Extension Type Supracondylar Fracture Orthobullets . Learn about the anatomy, classification, diagnosis and treatment of distal humerus fractures, including supracondylar fractures. The majority of nerve injuries associated with pediatric extension schf recover within 6 months without acute nerve decompression. Learn about the epidemiology, imaging, and treatment of supracondylar fractures in children, a common elbow injury from a fall. Find out the indications, techniques and complications. The gartland classification of supracondylar fractures of the humerus is based on the degree and direction of displacement, and the presence of intact cortex. Generalized swelling about the elbow could be present;. There are two types of supracondylar fractures:
from www.researchgate.net
Find out the indications, techniques and complications. Generalized swelling about the elbow could be present;. The majority of nerve injuries associated with pediatric extension schf recover within 6 months without acute nerve decompression. The gartland classification of supracondylar fractures of the humerus is based on the degree and direction of displacement, and the presence of intact cortex. Learn about the epidemiology, imaging, and treatment of supracondylar fractures in children, a common elbow injury from a fall. Learn about the anatomy, classification, diagnosis and treatment of distal humerus fractures, including supracondylar fractures. There are two types of supracondylar fractures:
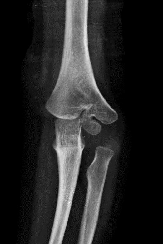
A sevenyearold boy with a PFPSpositive displaced extension type
Extension Type Supracondylar Fracture Orthobullets Find out the indications, techniques and complications. Generalized swelling about the elbow could be present;. The gartland classification of supracondylar fractures of the humerus is based on the degree and direction of displacement, and the presence of intact cortex. Find out the indications, techniques and complications. There are two types of supracondylar fractures: Learn about the epidemiology, imaging, and treatment of supracondylar fractures in children, a common elbow injury from a fall. Learn about the anatomy, classification, diagnosis and treatment of distal humerus fractures, including supracondylar fractures. The majority of nerve injuries associated with pediatric extension schf recover within 6 months without acute nerve decompression.
From www.semanticscholar.org
Figure 2 from Management of displaced extensiontype supracondylar Extension Type Supracondylar Fracture Orthobullets The gartland classification of supracondylar fractures of the humerus is based on the degree and direction of displacement, and the presence of intact cortex. Learn about the anatomy, classification, diagnosis and treatment of distal humerus fractures, including supracondylar fractures. Find out the indications, techniques and complications. Learn about the epidemiology, imaging, and treatment of supracondylar fractures in children, a common. Extension Type Supracondylar Fracture Orthobullets.
From www.researchgate.net
Displaced extension type supracondylar fracture humerus Download Extension Type Supracondylar Fracture Orthobullets The gartland classification of supracondylar fractures of the humerus is based on the degree and direction of displacement, and the presence of intact cortex. Learn about the anatomy, classification, diagnosis and treatment of distal humerus fractures, including supracondylar fractures. Learn about the epidemiology, imaging, and treatment of supracondylar fractures in children, a common elbow injury from a fall. There are. Extension Type Supracondylar Fracture Orthobullets.
From www.scirp.org
The Radial Nerve Entrapment in Pediatric ExtensionType Supracondylar Extension Type Supracondylar Fracture Orthobullets Generalized swelling about the elbow could be present;. Learn about the anatomy, classification, diagnosis and treatment of distal humerus fractures, including supracondylar fractures. Find out the indications, techniques and complications. Learn about the epidemiology, imaging, and treatment of supracondylar fractures in children, a common elbow injury from a fall. The gartland classification of supracondylar fractures of the humerus is based. Extension Type Supracondylar Fracture Orthobullets.
From www.orthobullets.com
Supracondylar Fracture Pediatric Pediatrics Orthobullets Extension Type Supracondylar Fracture Orthobullets Find out the indications, techniques and complications. The majority of nerve injuries associated with pediatric extension schf recover within 6 months without acute nerve decompression. Generalized swelling about the elbow could be present;. Learn about the epidemiology, imaging, and treatment of supracondylar fractures in children, a common elbow injury from a fall. There are two types of supracondylar fractures: The. Extension Type Supracondylar Fracture Orthobullets.
