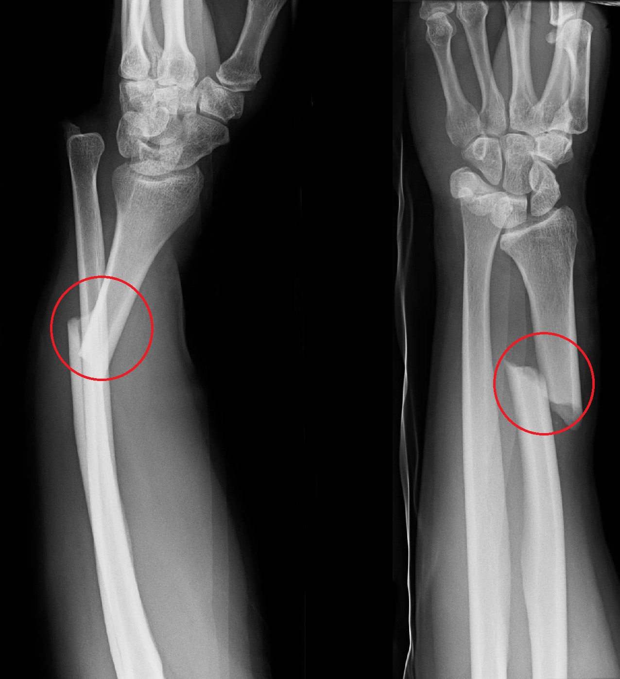
How To Reduce Galeazzi Fracture . Explain the treatment and management options available for. Clinical and radiographic evaluation is consistent with a left distal radial shaft fracture with disruption of the distal radioulnar joint, known as a galeazzi. Galeazzi fractures are uncommon type of forearm fractures. Describe the typical imaging findings associated with a galeazzi fracture. A galeazzi fracture is a distal 1/3 radial shaft fracture with an associated distal radioulnar joint (druj) injury. Galeazzi fracture represents a distinct spectrum of forearm injuries that represent approximately 7% of adult and 3% of pediatric forearm fractures, they. • anatomic reduction of ulnar shaft fracture required for radial head reduction • assessment of radial head reduction after ulnar fixation • radiographic •. Galeazzi fractures are best treated with open reduction of the radius and the distal radioulnar joint (druj).
from footryte.weebly.com
Galeazzi fracture represents a distinct spectrum of forearm injuries that represent approximately 7% of adult and 3% of pediatric forearm fractures, they. A galeazzi fracture is a distal 1/3 radial shaft fracture with an associated distal radioulnar joint (druj) injury. • anatomic reduction of ulnar shaft fracture required for radial head reduction • assessment of radial head reduction after ulnar fixation • radiographic •. Describe the typical imaging findings associated with a galeazzi fracture. Galeazzi fractures are uncommon type of forearm fractures. Galeazzi fractures are best treated with open reduction of the radius and the distal radioulnar joint (druj). Explain the treatment and management options available for. Clinical and radiographic evaluation is consistent with a left distal radial shaft fracture with disruption of the distal radioulnar joint, known as a galeazzi.
Galeazzi fracture footryte
How To Reduce Galeazzi Fracture Galeazzi fracture represents a distinct spectrum of forearm injuries that represent approximately 7% of adult and 3% of pediatric forearm fractures, they. Galeazzi fractures are uncommon type of forearm fractures. Clinical and radiographic evaluation is consistent with a left distal radial shaft fracture with disruption of the distal radioulnar joint, known as a galeazzi. Explain the treatment and management options available for. Galeazzi fractures are best treated with open reduction of the radius and the distal radioulnar joint (druj). • anatomic reduction of ulnar shaft fracture required for radial head reduction • assessment of radial head reduction after ulnar fixation • radiographic •. Describe the typical imaging findings associated with a galeazzi fracture. A galeazzi fracture is a distal 1/3 radial shaft fracture with an associated distal radioulnar joint (druj) injury. Galeazzi fracture represents a distinct spectrum of forearm injuries that represent approximately 7% of adult and 3% of pediatric forearm fractures, they.
From www.cureus.com
Cureus Galeazzi Fracture Dislocations An Illustrated Review How To Reduce Galeazzi Fracture Describe the typical imaging findings associated with a galeazzi fracture. Explain the treatment and management options available for. Galeazzi fractures are best treated with open reduction of the radius and the distal radioulnar joint (druj). Clinical and radiographic evaluation is consistent with a left distal radial shaft fracture with disruption of the distal radioulnar joint, known as a galeazzi. Galeazzi. How To Reduce Galeazzi Fracture.
