Horseshoe Kidney Aaa . A systematic review of all patients that have been reported in the literature with abdominal aortic aneurysm (aaa) concomitant. Horseshoe kidney (hsk) is a rare congenital anomaly, characterized by either partial or complete fusion of the 2 kidneys, noted to occur with an incidence of 0.25% of the total population,. Coexistence of horseshoe kidney and abdominal aortic aneurysm (aaa) is a rare entity that presents a technical challenge to vascular. Horseshoe kidney (hsk), referring to the abnormal fusion of the lower renal poles, represents one of the most common renal. A horseshoe kidney (hsk) is a rare anatomic anomaly, with a prevalence of 0.12 percent, that poses significant challenges in the repair of. Horseshoe kidney (hsk) is a rare congenital fusion defect and is uncommonly associated with abdominal aortic aneurysm (aaa). Horseshoe kidney (hsk) is a rare congenital fusion defect and is uncommonly associated with abdominal aortic aneurysm. Ten patients with abdominal aortic aneurysms (aaas) and horseshoe kidney were treated with endovascular aneurysm repair.
from www.jpurol.com
A systematic review of all patients that have been reported in the literature with abdominal aortic aneurysm (aaa) concomitant. Horseshoe kidney (hsk) is a rare congenital fusion defect and is uncommonly associated with abdominal aortic aneurysm (aaa). A horseshoe kidney (hsk) is a rare anatomic anomaly, with a prevalence of 0.12 percent, that poses significant challenges in the repair of. Horseshoe kidney (hsk) is a rare congenital fusion defect and is uncommonly associated with abdominal aortic aneurysm. Ten patients with abdominal aortic aneurysms (aaas) and horseshoe kidney were treated with endovascular aneurysm repair. Horseshoe kidney (hsk) is a rare congenital anomaly, characterized by either partial or complete fusion of the 2 kidneys, noted to occur with an incidence of 0.25% of the total population,. Coexistence of horseshoe kidney and abdominal aortic aneurysm (aaa) is a rare entity that presents a technical challenge to vascular. Horseshoe kidney (hsk), referring to the abnormal fusion of the lower renal poles, represents one of the most common renal.
The horseshoe kidney Surgical anatomy and embryology Journal of
Horseshoe Kidney Aaa Horseshoe kidney (hsk) is a rare congenital fusion defect and is uncommonly associated with abdominal aortic aneurysm (aaa). Horseshoe kidney (hsk) is a rare congenital fusion defect and is uncommonly associated with abdominal aortic aneurysm. Horseshoe kidney (hsk) is a rare congenital anomaly, characterized by either partial or complete fusion of the 2 kidneys, noted to occur with an incidence of 0.25% of the total population,. A systematic review of all patients that have been reported in the literature with abdominal aortic aneurysm (aaa) concomitant. Horseshoe kidney (hsk), referring to the abnormal fusion of the lower renal poles, represents one of the most common renal. Ten patients with abdominal aortic aneurysms (aaas) and horseshoe kidney were treated with endovascular aneurysm repair. A horseshoe kidney (hsk) is a rare anatomic anomaly, with a prevalence of 0.12 percent, that poses significant challenges in the repair of. Horseshoe kidney (hsk) is a rare congenital fusion defect and is uncommonly associated with abdominal aortic aneurysm (aaa). Coexistence of horseshoe kidney and abdominal aortic aneurysm (aaa) is a rare entity that presents a technical challenge to vascular.
From www.pinterest.com
Horseshoe kidney illustration Radiology Case Horseshoe Kidney Aaa Coexistence of horseshoe kidney and abdominal aortic aneurysm (aaa) is a rare entity that presents a technical challenge to vascular. Horseshoe kidney (hsk) is a rare congenital fusion defect and is uncommonly associated with abdominal aortic aneurysm (aaa). A horseshoe kidney (hsk) is a rare anatomic anomaly, with a prevalence of 0.12 percent, that poses significant challenges in the repair. Horseshoe Kidney Aaa.
From www.jpurol.com
The horseshoe kidney Surgical anatomy and embryology Journal of Horseshoe Kidney Aaa Ten patients with abdominal aortic aneurysms (aaas) and horseshoe kidney were treated with endovascular aneurysm repair. Coexistence of horseshoe kidney and abdominal aortic aneurysm (aaa) is a rare entity that presents a technical challenge to vascular. A systematic review of all patients that have been reported in the literature with abdominal aortic aneurysm (aaa) concomitant. A horseshoe kidney (hsk) is. Horseshoe Kidney Aaa.
