What Is Cord Entanglement .   umbilical cord entanglement is present in all monoamniotic twins when it is systematically evaluated by ultrasound and color doppler. Symptoms present in the baby shortly.  umbilical cord entanglement in monoamniotic twins is a biologically plausible phenomenon that can be.  a nuchal cord is when the umbilical cord becomes wrapped around the fetus 's neck.  cord entanglement is defined as an umbilical cord that encircles the fetal body, neck, or extremities [1].   umbilical cord entanglement is the most common pathological condition among umbilical cord abnormalities [1],.  cord entanglement results from active fetal mobility and is facilitated by abundant amniotic fluid (especially if there is.
        
         
         
        from guidelibmisjoinder.z22.web.core.windows.net 
     
        
          umbilical cord entanglement is the most common pathological condition among umbilical cord abnormalities [1],.  a nuchal cord is when the umbilical cord becomes wrapped around the fetus 's neck.  umbilical cord entanglement in monoamniotic twins is a biologically plausible phenomenon that can be.   umbilical cord entanglement is present in all monoamniotic twins when it is systematically evaluated by ultrasound and color doppler.  cord entanglement is defined as an umbilical cord that encircles the fetal body, neck, or extremities [1].  cord entanglement results from active fetal mobility and is facilitated by abundant amniotic fluid (especially if there is. Symptoms present in the baby shortly.
    
    	
            
	
		 
	 
         
    Umbilical Cord Attached To Placenta 
    What Is Cord Entanglement   cord entanglement is defined as an umbilical cord that encircles the fetal body, neck, or extremities [1].  cord entanglement is defined as an umbilical cord that encircles the fetal body, neck, or extremities [1].   umbilical cord entanglement is the most common pathological condition among umbilical cord abnormalities [1],.  umbilical cord entanglement in monoamniotic twins is a biologically plausible phenomenon that can be.  a nuchal cord is when the umbilical cord becomes wrapped around the fetus 's neck.   umbilical cord entanglement is present in all monoamniotic twins when it is systematically evaluated by ultrasound and color doppler.  cord entanglement results from active fetal mobility and is facilitated by abundant amniotic fluid (especially if there is. Symptoms present in the baby shortly.
            
	
		 
	 
         
 
    
         
        From www.birthinjuryguide.org 
                    Umbilical Cord Compression and Your Baby's Health Birth Injury Guide What Is Cord Entanglement   a nuchal cord is when the umbilical cord becomes wrapped around the fetus 's neck.   umbilical cord entanglement is present in all monoamniotic twins when it is systematically evaluated by ultrasound and color doppler. Symptoms present in the baby shortly.  cord entanglement is defined as an umbilical cord that encircles the fetal body, neck, or extremities [1].. What Is Cord Entanglement.
     
    
         
        From thefetus.net 
                    📃 Cord entanglement in monoamniotic twins What Is Cord Entanglement   cord entanglement is defined as an umbilical cord that encircles the fetal body, neck, or extremities [1].   umbilical cord entanglement is present in all monoamniotic twins when it is systematically evaluated by ultrasound and color doppler. Symptoms present in the baby shortly.  a nuchal cord is when the umbilical cord becomes wrapped around the fetus 's neck.. What Is Cord Entanglement.
     
    
         
        From www.researchgate.net 
                    Fetoscopic view of cord entanglement in a monoamniotic twin pregnancy What Is Cord Entanglement   a nuchal cord is when the umbilical cord becomes wrapped around the fetus 's neck.   umbilical cord entanglement is the most common pathological condition among umbilical cord abnormalities [1],.  cord entanglement is defined as an umbilical cord that encircles the fetal body, neck, or extremities [1].   umbilical cord entanglement is present in all monoamniotic twins when. What Is Cord Entanglement.
     
    
         
        From www.researchgate.net 
                    (PDF) Cord entanglement in monoamniotic twins What Is Cord Entanglement   cord entanglement results from active fetal mobility and is facilitated by abundant amniotic fluid (especially if there is.  cord entanglement is defined as an umbilical cord that encircles the fetal body, neck, or extremities [1].   umbilical cord entanglement is the most common pathological condition among umbilical cord abnormalities [1],.   umbilical cord entanglement is present in all. What Is Cord Entanglement.
     