From www.researchgate.net
Anteroposterior and lateral radiographs demonstrating Galeazzi How To Reduce Galeazzi Fracture Galeazzi fractures are best treated with open reduction of the radius and the distal radioulnar joint (druj). • anatomic reduction of ulnar shaft fracture required for radial head reduction • assessment of radial head reduction after ulnar fixation • radiographic •. Galeazzi fractures are uncommon type of forearm fractures. Explain the treatment and management options available for. Clinical and radiographic. How To Reduce Galeazzi Fracture.
From journals.lww.com
galeazzi Fracture JAAOS Journal of the American Academy of How To Reduce Galeazzi Fracture Galeazzi fractures are best treated with open reduction of the radius and the distal radioulnar joint (druj). • anatomic reduction of ulnar shaft fracture required for radial head reduction • assessment of radial head reduction after ulnar fixation • radiographic •. Galeazzi fracture represents a distinct spectrum of forearm injuries that represent approximately 7% of adult and 3% of pediatric. How To Reduce Galeazzi Fracture.
From www.youtube.com
Mnemonic to remember Monteggia fracture & Galeazzi fracture YouTube How To Reduce Galeazzi Fracture Galeazzi fractures are uncommon type of forearm fractures. A galeazzi fracture is a distal 1/3 radial shaft fracture with an associated distal radioulnar joint (druj) injury. Explain the treatment and management options available for. Galeazzi fracture represents a distinct spectrum of forearm injuries that represent approximately 7% of adult and 3% of pediatric forearm fractures, they. • anatomic reduction of. How To Reduce Galeazzi Fracture.
From footryte.weebly.com
Galeazzi fracture footryte How To Reduce Galeazzi Fracture Clinical and radiographic evaluation is consistent with a left distal radial shaft fracture with disruption of the distal radioulnar joint, known as a galeazzi. Describe the typical imaging findings associated with a galeazzi fracture. • anatomic reduction of ulnar shaft fracture required for radial head reduction • assessment of radial head reduction after ulnar fixation • radiographic •. Galeazzi fractures. How To Reduce Galeazzi Fracture.
From www.eatonhand.com
Reconstruction Ulnar shortening osteotomy for Galeazzi fracture malunion How To Reduce Galeazzi Fracture A galeazzi fracture is a distal 1/3 radial shaft fracture with an associated distal radioulnar joint (druj) injury. • anatomic reduction of ulnar shaft fracture required for radial head reduction • assessment of radial head reduction after ulnar fixation • radiographic •. Clinical and radiographic evaluation is consistent with a left distal radial shaft fracture with disruption of the distal. How To Reduce Galeazzi Fracture.
From www.slideserve.com
PPT Pediatric Fractures of the Forearm, Wrist and Hand PowerPoint How To Reduce Galeazzi Fracture • anatomic reduction of ulnar shaft fracture required for radial head reduction • assessment of radial head reduction after ulnar fixation • radiographic •. A galeazzi fracture is a distal 1/3 radial shaft fracture with an associated distal radioulnar joint (druj) injury. Clinical and radiographic evaluation is consistent with a left distal radial shaft fracture with disruption of the distal. How To Reduce Galeazzi Fracture.
From rightconnection.weebly.com
Galeazzi fracture rehabilitation rightconnection How To Reduce Galeazzi Fracture A galeazzi fracture is a distal 1/3 radial shaft fracture with an associated distal radioulnar joint (druj) injury. Galeazzi fractures are best treated with open reduction of the radius and the distal radioulnar joint (druj). Clinical and radiographic evaluation is consistent with a left distal radial shaft fracture with disruption of the distal radioulnar joint, known as a galeazzi. Galeazzi. How To Reduce Galeazzi Fracture.
From orthopaedicprinciples.com
Galeazzi Fracture Dislocation — How To Reduce Galeazzi Fracture • anatomic reduction of ulnar shaft fracture required for radial head reduction • assessment of radial head reduction after ulnar fixation • radiographic •. Describe the typical imaging findings associated with a galeazzi fracture. Galeazzi fractures are best treated with open reduction of the radius and the distal radioulnar joint (druj). Clinical and radiographic evaluation is consistent with a left. How To Reduce Galeazzi Fracture.