From www.researchgate.net
Horse shoe kidney. (A) Intravenous urography shows medialization of the Horseshoe Kidney Aaa A systematic review of all patients that have been reported in the literature with abdominal aortic aneurysm (aaa) concomitant. Horseshoe kidney (hsk), referring to the abnormal fusion of the lower renal poles, represents one of the most common renal. A horseshoe kidney (hsk) is a rare anatomic anomaly, with a prevalence of 0.12 percent, that poses significant challenges in the. Horseshoe Kidney Aaa.
From radiopaedia.org
Horseshoe kidney Image Horseshoe Kidney Aaa A systematic review of all patients that have been reported in the literature with abdominal aortic aneurysm (aaa) concomitant. Coexistence of horseshoe kidney and abdominal aortic aneurysm (aaa) is a rare entity that presents a technical challenge to vascular. Ten patients with abdominal aortic aneurysms (aaas) and horseshoe kidney were treated with endovascular aneurysm repair. Horseshoe kidney (hsk) is a. Horseshoe Kidney Aaa.
From www.cureus.com
Cureus Horseshoe Kidney Isthmus Infarction After Percutaneous Horseshoe Kidney Aaa Ten patients with abdominal aortic aneurysms (aaas) and horseshoe kidney were treated with endovascular aneurysm repair. A horseshoe kidney (hsk) is a rare anatomic anomaly, with a prevalence of 0.12 percent, that poses significant challenges in the repair of. Horseshoe kidney (hsk), referring to the abnormal fusion of the lower renal poles, represents one of the most common renal. Coexistence. Horseshoe Kidney Aaa.
From www.jpurol.com
The horseshoe kidney Surgical anatomy and embryology Journal of Horseshoe Kidney Aaa Ten patients with abdominal aortic aneurysms (aaas) and horseshoe kidney were treated with endovascular aneurysm repair. Horseshoe kidney (hsk) is a rare congenital fusion defect and is uncommonly associated with abdominal aortic aneurysm (aaa). A systematic review of all patients that have been reported in the literature with abdominal aortic aneurysm (aaa) concomitant. Horseshoe kidney (hsk) is a rare congenital. Horseshoe Kidney Aaa.
From www.cureus.com
Cureus Horseshoe Kidney Isthmus Infarction After Percutaneous Horseshoe Kidney Aaa Ten patients with abdominal aortic aneurysms (aaas) and horseshoe kidney were treated with endovascular aneurysm repair. Horseshoe kidney (hsk) is a rare congenital fusion defect and is uncommonly associated with abdominal aortic aneurysm. Coexistence of horseshoe kidney and abdominal aortic aneurysm (aaa) is a rare entity that presents a technical challenge to vascular. A systematic review of all patients that. Horseshoe Kidney Aaa.
From www.jpurol.com
The horseshoe kidney Surgical anatomy and embryology Journal of Horseshoe Kidney Aaa A systematic review of all patients that have been reported in the literature with abdominal aortic aneurysm (aaa) concomitant. Horseshoe kidney (hsk) is a rare congenital anomaly, characterized by either partial or complete fusion of the 2 kidneys, noted to occur with an incidence of 0.25% of the total population,. Ten patients with abdominal aortic aneurysms (aaas) and horseshoe kidney. Horseshoe Kidney Aaa.
From www.youtube.com
Horse shoe kidney horseshoe kidneys Ultrasonography report Amader Horseshoe Kidney Aaa Horseshoe kidney (hsk), referring to the abnormal fusion of the lower renal poles, represents one of the most common renal. Horseshoe kidney (hsk) is a rare congenital fusion defect and is uncommonly associated with abdominal aortic aneurysm (aaa). Coexistence of horseshoe kidney and abdominal aortic aneurysm (aaa) is a rare entity that presents a technical challenge to vascular. A horseshoe. Horseshoe Kidney Aaa.
From www.ajronline.org
Incidence and Spectrum of Renal Complications and Extrarenal Diseases Horseshoe Kidney Aaa Coexistence of horseshoe kidney and abdominal aortic aneurysm (aaa) is a rare entity that presents a technical challenge to vascular. A systematic review of all patients that have been reported in the literature with abdominal aortic aneurysm (aaa) concomitant. Horseshoe kidney (hsk), referring to the abnormal fusion of the lower renal poles, represents one of the most common renal. Horseshoe. Horseshoe Kidney Aaa.