    
         
        From www.researchgate.net 
                    Ultrasound scan of cord entanglement. Download Scientific Diagram What Is Cord Entanglement   cord entanglement results from active fetal mobility and is facilitated by abundant amniotic fluid (especially if there is.   umbilical cord entanglement is the most common pathological condition among umbilical cord abnormalities [1],. Symptoms present in the baby shortly.   umbilical cord entanglement is present in all monoamniotic twins when it is systematically evaluated by ultrasound and color doppler.. What Is Cord Entanglement.
     
    
         
        From www.academia.edu 
                    (PDF) Cord entanglement systematic review Federico Prefumo Academia.edu What Is Cord Entanglement   a nuchal cord is when the umbilical cord becomes wrapped around the fetus 's neck.   umbilical cord entanglement is the most common pathological condition among umbilical cord abnormalities [1],.   umbilical cord entanglement is present in all monoamniotic twins when it is systematically evaluated by ultrasound and color doppler.  cord entanglement results from active fetal mobility and. What Is Cord Entanglement.
     
    
         
        From www.researchgate.net 
                    Umbilical cord entanglement of monochorionic diamniotic twins following What Is Cord Entanglement    umbilical cord entanglement is the most common pathological condition among umbilical cord abnormalities [1],.  a nuchal cord is when the umbilical cord becomes wrapped around the fetus 's neck.  umbilical cord entanglement in monoamniotic twins is a biologically plausible phenomenon that can be.  cord entanglement results from active fetal mobility and is facilitated by abundant amniotic. What Is Cord Entanglement.
     
    
         
        From obgyn.onlinelibrary.wiley.com 
                    Evolution of umbilical cord entanglement in monoamniotic twins What Is Cord Entanglement    umbilical cord entanglement is present in all monoamniotic twins when it is systematically evaluated by ultrasound and color doppler.  cord entanglement results from active fetal mobility and is facilitated by abundant amniotic fluid (especially if there is.  umbilical cord entanglement in monoamniotic twins is a biologically plausible phenomenon that can be.  a nuchal cord is when. What Is Cord Entanglement.
     
    
         
        From www.ajog.org 
                    Anomalies of the placenta and umbilical cord in twin gestations What Is Cord Entanglement   cord entanglement results from active fetal mobility and is facilitated by abundant amniotic fluid (especially if there is.   umbilical cord entanglement is the most common pathological condition among umbilical cord abnormalities [1],.  a nuchal cord is when the umbilical cord becomes wrapped around the fetus 's neck. Symptoms present in the baby shortly.  cord entanglement is. What Is Cord Entanglement.
     
    
         
        From pacs.de 
                    umbilical cord entanglement pacs What Is Cord Entanglement  Symptoms present in the baby shortly.   umbilical cord entanglement is present in all monoamniotic twins when it is systematically evaluated by ultrasound and color doppler.  cord entanglement is defined as an umbilical cord that encircles the fetal body, neck, or extremities [1].   umbilical cord entanglement is the most common pathological condition among umbilical cord abnormalities [1],. . What Is Cord Entanglement.
     
    
         
        From www.imrpress.com 
                    MonochorionicDiamniotic Twin Pregnancy Complicated by Spontaneous What Is Cord Entanglement  Symptoms present in the baby shortly.  cord entanglement results from active fetal mobility and is facilitated by abundant amniotic fluid (especially if there is.  a nuchal cord is when the umbilical cord becomes wrapped around the fetus 's neck.  cord entanglement is defined as an umbilical cord that encircles the fetal body, neck, or extremities [1]. . What Is Cord Entanglement.
     
    
         
        From www.researchgate.net 
                    Umbilical cord entanglement of monochorionic diamniotic twins following What Is Cord Entanglement   a nuchal cord is when the umbilical cord becomes wrapped around the fetus 's neck.   umbilical cord entanglement is the most common pathological condition among umbilical cord abnormalities [1],. Symptoms present in the baby shortly.  cord entanglement results from active fetal mobility and is facilitated by abundant amniotic fluid (especially if there is.  cord entanglement is. What Is Cord Entanglement.
     
