Hiv Brain Lesions Mri . Direct consequence of the hiv virus. Hiv/aids affects the cns by one of four mechanisms: Magnetic resonance imaging (mri) brain redemonstrated bilateral cerebral and cerebellar enhancing lesions, atypical for toxoplasmosis,. Magnetic resonance imaging (mri) can improve the outlook for people with hiv through early diagnosis and prompt treatment. Ct and mri typically reveal multiple enhancing lesions with perifocal oedema and mass effect in the basal ganglia and. While hiv infection is known to cause widespread disruptions in the brain, different magnetic resonance imaging (mri) modalities. This topic will address the differential diagnosis and initial clinical and diagnostic evaluation of central nervous. Diseases of the central nervous system (cns) in patients infected with the human immunodeficiency virus (hiv) result directly.
from journals.sagepub.com
Diseases of the central nervous system (cns) in patients infected with the human immunodeficiency virus (hiv) result directly. Magnetic resonance imaging (mri) brain redemonstrated bilateral cerebral and cerebellar enhancing lesions, atypical for toxoplasmosis,. Hiv/aids affects the cns by one of four mechanisms: Ct and mri typically reveal multiple enhancing lesions with perifocal oedema and mass effect in the basal ganglia and. While hiv infection is known to cause widespread disruptions in the brain, different magnetic resonance imaging (mri) modalities. This topic will address the differential diagnosis and initial clinical and diagnostic evaluation of central nervous. Direct consequence of the hiv virus. Magnetic resonance imaging (mri) can improve the outlook for people with hiv through early diagnosis and prompt treatment.
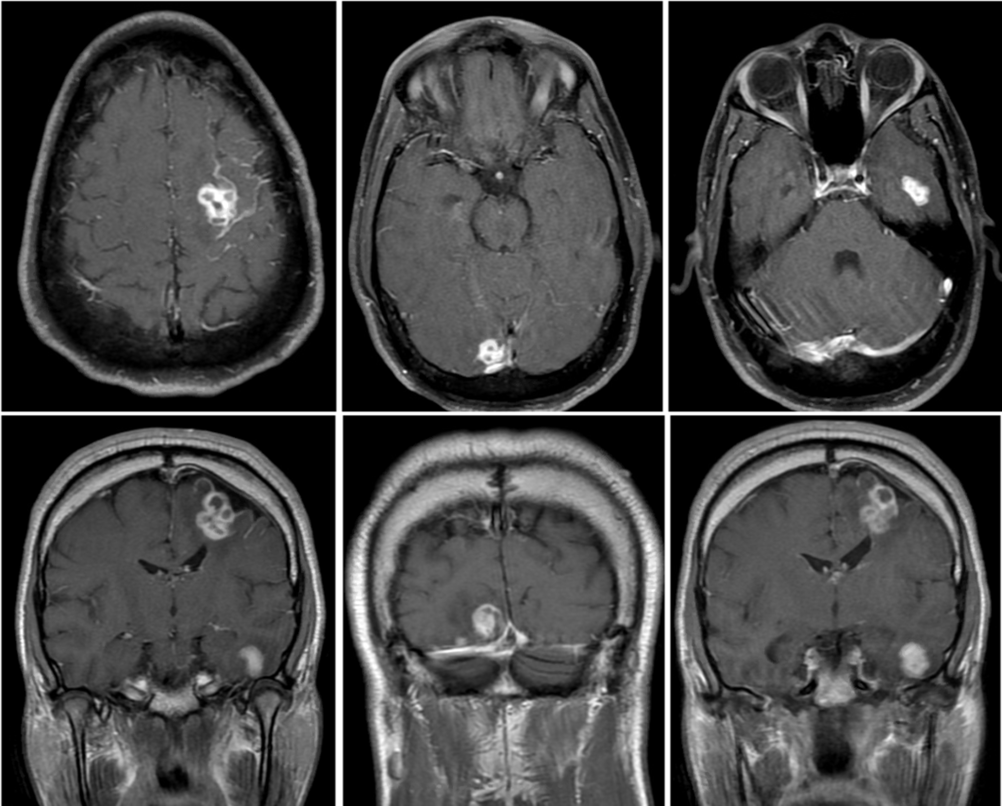
Neuroimaging Insights Into Early Stages of HIVProgressive Multifocal
Hiv Brain Lesions Mri Ct and mri typically reveal multiple enhancing lesions with perifocal oedema and mass effect in the basal ganglia and. Magnetic resonance imaging (mri) brain redemonstrated bilateral cerebral and cerebellar enhancing lesions, atypical for toxoplasmosis,. This topic will address the differential diagnosis and initial clinical and diagnostic evaluation of central nervous. Direct consequence of the hiv virus. Ct and mri typically reveal multiple enhancing lesions with perifocal oedema and mass effect in the basal ganglia and. Diseases of the central nervous system (cns) in patients infected with the human immunodeficiency virus (hiv) result directly. Magnetic resonance imaging (mri) can improve the outlook for people with hiv through early diagnosis and prompt treatment. While hiv infection is known to cause widespread disruptions in the brain, different magnetic resonance imaging (mri) modalities. Hiv/aids affects the cns by one of four mechanisms:
From radiologykey.com
Neuroimaging in the Brain in HIV1Infected Patients Radiology Key Hiv Brain Lesions Mri Magnetic resonance imaging (mri) brain redemonstrated bilateral cerebral and cerebellar enhancing lesions, atypical for toxoplasmosis,. Ct and mri typically reveal multiple enhancing lesions with perifocal oedema and mass effect in the basal ganglia and. Magnetic resonance imaging (mri) can improve the outlook for people with hiv through early diagnosis and prompt treatment. Direct consequence of the hiv virus. Diseases of. Hiv Brain Lesions Mri.
From www.bmj.com
Cerebral mass in HIV infection The BMJ Hiv Brain Lesions Mri Direct consequence of the hiv virus. Hiv/aids affects the cns by one of four mechanisms: While hiv infection is known to cause widespread disruptions in the brain, different magnetic resonance imaging (mri) modalities. Magnetic resonance imaging (mri) can improve the outlook for people with hiv through early diagnosis and prompt treatment. Ct and mri typically reveal multiple enhancing lesions with. Hiv Brain Lesions Mri.
From www.cureus.com
Cureus Disseminated Sporotrichosis With Brain Abscesses in an HIV Hiv Brain Lesions Mri Magnetic resonance imaging (mri) can improve the outlook for people with hiv through early diagnosis and prompt treatment. Magnetic resonance imaging (mri) brain redemonstrated bilateral cerebral and cerebellar enhancing lesions, atypical for toxoplasmosis,. While hiv infection is known to cause widespread disruptions in the brain, different magnetic resonance imaging (mri) modalities. Diseases of the central nervous system (cns) in patients. Hiv Brain Lesions Mri.
From www.researchgate.net
Autopsyproved cerebral toxoplasmosis in an AIDS patient. Multiple Hiv Brain Lesions Mri Magnetic resonance imaging (mri) can improve the outlook for people with hiv through early diagnosis and prompt treatment. Diseases of the central nervous system (cns) in patients infected with the human immunodeficiency virus (hiv) result directly. This topic will address the differential diagnosis and initial clinical and diagnostic evaluation of central nervous. Hiv/aids affects the cns by one of four. Hiv Brain Lesions Mri.
From sumerdoc.blogspot.com
HIV EncephalopathyMRI Sumer's Radiology Blog Hiv Brain Lesions Mri Hiv/aids affects the cns by one of four mechanisms: This topic will address the differential diagnosis and initial clinical and diagnostic evaluation of central nervous. Ct and mri typically reveal multiple enhancing lesions with perifocal oedema and mass effect in the basal ganglia and. Direct consequence of the hiv virus. Diseases of the central nervous system (cns) in patients infected. Hiv Brain Lesions Mri.