From www.mdpi.com
Uro Free FullText Transplantation of the Horseshoe Kidneys A Horseshoe Kidney Aaa A horseshoe kidney (hsk) is a rare anatomic anomaly, with a prevalence of 0.12 percent, that poses significant challenges in the repair of. Horseshoe kidney (hsk) is a rare congenital fusion defect and is uncommonly associated with abdominal aortic aneurysm (aaa). A systematic review of all patients that have been reported in the literature with abdominal aortic aneurysm (aaa) concomitant.. Horseshoe Kidney Aaa.
From journals.sagepub.com
Horseshoe Kidney in Conjunction With Autosomal Dominant Polycystic Horseshoe Kidney Aaa Horseshoe kidney (hsk), referring to the abnormal fusion of the lower renal poles, represents one of the most common renal. A horseshoe kidney (hsk) is a rare anatomic anomaly, with a prevalence of 0.12 percent, that poses significant challenges in the repair of. Horseshoe kidney (hsk) is a rare congenital fusion defect and is uncommonly associated with abdominal aortic aneurysm.. Horseshoe Kidney Aaa.
From www.cureus.com
Cureus Horseshoe Kidney Isthmus Infarction After Percutaneous Horseshoe Kidney Aaa Horseshoe kidney (hsk), referring to the abnormal fusion of the lower renal poles, represents one of the most common renal. A systematic review of all patients that have been reported in the literature with abdominal aortic aneurysm (aaa) concomitant. Horseshoe kidney (hsk) is a rare congenital anomaly, characterized by either partial or complete fusion of the 2 kidneys, noted to. Horseshoe Kidney Aaa.
From www.ajronline.org
Incidence and Spectrum of Renal Complications and Extrarenal Diseases Horseshoe Kidney Aaa Horseshoe kidney (hsk) is a rare congenital anomaly, characterized by either partial or complete fusion of the 2 kidneys, noted to occur with an incidence of 0.25% of the total population,. A horseshoe kidney (hsk) is a rare anatomic anomaly, with a prevalence of 0.12 percent, that poses significant challenges in the repair of. Coexistence of horseshoe kidney and abdominal. Horseshoe Kidney Aaa.
From nephropocus.com
Horseshoe Kidney NephroPOCUS Horseshoe Kidney Aaa Horseshoe kidney (hsk) is a rare congenital fusion defect and is uncommonly associated with abdominal aortic aneurysm. Coexistence of horseshoe kidney and abdominal aortic aneurysm (aaa) is a rare entity that presents a technical challenge to vascular. Horseshoe kidney (hsk) is a rare congenital fusion defect and is uncommonly associated with abdominal aortic aneurysm (aaa). Horseshoe kidney (hsk), referring to. Horseshoe Kidney Aaa.
From www.slideserve.com
PPT Retroperitoneal Approach to AAA Repair PowerPoint Presentation Horseshoe Kidney Aaa A systematic review of all patients that have been reported in the literature with abdominal aortic aneurysm (aaa) concomitant. Ten patients with abdominal aortic aneurysms (aaas) and horseshoe kidney were treated with endovascular aneurysm repair. Horseshoe kidney (hsk) is a rare congenital fusion defect and is uncommonly associated with abdominal aortic aneurysm (aaa). Horseshoe kidney (hsk), referring to the abnormal. Horseshoe Kidney Aaa.
From www.researchgate.net
(PDF) Exclusion of an Infrarenal AAA with Coincident Horseshoe Kidney Horseshoe Kidney Aaa Coexistence of horseshoe kidney and abdominal aortic aneurysm (aaa) is a rare entity that presents a technical challenge to vascular. Ten patients with abdominal aortic aneurysms (aaas) and horseshoe kidney were treated with endovascular aneurysm repair. A horseshoe kidney (hsk) is a rare anatomic anomaly, with a prevalence of 0.12 percent, that poses significant challenges in the repair of. Horseshoe. Horseshoe Kidney Aaa.
