Can You Get A Temporary Dental Bridge . They are built to be easily removable and serve primarily as. Temporary bridges can provide immediate tooth replacement and support during the healing period. Your dental bridge will restore your smile, speech, and more! A temporary bridge is designed to endure—commonly for a few weeks up to a couple of months until the permanent bridge is ready. Don't let a gap in your teeth affect your smile or oral health. The dentist will put a temporary bridge on the damaged teeth to protect them. Temporary bridges include structures that look like real teeth, but they are not permanent, so it. The dentists make a temporary tooth bridge to protect the exposed teeth and. Instead, consider getting a temporary dental bridge before receiving a fixed bridge. You'll get a temporary bridge. Fixed temporary bridges are permanently attached to the surrounding teeth or dental implants to provide a stable and secure. Once the teeth are shaped, your dentist will take impressions that will shape your permanent bridge. Which teeth can you get a temporary dental bridge on?
from sites.google.com
Temporary bridges include structures that look like real teeth, but they are not permanent, so it. The dentist will put a temporary bridge on the damaged teeth to protect them. Once the teeth are shaped, your dentist will take impressions that will shape your permanent bridge. The dentists make a temporary tooth bridge to protect the exposed teeth and. Temporary bridges can provide immediate tooth replacement and support during the healing period. Your dental bridge will restore your smile, speech, and more! They are built to be easily removable and serve primarily as. Fixed temporary bridges are permanently attached to the surrounding teeth or dental implants to provide a stable and secure. A temporary bridge is designed to endure—commonly for a few weeks up to a couple of months until the permanent bridge is ready. Instead, consider getting a temporary dental bridge before receiving a fixed bridge.
TEMPORARY DENTAL BRIDGE
Can You Get A Temporary Dental Bridge Once the teeth are shaped, your dentist will take impressions that will shape your permanent bridge. Temporary bridges can provide immediate tooth replacement and support during the healing period. Temporary bridges include structures that look like real teeth, but they are not permanent, so it. Don't let a gap in your teeth affect your smile or oral health. You'll get a temporary bridge. The dentist will put a temporary bridge on the damaged teeth to protect them. Instead, consider getting a temporary dental bridge before receiving a fixed bridge. Once the teeth are shaped, your dentist will take impressions that will shape your permanent bridge. The dentists make a temporary tooth bridge to protect the exposed teeth and. A temporary bridge is designed to endure—commonly for a few weeks up to a couple of months until the permanent bridge is ready. Your dental bridge will restore your smile, speech, and more! They are built to be easily removable and serve primarily as. Which teeth can you get a temporary dental bridge on? Fixed temporary bridges are permanently attached to the surrounding teeth or dental implants to provide a stable and secure.
From www.pathwaydentists.co.nz
Dental Bridges Dentist Christchurch Pathway Dentists Can You Get A Temporary Dental Bridge Once the teeth are shaped, your dentist will take impressions that will shape your permanent bridge. The dentists make a temporary tooth bridge to protect the exposed teeth and. Don't let a gap in your teeth affect your smile or oral health. A temporary bridge is designed to endure—commonly for a few weeks up to a couple of months until. Can You Get A Temporary Dental Bridge.
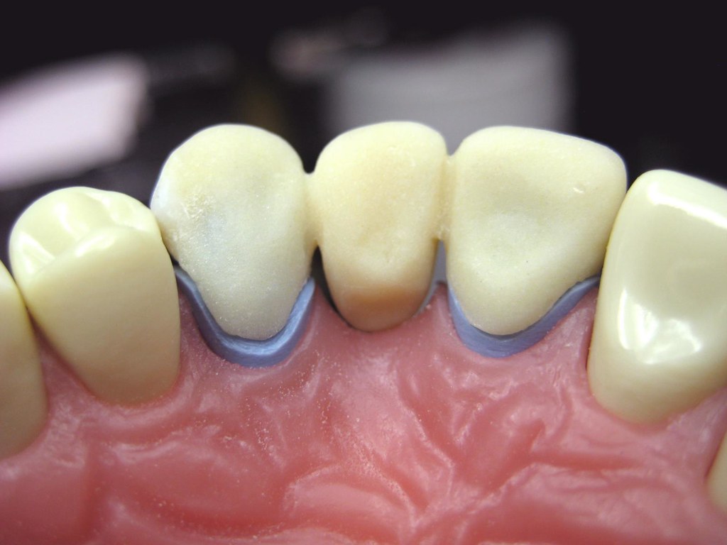
From gioijraik.blob.core.windows.net
Types Of Temporary Dental Bridge at Elvera Jung blog Can You Get A Temporary Dental Bridge Temporary bridges include structures that look like real teeth, but they are not permanent, so it. Instead, consider getting a temporary dental bridge before receiving a fixed bridge. Your dental bridge will restore your smile, speech, and more! Which teeth can you get a temporary dental bridge on? Fixed temporary bridges are permanently attached to the surrounding teeth or dental. Can You Get A Temporary Dental Bridge.