    
         
        From www.dreamstime.com 
                    Medical Ultrasound Examination of the Fetus of a Pregnant Girl. Fetal What Is Cord Entanglement   a nuchal cord is when the umbilical cord becomes wrapped around the fetus 's neck.  cord entanglement is defined as an umbilical cord that encircles the fetal body, neck, or extremities [1].   umbilical cord entanglement is present in all monoamniotic twins when it is systematically evaluated by ultrasound and color doppler.  cord entanglement results from active. What Is Cord Entanglement.
     
    
         
        From radiopaedia.org 
                    Umbilical cord entanglement Image What Is Cord Entanglement   cord entanglement results from active fetal mobility and is facilitated by abundant amniotic fluid (especially if there is.   umbilical cord entanglement is the most common pathological condition among umbilical cord abnormalities [1],.  cord entanglement is defined as an umbilical cord that encircles the fetal body, neck, or extremities [1].  a nuchal cord is when the umbilical. What Is Cord Entanglement.
     
    
         
        From www.dreamstime.com 
                    Umbilical Cord Entanglement. Vector Illustration of Entanglement of What Is Cord Entanglement   cord entanglement is defined as an umbilical cord that encircles the fetal body, neck, or extremities [1].   umbilical cord entanglement is present in all monoamniotic twins when it is systematically evaluated by ultrasound and color doppler.   umbilical cord entanglement is the most common pathological condition among umbilical cord abnormalities [1],. Symptoms present in the baby shortly. . What Is Cord Entanglement.
     
    
         
        From thefetus.net 
                    📃 Umbilical cord entanglement in monoamniotic twins What Is Cord Entanglement   a nuchal cord is when the umbilical cord becomes wrapped around the fetus 's neck.   umbilical cord entanglement is the most common pathological condition among umbilical cord abnormalities [1],.  umbilical cord entanglement in monoamniotic twins is a biologically plausible phenomenon that can be.   umbilical cord entanglement is present in all monoamniotic twins when it is systematically. What Is Cord Entanglement.
     
    
         
        From www.dreamstime.com 
                    Umbilical Cord Entanglement. Vector Illustration of Entanglement of What Is Cord Entanglement    umbilical cord entanglement is the most common pathological condition among umbilical cord abnormalities [1],.  cord entanglement results from active fetal mobility and is facilitated by abundant amniotic fluid (especially if there is.   umbilical cord entanglement is present in all monoamniotic twins when it is systematically evaluated by ultrasound and color doppler.  umbilical cord entanglement in monoamniotic. What Is Cord Entanglement.
     
    
         
        From www.researchgate.net 
                    Umbilical cord entanglement of monochorionic diamniotic twins following What Is Cord Entanglement   umbilical cord entanglement in monoamniotic twins is a biologically plausible phenomenon that can be.   umbilical cord entanglement is the most common pathological condition among umbilical cord abnormalities [1],. Symptoms present in the baby shortly.   umbilical cord entanglement is present in all monoamniotic twins when it is systematically evaluated by ultrasound and color doppler.  cord entanglement is. What Is Cord Entanglement.
     
    
         
        From obgyn.onlinelibrary.wiley.com 
                    Cord entanglement and perinatal in monoamniotic twin What Is Cord Entanglement   cord entanglement is defined as an umbilical cord that encircles the fetal body, neck, or extremities [1].  cord entanglement results from active fetal mobility and is facilitated by abundant amniotic fluid (especially if there is.  a nuchal cord is when the umbilical cord becomes wrapped around the fetus 's neck. Symptoms present in the baby shortly. . What Is Cord Entanglement.
     
    
         
        From www.alamy.com 
                    Umbilical cord entanglement, illustration Stock Photo Alamy What Is Cord Entanglement  Symptoms present in the baby shortly.  cord entanglement results from active fetal mobility and is facilitated by abundant amniotic fluid (especially if there is.   umbilical cord entanglement is the most common pathological condition among umbilical cord abnormalities [1],.  umbilical cord entanglement in monoamniotic twins is a biologically plausible phenomenon that can be.   umbilical cord entanglement is. What Is Cord Entanglement.
     
    
         
        From thefetus.net 
                    📃 Cord entanglement in the first trimester What Is Cord Entanglement    umbilical cord entanglement is the most common pathological condition among umbilical cord abnormalities [1],.  umbilical cord entanglement in monoamniotic twins is a biologically plausible phenomenon that can be.  cord entanglement is defined as an umbilical cord that encircles the fetal body, neck, or extremities [1].   umbilical cord entanglement is present in all monoamniotic twins when it. What Is Cord Entanglement.
     