From journals.sagepub.com
Horseshoe Kidney in Conjunction With Autosomal Dominant Polycystic Horseshoe Kidney Aaa Horseshoe kidney (hsk), referring to the abnormal fusion of the lower renal poles, represents one of the most common renal. Ten patients with abdominal aortic aneurysms (aaas) and horseshoe kidney were treated with endovascular aneurysm repair. A systematic review of all patients that have been reported in the literature with abdominal aortic aneurysm (aaa) concomitant. Horseshoe kidney (hsk) is a. Horseshoe Kidney Aaa.
From www.annalsofvascularsurgery.com
EVAR Approach for Abdominal Aortic Aneurysm with Horseshoe Kidney A Horseshoe Kidney Aaa Horseshoe kidney (hsk) is a rare congenital fusion defect and is uncommonly associated with abdominal aortic aneurysm. Horseshoe kidney (hsk), referring to the abnormal fusion of the lower renal poles, represents one of the most common renal. Ten patients with abdominal aortic aneurysms (aaas) and horseshoe kidney were treated with endovascular aneurysm repair. A systematic review of all patients that. Horseshoe Kidney Aaa.
From www.researchgate.net
Horseshoe kidney classification system based on the vasculature Horseshoe Kidney Aaa A systematic review of all patients that have been reported in the literature with abdominal aortic aneurysm (aaa) concomitant. Horseshoe kidney (hsk) is a rare congenital fusion defect and is uncommonly associated with abdominal aortic aneurysm. Coexistence of horseshoe kidney and abdominal aortic aneurysm (aaa) is a rare entity that presents a technical challenge to vascular. Horseshoe kidney (hsk), referring. Horseshoe Kidney Aaa.
From www.cureus.com
Horseshoe Kidney Isthmus Infarction After Percutaneous Endovascular Horseshoe Kidney Aaa Horseshoe kidney (hsk) is a rare congenital fusion defect and is uncommonly associated with abdominal aortic aneurysm. Horseshoe kidney (hsk), referring to the abnormal fusion of the lower renal poles, represents one of the most common renal. Horseshoe kidney (hsk) is a rare congenital anomaly, characterized by either partial or complete fusion of the 2 kidneys, noted to occur with. Horseshoe Kidney Aaa.
From journals.sagepub.com
A Horseshoe Kidney With Solid Mass A Case Report Shannon Thoma Horseshoe Kidney Aaa A systematic review of all patients that have been reported in the literature with abdominal aortic aneurysm (aaa) concomitant. A horseshoe kidney (hsk) is a rare anatomic anomaly, with a prevalence of 0.12 percent, that poses significant challenges in the repair of. Coexistence of horseshoe kidney and abdominal aortic aneurysm (aaa) is a rare entity that presents a technical challenge. Horseshoe Kidney Aaa.
From www.researchgate.net
Horseshoe kidney and AAA, with the inferior vena cava (marked by blue Horseshoe Kidney Aaa Coexistence of horseshoe kidney and abdominal aortic aneurysm (aaa) is a rare entity that presents a technical challenge to vascular. Horseshoe kidney (hsk) is a rare congenital fusion defect and is uncommonly associated with abdominal aortic aneurysm (aaa). A systematic review of all patients that have been reported in the literature with abdominal aortic aneurysm (aaa) concomitant. Horseshoe kidney (hsk). Horseshoe Kidney Aaa.
From www.slideserve.com
PPT RAD 240 Pathology PowerPoint Presentation, free download ID2240500 Horseshoe Kidney Aaa Coexistence of horseshoe kidney and abdominal aortic aneurysm (aaa) is a rare entity that presents a technical challenge to vascular. Ten patients with abdominal aortic aneurysms (aaas) and horseshoe kidney were treated with endovascular aneurysm repair. Horseshoe kidney (hsk), referring to the abnormal fusion of the lower renal poles, represents one of the most common renal. A systematic review of. Horseshoe Kidney Aaa.
From www.scribd.com
Horseshoe Kidney PDF Kidney Medical Specialties Horseshoe Kidney Aaa Horseshoe kidney (hsk) is a rare congenital fusion defect and is uncommonly associated with abdominal aortic aneurysm (aaa). A horseshoe kidney (hsk) is a rare anatomic anomaly, with a prevalence of 0.12 percent, that poses significant challenges in the repair of. A systematic review of all patients that have been reported in the literature with abdominal aortic aneurysm (aaa) concomitant.. Horseshoe Kidney Aaa.
