Hair Follicle Tumor Dog . Learn about the different types of hair follicle tumors in dogs, such as trichoepithelioma, and how they are diagnosed and treated. Learn about different types of hair follicle tumors in dogs, such as trichoepithelioma, and how to recognize and treat them. Learn about the five types of skin cancer in dogs, including mast cell tumor, melanoma, squamous cell carcinoma, glandular tumors and hair. They are most common in dogs, less frequent in cats, and rare in other domestic animals. Hair follicle (hf) tumors are common in dogs and cats and are frequently submitted to diagnostic laboratories. Follicular cysts are caused by inflammation or infection at the base of a hair follicle. Find out which breeds are more prone to these benign or rare malignant skin lumps. This most commonly occurs due to an injury to the area (sometimes on a pressure. These tumors are mostly benign, but some are malignant and may require additional therapy. Learn about the causes, signs, diagnosis, and treatment of sebaceous gland tumors in dogs.
from dogscatspets.org
This most commonly occurs due to an injury to the area (sometimes on a pressure. These tumors are mostly benign, but some are malignant and may require additional therapy. Learn about the causes, signs, diagnosis, and treatment of sebaceous gland tumors in dogs. Learn about the five types of skin cancer in dogs, including mast cell tumor, melanoma, squamous cell carcinoma, glandular tumors and hair. Follicular cysts are caused by inflammation or infection at the base of a hair follicle. Hair follicle (hf) tumors are common in dogs and cats and are frequently submitted to diagnostic laboratories. They are most common in dogs, less frequent in cats, and rare in other domestic animals. Learn about different types of hair follicle tumors in dogs, such as trichoepithelioma, and how to recognize and treat them. Find out which breeds are more prone to these benign or rare malignant skin lumps. Learn about the different types of hair follicle tumors in dogs, such as trichoepithelioma, and how they are diagnosed and treated.
Dog Ingrown Hair Causes, Pictures, Cyst & Treatment Dogs, Cats, Pets
Hair Follicle Tumor Dog Hair follicle (hf) tumors are common in dogs and cats and are frequently submitted to diagnostic laboratories. Hair follicle (hf) tumors are common in dogs and cats and are frequently submitted to diagnostic laboratories. Learn about different types of hair follicle tumors in dogs, such as trichoepithelioma, and how to recognize and treat them. Follicular cysts are caused by inflammation or infection at the base of a hair follicle. Find out which breeds are more prone to these benign or rare malignant skin lumps. Learn about the different types of hair follicle tumors in dogs, such as trichoepithelioma, and how they are diagnosed and treated. This most commonly occurs due to an injury to the area (sometimes on a pressure. These tumors are mostly benign, but some are malignant and may require additional therapy. Learn about the five types of skin cancer in dogs, including mast cell tumor, melanoma, squamous cell carcinoma, glandular tumors and hair. They are most common in dogs, less frequent in cats, and rare in other domestic animals. Learn about the causes, signs, diagnosis, and treatment of sebaceous gland tumors in dogs.
From www.germanshepherds.com
Follicular/Sebaceous cyst or something else? German Shepherds Forum Hair Follicle Tumor Dog Hair follicle (hf) tumors are common in dogs and cats and are frequently submitted to diagnostic laboratories. Learn about the five types of skin cancer in dogs, including mast cell tumor, melanoma, squamous cell carcinoma, glandular tumors and hair. These tumors are mostly benign, but some are malignant and may require additional therapy. Learn about the different types of hair. Hair Follicle Tumor Dog.
From www.vetsmall.theclinics.com
Cytology of Skin Neoplasms Veterinary Clinics Small Animal Practice Hair Follicle Tumor Dog Learn about different types of hair follicle tumors in dogs, such as trichoepithelioma, and how to recognize and treat them. Follicular cysts are caused by inflammation or infection at the base of a hair follicle. Learn about the five types of skin cancer in dogs, including mast cell tumor, melanoma, squamous cell carcinoma, glandular tumors and hair. Learn about the. Hair Follicle Tumor Dog.
