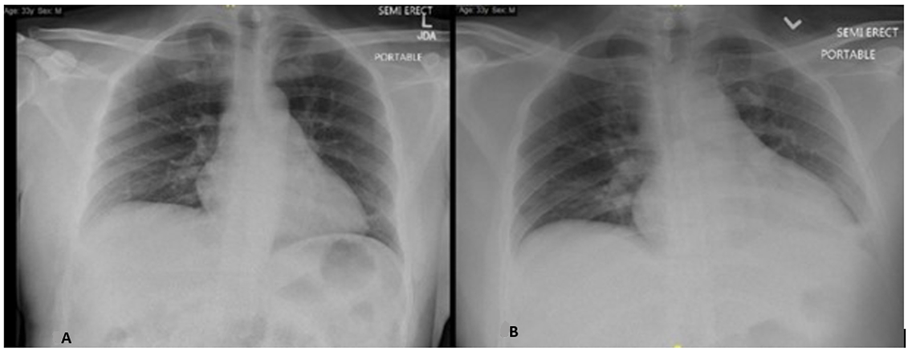
Can A Chest X-Ray Show Myocarditis . a typical appearance of myocarditis on mri in the correct clinical setting may obviate biopsy. chest radiography is considered usually appropriate in the setting of chest pain in patients with low to intermediate probability. Will often be normal in myocarditis, but it may show features consistent with heart failure. myocarditis is usually suspected based on the patient's story and physical exam.
from mavink.com
chest radiography is considered usually appropriate in the setting of chest pain in patients with low to intermediate probability. Will often be normal in myocarditis, but it may show features consistent with heart failure. a typical appearance of myocarditis on mri in the correct clinical setting may obviate biopsy. myocarditis is usually suspected based on the patient's story and physical exam.
Myocarditis Chest X Ray
Can A Chest X-Ray Show Myocarditis myocarditis is usually suspected based on the patient's story and physical exam. Will often be normal in myocarditis, but it may show features consistent with heart failure. chest radiography is considered usually appropriate in the setting of chest pain in patients with low to intermediate probability. a typical appearance of myocarditis on mri in the correct clinical setting may obviate biopsy. myocarditis is usually suspected based on the patient's story and physical exam.
From exooknfau.blob.core.windows.net
What Diseases Does A Chest X Ray Show at Harold Callaway blog Can A Chest X-Ray Show Myocarditis chest radiography is considered usually appropriate in the setting of chest pain in patients with low to intermediate probability. a typical appearance of myocarditis on mri in the correct clinical setting may obviate biopsy. Will often be normal in myocarditis, but it may show features consistent with heart failure. myocarditis is usually suspected based on the patient's. Can A Chest X-Ray Show Myocarditis.
From www.ahajournals.org
Myocarditis and Sudden Cardiac Death in the Young Circulation Can A Chest X-Ray Show Myocarditis a typical appearance of myocarditis on mri in the correct clinical setting may obviate biopsy. myocarditis is usually suspected based on the patient's story and physical exam. Will often be normal in myocarditis, but it may show features consistent with heart failure. chest radiography is considered usually appropriate in the setting of chest pain in patients with. Can A Chest X-Ray Show Myocarditis.
From www.slideserve.com
PPT Inflammatory Disorders PowerPoint Presentation, free download Can A Chest X-Ray Show Myocarditis myocarditis is usually suspected based on the patient's story and physical exam. a typical appearance of myocarditis on mri in the correct clinical setting may obviate biopsy. chest radiography is considered usually appropriate in the setting of chest pain in patients with low to intermediate probability. Will often be normal in myocarditis, but it may show features. Can A Chest X-Ray Show Myocarditis.
From www.researchgate.net
The chest CT scan of a 19yearold male diagnosed with fulminant Can A Chest X-Ray Show Myocarditis myocarditis is usually suspected based on the patient's story and physical exam. Will often be normal in myocarditis, but it may show features consistent with heart failure. chest radiography is considered usually appropriate in the setting of chest pain in patients with low to intermediate probability. a typical appearance of myocarditis on mri in the correct clinical. Can A Chest X-Ray Show Myocarditis.
From www.ahajournals.org
Acute Myocarditis Demonstrated on CT Coronary Angiography With MRI Can A Chest X-Ray Show Myocarditis a typical appearance of myocarditis on mri in the correct clinical setting may obviate biopsy. chest radiography is considered usually appropriate in the setting of chest pain in patients with low to intermediate probability. myocarditis is usually suspected based on the patient's story and physical exam. Will often be normal in myocarditis, but it may show features. Can A Chest X-Ray Show Myocarditis.