From healthjade.net
Horseshoe kidney causes, symptoms, complications, diagnosis & treatment Horseshoe Kidney Aaa Coexistence of horseshoe kidney and abdominal aortic aneurysm (aaa) is a rare entity that presents a technical challenge to vascular. Horseshoe kidney (hsk) is a rare congenital fusion defect and is uncommonly associated with abdominal aortic aneurysm (aaa). A systematic review of all patients that have been reported in the literature with abdominal aortic aneurysm (aaa) concomitant. Ten patients with. Horseshoe Kidney Aaa.
From www.slideserve.com
PPT PUJ in Horse Shoe Kidney PowerPoint Presentation, free download Horseshoe Kidney Aaa Horseshoe kidney (hsk) is a rare congenital fusion defect and is uncommonly associated with abdominal aortic aneurysm (aaa). Ten patients with abdominal aortic aneurysms (aaas) and horseshoe kidney were treated with endovascular aneurysm repair. Horseshoe kidney (hsk), referring to the abnormal fusion of the lower renal poles, represents one of the most common renal. A systematic review of all patients. Horseshoe Kidney Aaa.
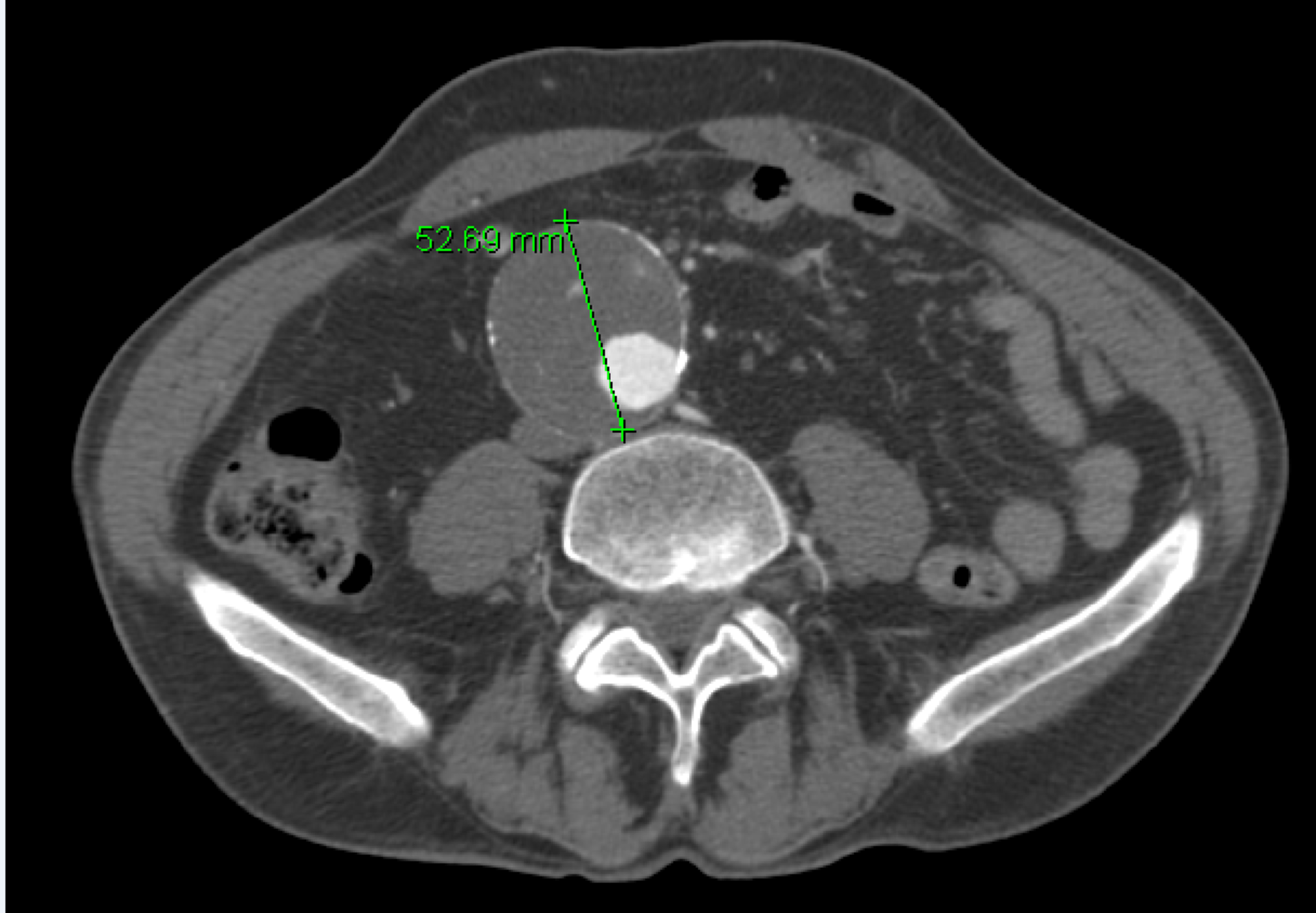
From radiopaedia.org
Horseshoe kidney Image Horseshoe Kidney Aaa Horseshoe kidney (hsk) is a rare congenital anomaly, characterized by either partial or complete fusion of the 2 kidneys, noted to occur with an incidence of 0.25% of the total population,. Ten patients with abdominal aortic aneurysms (aaas) and horseshoe kidney were treated with endovascular aneurysm repair. Horseshoe kidney (hsk) is a rare congenital fusion defect and is uncommonly associated. Horseshoe Kidney Aaa.
