Crown Preparation Form . 1) preparing (shaping) the tooth, 2) taking its impression and 3) placing a temporary crown. To prepare your tooth for a crown, we numb the area with a local anesthetic. Preparing teeth for crowns typically involves removing substantial quantities of enamel and dentine and as a consequence it is not a conservative technique. The time needed to perform these steps typically. The ideal preparation should be smooth and have a chamfer or slight shoulder margin, with no sharp edges or irregular grooves. The preparation must be designed so that it can provide structural durability to the restoration. This document provides information on full crown tooth preparations, including definitions, biological and mechanical principles, and. Achieving a perfect fit and long. Guidelines for tooth reduction and margin design. The preparation process for zirconia crowns is critical to the success of the restoration. The crown restoration must be rigid enough to. We then reshape your tooth to make room for the crown to be placed, while preserving as much of your natural tooth as. The principles of crown preparation and crown selection.
from www.youtube.com
Achieving a perfect fit and long. The principles of crown preparation and crown selection. This document provides information on full crown tooth preparations, including definitions, biological and mechanical principles, and. The crown restoration must be rigid enough to. We then reshape your tooth to make room for the crown to be placed, while preserving as much of your natural tooth as. The ideal preparation should be smooth and have a chamfer or slight shoulder margin, with no sharp edges or irregular grooves. Guidelines for tooth reduction and margin design. 1) preparing (shaping) the tooth, 2) taking its impression and 3) placing a temporary crown. The preparation must be designed so that it can provide structural durability to the restoration. To prepare your tooth for a crown, we numb the area with a local anesthetic.
Full metal crown preparation for dental students YouTube
Crown Preparation Form This document provides information on full crown tooth preparations, including definitions, biological and mechanical principles, and. To prepare your tooth for a crown, we numb the area with a local anesthetic. Achieving a perfect fit and long. This document provides information on full crown tooth preparations, including definitions, biological and mechanical principles, and. Preparing teeth for crowns typically involves removing substantial quantities of enamel and dentine and as a consequence it is not a conservative technique. The preparation must be designed so that it can provide structural durability to the restoration. The crown restoration must be rigid enough to. We then reshape your tooth to make room for the crown to be placed, while preserving as much of your natural tooth as. The time needed to perform these steps typically. The preparation process for zirconia crowns is critical to the success of the restoration. The ideal preparation should be smooth and have a chamfer or slight shoulder margin, with no sharp edges or irregular grooves. 1) preparing (shaping) the tooth, 2) taking its impression and 3) placing a temporary crown. Guidelines for tooth reduction and margin design. The principles of crown preparation and crown selection.
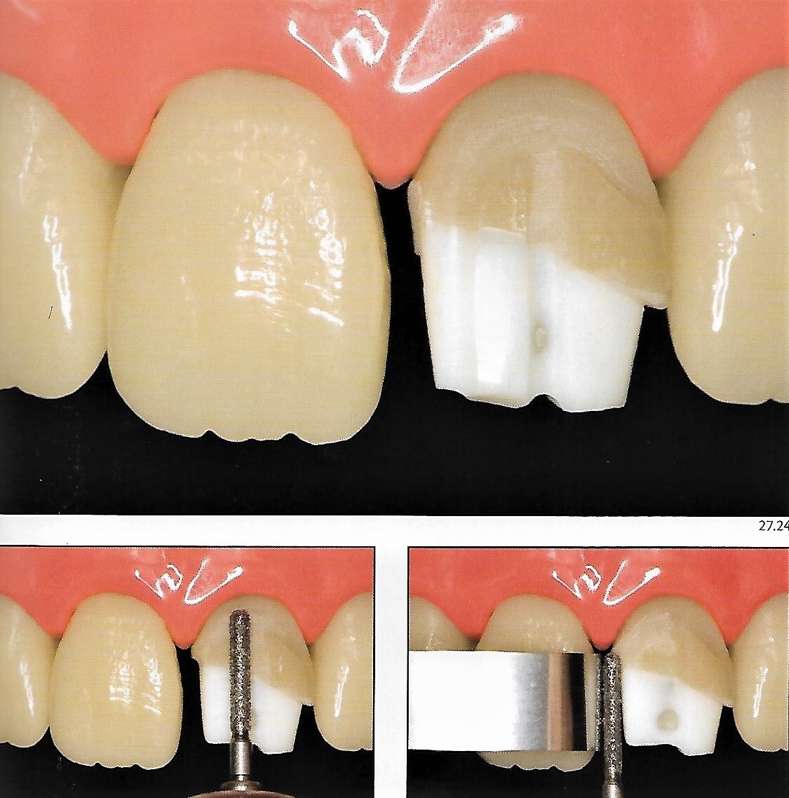
From www.dentalestheticszak.com
Anterior Crown Preparation Dental Esthetics Crown Preparation Form Achieving a perfect fit and long. To prepare your tooth for a crown, we numb the area with a local anesthetic. The principles of crown preparation and crown selection. The ideal preparation should be smooth and have a chamfer or slight shoulder margin, with no sharp edges or irregular grooves. This document provides information on full crown tooth preparations, including. Crown Preparation Form.
