What Are Scars On The Brain . This is known as gliosis. The size, location, and appearance of the scar may vary depending on the area of the brain affected and the type of. Controlled scar formation in the brain. Brain aneurysm surgery may cause a scar at the incision site. A process that causes scarring in a part of the temporal lobe called the hippocampus. Brain lesions can be caused by injury, infection, exposure to certain chemicals, problems with the immune system, and more. Brain scar tissue, also known as cerebral scarring or gliosis, is a type of dense, fibrous tissue that forms in response to injury.
from www.youtube.com
Brain aneurysm surgery may cause a scar at the incision site. Brain scar tissue, also known as cerebral scarring or gliosis, is a type of dense, fibrous tissue that forms in response to injury. The size, location, and appearance of the scar may vary depending on the area of the brain affected and the type of. Brain lesions can be caused by injury, infection, exposure to certain chemicals, problems with the immune system, and more. This is known as gliosis. Controlled scar formation in the brain. A process that causes scarring in a part of the temporal lobe called the hippocampus.
Traumatic Brain Injury Scars YouTube
What Are Scars On The Brain The size, location, and appearance of the scar may vary depending on the area of the brain affected and the type of. A process that causes scarring in a part of the temporal lobe called the hippocampus. Brain scar tissue, also known as cerebral scarring or gliosis, is a type of dense, fibrous tissue that forms in response to injury. Brain aneurysm surgery may cause a scar at the incision site. Controlled scar formation in the brain. The size, location, and appearance of the scar may vary depending on the area of the brain affected and the type of. This is known as gliosis. Brain lesions can be caused by injury, infection, exposure to certain chemicals, problems with the immune system, and more.
From lifeboat.com
Childhood trauma scars the brain and boosts depression risk What Are Scars On The Brain This is known as gliosis. Brain aneurysm surgery may cause a scar at the incision site. Brain lesions can be caused by injury, infection, exposure to certain chemicals, problems with the immune system, and more. The size, location, and appearance of the scar may vary depending on the area of the brain affected and the type of. Controlled scar formation. What Are Scars On The Brain.
From medicalxpress.com
MRI shows 'brain scars' in military personnel with blastrelated concussion What Are Scars On The Brain Brain lesions can be caused by injury, infection, exposure to certain chemicals, problems with the immune system, and more. This is known as gliosis. The size, location, and appearance of the scar may vary depending on the area of the brain affected and the type of. Brain scar tissue, also known as cerebral scarring or gliosis, is a type of. What Are Scars On The Brain.
From www.mdpi.com
Cells Special Issue Glial Scar Formation and Regeneration What Are Scars On The Brain A process that causes scarring in a part of the temporal lobe called the hippocampus. Controlled scar formation in the brain. The size, location, and appearance of the scar may vary depending on the area of the brain affected and the type of. Brain scar tissue, also known as cerebral scarring or gliosis, is a type of dense, fibrous tissue. What Are Scars On The Brain.
From animalia-life.club
Brain Surgery Scar What Are Scars On The Brain Brain lesions can be caused by injury, infection, exposure to certain chemicals, problems with the immune system, and more. Controlled scar formation in the brain. This is known as gliosis. Brain aneurysm surgery may cause a scar at the incision site. The size, location, and appearance of the scar may vary depending on the area of the brain affected and. What Are Scars On The Brain.
From animalia-life.club
Brain Surgery Scar What Are Scars On The Brain A process that causes scarring in a part of the temporal lobe called the hippocampus. The size, location, and appearance of the scar may vary depending on the area of the brain affected and the type of. Brain scar tissue, also known as cerebral scarring or gliosis, is a type of dense, fibrous tissue that forms in response to injury.. What Are Scars On The Brain.
From www.ncbi.nlm.nih.gov
Neurovascular Reactivity in Tissue Scarring Following Cerebral Ischemia What Are Scars On The Brain Brain lesions can be caused by injury, infection, exposure to certain chemicals, problems with the immune system, and more. A process that causes scarring in a part of the temporal lobe called the hippocampus. Brain aneurysm surgery may cause a scar at the incision site. Brain scar tissue, also known as cerebral scarring or gliosis, is a type of dense,. What Are Scars On The Brain.
From romancescamsnow.com
Trauma Brain Processing Functions Infographic What Are Scars On The Brain Brain lesions can be caused by injury, infection, exposure to certain chemicals, problems with the immune system, and more. A process that causes scarring in a part of the temporal lobe called the hippocampus. The size, location, and appearance of the scar may vary depending on the area of the brain affected and the type of. Brain aneurysm surgery may. What Are Scars On The Brain.
From www.technologynetworks.com
MRI shows 'brain scars' in military personnel with blastrelated What Are Scars On The Brain The size, location, and appearance of the scar may vary depending on the area of the brain affected and the type of. Brain lesions can be caused by injury, infection, exposure to certain chemicals, problems with the immune system, and more. This is known as gliosis. Brain aneurysm surgery may cause a scar at the incision site. A process that. What Are Scars On The Brain.