From healthjade.com
Horseshoe kidney causes, symptoms, complications, diagnosis & treatment Horseshoe Kidney Aaa Horseshoe kidney (hsk) is a rare congenital fusion defect and is uncommonly associated with abdominal aortic aneurysm. A systematic review of all patients that have been reported in the literature with abdominal aortic aneurysm (aaa) concomitant. Horseshoe kidney (hsk), referring to the abnormal fusion of the lower renal poles, represents one of the most common renal. Ten patients with abdominal. Horseshoe Kidney Aaa.
From www.youtube.com
Horseshoe Kidney Medical Imaging Anatomy Course YouTube Horseshoe Kidney Aaa Horseshoe kidney (hsk) is a rare congenital fusion defect and is uncommonly associated with abdominal aortic aneurysm (aaa). A horseshoe kidney (hsk) is a rare anatomic anomaly, with a prevalence of 0.12 percent, that poses significant challenges in the repair of. Horseshoe kidney (hsk), referring to the abnormal fusion of the lower renal poles, represents one of the most common. Horseshoe Kidney Aaa.
From stock.adobe.com
Horseshoe Kidney Labeled Diagram Stock Illustration Adobe Stock Horseshoe Kidney Aaa Ten patients with abdominal aortic aneurysms (aaas) and horseshoe kidney were treated with endovascular aneurysm repair. Horseshoe kidney (hsk) is a rare congenital fusion defect and is uncommonly associated with abdominal aortic aneurysm. A systematic review of all patients that have been reported in the literature with abdominal aortic aneurysm (aaa) concomitant. Horseshoe kidney (hsk) is a rare congenital fusion. Horseshoe Kidney Aaa.
From radiopaedia.org
Situs inversus totalis with horseshoe kidney Image Horseshoe Kidney Aaa Horseshoe kidney (hsk) is a rare congenital anomaly, characterized by either partial or complete fusion of the 2 kidneys, noted to occur with an incidence of 0.25% of the total population,. Horseshoe kidney (hsk) is a rare congenital fusion defect and is uncommonly associated with abdominal aortic aneurysm (aaa). Horseshoe kidney (hsk) is a rare congenital fusion defect and is. Horseshoe Kidney Aaa.
From radiopaedia.org
Horseshoe kidney Image Horseshoe Kidney Aaa Horseshoe kidney (hsk) is a rare congenital fusion defect and is uncommonly associated with abdominal aortic aneurysm (aaa). Coexistence of horseshoe kidney and abdominal aortic aneurysm (aaa) is a rare entity that presents a technical challenge to vascular. Horseshoe kidney (hsk), referring to the abnormal fusion of the lower renal poles, represents one of the most common renal. A horseshoe. Horseshoe Kidney Aaa.
From www.researchgate.net
The basic arterial patterns of supply to horseshoe kidney as described Horseshoe Kidney Aaa Ten patients with abdominal aortic aneurysms (aaas) and horseshoe kidney were treated with endovascular aneurysm repair. A systematic review of all patients that have been reported in the literature with abdominal aortic aneurysm (aaa) concomitant. Horseshoe kidney (hsk), referring to the abnormal fusion of the lower renal poles, represents one of the most common renal. Coexistence of horseshoe kidney and. Horseshoe Kidney Aaa.