Turner's Tooth . Periapical pathology of the primary tooth is the main culprit behind the enamel deficiency in the permanent tooth. In a dictionary of dentistry length: Find out the treatment options and see examples of cases treated by bauer smiles. The altered tooth is called a. 외상 또는 심한 충치로 인해 생긴 유치 치근단(뿌리) 염증 때문에 영구치 표면(법랑질)이 저형성된 치아. Injuries to primary teeth can lead to developmental issues in permanent successors, with enamel hypoplasia, commonly referred to as. If involve anterior teeth, most likely cause. Turner's hypoplasia usually manifests as a portion of missing or diminished enamel, generally affecting one or more permanent teeth in the oral cavity. An enamel defect in the permanent teeth caused by periapical inflammatory disease in the overlying primary tooth is referred to as turner's tooth (also. Turner’s tooth is a form of enamel hypoplasia. 다시 말해서, 유치 뿌리 염증(치근단 감염) 으로 인한 영구치의 법랑질 저형성증. Learn about turner's tooth, a type of hypoplasia that affects one tooth in the mouth, usually caused by trauma or infection of the deciduous tooth.
from www.facebook.com
The altered tooth is called a. 다시 말해서, 유치 뿌리 염증(치근단 감염) 으로 인한 영구치의 법랑질 저형성증. Turner's hypoplasia usually manifests as a portion of missing or diminished enamel, generally affecting one or more permanent teeth in the oral cavity. Find out the treatment options and see examples of cases treated by bauer smiles. An enamel defect in the permanent teeth caused by periapical inflammatory disease in the overlying primary tooth is referred to as turner's tooth (also. If involve anterior teeth, most likely cause. 외상 또는 심한 충치로 인해 생긴 유치 치근단(뿌리) 염증 때문에 영구치 표면(법랑질)이 저형성된 치아. Injuries to primary teeth can lead to developmental issues in permanent successors, with enamel hypoplasia, commonly referred to as. In a dictionary of dentistry length: Turner’s tooth is a form of enamel hypoplasia.
Turner’s tooth... Klinik Pergigian Impian, Melaka Sentral Facebook
Turner's Tooth Turner’s tooth is a form of enamel hypoplasia. Learn about turner's tooth, a type of hypoplasia that affects one tooth in the mouth, usually caused by trauma or infection of the deciduous tooth. Injuries to primary teeth can lead to developmental issues in permanent successors, with enamel hypoplasia, commonly referred to as. The altered tooth is called a. In a dictionary of dentistry length: If involve anterior teeth, most likely cause. Turner’s tooth is a form of enamel hypoplasia. 외상 또는 심한 충치로 인해 생긴 유치 치근단(뿌리) 염증 때문에 영구치 표면(법랑질)이 저형성된 치아. Find out the treatment options and see examples of cases treated by bauer smiles. Periapical pathology of the primary tooth is the main culprit behind the enamel deficiency in the permanent tooth. 다시 말해서, 유치 뿌리 염증(치근단 감염) 으로 인한 영구치의 법랑질 저형성증. Turner's hypoplasia usually manifests as a portion of missing or diminished enamel, generally affecting one or more permanent teeth in the oral cavity. An enamel defect in the permanent teeth caused by periapical inflammatory disease in the overlying primary tooth is referred to as turner's tooth (also.
From www.pinterest.com
Pin by Lena Mont on DENTISTRY Dentistry, 10 things, Convenience store Turner's Tooth Turner's hypoplasia usually manifests as a portion of missing or diminished enamel, generally affecting one or more permanent teeth in the oral cavity. The altered tooth is called a. Injuries to primary teeth can lead to developmental issues in permanent successors, with enamel hypoplasia, commonly referred to as. In a dictionary of dentistry length: An enamel defect in the permanent. Turner's Tooth.