From www.alamy.com
Enlarged heart. Chest Xray of the enlarged heart (cardiomegaly, blue Can A Chest X-Ray Show Myocarditis a typical appearance of myocarditis on mri in the correct clinical setting may obviate biopsy. Will often be normal in myocarditis, but it may show features consistent with heart failure. chest radiography is considered usually appropriate in the setting of chest pain in patients with low to intermediate probability. myocarditis is usually suspected based on the patient's. Can A Chest X-Ray Show Myocarditis.
From www.jacc.org
JACC Patient Pathways Interactive Timeline Myocarditis Can A Chest X-Ray Show Myocarditis Will often be normal in myocarditis, but it may show features consistent with heart failure. myocarditis is usually suspected based on the patient's story and physical exam. chest radiography is considered usually appropriate in the setting of chest pain in patients with low to intermediate probability. a typical appearance of myocarditis on mri in the correct clinical. Can A Chest X-Ray Show Myocarditis.
From www.cardiovasculardiseasehub.com
Can Chest Xrays Show Myocarditis? Can A Chest X-Ray Show Myocarditis Will often be normal in myocarditis, but it may show features consistent with heart failure. myocarditis is usually suspected based on the patient's story and physical exam. a typical appearance of myocarditis on mri in the correct clinical setting may obviate biopsy. chest radiography is considered usually appropriate in the setting of chest pain in patients with. Can A Chest X-Ray Show Myocarditis.
From www.cureus.com
A Case Report on an Underappreciated Cause of Heart Failure Chronic Can A Chest X-Ray Show Myocarditis chest radiography is considered usually appropriate in the setting of chest pain in patients with low to intermediate probability. Will often be normal in myocarditis, but it may show features consistent with heart failure. a typical appearance of myocarditis on mri in the correct clinical setting may obviate biopsy. myocarditis is usually suspected based on the patient's. Can A Chest X-Ray Show Myocarditis.
From www.pinterest.com
Learn how to review a chest Xray in a patient with chest pain... 👨🏽 Can A Chest X-Ray Show Myocarditis Will often be normal in myocarditis, but it may show features consistent with heart failure. a typical appearance of myocarditis on mri in the correct clinical setting may obviate biopsy. chest radiography is considered usually appropriate in the setting of chest pain in patients with low to intermediate probability. myocarditis is usually suspected based on the patient's. Can A Chest X-Ray Show Myocarditis.
From www.youtube.com
Diagnosis of myocarditis and pericarditis (part 2) YouTube Can A Chest X-Ray Show Myocarditis a typical appearance of myocarditis on mri in the correct clinical setting may obviate biopsy. myocarditis is usually suspected based on the patient's story and physical exam. Will often be normal in myocarditis, but it may show features consistent with heart failure. chest radiography is considered usually appropriate in the setting of chest pain in patients with. Can A Chest X-Ray Show Myocarditis.
From www.mdpi.com
Children Free FullText Diagnosis of Myocarditis in a Can A Chest X-Ray Show Myocarditis a typical appearance of myocarditis on mri in the correct clinical setting may obviate biopsy. chest radiography is considered usually appropriate in the setting of chest pain in patients with low to intermediate probability. Will often be normal in myocarditis, but it may show features consistent with heart failure. myocarditis is usually suspected based on the patient's. Can A Chest X-Ray Show Myocarditis.
From www.dreamstime.com
XRay Image of Healthy Chest Stock Image Image of myocarditis Can A Chest X-Ray Show Myocarditis a typical appearance of myocarditis on mri in the correct clinical setting may obviate biopsy. myocarditis is usually suspected based on the patient's story and physical exam. chest radiography is considered usually appropriate in the setting of chest pain in patients with low to intermediate probability. Will often be normal in myocarditis, but it may show features. Can A Chest X-Ray Show Myocarditis.
From www.cureus.com
Cureus Fulminant COVID19Associated Myocarditis in an Otherwise Can A Chest X-Ray Show Myocarditis myocarditis is usually suspected based on the patient's story and physical exam. chest radiography is considered usually appropriate in the setting of chest pain in patients with low to intermediate probability. Will often be normal in myocarditis, but it may show features consistent with heart failure. a typical appearance of myocarditis on mri in the correct clinical. Can A Chest X-Ray Show Myocarditis.
From cardiologyres.org
Diagnostic Approach to Myocarditis Mimicking Myocardial Infarction at Can A Chest X-Ray Show Myocarditis a typical appearance of myocarditis on mri in the correct clinical setting may obviate biopsy. myocarditis is usually suspected based on the patient's story and physical exam. chest radiography is considered usually appropriate in the setting of chest pain in patients with low to intermediate probability. Will often be normal in myocarditis, but it may show features. Can A Chest X-Ray Show Myocarditis.