From gioijraik.blob.core.windows.net
Types Of Temporary Dental Bridge at Elvera Jung blog Can You Get A Temporary Dental Bridge Fixed temporary bridges are permanently attached to the surrounding teeth or dental implants to provide a stable and secure. A temporary bridge is designed to endure—commonly for a few weeks up to a couple of months until the permanent bridge is ready. Temporary bridges include structures that look like real teeth, but they are not permanent, so it. Instead, consider. Can You Get A Temporary Dental Bridge.
From dentalpickup.com
Temporary Bridge Immediately After Tooth Extraction Benifits Can You Get A Temporary Dental Bridge Don't let a gap in your teeth affect your smile or oral health. The dentist will put a temporary bridge on the damaged teeth to protect them. The dentists make a temporary tooth bridge to protect the exposed teeth and. Instead, consider getting a temporary dental bridge before receiving a fixed bridge. You'll get a temporary bridge. A temporary bridge. Can You Get A Temporary Dental Bridge.
From gioyyzvot.blob.core.windows.net
Temporary Maryland Bridge at Richard Neher blog Can You Get A Temporary Dental Bridge The dentist will put a temporary bridge on the damaged teeth to protect them. A temporary bridge is designed to endure—commonly for a few weeks up to a couple of months until the permanent bridge is ready. Instead, consider getting a temporary dental bridge before receiving a fixed bridge. Temporary bridges can provide immediate tooth replacement and support during the. Can You Get A Temporary Dental Bridge.
From gioijraik.blob.core.windows.net
Types Of Temporary Dental Bridge at Elvera Jung blog Can You Get A Temporary Dental Bridge A temporary bridge is designed to endure—commonly for a few weeks up to a couple of months until the permanent bridge is ready. The dentists make a temporary tooth bridge to protect the exposed teeth and. Temporary bridges include structures that look like real teeth, but they are not permanent, so it. The dentist will put a temporary bridge on. Can You Get A Temporary Dental Bridge.
From exobudwiv.blob.core.windows.net
Swallowed Temporary Dental Bridge at Miguel Palomo blog Can You Get A Temporary Dental Bridge Don't let a gap in your teeth affect your smile or oral health. Once the teeth are shaped, your dentist will take impressions that will shape your permanent bridge. Which teeth can you get a temporary dental bridge on? Your dental bridge will restore your smile, speech, and more! You'll get a temporary bridge. Fixed temporary bridges are permanently attached. Can You Get A Temporary Dental Bridge.
From lanedds.com
What is a Temporary Dental Bridge? Can You Get A Temporary Dental Bridge A temporary bridge is designed to endure—commonly for a few weeks up to a couple of months until the permanent bridge is ready. Once the teeth are shaped, your dentist will take impressions that will shape your permanent bridge. Temporary bridges can provide immediate tooth replacement and support during the healing period. The dentists make a temporary tooth bridge to. Can You Get A Temporary Dental Bridge.
From workshopfixoharamary.z21.web.core.windows.net
Temporary Dental Bridge Repair Can You Get A Temporary Dental Bridge Temporary bridges include structures that look like real teeth, but they are not permanent, so it. Fixed temporary bridges are permanently attached to the surrounding teeth or dental implants to provide a stable and secure. Once the teeth are shaped, your dentist will take impressions that will shape your permanent bridge. Instead, consider getting a temporary dental bridge before receiving. Can You Get A Temporary Dental Bridge.
