis of postmarketing surveillance data, the food and drug administration issued a black box warning. Ferrous sulphate capsules contain approximately 65mg of. Iron Supplements Mri.
From www.mcguffmedical.com
Feraheme IV Iron injection 510mg/vial SDV 17mL/Vial McGuff Medical Iron Supplements Mri The iron is in the form of a superparamagnetic iron oxide that causes t1, t2, and t2* shortening on magnetic resonance imaging (mri). To summarize our single‐center safety experience with the off‐label use of ferumoxytol for magnetic resonance imaging. It is common mri knowledge that iron causes rapid mr signal dephasing and artifacts. We describe here how ingestion of a. Iron Supplements Mri.
From www.walmart.com
Hematex Liquid Iron Supplement for Adults by Llorens Pharmaceutical Iron Supplements Mri To summarize our single‐center safety experience with the off‐label use of ferumoxytol for magnetic resonance imaging. On the basis of postmarketing surveillance data, the food and drug administration issued a black box warning. We describe here how ingestion of a standard iron supplement, too soon before an mri scan, could result in artifacts. The chelating properties of curcumin could potentially. Iron Supplements Mri.
From onlinelibrary.wiley.com
Iron Supplements and Magnesium Peroxide An Example of a Hazardous Iron Supplements Mri It is common mri knowledge that iron causes rapid mr signal dephasing and artifacts. The chelating properties of curcumin could potentially lead to an accumulation of iron in the bowel, causing mri susceptibility artefacts in. The iron is in the form of a superparamagnetic iron oxide that causes t1, t2, and t2* shortening on magnetic resonance imaging (mri). • ferumoxytol. Iron Supplements Mri.
From www.researchgate.net
(PDF) Undesired impact of iron supplement on MRI assessment of post Iron Supplements Mri It is common mri knowledge that iron causes rapid mr signal dephasing and artifacts. Meanwhile, many people take iron nutritional. The chelating properties of curcumin could potentially lead to an accumulation of iron in the bowel, causing mri susceptibility artefacts in. We describe here how ingestion of a standard iron supplement, too soon before an mri scan, could result in. Iron Supplements Mri.
From link.springer.com
Practical guide to quantification of hepatic iron with MRI SpringerLink Iron Supplements Mri Meanwhile, many people take iron nutritional. • ferumoxytol has recently been approved for the treatment of iron deficiency anaemia. It is common mri knowledge that iron causes rapid mr signal dephasing and artifacts. To summarize our single‐center safety experience with the off‐label use of ferumoxytol for magnetic resonance imaging. We describe here how ingestion of a standard iron supplement, too. Iron Supplements Mri.
From www.researchgate.net
(PDF) Iron Supplements within HypoxiaInducible Factor Iron Supplements Mri The iron is in the form of a superparamagnetic iron oxide that causes t1, t2, and t2* shortening on magnetic resonance imaging (mri). On the basis of postmarketing surveillance data, the food and drug administration issued a black box warning. We describe here how ingestion of a standard iron supplement, too soon before an mri scan, could result in artifacts.. Iron Supplements Mri.
From pharmeasy.in
Buy OZIVA BETTR.IRON+ 60 CAPSULES FOR IMPROVED HEMOGLOBIN CERTIFIED Iron Supplements Mri On the basis of postmarketing surveillance data, the food and drug administration issued a black box warning. Ferrous sulphate capsules contain approximately 65mg of iron and have not yet been identified as a source of artifacts for cardiac imaging previously. To summarize our single‐center safety experience with the off‐label use of ferumoxytol for magnetic resonance imaging. It is common mri. Iron Supplements Mri.
From www.straight.com
Top 6 Best Iron Supplements After Gastric Bypass Surgery in 2024 Iron Supplements Mri It is common mri knowledge that iron causes rapid mr signal dephasing and artifacts. The chelating properties of curcumin could potentially lead to an accumulation of iron in the bowel, causing mri susceptibility artefacts in. We describe here how ingestion of a standard iron supplement, too soon before an mri scan, could result in artifacts. On the basis of postmarketing. Iron Supplements Mri.
From www.withpower.com
Iron Supplements for Iron Deficiency in Pregnancy Clinical Trial 2024 Iron Supplements Mri The iron is in the form of a superparamagnetic iron oxide that causes t1, t2, and t2* shortening on magnetic resonance imaging (mri). • ferumoxytol is a small iron oxide particle with. Ferrous sulphate capsules contain approximately 65mg of iron and have not yet been identified as a source of artifacts for cardiac imaging previously. It is common mri knowledge. Iron Supplements Mri.