From www.orthobullets.com
Supracondylar Fracture Pediatric Pediatrics Orthobullets Extension Type Supracondylar Fracture Orthobullets Find out the indications, techniques and complications. There are two types of supracondylar fractures: Generalized swelling about the elbow could be present;. The gartland classification of supracondylar fractures of the humerus is based on the degree and direction of displacement, and the presence of intact cortex. Learn about the anatomy, classification, diagnosis and treatment of distal humerus fractures, including supracondylar. Extension Type Supracondylar Fracture Orthobullets.
From www.semanticscholar.org
Figure 3 from Management of displaced extensiontype supracondylar Extension Type Supracondylar Fracture Orthobullets There are two types of supracondylar fractures: Learn about the epidemiology, imaging, and treatment of supracondylar fractures in children, a common elbow injury from a fall. Find out the indications, techniques and complications. Generalized swelling about the elbow could be present;. The majority of nerve injuries associated with pediatric extension schf recover within 6 months without acute nerve decompression. Learn. Extension Type Supracondylar Fracture Orthobullets.
From www.semanticscholar.org
Figure 4 from The Reduction Maneuver for Pediatric Extension Type 3 Extension Type Supracondylar Fracture Orthobullets Learn about the anatomy, classification, diagnosis and treatment of distal humerus fractures, including supracondylar fractures. The majority of nerve injuries associated with pediatric extension schf recover within 6 months without acute nerve decompression. There are two types of supracondylar fractures: Find out the indications, techniques and complications. Generalized swelling about the elbow could be present;. Learn about the epidemiology, imaging,. Extension Type Supracondylar Fracture Orthobullets.
From www.orthobullets.com
Supracondylar Fracture Pediatric Pediatrics Orthobullets Extension Type Supracondylar Fracture Orthobullets There are two types of supracondylar fractures: Find out the indications, techniques and complications. Learn about the anatomy, classification, diagnosis and treatment of distal humerus fractures, including supracondylar fractures. Generalized swelling about the elbow could be present;. The majority of nerve injuries associated with pediatric extension schf recover within 6 months without acute nerve decompression. Learn about the epidemiology, imaging,. Extension Type Supracondylar Fracture Orthobullets.
From www.jposna.org
View of The Open Approach to a Supracondylar Humerus Fracture Journal Extension Type Supracondylar Fracture Orthobullets There are two types of supracondylar fractures: Find out the indications, techniques and complications. The majority of nerve injuries associated with pediatric extension schf recover within 6 months without acute nerve decompression. Generalized swelling about the elbow could be present;. The gartland classification of supracondylar fractures of the humerus is based on the degree and direction of displacement, and the. Extension Type Supracondylar Fracture Orthobullets.
From www.researchgate.net
A, B, E, F Two cases of extensiontype supracondylar fracture of the Extension Type Supracondylar Fracture Orthobullets The majority of nerve injuries associated with pediatric extension schf recover within 6 months without acute nerve decompression. Generalized swelling about the elbow could be present;. There are two types of supracondylar fractures: Find out the indications, techniques and complications. Learn about the anatomy, classification, diagnosis and treatment of distal humerus fractures, including supracondylar fractures. Learn about the epidemiology, imaging,. Extension Type Supracondylar Fracture Orthobullets.
From www.orthobullets.com
Supracondylar Fracture Pediatric Pediatrics Orthobullets Extension Type Supracondylar Fracture Orthobullets The gartland classification of supracondylar fractures of the humerus is based on the degree and direction of displacement, and the presence of intact cortex. Learn about the epidemiology, imaging, and treatment of supracondylar fractures in children, a common elbow injury from a fall. Learn about the anatomy, classification, diagnosis and treatment of distal humerus fractures, including supracondylar fractures. Find out. Extension Type Supracondylar Fracture Orthobullets.
From coreem.net
Pediatric Supracondylar Fractures Core EM Extension Type Supracondylar Fracture Orthobullets The majority of nerve injuries associated with pediatric extension schf recover within 6 months without acute nerve decompression. The gartland classification of supracondylar fractures of the humerus is based on the degree and direction of displacement, and the presence of intact cortex. Learn about the epidemiology, imaging, and treatment of supracondylar fractures in children, a common elbow injury from a. Extension Type Supracondylar Fracture Orthobullets.