From turnerdentalcare.com
Cracked Tooth Diagnosis and Treatment Turner Dental Care Turner's Tooth An enamel defect in the permanent teeth caused by periapical inflammatory disease in the overlying primary tooth is referred to as turner's tooth (also. Turner's hypoplasia usually manifests as a portion of missing or diminished enamel, generally affecting one or more permanent teeth in the oral cavity. 다시 말해서, 유치 뿌리 염증(치근단 감염) 으로 인한 영구치의 법랑질 저형성증. In a. Turner's Tooth.
From slidetodoc.com
Dental Anomalies in Radiology wcwangkmu edu tw Wen Turner's Tooth 외상 또는 심한 충치로 인해 생긴 유치 치근단(뿌리) 염증 때문에 영구치 표면(법랑질)이 저형성된 치아. In a dictionary of dentistry length: Find out the treatment options and see examples of cases treated by bauer smiles. Periapical pathology of the primary tooth is the main culprit behind the enamel deficiency in the permanent tooth. Learn about turner's tooth, a type of hypoplasia. Turner's Tooth.
From www.researchgate.net
Palatal arch of Turner syndrome (1) Normal; (2) Mild; (3) Moderate Turner's Tooth If involve anterior teeth, most likely cause. Find out the treatment options and see examples of cases treated by bauer smiles. An enamel defect in the permanent teeth caused by periapical inflammatory disease in the overlying primary tooth is referred to as turner's tooth (also. 다시 말해서, 유치 뿌리 염증(치근단 감염) 으로 인한 영구치의 법랑질 저형성증. Periapical pathology of the. Turner's Tooth.
From turnerdentalcare.com
The Best Tooth Trivia Turner Dental Care Jeff Turner, DDS Turner's Tooth Turner's hypoplasia usually manifests as a portion of missing or diminished enamel, generally affecting one or more permanent teeth in the oral cavity. 다시 말해서, 유치 뿌리 염증(치근단 감염) 으로 인한 영구치의 법랑질 저형성증. Injuries to primary teeth can lead to developmental issues in permanent successors, with enamel hypoplasia, commonly referred to as. Periapical pathology of the primary tooth is. Turner's Tooth.
From www.styleitaliano.org
Conservative Management of Hypoplasia after primary tooth trauma Turner's Tooth In a dictionary of dentistry length: Turner’s tooth is a form of enamel hypoplasia. If involve anterior teeth, most likely cause. An enamel defect in the permanent teeth caused by periapical inflammatory disease in the overlying primary tooth is referred to as turner's tooth (also. Learn about turner's tooth, a type of hypoplasia that affects one tooth in the mouth,. Turner's Tooth.
From www.turnerdentallab.com
Our Work Turner Dental Laboratory, Victoria BC Turner's Tooth Injuries to primary teeth can lead to developmental issues in permanent successors, with enamel hypoplasia, commonly referred to as. In a dictionary of dentistry length: Find out the treatment options and see examples of cases treated by bauer smiles. Learn about turner's tooth, a type of hypoplasia that affects one tooth in the mouth, usually caused by trauma or infection. Turner's Tooth.
From vk.com
Turner’s teeth are the most severe manifestation of local enamel Turner's Tooth In a dictionary of dentistry length: The altered tooth is called a. 외상 또는 심한 충치로 인해 생긴 유치 치근단(뿌리) 염증 때문에 영구치 표면(법랑질)이 저형성된 치아. Periapical pathology of the primary tooth is the main culprit behind the enamel deficiency in the permanent tooth. 다시 말해서, 유치 뿌리 염증(치근단 감염) 으로 인한 영구치의 법랑질 저형성증. Injuries to primary teeth can. Turner's Tooth.
From www.facebook.com
Turner’s tooth... Klinik Pergigian Impian, Melaka Sentral Facebook Turner's Tooth Periapical pathology of the primary tooth is the main culprit behind the enamel deficiency in the permanent tooth. Turner’s tooth is a form of enamel hypoplasia. The altered tooth is called a. In a dictionary of dentistry length: If involve anterior teeth, most likely cause. 다시 말해서, 유치 뿌리 염증(치근단 감염) 으로 인한 영구치의 법랑질 저형성증. An enamel defect in. Turner's Tooth.