From radiopaedia.org
Galeazzi fracture Image How To Reduce Galeazzi Fracture A galeazzi fracture is a distal 1/3 radial shaft fracture with an associated distal radioulnar joint (druj) injury. Galeazzi fractures are uncommon type of forearm fractures. Explain the treatment and management options available for. Clinical and radiographic evaluation is consistent with a left distal radial shaft fracture with disruption of the distal radioulnar joint, known as a galeazzi. Galeazzi fracture. How To Reduce Galeazzi Fracture.
From radiopaedia.org
Galeazzi fracture Image How To Reduce Galeazzi Fracture Describe the typical imaging findings associated with a galeazzi fracture. Galeazzi fractures are best treated with open reduction of the radius and the distal radioulnar joint (druj). Clinical and radiographic evaluation is consistent with a left distal radial shaft fracture with disruption of the distal radioulnar joint, known as a galeazzi. A galeazzi fracture is a distal 1/3 radial shaft. How To Reduce Galeazzi Fracture.
From www.scribd.com
Galeazzi Fracture Treatment & Management Approach Considerations How To Reduce Galeazzi Fracture Galeazzi fracture represents a distinct spectrum of forearm injuries that represent approximately 7% of adult and 3% of pediatric forearm fractures, they. A galeazzi fracture is a distal 1/3 radial shaft fracture with an associated distal radioulnar joint (druj) injury. • anatomic reduction of ulnar shaft fracture required for radial head reduction • assessment of radial head reduction after ulnar. How To Reduce Galeazzi Fracture.
From www.orthobullets.com
Galeazzi Fractures Trauma Orthobullets How To Reduce Galeazzi Fracture Clinical and radiographic evaluation is consistent with a left distal radial shaft fracture with disruption of the distal radioulnar joint, known as a galeazzi. A galeazzi fracture is a distal 1/3 radial shaft fracture with an associated distal radioulnar joint (druj) injury. Explain the treatment and management options available for. • anatomic reduction of ulnar shaft fracture required for radial. How To Reduce Galeazzi Fracture.
From www.cureus.com
Cureus A Novel Method of Treatment for a MalUnited Galeazzi Fracture How To Reduce Galeazzi Fracture Galeazzi fractures are best treated with open reduction of the radius and the distal radioulnar joint (druj). Explain the treatment and management options available for. • anatomic reduction of ulnar shaft fracture required for radial head reduction • assessment of radial head reduction after ulnar fixation • radiographic •. Galeazzi fracture represents a distinct spectrum of forearm injuries that represent. How To Reduce Galeazzi Fracture.
From healthjade.net
Galeazzi fracture causes, symptoms, diagnosis, treatment & prognosis How To Reduce Galeazzi Fracture Galeazzi fractures are best treated with open reduction of the radius and the distal radioulnar joint (druj). A galeazzi fracture is a distal 1/3 radial shaft fracture with an associated distal radioulnar joint (druj) injury. Clinical and radiographic evaluation is consistent with a left distal radial shaft fracture with disruption of the distal radioulnar joint, known as a galeazzi. •. How To Reduce Galeazzi Fracture.
From www.msdmanuals.com
Image Galeazzi Fracture MSD Manual Professional Edition How To Reduce Galeazzi Fracture Galeazzi fractures are best treated with open reduction of the radius and the distal radioulnar joint (druj). A galeazzi fracture is a distal 1/3 radial shaft fracture with an associated distal radioulnar joint (druj) injury. Clinical and radiographic evaluation is consistent with a left distal radial shaft fracture with disruption of the distal radioulnar joint, known as a galeazzi. Galeazzi. How To Reduce Galeazzi Fracture.
From fracturesandbonehealing.blogspot.com
Galeazzi Fracture Treatment Galeazzi Bone Fracture Surgery How To Reduce Galeazzi Fracture A galeazzi fracture is a distal 1/3 radial shaft fracture with an associated distal radioulnar joint (druj) injury. Describe the typical imaging findings associated with a galeazzi fracture. Galeazzi fractures are uncommon type of forearm fractures. Clinical and radiographic evaluation is consistent with a left distal radial shaft fracture with disruption of the distal radioulnar joint, known as a galeazzi.. How To Reduce Galeazzi Fracture.
From luanmd.com
Technique ORIF of a Galeazzi radius fracture using locking plate LuanMD How To Reduce Galeazzi Fracture Describe the typical imaging findings associated with a galeazzi fracture. Explain the treatment and management options available for. A galeazzi fracture is a distal 1/3 radial shaft fracture with an associated distal radioulnar joint (druj) injury. • anatomic reduction of ulnar shaft fracture required for radial head reduction • assessment of radial head reduction after ulnar fixation • radiographic •.. How To Reduce Galeazzi Fracture.