From www.mdpi.com
JCDD Free FullText Long COVID19 Myocarditis and Various Heart Can A Chest X-Ray Show Myocarditis Will often be normal in myocarditis, but it may show features consistent with heart failure. myocarditis is usually suspected based on the patient's story and physical exam. a typical appearance of myocarditis on mri in the correct clinical setting may obviate biopsy. chest radiography is considered usually appropriate in the setting of chest pain in patients with. Can A Chest X-Ray Show Myocarditis.
From www.cureus.com
Cureus Myocarditis and Drug Rash With Eosinophilia and Systemic Can A Chest X-Ray Show Myocarditis Will often be normal in myocarditis, but it may show features consistent with heart failure. myocarditis is usually suspected based on the patient's story and physical exam. a typical appearance of myocarditis on mri in the correct clinical setting may obviate biopsy. chest radiography is considered usually appropriate in the setting of chest pain in patients with. Can A Chest X-Ray Show Myocarditis.
From www.researchgate.net
(PDF) Lupus myocarditisA rare case Can A Chest X-Ray Show Myocarditis Will often be normal in myocarditis, but it may show features consistent with heart failure. chest radiography is considered usually appropriate in the setting of chest pain in patients with low to intermediate probability. a typical appearance of myocarditis on mri in the correct clinical setting may obviate biopsy. myocarditis is usually suspected based on the patient's. Can A Chest X-Ray Show Myocarditis.
From mavink.com
Dilated Cardiomyopathy X Ray Can A Chest X-Ray Show Myocarditis myocarditis is usually suspected based on the patient's story and physical exam. a typical appearance of myocarditis on mri in the correct clinical setting may obviate biopsy. Will often be normal in myocarditis, but it may show features consistent with heart failure. chest radiography is considered usually appropriate in the setting of chest pain in patients with. Can A Chest X-Ray Show Myocarditis.
From link.springer.com
Acute respiratory distress syndrome and acute myocarditis developed in Can A Chest X-Ray Show Myocarditis a typical appearance of myocarditis on mri in the correct clinical setting may obviate biopsy. myocarditis is usually suspected based on the patient's story and physical exam. chest radiography is considered usually appropriate in the setting of chest pain in patients with low to intermediate probability. Will often be normal in myocarditis, but it may show features. Can A Chest X-Ray Show Myocarditis.
From slideplayer.com
CR 10 Myocarditis mimicking an acute coronary syndrome ppt download Can A Chest X-Ray Show Myocarditis chest radiography is considered usually appropriate in the setting of chest pain in patients with low to intermediate probability. a typical appearance of myocarditis on mri in the correct clinical setting may obviate biopsy. myocarditis is usually suspected based on the patient's story and physical exam. Will often be normal in myocarditis, but it may show features. Can A Chest X-Ray Show Myocarditis.
From www.researchgate.net
Myocarditis. Cardiac MRI of 2 COVID19 patients with chest pain and Can A Chest X-Ray Show Myocarditis chest radiography is considered usually appropriate in the setting of chest pain in patients with low to intermediate probability. Will often be normal in myocarditis, but it may show features consistent with heart failure. a typical appearance of myocarditis on mri in the correct clinical setting may obviate biopsy. myocarditis is usually suspected based on the patient's. Can A Chest X-Ray Show Myocarditis.
From myocarditis.support
How myocarditis can be diagnosed? Can A Chest X-Ray Show Myocarditis a typical appearance of myocarditis on mri in the correct clinical setting may obviate biopsy. Will often be normal in myocarditis, but it may show features consistent with heart failure. chest radiography is considered usually appropriate in the setting of chest pain in patients with low to intermediate probability. myocarditis is usually suspected based on the patient's. Can A Chest X-Ray Show Myocarditis.
From ylamsang.net
Save the life of a case of fulminant myocarditis in a 4monthold infant Can A Chest X-Ray Show Myocarditis myocarditis is usually suspected based on the patient's story and physical exam. Will often be normal in myocarditis, but it may show features consistent with heart failure. chest radiography is considered usually appropriate in the setting of chest pain in patients with low to intermediate probability. a typical appearance of myocarditis on mri in the correct clinical. Can A Chest X-Ray Show Myocarditis.
From www.cureus.com
Cureus A Case of Multifactorial Viral Myocarditis Can A Chest X-Ray Show Myocarditis myocarditis is usually suspected based on the patient's story and physical exam. Will often be normal in myocarditis, but it may show features consistent with heart failure. a typical appearance of myocarditis on mri in the correct clinical setting may obviate biopsy. chest radiography is considered usually appropriate in the setting of chest pain in patients with. Can A Chest X-Ray Show Myocarditis.