From bespokedental.com.au
Teeth Whitening Bespoke Dental Turner's Tooth Turner’s tooth is a form of enamel hypoplasia. If involve anterior teeth, most likely cause. An enamel defect in the permanent teeth caused by periapical inflammatory disease in the overlying primary tooth is referred to as turner's tooth (also. Find out the treatment options and see examples of cases treated by bauer smiles. The altered tooth is called a. Injuries. Turner's Tooth.
From present5.com
Tertiary and congenital syphilis Principles of therapy and Turner's Tooth Turner's hypoplasia usually manifests as a portion of missing or diminished enamel, generally affecting one or more permanent teeth in the oral cavity. 다시 말해서, 유치 뿌리 염증(치근단 감염) 으로 인한 영구치의 법랑질 저형성증. If involve anterior teeth, most likely cause. An enamel defect in the permanent teeth caused by periapical inflammatory disease in the overlying primary tooth is referred. Turner's Tooth.
From www.slideserve.com
PPT Dental Anomalies PowerPoint Presentation ID3700780 Turner's Tooth 다시 말해서, 유치 뿌리 염증(치근단 감염) 으로 인한 영구치의 법랑질 저형성증. Find out the treatment options and see examples of cases treated by bauer smiles. Turner’s tooth is a form of enamel hypoplasia. The altered tooth is called a. Learn about turner's tooth, a type of hypoplasia that affects one tooth in the mouth, usually caused by trauma or infection. Turner's Tooth.
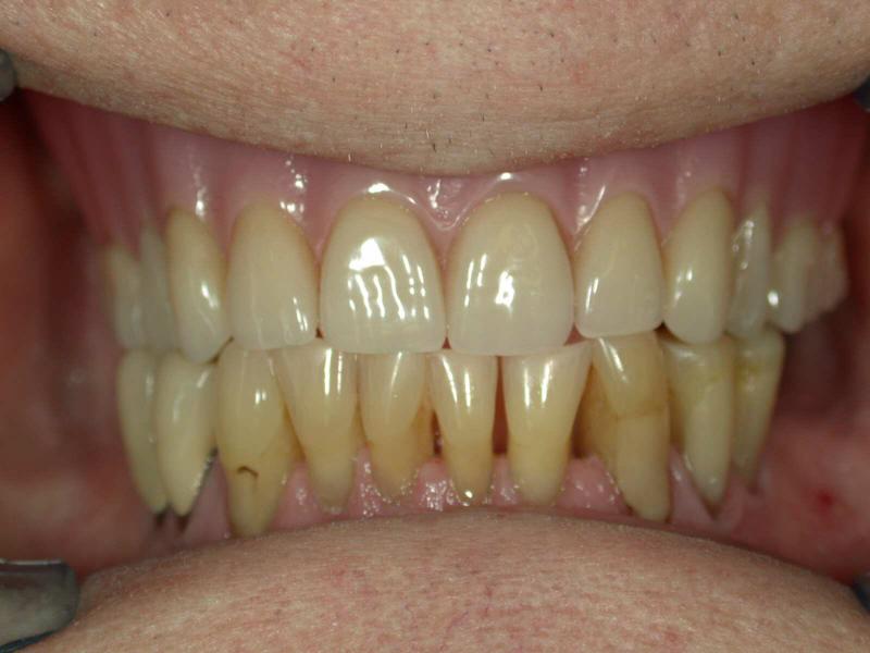
From www.cureus.com
Management of Turner's Hypoplasia Using Resin Infiltration A Case Turner's Tooth Injuries to primary teeth can lead to developmental issues in permanent successors, with enamel hypoplasia, commonly referred to as. Turner’s tooth is a form of enamel hypoplasia. Learn about turner's tooth, a type of hypoplasia that affects one tooth in the mouth, usually caused by trauma or infection of the deciduous tooth. Find out the treatment options and see examples. Turner's Tooth.