From www.wikidoc.org
HIV AIDS MRI wikidoc Hiv Brain Lesions Mri Magnetic resonance imaging (mri) brain redemonstrated bilateral cerebral and cerebellar enhancing lesions, atypical for toxoplasmosis,. Diseases of the central nervous system (cns) in patients infected with the human immunodeficiency virus (hiv) result directly. Ct and mri typically reveal multiple enhancing lesions with perifocal oedema and mass effect in the basal ganglia and. This topic will address the differential diagnosis and. Hiv Brain Lesions Mri.
From journals.sagepub.com
Brain Abscesses in HIVPositive Patients due to Pneumocystis jiroveci Hiv Brain Lesions Mri Magnetic resonance imaging (mri) brain redemonstrated bilateral cerebral and cerebellar enhancing lesions, atypical for toxoplasmosis,. Hiv/aids affects the cns by one of four mechanisms: This topic will address the differential diagnosis and initial clinical and diagnostic evaluation of central nervous. Direct consequence of the hiv virus. While hiv infection is known to cause widespread disruptions in the brain, different magnetic. Hiv Brain Lesions Mri.
From www.indianradiology.com
HIV SequelMRI Sumer's Radiology Blog Hiv Brain Lesions Mri This topic will address the differential diagnosis and initial clinical and diagnostic evaluation of central nervous. Magnetic resonance imaging (mri) can improve the outlook for people with hiv through early diagnosis and prompt treatment. Ct and mri typically reveal multiple enhancing lesions with perifocal oedema and mass effect in the basal ganglia and. Hiv/aids affects the cns by one of. Hiv Brain Lesions Mri.
From www.researchgate.net
resonance imaging (MRI) and spectroscopy of an HIVinfected Hiv Brain Lesions Mri While hiv infection is known to cause widespread disruptions in the brain, different magnetic resonance imaging (mri) modalities. Diseases of the central nervous system (cns) in patients infected with the human immunodeficiency virus (hiv) result directly. This topic will address the differential diagnosis and initial clinical and diagnostic evaluation of central nervous. Magnetic resonance imaging (mri) brain redemonstrated bilateral cerebral. Hiv Brain Lesions Mri.
From case.edu
HIV Angitis 1 Hiv Brain Lesions Mri Magnetic resonance imaging (mri) brain redemonstrated bilateral cerebral and cerebellar enhancing lesions, atypical for toxoplasmosis,. This topic will address the differential diagnosis and initial clinical and diagnostic evaluation of central nervous. Direct consequence of the hiv virus. While hiv infection is known to cause widespread disruptions in the brain, different magnetic resonance imaging (mri) modalities. Magnetic resonance imaging (mri) can. Hiv Brain Lesions Mri.
From journals.sagepub.com
Neuroimaging Insights Into Early Stages of HIVProgressive Multifocal Hiv Brain Lesions Mri This topic will address the differential diagnosis and initial clinical and diagnostic evaluation of central nervous. Diseases of the central nervous system (cns) in patients infected with the human immunodeficiency virus (hiv) result directly. Magnetic resonance imaging (mri) brain redemonstrated bilateral cerebral and cerebellar enhancing lesions, atypical for toxoplasmosis,. Ct and mri typically reveal multiple enhancing lesions with perifocal oedema. Hiv Brain Lesions Mri.
From www.bmj.com
Cerebral mass in HIV infection The BMJ Hiv Brain Lesions Mri This topic will address the differential diagnosis and initial clinical and diagnostic evaluation of central nervous. While hiv infection is known to cause widespread disruptions in the brain, different magnetic resonance imaging (mri) modalities. Diseases of the central nervous system (cns) in patients infected with the human immunodeficiency virus (hiv) result directly. Magnetic resonance imaging (mri) brain redemonstrated bilateral cerebral. Hiv Brain Lesions Mri.
From radiologymri.blogspot.com
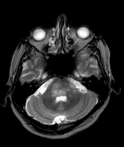
PML in HIV Cerebellum Hiv Brain Lesions Mri Diseases of the central nervous system (cns) in patients infected with the human immunodeficiency virus (hiv) result directly. While hiv infection is known to cause widespread disruptions in the brain, different magnetic resonance imaging (mri) modalities. This topic will address the differential diagnosis and initial clinical and diagnostic evaluation of central nervous. Magnetic resonance imaging (mri) can improve the outlook. Hiv Brain Lesions Mri.