From www.researchgate.net
Schematic drawings represent the process of the lesion scar formation What Are Scars On The Brain Brain lesions can be caused by injury, infection, exposure to certain chemicals, problems with the immune system, and more. Controlled scar formation in the brain. Brain aneurysm surgery may cause a scar at the incision site. The size, location, and appearance of the scar may vary depending on the area of the brain affected and the type of. Brain scar. What Are Scars On The Brain.
From www.researchgate.net
Evidence that antibodies and albumin leak across the glial scar and What Are Scars On The Brain Brain lesions can be caused by injury, infection, exposure to certain chemicals, problems with the immune system, and more. This is known as gliosis. The size, location, and appearance of the scar may vary depending on the area of the brain affected and the type of. Controlled scar formation in the brain. Brain scar tissue, also known as cerebral scarring. What Are Scars On The Brain.
From cambodiaphotographer.photoshelter.com
A young girl displays a scar on her head after neurosurgery performed What Are Scars On The Brain Controlled scar formation in the brain. A process that causes scarring in a part of the temporal lobe called the hippocampus. Brain aneurysm surgery may cause a scar at the incision site. Brain lesions can be caused by injury, infection, exposure to certain chemicals, problems with the immune system, and more. The size, location, and appearance of the scar may. What Are Scars On The Brain.
From www.law-wv.com
The 3 Levels of Brain Injuries Berthold Law Firm What Are Scars On The Brain Brain scar tissue, also known as cerebral scarring or gliosis, is a type of dense, fibrous tissue that forms in response to injury. Brain aneurysm surgery may cause a scar at the incision site. A process that causes scarring in a part of the temporal lobe called the hippocampus. This is known as gliosis. The size, location, and appearance of. What Are Scars On The Brain.
From www.reddit.com
Brain surgery scars on the top of my head r/mildlyinteresting What Are Scars On The Brain Controlled scar formation in the brain. This is known as gliosis. Brain lesions can be caused by injury, infection, exposure to certain chemicals, problems with the immune system, and more. A process that causes scarring in a part of the temporal lobe called the hippocampus. The size, location, and appearance of the scar may vary depending on the area of. What Are Scars On The Brain.
From www.eurekalert.org
MRI Shows 'Brain Scars' In Mil [IMAGE] EurekAlert! Science News Releases What Are Scars On The Brain Brain lesions can be caused by injury, infection, exposure to certain chemicals, problems with the immune system, and more. This is known as gliosis. Controlled scar formation in the brain. Brain scar tissue, also known as cerebral scarring or gliosis, is a type of dense, fibrous tissue that forms in response to injury. The size, location, and appearance of the. What Are Scars On The Brain.
From animalia-life.club
Brain Surgery Scar What Are Scars On The Brain The size, location, and appearance of the scar may vary depending on the area of the brain affected and the type of. Brain lesions can be caused by injury, infection, exposure to certain chemicals, problems with the immune system, and more. Brain scar tissue, also known as cerebral scarring or gliosis, is a type of dense, fibrous tissue that forms. What Are Scars On The Brain.
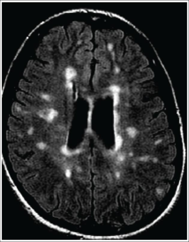
From norwegianscitechnews.com
Smoking may cause white scars on the brain What Are Scars On The Brain The size, location, and appearance of the scar may vary depending on the area of the brain affected and the type of. Brain aneurysm surgery may cause a scar at the incision site. Brain lesions can be caused by injury, infection, exposure to certain chemicals, problems with the immune system, and more. This is known as gliosis. Controlled scar formation. What Are Scars On The Brain.
From www.shutterstock.com
Scars Surgery Brain Tumors Stock Photo (Edit Now) 384286432 What Are Scars On The Brain Brain scar tissue, also known as cerebral scarring or gliosis, is a type of dense, fibrous tissue that forms in response to injury. Controlled scar formation in the brain. The size, location, and appearance of the scar may vary depending on the area of the brain affected and the type of. This is known as gliosis. A process that causes. What Are Scars On The Brain.
From scitechdaily.com
Smoking May Cause Mysterious White Scars on the Brain More Harmful What Are Scars On The Brain A process that causes scarring in a part of the temporal lobe called the hippocampus. Brain lesions can be caused by injury, infection, exposure to certain chemicals, problems with the immune system, and more. Controlled scar formation in the brain. The size, location, and appearance of the scar may vary depending on the area of the brain affected and the. What Are Scars On The Brain.
