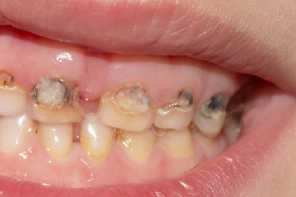
Dental Necrosis Symptoms . This can lead to other oral health issues if not treated promptly. Pulp necrosis refers to the death of the dental pulp, a vital part of the tooth composed of nerves, blood vessels, and connective tissue. Signs and symptoms of dental pulp necrosis reversible pulpitis shows up as pain when biting down and a sensitivity to food and liquid that is hot, cold, or sweet. Extreme, constant pain is often an indication that the pulpitis has progressed to the irreversible stage. When you have dental (oral) diseases, the pulp can be affected and eventually die off. The common symptoms of pulp necrosis include toothache, sensitivity to hot. What are the common symptoms of pulp necrosis? Pulp necrosis can manifest through various symptoms, some of which may initially be subtle.
from mavink.com
Extreme, constant pain is often an indication that the pulpitis has progressed to the irreversible stage. The common symptoms of pulp necrosis include toothache, sensitivity to hot. Pulp necrosis can manifest through various symptoms, some of which may initially be subtle. What are the common symptoms of pulp necrosis? Signs and symptoms of dental pulp necrosis reversible pulpitis shows up as pain when biting down and a sensitivity to food and liquid that is hot, cold, or sweet. This can lead to other oral health issues if not treated promptly. Pulp necrosis refers to the death of the dental pulp, a vital part of the tooth composed of nerves, blood vessels, and connective tissue. When you have dental (oral) diseases, the pulp can be affected and eventually die off.
Necrotizing Periodontal Disease
Dental Necrosis Symptoms Signs and symptoms of dental pulp necrosis reversible pulpitis shows up as pain when biting down and a sensitivity to food and liquid that is hot, cold, or sweet. Signs and symptoms of dental pulp necrosis reversible pulpitis shows up as pain when biting down and a sensitivity to food and liquid that is hot, cold, or sweet. Pulp necrosis refers to the death of the dental pulp, a vital part of the tooth composed of nerves, blood vessels, and connective tissue. What are the common symptoms of pulp necrosis? The common symptoms of pulp necrosis include toothache, sensitivity to hot. Extreme, constant pain is often an indication that the pulpitis has progressed to the irreversible stage. When you have dental (oral) diseases, the pulp can be affected and eventually die off. Pulp necrosis can manifest through various symptoms, some of which may initially be subtle. This can lead to other oral health issues if not treated promptly.
From secure.dentistry.ubc.ca
Necrosis Diagnosis Dental Necrosis Symptoms The common symptoms of pulp necrosis include toothache, sensitivity to hot. Signs and symptoms of dental pulp necrosis reversible pulpitis shows up as pain when biting down and a sensitivity to food and liquid that is hot, cold, or sweet. When you have dental (oral) diseases, the pulp can be affected and eventually die off. Pulp necrosis refers to the. Dental Necrosis Symptoms.
From www.frontiersin.org
Frontiers Necrotizing periodontal disease in a nutritionally Dental Necrosis Symptoms The common symptoms of pulp necrosis include toothache, sensitivity to hot. What are the common symptoms of pulp necrosis? Extreme, constant pain is often an indication that the pulpitis has progressed to the irreversible stage. This can lead to other oral health issues if not treated promptly. When you have dental (oral) diseases, the pulp can be affected and eventually. Dental Necrosis Symptoms.
From www.dentix.co
Todo lo que debes saber de la necrosis dental Dental Necrosis Symptoms Signs and symptoms of dental pulp necrosis reversible pulpitis shows up as pain when biting down and a sensitivity to food and liquid that is hot, cold, or sweet. Pulp necrosis refers to the death of the dental pulp, a vital part of the tooth composed of nerves, blood vessels, and connective tissue. Extreme, constant pain is often an indication. Dental Necrosis Symptoms.
From www.clinicadentalbarcelona.com
Necrosis pulpar Causas y consecuencias Dental Necrosis Symptoms Signs and symptoms of dental pulp necrosis reversible pulpitis shows up as pain when biting down and a sensitivity to food and liquid that is hot, cold, or sweet. When you have dental (oral) diseases, the pulp can be affected and eventually die off. This can lead to other oral health issues if not treated promptly. Extreme, constant pain is. Dental Necrosis Symptoms.
From www.jomos.org
Avascular necrosis of the jaw resulting from sickle cell disease Dental Necrosis Symptoms Pulp necrosis can manifest through various symptoms, some of which may initially be subtle. This can lead to other oral health issues if not treated promptly. Signs and symptoms of dental pulp necrosis reversible pulpitis shows up as pain when biting down and a sensitivity to food and liquid that is hot, cold, or sweet. What are the common symptoms. Dental Necrosis Symptoms.