From www.dentalestheticszak.com
Anterior Crown Preparation Dental Esthetics Crown Preparation Form We then reshape your tooth to make room for the crown to be placed, while preserving as much of your natural tooth as. The ideal preparation should be smooth and have a chamfer or slight shoulder margin, with no sharp edges or irregular grooves. The principles of crown preparation and crown selection. The time needed to perform these steps typically.. Crown Preparation Form.
From www.kstreetdental.com
Crown Preparation and Placement Your StepByStep Guide K Street Crown Preparation Form Guidelines for tooth reduction and margin design. 1) preparing (shaping) the tooth, 2) taking its impression and 3) placing a temporary crown. To prepare your tooth for a crown, we numb the area with a local anesthetic. Achieving a perfect fit and long. The time needed to perform these steps typically. The principles of crown preparation and crown selection. Preparing. Crown Preparation Form.
From completedental.net.au
Crown Preparation with Core BuildUp Complete Dental Crown Preparation Form We then reshape your tooth to make room for the crown to be placed, while preserving as much of your natural tooth as. This document provides information on full crown tooth preparations, including definitions, biological and mechanical principles, and. The principles of crown preparation and crown selection. To prepare your tooth for a crown, we numb the area with a. Crown Preparation Form.
From www.youtube.com
Zirconia Crown Preparation DEMONSTRATION. (Super Simplified) YouTube Crown Preparation Form The principles of crown preparation and crown selection. We then reshape your tooth to make room for the crown to be placed, while preserving as much of your natural tooth as. Achieving a perfect fit and long. The ideal preparation should be smooth and have a chamfer or slight shoulder margin, with no sharp edges or irregular grooves. The preparation. Crown Preparation Form.
From www.sciencephoto.com
Dental crown preparation Stock Image C055/4128 Science Photo Library Crown Preparation Form The principles of crown preparation and crown selection. To prepare your tooth for a crown, we numb the area with a local anesthetic. The preparation process for zirconia crowns is critical to the success of the restoration. Achieving a perfect fit and long. The time needed to perform these steps typically. 1) preparing (shaping) the tooth, 2) taking its impression. Crown Preparation Form.
From www.youtube.com
Tooth Preparation for Anterior Zirconia Crown🟡Signature Crowns🔴 Crown Preparation Form The ideal preparation should be smooth and have a chamfer or slight shoulder margin, with no sharp edges or irregular grooves. To prepare your tooth for a crown, we numb the area with a local anesthetic. The preparation process for zirconia crowns is critical to the success of the restoration. Achieving a perfect fit and long. 1) preparing (shaping) the. Crown Preparation Form.