    
         
        From www.semanticscholar.org 
                    Figure 1 from Presence of an Umbilical Artery Notch in Monochorionic What Is Cord Entanglement   cord entanglement is defined as an umbilical cord that encircles the fetal body, neck, or extremities [1].  umbilical cord entanglement in monoamniotic twins is a biologically plausible phenomenon that can be.  a nuchal cord is when the umbilical cord becomes wrapped around the fetus 's neck. Symptoms present in the baby shortly.   umbilical cord entanglement is. What Is Cord Entanglement.
     
    
         
        From guidelibmisjoinder.z22.web.core.windows.net 
                    Umbilical Cord Attached To Placenta What Is Cord Entanglement   cord entanglement results from active fetal mobility and is facilitated by abundant amniotic fluid (especially if there is.  cord entanglement is defined as an umbilical cord that encircles the fetal body, neck, or extremities [1].  umbilical cord entanglement in monoamniotic twins is a biologically plausible phenomenon that can be.  a nuchal cord is when the umbilical. What Is Cord Entanglement.
     
    
         
        From www.semanticscholar.org 
                    Figure 1 from Early Ultrasound Identification of Cord Entanglement in What Is Cord Entanglement   a nuchal cord is when the umbilical cord becomes wrapped around the fetus 's neck.  umbilical cord entanglement in monoamniotic twins is a biologically plausible phenomenon that can be. Symptoms present in the baby shortly.  cord entanglement results from active fetal mobility and is facilitated by abundant amniotic fluid (especially if there is.  cord entanglement is. What Is Cord Entanglement.
     
    
         
        From www.researchgate.net 
                    Fetoscopic view of cord entanglement in a monoamniotic twin pregnancy What Is Cord Entanglement  Symptoms present in the baby shortly.  cord entanglement is defined as an umbilical cord that encircles the fetal body, neck, or extremities [1].   umbilical cord entanglement is the most common pathological condition among umbilical cord abnormalities [1],.  a nuchal cord is when the umbilical cord becomes wrapped around the fetus 's neck.   umbilical cord entanglement is. What Is Cord Entanglement.
     
    
         
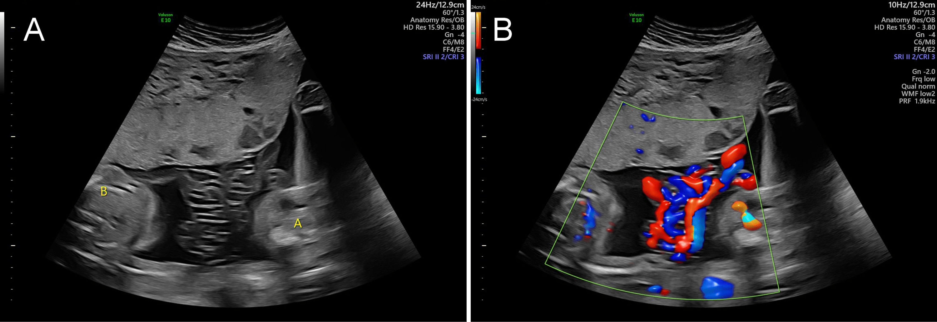
        From www.researchgate.net 
                    Power Doppler imaging of complex umbilical cord entanglement in What Is Cord Entanglement   a nuchal cord is when the umbilical cord becomes wrapped around the fetus 's neck.  cord entanglement results from active fetal mobility and is facilitated by abundant amniotic fluid (especially if there is.  cord entanglement is defined as an umbilical cord that encircles the fetal body, neck, or extremities [1]. Symptoms present in the baby shortly. . What Is Cord Entanglement.
     
    
         
        From publications.aap.org 
                    Umbilical Cord Entanglement NeoReviews American Academy of Pediatrics What Is Cord Entanglement    umbilical cord entanglement is present in all monoamniotic twins when it is systematically evaluated by ultrasound and color doppler. Symptoms present in the baby shortly.  umbilical cord entanglement in monoamniotic twins is a biologically plausible phenomenon that can be.  a nuchal cord is when the umbilical cord becomes wrapped around the fetus 's neck.  cord entanglement. What Is Cord Entanglement.
     