From infocaptain.com
Process of Getting a Temporary Dental Bridge What to Expect Can You Get A Temporary Dental Bridge Which teeth can you get a temporary dental bridge on? Temporary bridges can provide immediate tooth replacement and support during the healing period. The dentists make a temporary tooth bridge to protect the exposed teeth and. The dentist will put a temporary bridge on the damaged teeth to protect them. Don't let a gap in your teeth affect your smile. Can You Get A Temporary Dental Bridge.
From www.youtube.com
Dental Bridge Procedure for Missing Teeth { IN DEPTH Review of Risks Can You Get A Temporary Dental Bridge You'll get a temporary bridge. Your dental bridge will restore your smile, speech, and more! The dentists make a temporary tooth bridge to protect the exposed teeth and. Instead, consider getting a temporary dental bridge before receiving a fixed bridge. The dentist will put a temporary bridge on the damaged teeth to protect them. Once the teeth are shaped, your. Can You Get A Temporary Dental Bridge.
From www.familyandchildrensdentistry.com
Dental Bridges Family and Children’s Dentistry Atlanta Can You Get A Temporary Dental Bridge Don't let a gap in your teeth affect your smile or oral health. Which teeth can you get a temporary dental bridge on? A temporary bridge is designed to endure—commonly for a few weeks up to a couple of months until the permanent bridge is ready. Fixed temporary bridges are permanently attached to the surrounding teeth or dental implants to. Can You Get A Temporary Dental Bridge.
From exobudwiv.blob.core.windows.net
Swallowed Temporary Dental Bridge at Miguel Palomo blog Can You Get A Temporary Dental Bridge They are built to be easily removable and serve primarily as. Instead, consider getting a temporary dental bridge before receiving a fixed bridge. The dentist will put a temporary bridge on the damaged teeth to protect them. You'll get a temporary bridge. Fixed temporary bridges are permanently attached to the surrounding teeth or dental implants to provide a stable and. Can You Get A Temporary Dental Bridge.
From exovwpszu.blob.core.windows.net
Tooth Extraction And Temporary Bridge at Patrick Libby blog Can You Get A Temporary Dental Bridge Once the teeth are shaped, your dentist will take impressions that will shape your permanent bridge. You'll get a temporary bridge. The dentist will put a temporary bridge on the damaged teeth to protect them. A temporary bridge is designed to endure—commonly for a few weeks up to a couple of months until the permanent bridge is ready. Your dental. Can You Get A Temporary Dental Bridge.
From www.croftondentalcare.com
Dental Bridges Vs. Implants, Cost & Benefits Crofton Dental Care Can You Get A Temporary Dental Bridge A temporary bridge is designed to endure—commonly for a few weeks up to a couple of months until the permanent bridge is ready. Don't let a gap in your teeth affect your smile or oral health. You'll get a temporary bridge. Temporary bridges include structures that look like real teeth, but they are not permanent, so it. Which teeth can. Can You Get A Temporary Dental Bridge.
From ar.inspiredpencil.com
Dental Bridge Abutment Can You Get A Temporary Dental Bridge Temporary bridges include structures that look like real teeth, but they are not permanent, so it. A temporary bridge is designed to endure—commonly for a few weeks up to a couple of months until the permanent bridge is ready. Fixed temporary bridges are permanently attached to the surrounding teeth or dental implants to provide a stable and secure. You'll get. Can You Get A Temporary Dental Bridge.
From www.animalia-life.club
Dental Bridge Procedure Can You Get A Temporary Dental Bridge The dentists make a temporary tooth bridge to protect the exposed teeth and. You'll get a temporary bridge. Fixed temporary bridges are permanently attached to the surrounding teeth or dental implants to provide a stable and secure. Once the teeth are shaped, your dentist will take impressions that will shape your permanent bridge. Temporary bridges include structures that look like. Can You Get A Temporary Dental Bridge.
From arlington-dentistry.com
Dental Bridges Arlington Dentistry Can You Get A Temporary Dental Bridge Which teeth can you get a temporary dental bridge on? Don't let a gap in your teeth affect your smile or oral health. You'll get a temporary bridge. Instead, consider getting a temporary dental bridge before receiving a fixed bridge. A temporary bridge is designed to endure—commonly for a few weeks up to a couple of months until the permanent. Can You Get A Temporary Dental Bridge.
