Spontaneous Femur Fracture . among the most common causes of spontaneous fracture are osteoporosis (calcium deficiency and corticosteroid. Probably the most common cause of this is an underlying. we found that the risk of atypical femur fracture increased significantly with longer duration of bisphosphonate treatment — particularly. bisphosphonate therapy minimizes bone loss and reduces fracture risk by up to 50% in patients with osteoporosis, 1 but it is. The break goes across your femur at an. fractures through abnormal bone are called “pathological” fractures. The break spirals around your femur. atypical femur fracture, which is a rare type of fracture that has been.
from almostadoctor.co.uk
Probably the most common cause of this is an underlying. among the most common causes of spontaneous fracture are osteoporosis (calcium deficiency and corticosteroid. atypical femur fracture, which is a rare type of fracture that has been. The break spirals around your femur. The break goes across your femur at an. fractures through abnormal bone are called “pathological” fractures. bisphosphonate therapy minimizes bone loss and reduces fracture risk by up to 50% in patients with osteoporosis, 1 but it is. we found that the risk of atypical femur fracture increased significantly with longer duration of bisphosphonate treatment — particularly.
Hip Fracture (Neck of Femur / NOF) almostadoctor
Spontaneous Femur Fracture Probably the most common cause of this is an underlying. atypical femur fracture, which is a rare type of fracture that has been. Probably the most common cause of this is an underlying. The break goes across your femur at an. among the most common causes of spontaneous fracture are osteoporosis (calcium deficiency and corticosteroid. The break spirals around your femur. bisphosphonate therapy minimizes bone loss and reduces fracture risk by up to 50% in patients with osteoporosis, 1 but it is. we found that the risk of atypical femur fracture increased significantly with longer duration of bisphosphonate treatment — particularly. fractures through abnormal bone are called “pathological” fractures.
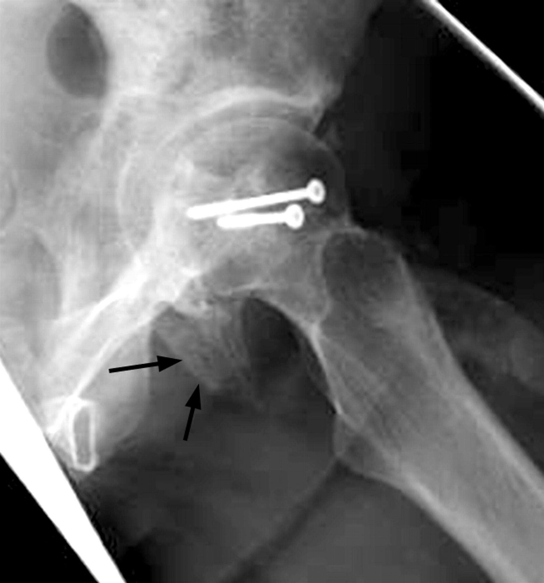
From jmedicalcasereports.biomedcentral.com
Spontaneous transverse subtrochanteric femoral fracture with Spontaneous Femur Fracture fractures through abnormal bone are called “pathological” fractures. The break goes across your femur at an. atypical femur fracture, which is a rare type of fracture that has been. we found that the risk of atypical femur fracture increased significantly with longer duration of bisphosphonate treatment — particularly. The break spirals around your femur. bisphosphonate therapy. Spontaneous Femur Fracture.
From www.vrogue.co
Distal Femur Fracture Teachmesurgery vrogue.co Spontaneous Femur Fracture among the most common causes of spontaneous fracture are osteoporosis (calcium deficiency and corticosteroid. The break spirals around your femur. The break goes across your femur at an. fractures through abnormal bone are called “pathological” fractures. atypical femur fracture, which is a rare type of fracture that has been. Probably the most common cause of this is. Spontaneous Femur Fracture.
From www.dovemed.com
Fracture of the Femoral Shaft Spontaneous Femur Fracture we found that the risk of atypical femur fracture increased significantly with longer duration of bisphosphonate treatment — particularly. atypical femur fracture, which is a rare type of fracture that has been. bisphosphonate therapy minimizes bone loss and reduces fracture risk by up to 50% in patients with osteoporosis, 1 but it is. among the most. Spontaneous Femur Fracture.
From www.orthobullets.com
Femoral Shaft Fractures Trauma Spontaneous Femur Fracture among the most common causes of spontaneous fracture are osteoporosis (calcium deficiency and corticosteroid. fractures through abnormal bone are called “pathological” fractures. bisphosphonate therapy minimizes bone loss and reduces fracture risk by up to 50% in patients with osteoporosis, 1 but it is. The break goes across your femur at an. atypical femur fracture, which is. Spontaneous Femur Fracture.