From www.beladent.cl
Necrosis dental causas, síntomas y tratamientos Clínica Dental Beladent Dental Necrosis Symptoms What are the common symptoms of pulp necrosis? When you have dental (oral) diseases, the pulp can be affected and eventually die off. Pulp necrosis can manifest through various symptoms, some of which may initially be subtle. Extreme, constant pain is often an indication that the pulpitis has progressed to the irreversible stage. This can lead to other oral health. Dental Necrosis Symptoms.
From pocketdentistry.com
Oral Pathology and Oral Medicine Pocket Dentistry Dental Necrosis Symptoms Signs and symptoms of dental pulp necrosis reversible pulpitis shows up as pain when biting down and a sensitivity to food and liquid that is hot, cold, or sweet. Extreme, constant pain is often an indication that the pulpitis has progressed to the irreversible stage. Pulp necrosis can manifest through various symptoms, some of which may initially be subtle. This. Dental Necrosis Symptoms.
From endodontics.styleitaliano.org
Partial Necrosis of a Root Canal System Style Italiano Endodontics Dental Necrosis Symptoms This can lead to other oral health issues if not treated promptly. What are the common symptoms of pulp necrosis? When you have dental (oral) diseases, the pulp can be affected and eventually die off. Pulp necrosis refers to the death of the dental pulp, a vital part of the tooth composed of nerves, blood vessels, and connective tissue. Pulp. Dental Necrosis Symptoms.
From www.mgc.es
Qué es y cómo se trata la necrosis dental MGC Mutua Dental Necrosis Symptoms Extreme, constant pain is often an indication that the pulpitis has progressed to the irreversible stage. Pulp necrosis refers to the death of the dental pulp, a vital part of the tooth composed of nerves, blood vessels, and connective tissue. Signs and symptoms of dental pulp necrosis reversible pulpitis shows up as pain when biting down and a sensitivity to. Dental Necrosis Symptoms.
From www.goconqr.com
PATOLOGIA BUCAL Conjunto de Fichas Dental Necrosis Symptoms What are the common symptoms of pulp necrosis? Pulp necrosis can manifest through various symptoms, some of which may initially be subtle. The common symptoms of pulp necrosis include toothache, sensitivity to hot. Extreme, constant pain is often an indication that the pulpitis has progressed to the irreversible stage. When you have dental (oral) diseases, the pulp can be affected. Dental Necrosis Symptoms.
From issuu.com
What is Pulp Necrosis? by The Dentist Houston Issuu Dental Necrosis Symptoms Signs and symptoms of dental pulp necrosis reversible pulpitis shows up as pain when biting down and a sensitivity to food and liquid that is hot, cold, or sweet. When you have dental (oral) diseases, the pulp can be affected and eventually die off. Extreme, constant pain is often an indication that the pulpitis has progressed to the irreversible stage.. Dental Necrosis Symptoms.
From clinicadentaldrmestres.com
¿Qué es Necrosis Dental y Que Soluciones hay? Clínica Mestres Dental Necrosis Symptoms Signs and symptoms of dental pulp necrosis reversible pulpitis shows up as pain when biting down and a sensitivity to food and liquid that is hot, cold, or sweet. Pulp necrosis refers to the death of the dental pulp, a vital part of the tooth composed of nerves, blood vessels, and connective tissue. Pulp necrosis can manifest through various symptoms,. Dental Necrosis Symptoms.
From www.clinicamourinsalud.com
¿Qué es la necrosis dental? y soluciones Dental Necrosis Symptoms The common symptoms of pulp necrosis include toothache, sensitivity to hot. Pulp necrosis can manifest through various symptoms, some of which may initially be subtle. This can lead to other oral health issues if not treated promptly. What are the common symptoms of pulp necrosis? When you have dental (oral) diseases, the pulp can be affected and eventually die off.. Dental Necrosis Symptoms.
From jalees.7awi.com
What are the signs for each type of necrosis? Jalees Dental Necrosis Symptoms Pulp necrosis can manifest through various symptoms, some of which may initially be subtle. Extreme, constant pain is often an indication that the pulpitis has progressed to the irreversible stage. When you have dental (oral) diseases, the pulp can be affected and eventually die off. Pulp necrosis refers to the death of the dental pulp, a vital part of the. Dental Necrosis Symptoms.
From bocabocadental.com
En qué consiste la necrosis dental y como tratarla Boca a Boca Dental Necrosis Symptoms Pulp necrosis can manifest through various symptoms, some of which may initially be subtle. Pulp necrosis refers to the death of the dental pulp, a vital part of the tooth composed of nerves, blood vessels, and connective tissue. The common symptoms of pulp necrosis include toothache, sensitivity to hot. What are the common symptoms of pulp necrosis? This can lead. Dental Necrosis Symptoms.
