Fused Kidney Ultrasound . four types of crossed renal ectopia (fig 14) can be seen at imaging, mainly at ct and mri, including cre with fusion. renal bladder ultrasound (rbus) is a good tool for establishing the diagnosis, however, additional imaging with a voiding. Ultrasonography was found to be a good. The left moiety was crossed and fused with the right moiety in 4 cases. Renal bladder ultrasound (rbus) is a good tool for. ultrasound abdomen and pelvis, micturating cystourethrogram, and radionucleotide scans were the imaging modalities preferred for. this case demonstrates a unique example of crossed fused renal ectopia and supernumerary kidney occurring together. On ultrasound, there may be a characteristic anterior or posterior notch between the two fused kidneys. Crossed fused renal ectopia is a rare congenital anomaly, and is mostly detected incidentally. crossed fused renal ectopia (cfre) is a rare congenital malformation.
from mavink.com
Crossed fused renal ectopia is a rare congenital anomaly, and is mostly detected incidentally. The left moiety was crossed and fused with the right moiety in 4 cases. renal bladder ultrasound (rbus) is a good tool for establishing the diagnosis, however, additional imaging with a voiding. Renal bladder ultrasound (rbus) is a good tool for. ultrasound abdomen and pelvis, micturating cystourethrogram, and radionucleotide scans were the imaging modalities preferred for. Ultrasonography was found to be a good. this case demonstrates a unique example of crossed fused renal ectopia and supernumerary kidney occurring together. On ultrasound, there may be a characteristic anterior or posterior notch between the two fused kidneys. four types of crossed renal ectopia (fig 14) can be seen at imaging, mainly at ct and mri, including cre with fusion. crossed fused renal ectopia (cfre) is a rare congenital malformation.
Kidney Ultrasound Labeled
Fused Kidney Ultrasound Renal bladder ultrasound (rbus) is a good tool for. ultrasound abdomen and pelvis, micturating cystourethrogram, and radionucleotide scans were the imaging modalities preferred for. The left moiety was crossed and fused with the right moiety in 4 cases. crossed fused renal ectopia (cfre) is a rare congenital malformation. four types of crossed renal ectopia (fig 14) can be seen at imaging, mainly at ct and mri, including cre with fusion. Renal bladder ultrasound (rbus) is a good tool for. On ultrasound, there may be a characteristic anterior or posterior notch between the two fused kidneys. this case demonstrates a unique example of crossed fused renal ectopia and supernumerary kidney occurring together. Crossed fused renal ectopia is a rare congenital anomaly, and is mostly detected incidentally. Ultrasonography was found to be a good. renal bladder ultrasound (rbus) is a good tool for establishing the diagnosis, however, additional imaging with a voiding.
From www.researchgate.net
CT scan showing tumour in the upper moiety of the crossed fused renal Fused Kidney Ultrasound Crossed fused renal ectopia is a rare congenital anomaly, and is mostly detected incidentally. Renal bladder ultrasound (rbus) is a good tool for. this case demonstrates a unique example of crossed fused renal ectopia and supernumerary kidney occurring together. crossed fused renal ectopia (cfre) is a rare congenital malformation. four types of crossed renal ectopia (fig 14). Fused Kidney Ultrasound.