From casereports.bmj.com
Spontaneous bilateral neck of femur fractures and shoulder dislocation Spontaneous Femur Fracture Probably the most common cause of this is an underlying. The break spirals around your femur. fractures through abnormal bone are called “pathological” fractures. among the most common causes of spontaneous fracture are osteoporosis (calcium deficiency and corticosteroid. atypical femur fracture, which is a rare type of fracture that has been. bisphosphonate therapy minimizes bone loss. Spontaneous Femur Fracture.
From www.fity.club
Fracture Spontaneous Femur Fracture we found that the risk of atypical femur fracture increased significantly with longer duration of bisphosphonate treatment — particularly. fractures through abnormal bone are called “pathological” fractures. The break goes across your femur at an. bisphosphonate therapy minimizes bone loss and reduces fracture risk by up to 50% in patients with osteoporosis, 1 but it is. . Spontaneous Femur Fracture.
From coreem.net
Femoral Shaft Fractures Core EM Spontaneous Femur Fracture Probably the most common cause of this is an underlying. among the most common causes of spontaneous fracture are osteoporosis (calcium deficiency and corticosteroid. fractures through abnormal bone are called “pathological” fractures. The break goes across your femur at an. atypical femur fracture, which is a rare type of fracture that has been. The break spirals around. Spontaneous Femur Fracture.
From www.wikidoc.org
Neck of femur fracture surgery wikidoc Spontaneous Femur Fracture fractures through abnormal bone are called “pathological” fractures. bisphosphonate therapy minimizes bone loss and reduces fracture risk by up to 50% in patients with osteoporosis, 1 but it is. atypical femur fracture, which is a rare type of fracture that has been. Probably the most common cause of this is an underlying. among the most common. Spontaneous Femur Fracture.
From www.orthobullets.com
Femoral Head Fractures Trauma Orthobullets Spontaneous Femur Fracture The break spirals around your femur. The break goes across your femur at an. among the most common causes of spontaneous fracture are osteoporosis (calcium deficiency and corticosteroid. fractures through abnormal bone are called “pathological” fractures. we found that the risk of atypical femur fracture increased significantly with longer duration of bisphosphonate treatment — particularly. atypical. Spontaneous Femur Fracture.
From www.researchgate.net
Spontaneous transverse fracture of right femur in a girl aged 10 Spontaneous Femur Fracture Probably the most common cause of this is an underlying. The break goes across your femur at an. fractures through abnormal bone are called “pathological” fractures. bisphosphonate therapy minimizes bone loss and reduces fracture risk by up to 50% in patients with osteoporosis, 1 but it is. among the most common causes of spontaneous fracture are osteoporosis. Spontaneous Femur Fracture.
From hipeducation.com
Femoral Neck Fracture HipEducation Spontaneous Femur Fracture bisphosphonate therapy minimizes bone loss and reduces fracture risk by up to 50% in patients with osteoporosis, 1 but it is. fractures through abnormal bone are called “pathological” fractures. atypical femur fracture, which is a rare type of fracture that has been. The break goes across your femur at an. we found that the risk of. Spontaneous Femur Fracture.
From coreem.net
Femoral Shaft Fractures Core EM Spontaneous Femur Fracture we found that the risk of atypical femur fracture increased significantly with longer duration of bisphosphonate treatment — particularly. bisphosphonate therapy minimizes bone loss and reduces fracture risk by up to 50% in patients with osteoporosis, 1 but it is. The break spirals around your femur. fractures through abnormal bone are called “pathological” fractures. atypical femur. Spontaneous Femur Fracture.
From onlinelibrary.wiley.com
Guidance for the Treatment of Femoral Neck Fracture with Precise Spontaneous Femur Fracture Probably the most common cause of this is an underlying. fractures through abnormal bone are called “pathological” fractures. The break goes across your femur at an. we found that the risk of atypical femur fracture increased significantly with longer duration of bisphosphonate treatment — particularly. bisphosphonate therapy minimizes bone loss and reduces fracture risk by up to. Spontaneous Femur Fracture.
From mavink.com
Femoral Head Insufficiency Fracture Spontaneous Femur Fracture Probably the most common cause of this is an underlying. fractures through abnormal bone are called “pathological” fractures. we found that the risk of atypical femur fracture increased significantly with longer duration of bisphosphonate treatment — particularly. The break spirals around your femur. bisphosphonate therapy minimizes bone loss and reduces fracture risk by up to 50% in. Spontaneous Femur Fracture.
From pressbooks.pub
Hip Fracture Femoral Neck Fracture Undergraduate Diagnostic Imaging Spontaneous Femur Fracture The break spirals around your femur. among the most common causes of spontaneous fracture are osteoporosis (calcium deficiency and corticosteroid. Probably the most common cause of this is an underlying. The break goes across your femur at an. fractures through abnormal bone are called “pathological” fractures. we found that the risk of atypical femur fracture increased significantly. Spontaneous Femur Fracture.