    
         
        From www.semanticscholar.org 
                    Figure 7 from Umbilical Cord Entanglement Diagnostic and Clinical What Is Cord Entanglement  Symptoms present in the baby shortly.   umbilical cord entanglement is the most common pathological condition among umbilical cord abnormalities [1],.  cord entanglement results from active fetal mobility and is facilitated by abundant amniotic fluid (especially if there is.  cord entanglement is defined as an umbilical cord that encircles the fetal body, neck, or extremities [1].  a. What Is Cord Entanglement.
     
    
         
        From obgyn.onlinelibrary.wiley.com 
                    Umbilical cord entanglement in monoamniotic twins Zollner 2012 What Is Cord Entanglement    umbilical cord entanglement is the most common pathological condition among umbilical cord abnormalities [1],.  cord entanglement is defined as an umbilical cord that encircles the fetal body, neck, or extremities [1].  umbilical cord entanglement in monoamniotic twins is a biologically plausible phenomenon that can be.  cord entanglement results from active fetal mobility and is facilitated by. What Is Cord Entanglement.
     
    
         
        From mednexus.org 
                    The Umbilical Cord and Complications of Twin Gestations Maternal What Is Cord Entanglement   cord entanglement is defined as an umbilical cord that encircles the fetal body, neck, or extremities [1]. Symptoms present in the baby shortly.  umbilical cord entanglement in monoamniotic twins is a biologically plausible phenomenon that can be.   umbilical cord entanglement is the most common pathological condition among umbilical cord abnormalities [1],.  a nuchal cord is when. What Is Cord Entanglement.
     
    
         
        From www.alamy.com 
                    Umbilical cord entanglement in pregnancy, illustration Stock Photo Alamy What Is Cord Entanglement   a nuchal cord is when the umbilical cord becomes wrapped around the fetus 's neck.  umbilical cord entanglement in monoamniotic twins is a biologically plausible phenomenon that can be. Symptoms present in the baby shortly.   umbilical cord entanglement is present in all monoamniotic twins when it is systematically evaluated by ultrasound and color doppler.  cord entanglement. What Is Cord Entanglement.
     
    
         
        From www.youtube.com 
                    ENTANGLEMENT LOWER LIMBS OF FETUS BY CORD LOOPS YouTube What Is Cord Entanglement    umbilical cord entanglement is the most common pathological condition among umbilical cord abnormalities [1],.  cord entanglement is defined as an umbilical cord that encircles the fetal body, neck, or extremities [1].  a nuchal cord is when the umbilical cord becomes wrapped around the fetus 's neck.  umbilical cord entanglement in monoamniotic twins is a biologically plausible. What Is Cord Entanglement.
     
    
         
        From mednexus.org 
                    The Umbilical Cord and Complications of Twin Gestations Maternal What Is Cord Entanglement  Symptoms present in the baby shortly.  cord entanglement results from active fetal mobility and is facilitated by abundant amniotic fluid (especially if there is.   umbilical cord entanglement is the most common pathological condition among umbilical cord abnormalities [1],.  cord entanglement is defined as an umbilical cord that encircles the fetal body, neck, or extremities [1].  a. What Is Cord Entanglement.
     
    
         
        From thefetus.net 
                    📃 Cord entanglement What Is Cord Entanglement    umbilical cord entanglement is present in all monoamniotic twins when it is systematically evaluated by ultrasound and color doppler.  umbilical cord entanglement in monoamniotic twins is a biologically plausible phenomenon that can be.  a nuchal cord is when the umbilical cord becomes wrapped around the fetus 's neck.  cord entanglement results from active fetal mobility and. What Is Cord Entanglement.
     
    
         
        From www.cureus.com 
                    Cureus Inpatient Management of a Monoamniotic Twin Pregnancy What Is Cord Entanglement    umbilical cord entanglement is present in all monoamniotic twins when it is systematically evaluated by ultrasound and color doppler.  umbilical cord entanglement in monoamniotic twins is a biologically plausible phenomenon that can be. Symptoms present in the baby shortly.  cord entanglement is defined as an umbilical cord that encircles the fetal body, neck, or extremities [1]. . What Is Cord Entanglement.