From radiopaedia.org
Image Extension Type Supracondylar Fracture Orthobullets Learn about the epidemiology, imaging, and treatment of supracondylar fractures in children, a common elbow injury from a fall. There are two types of supracondylar fractures: Learn about the anatomy, classification, diagnosis and treatment of distal humerus fractures, including supracondylar fractures. Find out the indications, techniques and complications. Generalized swelling about the elbow could be present;. The gartland classification of. Extension Type Supracondylar Fracture Orthobullets.
From www.cureus.com
Cureus Surgical Management of Flexion Type Supracondylar Humeral Extension Type Supracondylar Fracture Orthobullets Find out the indications, techniques and complications. The gartland classification of supracondylar fractures of the humerus is based on the degree and direction of displacement, and the presence of intact cortex. Learn about the anatomy, classification, diagnosis and treatment of distal humerus fractures, including supracondylar fractures. There are two types of supracondylar fractures: Learn about the epidemiology, imaging, and treatment. Extension Type Supracondylar Fracture Orthobullets.
From www.slideshare.net
Supracondylar fractures in_children Extension Type Supracondylar Fracture Orthobullets Learn about the epidemiology, imaging, and treatment of supracondylar fractures in children, a common elbow injury from a fall. Generalized swelling about the elbow could be present;. The gartland classification of supracondylar fractures of the humerus is based on the degree and direction of displacement, and the presence of intact cortex. There are two types of supracondylar fractures: Find out. Extension Type Supracondylar Fracture Orthobullets.
From www.researchgate.net
A sevenyearold boy with a PFPSpositive displaced extension type Extension Type Supracondylar Fracture Orthobullets The majority of nerve injuries associated with pediatric extension schf recover within 6 months without acute nerve decompression. The gartland classification of supracondylar fractures of the humerus is based on the degree and direction of displacement, and the presence of intact cortex. Generalized swelling about the elbow could be present;. Learn about the anatomy, classification, diagnosis and treatment of distal. Extension Type Supracondylar Fracture Orthobullets.
From www.orthobullets.com
Supracondylar Fracture Pediatric Pediatrics Orthobullets Extension Type Supracondylar Fracture Orthobullets Learn about the anatomy, classification, diagnosis and treatment of distal humerus fractures, including supracondylar fractures. The majority of nerve injuries associated with pediatric extension schf recover within 6 months without acute nerve decompression. There are two types of supracondylar fractures: Learn about the epidemiology, imaging, and treatment of supracondylar fractures in children, a common elbow injury from a fall. The. Extension Type Supracondylar Fracture Orthobullets.
From www.orthobullets.com
Supracondylar Fracture Pediatric Pediatrics Orthobullets Extension Type Supracondylar Fracture Orthobullets Learn about the epidemiology, imaging, and treatment of supracondylar fractures in children, a common elbow injury from a fall. Generalized swelling about the elbow could be present;. There are two types of supracondylar fractures: Find out the indications, techniques and complications. The gartland classification of supracondylar fractures of the humerus is based on the degree and direction of displacement, and. Extension Type Supracondylar Fracture Orthobullets.
From www.semanticscholar.org
Figure 2 from The Reduction Maneuver for Pediatric Extension Type 3 Extension Type Supracondylar Fracture Orthobullets Generalized swelling about the elbow could be present;. There are two types of supracondylar fractures: Learn about the anatomy, classification, diagnosis and treatment of distal humerus fractures, including supracondylar fractures. Find out the indications, techniques and complications. Learn about the epidemiology, imaging, and treatment of supracondylar fractures in children, a common elbow injury from a fall. The majority of nerve. Extension Type Supracondylar Fracture Orthobullets.