From www.cureus.com
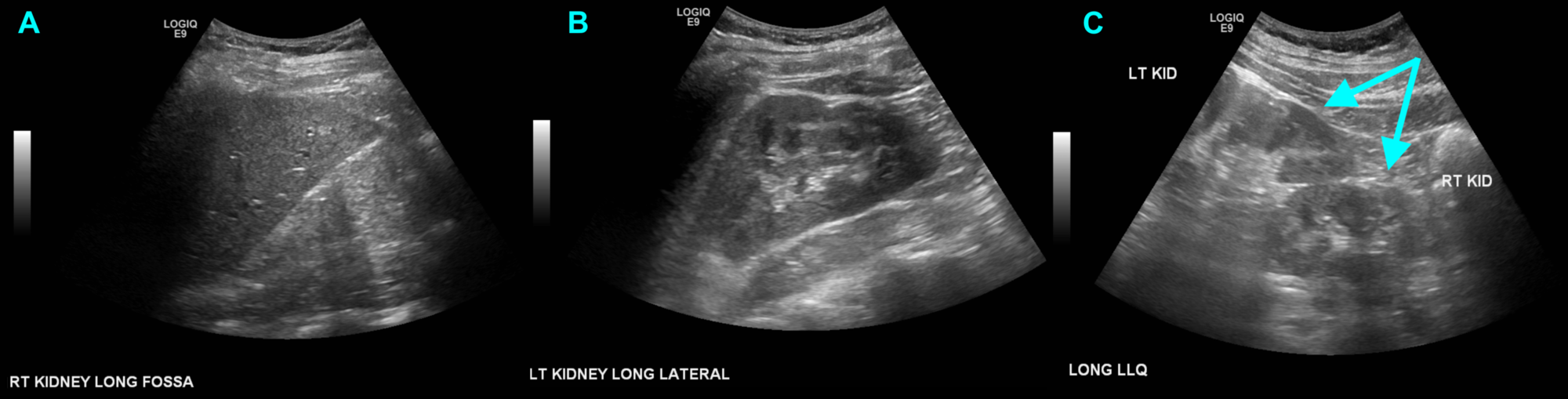
Cureus Against the Odds Management of Ureteral Calculus in Patient Fused Kidney Ultrasound Renal bladder ultrasound (rbus) is a good tool for. crossed fused renal ectopia (cfre) is a rare congenital malformation. Crossed fused renal ectopia is a rare congenital anomaly, and is mostly detected incidentally. On ultrasound, there may be a characteristic anterior or posterior notch between the two fused kidneys. four types of crossed renal ectopia (fig 14) can. Fused Kidney Ultrasound.
From ultrasoundpaedia.com
Kidney ectopic ULTRASOUNDPAEDIA Fused Kidney Ultrasound four types of crossed renal ectopia (fig 14) can be seen at imaging, mainly at ct and mri, including cre with fusion. this case demonstrates a unique example of crossed fused renal ectopia and supernumerary kidney occurring together. renal bladder ultrasound (rbus) is a good tool for establishing the diagnosis, however, additional imaging with a voiding. Ultrasonography. Fused Kidney Ultrasound.
From www.cureus.com
Cureus Crossed Renal Ectopia with a Fused Supernumerary Kidney Fused Kidney Ultrasound four types of crossed renal ectopia (fig 14) can be seen at imaging, mainly at ct and mri, including cre with fusion. renal bladder ultrasound (rbus) is a good tool for establishing the diagnosis, however, additional imaging with a voiding. On ultrasound, there may be a characteristic anterior or posterior notch between the two fused kidneys. Renal bladder. Fused Kidney Ultrasound.
From www.semanticscholar.org
Crossed Fused Renal Ectopia Diagnosed After Discovering an Absent Left Fused Kidney Ultrasound four types of crossed renal ectopia (fig 14) can be seen at imaging, mainly at ct and mri, including cre with fusion. ultrasound abdomen and pelvis, micturating cystourethrogram, and radionucleotide scans were the imaging modalities preferred for. crossed fused renal ectopia (cfre) is a rare congenital malformation. renal bladder ultrasound (rbus) is a good tool for. Fused Kidney Ultrasound.
From www.pinterest.co.uk
Correct answer Cross fused renal ectopia. Classic normal variant where Fused Kidney Ultrasound ultrasound abdomen and pelvis, micturating cystourethrogram, and radionucleotide scans were the imaging modalities preferred for. crossed fused renal ectopia (cfre) is a rare congenital malformation. this case demonstrates a unique example of crossed fused renal ectopia and supernumerary kidney occurring together. The left moiety was crossed and fused with the right moiety in 4 cases. Crossed fused. Fused Kidney Ultrasound.
From www.cureus.com
Cureus Crossed Renal Ectopia with a Fused Supernumerary Kidney Fused Kidney Ultrasound Ultrasonography was found to be a good. renal bladder ultrasound (rbus) is a good tool for establishing the diagnosis, however, additional imaging with a voiding. this case demonstrates a unique example of crossed fused renal ectopia and supernumerary kidney occurring together. ultrasound abdomen and pelvis, micturating cystourethrogram, and radionucleotide scans were the imaging modalities preferred for. On. Fused Kidney Ultrasound.
From www.youtube.com
Horseshoe kidney or partial fusion of kidneys ultrasound and color Fused Kidney Ultrasound crossed fused renal ectopia (cfre) is a rare congenital malformation. renal bladder ultrasound (rbus) is a good tool for establishing the diagnosis, however, additional imaging with a voiding. ultrasound abdomen and pelvis, micturating cystourethrogram, and radionucleotide scans were the imaging modalities preferred for. this case demonstrates a unique example of crossed fused renal ectopia and supernumerary. Fused Kidney Ultrasound.