From petswall.blogspot.com
Sebaceous Cyst Dog Picture PetsWall Hair Follicle Tumor Dog They are most common in dogs, less frequent in cats, and rare in other domestic animals. Learn about the five types of skin cancer in dogs, including mast cell tumor, melanoma, squamous cell carcinoma, glandular tumors and hair. Learn about the different types of hair follicle tumors in dogs, such as trichoepithelioma, and how they are diagnosed and treated. Learn. Hair Follicle Tumor Dog.
From www.bubblypet.com
13 Pictures of Dog Tumors, Cysts, Lumps & Warts Hair Follicle Tumor Dog Hair follicle (hf) tumors are common in dogs and cats and are frequently submitted to diagnostic laboratories. This most commonly occurs due to an injury to the area (sometimes on a pressure. They are most common in dogs, less frequent in cats, and rare in other domestic animals. These tumors are mostly benign, but some are malignant and may require. Hair Follicle Tumor Dog.
From dogscatspets.org
Dog Ingrown Hair Causes, Pictures, Cyst & Treatment Dogs, Cats, Pets Hair Follicle Tumor Dog These tumors are mostly benign, but some are malignant and may require additional therapy. Learn about the five types of skin cancer in dogs, including mast cell tumor, melanoma, squamous cell carcinoma, glandular tumors and hair. Follicular cysts are caused by inflammation or infection at the base of a hair follicle. Learn about the different types of hair follicle tumors. Hair Follicle Tumor Dog.
From www.dogsnaturallymagazine.com
Types Of Cysts On Dogs Dogs Naturally Hair Follicle Tumor Dog This most commonly occurs due to an injury to the area (sometimes on a pressure. Learn about different types of hair follicle tumors in dogs, such as trichoepithelioma, and how to recognize and treat them. Hair follicle (hf) tumors are common in dogs and cats and are frequently submitted to diagnostic laboratories. Learn about the different types of hair follicle. Hair Follicle Tumor Dog.
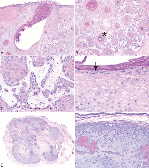
From journals.sagepub.com
Histologic features of hair follicle neoplasms and cysts in dogs and Hair Follicle Tumor Dog These tumors are mostly benign, but some are malignant and may require additional therapy. This most commonly occurs due to an injury to the area (sometimes on a pressure. Find out which breeds are more prone to these benign or rare malignant skin lumps. Follicular cysts are caused by inflammation or infection at the base of a hair follicle. Learn. Hair Follicle Tumor Dog.
From www.semanticscholar.org
Histologic features of hair follicle neoplasms and cysts in dogs and Hair Follicle Tumor Dog Learn about the five types of skin cancer in dogs, including mast cell tumor, melanoma, squamous cell carcinoma, glandular tumors and hair. This most commonly occurs due to an injury to the area (sometimes on a pressure. These tumors are mostly benign, but some are malignant and may require additional therapy. Find out which breeds are more prone to these. Hair Follicle Tumor Dog.
From hubpages.com
Understanding Sebaceous Cysts in Dogs PetHelpful Hair Follicle Tumor Dog Learn about the five types of skin cancer in dogs, including mast cell tumor, melanoma, squamous cell carcinoma, glandular tumors and hair. They are most common in dogs, less frequent in cats, and rare in other domestic animals. These tumors are mostly benign, but some are malignant and may require additional therapy. Learn about the causes, signs, diagnosis, and treatment. Hair Follicle Tumor Dog.
From www.youtube.com
Dog Cysts! Lipomas, Cysts and Blackhead Removal YouTube Hair Follicle Tumor Dog Find out which breeds are more prone to these benign or rare malignant skin lumps. This most commonly occurs due to an injury to the area (sometimes on a pressure. Learn about the different types of hair follicle tumors in dogs, such as trichoepithelioma, and how they are diagnosed and treated. Learn about the causes, signs, diagnosis, and treatment of. Hair Follicle Tumor Dog.