From www.youtube.com
CROWN PREPARATION TUTORIAL (MAXILLARY PREMOLAR) YouTube Crown Preparation Form The crown restoration must be rigid enough to. The principles of crown preparation and crown selection. The ideal preparation should be smooth and have a chamfer or slight shoulder margin, with no sharp edges or irregular grooves. Guidelines for tooth reduction and margin design. The time needed to perform these steps typically. The preparation process for zirconia crowns is critical. Crown Preparation Form.
From www.dentalestheticszak.com
Anterior Crown Preparation Dental Esthetics Crown Preparation Form The principles of crown preparation and crown selection. To prepare your tooth for a crown, we numb the area with a local anesthetic. The preparation process for zirconia crowns is critical to the success of the restoration. The crown restoration must be rigid enough to. 1) preparing (shaping) the tooth, 2) taking its impression and 3) placing a temporary crown.. Crown Preparation Form.
From www.dentalclinic-knet.com
crown preparation for anterior teeth Archives Dental Clinic Crown Preparation Form We then reshape your tooth to make room for the crown to be placed, while preserving as much of your natural tooth as. The time needed to perform these steps typically. The crown restoration must be rigid enough to. The ideal preparation should be smooth and have a chamfer or slight shoulder margin, with no sharp edges or irregular grooves.. Crown Preparation Form.
From www.dentalestheticszak.com
Anterior Crown Preparation Dental Esthetics Crown Preparation Form To prepare your tooth for a crown, we numb the area with a local anesthetic. We then reshape your tooth to make room for the crown to be placed, while preserving as much of your natural tooth as. 1) preparing (shaping) the tooth, 2) taking its impression and 3) placing a temporary crown. The time needed to perform these steps. Crown Preparation Form.
From www.youtube.com
Full Metal Crown Preparation Requirements (Keynote slide) lower right Crown Preparation Form 1) preparing (shaping) the tooth, 2) taking its impression and 3) placing a temporary crown. The time needed to perform these steps typically. Preparing teeth for crowns typically involves removing substantial quantities of enamel and dentine and as a consequence it is not a conservative technique. The crown restoration must be rigid enough to. The preparation process for zirconia crowns. Crown Preparation Form.
From www.youtube.com
Crown Preparation TIPS and TRICKS Mandibular Premolar (Zirconia crown Crown Preparation Form Preparing teeth for crowns typically involves removing substantial quantities of enamel and dentine and as a consequence it is not a conservative technique. 1) preparing (shaping) the tooth, 2) taking its impression and 3) placing a temporary crown. The crown restoration must be rigid enough to. The principles of crown preparation and crown selection. Achieving a perfect fit and long.. Crown Preparation Form.
From www.youtube.com
Molar Crown Preparation Walkthrough (tutorial) in the Simulation Lab Crown Preparation Form The preparation process for zirconia crowns is critical to the success of the restoration. The crown restoration must be rigid enough to. We then reshape your tooth to make room for the crown to be placed, while preserving as much of your natural tooth as. The ideal preparation should be smooth and have a chamfer or slight shoulder margin, with. Crown Preparation Form.
From www.youtube.com
Dental Crown Explained Anterior Crown Preparation YouTube Crown Preparation Form The crown restoration must be rigid enough to. To prepare your tooth for a crown, we numb the area with a local anesthetic. The time needed to perform these steps typically. Preparing teeth for crowns typically involves removing substantial quantities of enamel and dentine and as a consequence it is not a conservative technique. Guidelines for tooth reduction and margin. Crown Preparation Form.
From www.tv.odontologiavirtual.com
CROWN PREPARATION General principles OdontoTv Crown Preparation Form The preparation process for zirconia crowns is critical to the success of the restoration. Achieving a perfect fit and long. This document provides information on full crown tooth preparations, including definitions, biological and mechanical principles, and. The time needed to perform these steps typically. The preparation must be designed so that it can provide structural durability to the restoration. The. Crown Preparation Form.
From dental-crown.com
Preparation Crown Preparation Form Achieving a perfect fit and long. 1) preparing (shaping) the tooth, 2) taking its impression and 3) placing a temporary crown. The crown restoration must be rigid enough to. The preparation must be designed so that it can provide structural durability to the restoration. The principles of crown preparation and crown selection. Preparing teeth for crowns typically involves removing substantial. Crown Preparation Form.