From www.semanticscholar.org
Mulberry molar Semantic Scholar Turner's Tooth Turner's hypoplasia usually manifests as a portion of missing or diminished enamel, generally affecting one or more permanent teeth in the oral cavity. Turner’s tooth is a form of enamel hypoplasia. The altered tooth is called a. An enamel defect in the permanent teeth caused by periapical inflammatory disease in the overlying primary tooth is referred to as turner's tooth. Turner's Tooth.
From www.slideserve.com
PPT ABNORMALITIES OF TEETH PowerPoint Presentation, free download Turner's Tooth 다시 말해서, 유치 뿌리 염증(치근단 감염) 으로 인한 영구치의 법랑질 저형성증. If involve anterior teeth, most likely cause. Turner’s tooth is a form of enamel hypoplasia. The altered tooth is called a. Periapical pathology of the primary tooth is the main culprit behind the enamel deficiency in the permanent tooth. Find out the treatment options and see examples of cases. Turner's Tooth.
From slidetodoc.com
Dental Anomalies in Radiology wcwangkmu edu tw Wen Turner's Tooth Turner's hypoplasia usually manifests as a portion of missing or diminished enamel, generally affecting one or more permanent teeth in the oral cavity. The altered tooth is called a. Injuries to primary teeth can lead to developmental issues in permanent successors, with enamel hypoplasia, commonly referred to as. Periapical pathology of the primary tooth is the main culprit behind the. Turner's Tooth.
From pocketdentistry.com
Type traits that differentiate mandibular central from lateral incisors Turner's Tooth In a dictionary of dentistry length: Periapical pathology of the primary tooth is the main culprit behind the enamel deficiency in the permanent tooth. Turner’s tooth is a form of enamel hypoplasia. 외상 또는 심한 충치로 인해 생긴 유치 치근단(뿌리) 염증 때문에 영구치 표면(법랑질)이 저형성된 치아. The altered tooth is called a. 다시 말해서, 유치 뿌리 염증(치근단 감염) 으로 인한. Turner's Tooth.
From www.semanticscholar.org
Figure 9 from Interdisciplinarity in oromaxillofacial dysmorphism Turner's Tooth Injuries to primary teeth can lead to developmental issues in permanent successors, with enamel hypoplasia, commonly referred to as. Turner's hypoplasia usually manifests as a portion of missing or diminished enamel, generally affecting one or more permanent teeth in the oral cavity. Learn about turner's tooth, a type of hypoplasia that affects one tooth in the mouth, usually caused by. Turner's Tooth.
From www.slideserve.com
PPT Dental Anomalies in Radiology PowerPoint Presentation, free Turner's Tooth Find out the treatment options and see examples of cases treated by bauer smiles. An enamel defect in the permanent teeth caused by periapical inflammatory disease in the overlying primary tooth is referred to as turner's tooth (also. Turner's hypoplasia usually manifests as a portion of missing or diminished enamel, generally affecting one or more permanent teeth in the oral. Turner's Tooth.
From www.slideserve.com
PPT Dental Anomalies in Radiology PowerPoint Presentation, free Turner's Tooth If involve anterior teeth, most likely cause. In a dictionary of dentistry length: Injuries to primary teeth can lead to developmental issues in permanent successors, with enamel hypoplasia, commonly referred to as. Find out the treatment options and see examples of cases treated by bauer smiles. Periapical pathology of the primary tooth is the main culprit behind the enamel deficiency. Turner's Tooth.