From www.researchgate.net
(PDF) Hair follicle tumors in dogs A report of two cases Hair Follicle Tumor Dog These tumors are mostly benign, but some are malignant and may require additional therapy. Hair follicle (hf) tumors are common in dogs and cats and are frequently submitted to diagnostic laboratories. Learn about the causes, signs, diagnosis, and treatment of sebaceous gland tumors in dogs. Learn about the five types of skin cancer in dogs, including mast cell tumor, melanoma,. Hair Follicle Tumor Dog.
From www.researchgate.net
Immunohistochemisry for p27 and p21 in canine hair follicle tumors. (a Hair Follicle Tumor Dog Learn about the different types of hair follicle tumors in dogs, such as trichoepithelioma, and how they are diagnosed and treated. These tumors are mostly benign, but some are malignant and may require additional therapy. Learn about different types of hair follicle tumors in dogs, such as trichoepithelioma, and how to recognize and treat them. They are most common in. Hair Follicle Tumor Dog.
From www.researchgate.net
Cutaneous epithelial tumors, dog. Figure 5. Basal cell carcinoma. Tumor Hair Follicle Tumor Dog These tumors are mostly benign, but some are malignant and may require additional therapy. Learn about the five types of skin cancer in dogs, including mast cell tumor, melanoma, squamous cell carcinoma, glandular tumors and hair. Follicular cysts are caused by inflammation or infection at the base of a hair follicle. This most commonly occurs due to an injury to. Hair Follicle Tumor Dog.
From www.researchgate.net
Dog, hair follicle tumor. Streptavidinbiotinperoxidase, Harris Hair Follicle Tumor Dog This most commonly occurs due to an injury to the area (sometimes on a pressure. Learn about the five types of skin cancer in dogs, including mast cell tumor, melanoma, squamous cell carcinoma, glandular tumors and hair. Learn about the causes, signs, diagnosis, and treatment of sebaceous gland tumors in dogs. Learn about the different types of hair follicle tumors. Hair Follicle Tumor Dog.
From www.youtube.com
Hair follicle tumor in a dog YouTube Hair Follicle Tumor Dog Learn about the different types of hair follicle tumors in dogs, such as trichoepithelioma, and how they are diagnosed and treated. Hair follicle (hf) tumors are common in dogs and cats and are frequently submitted to diagnostic laboratories. They are most common in dogs, less frequent in cats, and rare in other domestic animals. Find out which breeds are more. Hair Follicle Tumor Dog.
From www.vrogue.co
Lumps Bumps Cysts Growths On Dogs Cysts Dogs Growth vrogue.co Hair Follicle Tumor Dog Learn about the different types of hair follicle tumors in dogs, such as trichoepithelioma, and how they are diagnosed and treated. Learn about the causes, signs, diagnosis, and treatment of sebaceous gland tumors in dogs. These tumors are mostly benign, but some are malignant and may require additional therapy. Learn about different types of hair follicle tumors in dogs, such. Hair Follicle Tumor Dog.
From informacionpublica.svet.gob.gt
Folliculitis In Dogs 10 Causes And How To Treat Them Hair Follicle Tumor Dog Learn about the different types of hair follicle tumors in dogs, such as trichoepithelioma, and how they are diagnosed and treated. Learn about the five types of skin cancer in dogs, including mast cell tumor, melanoma, squamous cell carcinoma, glandular tumors and hair. Hair follicle (hf) tumors are common in dogs and cats and are frequently submitted to diagnostic laboratories.. Hair Follicle Tumor Dog.
From www.thesprucepets.com
Tumors, Growths, and Cysts in Dogs Hair Follicle Tumor Dog Learn about the different types of hair follicle tumors in dogs, such as trichoepithelioma, and how they are diagnosed and treated. Learn about the causes, signs, diagnosis, and treatment of sebaceous gland tumors in dogs. Follicular cysts are caused by inflammation or infection at the base of a hair follicle. These tumors are mostly benign, but some are malignant and. Hair Follicle Tumor Dog.