From www.clinicadentallasnieves.com
¿Qué es la necrosis dental? Clínica dental Las Nieves Dental Necrosis Symptoms Extreme, constant pain is often an indication that the pulpitis has progressed to the irreversible stage. When you have dental (oral) diseases, the pulp can be affected and eventually die off. This can lead to other oral health issues if not treated promptly. What are the common symptoms of pulp necrosis? Pulp necrosis can manifest through various symptoms, some of. Dental Necrosis Symptoms.
From mavink.com
Necrotizing Periodontal Disease Dental Necrosis Symptoms Pulp necrosis can manifest through various symptoms, some of which may initially be subtle. Pulp necrosis refers to the death of the dental pulp, a vital part of the tooth composed of nerves, blood vessels, and connective tissue. What are the common symptoms of pulp necrosis? The common symptoms of pulp necrosis include toothache, sensitivity to hot. Extreme, constant pain. Dental Necrosis Symptoms.
From www.odontovida.com
¿Qué es la Necrosis pulpar? ¿Cuáles son sus consecuencias? OdontoVida Dental Necrosis Symptoms What are the common symptoms of pulp necrosis? Extreme, constant pain is often an indication that the pulpitis has progressed to the irreversible stage. This can lead to other oral health issues if not treated promptly. The common symptoms of pulp necrosis include toothache, sensitivity to hot. Pulp necrosis can manifest through various symptoms, some of which may initially be. Dental Necrosis Symptoms.
From secure.dentistry.ubc.ca
Necrosis Differential Diagnostics Dental Necrosis Symptoms What are the common symptoms of pulp necrosis? The common symptoms of pulp necrosis include toothache, sensitivity to hot. Signs and symptoms of dental pulp necrosis reversible pulpitis shows up as pain when biting down and a sensitivity to food and liquid that is hot, cold, or sweet. Pulp necrosis can manifest through various symptoms, some of which may initially. Dental Necrosis Symptoms.
From medyclinic.es
¿Qué es la necrosis dental? Medyclinic Dental Necrosis Symptoms Pulp necrosis refers to the death of the dental pulp, a vital part of the tooth composed of nerves, blood vessels, and connective tissue. What are the common symptoms of pulp necrosis? When you have dental (oral) diseases, the pulp can be affected and eventually die off. This can lead to other oral health issues if not treated promptly. Signs. Dental Necrosis Symptoms.
From mejorconsalud.as.com
Necrosis pulpar ¿en qué consiste? Mejor con Salud Dental Necrosis Symptoms Signs and symptoms of dental pulp necrosis reversible pulpitis shows up as pain when biting down and a sensitivity to food and liquid that is hot, cold, or sweet. This can lead to other oral health issues if not treated promptly. Pulp necrosis refers to the death of the dental pulp, a vital part of the tooth composed of nerves,. Dental Necrosis Symptoms.
From www.studiodentisticocozzolino.it
Necrosi dentale cos'è, cause e cure Dental Necrosis Symptoms Extreme, constant pain is often an indication that the pulpitis has progressed to the irreversible stage. When you have dental (oral) diseases, the pulp can be affected and eventually die off. Pulp necrosis can manifest through various symptoms, some of which may initially be subtle. The common symptoms of pulp necrosis include toothache, sensitivity to hot. Pulp necrosis refers to. Dental Necrosis Symptoms.
From dentagama.com
Trench mouth acute necrotizing ulcerative gingivitis (ANUG) News Dental Necrosis Symptoms When you have dental (oral) diseases, the pulp can be affected and eventually die off. Pulp necrosis can manifest through various symptoms, some of which may initially be subtle. Extreme, constant pain is often an indication that the pulpitis has progressed to the irreversible stage. This can lead to other oral health issues if not treated promptly. Pulp necrosis refers. Dental Necrosis Symptoms.
From www.querzo.com
Necrosi dentale sintomi cause e cura per il dente morto Dental Necrosis Symptoms The common symptoms of pulp necrosis include toothache, sensitivity to hot. Pulp necrosis refers to the death of the dental pulp, a vital part of the tooth composed of nerves, blood vessels, and connective tissue. Pulp necrosis can manifest through various symptoms, some of which may initially be subtle. This can lead to other oral health issues if not treated. Dental Necrosis Symptoms.
From dentalhealthsociety.com
Dental Pulp Necrosis Dental Health Society Dental Necrosis Symptoms What are the common symptoms of pulp necrosis? This can lead to other oral health issues if not treated promptly. Pulp necrosis can manifest through various symptoms, some of which may initially be subtle. Extreme, constant pain is often an indication that the pulpitis has progressed to the irreversible stage. Signs and symptoms of dental pulp necrosis reversible pulpitis shows. Dental Necrosis Symptoms.