From www.youtube.com
Traumatic Brain Injury Scars YouTube What Are Scars On The Brain The size, location, and appearance of the scar may vary depending on the area of the brain affected and the type of. Controlled scar formation in the brain. A process that causes scarring in a part of the temporal lobe called the hippocampus. Brain aneurysm surgery may cause a scar at the incision site. This is known as gliosis. Brain. What Are Scars On The Brain.
From romancescamsnow.com
A Quick Way To Understand The Brain & Trauma [Infographic] What Are Scars On The Brain This is known as gliosis. Brain aneurysm surgery may cause a scar at the incision site. The size, location, and appearance of the scar may vary depending on the area of the brain affected and the type of. Brain scar tissue, also known as cerebral scarring or gliosis, is a type of dense, fibrous tissue that forms in response to. What Are Scars On The Brain.
From romancescamsnow.com
The New Trauma Responses Model What Are Scars On The Brain Brain scar tissue, also known as cerebral scarring or gliosis, is a type of dense, fibrous tissue that forms in response to injury. A process that causes scarring in a part of the temporal lobe called the hippocampus. Controlled scar formation in the brain. Brain aneurysm surgery may cause a scar at the incision site. The size, location, and appearance. What Are Scars On The Brain.
From animalia-life.club
Brain Surgery Scar What Are Scars On The Brain A process that causes scarring in a part of the temporal lobe called the hippocampus. Brain scar tissue, also known as cerebral scarring or gliosis, is a type of dense, fibrous tissue that forms in response to injury. Brain aneurysm surgery may cause a scar at the incision site. Controlled scar formation in the brain. This is known as gliosis.. What Are Scars On The Brain.
From ar.inspiredpencil.com
Small Brain Surgery Scar What Are Scars On The Brain The size, location, and appearance of the scar may vary depending on the area of the brain affected and the type of. This is known as gliosis. Brain scar tissue, also known as cerebral scarring or gliosis, is a type of dense, fibrous tissue that forms in response to injury. Controlled scar formation in the brain. Brain aneurysm surgery may. What Are Scars On The Brain.
From www.reddit.com
Really into my head scar, had brain tumor removal surgery about a week What Are Scars On The Brain Brain scar tissue, also known as cerebral scarring or gliosis, is a type of dense, fibrous tissue that forms in response to injury. A process that causes scarring in a part of the temporal lobe called the hippocampus. The size, location, and appearance of the scar may vary depending on the area of the brain affected and the type of.. What Are Scars On The Brain.
From www.pinterest.com
Radiologic world Frontal Lobe Craniotomy Scar photos Epilepsy What Are Scars On The Brain Brain scar tissue, also known as cerebral scarring or gliosis, is a type of dense, fibrous tissue that forms in response to injury. Controlled scar formation in the brain. This is known as gliosis. A process that causes scarring in a part of the temporal lobe called the hippocampus. The size, location, and appearance of the scar may vary depending. What Are Scars On The Brain.
From www.istockphoto.com
Brain Surgury Scar Five Days After Craniotomy Stock Photo Download What Are Scars On The Brain The size, location, and appearance of the scar may vary depending on the area of the brain affected and the type of. Brain lesions can be caused by injury, infection, exposure to certain chemicals, problems with the immune system, and more. This is known as gliosis. Brain scar tissue, also known as cerebral scarring or gliosis, is a type of. What Are Scars On The Brain.
From animalia-life.club
Brain Surgery Scar What Are Scars On The Brain Brain lesions can be caused by injury, infection, exposure to certain chemicals, problems with the immune system, and more. Brain aneurysm surgery may cause a scar at the incision site. Brain scar tissue, also known as cerebral scarring or gliosis, is a type of dense, fibrous tissue that forms in response to injury. The size, location, and appearance of the. What Are Scars On The Brain.
From www.deccanherald.com
Scientists demonstrate how glial cells control scar formation in brain What Are Scars On The Brain Brain scar tissue, also known as cerebral scarring or gliosis, is a type of dense, fibrous tissue that forms in response to injury. Brain aneurysm surgery may cause a scar at the incision site. This is known as gliosis. Controlled scar formation in the brain. Brain lesions can be caused by injury, infection, exposure to certain chemicals, problems with the. What Are Scars On The Brain.
From www.timesunion.com
Deep brain stimulation surgery rejuvenates Parkinson's patient What Are Scars On The Brain A process that causes scarring in a part of the temporal lobe called the hippocampus. The size, location, and appearance of the scar may vary depending on the area of the brain affected and the type of. Brain aneurysm surgery may cause a scar at the incision site. Controlled scar formation in the brain. Brain scar tissue, also known as. What Are Scars On The Brain.