From sites.google.com
TEMPORARY DENTAL BRIDGE Can You Get A Temporary Dental Bridge The dentists make a temporary tooth bridge to protect the exposed teeth and. Instead, consider getting a temporary dental bridge before receiving a fixed bridge. The dentist will put a temporary bridge on the damaged teeth to protect them. Temporary bridges can provide immediate tooth replacement and support during the healing period. Once the teeth are shaped, your dentist will. Can You Get A Temporary Dental Bridge.
From pinnacledentistryco.com
Dental Bridge Services Colorado Pinnacle Dentistry Can You Get A Temporary Dental Bridge Don't let a gap in your teeth affect your smile or oral health. They are built to be easily removable and serve primarily as. Fixed temporary bridges are permanently attached to the surrounding teeth or dental implants to provide a stable and secure. Your dental bridge will restore your smile, speech, and more! Once the teeth are shaped, your dentist. Can You Get A Temporary Dental Bridge.
From plazadental.com.au
Dental Bridges What Are They and How Do They Work? Plaza Dental Can You Get A Temporary Dental Bridge The dentist will put a temporary bridge on the damaged teeth to protect them. Instead, consider getting a temporary dental bridge before receiving a fixed bridge. Temporary bridges can provide immediate tooth replacement and support during the healing period. A temporary bridge is designed to endure—commonly for a few weeks up to a couple of months until the permanent bridge. Can You Get A Temporary Dental Bridge.
From ceoppibn.blob.core.windows.net
Removing Temporary Dental Bridge at Ignacio Moy blog Can You Get A Temporary Dental Bridge Fixed temporary bridges are permanently attached to the surrounding teeth or dental implants to provide a stable and secure. Don't let a gap in your teeth affect your smile or oral health. Once the teeth are shaped, your dentist will take impressions that will shape your permanent bridge. Temporary bridges can provide immediate tooth replacement and support during the healing. Can You Get A Temporary Dental Bridge.
From anayadental.com
Temporary Dental Bridge Why, Benefits, Pictures & Material Can You Get A Temporary Dental Bridge The dentist will put a temporary bridge on the damaged teeth to protect them. You'll get a temporary bridge. Fixed temporary bridges are permanently attached to the surrounding teeth or dental implants to provide a stable and secure. Your dental bridge will restore your smile, speech, and more! Which teeth can you get a temporary dental bridge on? Temporary bridges. Can You Get A Temporary Dental Bridge.
From burbankdentalimplants.com
Flipper/Stayplate/Bridge Temporary Implant Bone Graft Facts Can You Get A Temporary Dental Bridge A temporary bridge is designed to endure—commonly for a few weeks up to a couple of months until the permanent bridge is ready. They are built to be easily removable and serve primarily as. Which teeth can you get a temporary dental bridge on? The dentists make a temporary tooth bridge to protect the exposed teeth and. Fixed temporary bridges. Can You Get A Temporary Dental Bridge.
From www.verywellhealth.com
Dental Bridge Types, Advantages, Cost, and More Can You Get A Temporary Dental Bridge Don't let a gap in your teeth affect your smile or oral health. Instead, consider getting a temporary dental bridge before receiving a fixed bridge. They are built to be easily removable and serve primarily as. Once the teeth are shaped, your dentist will take impressions that will shape your permanent bridge. Temporary bridges include structures that look like real. Can You Get A Temporary Dental Bridge.
From lanedds.com
What is a Temporary Dental Bridge? Can You Get A Temporary Dental Bridge Your dental bridge will restore your smile, speech, and more! Temporary bridges include structures that look like real teeth, but they are not permanent, so it. Don't let a gap in your teeth affect your smile or oral health. You'll get a temporary bridge. Which teeth can you get a temporary dental bridge on? A temporary bridge is designed to. Can You Get A Temporary Dental Bridge.
From loevpjhgl.blob.core.windows.net
Temporary Dental Bridge Before Implant at Celeste Zeller blog Can You Get A Temporary Dental Bridge Instead, consider getting a temporary dental bridge before receiving a fixed bridge. The dentists make a temporary tooth bridge to protect the exposed teeth and. A temporary bridge is designed to endure—commonly for a few weeks up to a couple of months until the permanent bridge is ready. Which teeth can you get a temporary dental bridge on? Temporary bridges. Can You Get A Temporary Dental Bridge.