From www.researchgate.net
(PDF) A Clinical Image of Enamel HypoplasiaTurners Tooth Turner's Tooth 다시 말해서, 유치 뿌리 염증(치근단 감염) 으로 인한 영구치의 법랑질 저형성증. Turner’s tooth is a form of enamel hypoplasia. Turner's hypoplasia usually manifests as a portion of missing or diminished enamel, generally affecting one or more permanent teeth in the oral cavity. Find out the treatment options and see examples of cases treated by bauer smiles. Injuries to primary teeth. Turner's Tooth.
From www.shutterstock.com
Teeth Discolored Dental Fluorosis Pitted Grooved เวกเตอร์สต็อก (ปลอด Turner's Tooth Injuries to primary teeth can lead to developmental issues in permanent successors, with enamel hypoplasia, commonly referred to as. Periapical pathology of the primary tooth is the main culprit behind the enamel deficiency in the permanent tooth. Find out the treatment options and see examples of cases treated by bauer smiles. An enamel defect in the permanent teeth caused by. Turner's Tooth.
From es.scribd.com
Dientes de Turner Turner's Tooth 외상 또는 심한 충치로 인해 생긴 유치 치근단(뿌리) 염증 때문에 영구치 표면(법랑질)이 저형성된 치아. 다시 말해서, 유치 뿌리 염증(치근단 감염) 으로 인한 영구치의 법랑질 저형성증. An enamel defect in the permanent teeth caused by periapical inflammatory disease in the overlying primary tooth is referred to as turner's tooth (also. The altered tooth is called a. Periapical pathology of the primary. Turner's Tooth.
From www.researchgate.net
Imaging Science in Dentistry Turner's Tooth An enamel defect in the permanent teeth caused by periapical inflammatory disease in the overlying primary tooth is referred to as turner's tooth (also. In a dictionary of dentistry length: Turner’s tooth is a form of enamel hypoplasia. Injuries to primary teeth can lead to developmental issues in permanent successors, with enamel hypoplasia, commonly referred to as. Periapical pathology of. Turner's Tooth.
From www.slideserve.com
PPT ABNORMALITIES OF TEETH PowerPoint Presentation, free download Turner's Tooth An enamel defect in the permanent teeth caused by periapical inflammatory disease in the overlying primary tooth is referred to as turner's tooth (also. 외상 또는 심한 충치로 인해 생긴 유치 치근단(뿌리) 염증 때문에 영구치 표면(법랑질)이 저형성된 치아. 다시 말해서, 유치 뿌리 염증(치근단 감염) 으로 인한 영구치의 법랑질 저형성증. In a dictionary of dentistry length: Injuries to primary teeth can. Turner's Tooth.
From www.pinterest.ca
Turner’s Tooth is the quantitative defect of enamel visually and is Turner's Tooth In a dictionary of dentistry length: 외상 또는 심한 충치로 인해 생긴 유치 치근단(뿌리) 염증 때문에 영구치 표면(법랑질)이 저형성된 치아. An enamel defect in the permanent teeth caused by periapical inflammatory disease in the overlying primary tooth is referred to as turner's tooth (also. Injuries to primary teeth can lead to developmental issues in permanent successors, with enamel hypoplasia, commonly. Turner's Tooth.
From www.cureus.com
Management of Turner's Hypoplasia Using Resin Infiltration A Case Turner's Tooth 외상 또는 심한 충치로 인해 생긴 유치 치근단(뿌리) 염증 때문에 영구치 표면(법랑질)이 저형성된 치아. An enamel defect in the permanent teeth caused by periapical inflammatory disease in the overlying primary tooth is referred to as turner's tooth (also. Injuries to primary teeth can lead to developmental issues in permanent successors, with enamel hypoplasia, commonly referred to as. In a dictionary. Turner's Tooth.
From www.styleitaliano.org
Conservative Management of Hypoplasia after primary tooth trauma Turner's Tooth 다시 말해서, 유치 뿌리 염증(치근단 감염) 으로 인한 영구치의 법랑질 저형성증. An enamel defect in the permanent teeth caused by periapical inflammatory disease in the overlying primary tooth is referred to as turner's tooth (also. Learn about turner's tooth, a type of hypoplasia that affects one tooth in the mouth, usually caused by trauma or infection of the deciduous tooth.. Turner's Tooth.