From bioone.org
Crossed fused renal ectopia in a Persian cat Fused Kidney Ultrasound Renal bladder ultrasound (rbus) is a good tool for. ultrasound abdomen and pelvis, micturating cystourethrogram, and radionucleotide scans were the imaging modalities preferred for. On ultrasound, there may be a characteristic anterior or posterior notch between the two fused kidneys. crossed fused renal ectopia (cfre) is a rare congenital malformation. renal bladder ultrasound (rbus) is a good. Fused Kidney Ultrasound.
From radiopaedia.org
Crossed fused renal ectopia L shaped kidney Image Fused Kidney Ultrasound this case demonstrates a unique example of crossed fused renal ectopia and supernumerary kidney occurring together. Crossed fused renal ectopia is a rare congenital anomaly, and is mostly detected incidentally. Ultrasonography was found to be a good. renal bladder ultrasound (rbus) is a good tool for establishing the diagnosis, however, additional imaging with a voiding. Renal bladder ultrasound. Fused Kidney Ultrasound.
From radiopaedia.org
Image Fused Kidney Ultrasound Ultrasonography was found to be a good. crossed fused renal ectopia (cfre) is a rare congenital malformation. ultrasound abdomen and pelvis, micturating cystourethrogram, and radionucleotide scans were the imaging modalities preferred for. Renal bladder ultrasound (rbus) is a good tool for. Crossed fused renal ectopia is a rare congenital anomaly, and is mostly detected incidentally. On ultrasound, there. Fused Kidney Ultrasound.
From www.youtube.com
Cross fused renal ectopia ultrasound YouTube Fused Kidney Ultrasound crossed fused renal ectopia (cfre) is a rare congenital malformation. On ultrasound, there may be a characteristic anterior or posterior notch between the two fused kidneys. The left moiety was crossed and fused with the right moiety in 4 cases. ultrasound abdomen and pelvis, micturating cystourethrogram, and radionucleotide scans were the imaging modalities preferred for. four types. Fused Kidney Ultrasound.
From www.researchgate.net
T2weighted coronal TRUFI image showing maternal crossedfused renal Fused Kidney Ultrasound ultrasound abdomen and pelvis, micturating cystourethrogram, and radionucleotide scans were the imaging modalities preferred for. Crossed fused renal ectopia is a rare congenital anomaly, and is mostly detected incidentally. Renal bladder ultrasound (rbus) is a good tool for. this case demonstrates a unique example of crossed fused renal ectopia and supernumerary kidney occurring together. crossed fused renal. Fused Kidney Ultrasound.
From www.birpublications.org
BIR Publications Fused Kidney Ultrasound crossed fused renal ectopia (cfre) is a rare congenital malformation. Renal bladder ultrasound (rbus) is a good tool for. four types of crossed renal ectopia (fig 14) can be seen at imaging, mainly at ct and mri, including cre with fusion. Ultrasonography was found to be a good. On ultrasound, there may be a characteristic anterior or posterior. Fused Kidney Ultrasound.
From www.youtube.com
Kidney ultrasound 2 Normal variants and pseudolesions YouTube Fused Kidney Ultrasound this case demonstrates a unique example of crossed fused renal ectopia and supernumerary kidney occurring together. ultrasound abdomen and pelvis, micturating cystourethrogram, and radionucleotide scans were the imaging modalities preferred for. Crossed fused renal ectopia is a rare congenital anomaly, and is mostly detected incidentally. renal bladder ultrasound (rbus) is a good tool for establishing the diagnosis,. Fused Kidney Ultrasound.
From www.cureus.com
Cureus Case Report on Crossed Fused Renal Ectopia With a Large Fused Kidney Ultrasound The left moiety was crossed and fused with the right moiety in 4 cases. On ultrasound, there may be a characteristic anterior or posterior notch between the two fused kidneys. Crossed fused renal ectopia is a rare congenital anomaly, and is mostly detected incidentally. this case demonstrates a unique example of crossed fused renal ectopia and supernumerary kidney occurring. Fused Kidney Ultrasound.
From www.pinterest.com.au
Crossed fused renal ectopia essentially refers to an anomaly where the Fused Kidney Ultrasound renal bladder ultrasound (rbus) is a good tool for establishing the diagnosis, however, additional imaging with a voiding. Crossed fused renal ectopia is a rare congenital anomaly, and is mostly detected incidentally. four types of crossed renal ectopia (fig 14) can be seen at imaging, mainly at ct and mri, including cre with fusion. this case demonstrates. Fused Kidney Ultrasound.