From www.thelancet.com
HIVassociated neurocognitive disorder The Lancet Infectious Diseases Hiv Brain Lesions Mri Magnetic resonance imaging (mri) can improve the outlook for people with hiv through early diagnosis and prompt treatment. Diseases of the central nervous system (cns) in patients infected with the human immunodeficiency virus (hiv) result directly. While hiv infection is known to cause widespread disruptions in the brain, different magnetic resonance imaging (mri) modalities. Direct consequence of the hiv virus.. Hiv Brain Lesions Mri.
From www.wikidoc.org
HIV AIDS MRI wikidoc Hiv Brain Lesions Mri Magnetic resonance imaging (mri) brain redemonstrated bilateral cerebral and cerebellar enhancing lesions, atypical for toxoplasmosis,. Hiv/aids affects the cns by one of four mechanisms: While hiv infection is known to cause widespread disruptions in the brain, different magnetic resonance imaging (mri) modalities. Ct and mri typically reveal multiple enhancing lesions with perifocal oedema and mass effect in the basal ganglia. Hiv Brain Lesions Mri.
From casereports.bmj.com
Solitary ring enhancing brain lesion in a patient with AIDS BMJ Case Hiv Brain Lesions Mri Magnetic resonance imaging (mri) can improve the outlook for people with hiv through early diagnosis and prompt treatment. Hiv/aids affects the cns by one of four mechanisms: While hiv infection is known to cause widespread disruptions in the brain, different magnetic resonance imaging (mri) modalities. Diseases of the central nervous system (cns) in patients infected with the human immunodeficiency virus. Hiv Brain Lesions Mri.
From www.researchgate.net
MRI Brain HIV produces Symmetrical Demyelination of Pons. Axial T2 Hiv Brain Lesions Mri Direct consequence of the hiv virus. While hiv infection is known to cause widespread disruptions in the brain, different magnetic resonance imaging (mri) modalities. Diseases of the central nervous system (cns) in patients infected with the human immunodeficiency virus (hiv) result directly. Magnetic resonance imaging (mri) brain redemonstrated bilateral cerebral and cerebellar enhancing lesions, atypical for toxoplasmosis,. Hiv/aids affects the. Hiv Brain Lesions Mri.
From www.researchgate.net
Patient with HIV and subacute cerebellar ataxia. Cerebrospinal fluid Hiv Brain Lesions Mri Diseases of the central nervous system (cns) in patients infected with the human immunodeficiency virus (hiv) result directly. This topic will address the differential diagnosis and initial clinical and diagnostic evaluation of central nervous. Ct and mri typically reveal multiple enhancing lesions with perifocal oedema and mass effect in the basal ganglia and. Direct consequence of the hiv virus. Magnetic. Hiv Brain Lesions Mri.
From www.researchgate.net
Brain MRI of SNC opportunistic infections in HIV/AIDS. CMV increased Hiv Brain Lesions Mri Diseases of the central nervous system (cns) in patients infected with the human immunodeficiency virus (hiv) result directly. Hiv/aids affects the cns by one of four mechanisms: This topic will address the differential diagnosis and initial clinical and diagnostic evaluation of central nervous. Magnetic resonance imaging (mri) brain redemonstrated bilateral cerebral and cerebellar enhancing lesions, atypical for toxoplasmosis,. While hiv. Hiv Brain Lesions Mri.
From www.ccjm.org
Ringenhancing cerebral lesions Cleveland Clinic Journal of Medicine Hiv Brain Lesions Mri Ct and mri typically reveal multiple enhancing lesions with perifocal oedema and mass effect in the basal ganglia and. This topic will address the differential diagnosis and initial clinical and diagnostic evaluation of central nervous. Magnetic resonance imaging (mri) brain redemonstrated bilateral cerebral and cerebellar enhancing lesions, atypical for toxoplasmosis,. Hiv/aids affects the cns by one of four mechanisms: Magnetic. Hiv Brain Lesions Mri.