From www.reddit.com
Galeazzi Fracture r/Radiology How To Reduce Galeazzi Fracture Explain the treatment and management options available for. Clinical and radiographic evaluation is consistent with a left distal radial shaft fracture with disruption of the distal radioulnar joint, known as a galeazzi. A galeazzi fracture is a distal 1/3 radial shaft fracture with an associated distal radioulnar joint (druj) injury. Galeazzi fractures are best treated with open reduction of the. How To Reduce Galeazzi Fracture.
From www.osmosis.org
Galeazzi Fracture What Is It, Diagnosis, and More Osmosis How To Reduce Galeazzi Fracture Galeazzi fractures are uncommon type of forearm fractures. • anatomic reduction of ulnar shaft fracture required for radial head reduction • assessment of radial head reduction after ulnar fixation • radiographic •. Clinical and radiographic evaluation is consistent with a left distal radial shaft fracture with disruption of the distal radioulnar joint, known as a galeazzi. A galeazzi fracture is. How To Reduce Galeazzi Fracture.
From faculty.washington.edu
Galeazzi Fracture Dislocation UW Emergency Radiology How To Reduce Galeazzi Fracture Galeazzi fracture represents a distinct spectrum of forearm injuries that represent approximately 7% of adult and 3% of pediatric forearm fractures, they. A galeazzi fracture is a distal 1/3 radial shaft fracture with an associated distal radioulnar joint (druj) injury. Describe the typical imaging findings associated with a galeazzi fracture. Clinical and radiographic evaluation is consistent with a left distal. How To Reduce Galeazzi Fracture.
From www.slideserve.com
PPT Pediatric Fractures of the Forearm, Wrist and Hand PowerPoint How To Reduce Galeazzi Fracture Explain the treatment and management options available for. A galeazzi fracture is a distal 1/3 radial shaft fracture with an associated distal radioulnar joint (druj) injury. Clinical and radiographic evaluation is consistent with a left distal radial shaft fracture with disruption of the distal radioulnar joint, known as a galeazzi. Galeazzi fracture represents a distinct spectrum of forearm injuries that. How To Reduce Galeazzi Fracture.
From www.orthobullets.com
Galeazzi Fracture Pediatric Pediatrics Orthobullets How To Reduce Galeazzi Fracture • anatomic reduction of ulnar shaft fracture required for radial head reduction • assessment of radial head reduction after ulnar fixation • radiographic •. Galeazzi fractures are best treated with open reduction of the radius and the distal radioulnar joint (druj). A galeazzi fracture is a distal 1/3 radial shaft fracture with an associated distal radioulnar joint (druj) injury. Clinical. How To Reduce Galeazzi Fracture.
From luanmd.com
Technique ORIF of a Galeazzi radius fracture using locking plate LuanMD How To Reduce Galeazzi Fracture • anatomic reduction of ulnar shaft fracture required for radial head reduction • assessment of radial head reduction after ulnar fixation • radiographic •. Clinical and radiographic evaluation is consistent with a left distal radial shaft fracture with disruption of the distal radioulnar joint, known as a galeazzi. Galeazzi fractures are uncommon type of forearm fractures. Describe the typical imaging. How To Reduce Galeazzi Fracture.
From clinicalgate.com
Galeazzi FractureDislocations Clinical Gate How To Reduce Galeazzi Fracture Galeazzi fracture represents a distinct spectrum of forearm injuries that represent approximately 7% of adult and 3% of pediatric forearm fractures, they. Galeazzi fractures are uncommon type of forearm fractures. Clinical and radiographic evaluation is consistent with a left distal radial shaft fracture with disruption of the distal radioulnar joint, known as a galeazzi. Explain the treatment and management options. How To Reduce Galeazzi Fracture.
From www.orthobullets.com
Galeazzi Fracture Pediatric Pediatrics Orthobullets How To Reduce Galeazzi Fracture • anatomic reduction of ulnar shaft fracture required for radial head reduction • assessment of radial head reduction after ulnar fixation • radiographic •. Describe the typical imaging findings associated with a galeazzi fracture. Explain the treatment and management options available for. Clinical and radiographic evaluation is consistent with a left distal radial shaft fracture with disruption of the distal. How To Reduce Galeazzi Fracture.