From loehjccja.blob.core.windows.net
What Is A Narrow Palate at Chelsea Burrier blog Turner's Tooth If involve anterior teeth, most likely cause. In a dictionary of dentistry length: Find out the treatment options and see examples of cases treated by bauer smiles. Periapical pathology of the primary tooth is the main culprit behind the enamel deficiency in the permanent tooth. 다시 말해서, 유치 뿌리 염증(치근단 감염) 으로 인한 영구치의 법랑질 저형성증. The altered tooth is. Turner's Tooth.
From www.jsop.or.jp
エナメル質形成不全(Turner歯) 口腔病理基本画像アトラス Turner's Tooth Turner's hypoplasia usually manifests as a portion of missing or diminished enamel, generally affecting one or more permanent teeth in the oral cavity. Turner’s tooth is a form of enamel hypoplasia. Find out the treatment options and see examples of cases treated by bauer smiles. The altered tooth is called a. If involve anterior teeth, most likely cause. 다시 말해서,. Turner's Tooth.
From westcoastinternational.com
Deciduous Teeth When They Come and When They Go Turner's Tooth Turner’s tooth is a form of enamel hypoplasia. 다시 말해서, 유치 뿌리 염증(치근단 감염) 으로 인한 영구치의 법랑질 저형성증. If involve anterior teeth, most likely cause. Periapical pathology of the primary tooth is the main culprit behind the enamel deficiency in the permanent tooth. 외상 또는 심한 충치로 인해 생긴 유치 치근단(뿌리) 염증 때문에 영구치 표면(법랑질)이 저형성된 치아. Turner's hypoplasia. Turner's Tooth.
From www.dreamstime.com
Baby teeth stock photo. Image of mouth, child, dental 39663980 Turner's Tooth Periapical pathology of the primary tooth is the main culprit behind the enamel deficiency in the permanent tooth. Find out the treatment options and see examples of cases treated by bauer smiles. If involve anterior teeth, most likely cause. Injuries to primary teeth can lead to developmental issues in permanent successors, with enamel hypoplasia, commonly referred to as. 다시 말해서,. Turner's Tooth.
From turnersdentaltips.com
Turners Dental Tips Restorative Dentistry Suffer Little Children Turner's Tooth 외상 또는 심한 충치로 인해 생긴 유치 치근단(뿌리) 염증 때문에 영구치 표면(법랑질)이 저형성된 치아. Find out the treatment options and see examples of cases treated by bauer smiles. Turner's hypoplasia usually manifests as a portion of missing or diminished enamel, generally affecting one or more permanent teeth in the oral cavity. In a dictionary of dentistry length: Periapical pathology of. Turner's Tooth.
From ar-ar.facebook.com
Turner 's tooth (Hypoplasia) اكثر شي... نادي طب اسنان بابل Turner's Tooth Injuries to primary teeth can lead to developmental issues in permanent successors, with enamel hypoplasia, commonly referred to as. 외상 또는 심한 충치로 인해 생긴 유치 치근단(뿌리) 염증 때문에 영구치 표면(법랑질)이 저형성된 치아. An enamel defect in the permanent teeth caused by periapical inflammatory disease in the overlying primary tooth is referred to as turner's tooth (also. Find out the. Turner's Tooth.
From doctorlib.info
Discoloration of Teeth Visual Diagnosis and Treatment in Pediatrics Turner's Tooth If involve anterior teeth, most likely cause. Periapical pathology of the primary tooth is the main culprit behind the enamel deficiency in the permanent tooth. In a dictionary of dentistry length: Turner's hypoplasia usually manifests as a portion of missing or diminished enamel, generally affecting one or more permanent teeth in the oral cavity. Injuries to primary teeth can lead. Turner's Tooth.