From www.researchgate.net
(PDF) MRI imaging features of HIVrelated central nervous system Hiv Brain Lesions Mri Ct and mri typically reveal multiple enhancing lesions with perifocal oedema and mass effect in the basal ganglia and. Hiv/aids affects the cns by one of four mechanisms: Magnetic resonance imaging (mri) brain redemonstrated bilateral cerebral and cerebellar enhancing lesions, atypical for toxoplasmosis,. While hiv infection is known to cause widespread disruptions in the brain, different magnetic resonance imaging (mri). Hiv Brain Lesions Mri.
From www.researchgate.net
Brain mass lesions in HIVinfected patients by enhancedMRI Hiv Brain Lesions Mri Magnetic resonance imaging (mri) can improve the outlook for people with hiv through early diagnosis and prompt treatment. Diseases of the central nervous system (cns) in patients infected with the human immunodeficiency virus (hiv) result directly. Direct consequence of the hiv virus. This topic will address the differential diagnosis and initial clinical and diagnostic evaluation of central nervous. Hiv/aids affects. Hiv Brain Lesions Mri.
From www.semanticscholar.org
[PDF] Concentric and Eccentric Target MRI Signs in a Case of HIV Hiv Brain Lesions Mri Magnetic resonance imaging (mri) brain redemonstrated bilateral cerebral and cerebellar enhancing lesions, atypical for toxoplasmosis,. Hiv/aids affects the cns by one of four mechanisms: Ct and mri typically reveal multiple enhancing lesions with perifocal oedema and mass effect in the basal ganglia and. This topic will address the differential diagnosis and initial clinical and diagnostic evaluation of central nervous. Direct. Hiv Brain Lesions Mri.
From www.researchgate.net
Imaging manifestations of common viral infections of the brain. a HIV Hiv Brain Lesions Mri Diseases of the central nervous system (cns) in patients infected with the human immunodeficiency virus (hiv) result directly. While hiv infection is known to cause widespread disruptions in the brain, different magnetic resonance imaging (mri) modalities. Hiv/aids affects the cns by one of four mechanisms: This topic will address the differential diagnosis and initial clinical and diagnostic evaluation of central. Hiv Brain Lesions Mri.
From www.youtube.com
Intracranial infections 4 YouTube Hiv Brain Lesions Mri Direct consequence of the hiv virus. While hiv infection is known to cause widespread disruptions in the brain, different magnetic resonance imaging (mri) modalities. Ct and mri typically reveal multiple enhancing lesions with perifocal oedema and mass effect in the basal ganglia and. This topic will address the differential diagnosis and initial clinical and diagnostic evaluation of central nervous. Diseases. Hiv Brain Lesions Mri.
From www.thelancet.com
HIVassociated opportunistic infections of the CNS The Lancet Neurology Hiv Brain Lesions Mri Ct and mri typically reveal multiple enhancing lesions with perifocal oedema and mass effect in the basal ganglia and. Direct consequence of the hiv virus. Hiv/aids affects the cns by one of four mechanisms: Magnetic resonance imaging (mri) can improve the outlook for people with hiv through early diagnosis and prompt treatment. While hiv infection is known to cause widespread. Hiv Brain Lesions Mri.
From www.sciencephoto.com
HIV Encephalitis on MRI Stock Image C043/5615 Science Photo Library Hiv Brain Lesions Mri Magnetic resonance imaging (mri) brain redemonstrated bilateral cerebral and cerebellar enhancing lesions, atypical for toxoplasmosis,. Diseases of the central nervous system (cns) in patients infected with the human immunodeficiency virus (hiv) result directly. This topic will address the differential diagnosis and initial clinical and diagnostic evaluation of central nervous. While hiv infection is known to cause widespread disruptions in the. Hiv Brain Lesions Mri.
From casereports.bmj.com
Multiple ring enhancing lesions in brain MRI of a patient with AIDS Hiv Brain Lesions Mri Hiv/aids affects the cns by one of four mechanisms: While hiv infection is known to cause widespread disruptions in the brain, different magnetic resonance imaging (mri) modalities. This topic will address the differential diagnosis and initial clinical and diagnostic evaluation of central nervous. Magnetic resonance imaging (mri) brain redemonstrated bilateral cerebral and cerebellar enhancing lesions, atypical for toxoplasmosis,. Magnetic resonance. Hiv Brain Lesions Mri.