From www.jpurol.com
Crossed fused renal ectopia in children a review of clinical profile Fused Kidney Ultrasound renal bladder ultrasound (rbus) is a good tool for establishing the diagnosis, however, additional imaging with a voiding. On ultrasound, there may be a characteristic anterior or posterior notch between the two fused kidneys. crossed fused renal ectopia (cfre) is a rare congenital malformation. this case demonstrates a unique example of crossed fused renal ectopia and supernumerary. Fused Kidney Ultrasound.
From www.researchgate.net
An 11monthold girl with left to right Lshaped crossedfused renal Fused Kidney Ultrasound renal bladder ultrasound (rbus) is a good tool for establishing the diagnosis, however, additional imaging with a voiding. ultrasound abdomen and pelvis, micturating cystourethrogram, and radionucleotide scans were the imaging modalities preferred for. The left moiety was crossed and fused with the right moiety in 4 cases. On ultrasound, there may be a characteristic anterior or posterior notch. Fused Kidney Ultrasound.
From www.researchgate.net
(A) NRP and the simple calyx in Doppler ultrasound. There are blood Fused Kidney Ultrasound four types of crossed renal ectopia (fig 14) can be seen at imaging, mainly at ct and mri, including cre with fusion. ultrasound abdomen and pelvis, micturating cystourethrogram, and radionucleotide scans were the imaging modalities preferred for. this case demonstrates a unique example of crossed fused renal ectopia and supernumerary kidney occurring together. crossed fused renal. Fused Kidney Ultrasound.
From www.youtube.com
Fused pelvic kidney (cake kidney)Ultrasound and echo case series YouTube Fused Kidney Ultrasound The left moiety was crossed and fused with the right moiety in 4 cases. Ultrasonography was found to be a good. four types of crossed renal ectopia (fig 14) can be seen at imaging, mainly at ct and mri, including cre with fusion. Crossed fused renal ectopia is a rare congenital anomaly, and is mostly detected incidentally. this. Fused Kidney Ultrasound.
From www.researchgate.net
Ultrasonographic longitudinal images of kidneys in this case. (a,b Fused Kidney Ultrasound four types of crossed renal ectopia (fig 14) can be seen at imaging, mainly at ct and mri, including cre with fusion. Ultrasonography was found to be a good. ultrasound abdomen and pelvis, micturating cystourethrogram, and radionucleotide scans were the imaging modalities preferred for. renal bladder ultrasound (rbus) is a good tool for establishing the diagnosis, however,. Fused Kidney Ultrasound.
From whatsdoo.blogspot.com
What Do Kidney Stones Look Like On An Ultrasound What Do Fused Kidney Ultrasound crossed fused renal ectopia (cfre) is a rare congenital malformation. ultrasound abdomen and pelvis, micturating cystourethrogram, and radionucleotide scans were the imaging modalities preferred for. this case demonstrates a unique example of crossed fused renal ectopia and supernumerary kidney occurring together. renal bladder ultrasound (rbus) is a good tool for establishing the diagnosis, however, additional imaging. Fused Kidney Ultrasound.
From www.semanticscholar.org
Crossed fused renal ectopia case report and review of the literature Fused Kidney Ultrasound Renal bladder ultrasound (rbus) is a good tool for. four types of crossed renal ectopia (fig 14) can be seen at imaging, mainly at ct and mri, including cre with fusion. Ultrasonography was found to be a good. ultrasound abdomen and pelvis, micturating cystourethrogram, and radionucleotide scans were the imaging modalities preferred for. this case demonstrates a. Fused Kidney Ultrasound.
From healthjade.net
Ectopic kidney, renal ectopia, causes, symptoms, diagnosis & treatment Fused Kidney Ultrasound Ultrasonography was found to be a good. renal bladder ultrasound (rbus) is a good tool for establishing the diagnosis, however, additional imaging with a voiding. On ultrasound, there may be a characteristic anterior or posterior notch between the two fused kidneys. The left moiety was crossed and fused with the right moiety in 4 cases. Crossed fused renal ectopia. Fused Kidney Ultrasound.
From www.researchgate.net
Crossed fused renal ectopia. Fig A (ultrasound) and B (scintigraphy Fused Kidney Ultrasound crossed fused renal ectopia (cfre) is a rare congenital malformation. Ultrasonography was found to be a good. ultrasound abdomen and pelvis, micturating cystourethrogram, and radionucleotide scans were the imaging modalities preferred for. this case demonstrates a unique example of crossed fused renal ectopia and supernumerary kidney occurring together. four types of crossed renal ectopia (fig 14). Fused Kidney Ultrasound.