From pubs.sciepub.com
Myocarditis Associated With COVID19 Can A Chest X-Ray Show Myocarditis a typical appearance of myocarditis on mri in the correct clinical setting may obviate biopsy. Will often be normal in myocarditis, but it may show features consistent with heart failure. chest radiography is considered usually appropriate in the setting of chest pain in patients with low to intermediate probability. myocarditis is usually suspected based on the patient's. Can A Chest X-Ray Show Myocarditis.
From www.researchgate.net
Chest Xray at presentation. The anteroposterior chest Xray showed a Can A Chest X-Ray Show Myocarditis Will often be normal in myocarditis, but it may show features consistent with heart failure. chest radiography is considered usually appropriate in the setting of chest pain in patients with low to intermediate probability. a typical appearance of myocarditis on mri in the correct clinical setting may obviate biopsy. myocarditis is usually suspected based on the patient's. Can A Chest X-Ray Show Myocarditis.
From www.acc.org
Myocarditis in the Athlete American College of Cardiology Can A Chest X-Ray Show Myocarditis myocarditis is usually suspected based on the patient's story and physical exam. chest radiography is considered usually appropriate in the setting of chest pain in patients with low to intermediate probability. a typical appearance of myocarditis on mri in the correct clinical setting may obviate biopsy. Will often be normal in myocarditis, but it may show features. Can A Chest X-Ray Show Myocarditis.
From percebe-me.blogspot.com
Myocarditis Mri (PDF) MRI for myocarditis Severe myocarditis Can A Chest X-Ray Show Myocarditis a typical appearance of myocarditis on mri in the correct clinical setting may obviate biopsy. Will often be normal in myocarditis, but it may show features consistent with heart failure. chest radiography is considered usually appropriate in the setting of chest pain in patients with low to intermediate probability. myocarditis is usually suspected based on the patient's. Can A Chest X-Ray Show Myocarditis.
From mavink.com
Myocarditis Chest X Ray Can A Chest X-Ray Show Myocarditis myocarditis is usually suspected based on the patient's story and physical exam. chest radiography is considered usually appropriate in the setting of chest pain in patients with low to intermediate probability. a typical appearance of myocarditis on mri in the correct clinical setting may obviate biopsy. Will often be normal in myocarditis, but it may show features. Can A Chest X-Ray Show Myocarditis.
From www.cureus.com
Cureus Case of Coronavirus Disease 2019 Myocarditis Managed With Can A Chest X-Ray Show Myocarditis a typical appearance of myocarditis on mri in the correct clinical setting may obviate biopsy. myocarditis is usually suspected based on the patient's story and physical exam. chest radiography is considered usually appropriate in the setting of chest pain in patients with low to intermediate probability. Will often be normal in myocarditis, but it may show features. Can A Chest X-Ray Show Myocarditis.
From ar.inspiredpencil.com
Cardiomegaly Chest Xray Can A Chest X-Ray Show Myocarditis a typical appearance of myocarditis on mri in the correct clinical setting may obviate biopsy. chest radiography is considered usually appropriate in the setting of chest pain in patients with low to intermediate probability. myocarditis is usually suspected based on the patient's story and physical exam. Will often be normal in myocarditis, but it may show features. Can A Chest X-Ray Show Myocarditis.
From radiologyblog.cincinnatichildrens.org
What Can a Chest Xray Show? Radiating Hope Can A Chest X-Ray Show Myocarditis a typical appearance of myocarditis on mri in the correct clinical setting may obviate biopsy. Will often be normal in myocarditis, but it may show features consistent with heart failure. chest radiography is considered usually appropriate in the setting of chest pain in patients with low to intermediate probability. myocarditis is usually suspected based on the patient's. Can A Chest X-Ray Show Myocarditis.
From exoxvthij.blob.core.windows.net
What Can U See On A Chest X Ray at Jason Xie blog Can A Chest X-Ray Show Myocarditis myocarditis is usually suspected based on the patient's story and physical exam. chest radiography is considered usually appropriate in the setting of chest pain in patients with low to intermediate probability. a typical appearance of myocarditis on mri in the correct clinical setting may obviate biopsy. Will often be normal in myocarditis, but it may show features. Can A Chest X-Ray Show Myocarditis.
From www.cureus.com
Cureus Persistent Cardiac Resonance Imaging Features of Can A Chest X-Ray Show Myocarditis Will often be normal in myocarditis, but it may show features consistent with heart failure. a typical appearance of myocarditis on mri in the correct clinical setting may obviate biopsy. chest radiography is considered usually appropriate in the setting of chest pain in patients with low to intermediate probability. myocarditis is usually suspected based on the patient's. Can A Chest X-Ray Show Myocarditis.