From journals.sagepub.com
Keratinic amyloid deposition in canine hair follicle tumors Kyoko Hair Follicle Tumor Dog They are most common in dogs, less frequent in cats, and rare in other domestic animals. Find out which breeds are more prone to these benign or rare malignant skin lumps. Learn about different types of hair follicle tumors in dogs, such as trichoepithelioma, and how to recognize and treat them. These tumors are mostly benign, but some are malignant. Hair Follicle Tumor Dog.
From www.researchgate.net
Hair follicle tumors, dog. Figure 19. Inferior tricholemmoma. The tumor Hair Follicle Tumor Dog Follicular cysts are caused by inflammation or infection at the base of a hair follicle. Learn about the causes, signs, diagnosis, and treatment of sebaceous gland tumors in dogs. They are most common in dogs, less frequent in cats, and rare in other domestic animals. This most commonly occurs due to an injury to the area (sometimes on a pressure.. Hair Follicle Tumor Dog.
From www.bubblypet.com
13 Pictures of Dog Tumors, Cysts, Lumps & Warts Hair Follicle Tumor Dog This most commonly occurs due to an injury to the area (sometimes on a pressure. Learn about the different types of hair follicle tumors in dogs, such as trichoepithelioma, and how they are diagnosed and treated. Find out which breeds are more prone to these benign or rare malignant skin lumps. Learn about the five types of skin cancer in. Hair Follicle Tumor Dog.
From ar.inspiredpencil.com
Basal Cell Carcinoma Dog Hair Follicle Tumor Dog Find out which breeds are more prone to these benign or rare malignant skin lumps. Follicular cysts are caused by inflammation or infection at the base of a hair follicle. They are most common in dogs, less frequent in cats, and rare in other domestic animals. Learn about the different types of hair follicle tumors in dogs, such as trichoepithelioma,. Hair Follicle Tumor Dog.
From ar.inspiredpencil.com
Trichoblastoma Histology Hair Follicle Tumor Dog Hair follicle (hf) tumors are common in dogs and cats and are frequently submitted to diagnostic laboratories. Learn about the five types of skin cancer in dogs, including mast cell tumor, melanoma, squamous cell carcinoma, glandular tumors and hair. Find out which breeds are more prone to these benign or rare malignant skin lumps. Learn about the different types of. Hair Follicle Tumor Dog.
From journals.sagepub.com
Histologic features of hair follicle neoplasms and cysts in dogs and Hair Follicle Tumor Dog They are most common in dogs, less frequent in cats, and rare in other domestic animals. Find out which breeds are more prone to these benign or rare malignant skin lumps. This most commonly occurs due to an injury to the area (sometimes on a pressure. Learn about different types of hair follicle tumors in dogs, such as trichoepithelioma, and. Hair Follicle Tumor Dog.
From wagwalking.com
Hair Follicle Tumors in Dogs Symptoms, Causes, Diagnosis, Treatment Hair Follicle Tumor Dog This most commonly occurs due to an injury to the area (sometimes on a pressure. Learn about different types of hair follicle tumors in dogs, such as trichoepithelioma, and how to recognize and treat them. Learn about the five types of skin cancer in dogs, including mast cell tumor, melanoma, squamous cell carcinoma, glandular tumors and hair. Learn about the. Hair Follicle Tumor Dog.
From www.semanticscholar.org
Histologic features of hair follicle neoplasms and cysts in dogs and Hair Follicle Tumor Dog Follicular cysts are caused by inflammation or infection at the base of a hair follicle. These tumors are mostly benign, but some are malignant and may require additional therapy. This most commonly occurs due to an injury to the area (sometimes on a pressure. Learn about the five types of skin cancer in dogs, including mast cell tumor, melanoma, squamous. Hair Follicle Tumor Dog.
From www.bubblypet.com
13 Pictures of Dog Tumors, Cysts, Lumps & Warts Hair Follicle Tumor Dog Follicular cysts are caused by inflammation or infection at the base of a hair follicle. Find out which breeds are more prone to these benign or rare malignant skin lumps. Learn about the different types of hair follicle tumors in dogs, such as trichoepithelioma, and how they are diagnosed and treated. This most commonly occurs due to an injury to. Hair Follicle Tumor Dog.