From www.orthobullets.com
Supracondylar Fracture Pediatric Pediatrics Extension Type Supracondylar Fracture Orthobullets Find out the indications, techniques and complications. Learn about the anatomy, classification, diagnosis and treatment of distal humerus fractures, including supracondylar fractures. The majority of nerve injuries associated with pediatric extension schf recover within 6 months without acute nerve decompression. Learn about the epidemiology, imaging, and treatment of supracondylar fractures in children, a common elbow injury from a fall. Generalized. Extension Type Supracondylar Fracture Orthobullets.
From ar.inspiredpencil.com
Supracondylar Fracture Types Extension Type Supracondylar Fracture Orthobullets Generalized swelling about the elbow could be present;. There are two types of supracondylar fractures: Learn about the anatomy, classification, diagnosis and treatment of distal humerus fractures, including supracondylar fractures. The gartland classification of supracondylar fractures of the humerus is based on the degree and direction of displacement, and the presence of intact cortex. Find out the indications, techniques and. Extension Type Supracondylar Fracture Orthobullets.
From coreem.net
Pediatric Supracondylar Fractures Core EM Extension Type Supracondylar Fracture Orthobullets Find out the indications, techniques and complications. The gartland classification of supracondylar fractures of the humerus is based on the degree and direction of displacement, and the presence of intact cortex. Generalized swelling about the elbow could be present;. There are two types of supracondylar fractures: Learn about the epidemiology, imaging, and treatment of supracondylar fractures in children, a common. Extension Type Supracondylar Fracture Orthobullets.
From www.wikiradiography.net
Imaging Supracondylar Fractures of the Humerus wikiRadiography Extension Type Supracondylar Fracture Orthobullets There are two types of supracondylar fractures: Find out the indications, techniques and complications. The majority of nerve injuries associated with pediatric extension schf recover within 6 months without acute nerve decompression. The gartland classification of supracondylar fractures of the humerus is based on the degree and direction of displacement, and the presence of intact cortex. Learn about the epidemiology,. Extension Type Supracondylar Fracture Orthobullets.
From radiopaedia.org
Supracondylar fracture Image Extension Type Supracondylar Fracture Orthobullets Learn about the epidemiology, imaging, and treatment of supracondylar fractures in children, a common elbow injury from a fall. The majority of nerve injuries associated with pediatric extension schf recover within 6 months without acute nerve decompression. Find out the indications, techniques and complications. Learn about the anatomy, classification, diagnosis and treatment of distal humerus fractures, including supracondylar fractures. There. Extension Type Supracondylar Fracture Orthobullets.
From www.cureus.com
Cureus Role of the Posterior Fat Pad Sign in Treating Displaced Extension Type Supracondylar Fracture Orthobullets Find out the indications, techniques and complications. The majority of nerve injuries associated with pediatric extension schf recover within 6 months without acute nerve decompression. Generalized swelling about the elbow could be present;. The gartland classification of supracondylar fractures of the humerus is based on the degree and direction of displacement, and the presence of intact cortex. Learn about the. Extension Type Supracondylar Fracture Orthobullets.
From slidetodoc.com
Trauma Radiography Dr Hammad N A Qadi Fractures Extension Type Supracondylar Fracture Orthobullets Learn about the anatomy, classification, diagnosis and treatment of distal humerus fractures, including supracondylar fractures. Find out the indications, techniques and complications. There are two types of supracondylar fractures: The gartland classification of supracondylar fractures of the humerus is based on the degree and direction of displacement, and the presence of intact cortex. Generalized swelling about the elbow could be. Extension Type Supracondylar Fracture Orthobullets.
From www.orthobullets.com
Supracondylar Fracture Pediatric Pediatrics Orthobullets Extension Type Supracondylar Fracture Orthobullets Generalized swelling about the elbow could be present;. The majority of nerve injuries associated with pediatric extension schf recover within 6 months without acute nerve decompression. There are two types of supracondylar fractures: The gartland classification of supracondylar fractures of the humerus is based on the degree and direction of displacement, and the presence of intact cortex. Learn about the. Extension Type Supracondylar Fracture Orthobullets.