From www.semanticscholar.org
Oral ulceration with mandibular necrosis. Semantic Scholar Dental Necrosis Symptoms Extreme, constant pain is often an indication that the pulpitis has progressed to the irreversible stage. What are the common symptoms of pulp necrosis? Signs and symptoms of dental pulp necrosis reversible pulpitis shows up as pain when biting down and a sensitivity to food and liquid that is hot, cold, or sweet. This can lead to other oral health. Dental Necrosis Symptoms.
From www.oooojournal.net
Severe tissue necrosis following intraarterial injection of endodontic Dental Necrosis Symptoms The common symptoms of pulp necrosis include toothache, sensitivity to hot. Extreme, constant pain is often an indication that the pulpitis has progressed to the irreversible stage. Pulp necrosis can manifest through various symptoms, some of which may initially be subtle. Pulp necrosis refers to the death of the dental pulp, a vital part of the tooth composed of nerves,. Dental Necrosis Symptoms.
From clinicaqueralto.com
Qué es la necrosis dental y cómo solucionarla. J. Queraltó Dental Necrosis Symptoms Extreme, constant pain is often an indication that the pulpitis has progressed to the irreversible stage. When you have dental (oral) diseases, the pulp can be affected and eventually die off. What are the common symptoms of pulp necrosis? Pulp necrosis can manifest through various symptoms, some of which may initially be subtle. Pulp necrosis refers to the death of. Dental Necrosis Symptoms.
From www.healthline.com
Pulp Necrosis Symptoms, Tests, Causes, Risks, and Treatments Dental Necrosis Symptoms When you have dental (oral) diseases, the pulp can be affected and eventually die off. The common symptoms of pulp necrosis include toothache, sensitivity to hot. Pulp necrosis can manifest through various symptoms, some of which may initially be subtle. This can lead to other oral health issues if not treated promptly. What are the common symptoms of pulp necrosis?. Dental Necrosis Symptoms.
From www.odontovida.com
Necrosis pulpar y traumatismos en dentición temporal OdontoVida Dental Necrosis Symptoms Extreme, constant pain is often an indication that the pulpitis has progressed to the irreversible stage. Pulp necrosis refers to the death of the dental pulp, a vital part of the tooth composed of nerves, blood vessels, and connective tissue. When you have dental (oral) diseases, the pulp can be affected and eventually die off. This can lead to other. Dental Necrosis Symptoms.
From www.youtube.com
Necrosis dental Causas, síntomas y tratamientos para aliviar el dolor Dental Necrosis Symptoms Pulp necrosis refers to the death of the dental pulp, a vital part of the tooth composed of nerves, blood vessels, and connective tissue. When you have dental (oral) diseases, the pulp can be affected and eventually die off. What are the common symptoms of pulp necrosis? Pulp necrosis can manifest through various symptoms, some of which may initially be. Dental Necrosis Symptoms.
From dentalhealthsociety.com
Dental Pulp Necrosis Dental Health Society Dental Necrosis Symptoms Signs and symptoms of dental pulp necrosis reversible pulpitis shows up as pain when biting down and a sensitivity to food and liquid that is hot, cold, or sweet. Extreme, constant pain is often an indication that the pulpitis has progressed to the irreversible stage. Pulp necrosis can manifest through various symptoms, some of which may initially be subtle. This. Dental Necrosis Symptoms.
From clinicadentalroma.es
Necrosis pulpar periodontitis apical aguda Tu clínica en Madrid Dental Necrosis Symptoms Signs and symptoms of dental pulp necrosis reversible pulpitis shows up as pain when biting down and a sensitivity to food and liquid that is hot, cold, or sweet. Extreme, constant pain is often an indication that the pulpitis has progressed to the irreversible stage. What are the common symptoms of pulp necrosis? Pulp necrosis refers to the death of. Dental Necrosis Symptoms.
From mavink.com
Osteonecrosis Of The Jaw Symptoms Dental Necrosis Symptoms Pulp necrosis refers to the death of the dental pulp, a vital part of the tooth composed of nerves, blood vessels, and connective tissue. Signs and symptoms of dental pulp necrosis reversible pulpitis shows up as pain when biting down and a sensitivity to food and liquid that is hot, cold, or sweet. Extreme, constant pain is often an indication. Dental Necrosis Symptoms.
From www.dentalnotebook.com
Acute Necrotising Ulcerative Gingivitis (ANUG) dentalnotebook Dental Necrosis Symptoms Pulp necrosis refers to the death of the dental pulp, a vital part of the tooth composed of nerves, blood vessels, and connective tissue. This can lead to other oral health issues if not treated promptly. Extreme, constant pain is often an indication that the pulpitis has progressed to the irreversible stage. Pulp necrosis can manifest through various symptoms, some. Dental Necrosis Symptoms.