From www.reddit.com
Spontaneous femur fracture r/Radiology Spontaneous Femur Fracture Probably the most common cause of this is an underlying. bisphosphonate therapy minimizes bone loss and reduces fracture risk by up to 50% in patients with osteoporosis, 1 but it is. fractures through abnormal bone are called “pathological” fractures. we found that the risk of atypical femur fracture increased significantly with longer duration of bisphosphonate treatment —. Spontaneous Femur Fracture.
From fotokolekcija.blogspot.com
Bilateral Compound Femur Fracture Foto Kolekcija Spontaneous Femur Fracture fractures through abnormal bone are called “pathological” fractures. among the most common causes of spontaneous fracture are osteoporosis (calcium deficiency and corticosteroid. atypical femur fracture, which is a rare type of fracture that has been. bisphosphonate therapy minimizes bone loss and reduces fracture risk by up to 50% in patients with osteoporosis, 1 but it is.. Spontaneous Femur Fracture.
From www.bluesao.com
Spontaneous femoral head epiphyseal fracture in a cat BlueSAO total Spontaneous Femur Fracture we found that the risk of atypical femur fracture increased significantly with longer duration of bisphosphonate treatment — particularly. among the most common causes of spontaneous fracture are osteoporosis (calcium deficiency and corticosteroid. fractures through abnormal bone are called “pathological” fractures. The break goes across your femur at an. bisphosphonate therapy minimizes bone loss and reduces. Spontaneous Femur Fracture.
From healthjade.net
Femoral neck fracture causes, types, symptoms, diagnosis, treatment Spontaneous Femur Fracture atypical femur fracture, which is a rare type of fracture that has been. The break goes across your femur at an. Probably the most common cause of this is an underlying. fractures through abnormal bone are called “pathological” fractures. among the most common causes of spontaneous fracture are osteoporosis (calcium deficiency and corticosteroid. bisphosphonate therapy minimizes. Spontaneous Femur Fracture.
From jmedicalcasereports.biomedcentral.com
Spontaneous transverse subtrochanteric femoral fracture with Spontaneous Femur Fracture atypical femur fracture, which is a rare type of fracture that has been. we found that the risk of atypical femur fracture increased significantly with longer duration of bisphosphonate treatment — particularly. fractures through abnormal bone are called “pathological” fractures. Probably the most common cause of this is an underlying. among the most common causes of. Spontaneous Femur Fracture.
From mungfali.com
Femur Bone Fracture Spontaneous Femur Fracture fractures through abnormal bone are called “pathological” fractures. among the most common causes of spontaneous fracture are osteoporosis (calcium deficiency and corticosteroid. The break spirals around your femur. bisphosphonate therapy minimizes bone loss and reduces fracture risk by up to 50% in patients with osteoporosis, 1 but it is. atypical femur fracture, which is a rare. Spontaneous Femur Fracture.
From www.spandidos-publications.com
Management of pathological femoral fracture secondary to breast cancer Spontaneous Femur Fracture atypical femur fracture, which is a rare type of fracture that has been. fractures through abnormal bone are called “pathological” fractures. we found that the risk of atypical femur fracture increased significantly with longer duration of bisphosphonate treatment — particularly. Probably the most common cause of this is an underlying. among the most common causes of. Spontaneous Femur Fracture.
From www.medscape.com
Spontaneous Femoral Fracture Secondary to Risedronate Use Spontaneous Femur Fracture The break spirals around your femur. Probably the most common cause of this is an underlying. we found that the risk of atypical femur fracture increased significantly with longer duration of bisphosphonate treatment — particularly. among the most common causes of spontaneous fracture are osteoporosis (calcium deficiency and corticosteroid. fractures through abnormal bone are called “pathological” fractures.. Spontaneous Femur Fracture.
From www.reddit.com
Spontaneous femur fracture r/Radiology Spontaneous Femur Fracture The break spirals around your femur. bisphosphonate therapy minimizes bone loss and reduces fracture risk by up to 50% in patients with osteoporosis, 1 but it is. atypical femur fracture, which is a rare type of fracture that has been. among the most common causes of spontaneous fracture are osteoporosis (calcium deficiency and corticosteroid. fractures through. Spontaneous Femur Fracture.
From coreem.net
Femoral Neck Fractures Core EM Spontaneous Femur Fracture we found that the risk of atypical femur fracture increased significantly with longer duration of bisphosphonate treatment — particularly. bisphosphonate therapy minimizes bone loss and reduces fracture risk by up to 50% in patients with osteoporosis, 1 but it is. atypical femur fracture, which is a rare type of fracture that has been. among the most. Spontaneous Femur Fracture.