From www.radiantdentistryfl.com
Dental Implant Bridges In New Port Richey Dental Implant Bridges Near You Can You Get A Temporary Dental Bridge Which teeth can you get a temporary dental bridge on? The dentists make a temporary tooth bridge to protect the exposed teeth and. Your dental bridge will restore your smile, speech, and more! Temporary bridges can provide immediate tooth replacement and support during the healing period. Once the teeth are shaped, your dentist will take impressions that will shape your. Can You Get A Temporary Dental Bridge.
From loevpjhgl.blob.core.windows.net
Temporary Dental Bridge Before Implant at Celeste Zeller blog Can You Get A Temporary Dental Bridge You'll get a temporary bridge. Temporary bridges can provide immediate tooth replacement and support during the healing period. Don't let a gap in your teeth affect your smile or oral health. Which teeth can you get a temporary dental bridge on? A temporary bridge is designed to endure—commonly for a few weeks up to a couple of months until the. Can You Get A Temporary Dental Bridge.
From exobudwiv.blob.core.windows.net
Swallowed Temporary Dental Bridge at Miguel Palomo blog Can You Get A Temporary Dental Bridge A temporary bridge is designed to endure—commonly for a few weeks up to a couple of months until the permanent bridge is ready. The dentists make a temporary tooth bridge to protect the exposed teeth and. Once the teeth are shaped, your dentist will take impressions that will shape your permanent bridge. Your dental bridge will restore your smile, speech,. Can You Get A Temporary Dental Bridge.
From gioijraik.blob.core.windows.net
Types Of Temporary Dental Bridge at Elvera Jung blog Can You Get A Temporary Dental Bridge Temporary bridges can provide immediate tooth replacement and support during the healing period. The dentist will put a temporary bridge on the damaged teeth to protect them. Once the teeth are shaped, your dentist will take impressions that will shape your permanent bridge. Instead, consider getting a temporary dental bridge before receiving a fixed bridge. They are built to be. Can You Get A Temporary Dental Bridge.
From www.sabydental.ca
Dental Bridges A Great Option for Replacing Missing Teeth Saby Dental Can You Get A Temporary Dental Bridge Which teeth can you get a temporary dental bridge on? The dentists make a temporary tooth bridge to protect the exposed teeth and. They are built to be easily removable and serve primarily as. Your dental bridge will restore your smile, speech, and more! The dentist will put a temporary bridge on the damaged teeth to protect them. Once the. Can You Get A Temporary Dental Bridge.
From brooklindentalcare.com
What is the difference between a Permanent and a Temporary Dental Bridge? Can You Get A Temporary Dental Bridge Which teeth can you get a temporary dental bridge on? You'll get a temporary bridge. Temporary bridges include structures that look like real teeth, but they are not permanent, so it. The dentist will put a temporary bridge on the damaged teeth to protect them. Temporary bridges can provide immediate tooth replacement and support during the healing period. A temporary. Can You Get A Temporary Dental Bridge.
From www.markhamsmilecentre.ca
ᐈ 4 types of dental bridges all about dental bridges Markham Smile Can You Get A Temporary Dental Bridge You'll get a temporary bridge. Fixed temporary bridges are permanently attached to the surrounding teeth or dental implants to provide a stable and secure. A temporary bridge is designed to endure—commonly for a few weeks up to a couple of months until the permanent bridge is ready. Temporary bridges include structures that look like real teeth, but they are not. Can You Get A Temporary Dental Bridge.
From www.smileondentists.com
Porcelain Dental Bridges Dentist Marina del Rey SmileOn Dentistry Can You Get A Temporary Dental Bridge Which teeth can you get a temporary dental bridge on? A temporary bridge is designed to endure—commonly for a few weeks up to a couple of months until the permanent bridge is ready. The dentists make a temporary tooth bridge to protect the exposed teeth and. Fixed temporary bridges are permanently attached to the surrounding teeth or dental implants to. Can You Get A Temporary Dental Bridge.