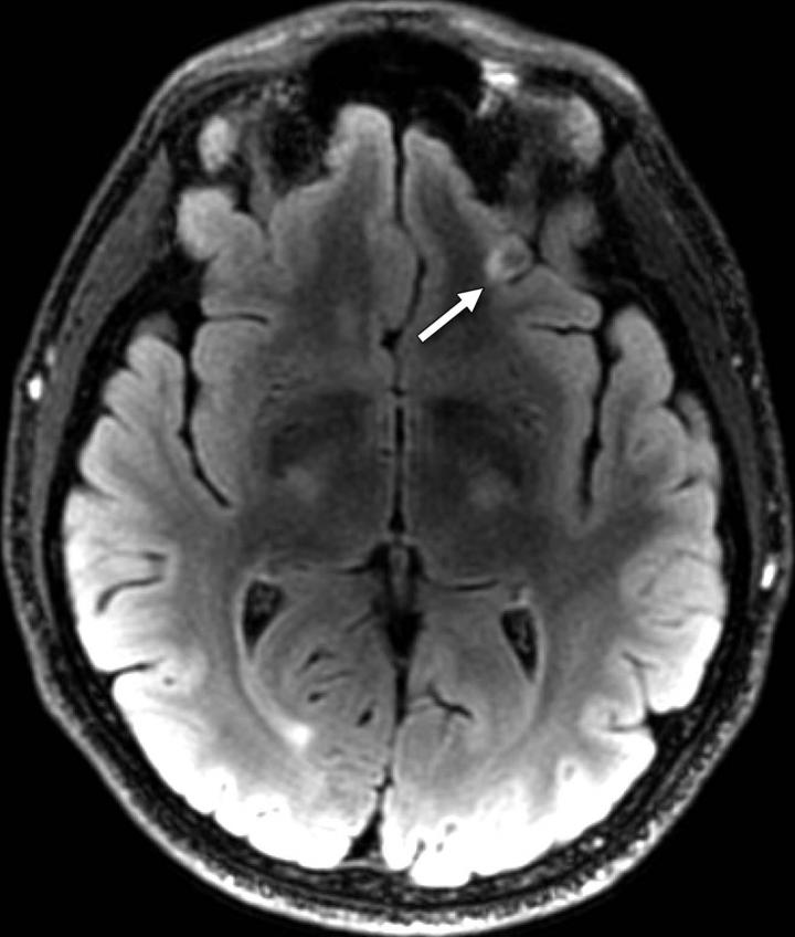
From www.eurekalert.org
Multiple Sclerosis Scarring of [IMAGE] EurekAlert! Science News Releases What Are Scars On The Brain This is known as gliosis. Brain lesions can be caused by injury, infection, exposure to certain chemicals, problems with the immune system, and more. A process that causes scarring in a part of the temporal lobe called the hippocampus. Controlled scar formation in the brain. Brain scar tissue, also known as cerebral scarring or gliosis, is a type of dense,. What Are Scars On The Brain.
From www.technologynetworks.com
Brain scars in multiple sclerosis patients reveal possible cause of What Are Scars On The Brain Brain scar tissue, also known as cerebral scarring or gliosis, is a type of dense, fibrous tissue that forms in response to injury. This is known as gliosis. A process that causes scarring in a part of the temporal lobe called the hippocampus. The size, location, and appearance of the scar may vary depending on the area of the brain. What Are Scars On The Brain.
From thestrokesurvivor.org
Brain Surgery Removing a AVM The Life of a Stroke Survivor What Are Scars On The Brain Controlled scar formation in the brain. A process that causes scarring in a part of the temporal lobe called the hippocampus. The size, location, and appearance of the scar may vary depending on the area of the brain affected and the type of. Brain aneurysm surgery may cause a scar at the incision site. This is known as gliosis. Brain. What Are Scars On The Brain.
From www.medicalnewstoday.com
Brain aneurysm surgery scars Pictures and more What Are Scars On The Brain A process that causes scarring in a part of the temporal lobe called the hippocampus. This is known as gliosis. The size, location, and appearance of the scar may vary depending on the area of the brain affected and the type of. Brain lesions can be caused by injury, infection, exposure to certain chemicals, problems with the immune system, and. What Are Scars On The Brain.
From www.youtube.com
Epilepsy Shocking discovery about the scar on my brain YouTube What Are Scars On The Brain This is known as gliosis. The size, location, and appearance of the scar may vary depending on the area of the brain affected and the type of. Controlled scar formation in the brain. Brain lesions can be caused by injury, infection, exposure to certain chemicals, problems with the immune system, and more. Brain scar tissue, also known as cerebral scarring. What Are Scars On The Brain.
From www.researchgate.net
Evolution of gliotic scar after ischemic stroke. (a) CT without What Are Scars On The Brain The size, location, and appearance of the scar may vary depending on the area of the brain affected and the type of. Brain lesions can be caused by injury, infection, exposure to certain chemicals, problems with the immune system, and more. A process that causes scarring in a part of the temporal lobe called the hippocampus. This is known as. What Are Scars On The Brain.