From www.semanticscholar.org
Crossed Fused Renal Ectopia Diagnosed After Discovering an Absent Left Fused Kidney Ultrasound four types of crossed renal ectopia (fig 14) can be seen at imaging, mainly at ct and mri, including cre with fusion. The left moiety was crossed and fused with the right moiety in 4 cases. Ultrasonography was found to be a good. crossed fused renal ectopia (cfre) is a rare congenital malformation. ultrasound abdomen and pelvis,. Fused Kidney Ultrasound.
From www.researchgate.net
Abdominopelvic ultrasound scan showed ectopic kidneys at the Fused Kidney Ultrasound Renal bladder ultrasound (rbus) is a good tool for. Ultrasonography was found to be a good. this case demonstrates a unique example of crossed fused renal ectopia and supernumerary kidney occurring together. On ultrasound, there may be a characteristic anterior or posterior notch between the two fused kidneys. crossed fused renal ectopia (cfre) is a rare congenital malformation.. Fused Kidney Ultrasound.
From pubs.rsna.org
Congenital Anomalies of the Upper Urinary Tract A Comprehensive Review Fused Kidney Ultrasound this case demonstrates a unique example of crossed fused renal ectopia and supernumerary kidney occurring together. ultrasound abdomen and pelvis, micturating cystourethrogram, and radionucleotide scans were the imaging modalities preferred for. The left moiety was crossed and fused with the right moiety in 4 cases. Crossed fused renal ectopia is a rare congenital anomaly, and is mostly detected. Fused Kidney Ultrasound.
From radiopaedia.org
Crossed fused renal ectopia Image Fused Kidney Ultrasound Renal bladder ultrasound (rbus) is a good tool for. Ultrasonography was found to be a good. this case demonstrates a unique example of crossed fused renal ectopia and supernumerary kidney occurring together. renal bladder ultrasound (rbus) is a good tool for establishing the diagnosis, however, additional imaging with a voiding. Crossed fused renal ectopia is a rare congenital. Fused Kidney Ultrasound.
From mavink.com
Kidney Ultrasound Labeled Fused Kidney Ultrasound ultrasound abdomen and pelvis, micturating cystourethrogram, and radionucleotide scans were the imaging modalities preferred for. Crossed fused renal ectopia is a rare congenital anomaly, and is mostly detected incidentally. On ultrasound, there may be a characteristic anterior or posterior notch between the two fused kidneys. four types of crossed renal ectopia (fig 14) can be seen at imaging,. Fused Kidney Ultrasound.
From ro.pinterest.com
Crossed fused renal ectpoia Sonography, Ultrasound, Renal Fused Kidney Ultrasound The left moiety was crossed and fused with the right moiety in 4 cases. On ultrasound, there may be a characteristic anterior or posterior notch between the two fused kidneys. Ultrasonography was found to be a good. Renal bladder ultrasound (rbus) is a good tool for. four types of crossed renal ectopia (fig 14) can be seen at imaging,. Fused Kidney Ultrasound.
From jmsh.ac.in
Tandem Kidney A Case of Left Crossed Fused Renal Ectopia Fused Kidney Ultrasound crossed fused renal ectopia (cfre) is a rare congenital malformation. The left moiety was crossed and fused with the right moiety in 4 cases. Crossed fused renal ectopia is a rare congenital anomaly, and is mostly detected incidentally. renal bladder ultrasound (rbus) is a good tool for establishing the diagnosis, however, additional imaging with a voiding. Ultrasonography was. Fused Kidney Ultrasound.
From adc.bmj.com
Crossed fused ectopic left kidney Archives of Disease in Childhood Fused Kidney Ultrasound Ultrasonography was found to be a good. Crossed fused renal ectopia is a rare congenital anomaly, and is mostly detected incidentally. renal bladder ultrasound (rbus) is a good tool for establishing the diagnosis, however, additional imaging with a voiding. On ultrasound, there may be a characteristic anterior or posterior notch between the two fused kidneys. this case demonstrates. Fused Kidney Ultrasound.
From www.pinterest.com
Crossed fused renal ectopia Radiology Case Fused Kidney Ultrasound Crossed fused renal ectopia is a rare congenital anomaly, and is mostly detected incidentally. Renal bladder ultrasound (rbus) is a good tool for. four types of crossed renal ectopia (fig 14) can be seen at imaging, mainly at ct and mri, including cre with fusion. Ultrasonography was found to be a good. this case demonstrates a unique example. Fused Kidney Ultrasound.