From www.youtube.com
Efficient and Accurate Anterior Crown Preparation YouTube Crown Preparation Form The ideal preparation should be smooth and have a chamfer or slight shoulder margin, with no sharp edges or irregular grooves. 1) preparing (shaping) the tooth, 2) taking its impression and 3) placing a temporary crown. We then reshape your tooth to make room for the crown to be placed, while preserving as much of your natural tooth as. The. Crown Preparation Form.
From odontologystudent.blogspot.com
Odontology Student Prosthodontics The MetalCeramic Crown Preparation Crown Preparation Form The preparation must be designed so that it can provide structural durability to the restoration. Preparing teeth for crowns typically involves removing substantial quantities of enamel and dentine and as a consequence it is not a conservative technique. Achieving a perfect fit and long. We then reshape your tooth to make room for the crown to be placed, while preserving. Crown Preparation Form.
From www.youtube.com
Crown Preparation for anterior Crown cutting YouTube Crown Preparation Form Achieving a perfect fit and long. To prepare your tooth for a crown, we numb the area with a local anesthetic. Guidelines for tooth reduction and margin design. We then reshape your tooth to make room for the crown to be placed, while preserving as much of your natural tooth as. The preparation process for zirconia crowns is critical to. Crown Preparation Form.
From www.dentalestheticszak.com
Posterior crown preparation Dental Esthetics Crown Preparation Form The crown restoration must be rigid enough to. The preparation must be designed so that it can provide structural durability to the restoration. This document provides information on full crown tooth preparations, including definitions, biological and mechanical principles, and. The preparation process for zirconia crowns is critical to the success of the restoration. Achieving a perfect fit and long. The. Crown Preparation Form.
From www.dentalestheticszak.com
Posterior crown preparation Dental Esthetics Crown Preparation Form The ideal preparation should be smooth and have a chamfer or slight shoulder margin, with no sharp edges or irregular grooves. The preparation must be designed so that it can provide structural durability to the restoration. The crown restoration must be rigid enough to. This document provides information on full crown tooth preparations, including definitions, biological and mechanical principles, and.. Crown Preparation Form.
From leeannbrady.com
Using Carbides for Crown Preps » Lee Ann Brady, DMD's Dental Blog Crown Preparation Form To prepare your tooth for a crown, we numb the area with a local anesthetic. Guidelines for tooth reduction and margin design. The time needed to perform these steps typically. Preparing teeth for crowns typically involves removing substantial quantities of enamel and dentine and as a consequence it is not a conservative technique. The crown restoration must be rigid enough. Crown Preparation Form.
From www.youtube.com
Full metal crown preparation for dental students YouTube Crown Preparation Form The preparation must be designed so that it can provide structural durability to the restoration. This document provides information on full crown tooth preparations, including definitions, biological and mechanical principles, and. Preparing teeth for crowns typically involves removing substantial quantities of enamel and dentine and as a consequence it is not a conservative technique. The principles of crown preparation and. Crown Preparation Form.
From www.dentalestheticszak.com
Posterior crown preparation Dental Esthetics Crown Preparation Form The principles of crown preparation and crown selection. The preparation must be designed so that it can provide structural durability to the restoration. Guidelines for tooth reduction and margin design. The time needed to perform these steps typically. The preparation process for zirconia crowns is critical to the success of the restoration. Achieving a perfect fit and long. We then. Crown Preparation Form.
From www.youtube.com
Crown preparation tutorial by Prof. Brian Millar YouTube Crown Preparation Form Preparing teeth for crowns typically involves removing substantial quantities of enamel and dentine and as a consequence it is not a conservative technique. 1) preparing (shaping) the tooth, 2) taking its impression and 3) placing a temporary crown. To prepare your tooth for a crown, we numb the area with a local anesthetic. The preparation process for zirconia crowns is. Crown Preparation Form.