From www.orthobullets.com
Supracondylar Fracture Pediatric Pediatrics Orthobullets Extension Type Supracondylar Fracture Orthobullets The gartland classification of supracondylar fractures of the humerus is based on the degree and direction of displacement, and the presence of intact cortex. Learn about the epidemiology, imaging, and treatment of supracondylar fractures in children, a common elbow injury from a fall. Generalized swelling about the elbow could be present;. There are two types of supracondylar fractures: Find out. Extension Type Supracondylar Fracture Orthobullets.
From www.orthobullets.com
Supracondylar Fracture Pediatric Pediatrics Orthobullets Extension Type Supracondylar Fracture Orthobullets The gartland classification of supracondylar fractures of the humerus is based on the degree and direction of displacement, and the presence of intact cortex. Learn about the anatomy, classification, diagnosis and treatment of distal humerus fractures, including supracondylar fractures. There are two types of supracondylar fractures: Find out the indications, techniques and complications. Generalized swelling about the elbow could be. Extension Type Supracondylar Fracture Orthobullets.
From radiopaedia.org
Supracondylar fracture adult Image Extension Type Supracondylar Fracture Orthobullets Learn about the epidemiology, imaging, and treatment of supracondylar fractures in children, a common elbow injury from a fall. The majority of nerve injuries associated with pediatric extension schf recover within 6 months without acute nerve decompression. Find out the indications, techniques and complications. Learn about the anatomy, classification, diagnosis and treatment of distal humerus fractures, including supracondylar fractures. There. Extension Type Supracondylar Fracture Orthobullets.
From www.orthobullets.com
Supracondylar Fracture Pediatric Pediatrics Orthobullets Extension Type Supracondylar Fracture Orthobullets The gartland classification of supracondylar fractures of the humerus is based on the degree and direction of displacement, and the presence of intact cortex. Generalized swelling about the elbow could be present;. Learn about the anatomy, classification, diagnosis and treatment of distal humerus fractures, including supracondylar fractures. Find out the indications, techniques and complications. The majority of nerve injuries associated. Extension Type Supracondylar Fracture Orthobullets.
From www.pinterest.com
Gartland Classification Of Supracondylar Fracture Humerus fracture Extension Type Supracondylar Fracture Orthobullets The majority of nerve injuries associated with pediatric extension schf recover within 6 months without acute nerve decompression. Find out the indications, techniques and complications. Generalized swelling about the elbow could be present;. Learn about the anatomy, classification, diagnosis and treatment of distal humerus fractures, including supracondylar fractures. There are two types of supracondylar fractures: Learn about the epidemiology, imaging,. Extension Type Supracondylar Fracture Orthobullets.
From www.orthobullets.com
Supracondylar Fracture Pediatric Pediatrics Orthobullets Extension Type Supracondylar Fracture Orthobullets There are two types of supracondylar fractures: The majority of nerve injuries associated with pediatric extension schf recover within 6 months without acute nerve decompression. Learn about the anatomy, classification, diagnosis and treatment of distal humerus fractures, including supracondylar fractures. The gartland classification of supracondylar fractures of the humerus is based on the degree and direction of displacement, and the. Extension Type Supracondylar Fracture Orthobullets.
From vsseh.com
Supracondylar Fractures Verpleegkundig specialisten Spoedeisende hulp Extension Type Supracondylar Fracture Orthobullets The gartland classification of supracondylar fractures of the humerus is based on the degree and direction of displacement, and the presence of intact cortex. Generalized swelling about the elbow could be present;. Learn about the anatomy, classification, diagnosis and treatment of distal humerus fractures, including supracondylar fractures. Learn about the epidemiology, imaging, and treatment of supracondylar fractures in children, a. Extension Type Supracondylar Fracture Orthobullets.
From www.orthobullets.com
Supracondylar Fracture Pediatric Pediatrics Orthobullets Extension Type Supracondylar Fracture Orthobullets The majority of nerve injuries associated with pediatric extension schf recover within 6 months without acute nerve decompression. Generalized swelling about the elbow could be present;. Learn about the epidemiology, imaging, and treatment of supracondylar fractures in children, a common elbow injury from a fall. Learn about the anatomy, classification, diagnosis and treatment of distal humerus fractures, including supracondylar fractures.. Extension Type Supracondylar Fracture Orthobullets.