From fisiohis.com
Fractura de Galeazzi How To Reduce Galeazzi Fracture Explain the treatment and management options available for. Describe the typical imaging findings associated with a galeazzi fracture. A galeazzi fracture is a distal 1/3 radial shaft fracture with an associated distal radioulnar joint (druj) injury. Galeazzi fractures are best treated with open reduction of the radius and the distal radioulnar joint (druj). Galeazzi fracture represents a distinct spectrum of. How To Reduce Galeazzi Fracture.
From healthjade.net
Galeazzi fracture causes, symptoms, diagnosis, treatment & prognosis How To Reduce Galeazzi Fracture Galeazzi fractures are uncommon type of forearm fractures. Clinical and radiographic evaluation is consistent with a left distal radial shaft fracture with disruption of the distal radioulnar joint, known as a galeazzi. Describe the typical imaging findings associated with a galeazzi fracture. Galeazzi fractures are best treated with open reduction of the radius and the distal radioulnar joint (druj). •. How To Reduce Galeazzi Fracture.
From litfl.com
Galeazzi fracture • LITFL • Medical Eponym Library How To Reduce Galeazzi Fracture Describe the typical imaging findings associated with a galeazzi fracture. A galeazzi fracture is a distal 1/3 radial shaft fracture with an associated distal radioulnar joint (druj) injury. Galeazzi fracture represents a distinct spectrum of forearm injuries that represent approximately 7% of adult and 3% of pediatric forearm fractures, they. Galeazzi fractures are uncommon type of forearm fractures. Clinical and. How To Reduce Galeazzi Fracture.
From www.studypool.com
SOLUTION Galeazzi fracture painful arc syndrome Studypool How To Reduce Galeazzi Fracture Clinical and radiographic evaluation is consistent with a left distal radial shaft fracture with disruption of the distal radioulnar joint, known as a galeazzi. • anatomic reduction of ulnar shaft fracture required for radial head reduction • assessment of radial head reduction after ulnar fixation • radiographic •. Explain the treatment and management options available for. Galeazzi fractures are uncommon. How To Reduce Galeazzi Fracture.
From musculoskeletalkey.com
Galeazzi Fracture Dislocations Musculoskeletal Key How To Reduce Galeazzi Fracture Describe the typical imaging findings associated with a galeazzi fracture. Galeazzi fractures are best treated with open reduction of the radius and the distal radioulnar joint (druj). A galeazzi fracture is a distal 1/3 radial shaft fracture with an associated distal radioulnar joint (druj) injury. Galeazzi fractures are uncommon type of forearm fractures. • anatomic reduction of ulnar shaft fracture. How To Reduce Galeazzi Fracture.
From www.reddit.com
Galeazzi Fracture r/Radiology How To Reduce Galeazzi Fracture A galeazzi fracture is a distal 1/3 radial shaft fracture with an associated distal radioulnar joint (druj) injury. Galeazzi fractures are uncommon type of forearm fractures. • anatomic reduction of ulnar shaft fracture required for radial head reduction • assessment of radial head reduction after ulnar fixation • radiographic •. Clinical and radiographic evaluation is consistent with a left distal. How To Reduce Galeazzi Fracture.
From www.pinterest.com.mx
Galeazzi Fracture Dislocation Radiología, Fracturas, Radiografia How To Reduce Galeazzi Fracture Galeazzi fractures are best treated with open reduction of the radius and the distal radioulnar joint (druj). Describe the typical imaging findings associated with a galeazzi fracture. • anatomic reduction of ulnar shaft fracture required for radial head reduction • assessment of radial head reduction after ulnar fixation • radiographic •. A galeazzi fracture is a distal 1/3 radial shaft. How To Reduce Galeazzi Fracture.
From www.semanticscholar.org
Figure 4 from galeazzi Fracture Semantic Scholar How To Reduce Galeazzi Fracture Clinical and radiographic evaluation is consistent with a left distal radial shaft fracture with disruption of the distal radioulnar joint, known as a galeazzi. Explain the treatment and management options available for. • anatomic reduction of ulnar shaft fracture required for radial head reduction • assessment of radial head reduction after ulnar fixation • radiographic •. Galeazzi fractures are best. How To Reduce Galeazzi Fracture.
From www.studypool.com
SOLUTION Galeazzi fracture painful arc syndrome Studypool How To Reduce Galeazzi Fracture Galeazzi fractures are uncommon type of forearm fractures. Galeazzi fractures are best treated with open reduction of the radius and the distal radioulnar joint (druj). Explain the treatment and management options available for. Clinical and radiographic evaluation is consistent with a left distal radial shaft fracture with disruption of the distal radioulnar joint, known as a galeazzi. A galeazzi fracture. How To Reduce Galeazzi Fracture.