From www.youtube.com
Ask Gordon Crown tooth preparation technique YouTube Crown Preparation Form Preparing teeth for crowns typically involves removing substantial quantities of enamel and dentine and as a consequence it is not a conservative technique. To prepare your tooth for a crown, we numb the area with a local anesthetic. Guidelines for tooth reduction and margin design. Achieving a perfect fit and long. The preparation must be designed so that it can. Crown Preparation Form.
From www.tv.odontologiavirtual.com
CROWN PREPARATION General principles Crown Preparation Form Guidelines for tooth reduction and margin design. The preparation process for zirconia crowns is critical to the success of the restoration. The crown restoration must be rigid enough to. The principles of crown preparation and crown selection. We then reshape your tooth to make room for the crown to be placed, while preserving as much of your natural tooth as.. Crown Preparation Form.
From www.tv.odontologiavirtual.com
ALL CERAMIC ANTERIOR CROWN PREPARATION Step by Step Dr. Peter Grieco Crown Preparation Form The crown restoration must be rigid enough to. The time needed to perform these steps typically. 1) preparing (shaping) the tooth, 2) taking its impression and 3) placing a temporary crown. The preparation must be designed so that it can provide structural durability to the restoration. We then reshape your tooth to make room for the crown to be placed,. Crown Preparation Form.
From www.youtube.com
Stainless Steel Crown Preparation and Placement Description shows Crown Preparation Form 1) preparing (shaping) the tooth, 2) taking its impression and 3) placing a temporary crown. This document provides information on full crown tooth preparations, including definitions, biological and mechanical principles, and. Preparing teeth for crowns typically involves removing substantial quantities of enamel and dentine and as a consequence it is not a conservative technique. Achieving a perfect fit and long.. Crown Preparation Form.
From www.myzerodonto.com
Zirconia Crown Preparation MyZerodonto Crown Preparation Form Achieving a perfect fit and long. The crown restoration must be rigid enough to. The preparation must be designed so that it can provide structural durability to the restoration. The principles of crown preparation and crown selection. 1) preparing (shaping) the tooth, 2) taking its impression and 3) placing a temporary crown. Guidelines for tooth reduction and margin design. Preparing. Crown Preparation Form.
From www.youtube.com
Anterior Crown Preparation Demonstration (Super Easy) YouTube Crown Preparation Form The crown restoration must be rigid enough to. The preparation must be designed so that it can provide structural durability to the restoration. The time needed to perform these steps typically. 1) preparing (shaping) the tooth, 2) taking its impression and 3) placing a temporary crown. Guidelines for tooth reduction and margin design. This document provides information on full crown. Crown Preparation Form.
From www.dentalestheticszak.com
Posterior crown preparation Dental Esthetics Crown Preparation Form This document provides information on full crown tooth preparations, including definitions, biological and mechanical principles, and. The time needed to perform these steps typically. The crown restoration must be rigid enough to. The principles of crown preparation and crown selection. The preparation must be designed so that it can provide structural durability to the restoration. The ideal preparation should be. Crown Preparation Form.
From www.dentalestheticszak.com
Posterior crown preparation Dental Esthetics Crown Preparation Form The principles of crown preparation and crown selection. 1) preparing (shaping) the tooth, 2) taking its impression and 3) placing a temporary crown. We then reshape your tooth to make room for the crown to be placed, while preserving as much of your natural tooth as. The crown restoration must be rigid enough to. The ideal preparation should be smooth. Crown Preparation Form.
From www.youtube.com
TRADITIONAL CROWN PREP SET UP & PROCEDURES // Tips For Dental Crown Preparation Form Achieving a perfect fit and long. This document provides information on full crown tooth preparations, including definitions, biological and mechanical principles, and. The crown restoration must be rigid enough to. Preparing teeth for crowns typically involves removing substantial quantities of enamel and dentine and as a consequence it is not a conservative technique. The preparation process for zirconia crowns is. Crown Preparation Form.