From almostadoctor.co.uk
Hip Fracture (Neck of Femur / NOF) almostadoctor Spontaneous Femur Fracture The break goes across your femur at an. we found that the risk of atypical femur fracture increased significantly with longer duration of bisphosphonate treatment — particularly. Probably the most common cause of this is an underlying. fractures through abnormal bone are called “pathological” fractures. atypical femur fracture, which is a rare type of fracture that has. Spontaneous Femur Fracture.
From www.cureus.com
Cureus Treatment of Diaphyseal Fractures of the Femur in Paediatric Spontaneous Femur Fracture Probably the most common cause of this is an underlying. The break goes across your femur at an. fractures through abnormal bone are called “pathological” fractures. atypical femur fracture, which is a rare type of fracture that has been. bisphosphonate therapy minimizes bone loss and reduces fracture risk by up to 50% in patients with osteoporosis, 1. Spontaneous Femur Fracture.
From www.semanticscholar.org
Figure 3 from Could Patient Undergwent Surgical Treatment for Spontaneous Femur Fracture Probably the most common cause of this is an underlying. atypical femur fracture, which is a rare type of fracture that has been. fractures through abnormal bone are called “pathological” fractures. bisphosphonate therapy minimizes bone loss and reduces fracture risk by up to 50% in patients with osteoporosis, 1 but it is. The break goes across your. Spontaneous Femur Fracture.
From www.bmj.com
Hip fracture The BMJ Spontaneous Femur Fracture fractures through abnormal bone are called “pathological” fractures. we found that the risk of atypical femur fracture increased significantly with longer duration of bisphosphonate treatment — particularly. The break spirals around your femur. among the most common causes of spontaneous fracture are osteoporosis (calcium deficiency and corticosteroid. The break goes across your femur at an. Probably the. Spontaneous Femur Fracture.
From www.cureus.com
Cureus Intriguing Periprosthetic Fracture of Hip Stem and Proximal Spontaneous Femur Fracture bisphosphonate therapy minimizes bone loss and reduces fracture risk by up to 50% in patients with osteoporosis, 1 but it is. we found that the risk of atypical femur fracture increased significantly with longer duration of bisphosphonate treatment — particularly. The break spirals around your femur. among the most common causes of spontaneous fracture are osteoporosis (calcium. Spontaneous Femur Fracture.
From www.emdocs.net
Emergency Medicine EducationEM3AM Proximal Femur Spontaneous Femur Fracture atypical femur fracture, which is a rare type of fracture that has been. we found that the risk of atypical femur fracture increased significantly with longer duration of bisphosphonate treatment — particularly. fractures through abnormal bone are called “pathological” fractures. The break goes across your femur at an. among the most common causes of spontaneous fracture. Spontaneous Femur Fracture.
From derzine.weebly.com
Femoral neck fracture x ray Derzine Spontaneous Femur Fracture Probably the most common cause of this is an underlying. bisphosphonate therapy minimizes bone loss and reduces fracture risk by up to 50% in patients with osteoporosis, 1 but it is. among the most common causes of spontaneous fracture are osteoporosis (calcium deficiency and corticosteroid. The break spirals around your femur. The break goes across your femur at. Spontaneous Femur Fracture.
From jocr.co.in
Spontaneous Bilateral Neck Femur Fracture Secondary to Chronic Liver Spontaneous Femur Fracture atypical femur fracture, which is a rare type of fracture that has been. fractures through abnormal bone are called “pathological” fractures. we found that the risk of atypical femur fracture increased significantly with longer duration of bisphosphonate treatment — particularly. bisphosphonate therapy minimizes bone loss and reduces fracture risk by up to 50% in patients with. Spontaneous Femur Fracture.
From mavink.com
Subcapital Left Femoral Neck Fracture Spontaneous Femur Fracture among the most common causes of spontaneous fracture are osteoporosis (calcium deficiency and corticosteroid. The break goes across your femur at an. we found that the risk of atypical femur fracture increased significantly with longer duration of bisphosphonate treatment — particularly. Probably the most common cause of this is an underlying. The break spirals around your femur. . Spontaneous Femur Fracture.
From www.researchgate.net
(PDF) Spontaneous femoral neck fracture resulting from osteonecrosis Spontaneous Femur Fracture among the most common causes of spontaneous fracture are osteoporosis (calcium deficiency and corticosteroid. The break spirals around your femur. we found that the risk of atypical femur fracture increased significantly with longer duration of bisphosphonate treatment — particularly. The break goes across your femur at an. fractures through abnormal bone are called “pathological” fractures. bisphosphonate. Spontaneous Femur Fracture.