From www.researchgate.net
Dog, hair follicle tumor. AgNOR stain. A) Malign trichoepithelioma with Hair Follicle Tumor Dog Follicular cysts are caused by inflammation or infection at the base of a hair follicle. Learn about the causes, signs, diagnosis, and treatment of sebaceous gland tumors in dogs. Learn about different types of hair follicle tumors in dogs, such as trichoepithelioma, and how to recognize and treat them. They are most common in dogs, less frequent in cats, and. Hair Follicle Tumor Dog.
From www.bubblypet.com
13 Pictures of Dog Tumors, Cysts, Lumps & Warts Hair Follicle Tumor Dog Learn about the different types of hair follicle tumors in dogs, such as trichoepithelioma, and how they are diagnosed and treated. Learn about different types of hair follicle tumors in dogs, such as trichoepithelioma, and how to recognize and treat them. Find out which breeds are more prone to these benign or rare malignant skin lumps. These tumors are mostly. Hair Follicle Tumor Dog.
From ar.inspiredpencil.com
Follicular Cyst Dog Hair Follicle Tumor Dog These tumors are mostly benign, but some are malignant and may require additional therapy. They are most common in dogs, less frequent in cats, and rare in other domestic animals. Learn about different types of hair follicle tumors in dogs, such as trichoepithelioma, and how to recognize and treat them. Learn about the different types of hair follicle tumors in. Hair Follicle Tumor Dog.
From ar.inspiredpencil.com
Trichoepithelioma In Dogs Hair Follicle Tumor Dog Find out which breeds are more prone to these benign or rare malignant skin lumps. They are most common in dogs, less frequent in cats, and rare in other domestic animals. Learn about the five types of skin cancer in dogs, including mast cell tumor, melanoma, squamous cell carcinoma, glandular tumors and hair. Hair follicle (hf) tumors are common in. Hair Follicle Tumor Dog.
From seniortailwaggers.com
Dog Hair Follicle (Follicular) Cysts Pictures + Vet FAQ Hair Follicle Tumor Dog Learn about the causes, signs, diagnosis, and treatment of sebaceous gland tumors in dogs. Learn about the five types of skin cancer in dogs, including mast cell tumor, melanoma, squamous cell carcinoma, glandular tumors and hair. This most commonly occurs due to an injury to the area (sometimes on a pressure. Follicular cysts are caused by inflammation or infection at. Hair Follicle Tumor Dog.
From journals.sagepub.com
Histologic features of hair follicle neoplasms and cysts in dogs and Hair Follicle Tumor Dog Follicular cysts are caused by inflammation or infection at the base of a hair follicle. Learn about different types of hair follicle tumors in dogs, such as trichoepithelioma, and how to recognize and treat them. These tumors are mostly benign, but some are malignant and may require additional therapy. This most commonly occurs due to an injury to the area. Hair Follicle Tumor Dog.
From benignimatar.blogspot.com
Benigni Dog Benign Tumor Hair Follicle Tumor Dog Hair follicle (hf) tumors are common in dogs and cats and are frequently submitted to diagnostic laboratories. Learn about the causes, signs, diagnosis, and treatment of sebaceous gland tumors in dogs. Learn about the five types of skin cancer in dogs, including mast cell tumor, melanoma, squamous cell carcinoma, glandular tumors and hair. Follicular cysts are caused by inflammation or. Hair Follicle Tumor Dog.
From www.petmd.com
Hair Follicle Tumors in Dogs PetMD Hair Follicle Tumor Dog Find out which breeds are more prone to these benign or rare malignant skin lumps. This most commonly occurs due to an injury to the area (sometimes on a pressure. Learn about the five types of skin cancer in dogs, including mast cell tumor, melanoma, squamous cell carcinoma, glandular tumors and hair. Hair follicle (hf) tumors are common in dogs. Hair Follicle Tumor Dog.