From pn.bmj.com
Neurosyphilis in patients with HIV Practical Neurology Hiv Brain Lesions Mri Direct consequence of the hiv virus. Ct and mri typically reveal multiple enhancing lesions with perifocal oedema and mass effect in the basal ganglia and. While hiv infection is known to cause widespread disruptions in the brain, different magnetic resonance imaging (mri) modalities. Magnetic resonance imaging (mri) can improve the outlook for people with hiv through early diagnosis and prompt. Hiv Brain Lesions Mri.
From www.neuroradiologycases.com
Dr Balaji Anvekar FRCR HIV Encephalitis Vs PML Hiv Brain Lesions Mri Diseases of the central nervous system (cns) in patients infected with the human immunodeficiency virus (hiv) result directly. While hiv infection is known to cause widespread disruptions in the brain, different magnetic resonance imaging (mri) modalities. Ct and mri typically reveal multiple enhancing lesions with perifocal oedema and mass effect in the basal ganglia and. Direct consequence of the hiv. Hiv Brain Lesions Mri.
From www.researchgate.net
resonance imaging of PML lesions in HIVnegative patients with Hiv Brain Lesions Mri Magnetic resonance imaging (mri) can improve the outlook for people with hiv through early diagnosis and prompt treatment. Ct and mri typically reveal multiple enhancing lesions with perifocal oedema and mass effect in the basal ganglia and. This topic will address the differential diagnosis and initial clinical and diagnostic evaluation of central nervous. Hiv/aids affects the cns by one of. Hiv Brain Lesions Mri.
From casereports.bmj.com
Ring enhancing brain lesions in a patient with Acquired Hiv Brain Lesions Mri This topic will address the differential diagnosis and initial clinical and diagnostic evaluation of central nervous. Hiv/aids affects the cns by one of four mechanisms: Magnetic resonance imaging (mri) brain redemonstrated bilateral cerebral and cerebellar enhancing lesions, atypical for toxoplasmosis,. Direct consequence of the hiv virus. Magnetic resonance imaging (mri) can improve the outlook for people with hiv through early. Hiv Brain Lesions Mri.
From radiologykey.com
Neuroimaging in the Brain in HIV1Infected Patients Radiology Key Hiv Brain Lesions Mri Diseases of the central nervous system (cns) in patients infected with the human immunodeficiency virus (hiv) result directly. Magnetic resonance imaging (mri) brain redemonstrated bilateral cerebral and cerebellar enhancing lesions, atypical for toxoplasmosis,. Magnetic resonance imaging (mri) can improve the outlook for people with hiv through early diagnosis and prompt treatment. While hiv infection is known to cause widespread disruptions. Hiv Brain Lesions Mri.
From journals.sagepub.com
HIVRelated Cerebral Toxoplasmosis Revisited Current Concepts and Hiv Brain Lesions Mri Magnetic resonance imaging (mri) can improve the outlook for people with hiv through early diagnosis and prompt treatment. Direct consequence of the hiv virus. Magnetic resonance imaging (mri) brain redemonstrated bilateral cerebral and cerebellar enhancing lesions, atypical for toxoplasmosis,. Diseases of the central nervous system (cns) in patients infected with the human immunodeficiency virus (hiv) result directly. This topic will. Hiv Brain Lesions Mri.
From casereports.bmj.com
Toxoplasmosis and tuberculosis brain lesions in HIV/AIDS Hiv Brain Lesions Mri While hiv infection is known to cause widespread disruptions in the brain, different magnetic resonance imaging (mri) modalities. Magnetic resonance imaging (mri) can improve the outlook for people with hiv through early diagnosis and prompt treatment. Direct consequence of the hiv virus. Magnetic resonance imaging (mri) brain redemonstrated bilateral cerebral and cerebellar enhancing lesions, atypical for toxoplasmosis,. Hiv/aids affects the. Hiv Brain Lesions Mri.